2. 东部战区总医院普外科研究所,南京 210008;
3. 徐州市中心医院重症医学科,徐州 221009
2. Institute of General Surgery, Eastern Theater Command General Hospital, Nanjing 210008, China;
3. Intensive Care Unit, Xuzhou City Central Hospital, Xuzhou 221009, China
腹腔感染(intro-abdominal infection, IAI)是多种外科疾病症常见的并发症[1]。可引起严重脓毒症,影响患者呼吸功能[2]。机械通气是呼吸功能支持重要手段。但延迟脱机拔管可导致呼吸机相关性肺炎等并发症。选择适当时机拔管及避免患者不良预后是每个临床医生面临的重要问题。但是,拔管时机不当可导致呼吸衰竭的发生,最终患者可能需要重新插管,甚至病情迅速恶化,导致患者死亡[3]。
目前拔管的前提条件是通过自主呼吸试验(spontaneous breathing trial, SBT)[4],但即便如此,再插管的发生率仍高达26%[5]。ICU患者拔管失败率更高[6]。不同人群拔管失败机制权重各异。常见的各种预测工具预测效能差异较大。近年来肺部超声检查因其准确、无创、易于动态观察等优点在危重病领域应用广泛。多项研究显示,肺部超声评分(lung ultrasound score, LUS)可评价急性呼吸窘迫综合征(acute respiratory distress syndrome, ARDS)预后,判断肺水肿程度,评估肺通气丧失程度[7-8]。对于腹腔感染患者,液体治疗贯穿治疗的整个过程,不当的液体管理影响患者预后[9],如何准确判断腹腔感染患者拔管时机,采取恰当措施降低拔管失败率一直都是重症医学关注的焦点,本研究通过评价SBT末LUS与拔管前48 h累积液体平衡相关性,进一步探讨SBT末LUS与拔管前48 h累积液体平衡对腹腔感染机械通气患者拔管结局的预测价值。
1 资料与方法 1.1 一般资料采用多中心回顾性研究方法。参与的研究单位:连云港市第一人民医院ICU、东部战区总医院普通外科研究所、徐州市中心医院ICU。选择2017年10月1日至2018年9月30日收治的IAI机械通气时间超过48 h的患者作为研究对象。
1.1.1 纳入标准(1)诊断为IAI;(2)经气管插管机械通气超过48 h;(3)年龄 > 18周岁;(4)符合SBT筛查标准且通过SBT[10]。
1.1.2 排除标准(1) < 18周岁;(2)高位截瘫;(3)短期内不能脱机或拔管;(4)SBT失败;(5)中重度COPD患者;(6)死亡或中途放弃治疗。
1.1.3 伦理学本研究通过主研单位连云港市第一人民医院伦理评审委员会审核并批准(伦理号KY20170920)。
1.2 收集资料(1)记录患者一般资料及临床特征,包括性别、年龄、BMI,基拔础疾病;(2)SBT末(拔管前)LUS、拔管前48 h累积液体平衡[11]、RSBI、pro-BNP、IAP、机械通气时间、器官衰竭序贯评分(sequential organ failure score, SOFA)、急性生理学与慢性健康评分(acute physiology and chronic health score, APACHE Ⅱ)、氧合指数(PaO2/FiO2)。
1.3 分组及方法根据拔管后48 h是否需要再次插管分为拔管成功组和拔管失败组,比较两组患者拔管前LUS评分及48 h累积液体平衡及其他临床特征。
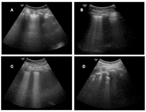
所有患者均按照腹腔感染常规治疗方案进行治疗,符合拔管的按拔管流程有序进行,行2 h SBT,通过SBT后给予拔除气管导管。是否需要再插管由临床医师根据患者病情决定。拔管前LUS评估方案:由受过训练的2名ICU医师完成肺部超声检查,使用2~4 MHz凸型探头对患者左右前胸壁、侧胸壁、后胸壁共12个区域进行检查并记录,超声通气模式定义:(1)正常通气(N):A线或1条或2条孤立、垂直B线;(2)中度肺通气丧失:多发融合B线;(3)重度肺通气丧失:多重聚结、垂直的B2线;(4)肺实变(C):肺组织影伴支气管充气征。N=0,B1线=1,B2线=2,C=3。每个检查区域评分之和为LUS总分。分值0-36分[12]。见图 1。
|
| A:正常通气;B:中度肺通气丧失;C:重度肺通气丧失;D:肺实变 图 1 肺部超声通气模式影像图 Fig 1 Images of lung ultrasound ventilation mode |
|
|
采用SPSS Statistics 20.0和Graphpad Prism7.0软件进行统计分析和制图。正态分布的计量资料以均数±标准差(x±s)表示,采用独立样本t检验进行比较。非正态分布的计量资料用中位数(四分位数)[M(Q1, Q3)]表示,组间比较采用非参数Mann-Whitney U检验。计数资料用频数及百分比描述,组间比较采用χ2检验,小样本情况下采用Fisher确切概率法。采用Logistic回归分析影响拔管失败危险因素。采用双变量相关分析LUS与拔管前48 h累积液体平衡以及二者与RSBI及Pro-BNP的相关性,采用ROC曲线下面积(AUC)来量化SBT末LUS及拔管前48 h累积液体平衡预测拔管失败的意义。以P < 0.05为差异有统计学意义。
