2. 嘉兴市第一医院(嘉兴学院附属医院)中心实验室,嘉兴 314001
2. Key Laboratory, the First Hospital of Jiaxing (Affiliated Hospital of Jiaxing University), Jiaxing 314001, China
急性呼吸窘迫综合征(acute respiratory distress syndrome, ARDS)的特征是低氧血症和肺部或肺外因素引起的双侧肺脏弥漫性病变,肺部感染是ARDS最常见的病因,包括新型冠状病毒肺炎(Corona Virus Disease 2019, COVID-19)[1-3]。在我国需要住院治疗的社区获得性肺炎患者中,急性肾损伤(acute kidney injury, AKI)发生率22.5%,而COVID-19在住院患者中AKI发病率高达33%~43%[4-6]。近年来,肺肾串扰已经成为一个越来越受关注的话题,但其发生机制尚不完全清楚[7]。肺损伤可能通过多种机制恶化肾功能,包括细胞因子风暴、血流动力学不稳定、氧化应激等[8-9]。肾脏的静息代谢率、线粒体含量和耗氧量仅次于心脏。肾小管对低氧血症敏感,机体缺氧容易引起肾纤维化的发展和加重[10-11]。姜黄素是姜黄植物的酚类化合物,体外和体内实验均证实姜黄素具有抑制肝纤维化、肺纤维化等作用[12-14]。本研究通过气道内雾化脂多糖(lipopolysaccharide, LPS)复制大鼠ARDS模型,旨在探讨姜黄素后处理对大鼠肾纤维化的抑制作用及其潜在机制。
1 材料与方法 1.1 实验动物健康雄性清洁级SD大鼠24只,8周龄,体重240~280 g,由江苏青龙山实验动物繁殖场提供,许可证号:SCXK(苏)2017-0001。动物伦理批准获得嘉兴学院伦理审查委员会的伦理批准,符合动物实验福利与伦理的基本要求。实验动物被安置在标准动物房间,温度18~22 ℃,湿度55%~60%,光照周期12 h,明暗交替。让大鼠适应环境1周,定期评估食欲、体重、呼吸、毛发状况、粪便稠度和异常行为等情况。
1.2 主要试剂与设备本研究使用姜黄素、LPS(sigma公司,美国)、兔抗核转录因子κB p65(nuclear factor-kappa beta p65, NF-κB p65)抗体、兔抗转化生长因子-β1(transforming growth factor-β1, TGF-β1)抗体(Abcam公司,美国)、十二烷基硫酸钠聚丙烯酰胺凝胶电泳试剂盒(百仟度生物公司,中国)、二喹啉甲酸(bicinchoninic acid, BCA)蛋白定量试剂盒、超氧化物歧化酶(superoxide dismutase, SOD)检测试剂盒(南京建成生物工程研究所)、丙二醛(malondialdehyde, MDA)检测试剂盒(碧云天生物技术有限公司,中国)、谷胱甘肽(glutathione, GSH)试剂盒(BioVision公司,美国)反转录试剂盒(Thermo公司,美国)、荧光定量试剂盒(Roche公司,德国)、引物(武汉金开瑞生物科技有限公司)、聚偏二氟乙烯膜(polyvinylidene fluoride, PVDF)膜(Millipore公司,美国)、DAB显色液(武汉博士德生物工程有限公司)、酶标检测仪(Rayto公司,美国)、数码摄像显微图像系统(奥林巴斯公司,日本)、气管内雾化给药系统(上海塔望智能科技有限公司)、医用X射线胶片(柯达公司,美国)、PCR仪(上海宏石医疗器械有限公司)、分光光度计(Thermo公司,美国)。
1.3 ARDS动物模型建立及分组采用随机数字表法将24只成年SD大鼠分为对照组、ARDS组、低剂量组(姜黄素100 mg/kg)、高剂量组(姜黄素200 mg/kg),每组6只。SD大鼠经12 h禁食,以1 mL/kg的剂量腹腔注射3%的戊巴比妥钠进行麻醉,麻醉成功后,将大鼠固定在平台上。实验组经雾化给药系统气管内给予LPS(4 mg/kg,2 mg LPS溶解在1 mL 0.9% 氯化钠溶液中)雾化吸入。最后将大鼠放回笼中,自由饮水,24 h后氧合指数(PaO2/FiO2)≤300认为模型建立[15]。对照组只给予等容积0.9%氯化钠溶液雾化吸入。在ARDS模型复制后连续7 d,低剂量组每日给予胃内灌注姜黄素100 mg/kg,高剂量组每日给予胃内灌注姜黄素200 mg/kg。
