慢性胰腺炎是一种胰腺进行性炎性改变综合征,可导致胰腺结构永久性损害,从而引起外分泌和内分泌功能不全。其两大临床表现为腹痛和胰腺功能不全,虽然此病有别于急性胰腺炎(胰腺损伤后的一种急性炎症反应,通常为非进行性),但两者可能重叠,急性胰腺炎反复发作可能逐渐形成慢性胰腺炎。近年来发现基因突变与慢性胰腺炎有关。此类基因包括:导致囊性纤维化的CFTR基因、编码胰蛋白酶抑制剂的丝氨酸蛋白酶抑制剂Kazal 1型基因(Sefine protease inhibitor Kazal type1, SPINK-1基因),以及与遗传性胰腺炎有关的PRSS-1基因。2021年1月26日北京协和医院收治了一位SPINK1基因阳性的患者,现将诊治经过报道如下。
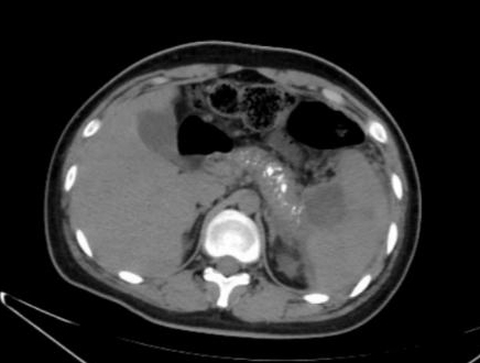
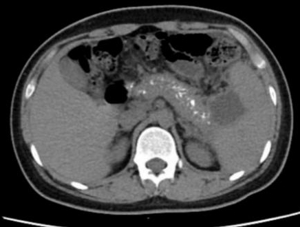
1 资料与方法患者男,17岁,主因“反复腹痛2年,加重伴发热2 d”来诊。患者于2019年起常于进食后出现腹部不适、纳差、腹痛,服用“胃药”对症处理后可好转,此后反复发作,频繁时半月发作一次。2020年9月下旬患者进食油腻食物后出现脐周及左中腹部胀痛,无恶心、呕吐,当地医院腹部CT提示:慢性胰腺炎急性发作,经对症治疗后2~3 d好转,此后每月有类似症状发作一次。2021年1月18日到本院基本外科门诊查胰腺功能,血清淀粉酶73 U/L,脂质624 U/L; 血钙正常; 血脂4项正常; 检查肿瘤指标,CA-125: 46.9 U/mL(升高),余为阴性; 甲状旁腺素正常; 血清IgG四项:IgG3 154 mg/L(降低),IgG4 1 600 mg/L(升高)。腹盆CT示胰腺多发钙化,胰尾囊肿形成(图 1)。1月22日患者进食汤面后出现腹部不适、纳差、乏力。1月24日晨起后出现腹部剧烈疼痛,伴发热,最高37.6℃,无恶心呕吐,无腹泻,于本院急诊就诊查血象正常,超敏C反应蛋白142.15 mg/L,胰腺功能:血清淀粉酶130 U/L, 脂质1 127 U/L。行腹盆CT检查示:胰腺饱满伴多发钙化,胰周脂肪密度稍增高,可见多发索条影,符合慢性胰腺炎改变(图 2)。予厄他培南抗感染及抑酸、补液等支持治疗后症状略好转,于1月26日收入本院急诊留观继续治疗。既往史:早产儿(32周),右桡骨小头骨纤维瘤术后,过敏性哮喘。个人史:否认饮酒史。家族史:父母体健,无其他特殊情况。
|
| 图 1 患者2021-01-19腹部CT |
|
|
|
| 图 2 患者2021-01-24腹部CT |
|
|
患者入院后查体:腹软,中上腹及中下腹压痛,完善各项免疫指标阴性,血ACTH、血总皮质醇大致正常,给予禁食水、抑酸、补充胰酶、置入空肠营养管肠内营养等对症治疗。本科室上级医师查房意见:结合患者病史,考虑患者慢性胰腺炎病因暂不支持胆源性、酒精性、高脂血症、高钙血症等相关,因起病年龄较早,反复发作,故不排除遗传性胰腺炎可能。于1月27日外送患者外周血清行全外显子基因检测,并同时送检患者父母双方血清进行验证。3月3日基因结果回报:该样本在遗传性胰腺炎、热带钙化性胰腺炎相关基因SPINK1存在两处杂合变异,一个为致病变异,一个为临床意义未明变异。家系验证结果显示此双杂合变异均来自于其母亲。在外显子水平未发现明确和疾病相关的拷贝数变异(表 1)。
| 基因 | 变异位点(GRCh37/hg19) | 合子型 | 正常人群携带率 | 转录版本基因亚区 | 家系验证 | ACMG变异评级 | 疾病信息 |
| SPINK1 | c.194+2T > Cchr5-147207583[1-7]splice-5 | 杂合31/350.53 | 0.0003037 | NM_003122.3 intron3 | 母源 | Pathogenic | 1、遗传性胰腺炎(AD) 2、热带钙化性胰腺炎(A R,AD) |
| SPINK1 | c.-120-u95G > A chr5-147211355[8] | 杂合64/630.50 | 0.0002260 | NM_003122.3- | 母源 | VUS | 1、遗传性胰腺炎(AD) 2、热带钙化性胰腺炎(A R,AD) |
| 注:ACMG变异评级:Pathogenic为致病变异、Likely Pathogenic为疑似致病变异、VUS为临床意义未明变异、Likely benign为疑似良性变异、Benign为良性变异; 数据解读规则参考美国医学遗传学和基因组学学院(American College of Medical Genetics and Genomics, ACMG)相关指南 | |||||||
SPINK1基因(又称胰腺分泌性胰蛋白酶抑制剂基因)编码胰腺分泌性胰蛋白酶抑制剂,其作为一种急性期反应物受到调节。在炎症过程中,其在胰腺腺泡细胞中表达,正常情况下作为关键的胰蛋白酶自杀性抑制剂。SPINK1突变会干扰这种保护机制,易发生胰腺炎[1]。SPINK1基因与遗传性胰腺炎、纤维性胰腺糖尿病,易感、热带钙化性胰腺炎相关,报道为常染色体隐性或显性遗传(AR/AD),理论上纯合、复合杂合变异及单杂合变异都有可能致病,与变异位点类型相关。在父母双方均存在SPINK1突变的家族中,该基因突变可导致呈常染色体隐性遗传的家族性胰腺炎。文献记录SPINK1基因有外显不全的报道,外显率为80%[2]。但是,多数存在SPINK1突变的慢性胰腺炎患者为杂合子,出现复杂的遗传模式。SPINK1纯合或复合杂合突变可引起胰蛋白酶抑制功能完全丧失,从而导致复发性胰腺炎。而SPINK1杂合突变通常只在伴有另一个诱发因素(如CFTR、CaSR或CTRC突变)时,才会引起胰腺炎发病[3]。存在SPINK1突变的患者临床病程通常比其他原因所致的复发性急性胰腺炎更严重,进展至慢性胰腺炎的速度也更快[4-5]。
