子宫动静脉瘘(uterine arteriovenous fistula, UAVF)是罕见的子宫动静脉异常交通引起的血管连接异常性疾病[1-2],多见于育龄期经产妇[3-4],占生殖器和腹腔内出血的1%~2%[5],可引起凶险的大量出血并危及生命[1-2, 6],由于情况危急,容易被误诊和漏诊。近年来因子宫干预措施的增加,获得性动静脉畸形的发生率逐渐上升[5]。因此尽早识别子宫动静脉瘘并及时干预至关重要。本研究收集了笔者所在的省级三甲专科医院妇科急救中心2015-2020年诊治的37名UAVF患者的相关资料,通过回顾性分析探索各种检查及治疗方案的选择及疗效评估的价值,以期指导妇科医生进一步识别子宫动静脉瘘,及时选择合适的检查和治疗方案,减少该危急重症进一步发展。
该研究得到了浙江大学医学院附属妇产科医院伦理委员会的批准。(伦理编号:IRB-20210268-R)
1 资料与方法 1.1 一般资料本研究搜集了本院2015年1月至2021年5月的“子宫动静脉瘘”患者37例。纳入标准:①年龄>18岁;②大量或反复异常子宫出血;③经阴道多普勒超声(Transvaginal doppler ultrasound,TVDU)或计算机断层扫描血管造影(Computed tomography angiography,CTA)或数字减影血管造影(Digital subtraction angiography,DSA)诊断为UAVF;4.排除标准:先天性或肿瘤性血管异常。检查均由高年资超声医生/放射科医生审核。
1.2 分组及随访方法患者分为4组:组1保守治疗组3例:药物保守治疗(孕激素+缩宫素+止血药);组2子宫动脉栓塞(Uterine artery embolization, UAE)组15例:明胶海绵行双侧子宫动脉栓塞;组3 UAE+宫腔内手术组11例:UAE后48 h内行清宫术(4例)/宫腔镜宫内病灶切除术(7例);组4 UAE+进腹手术组8例: 在UAE后48 h内进一步行经腹/腹腔镜手术治疗,其中行全子宫切除术者2例,病灶剔除术者6例。术后随访1~6年。
1.3 影像学测定指标及临床判定 1.3.1 TVDU检查疾病治疗前后,测量UAVF病灶体积V(a×b×c, cm3)、血流指数RI、以及病灶最大径线a(cm);计算治疗前后的V减小百分比((V治疗前-V治疗后)/V治疗前)、RI比值(RI治疗前/RI治疗后)、a减小百分比((a治疗前-a治疗后)/a治疗前)。
1.3.2 CTA检查与DSA检查有27位患者(组1, 1例、组2, 10例、组3, 10例、组4, 6例)治疗前行CTA检查。除组①患者外,余患者均行DSA检查。
1.3.3 临床结局疾病治愈:出院后未再发生因“UAVF”导致的异常子宫出血。
生育满意:有生育要求者治疗后成功妊娠。
1.4 统计学方法采用惠特尼-U检验方法行组间比较,在比较不同组间的比率差异时,使用Fisher精确概率统计法,以P<0.05为差异具有统计学意义。
2 结果 2.1 一般临床资料各组间平均年龄、孕次、产次、发病时间距末次子宫相关手术时间、既往手术次数均差异无统计学意义(表 1)。非保守治疗组间大出血发生率差异无统计学意义。组③的HCG阳性者比例明显较高(P=0.01),体现了临床治疗的倾向性。
| 指标 | 保守治疗组 (n=3) |
UAE组 (n=15) |
UAE+宫腔内手术组(n=11) | UAE+进腹手术组(n=8) | P值 |
| 年龄(岁) | 32.67±4.50 | 35.00±8.99 | 33.91±3.41 | 34.86±6.83 | > 0.05 |
| 身高(m) | 1.64±0.05 | 1.61±0.04 | 1.58±0.05 | 1.57±0.06 | > 0.05 |
| BMI (kg/m2) | 25.90±4.33 | 21.32±2.00 | 22.13±2.61 | 20.69±1.58 | > 0.05 |
| 孕次 | 2.33±0.94 | 2.67±1.30 | 3..45±1.30 | 3.88±1.83 | > 0.05 |
| 产次 | 1.33±0.47 | 1.13±0.62 | 1.36±0.77 | 1.36±0.70 | > 0.05 |
| 大量出血主诉(> 500 mL) | 0 (0%) | 4 (26.67%) | 3 (27.27%) | 4 (50%) | > 0.05 |
| 既往子宫手术次数 | 2.33±1.25 | 2.53±2.22 | 2.72±1.48 | 3.50±1.87 | > 0.05 |
| 发病距离末次子宫手术时间(月) | 1.25±0.75 | 1.67±1.85 | 0.68±0.44 | 2.92±2.70 | > 0.05 |
| 组别 | 病灶大小(cm3) | 治疗前最大径(cm) | RI值 | 治疗后病灶大小 | 最大径线 | RI值 | 改变比率病杜大小 | 最大径线 | RI值比值 |