各组大鼠于模型建立后7 d,腹腔注射3%的戊巴比妥钠1 mL/kg充分麻醉大鼠。放血处死大鼠、迅速分离肾脏,取出右侧肾脏,80℃保存,比色法检测肾脏组织SOD的活力、MDA含量、GSH水平;蛋白免疫印迹技术(Western Blot)检测NF-κB p65、TGF-β1蛋白表达;实时定量PCR(quantitative real-time PCR, qRT-PCR)检测白细胞介素6(interleukin-6, IL-6)、脯氨酸羟化酶3(prolyl hydroxylase3, PHD3)、血管内皮生长因子(vascular endothelial growth factor, VEGF)和促红细胞生成素受体(erythropoietin receptor, EPOR)的mRNA表达;左侧肾脏置于4%多聚甲醛固定行肾组织苏木精-伊红(HE)染色和Masson染色。
1.4 Western Blot检测NF-κB p65、TGF-β1蛋白表达用RIPA裂解缓冲液从肾组织中提取总蛋白,用BCA蛋白检测试剂盒检测浓度。每个样本总蛋白取40 μg在10% SDS-PAG中分离蛋白样品,并通过电印迹法将其转移到PVDF膜上。在室温下,将PVDF膜在5%脱脂奶粉中封闭1 h。加入一抗4 ℃过夜,用PBST洗涤后,用二抗在室温下培养30 min,用TBST再进行4次洗涤;添加ECL检测溶液,在暗室中,X射线胶片曝光后进行显影和定影,获得化学发光的蛋白质条带,并使用ImageJ软件测量条带密度进行蛋白质定量分析。用β-actin的吸光度OD值校准每个标记蛋白的OD值。
1.5 qRT-PCR检测IL-6、PHD3、VEGF、EPOR的mRNA表达根据制造商的说明,用Trizol试剂盒从肾组织中分离总RNA,使用NanoDrop 2000超微量分光光度计检测RNA的浓度和纯度,所有RNA提取物均按适当比例稀释至终浓度200 ng/μL。按照cDNA合成试剂盒说明,将总RNA反向转录成cDNA。根据qRT-PCR试剂盒说明,PCR方法如下:预变性(95 ℃,30 s),变性(95 ℃,5 s),退火延伸(60 ℃,20 s),循环40次。采用2-∆∆Ct法测定相对表达量,以β-actin为内参基因。PCR引物序列如表 1所示。
| 基因 | 引物序列(5’-3’) |
| IL-6 | 正向引物5’-ACCGCTATGAAGTTCCTCTCTGCAA -3’ |
| 反向引物5’-TGCAGGTTGCTCAAGCAGCA-3’ | |
| PHD3 | 正向引物5’-CTCCTATGCCACCAGGTACG-3’ |
| 反向引物5’-ACAAGGTAGGGAGCCAAACG -3’ | |
| VEGF | 正向引物5’-AGAAGGGGAGCAGAAAGCCC -3’ |
| 反向引物5’-CAAGGCTCACAGTGATTTTCTGG -3’ | |
| EPOR | 正向引物5’-TAGCGACTTGGACCCTCTCA -3’ |
| 反向引物5’-GCAACAGCCATAGCTGGAAGT -3’ | |
| β-actin | 正向引物5’-GTGACGTTGACATCCGTAAAGA-3’ |
| 反向引物5’-CCAGTTGGTAACAATGCCATGT -3’ | |
| 注:IL-6为白介素6,PHD3为脯氨酸羟化酶3,VEGF为血管内皮生长因子,EPOR为促红细胞生成素受体,β-actin为β-肌动蛋白 | |
切取肾脏组织置于4%甲醛溶液中固定,常规石蜡包埋,制作5 µm切片,常规HE染色及Masson染色。光镜下观察肾脏组织炎性改变及胶原合成情况。
1.7 统计学方法采用SPSS 18.0进行统计学分析。计量资料服从呈正态分布,以均数±标准差(x±s)表示,多组间比较采用单因素方差分析,两两组间采用SNK法比较。以P < 0.05为差异有统计学意义。
2 结果 2.1 各组大鼠肾脏组织SOD活性、MDA含量及GSH水平结果ARDS动物模型建立后,给予姜黄素干预7 d后,各组大鼠肾脏组织SOD活性、MDA含量及GSH水平如表 2所示。与对照组比较,ARDS组、低剂量组和高剂量组肾脏组织SOD活性及GSH水平降低,MDA含量升高(均P < 0.05);经姜黄素干预后,低剂量组和高剂量组肾脏组织SOD活性及GSH水平较ARDS组升高,MDA含量降低(均P < 0.05);与低剂量组比较,高剂量组SOD活性及GSH水平升高、MDA含量降低明显,差异有统计学意义(均P < 0.05)。
| 组别(n=6/组) | SOD(U/mg) | MDA(µmol/mg) | GSH(µmol/mg) |
| 对照组 | 739±11 | 139±35 | 186±32 |
| ARDS组 | 443±92a | 386±24a | 50±14a |
| 低剂量组 | 560±16ab | 331±38ab | 99±15ab |
