2. 浙江大学医学院附属邵逸夫医院普外科, 杭州 310016
急性结肠癌性肠梗阻是常见的急腹症之一,具有慢性起病、急性发作的特点[1]。在诊治过程中,亦经常会碰到其中一些患者会同时合并严重心血管疾病、肿瘤分期偏晚等情况。目前常规的治疗大多会选择进行急诊剖腹手术[2-3],从而对患者的机体创伤大、手术风险高、术后并发症多[4]。而结肠支架的联合应用可以使这些患者的急性肠梗阻症状得以暂时缓解,从而可以为这些患者术前合并症的处理、肿瘤降期以及后续实施微创手术等提供了有利的时间缓冲和充分的保证。本文通过介绍3例急性右侧结肠癌性肠梗阻患者的诊治经过,来分享联合结肠支架在急性右侧结肠癌性肠梗阻患者个体化治疗中的应用体会。
1 资料与方法病例1,患者女,72岁,2020年9月2日因“腹痛3 d”来本院急诊,拟“升结肠肿瘤伴肠梗阻”收住院。半月前因“胆囊结石”在当地医院行腹腔镜下胆囊切除术。本次入院查体:腹部膨隆,右下腹部压痛明显,轻度反跳痛。WBC13.3×109/L, N 84.0%。腹部增强CT提示升结肠管壁不规则增厚伴管腔狭窄,回盲部及远端回肠扩张明显(图 1)。肠镜检查:升结肠肿物,予取病理活检后,在肠道狭窄处行肠梗阻金属支架植入解除梗阻(以维持肠腔的通畅性和减少肠道毒素的进一步吸收)。肠镜病理提示:(升结肠)管状绒毛状腺瘤,部分高级别上皮内瘤变。3 d后复查腹部平扫CT示回盲部及远端回肠原先扩张的肠腔已明显缩小(图 2)。因患者既往有糖尿病史,时常合并胸闷胸痛,心电图示侧壁T波直立,心内科会诊建议行心脏冠脉造影。冠脉造影提示心脏左前降支中段狭窄约百分之八十,远端约百分之九十狭窄。经多学科讨论后认为患者目前急性肠梗阻症状已经缓解,建议可先予冠状动脉药物涂层支架植入术,再予以替格瑞洛口服抗凝治疗,1个月后再次入院行结肠肿瘤手术。患者于2020年10月9日再次入院行腹腔镜下右半结肠癌根治手术,手术过程顺利。术后病理报告:(升结肠)高-中分化腺癌,T3N1M0。患者术后13 d出院,并接受了后续的规律化疗。目前患者恢复良好。
|
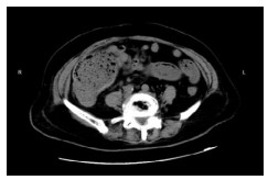
| 图 1 腹部增强CT示回盲部及远端回肠扩张明显、肠腔充满肠道内容物 |
|
|
|
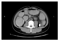
| 图 2 放置升结肠支架3 d后复查腹部平扫CT示回盲部及远端回肠原先扩张的肠腔已明显缩小 |
|
|
病例2,患者男,60岁。因“反复右上腹痛半月,加重2 d”于2022年8月29日来院急诊。入院查体:腹部膨隆,右上腹部压痛,无反跳痛。上腹部增强CT示结肠肝曲壁厚强化、管腔狭窄,考虑结肠肝曲恶性肿瘤并突破浆膜层,近段升结肠内容物堆积伴梗阻、肠壁肿胀伴扩张,病变周围及腹膜后多发淋巴结转移,肝多发转移。WBC12.7×109/L, N 81.1%。血CEA 29.05 ng/mL,CA19-9 39.07 IU/mL,CA125 41.21 U/mL。8月30日予行结肠镜下肠道支架置入术,检查进镜至结肠肝曲,见肠腔肿物堵塞,肠腔狭窄内镜无法通过,取病理活检后,沿导丝置入肠道非覆膜金属支架一枚(图 3)。患者肠道支架置入当天即感腹痛和腹胀症状消失,急性肠梗阻症状明显缓解。肠镜病理提示:结肠肝曲腺癌。经多学科讨论后于9月3日开始行XELOX方案术前转化治疗。目前患者病情平稳,规律行术前转化治疗中。
|
| 图 3 结肠肝曲癌伴肠腔狭窄行肠镜下结肠支架置入术 |
|
|
病例3,患者男,33岁。2019年7月6日因“上腹部胀痛10余天”来院急诊,拟“肠梗阻”收治入院。入院查体:腹膨隆,上腹部正中压痛,无反跳痛。CT提示:①横结肠局部肠壁增厚伴管腔狭窄,近段肠管梗阻扩张(图 4);②右肝后段低密度影,建议MR增强。肝脏MR增强:①横结肠局部肠壁明显增厚伴强化,考虑横结肠癌;②肝内多发小斑点,转移瘤可能。肠镜检查示:横结肠肿物,取病理活检后,行肠镜下横结肠支架置入术。肠镜病理提示:横结肠印戒细胞癌。3 d后复查腹部平扫CT示原先扩张的肠腔已明显缩小(图 5)。经多学科讨论后认为目前患者急性肠梗阻症状已明显缓解,建议转肿瘤内科先行转化治疗。患者分别于2019年7月19日、8月7日和8月29日共行三次FOLFIRI方案化疗。2019年9月20日复查腹部增强CT示:横结肠癌支架术后,较前相比,局部肠壁增厚明显减轻;右肝低强化结节灶较前缩小。于2019年9月23日转入普外科,术前再次行多学科讨论后,于10月4日行腹腔镜下横结肠癌切除手术(图 6),手术过程顺利。术后病理报告:横结肠印戒细胞癌,T3N1M1。患者术后接受定期规律辅助化疗,目前恢复良好。