2 结果 2.1 患者一般资料筛选了298例患者,排除91例,其中SBT失败42例,机械通气时间不足48 h 17例,重度COPD 13例,气管切开11例,放弃治疗8例。最终纳入207例患者,中位年龄69(59,78)。首次拔管成功125(60.4%),拔管失败82(39.6%)。拔管失败者均再次插管机械通气。筛选流程见图 2。
|
| 图 2 研究流程图 Fig 2 Flow chart of the study |
|
|
两组患者在性别、年龄、BMI、高血压、糖尿病、冠心病、拔管前PaO2/FiO2、机械通气时间、SOFA、APACHE Ⅱ差异无统计学意义(P > 0.05)拔管前LUS、拔管前48 h累积液体平衡、RSBI、pro-BNP、IAP,ICU住院时间差异有统计学意义(P < 0.01)。见表 1。
| 临床资料 | 拔管成功组(n=125) | 拔管失败组(n=82) | t/χ2/Z值 | P值 |
| 性别(n,%) | 3.559 | 0.059 | ||
| 男性 | 82 (65.6) | 43 (52.4) | ||
| 女性 | 43 (34.4) | 39 (47.6) | ||
| 年龄[岁,M (Q1, Q3)] | 70 (59,77) | 68 (58,80) | 0.461 | 0.498 |
| BMI(kg/m2,x±s) | 21.2 ±1.8 | 20.8 ± 2.3 | 1.413 | 0.159 |
| 基础疾病(n,%) | ||||
| 高血压 | 48 (38.4) | 31 (37.8) | 0.007 | 0.931 |
| 糖尿病 | 14 (11.2) | 15 (18.3) | 2.032 | 0.154 |
| COPD | 48 (38.4) | 44 (53.7) | 4.669 | 0.031 |
| 冠心病 | 41 (32.8) | 36 (43.9) | 2.598 | 0.107 |
| PaO2/FiO2(mmHg,x±s) | 292.6 ± 21.5 | 288.0 ± 21.3 | 1.151 | 0.131 |
| 机械通气时间[d,M(Q1, Q3)] | 6(4,6) | 7 (5,10) | -1.333 | 0.183 |
| RSBI [(次/min)/L,M(Q1, Q3)] | 60 (55,66) | 70 (65,78) | -6.793 | < 0.001 |
| pro-BNP[pg/mL, M(Q1, Q3)] | 250 (122,1292) | 1156 (285,4346) | 2.984 | 0.003 |
| IAP > 15 mmHg (n,%) | 41(32.8) | 38(46.3) | 3.848 | 0.035 |
| SOFA [分,M(Q1, Q3)] | 3 (2,3) | 3 (2,4) | 1.626 | 0.204 |
| APACHE Ⅱ[分,M(Q1, Q3)] | 12 (11,13) | 12 (11,13) | 0.510 | 0.476 |
| SBT前LUS [分,M(Q1, Q3)] | 12(10,13) | 13(10,14) | -1.250 | 0.211 |
| SBT末LUS[分,M(Q1, Q3)] | 12(10,14) | 16(14,17) | -9.040 | < 0.001 |
| 48 h累积液体平衡[mL,M(Q1, Q3)] | -318(-1116,200) | 1140(685,1614) | -11.934 | < 0.001 |
| ICU住院时间[d,M(Q1, Q3)] | 8 (6,12) | 11 (8,14) | -4.351 | < 0.001 |
以拔管失败为因变量,以单因素分析中有统计学意义的指标为自变量,采用条件向前法建立Logistic回归模型,结果显示COPD病史、RSBI、SBT末LUS及拔管前48 h累积液体平衡是影响患者死亡的独立危险因素。见表 2。
| 指标 | B | SE | Wald | P值 | OR (95%CI) |
| COPD | 1.268 | 0.578 | 4.815 | 0.028 | 3.553 (1.145~11.062) |
| RSBI(次/min)/L | 0.117 | 0.032 | 13.215 | 0.000 | 1.125 (1.056~1.198) |
| SBT末LUS (mL) | 0.002 | 0.135 | 22.785 | 0.000 | 1.904 (1.462~2.481) |
| 48 h累积液体平衡(mL) | 0.644 | 0.000 | 28.171 | 0.000 | 1.002 (1.001~1.002) |
LUS与48 h累计液体平衡呈中度相关,与RSBI、pro-BNP呈弱相关(P < 0.01),累积液体平衡与与pro-BNP无明显相关性,与RSBI呈弱相关(P < 0.01),见图 3、表 3。
|
| 图 3 LUS与48 h累积液体平衡及RSBI相关性 Fig 3 Correlation of LUS and cumulative liquid balance at 48 h |
|
|
| 指标 | r值 | P值 |
| LUS与pro-BNP | 0.223 | < 0.001 |
| 48 h累积液体平衡与pro-BNP | 0.122 | 0.080 |
| 48 h累积液体平衡与RSBI | 0.310 | < 0.001 |