| 高剂量组 | 664±29abc | 245±58abc | 134±10abc |
| F值 | 41.214 | 65.604 | 51.083 |
| P值 | < 0.001 | < 0.001 | < 0.001 |
| 注:SOD为超氧化物歧化酶,MDA为丙二醛,GSH为谷胱甘肽,ARDS为急性呼吸窘迫综合征;与对照组比较,aP < 0.05;与ARDS组比较,bP < 0.05;与低剂量组比较,cP < 0.05 | |||
与对照组相比,ARDS组、低剂量组和高剂量组NF-κB p65、TGF-β1的蛋白相对表达水平上调,差异有统计学意义(均P < 0.05);经姜黄素干预后,低剂量组和高剂量组NF-κB p65和TGF-β1的蛋白表达水平较ARDS组显著下调(均P < 0.05);高剂量组下调明显,与低剂量组比较差异有统计学意义(均P < 0.05)。见图 1。
|
| 与对照组比较,aP < 0.05;与ARDS组比较,bP < 0.05;与低剂量组比较,cP < 0.05 图 1 各组大鼠NF-κB p65、TGF-β1蛋白的表达(n=6/组) Fig 1 The relative protein expression levels of NF-κB p65, TGF-β1 in rats of each group (n=6 per group) |
|
|
与对照组比较,ARDS组、低剂量组和高剂量组肾脏组织IL-6 mRNA、PHD3 mRNA、VEGF mRNA、EPOR mRNA表达明显表达水平上调(均P < 0.05);经姜黄素干预后,低剂量组和高剂量组肾脏组织IL-6 mRNA、PHD3 mRNA、VEGF mRNA、EPOR mRNA表达水平较ARDS组显著下降(均P < 0.05);高剂量组明显下降,与低剂量组比较差异有统计学意义(均P < 0.05)。见表 3。
| 组别(n=6/组) | IL-6 mRNA | PHD3 mRNA | VEGF mRNA | EPOR mRNA |
| 对照组 | 1.00±0.14 | 1.00±0.07 | 1.00±0.09 | 1.00±0.23 |
| ARDS组 | 3.94±0.51a | 10.65±1.96a | 9.80±2.27a | 11.73±1.91a |
| 低剂量组 | 2.01±0.31ab | 5.66±1.24ab | 6.98±1.06ab | 7.43±1.93ab |
| 高剂量组 | 1.42±0.25abc | 3.26±0.42abc | 4.83±0.69abc | 3.49±0.50abc |
| F值 | 93.567 | 73.736 | 48.714 | 68.945 |
| P值 | < 0.001 | < 0.001 | < 0.001 | < 0.001 |
| 注:IL-6为白介素6,PHD3为脯氨酸羟化酶3,VEGF为血管内皮生长因子,EPOR为促红细胞生成素受体,ARDS为急性呼吸窘迫综合征;与对照组比较,aP < 0.05;与ARDS组比较,bP < 0.05;与低剂量组比较,cP < 0.05 | ||||
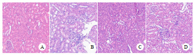
HE染色后光学显微镜下具体表现如图 2所示。对照组肾脏没有明显病理学改变;ARDS组大鼠肾脏炎症细胞浸润,肾小管上皮细胞水肿,淡染。给予姜黄素治疗后,低剂量组可见上皮细胞水肿,淡染;高剂量组可见上皮细胞水肿减退,仅见局部炎症细胞浸润。Masson染色后光学显微镜下具体表现如图 3所示。对照组肾脏没有明显纤维化的病理学改变;ARDS组大鼠肾脏大量蓝色胶原纤维聚集,弥漫性分布。给予姜黄素治疗后,与ARDS组比较,低剂量组、高剂量组纤维化程度明显减轻;低剂量组肾脏组织呈局灶状分布的胶原纤维;高剂量组肾脏组织呈丝状分布的胶原纤维。
|
| A:对照组;B:ARDS组;C:低剂量组;D:高剂量组 图 2 各组大鼠肾脏组织HE染色(×200) Fig 2 HE staining was performed in the kidneys of the different groups (×200) |
|
|
|
| A:对照组;B:ARDS组;C:低剂量组;D:高剂量组 图 3 各组大鼠肾脏组织Masson染色(×400) Fig 3 Masson staining was performed in the kidneys of the different groups (×400) |
|
|
本研究通过气道内雾化LPS复制ARDS大鼠模型,7 d后肾脏发生纤维化,给予姜黄素后,肾脏炎症反应抑制,氧化应激水平降低,肾脏纤维化减轻,提示姜黄素可以改善ARDS大鼠的肾脏纤维化。
