2. 卫健委中日友好医院急诊科,北京 100029;
3. 中日友好医院呼吸病区肺癌中心,北京 100029;
4. 安徽省六安市金寨县人民医院急诊科, 六安 237300;
5. 北京体育大学运动人体科学学院,北京 100084
2. Emergency Department, China-Japan Friendship Hospital, Beijing 100029, China;
3. Lung Cancer Center, Respiratory Ward, China-Japan Friendship Hospital, Beijing 100029, China;
4. Emergency Department, Jinzhai County People´s Hospital, Lu'an 237300, China;
5. School of Sports Science, Beijing Sport University, Beijing 100084, China
急性胰腺炎(acute pancreatitis, AP)是胰腺的一种急性炎症性疾病,是世界上最致命的消化道疾病之一[1-2]。根据疾病的严重程度,AP可分为轻度胰腺炎、中度重症胰腺炎和重症急性胰腺炎(severe acute pancreatitis, SAP),其中SAP占比10%~20%。SAP患者的早期死亡高峰在1~2周左右,主要死于全身炎症反应综合征导致的多器官功能障碍综合征[3-4]。胰腺炎相关肺损伤(pancreatitis-associated lung injury, PALI)是SAP最常见的早期并发症,可能进展为急性呼吸窘迫综合征,严重威胁患者生命[5-6]。炎症反应,氧化应激作用,细胞凋亡等多种生物学效应皆可介导PALI进程[7-10]。羟基红花黄色素A(hydroxysafflor yellow A,HSYA)具有抗氧化应激、抗炎症反应和抗癌活性[11-13]。有研究发现,HSYA能够改善小鼠急性肺损伤和肺纤维化,降低炎性因子表达和氧化应激水平[14-15],但关于其在SAP相关肺损伤中作用和机制尚不清楚。本研究旨在阐明HSYA在PALI小鼠的保护作用并初步探讨其作用机制。
1 材料与方法 1.1 动物本研究使用的所有动物和实验程序均经动物伦理委员会审批通过(2018-49-K38)。50只成年(6周龄)SPF雄性C57BL/6小鼠(18~22 g)购自于北京华阜康生物科技股份有限公司。所有动物饲养温度为(25±1)℃,相对湿度为40%~80%,12 h光暗循环,动物自由饮水进食。
1.2 实验动物分组C57BL/6小鼠按照随机数字法分成5组,每组10只小鼠:假手术组,SAP组,低剂量HSYA组(20 mg/kg),中剂量HSYA组(40 mg/kg)和高剂量HSYA组(80 mg/kg)。
1.3 动物模型的制作及处理按照既往文献发表方法进行模型构建[16],C57BL/6小鼠腹腔注射L-精氨酸溶液(Sigma)共2次,剂量为4 mg/g,间隔1 h。第二次注射L-精氨酸的时间点定为0。相应对照组腹腔注射等量的生理盐水(normal saline,NS)。HSYA溶液(大连美仑公司)预处理组分别采用不同剂量进行腹腔注射。SAP诱导后72 h,处死小鼠,并收集所有小鼠的胰腺和肺组织,置于冰上,称重,并在预冷PBS中匀浆,4℃以8 000×g离心10 min,将上清液储存在-80℃。
1.4 支气管肺泡灌洗液(bronchoalveolar lavage fluid, BALF)中细胞计数和细胞因子检测根据前人描述制备BALF [17],SAP诱导后72 h,在1% 戊巴比妥钠全麻下,通过气管插管用无菌盐水冲洗肺3次。离心后,将上清液储存在-20℃。使用BCA蛋白测定试剂盒(碧云天,江苏)测定BALF的蛋白浓度。采用ELISA试剂盒(R & D Systems; Minneapolis)测定BALF上清液中肿瘤坏死因子-α(tumor necrosis factor-α,TNF-α)和白介素6(interleukin 6,IL-6)浓度。
1.5 肺脏组织检测SAP诱导后72 h,处死小鼠,将右下肺叶浸入4%多聚甲醛固定48 h,然后包埋在石蜡中,并将组织块切成5 μm切片,HE染色,显微镜下观察肺叶形态学。参考Osman肺脏组织学评分标准[18]进行肺损伤评分,评分范围0~9分,分数越高表明肺组织水肿、肺泡组织炎细胞浸润、组织出血的程度越严重。收集小鼠右肺的上叶和中叶并立即称重,将样品在70℃的烘箱中干燥后称重,最后计算湿-干重量比。
