中枢性高热(central hyperthermia)是指人体体温调节中枢损害而引起的高热,常见于脑出血、脑外伤、急性神经损伤等病变[1],但临床上中枢性高热导致多器官功能障碍综合征(multiple organ dysfunction syndrome,MODS) 的病例罕见。本文报道1例大面积脑梗死引起的中枢性高热所致的MODS,并探讨其可能的发病机制及诊治。本病例报道已获得患者家属知情同意。
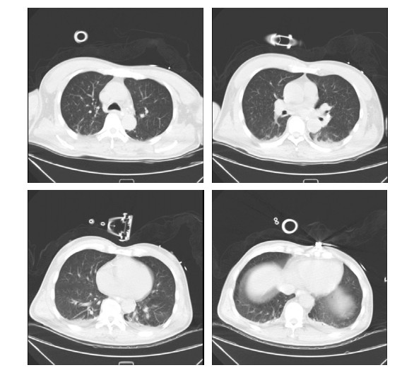
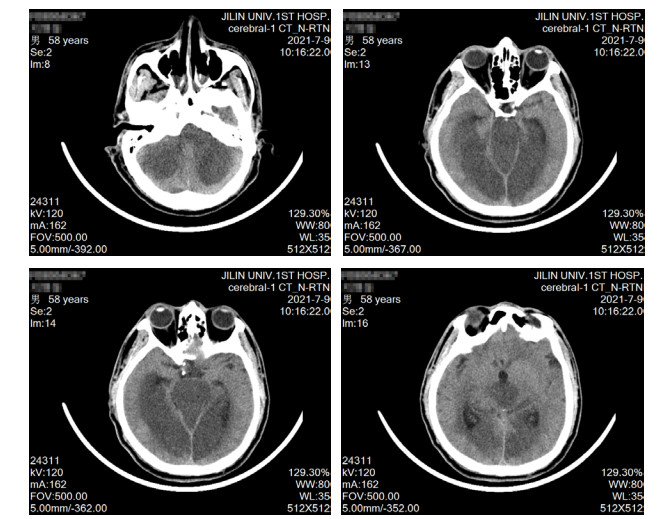
1 资料与方法患者男性,58岁,因“头晕、黑矇3 d,意识不清15 h”于2021-07-07 18:53急诊以“意识障碍待查”收入本院重症医学科。患者3 d前无明显诱因出现头晕、黑矇,共发作7~8次,每次持续5~10 min后自行缓解,上述症状与体位无关,不伴有头痛、耳鸣、视物双影及视物旋转,无发热,曾于当地医院就诊考虑“眩晕症”,给予静点川芎嗪及血栓通后上述症状有所缓解。于入本院前15 h如厕时被家属发现倒地,呼之不应,无抽搐发作,无尿便失禁,无舌咬伤及呕吐,急由120救护车送至当地医院,测体温42.0℃(距离发病1 h),行头部及肺部CT未见明显异常,肝肾功能及降钙素原结果均正常,为求明确诊疗转诊至本院,急诊以“意识障碍待查”收入重症医学科。病程中无咳嗽、咳痰,无尿急、尿频、尿痛,无恶心、呕吐,无腹痛、腹泻。既往史情况:发现高血压病史1年,血压最高160/80 mmHg(1 mmHg=0.133 kPa),未系统诊治及监测。脑梗死病史1年。吸烟史20年,约10支/d,未戒。饮酒史20年,约100 g/d,戒酒1年余。入科查体:体温39.1℃,脉搏114次/min,呼吸23次/min,血压129/80 mmHg,外周血氧饱和度98%(鼻导管吸氧,氧流量3 L/min)。意识不清,GCS评分5分,双侧瞳孔等大同圆,直径约4.5 mm,直接、间接对光反射迟钝,皮肤、巩膜无黄染,咽部无红肿,扁桃体无肿大,气管居中,听诊双肺呼吸音清,未闻及干湿啰音。心率114次/min,律整,各瓣膜听诊区未闻及杂音及额外心音。腹软,肝脾肋下未触及,肠鸣音3~4次/min。双下肢无水肿,项强征阴性,双侧babinski征阳性,kernig征阴性,余查体不配合。辅助检查(2021-07-07,当地医院),血常规:WBC 12.3 × 109/L, NE% 67.6%,PLT 245 × 109/L,PCT 0.18 ng/mL, 肌酸激酶420 U/L,感染标志物:乙肝(−),丙肝(−),肝功能:AST 50 U/L,ALT 40 U/L, 入科诊断:意识障碍待查、发热原因待查。入科后给予降温、促醒对症治疗,约6 h后体温降至38.5℃,但患者意识无恢复,无自主咳痰能力,双肺可闻及痰鸣音,于2021-07-08给予气管插管及呼吸机辅助通气,同日出现血压下降,给予补液、升压(去甲肾上腺素)对症治疗。入科后进一步完善相关检查包括,出血热抗体:阴性,呼吸道病原核酸检测:阴性,IL-4 4.05 pg/mL,IL-6 229 pg/mL,IL-10 22.90 pg/mL,肌酸激酶13 383 Μ/L,肌红蛋白4 077 ng/mL;血栓弹力图:R 10.8 min,MA-CK 21.4 mm,K 23.4 min,综合凝血指数-19.9;肝功能:AST 2 643.0 M/L,ALT 2 711.9 M/L,ALB 32.1 g/L,TB 142.5 μmmol/L,DB 85.1 μmmol/L,CB 57.4 μmmol/L;肾功能:Scr 94.3 μmol/L、BMN 7.1 mmol/L;血常规及凝血相关指标变化见表 1;头部CT提示双侧小脑半球、脑干、双侧枕叶、丘脑、放射冠、半卵圆中心低密度影(图 1);肺部CT提示支气管炎、双肺散在炎症、胸主动脉及冠脉动脉硬化(图 2)。综合病史、体征和辅助检查明确临床诊断为:椎基底动脉脑梗死、中枢性高热、多器官功能障碍综合征(循环、肝脏、血液)、横纹肌溶解综合征,给予脱水降颅压、营养神经、促醒、纠正凝血异常对症治疗,患者病情无好转,于2021-07-09家属放弃治疗,出院后死亡。
| 日期 | WBC (× 1012/L) | NE (%) | PLT (× 109/L) | APTT (s) | INR | PTA (%) | FBG (g/L) | D-D (mg/L) | FDP (μg/mL) |
| 2021-07-07 | 18.32 | 0.80 | 80 | 36.8 | 1.80 | 41 | 2.40 | 15.42 | 34.4 |
| 2021-07-08 | 12.18 | 0.88 | 57 | 46.9 | 3.97 | 17 | 1.46 | 12.35 | 30.04 |
| 2021-07-09 | 14.52 | 0.88 | 20 | 65.5 | 6.14 | 11 | 0.85 | 36.4 | 77.07 |
|
| 图 1 2021-07-09患者头部CT |
|
|
|
| 图 2 2021-07-09患者肺部CT |
|
|