肾纤维化是大多数慢性肾脏病发展为终末期肾功能衰竭的共同途径,慢性肾组织缺氧是诱发和加剧肾纤维化发展的重要因素[16-17]。进行性肾脏疾病进展至肾纤维化过程中,常伴有炎症细胞浸润和氧化应激反应[18]。ROS形成的增加不仅是肾纤维化的结果,而且促进促纤维化信号传导。TGF-β1诱导胶原积聚和组织纤维化,在肾脏产生细胞外基质中起着中心作用[19]。TGF-β1可以通过多种途径广泛参与机体的纤维化、血管生成和细胞增殖等过程。在肾脏纤维化的形成过程中,TGF-β1介导胶原蛋白类物质合成、沉积,激活成纤维细胞,促进皮下基质区域血管生成,促进肾间质纤维化以及肾小球的硬化[20-21]。缺氧条件下,肾小管上皮细胞VEGF和TGF-β表达显著增加,可能会促进细胞外基质的表达和沉积,诱导肾脏纤维化[22-24]。本研究中肾脏中NF-κB活化,TNF-β1蛋白表达升高,组织MDA、GSH含量下降,IL-6 mRNA、PHD3 mRNA、VEGF mRNA、EPOR mRNA表达上调、肾脏病理学显示炎症细胞浸润、胶原沉积,组织纤维化,提示炎症及氧化应激参与ARDS引起的肾脏纤维化。因此有必要寻找抑制炎症及氧化应激的药物。
姜黄素是从姜黄根茎中提取的姜黄的主要单体成分,有抗炎、抗氧化等多种潜在的生物活性。姜黄素主要通过减少白细胞、中性粒细胞和嗜酸性粒细胞数量,清除不同炎症性疾病中炎症介质,如磷脂酶A2、IL-6发挥抗炎作用;通过增加硫醇、SOD和过氧化氢酶的水平,降低氧化应激条件下的MDA等发挥抗氧化作用。NF-κB是炎症相关的重要转录因子,其激活促进炎症因子(如IL-6、IL-1β)的分泌,与氧化应激增加、内皮功能障碍和肾纤维化有关[25-26]。姜黄素主要通过抑制氧化应激,作用TGF-β1、NF-κB信号通路发挥抗纤维化作用[27]。PHD3位于细胞核或细胞质中,被认为是细胞的低氧传感器,在缺氧的调节下,PHD3仍能保持其活性,调节VEGF的分泌,促进纤维化形成[28]。到目前为止,很少有动物研究探讨肺肾串扰作用。通过建立ARDS动物模型,给予姜黄素治疗后,抗氧化物SOD活性升高,GSH含量增加,炎症反应降低,肾脏纤维化程度减轻,提示姜黄素对缺氧的肾脏具有保护作用。
连续性肾脏替代疗法可用于治疗严重AKI,很大程度上缺乏可有效针对肾功能短时间内恶化的药物[29-30]。目前预防肾脏损伤的发生机制主要与减少氧化应激损伤、抑制炎症、防止内在肾细胞凋亡和调节自噬等有关[31-33]。中药中的多种化合物可以通过抑制细胞因子表达、成纤维细胞增殖和诱导肾肌成纤维细胞凋亡等机制,以多靶点干预肾脏纤维化的发生和发展。传统草药配方(如通络益肾汤、藤丹胶囊、补武还阳汤)可通过减少肾脏氧化应激,调节线粒体自噬等来改善线粒体动力学,抑制TGF-β和NF-κB等信号通路发挥减轻肾损伤、减少肾纤维化的作用[34-36]。中药材的提取成分,如三七总皂苷、白藜芦醇、青藤碱、穿心莲内酯、淫羊藿苷、人参皂甙等,还具有改善肾脏氧化应激、抑制肾小管上皮细胞凋亡、减少肾脏纤维化的功能[37]。姜黄素可分别与白藜芦醇、槲皮素、小檗碱联合,协同抗氧化应激,缓解炎症,促进脂质代谢[38-40]。但是从中药中提取的生物活性化合物超过其治疗剂量可能会促进氧化应激,这可能是其毒性的重要机制。既往动物实验证明中药及其提取物在治疗肾脏纤维化的价值,但目前在临床应用中研究有限,仍需进行相关研究以深入了解其作用背后的细胞和分子机制,开发有效预防或逆转肾纤维化的新药。
综上所述,本实验的姜黄素剂量可以通过抑制炎性因子的表达,增强肾脏对氧化应激的保护作用,改善ARDS大鼠肾纤维化,姜黄素在ARDS中的治疗作用机制提供一定的理论基础。
利益冲突 所有作者声明无利益冲突
作者贡献声明 沈鹏、杨茂宪、徐龙生、施云超:酝酿和设计实验;沈鹏、杨茂宪、王显江、钟林:实施研究;徐龙生、刘倍倍、王显江:采集数据;沈鹏、杨茂宪、王倩倩、钟林:分析/解释数据;沈鹏、杨茂宪:起草文章;朱建刚、施云超:对文章的知识性内容作批评性审阅、支持性贡献
| [1] | ARDS Definition Task Force, Ranieri VM, Rubenfeld GD, et al. Acute respiratory distress syndrome: the Berlin Definition[J]. JAMA, 2012, 307(23): 2526-2533. DOI:10.1001/jama.2012.5669 |