SBT末LUS对预测拔管失败的ROC曲线显示其AUC为0.87(95%CI: 0.82~0.91), 截断值为14.5分,敏感度为75.6%,特异度为80.1%。48 h累积液体平衡预测拔管失败的ROC曲线显示其AUC为0.89(95%CI: 0.85~0.94),截断值为478 mL,敏感度为82.9%,特异度为83.2%。见图 4。
|
| 图 4 SBT末LUS与拔管前48 h累积液体平衡预测拔管失败的ROC曲线 Fig 4 ROC curves of LUS at the end of SBT and cumulative fluid balance at 48 h before extubation for predicting extubation failure |
|
|
本研究显示在通过SBT的207例患者中,最终拔管失败82例,拔管失败率39.6%,高于既往研究[13]。因此对于IAI机械通气患者,即便已经通过SBT,拔管失败风险仍高于一般ICU拔管患者,对于此类患者,若仅依靠常规SBT判断拔管最佳时机是不够的。
近年来LUS在重症医学领域应用日益广泛,其主要通过对B线C线的量化来实现对肺通气、肺水肿、肺实变等的动态判断[8]。限制液体输入或促进液体排出可减少B线数量。研究发现随着液体正平衡增加,肺部含水增多,B线数目逐渐增加,LUS越高,而负平衡为B线保护因素[14-15]。但也有研究LUS与液体平衡不相关[16]。本研究中LUS与48 h累积液体平衡呈正相关,但相关系数并不高,分析原因: ①严重腹腔感染可导致,肺顺应性下降,毛细血管渗漏。在感染源控制后,血流动力学逐渐稳定,组织间隙的水份逐渐回流,血管外肺水减少,LUS有所降低。②腹腔感染患者由于卧床,膈肌移动度差,腹内压等因素影响,存在不同程度的肺实变,肺不张,造成肺通气丧失,影响了LUS结果。LUS影响因数多样、复杂。研究人群、疾病不同状态都可影响了二者的相关程度[17-19]。
本研究中两组患者SBT末(拔管前)LUS差异有统计学意义,提示SBT过程中LUS的动态变化对拔管结局有重要意义。Liu等[20]研究发现拔管失败患者在SBT过程中可诱导心脏前后负荷增加导致的急性左心功能不全。SBT过程中较强的自主呼吸引起跨肺压升高,IAI加重膈肌炎症反应、膈肌功能障碍,最终将表现为肺通气不足[21-23]。SBT末LUS的评估可间接反映某些生理学指标,一定程度反映器官储备功能,这与拔管结局有关。
ROC曲线分析显示拔管前LUS与48 h累积液体平衡对腹腔感染患者拔管失败的AUC均大于0.85,表明二者对判断腹腔感染机械通气患者拔管结局有较好的预测价值,可为早期制定或优化干预措施提供依据。同时LUS与累积液体平衡与RSBI有一定相关性,说明LUS与累积液体平衡有望像RSBI等传统参数一样,对预测拔管结局提供帮助。
本研究中拔管前48 h累积液体平衡差异有统计学意义。拔管成功组48 h累积液体量明显低于拔管失败组。但累积液体平衡预测拔管失败的截断值较低,仅为478 mL,低于既往研究[24-25]。考虑与本组研究对象病种特殊及平均年龄较大有关,也可能与经过前期的充分液体复苏、感染源得到控制后,外周血管通透性改善,血管张力逐渐增高,早期潴留在肺组织、肠间隙及其他组织间隙的液体将重吸收至血管内,循环血量增加,液体处于饱和状态,容量范围较窄,液体耐受性差等有关[26]。具体机制有待于进一步研究探讨。本研究不足之处研究对象早期病情危重复杂,外科干预手段各异,尽管在拔管时病情有所控制,但病情变化比较快,不确定因素较多,一定程度上影响拔管结局,所得预测结果可能有所偏差。进一步研究中,笔者将去除混杂因素,来探讨LUS及48 h累积液体平衡对腹腔感染患者拔管结局的预测价值。
综上所述,腹腔感染机械通气患者拔管失败率较高,LUS评分能动态评估和反映IAI患者脱机过程中肺通气变化情况,LUS与累积液体平衡中度相关,二者对IAI机械通气患者拔管结局有一定预测价值。
利益冲突 所有作者声明无利益冲突
作者贡献声明 顾彩虹:试验设计、实施研究、采集和分析数据、论文撰写;任华建 管增淦:实施研究数据收集;李小民:获取研究经费、技术指导
| [1] | 任建安. 腹腔感染风险因素分析与对策[J]. 中华消化外科杂志, 2017, 16(12): 1167-1171. DOI:10.3760/cma.j.issn.1673-9752.2017.12.001 |
| [2] | Hecker A, Reichert M, Reuß CJ, et al. Intra-abdominal sepsis: new definitions and current clinical standards[J]. Langenbecks Arch Surg, 2019, 404(3): 257-271. DOI:10.1007/s00423-019-01752-7 |
| [3] | Geiseler J, Westhoff M. Weaning from invasive mechanical ventilation[J]. Med Klin Intensivmed Notfmed, 2021, 116(8): 715-726. DOI:10.1007/s00063-021-00858-5 |
| [4] | Subirà C, Fernández R. The importance of the spontaneous breathing trial to keep extubated[J]. Ann Transl Med, 2019, 7(22): 705. DOI:10.21037/atm.2019.10.103 |