|
| 图 4 腹部增强CT示横结肠、升结肠及近段小肠肠管梗阻扩张明显 |
|
|
|
| 图 5 放置横结肠支架3 d后复查腹部平扫CT示原先扩张的肠管已明显缩小 |
|
|
|
| 图 6 腹腔镜横结肠癌手术标本及结肠支架所在位置 |
|
|
结直肠癌是一种常见的消化道恶性肿瘤,在全球范围内,结直肠癌在所有癌症中的发病率居第4位,病死率居第2位[5]。自90年代以来,在不同部位发病的结直肠癌患者中,右侧结肠癌患者发病率的上升趋势较快[6],因此,急性右侧结肠癌性肠梗阻在临床上也逐渐多见。本文报道的第1例老年结肠癌患者急诊来院时肠梗阻症状明显、长期糖尿病所致的血糖水平波动大、半月前有腹腔镜胆囊切除术史、本次入院后又同时发现合并心脏左前降支存在严重的血管狭窄。该患者急诊行腹部手术的风险极高,通过术前应用结肠支架先缓解肠梗阻症状、然后组织多学科讨论决定放置心脏支架以降低手术风险、同期调整和稳定血糖水平,再限期入院行结肠癌的微创手术治疗,极大提高了该患者围手术期的安全性和肿瘤治疗的彻底性。另外,据文献报道,有15%~25%的结直肠癌患者在确诊时已发生肝转移[7]。本文报道的第2例和第3例结肠癌合并急性右侧肠梗阻患者就诊时均已发现合并有肝多发转移,其中第3例患者的年龄仅为33岁。对于该类型的急性肠梗阻患者,急诊手术无法达到根治的手术要求。目前,对于结肠癌合并肝转移患者,新辅助化疗被越来越多地应用,以缩小结肠癌的转移灶[8]。结肠支架的联合应用初步缓解了该类型肠梗阻患者的急性症状,为多学科合作治疗这些患者提供了有利的前提条件,对于病情相对稳定的急性右侧结肠癌性肠梗阻伴肝转移的患者可以优先考虑。对于左侧结肠癌引起的急性左侧结肠癌性肠梗阻,目前临床上先应用结肠支架(主要是自膨式金属支架)来缓解肠梗阻症状,再行二期手术的报道已较多,应用技术也较为成熟[9]。但对于急性右侧结肠癌性肠梗阻患者,临床上联合应用结肠支架的报道还甚为少见[10]。究其原因,主要有以下两点:其一,对于急性右侧结肠癌性肠梗阻患者,相比较急性左侧结肠癌性肠梗阻患者而言,放置结肠支架担心可能存在增加延迟性结肠穿孔的可能[11];其二,对于急性右侧结肠癌性肠梗阻患者,放置结肠支架需要更为高超的内镜技术和丰富的内镜操作经验[12]。本文报道的这三例病例,术前均按其病情以及各自病例的具体特点,予以放置结肠支架以先缓解急性肠梗阻的症状、再组织相关科室进行多学科讨论和综合方案制定、选择适宜的手术时间切除病灶和制定合理的随访计划,这些措施对于提高肿瘤患者手术的安全性和彻底性,以及患者的顺利康复无疑具有重要的作用。因此,对于一些合并特殊情况的急性右侧结肠癌性肠梗阻患者,联合结肠支架的个体化治疗在临床上具有一定的应用前景,但仍需不断地摸索和积累更多、更确切的临床经验。
利益冲突 所有作者声明无利益冲突
| [1] | Ocak S, Bük Ö, Çiftci A, et al. Comparison of emergency and elective colorectal cancer surgery-A single center experience[J]. Pol Przegl Chir, 2021, 93(2): 40-42. DOI:10.5604/01.3001.0014.8104 |
| [2] | Busić Z, Cupurdija K, Kolovrat M, et al. Emergency surgery for large bowel obstruction caused by cancer[J]. Coll Antropol, 2014, 38(1): 111-114. |
| [3] | 韩春蕃, 俞建平, 王雁, 等. 左半结肠癌致急性肠梗阻一期切除吻合术178例分析[J]. 中华急诊医学杂志, 2007, 16(8): 874-876. DOI:10.3760/j.issn:1671-0282.2007.08.023 |