| [2] | 孙昀, 孙伟, 叶珺, 等. 168例新型冠状病毒肺炎患者临床特点及重症进展的影响因素分析[J]. 中华急诊医学杂志, 2020, 29(7): 901-907. DOI:10.3760/cma.j.issn.1671-0282.2020.07.003 |
| [3] | 杨涛, 于晓娜, 贺星星, 等. 新型冠状病毒肺炎早期临床表现及肺部影像学分析[J]. 中华急诊医学杂志, 2020, 29(3): 341-345. DOI:10.3760/cma.j.issn.1671-0282.2020.03.008 |
| [4] | Eriksson KE, Campoccia-Jalde F, Rysz S, et al. Continuous renal replacement therapy in intensive care patients with COVID-19; survival and renal recovery[J]. J Crit Care, 2021, 64: 125-130. DOI:10.1016/j.jcrc.2021.04.002 |
| [5] | Lowe R, Ferrari M, Nasim-Mohi M, et al. Clinical characteristics and outcome of critically ill COVID-19 patients with acute kidney injury: a single centre cohort study[J]. BMC Nephrol, 2021, 22(1): 92. DOI:10.1186/s12882-021-02296-z |
| [6] | Chen DW, Yuan HB, Cao CC, et al. Impact of acute kidney injury on in-hospital outcomes in Chinese patients with community acquired pneumonia[J]. BMC Pulm Med, 2021, 21(1): 143. DOI:10.1186/s12890-021-01511-9 |
| [7] | Rezoagli E, McNicholas B, Pham T, et al. Lung-kidney cross-talk in the critically ill: insights from the Lung Safe study[J]. Intensive Care Med, 2020, 46(5): 1072-1073. DOI:10.1007/s00134-020-05962-2 |
| [8] | Chen JZ, Wang WB, Tang Y, et al. Inflammatory stress in SARS-COV-2 associated Acute Kidney Injury[J]. Int J Biol Sci, 2021, 17(6): 1497-1506. DOI:10.7150/ijbs.58791 |
| [9] | 濮雪华, 汤梦南, 胡海涛, 等. 有创通气的急性呼吸窘迫患者发生急性肾损伤的危险因素分析[J]. 中华急诊医学杂志, 2021, 30(12): 1489-1493. DOI:10.3760/cma.j.issn.1671-0282.2021.12.014 |
| [10] | Ballèvre L, Thonney M, Guignard JP. Role of nitric oxide in the hypoxemia-induced renal dysfunction of the newborn rabbit[J]. Pediatr Res, 1996, 39(4): 725-730. DOI:10.1203/00006450-199604000-00026 |
| [11] | Cheng ZY, Liu L, Wang Z, et al. Hypoxia activates src and promotes endocytosis which decreases MMP-2 activity and aggravates renal interstitial fibrosis[J]. Int J Mol Sci, 2018, 19(2): 581. DOI:10.3390/ijms19020581 |
