肝硬化是临床上常见的慢性进展性疾病,可以并发上消化道大出血,最常见的是食管胃底静脉曲张,出血早期病死率达30%,再发出血率47%~74%[1]。通过CT门静脉成像(CT portography,CTP)可以了解胃腔的液体残留、判断肝硬化严重程度、曲张静脉形状与走向以及是否存在门体分流等情况。急诊胃镜下处理是目前的首选方案[2-4],但是这类患者往往出血量大,胃腔内有大量血液甚至食物残留,确保生命体征平稳与气道保护,明确曲张静脉与自发性门体分流道的情况,有利于急诊胃镜下处理的开展。本院通过CT门静脉成像联合气道保护对肝硬化上消化道大出血进行急诊无痛胃镜处理,取得较好的效果,现回顾分析并总结如下。
1 资料与方法 1.1 一般资料本研究经浙江大学医学院附属第二医院人体研究伦理委员会审批通过,批准文号:(2022)伦审研第(1042)号。回顾分析2021年10月1日至2022年10月31日本院接诊入住急诊科肝硬化上消化道大出血患者52例。所有患者均符合《2018年欧洲肝病学会失代偿期肝硬化患者的管理临床实践指南》中肝硬化诊断标准[5]。患者年龄22~81岁,(38.13±12.52)岁。男性37例,女性15例。病因分布:乙型肝炎35例,丙型肝炎2例,自身免疫性肝病3例,酒精性肝病10例,不明原因2例。肝功能Child-push A级6例,Child-push B级16例Child-push C级30例。急性上消化道出血的Roekall再出血和死亡危险性评分:4分中危3例,≥5分高危49例。其中原发性肝癌11例,35例既往有食管胃底静脉曲张破裂出血史,外科断流+脾脏切除术史6例,TIPS术史1例,行内镜止血史16例。
1.2 纳入标准与排除标准纳入标准:①以呕血为首发症状就诊;②术前明确肝硬化,同时术前腹部CT检查明确存在食管、胃静脉曲张(合并或者单独);③年龄≥16岁。排除标准:①胃镜检查明确为非门高压性出血;②拒绝气管插管静脉麻醉内镜下治疗患者。
1.3 治疗方法入院后立即判断神志意识,监测血流动力学指标与生命体征,建立外周静脉通道,留置导尿,常规吸氧、禁食、补液、输红细胞等治疗,同时评估气道评估,常规使用质子泵抑制剂、生长抑素以及抗生素预防感染。对所有临床上考虑存在活动性出血患者,告知患者以及家属病情以及诊疗方法并在知情同意书上签字后,生命体征相对稳定后由医护人员护送行CTP检查,对于生命体征不稳定患者,在输红细胞纠正贫血后立即在麻醉后气管插管后行急诊无痛胃镜诊疗。
1.4 统计学方法采用SPSS 21.0统计软件对数据进行分析,计数资料以例数和百分比表示,多组间比较采用χ2检验。以P < 0.05为差异有统计学意义。
2 结果 2.1 CTP与胃镜表现CTP均提示有肝硬化,52均存在食管胃底静脉曲张,其中单纯食管静脉曲张12例,单纯胃静脉曲张6例,CTP提示食管静脉曲张造影剂外溢6例,与胃镜检查结果一致。胃镜考虑食管胃底静脉曲张(esophagogastric varices,EGV)破裂出血45例,其中食管静脉曲张发现出血或血栓头36例,距门齿28 cm以上2例,28~32 cm 13例,32 cm至齿状线21例,3个位置比较有显著性差异(P < 0.05),胃底静脉曲张发现出血或血栓头9例(其中食管胃底均发现出血或血栓头3例);门高压性胃病(portal hypertensive gastropathy,PHG)出血4例,消化性溃疡(peptic ulcer,PU)出血3例,其中胃溃疡出血2例,十二指肠球部溃疡出血2例。CT提示胃腔大量血液残留22例,16例在常规左侧卧位胃镜操作无法暴露出血病灶,由于有大量血凝块与食物残留,采用改变体位的方法暴露病灶后给予有效止血处理。(见图 1、图 2)。
|
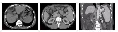
| 图 1 CTP显示矢状位、冠状位提示胃腔大量血液残留、存在门体分流 |
|
|
|
| 图 2 胃镜操作常规左侧卧位无法暴露出血病灶,采用改变体位的方法暴露病灶,金属夹有效限流后组织胶曲张静脉内栓塞止血 |
|
|
本次研究表明随着肝功能的恶化各病因出现上消化道出血有明显上升趋势。检查结果显示肝硬化患者出血Child-push A级最少(7.7%),Child-push B级与Child-push C级分别为32.7%、59.6%。不同肝功能之间出血原因比较χ2=3.87,P=0.21,差异无统计学意义(P > 0.05)。见表 1。