1.6 胰腺组织病理检测SAP诱导后72 h,处死小鼠,取各组小鼠胰头部胰腺组织,用4%多聚甲醛溶液固定,常规石蜡包埋、切片、HE染色,光镜下观察各组胰腺组织的病理学改变。
1.7 血清淀粉酶活性检测各组小鼠经眶静脉丛放血法采集血样,置于4℃条件下进行离心(3000 g,10 min),收集血清,采用全自动生化分析仪测定血清淀粉酶活性。
1.8 髓过氧化物酶活性检测取肺组织,称重,匀浆。采用ELISA法检测测定髓过氧化物酶((myeloperoxidase, MPO))活性。MPO试剂盒购自南京建成生物工程研究(中国南京)。
1.9 免疫印迹取10 g右肺中叶,匀浆,常规进行western blot检测。商业化抗体购自于Abcam公司,用于检测肺脏组织中HO-1和NF-κB p-p65蛋白表达水平。
1.10 统计学方法计量资料以均数±标准差(x±s)表示,使用SPSS 17.0进行ANOVA检验,组间两两比较采用LSD-t法。以P < 0.05为差异有统计学意义。
2 结果 2.1 胰腺生化及胰腺组织病理变化采用ELISA法检测血清淀粉酶在不同组别的变化。如表 1和图 1A所示,与生理盐水对照组(NS)相比,SAP组血清淀粉酶活性显著增高,而采用HSYA处理可以降低淀粉酶活性,且呈现浓度梯度性,各组差异均有统计意义(P < 0.05)。光学显微镜观察胰腺组织病理学显示,SAP小鼠胰腺组织出现显著水肿、出血、坏死以及炎性细胞浸润(图 1B)。HSYA处理后可以明显减轻组织病理损伤(图 1B)。
| 组别(n=10/组) | 血清淀粉酶(U/L) |
| NS组 | 226.72 ± 20.84 |
| SAP组 | 2120.44 ± 354.5a |
| Low dose HSYA组 | 1808.62 ± 254.6b |
| Middle dose HSYA组 | 1498.36 ±275.8c |
| High dose HSYA组 | 737.28 ±89.65d |
| 注:与NS组比较,aP < 0.001;与SAP组比较,bP < 0.05,cP < 0.01,dP < 0.001 | |
|
| A:各组小鼠血清淀粉酶活性比较;B:各组小鼠胰腺病理学改变比较。放大倍数200。与NS组比较,aP < 0.001;与SAP组比较,bP < 0.05,cP < 0.01,dP < 0.001 图 1 胰腺生化及胰腺组织病理变化(×200) Fig 1 Pancreatic biochemical and pancreatic histopathological changes(original magnification ×200) |
|
|
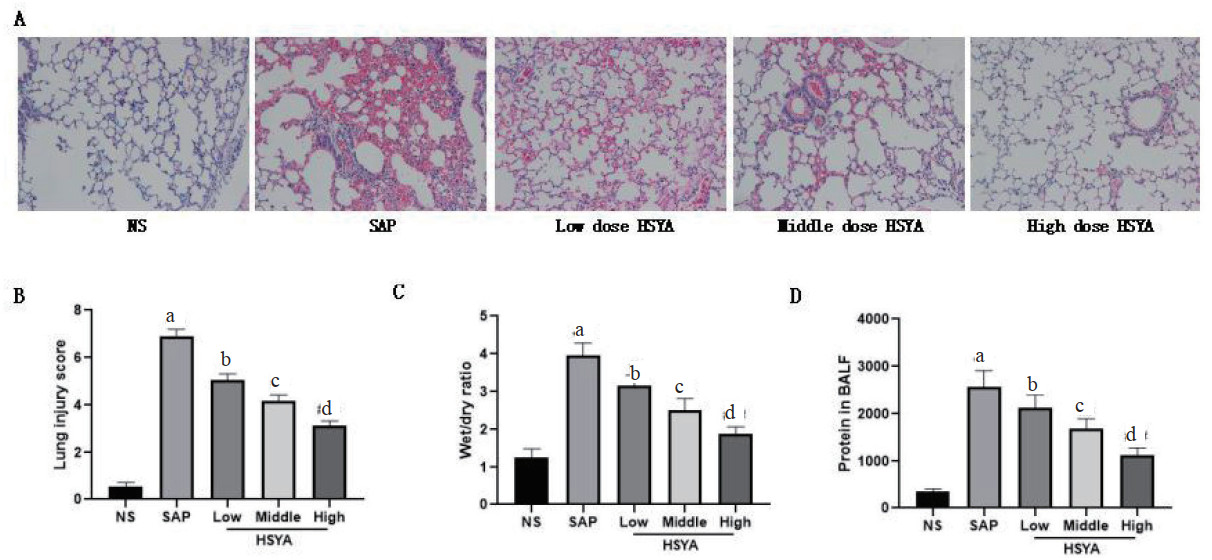
采用HE染色分析不同组别小鼠肺部病理学变化。结果显示,与NS组相比,SAP引起显著肺水肿、炎性细胞浸润和间质出血(图 2A)。HSYA处理可以减轻肺组织的病理损伤,肺组织病理评分显示HSYA对肺部损伤的改善作用呈现浓度梯度性(图 2B和表 2)。此外,与对照组小鼠相比,SAP诱导的ALI小鼠中肺湿/干比(图 2C和表 2)和BALF蛋白浓度(图 2D和表 2)显著增加。然而,HSYA处理以剂量依赖性方式显著降低ALI诱导肺水肿和BALF中蛋白浓度。
|
| A:各组小鼠肺组织病理学改变比较。放大倍数200。各组小鼠肺损伤评分B:肺干湿重比C:和支气管肺泡灌洗液(BALF)中的蛋白浓度D:比较。与NS组比较,aP < 0.001;与SAP组比较,bP < 0.05,cP < 0.01,dP < 0.001 图 2 肺组织病理变化(×200) Fig 2 Pathological changes in lung tissue (original magnification ×200) |
|
|
| 组别(n=10/组) | 肺损伤评分 | 肺干湿重比 | BALF蛋白浓度(μg/mL) |
| NS组 | 0.53±0.18 | 1.25±0.24 | 345.62±56.35 |
| SAP组 | 6.91±0.28a | 3.95±0.34a | 2563.25±348.22a |