| [12] | Chen YN, Hsu SL, Liao MY, et al. Ameliorative effect of curcumin-encapsulated hyaluronic acid-PLA nanoparticles on thioacetamide-induced murine hepatic fibrosis[J]. Int J Environ Res Public Health, 2016, 14(1): 11. DOI:10.3390/ijerph14010011 |
| [13] | Ghelani H, Razmovski-Naumovski V, Chang D, et al. Chronic treatment of curcumin improves hepatic lipid metabolism and alleviates the renal damage in adenine-induced chronic kidney disease in Sprague-Dawley rats[J]. BMC Nephrol, 2019, 20(1): 431. DOI:10.1186/s12882-019-1621-6 |
| [14] | Liu HZ, Liu AJ, Shi CL, et al. Curcumin suppresses transforming growth factor-β1-induced cardiac fibroblast differentiation via inhibition of Smad-2 and p38 MAPK signaling pathways[J]. Exp Ther Med, 2016, 11(3): 998-1004. DOI:10.3892/etm.2016.2969 |
| [15] | Luo X, Liu RM, Zhang ZH, et al. Mitochondrial division inhibitor 1 attenuates mitophagy in a rat model of acute lung injury[J]. Biomed Res Int, 2019, 2019: 2193706. DOI:10.1155/2019/2193706 |
| [16] | Lu JM, Shi JH, Li MX, et al. Activation of AMPK by metformin inhibits TGF-β-induced collagen production in mouse renal fibroblasts[J]. Life Sci, 2015, 127: 59-65. DOI:10.1016/j.lfs.2015.01.042 |
| [17] | Cheng ZY, Limbu MH, Wang Z, et al. A modified approach to establish a murine model of hypoxic renal interstitial fibrosis[J]. Int J Clin Exp Pathol, 2017, 10(7): 7991-7999. |
| [18] | Lv WS, Booz GW, Fan F, et al. Oxidative stress and renal fibrosis: recent insights for the development of novel therapeutic strategies[J]. Front Physiol, 2018, 9: 105. DOI:10.3389/fphys.2018.00105 |
| [19] | Loeffler I, Wolf G. Transforming growth factor- and the progression of renal disease[J]. Nephrol Dial Transplant, 2014, 29(suppl 1): i37-i45. DOI:10.1093/ndt/gft267 |
| [20] | Wang ZJ, Han ZJ, Tao J, et al. Role of endothelial-to-mesenchymal transition induced by TGF-β1 in transplant kidney interstitial fibrosis[J]. J Cell Mol Med, 2017, 21(10): 2359-2369. DOI:10.1111/jcmm.13157 |
| [21] | 郎明健, 闵新文, 李健, 等. RNA干扰靶向抑制结缔组织生长因子拮抗肾脏纤维化的发展[J]. 中华急诊医学杂志, 2010, 19(6): 615-620. DOI:10.3760/cma.j.issn.1671-0282.2010.06.017 |
