心脏内异物临床少见,通过外周静脉移动至心脏内的异物更是罕见[1-2]。本文报道了1例一枚金属异物从左前臂刺入进而随静脉血流移动至右心室,并通过此病例对心脏内异物的临床诊治予以归纳总结。
1 资料与方法患者男性,17岁,因“左前臂异物8 h”于2022-05-23 21:25收住急诊抢救室。患者8 h前修车时敲打金属物品,小片金属飞溅至左前臂,伴少量出血,无麻木等不适主诉。后立即于当地医院就诊,X线示异物位置如图 1,当地医院建议转上级医院。上级医院再次行X线检查(图 2),后予以臂丛麻醉下行“左上肢清创+异物取出术”术中未见异物,术后复查X线,左上肢,左肩部以及左侧胸部未见异物,嘱立即转至本院。
|
| 图 1 外伤后第一次评估异物位置X光检查图像 |
|
|
|
| 图 2 外伤后第二次评估异物位置X光检查图像 |
|
|
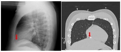
患者入院后无胸闷气促等不适主诉。入科查体:体温36.5 ℃,脉搏86次/min,呼吸频率16次/min,血压106/54 mmHg(1 mmHg=0.133 kPa),指尖氧饱和度99%~100%(未吸氧情况下),神清,瞳孔等大等圆,对光反射可,双肺呼吸音清,无明显干湿啰音,听诊心脏,律齐,无病理性杂音,左侧前臂近端及远端各一创面包扎,敷料干燥,未见明显渗出,左上肢肌力无法配合(考虑臂丛阻滞麻醉未完全恢复),余四肢肌力肌张力感觉无明显异常。立即完善相关检查(图 3、4),通过X线以及CT定位异物,超声评估异物在心脏中的活动情况及与心脏搏动时与瓣膜以及周围组织结构关系,可见异物在心脏内较固定,未影响瓣膜运动。同时血化验(动脉血气、感染指标、心肌酶谱、肌钙蛋白、D二聚体等)及心电图未见明显异常,请心胸外科会诊后建议暂予以抗炎保守对症处理。
|
| 图 3 外伤后第三次评估异物情况肺部CT检查图像 |
|
|
|
| 图 4 外伤后第三次评估异物情况心脏超声检查图像 |
|
|
第二天,患者转入心胸外科病房继续抗炎监测,患者住院期间生命体征平稳,无不适主诉,复查相关检查检验未见明显异常且异物无明显移位,1周后出院。出院后予以患者随访至今,患者随访期间无不适主诉(如发热、心悸、胸闷等),心脏超声下见异物位置较固定,无明显移位,对心脏的正常活动无影响。
2 讨论心脏金属异物少见,原因多为直接创伤[2-4]。外周血管迁移到心脏的异物罕见,多为医源性,且多由介入治疗导致[5]。此种情况下,异物可能随静脉血流进入右心或肺动脉。栓塞部位取决于患者体位、异物重量和形状。低流量状态和低血压更易造成栓塞[6-7]。从右心出发,异物可能进入肺动脉,或再从右心回到静脉系统,或最终被心内膜肌小梁或纤维组织包裹[8]。移动性的血管内异物可能会给医生评估创伤患者造成一定的干扰[9]。当异物从外周静脉进入右心并通过卵圆孔未闭到达左侧时,就会发生不常见的栓塞[9-10]。心脏异物的诊断应该在相关损伤后立即予以考虑,一部分没有症状的心脏异物可能在其他检查时偶然被发现。
2.1 临床表现心脏异物最常见的症状是呼吸困难和胸痛,也可无临床表现[11]。其并发症包括[11-13]:心包填塞、心脏破裂、心律失常、感染性心内膜炎、影响瓣膜活动、休克,严重时甚至导致患者死亡。一些患者主诉疼痛,但大多数患者没有症状[14-15]。在一些病例中,患者被诊断为心脏异物且保守治疗多年后出现相关症状[8, 16]。
2.2 辅助检查明确心脏内异物的位置需影像学辅助,同时用以指导手术方式以及入路。异物分为高密度异物和低密度。X线可帮助确定异物的位置[17-18];心脏超声较准确安全,其可实时观察异物位置,同时显示心脏结构及检查是否存在心脏继发性损伤[17]。与超声相比,CT可显示体积较小的异物,计算机断层扫描血管造影术在必要时可进一步协助甄别[19],核磁共振成像主要用于诊断非金属异物[19]。
2.3 治疗目前,心脏异物的诊治仍无标准化指南。在异物迁移到心脏的情况下,已经提出了几种治疗方法。如患者无不适主诉,可进行临床及X线随访[15, 20-23]。如患者有不适症状或异物直接威胁到心血管完整性,则行手术移除。手术方式包括胸廓切开术或胸骨切开术,伴或不伴体外循环[24-30]。Legras等[31]提出心脏异物的诊疗思路(图 5)。部分患者对心脏异物的存在感到焦虑,这也是手术的绝对指征[32-34]。Symbas等[8]认为腔内或部分嵌入心肌的异物,特别是左侧心腔,因感染或栓塞的风险而应移除。一些医源性的异物因涉及医疗法律纠纷,有时会影响手术或保守治疗的选择。
如决定手术,由于异物存在移动性,术中操作应轻柔,避免异物过多移动。对于手术方式以及是否使用体外循环的问题,综合多篇临床病例报道[35-37],总结如下:心脏异物探查和取出术,都应做好体外循环准备以防止术中出现血流动力学不稳或不能将异物完整取出的情况[18]。如异物质硬、位置较浅,可考虑直接取出异物。术中,若异物存在时间较久,则需注意炎症反应致周围组织坏死[18]。在有导管碎片的情况下应进行经皮切除作为初始治疗,不排除后续手术[38-39]。保守治疗需要定期随访、抗凝和抗生素预防[40]。
综上所述,本文报道了1例心脏异物中的罕见病例。当观察到心脏异物时,只有当异物小、固定、远离重要结构和无症状时,才能予以临床和放射学随访。当怀疑有任何危险情况,必须与心胸外科医生讨论是否手术去除。
利益冲突 所有作者声明无利益冲突
| [1] | Koirala B, Shrestha KR, Thapa B, et al. Migration of a piece of shrapnel: femoral vein to superior vena cava-azygous junction[J]. Eur J Cardiothorac Surg, 2012, 42(3): 584-586. DOI:10.1093/ejcts/ezs267 |