| Child-push分级 | 例数 | EGV | PHG | PU |
| A级 | 4(7.7) | 3(6.7) | 0(0) | 1(33.3) |
| B级 | 17(32.7) | 14(31.1) | 2(50) | 1(33.3) |
| C级 | 31(59.6) | 28(62.2) | 2(50) | 1(33.3) |
| 合计 | 52 | 45 | 4 | 3 |
对食管静脉曲张破裂出血给予套扎与硬化治疗,胃底曲张静脉予组织胶栓塞治疗,其中CT提示门体分流24例,其中胃底静脉曲张破裂出血存在门体分流7例,均予金属夹有效限流后组织胶曲张静脉内栓塞止血,术后行胸部、颅脑CT检查均未出现异位栓塞,也没有出现相关症状。门高压性胃病弥漫性出血给予去甲肾上腺素喷洒后出血停止,胃溃疡与十二指肠球部溃疡出血均予金属夹夹闭止血。
2.4 气道保护时机9例患者入院时生命体征不稳定,并出现反复呕血,均予输红细胞纠正贫血,在床边行麻醉后气管插管后行CT检查然后无痛内镜下处理,43例生命体征平稳,均予补液对症处理后送CT检查后内镜下处理。
2.5 气管插管与手术过程52例患者均在气管插管气道保护下进行胃镜下治疗,手术时间12~109 min,手术时间为(48.21±26.13) min,胃镜止血成功率100%。41例术后即拔除气管插管,11例术后送至ICU后拔管,插管时间56.0~110.2 h,插管时间为(136.46±38.61)min。患者术前术中以及拔管后均未发生误吸与窒息。
2.6 术后住院情况术后出现胸闷不适4例,检查心电图、心肌酶、肌钙蛋白均正常,继发胸水2例,补充白蛋白、利尿、对症处理后缓解;腹痛6例,考虑胃肠道痉挛,对症处理后缓解;发热13例,血、尿、粪便培养均阴性,考虑一过性菌血症,3 d后体温均恢复正常。黑便9例,考虑血液消化道残留,未予特别处理,自行停止。术后均给予PPI制酸,抗菌素预防感染治疗。住院时间3~11 d,(5.2±1.3) d,术后随访观察5 d,未发生再出血。
3 讨论肝硬化并发上消化道大出血患者往往病情进展快,胃镜下止血迅速、疗效确切,目前已经成为首选治疗措施[6],目前认为急诊胃镜(12 h内)干预可以减少EVB患者的再出血和病死率,可以降低肝硬化EVB住院患者病死率[7-8]。
此类患者行急诊胃镜较大风险,原因有:①由于患者入院时往往存在生命体征不稳定,存在缺氧,反应欠佳,胃镜操作极易出现误吸导致窒息;②患者大量呕血本身就存在误吸,此时胃镜操作刺激局部消化道黏膜,加重呕吐引起的窒息风险;③进入消化道后,存在大量食物残留患者血凝块,无法完全清除干净,视野差,无法暴露出血位置明确原因,给止血治疗带来操作困难。
本组肝硬化患者并发上消化道大出血的病因依次为食管胃底静脉曲张破裂出血,门高压性胃病;消化性溃疡,而且其中食管曲张静脉破裂出血以距门齿32 cm至齿状线最多,与文献报告的基本一致[9-10]。失代偿期肝硬化(Child-push B/C级)是GOV(食管胃静脉曲张)进展与出血的独立因子[11],本次研究显示肝硬化患者不同肝功能之间出血原因比较差异无统计学意义。
CTP对肝硬化患者并发上消化道大出血的评估十分重要,原因有:①急性EGVB出血时,食道或胃腔内往往有出血后聚集血凝块,此时会影响胃镜下观察的视野,且易因操作带来的不适引起返流致吸入性肺炎甚至窒息死亡,通过影像学检查发现胃腔内残留食物或者血液,在操作时及时改变体位,可以避免误吸、窒息等严重并发症发生。②临床上部分急性消化道出血在行胃镜检查时,无法找到明确出血病灶,此时若患者有肝硬化伴EGV病史,高度怀疑EGVB需行胃镜治疗,通过CTP评估后治疗安全性更高。③EGV走形复杂,容易形成各种交通支,治疗后易复发与再通,所以国内外根据血管走形进行分型,来决定胃镜的治疗方案,需要影像学评估行精准高效治疗。④如存在胃内曲张静脉与肾静脉、脾静脉与脾静脉相通等分流道,行组织胶或者硬化剂灌注治疗时,容易出现肠系膜栓塞、脑梗塞、脾梗塞,甚至出现肺栓塞等致死并发症,可以通过CTP明确血管分流情况[12]。⑤可以评估腹部动脉、门静脉、腔静脉是否存在血栓或者癌栓。⑥可以明确肝脏是否存在恶性肿瘤,从而决定胃镜干预的利弊风险。CTP在诊断EGV方面与胃镜有较好的相关性和一致性,CTPV诊断EBV的敏感度及特异度均达75%以上,两者对EBV诊断及分型、分级的一致性均较高[13-15]。临床上有部分肝硬化并发上消化道大出血患者并不是EGVB,对于没有急诊胃镜下止血条件的中心,药物控制效果欠佳的患者最好不要盲目进行三腔二囊管压迫止血,最好先行CTP检查明确是否存在静脉曲张。
