马尔尼菲篮状菌(Talaromyces maneffei, TM),2011年之前曾称为马尔尼菲青霉菌(Penicilliosis marneffei, PM),是一种条件致病菌。十几年前多在HIV阳性的人群中发病。但是目前HIV阴性的发病率不断增多,与免疫抑制剂的广泛的应用、器官移植等有关[1]。
1 资料与方法患者,女性,55岁,广东省佛山市高明县人,务农,家庭和睦。2019年3月开始出现反复发热,体温约38℃,伴背痛及前额痛,午后及发热时疼痛加重,这种现象持续了3月余。期间曾于当地三甲医院就诊,检查结果示C反应蛋白及血沉增高,EB病毒衣壳抗原IgA+。肺部CT提示肺内多发小结节,炎症病灶与转移灶鉴别。EB病毒DNA阳性,HIV阴性考虑EB病毒感染,但不除外肿瘤,予伐昔洛韦治疗。治疗1周后患者发热次数减少。再行肺部增强CT提示:双肺散在少许片状模糊影,纵膈及肺门淋巴结肿大。考虑感染治疗加用莫西沙星400 mg/d静滴5 d。患者仍有发热反复发作,病情无改善,带药出院。
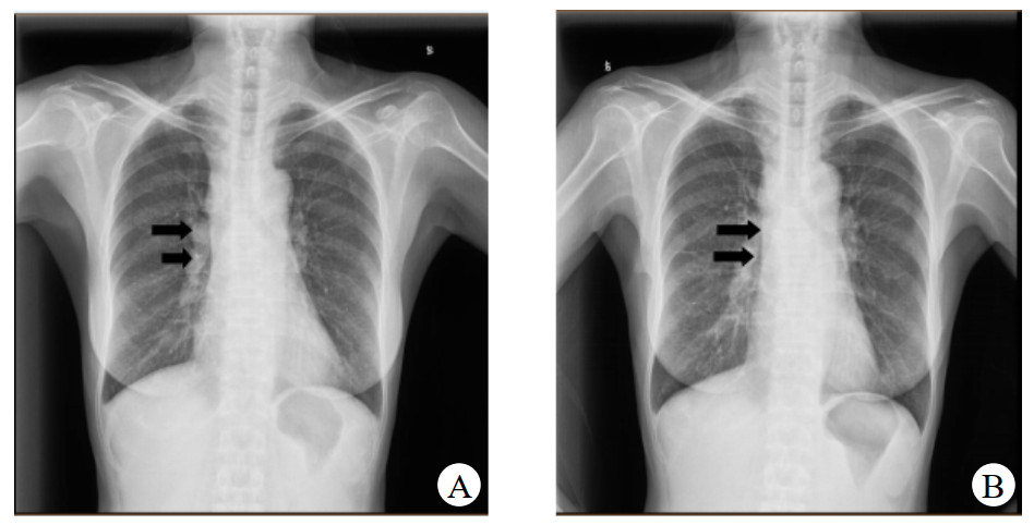
患者于2019-06-17因发热及头痛等不适来本院诊治。查体:体温38.5℃, 心率96次/min,呼吸20次/min,血压132/92 mmHg(1 mmHg=0.133 kPa)。结合症状及既往就诊经历,诊断考虑:发热查因;肺门淋巴结肿大。鉴别诊断:肺结核、淋巴瘤、结节病。同时患者外周血白细胞(WBC)及降钙素原(PCT)升高,不排除细菌感染, 予莫西沙星400 mg治疗5 d, 并在应用抗生素前留取病原学标本。期间行经气管镜超声引导针吸活检术(endobronchial ultrasound-guided transbronchial needlle aspiration, EBUS-TBNA),但无阳性结果。入院后所行的PET-CT提示肿大淋巴结考虑淋巴瘤。双肺小结节,考虑炎性肉芽肿。骨穿无异常结果, 以“肉芽肿(纵膈淋巴结)”为主要诊断出院。图 1为入院后两次胸部平片影像检查结果,可见右肺门影增浓。
|
| A:2019-07-15检查;B:2019-08-27检查 图 1 CT检查示右肺门影改变 |
|
|
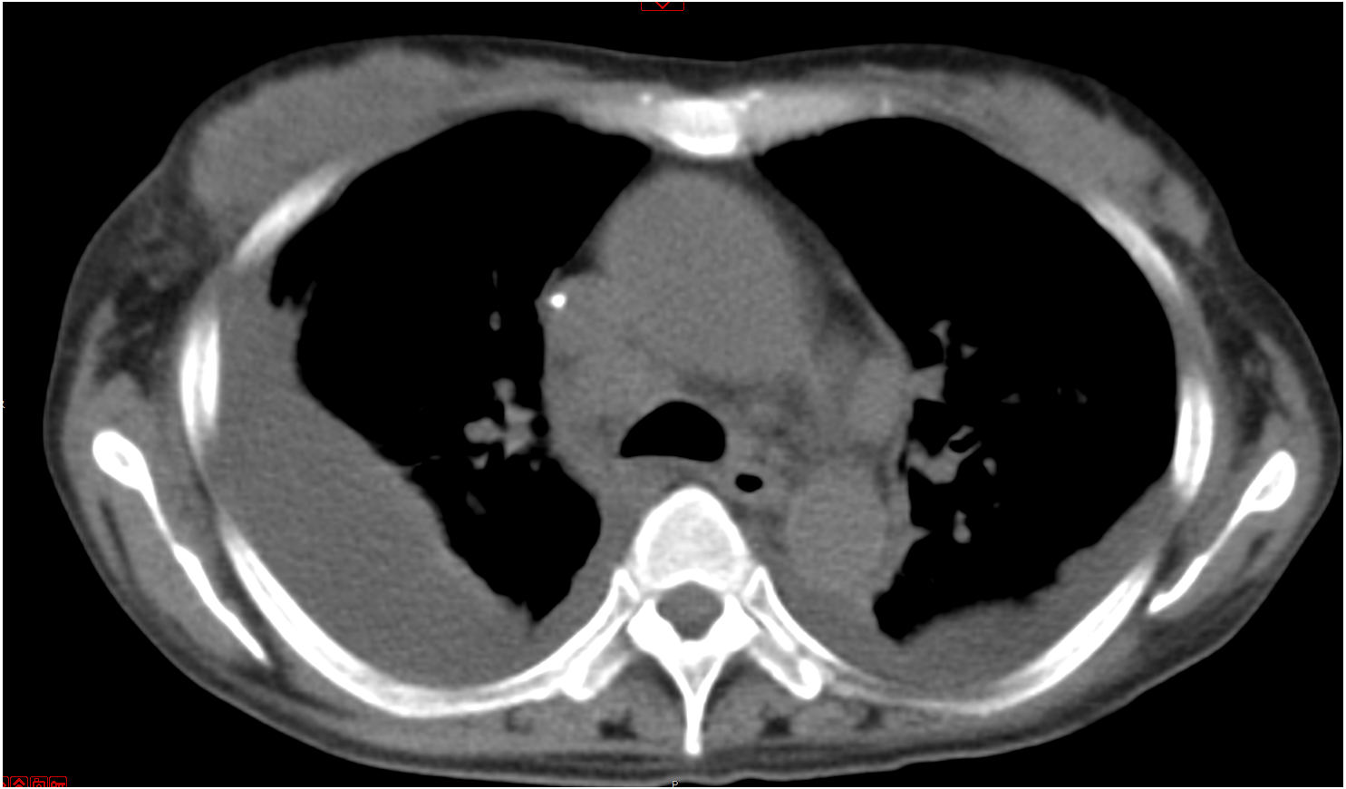
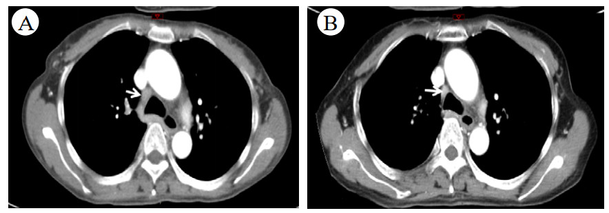
后再因“反复发热、多关节痛7月、皮疹3月”于2019-09-17入住本院风湿科。入院当天体温36.5℃,心率106次/min,呼吸20次/min,血压118/75 mmHg。步态正常,自主体位。左颈部肿大淋巴结。四肢和背部可见紫癜样皮疹,按压部分褪色,伴抓痕。腹软,肝脾未及。图 2为2019-09-21胸部CT结果,箭头所指为肿大淋巴结。