临床上高热引起MODS常见于热射病,而中枢性高热所致MODS报道罕见。两者虽然具有共同的致病基础即核心体温骤然升高[2], 但体温升高的机制却有所不同:热射病是由于机体剧烈运动(劳力型)或暴露于极端热环境(经典型)下体内热量蓄积远超散热而导致的核心体温上升[3];而中枢性高热主要是由于中枢神经系统病变导致的下丘脑或脑干体温调节中枢或其调节通路严重损害所致[4]。在临床诊断上,热射病主要基于临床表现“三联征”即高热、意识改变与热暴露史(经典型)或强体力活动(劳力型) [5]。而中枢性发热的诊断主要依据是具备引起体温调节中枢受损的中枢神经系统疾病及其典型的临床特点,同时并应严格除外全身性或局部性炎症或感染因素所致的发热[6-8]。
本病例入院前有头晕、黑曚后循环缺血症状,经改善循环对症治疗后有所缓解,但本次以突发的意识障碍入院,查体双侧babinski征阳性,结合头部CT可诊断为由基底动脉闭塞所致的后循环脑梗死,其影像学特点符合基底动脉尖综合征[9]。所谓基底动脉尖综合征(top of basilar syndrome, TOBS)是指基底动脉分支包括大脑后动脉和小脑上动脉的闭塞导致的综合征,其供血区包括中脑、丘脑、小脑上部、颞叶内侧和枕叶,临床表现为意识障碍、中枢性高热。本病例高热发生在意识障碍后1 h,不符合经典型热射病的时间特点,同时该患生活在中国东北吉林省,气温在24℃左右,无剧烈活动的诱因,不符合劳力型热射病定义的范畴[10]。此外,患者不伴有感染相关临床症状,以及细菌感染血清标志物降钙素原正常,痰、血、尿培养结果阴性等均不支持感染性发热。因此,其高热原因应考虑为基底动脉闭塞导致下丘脑体温调节中枢受损所致中枢性高热。通常脑血管病合并中枢性高热最常见于脑出血,少数也可见于大面积脑梗死或脑干梗死,其中大面积脑梗死可造成脑水肿刺激与压迫体温中枢或影响其下行传导通路[6, 8, 11]。
中枢性高热与热射病引起MODS的病理生理机制类似,且庞大而复杂,目前多数学者认同“双通道机制” [12]。其一通道即热暴露使核心温度升高造成直接对各器官系统的损害。已有研究证明脏器功能的损伤与持续的高热引起的急性循环衰竭、低氧血症、高代谢状态以及高温本身直接引发细胞毒性增加、脏器供血的再分配有关[5],凝血功能的异常可能与直接热损伤及肝功能异常有关[10],当核心体温达到42.4℃可激发凝血相关的基因上调,导致凝血异常[13]。其二通道则是热暴露引起的热应激、内毒素血症,继发全身炎症反应综合征、免疫功能紊乱,严重者可合并弥漫性血管内凝血、多器官功能衰竭和死亡[5, 14-16]。此外,热损伤的严重程度除与核心体温的高低有关外,还与高热持续时间有关。当核心体温达到39.5~40.5℃持续1 h即可出现血清酶血的升高,提示开始出现细胞破坏[17];而1 h内快速降温至38.9℃以下则可降低病死率[18]。
本病例入院前病史提示高热持续时间长达20 h,入院后逐渐出现了MODS的临床表现[19]:休克、肌酸激酶明显升高、肝功能损害、以及凝血功能异常等。同时,伴随相关炎症指标如促炎细胞因子IL-6也明显升高,提示机体存在继发全身炎症反应,并且凝血异常、血小板下降及D-二聚体的升高则可能与炎症反应导致的弥漫性血管内凝血或凝血相关基因的基因上调有关[13]。另外,高热还可引起氧供与氧耗的不协调,导致肌细胞代谢的异常而出现横纹肌溶解[20-21],本例患者肌酸激酶升高达到正常上限的5倍以上,也符合横纹肌溶解综合征的诊断标准[22-24]。
无论是热射病还是中枢性高热引起的MODS,共同治疗原则是快速、有效、持续的降温[8, 12],以物理降温及冬眠方法为主,而抗生素及解热剂(如乙酰水杨酸等) 一般无效。此外,热射病治疗还需考虑快速脱离热环境、快速液体复苏、以及控制抽搐及烦躁[12];而脑血管病患者导致的中枢性高热还应针对发热机制本身积极给予脱水降颅压等相关治疗。在预后方面,最新的研究报道显示劳力型和经典型热射病的病死率可分别达到26.5% 和63.2%[25]。同样,多数研究也表明中枢性高热与较差的临床结局有关,合并中枢性高热的脑血管病患者病死率可高达60%[6, 26-28]。
总之,临床上要高度重视脑血管疾病合并中枢性高热可能引起MODS。中枢性高热与热射病相比,两者导致核心体温升高的病因不同,但对机体损伤的病生机制类似,治疗原则亦相同,要快速、有效、持续降温,应尽量避免长时间处于高热状态而发生不良结局。
本文有附录,请登录中华急诊网(www.cem.org.cn) 浏览本文Html格式,查看CT动态图片
利益冲突 所有作者声明无利益冲突
| [1] | Ge X, Luan X. Uncontrolled central hyperthermia by standard dose of bromocriptine: a case report[J]. World J Clin Cases, 2020, 8(23): 6158-6163. DOI:10.12998/wjcc.v8.i23.6158 |
| [2] | Deogaonkar A, de Georgia M, Bae C, et al. Fever is associated with third ventricular shift after intracerebral hemorrhage: pathophysiologic implications[J]. Neurol India, 2005, 53(2): 202-206. DOI:10.4103/0028-3886.16411 |
