2. 南京医科大学中毒研究所,南京 211166
2. Institute of Toxicology, Nanjing Medical University, Nanjing 211166, China
虫螨腈(chlorfenapyr)是一种新型吡咯类化合物,2001年被美国环境保护署批准为新型杀虫剂,可使细胞线粒体氧化磷酸化解偶联,导致ATP产生中断和细胞功能障碍[1-2]。2020年以后急性虫螨腈中毒病例个案报告逐渐增多,患者临床表现为多汗、高热、意识障碍和抽搐等。由于早期症状不典型,常被忽视,一旦出现高热等症状,病程已发展到后期,死亡不可避免。由于没有特效解毒剂,临床多给予对症处理。文献报道有个例中毒患者经血液净化治疗后存活,但没有血药物浓度监测作为血液净化是否有效的佐证。
本院2022年收治了2例急性虫螨腈中毒患者,应用血液净化治疗,动态监测血虫螨腈及代谢产物溴代吡咯腈的浓度。在此对这两例患者的临床特征进行总结,并评估血液净化对急性虫螨腈中毒救治的作用,为救治患者提供临床经验。
1 资料与方法 1.1 治疗经过病例1是一名70岁男性,因“口服甲维虫螨腈(甲氨基阿维菌素1%,虫螨腈5%)20 mL, 10 h”入院,虫螨腈含量1 g。患者自服杀虫剂5 h后在当地医院予清水500 mL催吐1次。摄入10 h后转至本院,入室查体:T 36.8℃,P 98次/min,R 20次/min,BP 138/83 mmHg,SpO2 97%,心肺腹部均无异常。初步诊断:急性杀虫剂中毒(虫螨腈)。给予乳果糖90 mL、复方聚乙二醇电解质散1 000 mL、20%甘露醇250 mL口服导泻,30%脂肪乳250 mL静脉滴注。摄入毒物后13 h、16 h、38 h、41 h、60 h、63 h共行6次(2次/ d×3 d)血液灌流,动态监测血液中虫螨腈及代谢产物溴代吡咯腈浓度(见图 1A)。摄入毒物后185 h,患者出现一过性体温升高,最高38.0℃(见图 2A),并伴有四肢肌张力增高。第9天患者自动出院,出院后3 d随访无异常,其后失访(通过多种方式未查证到患者死亡信息)。在入室、首次血液灌流1 h、2 h、12 h后,以及灌流3次后、入室第5天、第7天共7个时间点,分别留取EDTA抗凝血2 mL。(住院期间实验室检查见表 1,颅脑影像学检查见图 3A、B)。
|
| 图 1 入院后病例1(A)和病例2(B)血液中虫螨腈和溴代吡咯腈浓度变化 Fig 1 Changes of blood chlorfenapyr and tralopyril concentrations in case 1 (A) and case 2 (B) after admission |
|
|
|
| 图 2 入院后病例1(A)和病例2(B)的体温曲线 Fig 2 Temperature curves of case 1 (A) and case 2 (B) after admission |
|
|
| 摄入后时间(h) | WBC (×109/L) |
N (%) |
ALT (U/L) |
AST (U/L) |
BUN (mmol/L) |
Cr (μmol/L) |
cTnT (ng/L) |
MYO (ng/mL) |
LDH (U/L) |
CK (U/L) |
| 病例1 | ||||||||||
| 8 | 12.8 | 85.6 | 15.2 | 19.8 | 8.0 | 70.3 | 7.4 | 44.6 | - | - |
| 34 | 8.2 | 67.8 | 13.0 | 20.6 | 5.1 | 58.4 | 9.5 | 161.0 | - | - |
| 56 | 11.0 | 75.2 | 14.6 | 24.0 | 4.3 | 69.0 | - | - | - | - |
| 80 | 8.7 | 77.0 | 12.8 | 23.2 | 6.6 | 49.1 | - | - | - | - |