| Low dose HSYA组 | 5.04±0.27b | 3.15±0.29b | 2120.76±287.35b |
| Middle dose HSYA组 | 4.18±0.24c | 2.51±0.31c | 1685.87±214.61c |
| High dose HSYA组 | 3.14±0.19d | 1.89±0.18d | 1134.42±147.57d |
| 注:与NS组比较,aP < 0.001;与SAP组比较,bP < 0.05,cP < 0.01,dP < 0.001 | |||
与NS组相比,SAP显著增加肺MPO活性,而HSYA处理的小鼠中肺部MPO活性显著降低(图 3A和表 3)。此外,ELISA法测定不同组别BALF中炎症因子浓度。和NS相比,SAP显著增加BALF中TNF-α和IL-6浓度,而HSYA可以抑制上述炎症因子表达水平(图 3B-D和表 3)。
|
| 各组小鼠肺髓过氧化物酶(MPO)活性(A)、TNF-α(B)和IL-6(C)浓度比较。与NS组比较, aP < 0.001;与SAP组比较,bP < 0.05,cP < 0.01,dP < 0.001 图 3 小鼠肺MPO活性和炎性细胞变化 Fig 3 The changes in MPO activity and inflammatory cells in mice |
|
|
| 组别(n=10/组) | MPO(Units/mg) | TNF-α(pg/mL) | IL-6(pg/mL) |
| NS组 | 1.03±0.17 | 31.5±4.82 | 39.26±5.66 |
| SAP组 | 4.52±0.34a | 120.5±14.25a | 214.72±10.62a |
| Low dose HSYA组 | 3.47±0.17b | 105.31±9.65b | 165.77±8.37b |
| Middle dose HSYA组 | 3.04±0.28c | 82.41±5.62c | 135.85±10.57c |
| High dose HSYA组 | 1.44±0.13d | 53.47±4.87d | 79.45±6.75d |
| 注:与NS组比较,aP < 0.001;与SAP组比较,bP < 0.05,cP < 0.01,dP < 0.001 | |||
HO-1是一种抗氧化蛋白,因此采用免疫印迹检测不同组别HO-1表达水平。与对照组相比,SAP小鼠肺组织中HO-1的表达显著下降,而HSYA处理可以显著增加HO-1蛋白表达水平(图 4A)。NF-κB通路调节多种促炎介质(如TNF-α)的转录,参与引发肺部炎症。检测肺组织中NF-κB的活化水平显示,SAP小鼠肺部组织NF-κB p65磷酸化水平显著增加,而HSYA处理则抑制NF-κB p65磷酸化,从而阻断NF-κB信号通路激活(图 4B)。
|
| 图 4 抗氧化蛋白HO-1表达和NF-kb活化改变 Fig 4 Expression of antioxidant protein HO-1 and activation of NF-KB |
|
|
重症急性胰腺炎(SAP)占急性胰腺炎的10%~20%, 病程进展迅速, 可出现多种并发症, 是患者死亡重要原因[19]。本研究表明,HSYA预处理可以显著抑制SAP相关ALI病理改变。此外,HSYA可能通过抗氧化抗炎活性和抑制NF-κB信号传导途径活化发挥SAP肺损伤的保护作用。
SAP发生早期,机体会过度释放氧化应激因子和炎性细胞因子并带来广泛炎症反应,从而导致患者出现严重的急性肺损伤并发生急性呼吸窘迫综合征[20]。研究发现,TNF-α、IL-1、IL-6和环氧合酶-2(cyclooxygenase-2,COX-2)等多种细胞因子参与胰腺炎的炎症反应[21]。本研究发现,SAP小鼠血清淀粉酶活性及胰腺和肺组织病理评分显著高于对照组,且SAP模型小鼠BALF中的蛋白浓度、肺组织MPO活性和促炎细胞因子均显著升高,证实PALI模型构建成功。在此基础上,本研究证明HSYA处理可以显著减轻SAP相关小鼠肺损伤和湿-干重比,表明HSYA可以保护小鼠免于SAP诱导肺损伤。