|
| 图 2 胸部CT示纵膈淋巴结改变 |
|
|
结合患者的症状及辅助检查的结果,诊断为结节病,予激素联合雷公藤治疗。予甲泼尼龙片8 mg每日3次,及雷公藤多苷片20 mg每日2次口服两月余。
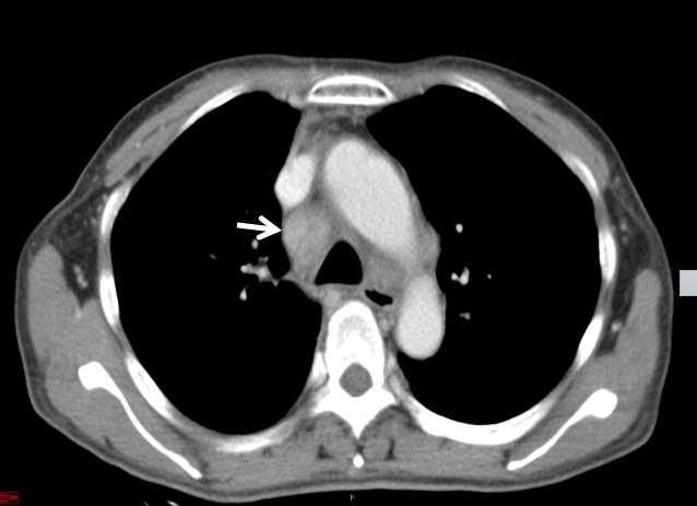
经过上述激素联合免疫抑制剂方案治疗,患者病情无改善,再次出现“发热、咳嗽”加重而就诊于当地医院,考虑肺部感染予泰能及莫西沙星静滴治疗11 d,效果欠佳并加重,鼻导管吸氧下动脉血氧饱和度仅及92%左右,故于2020-01-17转入本院ICU二科进一步诊治。入室时神志清晰,检查合作,浅表淋巴结未触及,腹软,上腹压痛。入室检查:血常规WBC 6.09×109,RBC 3.94×1012,Hb 107 g/L, PLT 33×109。总蛋白51.4 g/L,白蛋白24.16 g/L,总胆红素43 g/L,丙氨酸氨基转移酶339 U/L,门冬氨酸氨基转移酶191 U/L,肌酐34.87 umol/L,胆碱酯酶1346 U/L,降钙素原3.28 ng/mL,C反应蛋白193.5 mg/L,免疫指标阴性。D-DII 18 240 ng/mL,PT 17.1 s,APTT 42.8 s,FIB 5.08 g/L。CD4/CD8 > 1.25∶1。胸部CT示双肺间质广泛增厚并见多发斑片影,双肺肺门及纵隔见增大淋巴结,较图 2中影像增大、部分融合,见图 3。
|
| 图 3 2020-01-18 CT检查影像示纵膈的改变 |
|
|
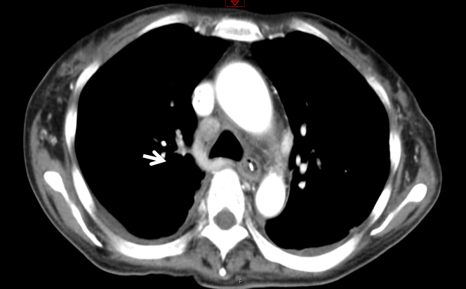
入室诊断:发热查因:结节病?腹膜炎,肺部感染。处理措施包括应用抗生素前行病原学检查;暂予泰能及替考拉宁抗感染,并加强支持治疗。但病情改善不明显。入院第4天(2020-01-21)收到血及腹水培养结果:马尔尼菲篮状菌。修正诊断:马尔尼菲篮状菌感染;肺部感染;腹腔感染;肝功能损伤;胸腔积液;腹腔积液。立即给予两性霉素B治疗。首剂15 mg, 每日增加5 mg, 第4日30 mg, 同时患者热退,胸腹腔积液减少,肝功能好转,凝血功能紊乱纠正,PLT稳步提高。2020-01-31转到呼吸科进一步治疗,两性霉素B疗程满2周,累计量480 mg后序贯伊曲康唑口服治疗,治疗12 d后纵膈淋巴结缩小,患者痊愈出院,出院前CT检查见图 4,WBC等指标变化见图 5。
|
| 图 4 出院前2020-02-03 CT检查影像示纵膈变化 |
|
|
|
| 图 5 诊治过程中WBC、PLT、PCT、CRP变化趋势 |
|
|
于2022-08-31进行电话随访,患者目前无发热及头痛。遵医嘱定期门诊复诊,初期服用伊曲康唑口服液半年余,即停药至今。无不适。出院后随访肺部CT见图 6。