| [22] | Xu Y, Gao AM, Ji LJ, et al. All-trans retinoic acid attenuates hypoxia-induced injury in NRK52E cells via inhibiting NF-x03BA; B/VEGF and TGF-β2/VEGF pathway[J]. Cell Physiol Biochem, 2016, 38(1): 229-236. DOI:10.1159/000438624 |
| [23] | Li S, Guo XC, Zhang T, et al. Fibroblast growth factor 21 ameliorates high glucose-induced fibrogenesis in mesangial cells through inhibiting STAT5 signaling pathway[J]. Biomed Pharmacother, 2017, 93: 695-704. DOI:10.1016/j.biopha.2017.06.100 |
| [24] | Wong CCL, Gilkes DM, Zhang HF, et al. Hypoxia-inducible factor 1 is a master regulator of breast cancer metastatic niche formation[J]. Proc Natl Acad Sci USA, 2011, 108(39): 16369-16374. DOI:10.1073/pnas.1113483108 |
| [25] | 李青松, 陈俊杰, 李永宁, 等. 姜黄素抑制NLRP3炎症小体减轻早期脓毒症大鼠心肌细胞损伤的机制研究[J]. 中华急诊医学杂志, 2022, 31(2): 173-178. DOI:10.3760/cma.j.issn.1671-0282.2022.02.007 |
| [26] | 郑来赞, 陈隆望, 胡系意, 等. 姜黄素上调线粒体融合蛋白2减轻脓毒症小鼠急性肺损伤[J]. 中华急诊医学杂志, 2020, 29(1): 58-64. DOI:10.3760/cma.j.issn.1671-0282.2020.01.009 |
| [27] | 唐艳, 杨蓉佳, 陈红纲, 等. 姜黄素对百草枯中毒致肺纤维化大鼠肺功能及TGF-β1、NF-κB表达的影响[J]. 中华急诊医学杂志, 2017, 26(4): 392-395. DOI:10.3760/cma.j.issn.1671-0282.2017.04.007 |
| [28] | Tanaka T, Li TS, Urata Y, et al. Increased expression of PHD3 represses the HIF-1 signaling pathway and contributes to poor neovascularization in pancreatic ductal adenocarcinoma[J]. J Gastroenterol, 2015, 50(9): 975-983. DOI:10.1007/s00535-014-1030-3 |
| [29] | 江利冰, 蒋守银, 张茂. 围术期与ICU内急性肾损伤管理指南[J]. 中华急诊医学杂志, 2016, 25(7): 862-863. DOI:10.3760/cma.j.issn.1671-0282.2016.07.004 |
| [30] | 刘雪姣, 杨小娟. 急性肾损伤的研究进展[J]. 中国基层医药, 2016, 23(18): 2866-2870. DOI:10.3760/cma.j.issn.1008-6706.2016.18.040 |
| [31] | Gu YY, Dou JY, Huang XR, et al. Transforming growth factor-β and long non-coding RNA in renal inflammation and fibrosis[J]. Front Physiol, 2021, 12: 684236. DOI:10.3389/fphys.2021.684236 |
| [32] | 陈薪薪, 褚晓琼, 吕望, 等. Klotho与自噬在脓毒症急性肾损伤小鼠中的表达趋势[J]. 中华急诊医学杂志, 2017, 26(4): 370-376. DOI:10.3760/cma.j.issn.1671-0282.2017.04.003 |