| [3] | Leon LR, Bouchama A. Heat stroke[J]. Compr Physiol, 2015, 5(2): 611-647. DOI:10.1002/cphy.c140017 |
| [4] | Boulant JA. Role of the preoptic-anterior hypothalamus in thermoregulation and fever[J]. Clin Infect Dis, 2000, 31 Suppl: S157-161. DOI:10.1086/317521 |
| [5] | Epstein Y, Yanovich R. Heatstroke[J]. N Engl J Med, 2019, 380(25): 2449-2459. DOI:10.1056/NEJMra1810762 |
| [6] | 吴卫平. 长期发热的病因诊断方法──中枢性发热[J]. 中国实用内科杂志, 2000, 20(11): 650-652. |
| [7] | 曹闻亚. 重症脑损伤伴中枢性高热病人低温治疗中脑温监测的研究进展[J]. 护理研究, 2016, 30(13): 1545-1548. DOI:10.3969/j.issn.1009-6493.2016.013.003 |
| [8] | Zawadzka M, Szmuda M, Mazurkiewicz-BM. Thermoregulation disorders of central origin-how to diagnose and treat[J]. Anaesthesiol Intensive Ther, 2017, 49(3): 227-234. DOI:10.5603/ait.2017.0042 |
| [9] | Demel SL, Broderick JP. Basilar occlusion syndromes: an update[J]. Neurohospitalist, 2015, 5(3): 142-150. DOI:10.1177/1941874415583847 |
| [10] | 全军热射病防治专家组, 全军重症医学专业委员会. 中国热射病诊断与治疗专家共识[J]. 解放军医学杂志, 2019, 44(3): 181-196. DOI:10.11855/j.issn.0577-7402.2019.03.01 |
| [11] | 许士海, 单爱军, 王进. 中枢性发热的治疗与护理研究进展[J]. 中外医学研究, 2018, 16(3): 173-175. DOI:10.14033/j.cnki.cfmr.2018.3.093 |
| [12] | 全军热射病防治专家组, 热射病急诊诊断与治疗专家共识组. 热射病急诊诊断与治疗专家共识(2021版)[J]. 中华急诊医学杂志, 2021, 30(11): 1290-1299. DOI:10.3760/cma.j.issn.1671-0282.2021.11.002 |
| [13] | Proctor EA, Dineen SM, van Nostrand SC, et al. Coagulopathy signature precedes and predicts severity of end-organ heat stroke pathology in a mouse model[J]. J Thromb Haemost, 2020, 18(8): 1900-1910. DOI:10.1111/jth.14875 |
| [14] | Yan YE, Zhao YQ, Wang H, et al. Pathophysiological factors underlying heatstroke[J]. Med Hypotheses, 2006, 67(3): 609-617. DOI:10.1016/j.mehy.2005.12.048 |
| [15] | Yang YL, Lin MT. Heat shock protein expression protects against cerebral ischemia and monoamine overload in rat heatstroke[J]. Am J Physiol, 1999, 276(6). DOI:10.1152/ajpheart.1999.276.6.H1961 |
| [16] | 汪正权, 屠旭旦, 陆雯, 等. 热射病患者临床预后的预测指标分析[J]. 中华急诊医学杂志, 2016, 25(8): 1058-1061. DOI:10.3760/cma.j.issn.1671-0282.2016.08.019 |