|
| A:2020-06-29检查;B:2020-10-28 图 6 出院后CT检查影像示纵膈改变 |
|
|
马尔尼菲篮状菌病是由TM引起的一种系统性真菌病。TM是可以随温度变化而变化的双向型真菌,在自然界的分布主要在土壤,也可以在水中存活。TM主要分布于东南亚国家以及我国南方,气候特点温暖、潮湿、适合竹林和甘蔗生长,利于竹鼠生存。竹鼠是自然宿主及传染源,当竹鼠体温37℃,TM为酵母相,有致病性,无传染性。当病原体排泄到外界温度25℃且潮湿的条件下,TM转变为菌丝相,有传染性,可通过吸入和皮肤感染。TM的致病力强,可导致普通健康人群发病。免疫力正常人群感染后部分表现为定植而后清除;部分表现为局限感染,临床特征主要包括发热、体重减轻、皮肤和软组织病变、肝脾大,淋巴结肿大。肺部受累时主要表现为纵隔和肺门淋巴结肿大等[2]。局限TM感染的表现没有特异性,未有病原学依据前与其它发热、淋巴结肿大、结节病等疾病较难区分。免疫力低下的人群表现为定植后进一步感染或潜伏感染而再活化。
TM感染最初在HIV阳性患者中得到重视[3],一项6, 956例的回顾性研究发现艾滋病患者TM感染率约为15.6%[4]。但近年来,HIV阴性患者合并马尔尼菲篮状菌感染的报道越来越多,主要与具有抗IFN-ʏ自身抗体、系统性皮质类固醇治疗者、免疫抑制剂治疗者、器官移植受者和自身免疫性疾病患者TM感染发病率高有关。TM感染的流行区域主要在东南亚各国,以及中国南部(主要为广东、广西和江西的农村、香港和台湾地区)。其他各区域均有散发病例,非流行区的病例与到过流行地区有关[5]。TM可在巨噬细胞中增殖并通过网状内皮系统进行播散,感染者表现多个系统器官被侵犯,特别是血液、骨髓、皮肤、肝脏、脾脏、淋巴结及肺部,中枢神经系统也可累及。细胞免疫缺陷的患者发生TM感染的风险更高。本病是一种多发性脓肿、慢性肉芽肿或坏死性炎症反应性真菌病。TM感染的严重程度跟宿主的免疫状态的不同而异。感染分为局限型及播散型。局限型多表现为局限性的皮下结节、皮下脓肿或淋巴结肿大,多见于免疫功能健全者。播散型累及两个或以上器官系统,是最常见的类型。Kawila等报道,HIV阴性马尔尼菲篮状菌感染患者病死率高达29.4%,可能与TM感染早期诊断难度大有关。由于马尔尼菲篮状菌感染缺乏特异性的临床表现,极易误诊。从血中或其它标本中分离出马尔尼菲篮状菌或用组织病理学检查证实马尔尼菲篮状菌的存在是确诊的依据。骨髓和淋巴结培养的阳性率最高(100%),其次是皮肤组织(90%)和血液(76%)。临床上一旦怀疑此病应尽早进行真菌培养和病理组织活检。要注意与结核病、隐球菌病及组织胞浆菌病等进行鉴别。掌握HIV阴性患者发生TM感染的相关临床表现有助于提高临床医生对高危患者的临床诊断能力。早期对于局限性和轻中度播散性TM感染的治疗首选伊曲康唑或氟康唑;严重的播散性感染首选两性霉素B和伊曲康唑。美国疾病控制中心建议对于重度播散性TM感染者予以两性霉素B 0.6 mg/(kg·d)治疗两周,然后再改用伊曲康唑400 mg/d口服维持抗真菌治疗10周[6]。
