钝性创伤性主动脉损伤(blunt thoracic aortic injury,BTAI)是一种由于快速减速损伤导致的严重血管损伤,80%左右的钝性创伤性主动脉损伤患者在被运送至医疗救治单位/ 创伤中心前就因大量失血而导致丧失抢救机会;而可以成功被运送至到医院的这一部分患者会因夹层导致的各种并发症或者并发的其他致命性创伤,大约会在24~48 h内死亡。而真正生存下来的患者往往也会有多发伤,包括心脏损伤、肋骨骨折、血胸和腹腔脏器损伤,救治的成功率也极低。创伤后主动脉夹层不常见,但是单纯损伤合并下肢缺血横纹肌溶解及顽固性高钾血症报道甚少[1-2]。现将本院收治的一名创伤性主动脉夹层伴下肢横纹肌溶解及顽固性高钾血症病例进行总结及分析。伦理批件号:(2002)论审研第(0276)号。
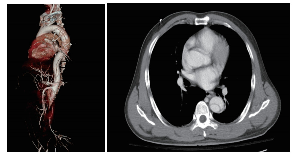
1 资料与方法患者,男,49岁,因“重物砸伤致双下肢活动障碍1 d余”于2021-11-27入本院。患者1 d余前不慎被约拳头大小的石块从约十米高坠落砸伤腰背部,当时感腰背部疼痛,约10 min后双下肢逐渐出现活动障碍,伴感觉减退及肢体麻木。送至当地医院急诊,患者入抢救室生命体征平稳,问诊既往体健,无重大手术史;根据受伤机制考虑胸腰椎损伤,完善胸腰椎CT及磁共振后未见明显异常,患者下肢活动障碍逐渐加重(肌力1级),并伴有肢端循环障碍,但未予进一步处理。患者在当地医院给予补液、止痛等对症治疗后下肢肿胀进一步加重,家属要求转入本院继续治疗。急诊查体:神志正常,急性面容,普通面罩吸氧5 L/min,氧饱和度92%~94%;心率102次/min,呼吸频率25次/min,血压190/103 mmHg(1 mmHg=0.133 kPa),心肺听诊阴性;腹软,腹部轻压痛,后背部压痛明显,双上肢肌力Ⅴ级,双下肢肌力0级,腹股沟以下感觉平面不存在,具体病理征没有出现。急诊血液检验:血常规:白细胞17.6×109 /L, 中性粒91%,血红蛋白151 g/L; 凝血功能:D二聚体 > 20 000, INR 1.16, APTT 42.6 s,TT 24.7 s;急诊生化和心肌酶谱:血钾7.47 mmol/L,肌酸激酶325 900 U/L、肌酐170.0 μmol/L、谷丙转氨酶1 560 U/L、谷草转氨酶7 240 U/L、肌钙蛋白2.26 ng/mL;血气分析: pH 7.3, BE -11.9 mmol/L,PaO2 95.9 mmHg, PaCO2 25.1 mmHg; 心电图提示:下、前侧壁ST段、T波变化,前间壁T波高耸(考虑心电图变化与患者高钾有关),入急诊后患者神志淡漠,血氧氧饱和度进行性下降,立即予气管插管呼吸机辅助通气维持呼吸。急诊行主动脉CTA诊断为胸腹主动脉夹层动脉瘤形成:Debake Ⅲ型:第一破口位于主动脉弓降部以远(图 1),腹主动脉远段、左肾动脉、肠系膜下动脉及双侧髂动脉腔内血栓考虑,右侧髂血管周围渗出,左侧肾动脉灌注欠佳。立即联系血管外科会诊,但因患者血钾极高,严重酸中毒,循环不稳定(去甲肾上腺素0.89 μg/(kg·min);建议纠正内环境,待情况允许后急诊行主动脉夹层腔内修复术,以“创伤性主动脉夹层(Debake Ⅲ型)、高钾血症、横纹肌溶解症、多脏器功能衰竭”收入急诊ICU。
|
| 图 1 胸主动脉+腹主动脉造影 |
|
|
入急诊ICU后立即留置颈内血透管路,予以持续血液透析治疗(CRRT)降钾,纠正酸中毒,维持内环境功能稳定,血钾下降至6.38 mmol/L;继续补液水化,碱化尿液,持续CRRT治疗。观察下肢肿胀及血供变化,患者治疗后仍然出现双下肢大片瘀紫,肢体凉,双侧足背动脉未及。下肢血管超声提示:双侧股动脉和腘动脉无法测出、双侧股浅静脉中下段、腘静脉不存在显著异常。考虑出现骨筋膜室综合征,2021-11-28急诊行“胸主动脉覆膜支架腔内隔绝术+肾动脉支架置入术+双侧股动脉取栓术+双侧股动脉成形术+左股动脉内膜剥脱术”。术后复查下肢动静脉超声提示股动脉、腘动脉可见血流,但持续足背动脉仍然无法触及搏动,查体可见双下肢大片瘀紫、肿胀、皮温凉、张力高,可见少量张力性水泡。下肢肿胀张力持续增加,多次骨科会诊后考虑符合急诊切开减压指征,已与家属充分沟通,告知相关的风险以及后期截肢的可能,经慎重考虑后患者家属选择继续观察保守治疗。