血红素氧合酶1(Heme Oxygenase-1,HO-1)主要催化血红素分解代谢成亚铁、一氧化碳和胆绿素,是一种重要的抗氧化酶。一方面,血红素基团的降解有利于阻止其促氧化作用。另一方面,副产物胆绿素及其还原型胆红素具有有效的ROS清除活性,以抵御过氧化物、过氧亚硝酸盐、羟基和超氧化物自由基[22]。有研究发现,HO-1的过表达能够改善急性重症胰腺炎的肝脏病变及肝肾功能[23]。本研究分析了SAP小鼠肺组织中HO-1的表达情况。结果显示,HSYA处理可以显著增加肺组织HO-1蛋白表达水平,从而发挥抗氧化和抗炎作用。
多种细胞因子如TNF-α和IL-6等的活化与胰腺炎的发生进展关系密切,且都与NF-κB激活有关[24]。相应采用药物抑制NF-κB可促进胰腺炎及其相关并发症的改善[25]。本研究中,HSYA显著降低SAP小鼠肺组织NF-κB p65磷酸化水平。因此本研究发现在PALI的发生发展中NF-κB通路被激活,且HSYA可以抑制NF-κB的激活。
利益冲突 所有作者声明无利益冲突
作者贡献声明 作者贡献声明所有作者均参与设计、试验、写作与修改
| [1] | Pandol SJ, Saluja AK, Imrie CW, et al. Acute pancreatitis: bench to the bedside[J]. Gastroenterology, 2007, 132(3): 1127-1151. DOI:10.1053/j.gastro.2007.01.055 |
| [2] | Mederos MA, Reber HA, Girgis MD. Acute pancreatitis: A review[J]. JAMA, 2021, 26(1): 382-390. DOI:10.1001/jama.2020.20317 |
| [3] | Portelli M, Jones CD. Severe acute pancreatitis: pathogenesis, diagnosis and surgical management[J]. Hepatobiliary Pancreat Dis Int, 2017, 16(2): 155-159. DOI:10.1016/s1499-3872(16)60163-7 |
| [4] | Luo YL, Li ZX, Ge P, et al. Comprehensive mechanism, novel markers and multidisciplinary treatment of severe acute pancreatitis-associated cardiac injury - A narrative review[J]. J Inflamm Res, 2021, 14: 3145-3169. DOI:10.2147/JIR.S310990 |
| [5] | Gao ZM, Sui JD, Fan R, et al. Emodin protects against acute pancreatitis-associated lung injury by inhibiting NLPR3 inflammasome activation via Nrf2/HO-1 signaling[J]. Drug Des Devel Ther, 2020, 14: 1971-1982. DOI:10.2147/DDDT.S247103 |
| [6] | Pastor CM, Matthay MA, Frossard JL. Pancreatitis-associated acute lung injury: new insights[J]. Chest, 2003, 124(6): 2341-2351. DOI:10.1378/chest.124.6.2341 |
| [7] | Shields CJ, Winter DC, Redmond HP. Lung injury in acute pancreatitis: mechanisms, prevention, and therapy[J]. Curr Opin Crit Care, 2002, 8(2): 158-163. DOI:10.1097/00075198-200204000-00012 |
| [8] | Zhou MT, Chen CS, Chen BC, et al. Acute lung injury and ARDS in acute pancreatitis: mechanisms and potential intervention[J]. World J Gastroenterol, 2010, 16(17): 2094-2099. DOI:10.3748/wjg.v16.i17.2094 |
