2. 济南市第四人民医院检验科,济南 250031
患者男,52岁,因“头痛8 d,视力下降5 d”2021年8月24日入住本院耳鼻喉科。患者8 d前受凉后出现头痛,伴双侧鼻塞和嗅觉减退,无涕中带血,无鼻腔异味,无眶周肿痛,无视力下降,自行口服头孢类抗生素治疗3 d,头痛较前减轻。5 d前出现眼周胀痛、红肿,视力下降,就诊眼科及耳鼻喉门诊,行颅脑MR检查:鼻窦炎。眼眶CT:左眶内炎症。给予抗炎治疗3 d,无效。既往史:糖尿病病史10余年,未治疗,平素未检测血糖。查体:体温36.1 ℃,脉搏64次/min,呼吸频率16次/min,血压130/81 mmHg,神志清,左眼突出,视物不见,左侧上睑下垂,眼球各方位运动受限,球结膜充血(+++)、结膜下出血(++),球结膜呈紫红色表现,全角膜白色浑浊,余眼内结构无法窥见。右眼查体未见异常。鼻外形正常,鼻根部皮肤充血(见图 1)。辅助检查:电子鼻咽镜示左侧鼻腔内大量干痂附着,予以清理后见部分痂皮与下鼻甲组织黏连紧密,中鼻道见少许菌丝样物质,少许白色分泌物流出,局部见质软肉芽组织,左侧中鼻道、嗅裂未窥及,鼻中隔略右偏,右侧鼻腔未见明显新生物(见图 2)。
|
| 患者左眼突出,左侧上睑下垂遮挡角膜,球结膜充血(+++)、结膜下出血(++),球结膜呈紫红色表现,全角膜白色浑浊。鼻外形正常,鼻根部皮肤充血 图 1 患者鼻眶部病变 |
|
|
|
| 电子鼻咽镜:左侧鼻腔内大量干痂附着,中鼻道见少许菌丝样物质,局部见质软肉芽组织 图 2 患者8月24日鼻咽镜检查结果 |
|
|
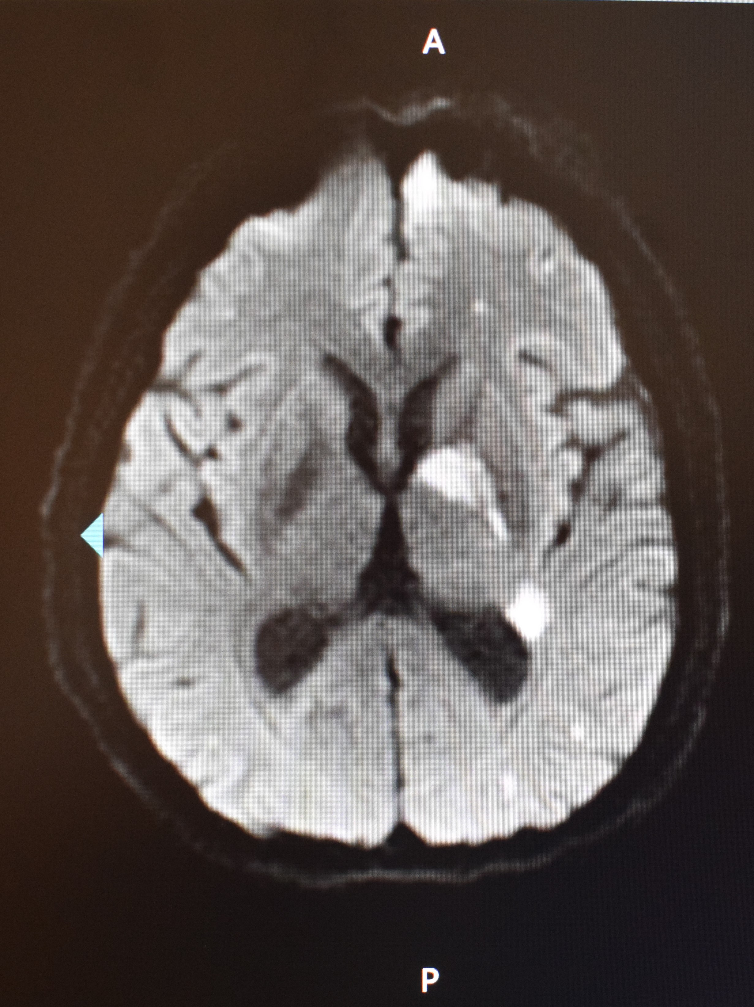
8月25日行鼻内镜下左侧鼻腔、鼻窦、颅底感染清创术与左侧眶内侧壁、眶底壁减压术。术中见左侧鼻腔外侧壁、下鼻甲、鼻顶、鼻中隔黏膜大面积坏死、结痂,左侧鼻泪管、眶筋膜以及面部软组织受累,眶内脂肪组织水肿。术中冷冻快速病理:送检组织慢性炎,另见炎性坏死组织,其内查见真菌菌团,考虑毛霉菌感染(见图 3)。术后第1天发热,体温最高38.0 ℃,给予口服泊沙康唑、头孢曲松,胰岛素控制血糖等治疗。G试验和GM试验阴性,鼻拭子细菌培养阴性。患者于8月28日20:00出现言语混乱、右侧肢体肌力降低,MRI示左侧大脑半球、基底节区多发急性梗死(见图 4),皮下注射依诺肝素钠注射液40 mg每12 h一次抗凝、口服阿司匹林100 mg 3次/d抗血小板、扩血管等治疗。患者眶蜂窝织炎,请眼科会诊,建议继续抗感染治疗、处理脑梗死,待病情平稳后处理眼部病变。经过抗感染治疗,患者仍反复发热,结合患者嗜睡等,考虑可能合并颅内感染,将抗生素升级为美罗培南。于8月30日回当地医院继续治疗。
|