患者术后继续予CRRT降钾,改善内环境、高含量的升压药物保证血压[去甲肾上腺素1.16 μg/(kg·min),特立加压素0.34 μg/(kg·min)]、抗感染、补充容量、缓解血管痉挛等对症治疗。但下肢缺血坏死进一步加重,肌酸激酶持续高于30万U/L(图 2);血红蛋白与血小板持续下降(血红蛋白75 g/L, 血小板70×109 /L),需要进行下肢切开减压或截肢手术;家属考虑患者病情危重预后较差,决定放弃治疗,后随访患者出院当天死亡。
|
| 图 2 患者血钾及肌酸激酶变化 |
|
|
主动脉夹层非常普遍的症状为突发胸部剧痛,展现出刀割或撕裂样,向胸前及背部辐射,延至颈部、腹部、或下肢。可能存在心率增快,呼吸窘迫、呕吐、腹胀、腹泻、黑便、晕厥等症状。急性主动脉夹层的病因很多,包括壁间血肿、局部血管壁内膜撕裂、穿透性动脉粥样硬化性溃疡、创伤性或医源性主动脉夹层以及主动脉瘤渗漏或损伤。本例患者受伤史明确,根据受伤机制与患者临床表现考虑脊髓损伤,但脊柱CT及磁共振影像学不支持,治疗后患者在无明显下肢外伤情况下出现下肢缺血、横纹肌溶解综合征(肌酸激酶迅速升高及肾功能衰竭)及内环境紊乱(高钾血症、酸中毒);需考虑主动脉夹层引起的下肢大血管缺血并立刻进行CTA等检查确认并尽快外科介入。该类患者诊治时间窗极短,错过最佳治疗时期可能导致患者预后极差甚至死亡;本例患者由于严重的高钾血症,使用药物及CRRT治疗后降钾效果差,内环境无法迅速的纠正,主动脉夹层手术延迟,也无法实施截肢手术。手术后大血管再通导致的缺血-再灌注导致了内环境的进一步恶化,以及多脏器功能衰竭,再次进行切开减压或截肢的风险极高。
许多主动脉夹层患者的临床症状是胸背区域的撕裂样剧痛,严重水平下会出现相关脏器缺血,如累及髂、股动脉可产生疼痛、乏力、体温降低,甚至是脉搏大幅度降低等不良症状[3]。有研究对近几年的相关病例统计后发现,12.7%左右的Stanford A型夹层患者会存在下肢灌注不良的临床症状,Stanford B型夹层患者存在下肢灌注不良的占据了5%~12%,且肢体缺血还可能合并内脏等其他器官的灌注不良,导致病死率显著提升。但是关于创伤性主动脉夹层所引发的下肢缺血相关研究较少[4]。主动脉夹层引发的下肢缺血主要的处理方案是要大幅度缩减假腔压力,进而驱使假腔进行闭合,再次开启真腔。术中支架达到了这一标准,让膨胀性受压的真腔再次支撑起来,进而完成远端灌注,而且对假腔产生相应程度的压迫,推动假腔出现闭合状态[5]。相关研究指出,肢体缺血3 h后骨骼肌细胞坏死就属于不可逆状态,6 h后出现完全坏死,针对超出此周期的患者而言,其组织张力显著提升致使的血管压迫在一定水平上推进了这一过程[6]。因此患者会产生骨筋膜室综合征,就算是重新恢复血运依旧会产生骨筋膜室综合征,初期阶段完全切开筋膜降低压力是预防肌肉以及神经出现缺血性坏死的关键性方法。局部切开降低压力,许多的肌组织坏死,会产生大量肌球蛋白等相关物质成分,进而出现脓毒血症以及代谢性酸中毒。在酸中毒的条件下,肌球蛋白又可能在远侧肾小管内大量积聚,进而产生更为严重的肾衰竭[7-8]。
本例患者外伤后以双下肢活动障碍为主诉,伴感觉减退麻木,多数考虑外伤所导致的脊髓损伤,刀割或撕裂样胸痛等症状不明显,此时极容易忽视主动脉夹层的存在。对于创伤患者,发现与查体及影像学不符合的临床表现需要细究原因;该患者肌酸激酶升高至正常值的两千倍,肾功能损害明显,尿液淡红色,尿常规提示红细胞远大于正常值,查体双下肢大片瘀紫,肢体凉,双侧足背动脉未及,横纹肌溶解诊断明确。大量横纹肌溶解所致患者血钾顽固性升高,导致心功能受损从而心电图出现ST段改变。