结节病是一种在病理学表现为非干酪样坏死、类上皮细胞与肉芽肿性炎症并存的系统性疾病,可累及全身各系统器官,多累及纵膈,约90%以上的患者仅仅累及胸内淋巴结及肺组织[7],具体病因尚不明确,与感染、化学、遗传、免疫等因素有关。结节病肉芽肿的典型特征为非干酪上皮样细胞肉芽肿,由高度分化的单核吞噬细胞和淋巴细胞组成。病理组织学为最终诊断治疗的依据。结节病并不多见,国内有学者做过调查,误诊率为63.2%[8]。有研究发现女性结节病患者年龄有两个高峰,分别是在25~29岁和65~69岁[9]。结节病的临床表现有低热、乏力、盗汗、食欲减退、体重下降等,影像学可表现为结节影、磨玻璃影、斑片影、实变影、肺间质病变、胸腔积液、胸膜增厚、心包积液、纵隔淋巴结肿大等,缺乏特异性,极易与其它肺部疾病误诊,如肺癌,淋巴瘤,肺结核等[10-11]。局限型马尔尼菲蓝状菌感染与结节病感染症状相类似,如无病理学或细菌学证据,二者极易混淆[12]。结节病治疗首选口服糖皮质激素,口服激素可减轻呼吸道症状,改善影像学表现及肺功能。但是停止治疗后常见病情反复。这一反复特点与罹患TM感染病情反复发作相似。
该患者病初,肺部CT提示肺内多发小结节,临床诊断病毒感染,但抗病毒治疗无效。复查CT示纵膈及肺门淋巴结肿大,考虑感染性疾病予莫西沙星治疗无效后来本院。诊断发热查因:肺门淋巴结肿大。鉴别诊断:肺结核、结节病。发热伴淋巴结肿大,PET-CT又提示淋巴瘤。但是患者没有明显的周期性发热、盗汗和体重减轻,且骨髓、淋巴结活检等检查不支持淋巴瘤的诊断。TM感染及淋巴结肿大,肺部有结节,与结节病很难鉴别。病理组织学为最终诊断治疗的依据。该患曾行经气管镜超声引导针吸活检术,未见阳性结果。三个月后,再来本院,诊断结节病并予激素及雷公藤治疗,病情未见好转反而出现多器官功能损伤。早期被误诊的原因考虑:病初仅表现为发热、淋巴结肿大等,无特异性;初期培养和活检都没有发现病原菌;病情反复发作,干扰疾病诊断,最终在血培养中发现了TM菌,并给予针对性治疗,从而获得治愈。从这个病例要认真吸取教训,当患者出现发热,淋巴结肿大等状况,对于诊断比较棘手时,要尽早了解患者的居住环境及旅游史、流行病学特点。关注其免疫功能,特别是细胞免疫功能,即CD4, CD8的绝对值和比值。要反复行病原学检查,必要时行病理检查。对该病的重视及越来越多的新技术以例如NGS(Next-generation sequencing technology)的开展,可以帮助早期发现致病菌,就可以早诊断早治疗,改善患者预后。