通过CTP检查,可以初步评估胃腔内是否有食物或者血液残留,从而减少急诊胃镜操作的误吸风险。对肝硬化并发上消化道大出血患者随时会出现活动性出血,进行气道保护后胃镜操作很有必要[16]。气管插管后可防止胃镜操作过程中出现呕血引起误吸、窒息,防止肺部感染、肺不张等并发症的出现[17]。对于无法暴露病灶的患者可以在气管插管后及时改变体位,从而快速发现病灶进行处理。即使在术中出现意外心搏呼吸骤停等情况时,也可以为实施心肺复苏提供便利,而且能为胃镜下止血失败需要转运的患者提供转运安全保障[6]。本研究通过术前CTP检查,发现胃腔大量胃内容物与血凝块残留,无法暴露出血部位,改变体位后显著缩短了胃镜操作时间,术前充分评估了门体分流,术中及时精准给予金属夹限流处理,有效防止了异位栓塞。手术时间与术后拔管时间与同类文献报道比较明显缩短[16, 18]。
综上所述,对肝硬化上消化道大出血患者进行CTP检查可以初步判断胃腔内容物、曲张静脉情况以及是否存在门体分流现象,术前气管插管气道保护可以防止误吸、窒息的发生,为急诊胃镜下快速、安全、有效处理提供保障。
利益冲突 所有作者声明无利益冲突
作者贡献声明 韦炜:研究命题的提出、分析、设计;叶永琍:参与诊治过程的实施;蔡建庭:论文最终版本修订
| [1] | 徐昕, 王邦茂, 邓宝茹, 等. 肝硬化并上消化道出血急诊胃镜诊治分析[J]. 中华消化内镜杂志, 2011, 28(4): 220-222. DOI:10.3760/cma.j.issn.1007-5232.2011.04.017 |
| [2] | Hwang JH, Shergill AK, Acosta RD, et al. The role of endoscopy in the management of variceal hemorrhage[J]. Gastrointest Endosc, 2014, 80(2): 221-227. DOI:10.1016/j.gie.2013.07.023 |
| [3] | 中华医学会外科学分会脾及门静脉高压外科学组. 肝硬化门静脉高压症食管、胃底静脉曲张破裂出血诊治专家共识(2019版)[J]. 中华外科杂志, 2019, 57(12): 885-892. DOI:10.3760/cma.j.issn.0529-5815.2019.12.002 |
| [4] | 中华医学会肝病学分会, 中华医学会消化病学分会, 中华医学会消化内镜学分会. 肝硬化门静脉高压食管胃静脉曲张出血的防治指南[J]. 中华内科杂志, 2016, 55(1): 7-22. DOI:10.3760/cma.j.issn.0578-1426.2016.01.015 |
| [5] | European Association for the Study of the Liver Electronic address: easloffice@easloffice eu, European Association for the Study of the Liver. EASL Clinical Practice Guidelines for the management of patients with decompensated cirrhosis[J]. J Hepatol, 2018, 69(2): 406-460. DOI:10.1016/j.jhep.2018.03.024 |
| [6] | 池锐彬, 刘力新, 简志刚. 早期气道保护在床旁胃镜诊治上消化道大出血的临床价值[J]. 中华急诊医学杂志, 2012, 21(6): 659-660. DOI:10.3760/cma.j.issn.1671-0282.2012.06.026 |
| [7] | Chen PH, Chen WC, Hou MC, et al. Delayed endoscopy increases re-bleeding and mortality in patients with hematemesis and active esophageal variceal bleeding: a cohort study[J]. J Hepatol, 2012, 57(6): 1207-1213. DOI:10.1016/j.jhep.2012.07.038 |
