时间就是大脑,急性缺血性卒中治疗的关键在于尽早开通阻塞的血管,只要缺血 > 5 min,每分钟就会有以190万个脑细胞死亡,且不可再生,可导致后遗症。本文报道1例以急性缺血性脑卒中为首发症状的Ⅰ型主动脉夹层伴头颈部夹层所致难治性休克的罕见病例,首发症状奇异,病变迅速,救治困难,值得临床医生借鉴与反思;同时提请同仁们分析,头颈部与主动脉初始夹层的起源点是哪里呢?
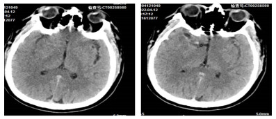
1 资料与方法患者男性,51岁,于2022年4月12日19:50,因突发晕厥,伴左侧肢体无力、言语不清半小时就诊。查体:体温36.3 ℃,呼吸频率20次/min,脉率73次/min,血压118/99 mmHg(1 mmHg=0.133 kPa),SaO2 85%。神志清,精神差,双侧瞳孔等大等圆约3.5 mm,光反射灵敏,口角歪斜,言语不清,左上肢肌力3级,左下肢肌力2级。既往无高血压病史。急诊床旁检验检查示:D-二聚体5.158 µg/mL、肌红蛋白107.86 ng/mL;动脉血气示:PaO2 33.9 mmHg、FO2Hb 64.6%、FHHb 30.1%、k+ 3.3 mmol/L、血乳酸(lactic acid, Lac)3.3 mmol/L,心电图排除ST抬高型心梗,头颅CT示(见图 1):右侧大脑中动脉密度增高,建议MRI及CTA进一步检查。请卒中医生会诊考虑:急性脑梗死和肺栓塞。随后患者出现恶心、呕吐、吐物为胃内容物,20:00血压突降至57/43 mmHg,烦躁不安、口唇、面色苍白、肢体末梢冰冷,给予复方氯化钠注射液500 mL、生理盐水500 mL扩容、生理盐水200 mL+多巴胺注射液200 mg升压治疗,20:14血压95/60 mmHg、SaO2 95%(鼻导管4 L/min)。20:34血压86/53 mmHg,烦躁,呼吸困难,左侧肢体肌力为0级,给予气管插管氧疗。20:50血压100/62 mmHg、SaO2 95%,左侧上、下肢肌力0级,右侧肌力5级,左侧浅感觉较右侧差,深感觉正常,双侧跟、膝腱反射存在,左侧巴彬斯基征(+),余(-)。初步考虑:急性脑梗死和急性肺栓塞。
|
| 图 1 患者CT头颅平扫 |
|
|
准备静脉溶栓治疗,患者家属同意并签字,21:06阿替普酶注射液7 mL 1 min内静推,余63 mg 1 h内静脉泵入。同时行CT头颈部动脉联合成像示(见图 2):(1)主动脉弓见内膜片影,真腔明显小,假腔大,左侧颈总动脉及头臂干见内膜片影;(2)左侧颈总动脉近中段见内膜片影,显影尚可;右侧颈总动脉内见内膜片影,显影明显不良;(3)左侧颈内动脉各段显影好,未见明显狭窄及扩张;右侧颈内动脉未见显影;(4)双侧椎动脉各段及基底动脉显影好,走形未见异常,未见狭窄及扩张;(5)右侧大脑前、中动脉显影差,分支显示不清。左侧大脑前动脉、中动脉及后动脉显影良好,分支清楚。右侧大脑后动脉未见显示。考虑诊断:主动脉夹层(DeBakeyⅠ型),累及头臂干、双侧颈总动脉,右侧颈总动脉闭塞、颈内动脉、颈外动脉、右侧大脑前、中动脉显影差;右侧大脑后动脉闭塞;即刻停用溶栓药(阿替普酶已用1/3)。CT头颅灌注成像示(见图 3):右侧颞枕顶叶(大脑中动脉供血区)脑血流量(cerebral blood flow, CBF)图减低,脑血容量(cerebral blood volume, CBV)图减低,CBF范围大于CBV范围,且超过大脑半球2/3;平均通过时间(mean transition time, MTT)图中可见血流较缓慢,峰值时间(time to peak, TTP)延迟。左侧大脑中动脉供血区CBF轻度下降、CBV下降;TTP及MTT延长。考虑诊断:(1)右侧大脑中动脉供血区梗死前期(Ⅱ2期);(2)左侧大脑中动脉供血区梗死前期(Ⅱ1期)。
|
| A为VR示右侧颈总动脉及颈内动脉显影明显减低,B为MPR示右侧颈总动脉及颈内动脉未见显示,C~F为VR示右侧大脑中动脉M1段闭塞、大脑后动脉P1段重度狭窄 图 2 患者CT头颅平扫 |
|
|
|
| 图 3 患者CT头颅灌注成像(CTP) |
|
|
22:30血常规示:白细胞26.56×109/L、中性细胞比率78.5%、红细胞4.8×1012/L、血红蛋白156 g/L、红细胞压积46.1%、血小板159×109/L、C反应蛋白 < 8.00 mg/L,血凝示(溶栓药使用后):凝血酶原时间25.2 s、凝血酶原百分比活动度41.3%、凝血酶原时间国际标准比值2.15、活化部分凝血活酶时间69.3 s、凝血酶时间36.1 s、纤维蛋白原0.21 g/L、D-二聚体36.12 mg/L、纤维蛋白原降解产物130.65 mg/L。22:50血气分析示:pH 7.092、PaO2 71 mm Hg、Lac 9.5 mmol/L、SaO2 87.6%、红细胞压积50.50%、Pa(A-a)233.1 mmHg、PaO2/FiO2 118、呼吸指数328、实际碱剩余-15.9 mmol/L、标准碳酸氢盐浓度(HCO3-)12.8 mmol/L。21:10以“主动脉夹层Ⅰ型、急性脑梗死、双侧颈总动脉夹层、右侧颈内动脉夹层、休克、呼吸衰竭”收住EICU。入院后给予平卧位、镇痛镇静、维持血压、减慢心律等紧急处理,向患者家属告知病情危重,尽早转院争取最佳的手术治疗机会(Ⅰ型夹层需转上级医院手术治疗),22:50家属要求转往省级医院血管介入科,次日中午死亡。
