脓毒症时,肠道的炎症反应、缺血和多种抗感染药物的使用导致肠道损伤、肠道菌群发生紊乱和肠道代谢产物发生相应改变,进一步引起多器官功能衰竭,是影响脓毒症预后的重要因素[1]。G蛋白偶联受体(G-protein coupled receptors,GPCRs)目前已经成为脓毒症临床治疗和药物治疗的新靶点[2]。GPR174是细胞信号转导的重要跨膜蛋白,前期研究发现,GPR174通过调节边缘B细胞及调节性T细胞在脓毒症早起免疫应答中发挥免疫调节作用,影响脓毒症的发病[3-5]。此外,部分GPCRs可与肠道代谢产物如短链脂肪酸结合以促进结肠上皮增殖,改善肠道屏障功能,从而缓解脓毒症引起的肠道损伤。本研究通过检测Gpr174-/-小鼠生理状态及脓毒症状态时肠道菌群及代谢产物的差异,揭示GPR174对肠道微环境的意义,并进一步探究其可能的作用机制。
1 材料与方法 1.1 实验动物、试剂和仪器健康雄性8周龄C57BL/6小鼠与Gpr174-/-小鼠购买于南方模式生物有限公司,饲养于复旦大学附属中山医院中心实验室SPF级动物房。随机数字法将小鼠分为4组,每组各3只,分别为野生组(WT),Gpr174敲除组(KO),野生鼠盲肠结扎穿孔造模组(WT+CLP),敲除鼠盲肠结扎穿孔造模组(KO+CLP)。脓毒症小鼠模型的建立如文献所述[6],分别于造模前及盲肠结扎穿孔造模3 d后收集小鼠粪便,并进行16S rDNA测序检测分析与靶向代谢组学分析。本实验对动物操作符合动物伦理学要求(No: 201804001Z)。
1.2 CLP脓毒症小鼠模型的建立采用盲肠结扎穿孔的方式构建脓毒症小鼠模型,主要操作步骤如下:将小鼠麻醉后备皮,沿腹白线位置作一长度约为1 cm左右的纵行切口,定位盲肠并在距根部二分之一处结扎盲肠,使用22 G套管针刺穿盲肠并将粪便挤出,回纳盲肠并逐层缝合切口。最后,在小鼠颈后注射1 mL生理盐水抗休克并放置于保温毯上复苏。
1.3 肠道病理分析及细胞因子检测将小鼠的结肠组织固定于4% 的多聚甲醛溶液中,经过常规石蜡包埋后切成厚度为4 μm的切片,HE染色后在光学显微镜下观察肠道组织的病变情况。取保存于液氮中的肠道组织组织,使用柱法提取肠道总RNA,按照说明书反转录成cDNA,将cDNA稀释4倍,计算PCR各反应液的量,并加入96孔板中,震荡离心后上机,于qPCR仪上扩增并定量分析。数据采用2-ΔΔCt法对肠道组织中目标基因ZO-1及细胞因子TNF-α、IL-6及IL-10的表达进行定量分析。引物序列如下表所示:
| Gene | Forwards | Reverses |
| ZO-1 | GATGTTTATGCGGACGGTGG | CATTGCTGTGCTCTTAGCGG |
| TNF-α | GATCGGTCCCCAAAGGGATG | CCACTTGGTGGTTTGTGAGTG |
| IL-6 | GACAAAGCCAGAGTCCTTCAGA | TGTGACTCCAGCTTATCTCTTGG |
| IL-10 | GTAGAAGTGATGCCCCAGGC | CACCTTGGTCTTGGAGCTTATT |
收集小鼠的粪便并保存于液氮中,利用1%琼脂糖凝胶电泳抽提基因组DNA。按指定测序区域,合成带有barcode的特异引物,并进行PCR扩增。在对PCR产物荧光定量后,将Illumina PE250测序得到的PE reads根据overlap关系进行拼接,对样品进行OTU聚类与物种注释,并进行差异分析。
1.5 代谢组学分析将冻存于液氮中粪便取出并在冰上融解,称取10 mg样本于1.5 mL EP管中,加入25 μL水并用氧化锆珠匀浆3 min,加入甲醇乙腈溶液提取代谢物,18 000 g离心20 min,将上清加入96孔板中,每孔加入20 μL衍生试剂,封板,并在30℃下衍生化60 min,加入50%甲醇350 μL稀释样本,在-20℃下静置20 min,并在4 000 g离心30 min,取135 μL上清液进行液相色谱质谱联合分析,将代谢结构鉴定物的数据处理后,进行多维统计分析,结合相关数据库选取潜在差异标志物,结合相关生物标志物,采用MetPA数据库构建代谢通路,对数据进行分析。
1.6 统计学方法采用SPSS 25.0软件进行统计分析,GraphPad Prism 8进行作图分析。符合正态分布的数据以均数±标准差(Mean±SD)表示,方差齐时采用成组t检验或单因素方差分析。非正态分布数据用中位数(四分位数)表示,采用秩和检验。以P<0.05为差异有统计学意义。