| [8] | Lau JYW, Yu YY, Tang RSY, et al. Timing of endoscopy for acute upper gastrointestinal bleeding[J]. N Engl J Med, 2020, 382(14): 1299-1308. DOI:10.1056/NEJMoa1912484 |
| [9] | 闫巍中, 刘艳秋. 肝硬化合并糖尿病患者上消化道出血经内镜套扎治疗后再出血的临床研究[J]. 吉林医学, 2016, 37(3): 683-684. DOI:10.3969/j.issn.1004-0412.2016.03.088 |
| [10] | 付来琳, 申少华, 刘迎娣, 等. 食管静脉曲张大出血与血栓头位置的临床分析[J]. 中华消化内镜杂志, 2018, 35(6): 396-399. DOI:10.3760/cma.j.issn.1007-5232.2018.06.004 |
| [11] | 李磊, 张世斌, 张月宁, 等. 消化内镜在门静脉高压症相关食管胃静脉曲张出血全程管理中的应用与地位[J]. 中华肝脏病杂志, 2020, 28(9): 732-736. DOI:10.3760/cma.j.cn501113-20200602-00287 |
| [12] | 马佳丽, 陈旭, 洪珊, 等. 金属夹联合组织胶注射治疗胃静脉曲张伴自发性门体分流的临床研究(含视频)[J]. 中华消化内镜杂志, 2020, 37(2): 111-114. DOI:10.3760/cma.j.issn.1007-5232.2020.02.007 |
| [13] | Kondo T, Maruyama H, Sekimoto T, et al. Influence of paraumbilical vein patency on the portal hemodynamics of patients with cirrhosis[J]. J Clin Gastroenterol, 2014, 48(2): 178-183. DOI:10.1097/mcg.0b013e3182a46d84 |
| [14] | Bott E, O'Donnell C, Burke M. Post mortem CT demonstration of hemoperitoneum caused by rupture of a paraumbilical vein into a paraumbilical hernia in a man with liver cirrhosis and portal hypertension[J]. Forensic Sci Med Pathol, 2013, 9(1): 77-81. DOI:10.1007/s12024-012-9384-4 |
| [15] | 霍红, 吴贵恺, 刘国祥, 等. 无痛胃镜下序贯治疗食管胃底静脉曲张的疗效与安全性评价[J]. 中华消化病与影像杂志(电子版), 2012, 2(5): 5-8. DOI:10.3877/cma.j.issn.2095-2015.2012.05.002 |
| [16] | 赵蕊, 张丽瑶, 吴云海, 等. 45例多学科协作抢救急性上消化道大出血患者的临床分析[J]. 中华急诊医学杂志, 2014, 23(11): 1268-1270. DOI:10.3760/cma.j.issn.1671-0282.2014.11.019 |
| [17] | Franco MC, Gomes GF, Nakao FS, et al. Efficacy and safety of endoscopic prophylactic treatment with undiluted cyanoacrylate for gastric varices[J]. World J Gastrointest Endosc, 2014, 6(6): 254-259. DOI:10.4253/wjge.v6.i6.254 |
| [18] | 王晓梅, 赵蕊, 吴云海, 等. 早期限制性液体复苏联合无痛胃镜治疗肝硬化上消化道大出血临床分析[J]. 传染病信息, 2015, 28(5): 297-300. DOI:10.3969/j.issn.1007-8134.2015.05.010 |
2023, Vol. 32