| 100 | 9.3 | 74.8 | - | - | - | - | 12.9 | 127.0 | - | - |
| 135 | 8.9 | 65.7 | 13.9 | 20.4 | - | - | 9.5 | 57.1 | 272 | 307 |
| 148 | 9.2 | 71.3 | 16.7 | 22.5 | 5.5 | 37.0 | 8.9 | 35.3 | 266 | 183 |
| 172 | 14.3 | 80.4 | 21.3 | 25.4 | 4.9 | 46.3 | 9.6 | 93.7 | - | - |
| 196 | 14.3 | 77.6 | 24.2 | 31.2 | 7.6 | 44.1 | 11.6 | 92.9 | 309 | 304 |
| 220 | 12.9 | 83.8 | - | 25.6 | 8.3 | 50.7 | - | 164.0 | 293 | 155 |
| 病例2 | ||||||||||
| 150 | 7.0 | 63.3 | 16.9 | 44.4 | 2.6 | 56.5 | 4.4 | 18.6 | - | - |
| 177 | 9.5 | 84.1 | 10.4 | 32.7 | 0.8 | 30.5 | 4.7 | 127.0 | 214 | 368 |
| 201 | 7.3 | 86.9 | 15.9 | 41.2 | 1.1 | 27.8 | - | - | - | - |
| 225 | 8.8 | 91.7 | 21.0 | 71.0 | 2.6 | 26.2 | - | - | - | - |
|
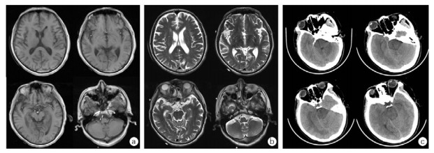
| 摄入虫螨腈后131 h病例1颅脑磁共振T1WI(A)、T2WI(B):两侧大脑半球对称,灰白质对比良好,两侧侧脑室旁多发小片状长T1、长T2信号。摄入虫螨腈后230 h病例2颅脑CT图像(C):脑干密度减低,脑白质水肿,全脑肿胀 图 3 摄入虫螨腈后患者颅脑影像学检查 Fig 3 Cerebral imaging of patients after ingestion of chlorfenapyr |
|
|
病例2是一名40岁女性,因“口服虫螨腈虱螨脲(虫螨腈9.5%,虱螨脲2.5%)250 mL 149 h”入院,虫螨腈含量23.75 g。患者自服杀虫剂后家属立即予以催吐1次,摄入毒物后2 h即感全身燥热、多汗。患者拒绝洗胃,当地医院未予特殊治疗。149 h后转至本院,入室查体:T 36.5℃,P 75次/min,R 18次/min,BP 99/67 mmHg,SpO2 98%,神志清楚,心肺腹部均无异常。初步诊断:急性杀虫剂中毒(虫螨腈)。予30%脂肪乳250 mL静脉滴注、血液灌流2次/ d×2 d共4次、持续性血液透析滤过(continuous veno-venous hemodiafiltration, CVVHDF)治疗85 h,动态监测血液中虫螨腈及溴代吡咯腈浓度(见图 1B)。摄入毒物203 h患者出现烦躁、谵妄,230 h转为昏迷状态。237 h患者突发呼吸停止,血压下降至54/36 mmHg,双瞳直径散大至3.5 mm,立即予经口气管插管、机械通气,同时积极抗休克治疗,血压难以维持,患者于摄入247 h后死亡。在入室、首次血液灌流后、第二次灌流后,发病第7、8、9天的6:00和18:00共9个时间点,分别留取EDTA抗凝血2 mL。(住院期间实验室检查见表 1,颅脑影像学检查见图 3C)。
本研究符合医学伦理学标准,并经本院伦理委员会审批(审批号:2022-SR-050)。所有资料的获得均经患者家属知情同意,自愿参加本研究项目。
1.2 样本保存及检测方法所有样本在4摄氏度低温离心3 000 r/min,10 min,留取上清液血浆样品,按200 μL/管分装,保存在4度冰箱,留样后24 h内完成检测。血浆样品采用蛋白沉淀法处理后,分别采用气相色谱串联质谱法(Agilent, 7890B-7000D)检测血浆中虫螨腈浓度,采用液相色谱串联质谱法(Waters, Xevo TQ-S)检测血浆中溴代吡咯腈浓度。