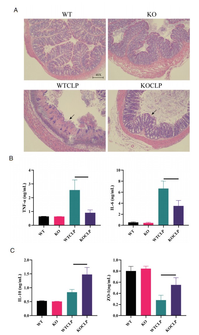
2 结果 2.1 Gpr174-/-小鼠脓毒症造模后肠道损伤减轻 2.1.1 Gpr174敲除减轻了脓毒症小鼠的肠道损伤生理情况下,WT组与KO小鼠肠道组织病理未见明显损伤,CLP造模3 d后,肠道组织病理切片显示,脓毒症野生小鼠肠道绒毛完整性与肠隐窝明显破坏,肠道上皮细胞与杯状细胞破坏并伴有淋巴细胞浸润。与WT+CLP小鼠相比,KO+CLP小鼠肠道检测病理提示肠道绒毛完整性较好,隐窝破坏减少,肠道上皮细胞与杯状细胞破坏较少(图 1A),肠道损伤相比于野生小鼠明显减轻。
|
| A: 四组小鼠肠道黏膜HE染色(箭头所示为肠道黏膜损伤);B: 四组小鼠肠道炎症因子TNF-α、IL-6、IL-10水平;C: 四组小鼠肠道紧密连接蛋白ZO-1表达水平 图 1 Gpr174敲除后改善脓毒症肠道损伤 Fig 1 Deletion of Gpr174 alleviated gut injuries in sepsis mice |
|
|
生理情况下,野生小鼠与Gpr174-/-小鼠肠道组织的细胞因子TNF-α、IL-6、IL-10表达并差异无统计学意义(P>0.05)。CLP造模3天后,WT组与KO组小鼠肠道组织促炎因子TNF-α与IL-6及抑炎因子IL-10表达水平较生理情况明显升高(P<0.05)。其中KO组小鼠促炎因子TNF-α与IL-6表达水平较野生鼠降低,而抑炎因子IL-10水平较野生鼠增高(P<0.05)(图 1B)。
2.1.3 Gpr174敲除减轻了CLP小鼠的肠道屏障破坏生理情况下,WT组与KO组小鼠肠道的紧密连接蛋白ZO-1水平并差异无统计学意义(P>0.05)。CLP造模3天后,两组小鼠ZO-1表达水平较生理水平明显降低,其中敲除鼠ZO-1表达较野生鼠显著增加(P<0.05)(图 1C)。
2.2 Gpr174KO组小鼠生理及脓毒症时肠道菌群组成变化 2.2.1 WT组与KO组小鼠生理及造模后菌群主成分分析主成分分析是通过比较样品之间的距离远近来反映不同微生物群落在物种多样性方面的相似度,距离越近,菌群相似度越高。主成分分析结果表明WT组与KO组小鼠在PCoA1 = 68.88%分为左右两个互不干扰的微生物群,在PCoA2 = 14.62%分为上下两个互不干扰的微生物群,表明这两组的肠道菌群组成具有差异,而WT+CLP组与KO+CLP组间的差异则明显减小,存在交叉现象(图 2A)。
|
| A: 四组小鼠肠道菌群PCA分析;B: 四组小鼠门水平上肠道菌群构成;C: WT组与KO组小鼠肠道差异肠道菌群分析;D: WT+CLP组与KO+CLP组造模三天后肠道差异菌群分析 图 2 WT鼠与KO鼠在生理与脓毒症时肠道菌群构成 Fig 2 Composition of gut microbiota between WT and KO mice in health and sepsis |
|
|
生理情况下,WT组与KO组小鼠的肠道菌群存在差异。在生物学分类为门水平,Gpr174KO组相比于WT组小鼠放线菌门的相对丰度上升(图 2B)。而在属水平上,KO组相比于WT组小鼠乳酸菌、拟杆菌、Barnesiella菌、理研菌的相对丰度下降,而双歧杆菌、艾克曼菌、龈乳杆菌、与Allobaculum菌的相对丰度上升(P<0.05)(图 2C)。而CLP造模后,KO+CLP组相比于WT+CLP组小鼠瘤胃球菌与普雷沃氏菌的丰度升高(P<0.05)(图 2D)。
2.3 Gpr174-/-小鼠生理及脓毒症时肠道代谢组成变化 2.3.1 WT组与KO组小鼠生理及造模后代谢产物主成分分析如图 3A的主成分分析结果所示,生理状态下,在主坐标PCoA1 = 66.79%时WT组与KO组小鼠分为左右两个互不干扰的群落,PCoA1 = 25.30%时野生鼠与敲除鼠分为上下两个互不干扰的群落,表明野生鼠与敲除鼠粪便代谢网络存在显著差异,而WT+CLP组与KO+CLP组的代谢网络则存在交叉现象,差异明显减小。
|
| A: 四组小鼠肠道代谢产物PCA分析;B: WT组与KO组小鼠肠道差异代谢产物的代谢通路;C: WT组与KO组小鼠差异肠道代谢产物分析;D: WT+CLP组与KO+CLP组小鼠造模3 d后差异肠道代谢产物分析 图 3 WT鼠与KO鼠在生理与脓毒症时肠道代谢产物构成 Fig 3 Composition of gut metobolites between WT and KO mice in health and sepsis |