| [5] | Subirà C, Hernández G, Vázquez A, et al. Effect of pressure support vs T-piece ventilation strategies during spontaneous breathing trials on successful extubation among patients receiving mechanical ventilation: a randomized clinical trial[J]. JAMA, 2019, 321(22): 2175-2182. DOI:10.1001/jama.2019.7234 |
| [6] | 顾彩虹, 谢永鹏, 郑涛, 等. 肺部超声评分对腹腔感染机械通气患者脱机结局的预测价值[J]. 中华危重病急救医学, 2020, 32(1): 94-98. DOI:10.3760/cma.j.cn121430-20191127-00017 |
| [7] | Xie YP, Liu SX, Mou ZF, et al. Correlation analysis between mechanical power and lung ultrasound score and their evaluation of severity and prognosis in ARDS patients[J]. Biomed Res Int, 2021, 2021: 4156162. DOI:10.1155/2021/4156162 |
| [8] | Zou TJ, Yin WH, Diddams M, et al. The global and regional lung ultrasound score can accurately evaluate the severity of lung disease in critically ill patients[J]. J Ultrasound Med, 2020, 39(9): 1879-1880. DOI:10.1002/jum.15278 |
| [9] | 姜志钊, 刘玉琪, 任建安. 液体治疗降阶梯策略在腹腔脓毒性休克中的应用进展[J]. 中华危重病急救医学, 2020, 32(11): 1403-1408. DOI:10.3760/cma.j.cn121430-20200714-00519 |
| [10] | Teixeira C, Teixeira PJ, de Leon PP, et al. Work of breathing during successful spontaneous breathing trial[J]. J Crit Care, 2009, 24(4): 508-514. DOI:10.1016/j.jcrc.2008.10.013 |
| [11] | Chiu LC, Chuang LP, Lin SW, et al. Cumulative fluid balance during extracorporeal membrane oxygenation and mortality in patients with acute respiratory distress syndrome[J]. Membranes (Basel), 2021, 11(8): 567. DOI:10.3390/membranes11080567 |
| [12] | Mongodi S, de Luca D, Colombo A, et al. Quantitative lung ultrasound: technical aspects and clinical applications[J]. Anesthesiology, 2021, 134(6): 949-965. DOI:10.1097/ALN.0000000000003757 |
| [13] | Matsuda W. Strategies to avoid extubation failure among ICU patients[J]. JAMA, 2020, 323(9): 891-892. DOI:10.1001/jama.2019.21951 |
| [14] | Beaubien-Souligny W, Rhéaume M, Blondin MC, et al. A simplified approach to extravascular lung water assessment using point-of-care ultrasound in patients with end-stage chronic renal failure undergoing hemodialysis[J]. Blood Purif, 2018, 45(1/2/3): 79-87. DOI:10.1159/000481768 |
| [15] | 王陆豪, 管向东, 陈敏英, 等. 重症患者容量复苏后期肺部超声容量评估[J]. 中华医学杂志, 2016, 96(17): 1359-1363. DOI:10.3760/cma.j.issn.0376-2491.2016.17.012 |