2 结果病例1首次灌流前血虫螨腈浓度为219 ng/mL,溴代吡咯腈浓度为1 041 ng/mL;灌流1 h时,血虫螨腈浓度下降不明显,溴代吡咯腈浓度下降率为28.82%(浓度下降率定义为:灌流前后浓度差与灌流前浓度比值的百分数);灌流2 h时两者均回升并超过灌流前水平。第3次血液灌流(摄入40 h)完成后,血虫螨腈、溴代吡咯腈浓度仍超过首次灌流前浓度,虫螨腈浓度达到检测的最高值248 ng/mL,溴代吡咯腈浓度为1 307 ng/mL。摄入后130 h和178 h血虫螨腈浓度呈下降趋势;血溴代吡咯腈浓度在130 h达峰为3 164 ng/mL,178 h下降至2 707 ng/mL。
病例2首次灌流前血虫螨腈、溴代吡咯腈浓度分别达到392 ng/mL和7 733 ng/mL,首次血液灌流后虫螨腈浓度降至244 ng/mL,下降率为37.75%;溴代吡咯腈浓度降至4 793 ng/mL,下降率为38.02%,其后CVVHDF治疗12 h,血液中虫螨腈及溴代吡咯腈浓度分别反跳至173 ng/mL和6 318 ng/mL,继续给予血液灌流2次,两者浓度下降率分别为58.38%和32.99%。继续CVVHDF治疗85 h,监测血液中虫螨腈浓度维持在69~80 ng/mL,溴代吡咯腈浓度维持在4 234~6 410 ng/mL。
病例1早期实验室检查均无明显异常,随着病程的进展,在摄入第7天(172 h)出现肌红蛋白(Myo)、肌酸激酶(CK)、乳酸脱氢酶(LDH)持续升高,最高值:肌红蛋白为164 ng/mL、CK为309 U/L、LDH为304 U/L。病例2入院时实验室检查结果无异常。177 h测得LDH为214 U/L,CK为368 U/L,肌红蛋白升高至127 ng/mL。两患者肾功能均正常,白细胞总数正常、中性粒细胞比例升高。
病例1体温间断出现低热,在摄入第8天,出现最高体温为38.3℃。病例2摄入早期即出现自感体热,但无具体的体温数值,入院后给予持续性血液净化治疗,前期体温可控制在37.0℃,后期体温升高37.5~38.3℃。
3 讨论虫螨腈是美国氰胺公司于1985年从链真菌、放线菌等微生物中分离、修饰、合成的吡咯类杀虫、杀螨剂。由于其持效期长、本身毒性低、无交互抗性,市场需求量较大,据中国农药信息网,我国现有虫螨腈登记产品203种。目前发现虫螨腈共有8种代谢产物,其中溴代吡咯腈是唯一经毒理学评估有毒理学意义的代谢产物,其毒性是虫螨腈的10倍[3]。
急性虫螨腈中毒的诊断主要根据病史和临床表现。经消化道摄入虫螨腈导致中毒的个案报告中,可将病程分为早期(1~7 d):患者表现为自感体热、出汗多、乏力等症状,实验室检查可提示肌酸激酶、谷草转氨酶的升高。后期(7~14 d)患者可出现神经系统症状,例如烦躁不安、视物模糊等、昏迷和肌张力增高,并出现高热,因患者体温可上升至42℃,有些文献称之为“恶性高热”[4-8]。头颅影像学检查可出现脑白质水肿、脑干低密度影,全脑肿胀等[9]。死亡常可表现为突发的持续肌张力增高、心搏骤停且难以进行心肺复苏[4, 10],超高热至死亡常仅有数小时的间隔[7]。
在治疗上无特效解毒剂,经消化道摄入者尽早给予洗胃、导泻等清除毒物,有报道提示可给予血液净化清除已吸收入血的毒物[6-8, 10],以及机械通气、镇静、肌松和降温等对症治疗。有些文献中提到了补充N-乙酰半胱氨酸、辅酶Q10和外源性ATP等[2]。鉴于虫螨腈的脂溶性,有文献建议静脉注射脂肪乳防止组织中的亲脂性毒物及代谢物的积累[5]。