| 术中冷冻快速病理:送检组织慢性炎,另见炎性坏死组织,其内查见真菌菌团,考虑毛霉菌感染。 图 3 患者8月25日左侧鼻腔组织病理图片(HE×400) |
|
|
|
| 患者颅脑MRI(DWI)示左侧大脑半球、基底节区多发急性梗死 图 4 患者8月28日颅脑MRI(DWI) |
|
|
患者在外院治疗期间仍反复发热,体温最高值38.8 ℃,左眼睑肿胀加重,可见分泌物溢出。遂于8月31日就诊于急诊科,多学科会诊考虑鼻眶真菌感染,脑内多发栓塞可能性大,不排除左侧额叶病变感染可能,建议应用美罗培南、万古霉素,继续口服泊沙康唑治疗,应用左氧氟沙星及那他霉素滴眼液滴眼。遵会诊意见用药。9月8日复查颅脑CT示脑出血(见图 5)。再次组织多学科会诊,修正诊断:(1)鼻-眶-脑毛霉菌病;(2)急性脑梗死;(3)急性脑出血;(4)糖尿病。
|
| 颅脑CT示左侧额叶脑出血 图 5 患者9月8日颅脑CT |
|
|
患者于次日转入ICU,继续给予两性霉素B脂质体静滴联合泊沙康唑鼻饲抗真菌治疗,考虑患者目前严重革兰阴性杆菌感染证据不足,抗生素降级为哌拉西林他唑巴坦钠。眼部有手术指征,征得家属同意,9月13日在全麻下行左眼眼内容剜除术。术后2 d停用泊沙康唑口服制剂,改用泊沙康唑注射液联合两性霉素B抗真菌治疗,余治疗同前。后患者病情好转,自主呼吸平稳,于9月18日出院转入当地医院继续治疗。保持随访,现病情稳定。
2 讨论毛霉病是一种罕见的血管侵袭性真菌感染性疾病,毛霉菌可直接损伤内皮细胞,并侵入血管,导致血栓形成、坏死和梗死[1]。鼻-眶-脑型毛霉菌可通过血管扩散至鼻窦、眼球、颅内。初期多为鼻塞、鼻部肿胀疼痛或由其引发的头痛,伴有发热,如未及时处理,感染可于数天内进展至眼眶及颅内,从而出现颅眼眶水肿、视力下降、昏睡等症状;严重者可致瘫痪、昏迷甚至死亡。根据病变范围,可将鼻-眶-脑毛霉病分为4期:Ⅰ期局限于鼻腔;Ⅱ期累及同侧鼻窦和眼眶;Ⅲ期累及颅内,没有或只有局限性的认知障碍;Ⅳ期双侧鼻、眼眶及脑均有累及,伴有意识丧失或偏瘫[2]。本病例患者初期症状为鼻塞、头痛,数天后即出现眼眶肿胀伴有视力下降,治疗过程中相继出现脑梗死、脑出血,符合较为典型的病程进展过程。其初诊时为Ⅱ期,最终进展至Ⅳ期。
组织病理学在鼻-眶-脑毛霉病的诊断中具有重要作用,组织中发现真菌菌丝和孢子为诊断所必需,HE染色下可见粗大、不规则、无分隔的菌丝,分枝多呈直角[1]。血培养的价值有限,即使是播散性疾病,通常也是阴性的。