| [9] | Zhao X, Andersson R, Wang X, et al. Acute pancreatitis-associated lung injury: pathophysiological mechanisms and potential future therapies[J]. Scand J Gastroenterol, 2002, 37(12): 1351-1358. DOI:10.1080/003655202762671206 |
| [10] | Ladero QJM. Role of the peritoneum in the pathogenesis of acute pancreatitis-associated lung injury[J]. Rev Esp Enferm Dig, 2004, 96(8) 521-524;524-6. DOI:10.4321/s1130-01082004000800001 |
| [11] | Ao H, Feng WW, Peng C. Hydroxysafflor yellow A: a promising therapeutic agent for a broad spectrum of diseases[J]. Evid Based Complement Alternat Med, 2018, 2018: 8259280. DOI:10.1155/2018/8259280 |
| [12] | Luo M, Huang JC, Yang ZQ, et al. Hydroxysafflor yellow A exerts beneficial effects by restoring hormone secretion and alleviating oxidative stress in polycystic ovary syndrome mice[J]. Exp Physiol, 2020, 105(2): 282-292. DOI:10.1113/EP088147 |
| [13] | Qin XD, Chen JJ, Zhang GW, et al. Hydroxysafflor yellow A exerts anti-inflammatory effects mediated by SIRT1 in lipopolysaccharide-induced microglia activation[J]. Front Pharmacol, 2020, 11: 1315. DOI:10.3389/fphar.2020.01315 |
| [14] | Liu YL, Liu YJ, Liu Y, et al. Hydroxysafflor yellow A ameliorates lipopolysaccharide-induced acute lung injury in mice via modulating toll-like receptor 4 signaling pathways[J]. Int Immunopharmacol, 2014, 23(2): 649-657. DOI:10.1016/j.intimp.2014.10.018 |
| [15] | Jin M, Wang L, Wu Y, et al. Protective effect of hydroxysafflor yellow A on bleomycin- induced pulmonary inflammation and fibrosis in rats[J]. Chin J Integr Med, 2018, 24(1): 32-39. DOI:10.1007/s11655-017-2094-z |
| [16] | Dawra R, Sharif R, Phillips P, et al. Development of a new mouse model of acute pancreatitis induced by administration of L-arginine[J]. Am J Physiol Gastrointest Liver Physiol, 2007, 292(4): G1009-G1018. DOI:10.1152/ajpgi.00167.2006 |