|
|
使用非靶向代谢组学分析肠道代谢产物,WT组与KO组小鼠共鉴定出24种差异代谢产物,而WT+CLP组与KO+CLP组小鼠共鉴定出13种差异代谢产物。WT组与KO组小鼠的粪便差异代谢标志物以氨基酸与短链脂肪酸为主,其中含量多且差异最显著的两种代谢产物分别为丙氨酸与丙酮二羟酸,并且WT组的含量均高于KO组(图 3C)。在脓毒症造模后,WT+CLP组与KO+CLP组小鼠相比,肠道差异代谢物甲基丙二酸含量明显下降,而左旋缬氨酸表达量上升(图 3D)。
2.3.3 代谢通路分析结果对野生鼠与敲除鼠肠道代谢标志物进行通路分析,筛选出差异最显著的前20条通路,发现野生鼠与敲除鼠所匹配的代谢通路包括丙氨酸循环、丙氨酸代谢、丙酸代谢、谷胱甘肽代谢、鸟氨酸循环、天冬氨酸穿梭、β-丙氨酸代谢、天冬氨酸代谢、亚麻酸与亚油酸代谢等信号通路(图 3B)。
3 讨论近期课题组研究发现Gpr174敲除能通过影响边缘B细胞与Treg细胞显著提高脓毒症小鼠的生存率[3-4]。本研究发现敲除鼠脓毒症造模后肠道损伤显著减轻,隐窝破坏减轻,杯状细胞数量明显多于野生鼠。脓毒症小鼠肠道组织的细胞因子表达谱发生变化,Gpr174敲除促炎因子TNF-α与IL-6的分泌量明显低于野生鼠,而抑炎因子IL-10则高于野生鼠。在脓毒症肠道损伤中,过强的免疫反应会加重肠道损伤,并且破坏肠道的屏障功能[6],并引起肠道紧密连接蛋白ZO-1的表达量下降。肠道的屏障功能与免疫反应与肠道微环境密切相关,为了探讨Gpr174敲除是否会改变肠道菌群与代谢物,分别在生理情况下与CLP造模后采集小鼠粪便进行微生物与非靶向代谢组学分析。
目前的研究已经表明脓毒症会导致肠道微生物组成改变,并且会加重多器官功能衰竭[7, 8]。脓毒症期间肠道菌群的多样性丧失,某个耐药菌或机会致病菌如梭状芽胞杆菌或肠球菌会不断分裂增殖并在肠道中占绝大多数,而一些在健康人肠道中的菌属如粪杆菌、普氏菌、瘤胃球菌等则会消失。有研究表明,肠道微生物组成的多样性越高,肠道稳态的弹性越高,越不容易受到破坏[9],而本研究结果也表明Gpr174敲除鼠的肠道菌群多样性远远多于野生鼠,丰富的肠道菌群网络能增强不同微生物群落的交互作用,艾克曼菌在敲除鼠中其丰度上升,在体外实验中,它能黏附肠道上皮细胞,增加肠道上皮完整性,巩固肠道屏障功能[10];此外,它还具有代谢肠道内毒素[11],参与肠道免疫调节并抑制炎症[12]。在CLP造模后,敲除鼠和野生鼠的差异菌群减少,可能是由于生理下肠道的益生菌在脓毒症时消耗,并无法适应已经改变的肠道微环境。
肠道代谢产物是一种具有类似激素功能的化合物,由肠道菌群大量分解代谢产生,能够进入间质组织及血液循环,作用于不同组织器官并发挥相应作用。其中短链脂肪酸作为代谢产物重要的组成部分,是肠道中碳水化合物和蛋白质经细菌发酵的主要产物。临床研究表明,与危重患者组相比,丙酸、乙酸、丁酸、异丁酸浓度均显著低于对照组[13]。产生短链脂肪酸的细菌包括双歧杆菌、丙酸杆菌、真杆菌、艾克曼菌、梭状芽胞杆菌和普雷沃特菌等,而双歧杆菌、龈乳杆菌及艾克曼菌的丰度在敲除鼠中均有上升[14],而能产生γ-氨基丁酸等抑制性神经递质的乳酸菌的丰度则有所下降[15]。在肠道代谢产物中,丁酸在KO组小鼠中的表达量略高于WT组小鼠,有研究表明短链脂肪酸能为肠道上皮细胞提供能量并促进细胞的增殖分化等,进而维持肠道屏障的完整性[16-17]。大量文献表明脓毒症不仅表现为多器官功能衰竭,同时存在着严重的氨基酸与糖代谢与线粒体功能紊乱。有研究表明脓毒症时机体的氧化磷酸化水平下降,猜测是由于线粒体氧化损伤所致,或是由于自噬等细胞保护途径增加而导致线粒体活性下降[18-19]。
G蛋白偶联受体与肠道菌群及代谢产物关系密切,其交互对话机制共同影响肠道稳态与炎症反应。在小鼠体内补充SCFAs能增加GPR43与GPR41的表达,同时会增加肠道菌群中拟杆菌门的比例,降低厚壁菌门的比例[20]。但Gpr174敲除影响小鼠肠道菌群和代谢物组成的机制尚未明确,需要进一步研究。
利益冲突 所有作者均声明不存在利益冲突。
| [1] | Haak BW, Wiersinga WJ. The role of the gut microbiota in sepsis[J]. Lancet Gastroenterol Hepatol, 2017, 2(2): 135-143. DOI:10.1016/S2468-1253(16)30119-4 |