| [4] | Muldoon RL. Malignant large bowel obstruction[J]. Clin Colon Rectal Surg, 2021, 34(4): 251-261. DOI:10.1055/s-0041-1729922 |
| [5] | Bray F, Ferlay J, Soerjomataram I, et al. Global cancer statistics 2018:GLOBOCAN estimates of incidence and mortality worldwide for 36 cancers in 185 countries[J]. CA Cancer J Clin, 2018, 68(6): 394-424. DOI:10.3322/caac.21492 |
| [6] | Topdagi O, Timuroglu A. Eighteen years'retrospective review of colorectal cancer cases in eastern population[J]. Eurasian J Med, 2018, 50(1): 19-22. DOI:10.5152/eurasianjmed.2018.17092 |
| [7] | Kow AWC. Hepatic metastasis from colorectal cancer[J]. J Gastrointest Oncol, 2019, 10(6): 1274-1298. DOI:10.21037/jgo.2019.08.06 |
| [8] | Serayssol C, Maulat C, Breibach F, et al. Predictive factors of histological response of colorectal liver metastases after neoadjuvant chemotherapy[J]. World J Gastrointest Oncol, 2019, 11(4): 295-309. DOI:10.4251/wjgo.v11.i4.295 |
| [9] | GenzorRíos SJ, González-NicolásTrebol MT, Aguirre Prat N, et al. Stent performance in obstructive left colon cancer. Unicentric and cross-sectional study[J]. Cir Esp (Engl Ed), 2019, 97(7): 397-404. DOI:10.1016/j.ciresp.2019.04.018 |
| [10] | Ji WB, Kwak JM, Kang DW, et al. Clinical benefits and oncologic equivalence of self-expandable metallic stent insertion for right-sided malignant colonic obstruction[J]. Surg Endosc, 2017, 31(1): 153-158. DOI:10.1007/s00464-016-4946-2 |
| [11] | Yoo RN, Cho HM, Kye BH. Management of obstructive colon cancer: current status, obstacles, and future directions[J]. World J Gastrointest Oncol, 2021, 13(12): 1850-1862. DOI:10.4251/wjgo.v13.i12.1850 |
| [12] | Makhejani KR, Haq MMU, Iqbal J, et al. Self-expanding metallic stent placement in malignant terminal ileal stricture[J]. J Coll Physicians Surg Pak, 2019, 29(12): S89-S91. DOI:10.29271/jcpsp.2019.12.S89 |
2023, Vol. 32