| [17] | Li XL, Ye CX, Mulati M, et al. Ellipticine blocks synergistic effects of IL-17A and TNF-α in epithelial cells and alleviates severe acute pancreatitis-associated acute lung injury[J]. Biochem Pharmacol, 2020, 177: 113992. DOI:10.1016/j.bcp.2020.113992 |
| [18] | Osman MO, Kristensen JU, Jacobsen NO, et al. A monoclonal anti-interleukin 8 antibody (WS-4) inhibits cytokine response and acute lung injury in experimental severe acute necrotising pancreatitis in rabbits[J]. Gut, 1998, 43(2): 232-239. DOI:10.1136/gut.43.2.232 |
| [19] | 宋轶, 刘杰, 路晓光, 等. 大黄附子汤改善重症急性胰腺炎大鼠肠道动力障碍的机制研究[J]. 中华急诊医学杂志, 2021, 30(8): 954-959. DOI:10.3760/cma.j.issn.1671-0282.2021.08.007 |
| [20] | 林锦乐, 史旻, 卢彦秀, 等. 四种细胞来源生物标志物在急性呼吸窘迫综合征大鼠中的变化特点[J]. 中华急诊医学杂志, 2020, 29(11): 1417-1424. |
| [21] | Habtezion A, Gukovskaya AS, Pandol SJ. Acute pancreatitis: a multifaceted set of organelle and cellular interactions[J]. Gastroenterology, 2019, 156(7): 1941-1950. DOI:10.1053/j.gastro.2018.11.082 |
| [22] | Waza AA, Hamid Z, Ali S, et al. A review on heme oxygenase-1 induction: is it a necessary evil[J]. Inflamm Res, 2018, 67(7): 579-588. DOI:10.1007/s00011-018-1151-x |
| [23] | Zhang FH, Sun YH, Fan KL, et al. Protective effects of heme oxygenase-1 against severe acute pancreatitis via inhibition of tumor necrosis factor-α and augmentation of interleukin-10[J]. BMC Gastroenterol, 2017, 17(1): 100. DOI:10.1186/s12876-017-0651-4 |
| [24] | Tao L, Lin XY, Tan SW, et al. Β-Arrestin1 alleviates acute pancreatitis via repression of NF-κBp65 activation[J]. J Gastroenterol Hepatol, 2019, 34(1): 284-292. DOI:10.1111/jgh.14450 |
| [25] | Jakkampudi A, Jangala R, Reddy BR, et al. NF-κB in acute pancreatitis: mechanisms and therapeutic potential[J]. Pancreatology, 2016, 16(4): 477-488. DOI:10.1016/j.pan.2016.05.001 |
2022, Vol. 31