本病例救治经验:①创伤机制实际为高能量创伤(高处石子砸伤),可能可以直接导致创伤主动脉夹层;也可能为患者长期高血压导致主动脉溃疡等情况,该次创伤的打击下形成了主动脉夹层;②仔细分析不常见的创伤受伤机制,对于高能量创伤应该充分评估患者大动脉情况;③应该重视非严重创伤患者发生创伤性主动脉夹层的可能性以及合并创伤所带来的其他问题的复杂性;④该患者由于诊治困难,错过最佳手术时机,但仍然应该积极纠正内环境功能紊乱,争取创造手术条件;主动脉夹层手术由于需要肝素抗凝会导致术后下肢切开减压出血难以控制,长时间的下肢缺血坏死和CRRT治疗也会导致凝血功能异常及血小板下降;术后的缺血-再灌注也是该患者治疗的难点和重点,血管再通,尤其是阻塞时间较长的大血管再通会造成一过性的高钾血症及肌酸激酶的升高,导致全身出现炎症反应以及器官损伤。
利益冲突 所有作者声明无利益冲突
| [1] | 向军, 何玲, 彭慧, 等. 急性创伤性Stanford B型主动脉夹层的早期诊断及腔内修复治疗[J]. 中华急诊医学杂志, 2020, 29(5): 726-730. DOI:10.3760/cma.j.issn.1671-0282.2020.05.023 |
| [2] | 吴海卫, 孙磊, 张雷, 等. 创伤性主动脉损伤30例临床治疗分析[J]. 中华外科杂志, 2020, 58(12): 929-935. DOI:10.3760/cma.j.cn112139-20200101-00001 |
| [3] | 陈苏伟, 钟永亮, 里程楠, 等. 创伤性主动脉损伤的外科治疗策略[J]. 中华胸心血管外科杂志, 2020, 36(2): 79-82. DOI:10.3760/cma.j.issn.1001-4497.2020.02.006 |
| [4] | Hussain ST, Srivastava S, Johnston DR. Temporary axillofemoral bypass for reperfusion of an ischemic limb complicating type A dissection[J]. J Thorac Cardiovasc Surg, 2016, 151(6): e111-e113. DOI:10.1016/j.jtcvs.2015.11.030 |
| [5] | Ikeda A, Kudo Y, Konishi T, et al. Surgical fenestration for lower limb ischemia developing from chronic type B aortic dissection: a report of 2 cases[J]. Ann Vasc Surg, 2016, 31: 208. DOI:10.1016/j.avsg.2015.08.029 |
| [6] | Charlton-Ouw KM, Sritharan K, Leake SS, et al. Management of limb ischemia in acute proximal aortic dissection[J]. J Vasc Surg, 2013, 57(4): 1023-1029. DOI:10.1016/j.jvs.2012.10.079 |
| [7] | Ozaal AMOM, Fernando T. Masquerade presentation of acute type B aortic dissection as isolated acute limb ischaemia treated with endovascular fenestration with angioplasty: a case report[J]. Int J Surg Case Rep, 2022, 92: 106857. DOI:10.1016/j.ijscr.2022.106857 |
| [8] | Li QZ, Chen LW, Shen Y, et al. A modified axillo-femoral perfusion for acute type a aortic dissection accompanied with lower limb malperfusion[J]. J Cardiothorac Surg, 2020, 15(1): 10. DOI:10.1186/s13019-020-1060-2 |
2022, Vol. 31