SPINK1突变在一般人群中比较常见,2%的健康人群携带“高危”突变[6],但只有不到1%的携带者会发生胰腺炎[7]。尽管如此,SPINK1基因突变携带者发生慢性胰腺炎的风险为一般人群的12倍左右。在4项纳入疑似特发性慢性胰腺炎患者的病例系列研究中,SPINK1基因突变率为15%~23%[4, 8-10]。其中一项研究显示,特发性慢性胰腺炎或复发性急性胰腺炎患者的SPINK1突变率高于对照组(19.5% vs. 2.6%)[10]。在美国和欧洲,SPINK1N34S高危单倍型是最常见的变异; 而在日本、中国和韩国,SPINK1 IVS3+2T > C变异也很常见[11]。研究显示SPINK1基因变异与特发性胰腺炎、酒精性胰腺炎、家族性胰腺炎及热带胰腺炎均有相关性[12]。由于只有在发生导致胰蛋白酶反复激活的上游问题时,才需要SPINK1编码的胰蛋白酶抑制剂存在,所以SPINK1杂合突变的胰腺炎患者通常具有复杂的遗传学,如基因-基因或基因-环境相互作用[12]。因此,SPINK1突变很可能作为一种疾病修饰因素,降低了其他遗传因素或环境因素引发胰腺炎的阈值。
在排除了胆石病、大量饮酒、胆管或胰管梗阻以及用药等急性胰腺炎的主要病因后,在临床上有必要进行基因检测,以评估特发性急性胰腺炎、复发性急性胰腺炎和慢性胰腺炎患者[13-15]。若胰腺炎患者满足以下1个或多个标准,建议行胰腺炎易感基因检测[6, 16]:(1)儿童期有不明原因胰腺炎发作的病史; (2)特发性慢性胰腺炎,尤其是在25岁之前发病的胰腺炎; (3)有复发性急性胰腺炎、特发性慢性胰腺炎或儿童期不明原因胰腺炎的家族史; (4)已知亲属携带遗传性胰腺炎相关基因突变; (5)急性胰腺炎反复发作且无明确病因; (6)患者有资格被纳入已获批准的研究计划。并建议所有接受基因检测的患者在检测前后均应接受遗传咨询[6, 17-18]。近年来基因检测技术的进步为今后临床诊断不明原因胰腺炎提供了更先进便捷的途径,从而也为其他病因不明的各专科疾病提供了新的诊断思路。
利益冲突 所有作者声明无利益冲突
| [1] | DiMagno MJ, DiMagno EP. Chronic pancreatitis[J]. Curr Opin Gastroenterol, 2012, 28(5): 523-531. DOI:10.1097/MOG.0b013e3283567dea |
| [2] | Sibert JR. Hereditary pancreatitis in England and Wales[J]. J Med Genet, 1978, 15(3): 189-201. DOI:10.1136/jmg.15.3.189 |
| [3] | Felderbauer P, Hoffmann P, Einwächter H, et al. A novel mutation of the calcium sensing receptor gene is associated with chronic pancreatitis in a family with heterozygous SPINK1 mutations[J]. BMC Gastroenterol, 2003, 3: 34. DOI:10.1186/1471-230X-3-34 |
| [4] | Abu-El-Haija M, Valencia CA, Hornung L, et al. Genetic variants in acute, acute recurrent and chronic pancreatitis affect the progression of disease in children[J]. Pancreatology, 2019, 19(4): 535-540. DOI:10.1016/j.pan.2019.05.001 |
| [5] | Aoun E, Muddana V, Papachristou GI, et al. SPINK1 N34S is strongly associated with recurrent acute pancreatitis but is not a risk factor for the first or sentinel acute pancreatitis event[J]. Am J Gastroenterol, 2010, 105(2): 446-451. DOI:10.1038/ajg.2009.630 |
| [6] | Fink EN, Kant JA, Whitcomb DC. Genetic counseling for nonsyndromic pancreatitis[J]. Gastroenterol Clin North Am, 2007, 36(2): 325-333. DOI:10.1016/j.gtc.2007.03.007 |
| [7] | Pfützer RH, Barmada MM, Brunskill AP, et al. SPINK1/PSTI polymorphisms act as disease modifiers in familial and idiopathic chronic pancreatitis[J]. Gastroenterology, 2000, 119(3): 615-623. DOI:10.1053/gast.2000.18017 |