| [2] | Affronti A, di Bella I, Di Lazzaro D, et al. Cardiac tamponade caused by a migrating sewing needle[J]. J Cardiovasc Med, 2016, 17(Suppl 2): e136-e137. DOI:10.2459/JCM.0000000000000143 |
| [3] | Talwar S, Subramaniam KG, Subramanian A, et al. Sewing needle in the heart[J]. Asian Cardiovasc Thorac Ann, 2006, 14(1): 63-65. DOI:10.1177/021849230601400116 |
| [4] | Thanavaro KL, Shafi S, Roberts C, et al. An unusual presentation of chest pain: needle perforation of the right ventricle[J]. Heart Lung, 2013, 42(3): 218-220. DOI:10.1016/j.hrtlng.2013.02.002 |
| [5] | Bartel T, Müller S. To close or not to close an atrial septal defect in ischemic cardiomyopathy[J]. Catheter Cardiovasc Interv, 2013, 81(4): 651-653. DOI:10.1002/ccd.24547 |
| [6] | Gandhi SK, Marts BC, Mistry BM, et al. Selective management of embolized intracardiac missiles[J]. Ann Thorac Surg, 1996, 62(1): 290-292. DOI:10.1016/0003-4975(96)00097-5 |
| [7] | Shannon JJ Jr, Vo NM, Stanton PE Jr, et al. Peripheral arterial missile embolization: a case report and 22-year literature review[J]. J Vasc Surg, 1987, 5(5): 773-778. DOI:10.1016/0741-5214(87)90169-8 |
| [8] | Symbas PN, Picone AL, Hatcher CR, et al. Cardiac missiles. A review of the literature and personal experience[J]. Ann Surg, 1990, 211(5): 639-647. |
| [9] | Mattox KL, Beall AC Jr, Ennix CL, et al. Intravascular migratory bullets[J]. Am J Surg, 1979, 137(2): 192-195. DOI:10.1016/0002-9610(79)90143-0 |
| [10] | Crie JS, Hajar R, Folger G. Umbilical catheter masquerading at echocardiography as a left atrial mass[J]. Clin Cardiol, 1989, 12(12): 728-730. DOI:10.1002/clc.4960121212 |
| [11] | 易渝佳, 卢一品, 刘宏生. 心脏医源性异物1例报告[J]. 老年医学研究, 2020, 1(2): 40-41. DOI:10.3969/j.issn.2096-9058.2020.02.011 |
| [12] | Supomo, Darmawan H. An unusual foreign body in the heart: a case report[J]. Ann Thorac Cardiovasc Surg, 2018, 24(4): 205-207. DOI:10.5761/atcs.cr.17-00117 |
| [13] | Mahadeva S, Cohen A, Bellamy M. The stuck central venous catheter: beware of potential hazards[J]. Br J Anaesth, 2002, 89(4): 650-652. DOI:10.1093/bja/aef239 |
| [14] | Leonardi F, Rivera F. Intravascular migration of a broken cerclage wire into the left heart[J]. Orthopedics, 2014, 37(10): e932-e935. DOI:10.3928/01477447-20140924-90 |
| [15] | Marcello P, García-Bordes L, Méndez López JM. Peripheral venous embolized intracardiac foreign body[J]. Interact CardioVasc Thorac Surg, 2009, 9(6): 1043-1044. DOI:10.1510/icvts.2009.213579 |
