患者男,50岁,因“进行性左侧咽痛6 d”于2019年4月30日入院。患者6 d出现左侧牙痛、咽痛,伴发热(体温不详),未予治疗。3 d前咽痛加重,遂至当地医院就诊,CT提示左侧咽旁软组织肿胀伴喉腔变窄,超声提示左侧颌下腺炎,予以头孢米诺钠抗感染治疗后咽痛无好转,并出现呼吸困难及胸闷,左侧颈部肿痛。10 h前转入本院急诊就诊。否认糖尿病、高血压、吸烟、饮酒史。查体:双侧扁桃体无肿大充血,左侧咽侧壁肿胀,左侧颌下及颈部肿胀,压痛明显,局部皮肤红肿,皮温升高。血常规:白细胞计数7.2×109/L、中性粒细胞6.14×109/L、中性粒细胞百分比85.2%。C反应蛋白 > 270.0 mg/L。凝血谱:D-二聚体2960 μg/L、血浆纤维蛋白原10.98 g/L。颈胸部增强CT:左侧咽旁间隙、左侧颈部、中后纵膈脓肿形成,左侧颈内静脉血栓形成考虑,双侧胸腔积液。见图 1。拟诊为咽旁脓肿,纵膈脓肿,左侧颈内静脉血栓,胸腔积液。急诊行颈侧切开咽旁、颈部脓肿切排引流,纵膈胸膜切开排脓、胸腔脓肿清除、胸腔闭式引流。颈部留置引流管2根,食管后间隙留置胸管1根,右侧胸腔留置胸腔引流管1根。脓液送细菌培养和药敏检查。患者带气管插管入住ICU,予注射用亚胺培南西司他丁钠(泰能)0.5 g每6 h一次抗感染,那屈肝素钙注射液(速碧林)0.4 mL每12 h一次抗凝治疗,注射用甲泼尼龙琥珀酸钠(甲泼尼龙)40 mg每日3次抗炎,以及化痰、护胃、补液等对症支持治疗。术后第2天转入普通病房,细菌培养及药敏结果:咽峡炎链球菌,对当前使用抗生素敏感,未更改抗生素。术后2次血培养结果均为阴性。术后持续牙痛并有持续性低热,请口腔外科会诊,考虑牙源性感染,建议待感染控制后拔除病灶牙。术后白细胞总数逐渐增加,C反应蛋白及降钙素原逐渐下降。术后第9天,出现左侧颌下及颈部肿胀,压痛明显,局部皮肤红肿,皮温升高,急诊行颈部及胸部CT提示:咽旁、颈部、纵膈脓肿术后改变,左侧颈部软组织内及上纵隔积气。两肺背侧少许渗出,两侧少量胸腔积液伴部分肺组织膨胀不全,较前5月1日渗出有吸收,积液有增多,右侧叶间包裹性积液。考虑颈部引流不畅,急诊行颈侧切开颌下、咽旁、颈部脓肿切排引流,颈部重新放置2根引流管。术后白细胞总数开始下降。术后22 d出院,复查颈静脉超声(图 2A)提示左侧颈内静脉闭塞,出院后改用利伐沙班片20 mg口服每日3次,抗凝治疗3个月。术后4个月复查超声(图 2B),左侧颈内静脉部分再通。
|
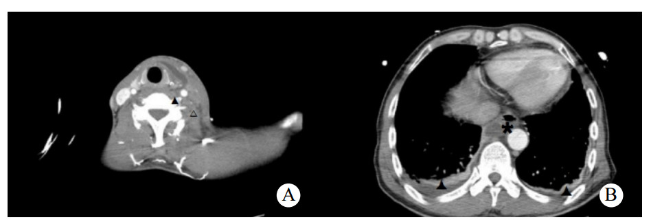
| A:▲为颈部增强CT提示左侧咽旁间隙脓肿形成,△为左侧颈内颈内血栓形成;B:胸部增强CT提示纵隔脓肿,双侧胸腔积液 图 1 入院时的颈胸部增强CT |
|
|
|
| A:出院时,超声提示左侧颈内静脉闭塞;B:术后4个月,超声提示左侧颈内静脉血栓形成后改变,内径变窄,最窄处内径0.11 cm 图 2 出院与术后4个月左侧颈静脉超声 |
|
|
颈深间隙感染(deep neck infectiong,DNI)是指发生在颈深筋膜浅层以下筋膜及其间隙之间的感染性疾病,包括蜂窝织炎和脓肿,多继发于头、面、颈部及上呼吸道感染。由于头颈部复杂的解剖,使得DNI的临床表现多变,难以早期发现,容易引起严重并发症,比如气道压迫引起呼吸困难,坏死性筋膜炎,纵隔脓肿,脓毒血症,颈内静脉血栓性静脉炎等。
血栓的形成原因与血流动力学改变,血液黏度增加及血管内皮受损相关[1]。本例患者颈内静脉无直接压迫,血流动力学无明显改变。故血栓形成的原因可能与血管内皮受损相关。可能的致病机制为细菌或病毒破坏咽部黏膜屏障进入颈部间隙,进而通过直接蔓延、淋巴和血液系统进入颈内静脉导致静脉炎,静脉内膜受损,从而形成血栓。
颈内静脉血栓性静脉炎是DNI的一种罕见却很致命的并发症,又被称为Lemierre综合征,主要表现为继发于口咽部感染后的菌血症、颈内静脉血栓形成及转移性脓毒性栓塞,最早由Lemierre [2]提出,其最常见的病原菌为坏死梭杆菌。常见的感染源有咽源性和牙源性。本例患者发病初期有牙痛,术后牙痛仍未缓解,请口腔外科会诊后,考虑牙源性感染。Lemierre综合征早期症状缺乏特异性,如果出现持续高热或颈部压痛,需高度怀疑[3]。增强CT是诊断Lemierre综合征最好的方法,因为它不仅可以显示颈内静脉血栓,还可以显示肺栓塞、脓胸、骨髓炎、以及脑脓肿、硬膜外脓肿等并发症[4-5]。肺部是继发感染最常见的部位,占全部继发感染的85%。常见肺部病变表现为坏死空洞性病变,但也可表现为肺浸润、胸腔积液、脓胸、肺脓肿和坏死性纵隔炎[5-6]。本例患者的继发感染表现为胸腔积液,纵隔脓肿。本例患者两次血培养均为阴性,可能原因是采集前已使用抗生素或采集方式不规范所致。