2 讨论主动脉夹层是一类非常凶险的大血管病,表现为多样性、复杂性、易漏诊、易误诊。DeBakeyd分类法将其分为Ⅰ型夹层(升主动脉一直延续到降主动脉)、Ⅱ型夹层(升主动脉)、Ⅲ型夹层(降主动脉—腹主动脉、肾动脉或髂动脉);表现为突发撕裂性疼痛,双上肢血压不对称等,首要以减轻疼痛、控制血压和心率为基础的内科治疗。
Ⅰ型主动脉夹层的原始破口常位于升主动脉右前方,可累及颈动脉、无名动脉造成动脉缺血,也可累及心血管系统和脑血管系统的一类急性泛血管疾病[1],因此,需警惕由主动脉夹层引起的心脑梗死(cardio-cerebral infraction, CCI),是同时或短时间内相继发生急性缺血性脑卒中和急性心肌梗死的疾病状态;两者确诊的金标准均为数字减影血管造影[2],由于主动脉夹层的患者使用溶栓药物会产生心包积血或有主动脉破裂引起的心包填塞[3],因此,CCI是静脉注射rt-PA的禁忌证[4]。需在静脉溶栓前进行排除,也给临床医生针对CCI的溶栓治疗增加了难度。此外,临床上通常运用D-二聚体检测来初步识别主动脉夹层患者[5];也有研究表明D-二聚体水平与血管撕裂范围成正相关[6]。依据欧洲卒中组织急性缺血性脑卒中静脉溶栓指南[7]:对发病时间 < 4.5 h的急性缺血性卒中合并主动脉弓夹层的患者,建议不溶栓(强推荐,极低质量证据)。
本病例急性起病,晕厥、一侧肢体偏瘫,排除既往高血压病史与脑出血后,误诊为急性缺血性脑卒中,未做充分的排他诊断,忽略了D-二聚体检测结果对高危胸痛的影响,盲目开通了“卒中溶栓救治绿色通道”,多亏在灌注评估时发现Ⅰ型主动脉夹层的存在,及时停用了溶栓剂,避免了灾难性后果。为此,提醒急诊同仁们溶栓前谨记排除主动脉夹层,尤其是Ⅰ型,可合并发急性缺血型脑卒中和(或)急性下壁心肌梗塞。注重常见病之罕见病,拓展诊治思维,提高诊断准确率,采取正确的治疗策略。
利益冲突 作者声明无利益冲突
| [1] | 杨靖, 王克强, 霍勇, 等. 泛血管疾病综合防治科学声明[J]. 中国循环杂志, 2019, 34(11): 1041-1046. DOI:10.3969/j.issn.1000-3614.2019.11.001 |
| [2] | 王娟, 杨艳敏, 谭慧琼. 心脏骤停复苏后凝血-纤溶改变的研究进展[J]. 中华急诊医学杂志, 2021, 30(11): 1402-1406. DOI:10.3760/cma.j.issn.1671-0282.2021.11.026 |
| [3] | Dhand A, Nakagawa K, Nagpal S, et al. Cardiac rupture after intravenous t-PA administration in acute ischemic stroke[J]. Neurocrit Care, 2010, 13(2): 261-262. DOI:10.1007/s12028-010-9384-8 |
| [4] | Messé SR, Tanne D, Demchuk AM, et al. Dosing errors may impact the risk of rt-PA for stroke: the multicenter rt-PA acute stroke survey[J]. J Stroke Cerebrovasc Dis, 2004, 13(1): 35-40. DOI:10.1016/j.jstrokecerebrovasdis.2004.01.001 |
| [5] | "D-二聚体检测"急诊临床应用专家共识组. "D-二聚体检测"急诊临床应用专家共识[J]. 中华急诊医学杂志, 2013, 22(8): 827-836. DOI:10.3760/cma.j.issn.1671-0282.2013.08.003 |
| [6] | 薛渊, 肖子亚, 顾国嵘, 等. D-二聚体对急性主动脉夹层诊断及预后判断价值[J]. 中华急诊医学杂志, 2017, 26(8): 935-938. DOI:10.3760/cma.j.issn.1671-0282.2017.08.021 |
| [7] | Berge E, Whiteley W, Audebert H, et al. European Stroke Organisation (ESO) guidelines on intravenous thrombolysis for acute ischaemic stroke[J]. Eur Stroke J, 2021, 6(1): I-LXII. DOI:10.1177/2396987321989865 |
2023, Vol. 32