| [8] | Teich N, Bauer N, Mössner J, et al. Mutational screening of patients with nonalcoholic chronic pancreatitis: identification of further trypsinogen variants[J]. Am J Gastroenterol, 2002, 97(2): 341-346. DOI:10.1111/j.1572-0241.2002.05467.x |
| [9] | Witt H, Luck W, Hennies HC, et al. Mutations in the gene encoding the serine protease inhibitor, Kazal type 1 are associated with chronic pancreatitis[J]. Nat Genet, 2000, 25(2): 213-216. DOI:10.1038/76088 |
| [10] | Schneider A, Barmada MM, Slivka A, et al. Clinical characterization of patients with idiopathic chronic pancreatitis and SPINK1 Mutations[J]. Scand J Gastroenterol, 2004, 39(9): 903-904. DOI:10.1080/00365520410006710 |
| [11] | Shimosegawa T, Kume K, Masamune A. SPINK1, ADH2, and ALDH2 gene variants and alcoholic chronic pancreatitis in Japan[J]. J Gastroenterol Hepatol, 2008, 23(Suppl 1): S82-S86. DOI:10.1111/j.1440-1746.2007.05291.x |
| [12] | Aoun E, Chang CC, Greer JB, et al. Pathways to injury in chronic pancreatitis: decoding the role of the high-risk SPINK1 N34S haplotype using meta-analysis[J]. PLoS One, 2008, 3(4): e2003. DOI:10.1371/journal.pone.0002003 |
| [13] | Vivian E, Cler L, Conwell D, et al. Acute pancreatitis task force on quality: development of quality indicators for acute pancreatitis management[J]. Am J Gastroenterol, 2019, 114(8): 1322-1342. DOI:10.14309/ajg.0000000000000264 |
| [14] | Guda NM, Muddana V, Whitcomb DC, et al. Recurrent acute pancreatitis: international state-of-the-science conference with recommendations[J]. Pancreas, 2018, 47(6): 653-666. DOI:10.1097/MPA.0000000000001053 |
| [15] | Kleeff J, Whitcomb DC, Shimosegawa T, et al. Chronic pancreatitis[J]. Nat Rev Dis Primers, 2017, 3: 17060. DOI:10.1038/nrdp.2017.60 |
| [16] | Ellis I, Lerch MM, Whitcomb DC, et al. Genetic testing for hereditary pancreatitis: guidelines for indications, counselling, consent and privacy issues[J]. Pancreatology, 2001, 1(5): 405-415. DOI:10.1159/000055840 |
| [17] | Solomon S, Whitcomb DC. Genetics of pancreatitis: an update for clinicians and genetic counselors[J]. Curr Gastroenterol Rep, 2012, 14(2): 112-117. DOI:10.1007/s11894-012-0240-1 |
| [18] | Kumar A, Ajilore O, Zhang AF, et al. Cortical thinning in patients with late-life minor depression[J]. Am J Geriatr Psychiatry, 2014, 22(5): 459-464. DOI:10.1016/j.jagp.2012.12.010 |
2022, Vol. 31