| [33] | 赵立, 田磊, 王世伟, 等. 左西孟旦改善大鼠心肺复苏后急性肾损伤的机制研究[J]. 中华急诊医学杂志, 2022, 31(1): 55-60. DOI:10.3760/cma.j.issn.1671-0282.2022.01.011 |
| [34] | Jia Q, Han L, Zhang XY, et al. Tongluo yishen decoction ameliorates renal fibrosis via regulating mitochondrial dysfunction induced by oxidative stress in unilateral ureteral obstruction rats[J]. Front Pharmacol, 2021, 12: 762756. DOI:10.3389/fphar.2021.762756 |
| [35] | du XL, Tao QQ, du HX, et al. Tengdan capsule prevents hypertensive kidney damage in SHR by inhibiting periostin-mediated renal fibrosis[J]. Front Pharmacol, 2021, 12: 638298. DOI:10.3389/fphar.2021.638298 |
| [36] | Wu WF, Wang YF, Li HD, et al. Buyang Huanwu Decoction protects against STZ-induced diabetic nephropathy by inhibiting TGF-β/Smad3 signaling-mediated renal fibrosis and inflammation[J]. Chin Med, 2021, 16(1): 118. DOI:10.1186/s13020-021-00531-1 |
| [37] | Liu Y, Chen DQ, Han JX, et al. A review of traditional Chinese medicine in treating renal interstitial fibrosis via endoplasmic Reticulum stress-mediated apoptosis[J]. Biomed Res Int, 2021, 2021: 6667791. DOI:10.1155/2021/6667791 |
| [38] | AlBasher G, Abdel-Daim MM, Almeer R, et al. Synergistic antioxidant effects of resveratrol and curcumin against fipronil-triggered oxidative damage in male albino rats[J]. Environ Sci Pollut Res Int, 2020, 27(6): 6505-6514. DOI:10.1007/s11356-019-07344-8 |
| [39] | Abdel-Diam MM, Samak DH, El-Sayed YS, et al. Curcumin and quercetin synergistically attenuate subacute diazinon-induced inflammation and oxidative neurohepatic damage, and acetylcholinesterase inhibition in albino rats[J]. Environ Sci Pollut Res Int, 2019, 26(4): 3659-3665. DOI:10.1007/s11356-018-3907-9 |
| [40] | Feng WW, Kuang SY, Tu C, et al. Natural products berberine and curcumin exhibited better ameliorative effects on rats with non-alcohol fatty liver disease than lovastatin[J]. Biomed Pharmacother, 2018, 99: 325-333. DOI:10.1016/j.biopha.2018.01.071 |
2022, Vol. 31