| [17] | Bynum GD, Pandolf KB, Schuette WH, et al. Induced hyperthermia in sedated humans and the concept of critical thermal maximum[J]. Am J Physiol, 1978, 235(5): R228-R236. DOI:10.1152/ajpregu.1978.235.5.R228 |
| [18] | Vicario SJ, Okabajue R, Haltom T. Rapid cooling in classic heatstroke: effect on mortality rates[J]. Am J Emerg Med, 1986, 4(5): 394-398. DOI:10.1016/0735-6757(86)90185-3 |
| [19] | Marshall JC, Deutschman CS. The multiple organ dysfunction syndrome: syndrome, metaphor, and unsolved clinical challenge[J]. Crit Care Med, 2021, 49(9): 1402-1413. DOI:10.1097/CCM.0000000000005139 |
| [20] | Stanley M, Chippa V, Aeddula Nr, et al. Rhabdomyolysis[M]. StatPearls. Treasure Island (FL), StatPearls Publishing LLC, 2021. |
| [21] | Thongprayoon C, Petnak T, Kanduri SR, et al. Impact of rhabdomyolysis on outcomes of hospitalizations for heat stroke in the United States[J]. Hosp Pract (1995), 2020, 48(5): 276-281. DOI:10.1080/21548331.2020.1792214 |
| [22] | Cabral B, Edding S, Portocarrero J, et al. Rhabdomyolysis[J]. Dis Mon, 2020, 66(8): 101015. DOI:10.1016/j.disamonth.2020.101015 |
| [23] | Knapik JJ, O'connor FG. Exertional Rhabdomyolysis: Epidemiology, Diagnosis, Treatment, and Prevention[J]. J Spec Oper Med, 2016, 16(3): 65-71. DOI:10.55460/89YY-5BKC |
| [24] | Kodadek L, Carmichael I SP, Seshadri A, et al. Rhabdomyolysis: an American Association for the Surgery of Trauma Critical Care Committee Clinical Consensus Document[J]. Trauma Surg Acute Care Open, 2022, 7(1): e000836. DOI:10.1136/tsaco-2021-000836 |
| [25] | Bouchama, Abuyassin B, Lehe C, et al. Classic and exertional heatstroke[J]. Nat Rev Dis Primers, 2022, 8(1): 8. DOI:10.1038/s41572-021-00334-6 |
| [26] | Audibert G, Baumann A, Charpentier C, et al. Deleterious role of hyperthermia in neurocritical care[J]. Ann Fr Anesth Reanim, 2009, 28(4): 345-351. DOI:10.1016/j.annfar.2009.02.017 |
| [27] | Job M, Mathuram AJ, Turaka VP, et al. Clinical spectrum, aetiology and predictors of acute febrile encephalopathy at a tertiary hospital in south India-A prospective observational study[J]. Trop Doct, 2021, 51(1): 58-64. DOI:10.1177/0049475520967916 |
| [28] | Morales-OA, JIMéNEZ-PASCUAL M, PéREZ-VICENTE JA, et al. Fever of central origin during stroke[J]. Rev Neurol, 2001, 32(12): 1111-1114. |
2022, Vol. 31