血液净化是清除毒物的常用方法,临床应用中根据目标物质的理化特性,如相对分子质量、蛋白结合率、表观分布容积(apparent volume of distribution, Vd)等,选用不同的净化模式[11-12]。血液灌流适用于相对分子质量较大、脂溶性较高、蛋白结合率较高的药物和毒物中毒[13]。虫螨腈和溴代吡咯腈的相对分子质量分别为407.61和349.53,均可溶于有机溶剂,不溶于水。虫螨腈经口半数致死量(LD50):雄性大鼠441 mg/kg,雄性小鼠45 mg/kg。溴代吡咯腈LD50:雄性大鼠27 mg/kg[14]。目前尚无关于其蛋白结合率和表观分布容积的数据。
以上两个病例在疾病不同时期接受不同的血液净化方案,病例1在中毒早期给予3 d共6次血液灌流,其血毒物浓度在最初72 h内没有明显的下降,结合其现有的理化特性推测,首先虫螨腈和溴代吡咯腈的Vd可能较大,在其他脏器广泛分布(本课题组已在动物预实验中发现该现象),不断地释放入血。其次胃肠道对于虫螨腈的吸收部位和速度可能具有特殊性,两个因素使得血药浓度长时间处于较高的水平,下降缓慢,代谢产物溴代吡咯腈的浓度下降期出现的更加滞后。对于病例2,在中毒后期(摄入150 h)给予血液灌流4次,基本可去除消化道持续吸收的干扰。每两次血液灌流血溴代吡咯腈浓度下降率为33.67%和32.99%。但后期持续给予CVVHDF,血溴代吡咯腈浓度下降不明显,甚至出现反跳。因此推测:持续性血液透析滤过清除溴代吡咯腈的能力差,这与物质脂溶性、Vd特性相关。在患者肾功能正常的情况下,溴代吡咯腈血浓度无明显变化,提示其从肾脏代谢量较少。在病程后期给予CVVHDF可以控制体温、稳定内环境,但对减轻脑水肿、挽救生命并无明显作用。其他血液净化方式如血浆置换,对虫螨腈及溴代吡咯腈的清除效果仍需进一步研究评估。
对比两个病例的发病经过、血液净化处方、血药浓度曲线以及虫螨腈和代谢产物溴代吡咯腈的LD50, 笔者认为:患者的预后与摄入量、是否早期进行血液灌流和血液灌流的频次、后期血液中溴代吡咯腈的浓度相关。血液中溴代吡咯腈的浓度可能是较好的患者预后指标。以上的想法仍需要更多的数据进行验证。
综上所述,笔者认为:①临床救治需要更深入了解虫螨腈的理化特性,从而制定出有效的治疗方案;②虽然仅有两例患者的浓度数据,但从现有的数据可发现:血液灌流能清除溴代吡咯腈,CVVHDF清除代谢产物能力差。当消化道摄入后,虫螨腈及溴代吡咯腈的Vd较大,血液可长时间维持较高浓度,肾脏仅能排泄少量虫螨腈和溴代吡咯腈。③临床医生需提高急性虫螨腈中毒的认识,对此类中毒给予充分的重视,因虫螨腈进入体内后现有血液净化方法难以有效清除,早期积极彻底地消化道清除毒物是重要的。
利益冲突 作者声明无利益冲突
作者贡献声明 时育彤:资料收集整理、论文撰写;毛征生、陈峰:样本检测、图片制作;张劲松、孙昊:支持性贡献;朱轶、夏雨、丁涛:资料收集;黄培培:研究设计、论文修改
| [1] | Choi UT, Kang GH, Jang YS, et al. Fatality from acute chlorfenapyr poisoning[J]. Clin Toxicol (Phila), 2010, 48(5): 458-459. DOI:10.3109/15563651003750074 |
| [2] | Chomin J, Heuser W, Nogar J, et al. Delayed hyperthermia from chlorfenapyr overdose[J]. Am J Emerg Med, 2018, 36(11): 2129.e1-2122129.e2. DOI:10.1016/j.ajem.2018.05.035 |
| [3] | FAO and WHO. Pesticide residues in food 2018-Report 2018-Joint FAO/WHO Meeting on Pesticide Residues[C]. Rome: FAO and WHO, 2019, 39-55. |
| [4] | 廖国豪, 余红雨, 鲍立杰, 等. 急性虫螨腈中毒2例及文献复习[J]. 中华劳动卫生职业病杂志, 2022, 40(3): 212-216. DOI:10.3760/cma.j.cn121094-20210721-00366 |