| [16] | Actis Dato GM, Aidala E, Zattera GF. Foreign bodies in the heart: surgical or medical therapy?[J]. Ann Thorac Surg, 1999, 68(1): 291-292. DOI:10.1016/s0003-4975(99)00384-7 |
| [17] | Perrotta S, Perrotta A, Lentini S. In patients with cardiac injuries caused by sewing needles is the surgical approach the recommended treatment?[J]. Interact Cardiovasc Thorac Surg, 2010, 10(5): 783-792. DOI:10.1510/icvts.2009.226167 |
| [18] | 何佳林, 胡选义, 陈黔苏, 等. 特殊移位迟发性心脏异物一例及治疗体会[J]. 中华危重症医学杂志(电子版), 2020, 13(1): 70-71. DOI:10.3877/cma.j.issn.1674-6880.2020.01.015 |
| [19] | Akpinar I, Sayin MR, Karabag T, et al. An asymptomatic needle in the left ventricular anterolateral wall: a prison inmate's strange radio antenna[J]. Echocardiography, 2012, 29(8): E179-E181. DOI:10.1111/j.1540-8175.2012.01756.x |
| [20] | Nettles JL, Linscheid RL. Sternoclavicular dislocations[J]. J Trauma, 1968, 8(2): 158-164. DOI:10.1097/00005373-196803000-00004 |
| [21] | Salvatore JE. 6 sternoclavicular joint dislocation[J]. Clin Orthop Relat Res, 1968, 58: 51-56. DOI:10.1097/00003086-196805000-00008 |
| [22] | Freund E, Nachman R, Gips H, et al. Migration of a Kirschner wire used in the fixation of a subcapital humeral fracture, causing cardiac tamponade: case report and review of literature[J]. Am J Forensic Med Pathol, 2007, 28(2): 155-156. DOI:10.1097/PAF.0b013e31806195a1 |
| [23] | Gschwind CR. The intravenous foreign body: a report of 2 cases[J]. J Hand Surg, 2002, 27(2): 350-354. DOI:10.1053/jhsu.2002.31148 |
| [24] | Medved I, Simic O, Bralic M, et al. Chronic heart perforation with 13.5 cm long Kirschner wire without pericardial tamponade: an unusual sequelae after shoulder fracture[J]. Ann Thorac Surg, 2006, 81(5): 1895-1897. DOI:10.1016/j.athoracsur.2005.06.061 |
| [25] | Tan L, Sun DH, Yu TC, et al. Death due to intra-aortic migration of kirschner wire from the clavicle: a case report and review of the literature[J]. Medicine, 2016, 95(21): e3741. DOI:10.1097/MD.0000000000003741 |
| [26] | Hédon C, Khoueiry Z, Verges M, et al. Late intracardiac orthopedic wire migration presenting as tamponade and stroke[J]. Eur Heart J, 2015, 36(24): 1546. DOI:10.1093/eurheartj/ehu416 |
| [27] | Anić D, Brida V, Jelić I, et al. The cardiac migration of a Kirschner wire. A case report[J]. Tex Heart Inst J, 1997, 24(4): 359-361. |