| [16] | Rusu DM, Grigoraș I, Blaj M, et al. Lung ultrasound-guided fluid management versus standard care in surgical ICU patients: a randomised controlled trial[J]. Diagnostics (Basel), 2021, 11(8): 1444. DOI:10.3390/diagnostics11081444 |
| [17] | Trias-Sabrià P, Molina-Molina M, Aso S, et al. Lung ultrasound score to predict outcomes in COVID-19[J]. Respir Care, 2021, 66(8): 1263-1270. DOI:10.4187/respcare.08648 |
| [18] | Liu J. The lung ultrasound score cannot accurately evaluate the severity of neonatal lung disease[J]. J Ultrasound Med, 2020, 39(5): 1015-1020. DOI:10.1002/jum.15176 |
| [19] | Kim YS, Won YJ, Lee DK, et al. Lung ultrasound score-based perioperative assessment of pressure-controlled ventilation-volume guaranteed or volume-controlled ventilation in geriatrics: a prospective randomized controlled trial[J]. Clin Interv Aging, 2019, 14: 1319-1329. DOI:10.2147/CIA.S212334 |
| [20] | Liu JL, Shen F, Teboul JL, et al. Erratum to: cardiac dysfunction induced by weaning from mechanical ventilation: incidence, risk factors, and effects of fluid removal[J]. Crit Care, 2017, 21(1): 50. DOI:10.1186/s13054-017-1634-0 |
| [21] | Doorduin J, van der Hoeven JG, Heunks LM. The differential diagnosis for failure to wean from mechanical ventilation[J]. Curr Opin Anaesthesiol, 2016, 29(2): 150-157. DOI:10.1097/ACO.0000000000000297 |
| [22] | Armbruster W, Eichholz R, Notheisen T. Lung ultrasound for anesthesia, intensive care and emergency medicine[J]. Anasthesiol Intensivmed Notfallmed Schmerzther, 2019, 54(2): 108-127. DOI:10.1055/a-0664-5700 |
| [23] | Llamas-Álvarez AM, Tenza-Lozano EM, Latour-Pérez J. Diaphragm and lung ultrasound to predict weaning outcome: systematic review and meta-analysis[J]. Chest, 2017, 152(6): 1140-1150. DOI:10.1016/j.chest.2017.08.028 |
| [24] | 颜瑶, 徐进步, 刘璐, 等. 累积液体平衡在ICU危重患者拔管结局中的预测价值[J]. 中国急救医学, 2020, 40(5): 422-426. DOI:10.3969/j.issn.1002-1949.2020.05.012 |
| [25] | Ghosh S, Chawla A, Mishra K, et al. Cumulative fluid balance and outcome of extubation: a prospective observational study from a general intensive care unit[J]. Indian J Crit Care Med, 2018, 22(11): 767-772. DOI:10.4103/ijccm.IJCCM_216_18 |
| [26] | Dhondup T, Tien JC, Marquez A, et al. Association of negative fluid balance during the de-escalation phase of sepsis management with mortality: a cohort study[J]. J Crit Care, 2020, 55: 16-21. DOI:10.1016/j.jcrc.2019.09.025 |
2023, Vol. 32