利益冲突 所有作者声明无利益冲突
| [1] | Lee PP, Mao HW, Yang WL, et al. Penicillium maneffei Infection and impairedIFN-r immunity in humans with auto som-dominan gain-of-phosphorylation STAT1 mutatins[J]. J Allergy Clin Immunol, 2014, 133(3): 894-896.e5. DOI:10.1016/j.jaci.2013.08.051 |
| [2] | Lannuzzi MC, Rybicki BA, Teirstein AS. Sarcoidosis[J]. N Engl Med, 2007, 357(21): 2153-2165. DOI:10.1056/NEJMra071714 |
| [3] | Chen Zhao-Ming, li Zheng-TU, Li Shao-Qing, et al. Clinical findings of Talaromyces marneffei infection among patients with anti-interferony immunodeficiency: a prospective cohor study[J]. BMC Infectious Diseases, 2021, 21: 587. DOI:10.1186/s12879-021-06255-9 |
| [4] | Hart J, Dyer JR, Clark BM, et al. Travel-related disseminated Pencillium marneffei infection in a renal transplant patient[J]. Transpl Infect Dis, 2012, 14(4): 434-439. DOI:10.1111/j.1399-3062.2011.00700.x |
| [5] | 覃江龙, 秦英梅, 卢亦波, 等. 广西艾滋病玛尔尼菲篮状菌机会性感染的流行病学调查[J]. 中国热带医学, 2019, 19(9): 896-899. DOI:10.13604/j.cnki.46-1064/r.2019.09.21 |
| [6] | Kawila R, Chaiwarith R, Supparatpinyo K. Clinical and laboratory characteristics of penicilliosis marneffei among patients with and without HIV infection in NorthernThailand: a retrospective study[J]. BMC Infect Dis, 2013, 13: 464. DOI:10.1186/1471-2334-13-464 |