| [28] | Haapaniemi TA, Hermansson US. Cardiac arrhythmia caused by a Kirschner wire inside the heart. An unusual complication of finger osteosynthesis[J]. J Hand Surg Br, 1997, 22(3): 402-404. DOI:10.1016/s0266-7681(97)80412-3 |
| [29] | Goodsett JR, Pahl AC, Glaspy JN, et al. Kirschner wire embolization to the heart: an unusual cause of pericardial tamponade[J]. Chest, 1999, 115(1): 291-293. DOI:10.1378/chest.115.1.291 |
| [30] | Park SY, Kang JW, Yang DH, et al. Intracardiac migration of a Kirschner wire: case report and literature review[J]. Int J Cardiovasc Imaging, 2011, 27(Suppl 1): 85-88. DOI:10.1007/s10554-011-9977-0 |
| [31] | Legras A, Legras A, Berhouet J, et al. Guidelines for the discovery of an intracardiac foreign body through a case of metal tip migration to the right ventricle after Tibia osteosynthesis[J]. Int J Surg Case Rep, 2020: 1-4. DOI:10.31487/j.ijscr.2020.02.02 |
| [32] | Hasegawa J, Noguchi N, Yamasaki J, et al. Delayed cardiac tamponade and hemothorax induced by an acupuncture needle[J]. Cardiology, 1991, 78(1): 58-63. DOI:10.1159/000174766 |
| [33] | Morton JR, Reul GJ, Arbegast NR, et al. Bullet embolus to the right ventricle. Report of three cases[J]. Am J Surg, 1971, 122(5): 584-590. DOI:10.1016/0002-9610(71)90283-2 |
| [34] | Van Way CW. Intrathoracic and intravascular migratory foreign bodies[J]. Surg Clin North Am, 1989, 69(1): 125-133. DOI:10.1016/s0039-6109(16)44740-7 |
| [35] | Jiang CL, Gu TX, Wang C. Surgical treatment of posttraumatic foreign bodies in the heart or great vessels[J]. Chin Med J (Engl), 2006, 119(23): 2018-2020. DOI:10.1097/00029330-200612010-00013 |
| [36] | Dauphine C, Mckay C, De Virgilio C, et al. Selective use of cardiopulmonary bypass in trauma patients[J]. Am Surg, 2005, 71(1): 46-50. DOI:10.1177/000313480507100108 |
| [37] | Kumar R, Rana SS, Kumar S, et al. Management of accidental and iatrogenic foreign body injuries to heart- case series[J]. J Clin Diagn Res, 2017, 11(3): PE01-PE04. DOI:10.7860/JCDR/2017/23847.9336 |
| [38] | Best IM. Transfemoral extraction of an intracardiac bullet embolus[J]. Am Surg, 2001, 67(4): 361-363. DOI:10.1177/000313480106700413 |
| [39] | Pecirep DP, Hopkins HR. Removal of a bullet from the right heart using controlled embolization to a peripheral vein[J]. Ann Thorac Surg, 1994, 58(6): 1748-1750. DOI:10.1016/0003-4975(94)91677-2 |
| [40] | LeMaire SA, Wall MJ, Mattox KL. Needle embolus causing cardiac puncture and chronic constrictive pericarditis[J]. Ann Thorac Surg, 1998, 65(6): 1786-1787. DOI:10.1016/S0003-4975(98)00246-X |
2023, Vol. 32