| [5] | 蒲艳, 余成敏, 蒋星慧, 等. 虫螨腈中毒4例分析并文献回顾[J]. 中国中西医结合急救杂志, 2021, 38(5): 613-617. DOI:10.3969/j.issn.1008-9691.2021.05.022 |
| [6] | 黄钰, 刘焕皓, 车智浩. 虫螨腈中毒后迟发毒性反应致死一例[J]. 中华急诊医学杂志, 2020, 29(1): 131-132. DOI:10.3760/cma.j.issn.1671-0282.2020.01.021 |
| [7] | 赵波, 曲爱君, 孙宝泉, 等. 急性复配虫螨腈中毒致死亡2例[J]. 中华劳动卫生职业病杂志, 2022, 40(6): 445-447. DOI:10.3760/cma.j.cn121094-20210319-00157 |
| [8] | 宫玉, 孟庆冰, 刘亮, 等. 警惕高致死性杀虫剂虫螨腈中毒(附四例病例及文献复习)[J]. 中华劳动卫生职业病杂志, 2021, 39(9): 689-693. DOI:10.3760/cma.j.cn121094-20210513-00251 |
| [9] | Baek BH, Kim SK, Yoon W, et al. Chlorfenapyr-induced toxic leukoencephalopathy with radiologic reversibility: a case report and literature review[J]. Korean J Radiol, 2016, 17(2): 277-280. DOI:10.3348/kjr.2016.17.2.277 |
| [10] | 李祥虎, 姚群梅, 起连珍. 口服虫螨腈中毒后"冰僵" 样死亡一例[J]. 中华急诊医学杂志, 2021, 30(7): 894-897. DOI:10.3760/cma.j.issn.1671-0282.2021.07.023 |
| [11] | Ghannoum M, Hoffman RS, Gosselin S, et al. Use of extracorporeal treatments in the management of poisonings[J]. Kidney Int, 2018, 94(4): 682-688. DOI:10.1016/j.kint.2018.03.026 |
| [12] | Ronco C, Bellomo R. Hemoperfusion: technical aspects and state of the art[J]. Crit Care, 2022, 26(1): 135. DOI:10.1186/s13054-022-04009-w |
| [13] | Ricci Z, Romagnoli S, Reis T, et al. Hemoperfusion in the intensive care unit[J]. Intensive Care Med, 2022, 48(10): 1397-1408. DOI:10.1007/s00134-022-06810-1 |
| [14] | Lunn D, MacLachlan D, Shan W. Pesticide Residues in Food 2012. Joint FAO/WHO Meeting on Pesticide Residues [EB/OL]. Available online: https://www.fao.org/agriculture/crops/thematic-sitemap/theme/pests/jmpr/jmpr-rep/en/ (accessed on 30 June 2022). |
2023, Vol. 32