| [2] | Rehman A, Baloch NU, Morrow JP, et al. Targeting of G-protein coupled receptors in sepsis[J]. Pharmacol Ther, 2020, 211: 107529. DOI:10.1016/j.pharmthera.2020.107529 |
| [3] | Zhu M, Li C, Song ZJ, et al. The increased marginal zone B cells attenuates early inflammatory responses during sepsis in Gpr174 deficient mice[J]. Int Immunopharmacol, 2020, 81: 106034. DOI:10.1016/j.intimp.2019.106034 |
| [4] | Qiu D, Chu X, Hua L, et al. Gpr174-deficient regulatory T cells decrease cytokine storm in septic mice[J]. Cell Death Dis, 2019, 10(3): 233. DOI:10.1038/s41419-019-1462-z |
| [5] | 王建李, 仇冬则, 胡延妍, 等. GPR174通过调控炎症反应影响汉族人群脓毒症的易感性[J]. 中华急诊医学杂志, 2020, 29(6): 815-819. DOI:10.3760/cma.j.issn.1671-0282.2020.06.015 |
| [6] | 赵鹏. 脓毒症与肠屏障功能关系的研究进展[J]. 国际儿科学杂志, 2019, 46(7): 516-518. DOI:10.3760/cma.j.issn.1673-4408.2019.07.014 |
| [7] | 颜骏, 蔡燕, 张清艳, 等. 脓毒症早期肠道菌群失调相关危险因素及其对预后的影响[J]. 中华危重症医学杂志(电子版), 2020, 13(5): 328-333. DOI:10.3877/cma.j.issn.1674-6880.2020.05.002 |
| [8] | Duan LW, Qu JL, Wan J, et al. Effects of viral infection and microbial diversity on patients with sepsis: a retrospective study based on metagenomic next-generation sequencing[J]. World J Emerg Med, 2021, 12(1): 29-35. DOI:10.5847/wjem.j.1920-8642.2021.01.005 |
| [9] | Cho I, Blaser MJ. The human microbiome: at the interface of health and disease[J]. Nat Rev Genet, 2012, 13(4): 260-270. DOI:10.1038/nrg3182 |
| [10] | Reunanen J, Kainulainen V, Huuskonen L, et al. Akkermansia muciniphila adheres to enterocytes and strengthens the integrity of the epithelial cell layer[J]. Appl Environ Microbiol, 2015, 81(11): 3655-3662. DOI:10.1128/aem.04050-14 |
| [11] | Lukovac S, Belzer C, Pellis L, et al. Differential modulation by Akkermansia muciniphila and Faecalibacterium prausnitzii of host peripheral lipid metabolism and histone acetylation in mouse gut organoids[J]. mBio, 2014, 5(4): e01438-e01414. DOI:10.1128/mBio.01438-14 |