| [7] | Chan JF, Lau SK, Yuen KY, et al. Talaromyces(Penicillium) marneffei infection in non-HIV-infected patients[J]. Emerg Microbes Infect, 2016, 5: e19. DOI:10.1038/emi.2016.18 |
| [8] | 王洪武, 李庆里, 朱元珏. 近20年我国结节病临床与研究现状[J]. 海军总医院学报, 2002, 15(1): 30-40. DOI:10.3969/j.issn.1009-3427.2002.01.011 |
| [9] | Milman N, Selroos O. Pulmonary sarcoidosis in the Nordic countries 1950-1982:epidemiology and clinical picture[J]. Sarcoidosis, 1990, 7(1): 50-57. |
| [10] | Qiu Y, Zhang JQ, Liu GN, et al. Retrospective analysis of 14 cases of disseminated Penicillium marneffei infection with osteolytic lesions[J]. BMC Infect Dis, 2015, 15: 47. DOI:10.1186/s12879-015-0782-6 |
| [11] | Si Z, Qiao J. Talaromyces marneffei Infection[J]. N Engl J Med, 2017, 377(26): 2580. DOI:10.1056/NEJMicm170416410.1056/NEJMicm1704164 |
| [12] | Vanittanakom N, Cooper CJ, Fisher MC, et al. Pennicillium marneffei infection and recent advances in the epidemiology and molecular biology aspects[J]. Clin Microbiol Rev, 2006, 19(1): 95-110. DOI:10.1128/CMR.19.1.95-110.2006 |
2023, Vol. 32