Lemierre综合征的治疗包括抗感染,抗凝以及手术治疗。需要选择能够耐β内酰胺酶水解以及具有抗厌氧菌活性的抗生素[7-8],疗程为3~6周[9]。抗凝治疗并非必要的治疗方案,但是对于血栓范围扩大、持续高热或出现逆行性颅内静脉窦血栓时,建议加用抗凝治疗,疗程为6~12周[10]。对于使用充分的抗感染及抗凝治疗无法控制病情的患者,可以选择结扎或切除颈内静脉。本例患者经过亚胺培南西司他丁钠抗感染及速必林抗凝治疗3周后,血栓范围无扩大,故未选择手术。
综上所述,如果DNI患者出现持续高热或颈部肿胀,保守治疗效果不佳,需高度怀疑Lemierre综合征。增强CT或超声可以明确诊断,早诊断早治疗是良好预后的关键。对于确诊者,需予以足量足疗程抗感染及抗凝治疗。对于血栓范围扩大者,需考虑结扎或切除颈内静脉。
利益冲突 所有作者声明无利益冲突
| [1] | Yamashita A, Asada Y. Virchow's triad revisited[J]. South Med J, 2011, 97(1): 213-214. DOI:10.1097/01.SMJ.0000105663.01648.25 |
| [2] | Lemierre A. On certain septicæmias due to anaerobic organisms[J]. Lancet, 1936, 227(5874): 701-703. DOI:10.1016/S0140-6736(00)57035-4 |
| [3] | Osowicki J, Kapur S, Phuong LK, et al. The long shadow of lemierre's syndrome[J]. J Infect, 2017, 74(Suppl 1): S47-S53. DOI:10.1016/S0163-4453(17)30191-3 |
| [4] | Li YH, Wang CH, Jean SS, et al. Lemierre syndrome complicating deep neck infection and descending necrotizing mediastinits caused by odontogenic infections[J]. J Microbiol Immunol Infect, 2020, 53(2): 357-359. DOI:10.1016/j.jmii.2019.10.002 |
| [5] | Lee WS, Wang FD, Shieh YH, et al. Lemierre syndrome complicating multiple brain abscesses caused by extended-spectrum β-lactamase-producing Klebsiella pneumoniae cured by fosfomycin and meropenem combination therapy[J]. J Microbiol Immunol Infect, 2012, 45(1): 72-74. DOI:10.1016/j.jmii.2011.09.012 |
| [6] | WALKTY A, EMBIL J. Lemierre's Syndrome[J]. N Engl J Med, 2019, 380(12): e16. DOI:10.1056/NEJMicm1808378 |
| [7] | Nord CE, Heimdahl A, Tunér K. Beta-lactamase producing anaerobic bacteria in the oropharynx and their clinical relevance[J]. Scand J Infect Dis Suppl, 1988, 57: 50-54. |
| [8] | Brook I. Infections caused by beta-lactamase-producing Fusobacterium spp. in children[J]. Pediatr Infect Dis J, 1993, 12(6): 532-533. DOI:10.1097/00006454-199306000-00014 |
| [9] | Bergeron MG, Robert J, Beauchamp D. Pharmacodynamics of antibiotics in fibrin clots[J]. J Antimicrob Chemother, 1993, 31(Suppl D): 113-136. DOI:10.1093/jac/31.suppl_d.113 |
| [10] | Golpe R, Marín B, Alonso M. Lemierre's syndrome (necrobacillosis)[J]. Postgrad Med J, 1999, 75(881): 141-144. DOI:10.1136/pgmj.75.881.141 |
2022, Vol. 31