| [12] | Everard A, Belzer C, Geurts L, et al. Cross-talk between Akkermansia muciniphila and intestinal epithelium controls diet-induced obesity[J]. Proc Natl Acad Sci USA, 2013, 110(22): 9066-9071. DOI:10.1073/pnas.1219451110 |
| [13] | Valdés-Duque BE, Giraldo-Giraldo NA, Jaillier-Ramírez AM, et al. Stool short-chain fatty acids in critically ill patients with Sepsis[J]. J Am Coll Nutr, 2020, 39(8): 706-712. DOI:10.1080/07315724.2020.1727379 |
| [14] | MacFarlane GT, MacFarlane S. Bacteria, colonic fermentation, and gastrointestinal health[J]. J AOAC Int, 2012, 95(1): 50-60. DOI:10.5740/jaoacint.sge_macfarlane |
| [15] | Barrett E, Ross RP, O'Toole PW, et al. Γ-Aminobutyric acid production by culturable bacteria from the human intestine[J]. J Appl Microbiol, 2012, 113(2): 411-417. DOI:10.1111/j.1365-2672.2012.05344.x |
| [16] | Takahashi K, Nishida A, Fujimoto T, et al. Reduced abundance of butyrate-producing bacteria species in the fecal microbial community in Crohn's disease[J]. Digestion, 2016, 93(1): 59-65. DOI:10.1159/000441768 |
| [17] | Macia L, Tan J, Vieira AT, et al. Metabolite-sensing receptors GPR43 and GPR109A facilitate dietary fibre-induced gut homeostasis through regulation of the inflammasome[J]. Nat Commun, 2015, 6: 6734. DOI:10.1038/ncomms7734 |
| [18] | Carré JE, Singer M. Cellular energetic metabolism in sepsis: the need for a systems approach[J]. Biochim Biophys Acta, 2008, 1777(7/8): 763-771. DOI:10.1016/j.bbabio.2008.04.024 |
| [19] | Crouser ED, Julian MW, Huff JE, et al. Carbamoyl phosphate synthase-1: a marker of mitochondrial damage and depletion in the liver during sepsis[J]. Crit Care Med, 2006, 34(9): 2439-2446. DOI:10.1097/01.CCM.0000230240.02216.21 |
| [20] | Sivaprakasam S, Prasad PD, Singh N. Benefits of short-chain fatty acids and their receptors in inflammation and carcinogenesis[J]. Pharmacol Ther, 2016, 164: 144-151. DOI:10.1016/j.pharmthera.2016.04.007 |
2021, Vol. 30