对怀疑患有毛霉病的免疫功能低下患者,指南[3-4]推荐即刻启动治疗,同时应尽一切可能确诊。在所有系统感染中,指南优先推荐两性霉素B脂质体进行一线治疗,每日剂量5 mg/kg。如合并中枢神经系统感染,指南建议每日剂量为10 mg/kg。初始剂量应为最大剂量,不应缓慢增加剂量。艾沙康唑、泊沙康唑缓释片和静脉剂型也可用于毛霉菌病的一线治疗。同时,还应积极控制原发病,如控制血糖、调整免疫抑制剂剂量等[1]。治疗毛霉病所需时间取决于感染程度及基础疾病,常数周至数月。指南[3-4]建议,如果免疫状态得到改善,则可持续治疗直至症状和体征消失,以及感染和影像学显著改善。艾沙康唑或泊沙康唑可作为维持期治疗药物。除系统性抗真菌治疗外,推荐尽早对毛霉病进行完整的外科手术治疗。
总结此患者特点:(1)既往糖尿病史,血糖控制欠佳,HbA1C 11.1%;(2)起病急,感染进展快;(3)涉及多个学科,包括急诊科、耳鼻喉科、神经内科、眼科、神经外科、重症医学科等,治疗上需要手术及非手术学科的配合;(4)临床医师对本病的认识较少,因早期临床表现类似一般的细菌感染,故未能早期诊断。因此,早期诊断、去除诱因、恰当的感染组织手术切除以及抗真菌治疗是降低毛霉病病死率的关键。
利益冲突 所有作者声明无利益冲突
| [1] | 李东明. 鼻-眶-脑真菌病及其诊疗对策[J]. 中国真菌学杂志, 2012, 7(5): 257-260. DOI:10.3969/j.issn.1673-3827.2012.05.001 |
| [2] | Talmi YP, Goldschmied-Reouven A, Bakon M, et al. Rhino-orbital and rhino-orbito-cerebral mucormycosis[J]. Otolaryngol Head Neck Surg, 2002, 127(1): 22-31. DOI:10.1067/mhn.2002.126587 |
| [3] | Cornely OA, Alastruey-Izquierdo A, Arenz D, et al. Global guideline for the diagnosis and management of mucormycosis: an initiative of the European Confederation of Medical Mycology in cooperation with the Mycoses Study Group Education and Research Consortium[J]. Lancet Infect Dis, 2019, 19(12): e405-e421. DOI:10.1016/S1473-3099(19)30312-3 |
| [4] | 梁官钊, 刘维达. 2019年欧洲毛霉病诊疗指南解读[J]. 中国真菌学杂志, 2021, 16(2): 116-120. DOI:10.3969/j.issn.1673-3827.2021.02.010 |
2022, Vol. 31