| 保守治疗组 | 44.82±50.40 | 2.60士0.99 | 0.60士0.29 | 10.07±15.78 | 1.20±0.78 | / | / | ||
| UAE组 | 48.40±63.38 | 3.57±1.88 | 0.40±0.20 | 22..47±38.45 | 2.26±0.83 | 0.78±0.25 | 37.48±28.82% | 29.19±22.23% | 1.94±0.55 |
| UAE+宫腔内手术组 | 66.96±39.08 | 5.54±0.87 | 0.49±0.20 | 26.81±35.06 | 3.34±2.48 | 0.63±0.33 | 70.86±36.53% | 43.03±34.03% | 1.48±0.55 |
| UAE+进腹手术组 | 186.99士162.46 | 6.04±3.17 | 0.32士0.06 | / | |||||
| P值 | 0.36a | 0.04a | > 0.05a | / | / | / | 0.049 | >0.05 | >0.05 |
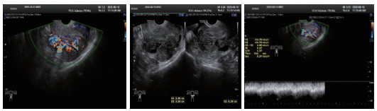
所有患者治疗前行TVDU诊断(图 1),25名诊断UAVF,最终经DSA确诊34名,超声诊断UAVF敏感率为74%,特异率为100%。
|
| 图 1 经阴道的多普勒超声下UAVF特征性表现 |
|
|
各组平均病灶大小(V)比较:组4的V显著大于组2、组3(P=0.036)。使用V预测治疗方案时当取V=130 cm3可获得最大约登指数(0.71),此时预测敏感度=0.75,特异度=0.96(图 2),提示V>130 cm3在UAE后需接受进腹手术治疗的概率明显上升。
|
| 图 2 病灶大小V(cm3)预测ROC曲线 |
|
|
病灶最大径线值(a)亦表现出明显的组间差异,组4平均病灶a显著大于组2、组3(P > 0.05)。以a作为预测是否需后续手术治疗的指标,可取当a=5 cm时获得最佳预测价值灵敏度0.88,特异度0.77,约登指数0.65(图 3)。提示a>于5 cm时需后续进腹手术治疗的概率大。
|
| 图 3 病灶最大径线值a(cm)预测ROC曲线 |
|
|
3组患者多普勒超声测量病灶RI值,组间差异无统计学意义。
2.3 多普勒超声对UAE组与UAE+宫腔手术组病灶去除效果评估组3患者治疗后V缩小百分率显著高于组2(p=0.049),即经UAE+宫腔内手术后对病灶去除有更好的效果。
2.4 CTA检查与DSA检查非保守治疗患者中26例患者行CTA检查(图 4),24名提示UAVF, 诊断敏感率为92%。联合TVDU可确诊25名,既CTA、超声联合诊断UAVF的敏感率为96%。非保守治疗的34例患者DSA检查均诊断UAVF。
|
| 图 4 子宫动脉CTA血管造影:子宫动脉血管迂曲增粗成团(白色箭头) |
|
|
术后随访1~6年,出院后反复阴道流血1例,最终行子宫切除术。治愈率达97.3%。
2.5.2 生育满意率预后随访显示,组2中有2人有生育需求,未孕;组3有生育需求者4名,2名妊娠。各组生育满意率差异无统计学意义。
2.5.3 术后并发症① UAE术后发热(体温 > 38.0℃)较未行UAE的患者高(81.8% vs. 20%)(P < 0.05);②UAE术后疼痛明显,15%患者非甾体类抗炎药物无效。③病灶剔除术后月经减少(少于原月经量2/3)发生率显著高于非进腹手术治疗组(66.67% vs. 10.00%)(P < 0.05)。
3 讨论子宫动静脉瘘可分为先天性和获得性,前者被认为是由胚胎分化异常致血管畸形,后者通常继发子宫创伤后[5, 7]。UAVF的临床表现不典型,多为“开关式”子宫大出血,可反复发作,也可无症状[7-9],故常与流产不全、瘢痕妊娠等疾病难鉴别[9-10],易误诊误治。
TVDU为疾病初筛的手段,敏感度可达74%,特异度100%,可以早期诊断UAVF [11-12]。超声下UAVF特征性表现为无回声区内有丰富红蓝镶嵌血流信号充填,呈“马赛克”或“湖泊样”改变,典型者见静脉血流动脉化表现[12-13]。见图 1。
CTA对动脉和静脉来源出血均敏感[14],可显示UAVF畸形血管三维空间结构[6],诊断敏感度达92%,特异度达100%,如联合TVDU,敏感度可高达96%,是理想的诊断方法。
DSA是诊断UAVF的“金标准”[15],对超声诊断可疑患者,可行DSA明确诊断,可同时行动脉栓塞术[8]。部分学者仅建议对有栓塞计划或手术治疗者行DSA检查[15-16]。
UAVF的治疗方法包括观察、药物治疗、子宫动脉栓塞和手术治疗[17]。急诊大出血时,有生育要求者可行UAE,无生育要求者可行子宫切除术[9, 13]。目前的研究支持将UAE作为妇产科急症出血中替代手术的首选方法[18-19]。既往研究显示,治疗方式的选择与病灶大小及病灶收缩期峰值(PSV)相关,当子宫动静脉瘘PSV较高且病变较大时,UAE是理想的治疗方法,可反复多次进行[5, 20]。该研究中单纯UAE成功率达92.3%,相关并发症较少,对生育影响小,与文献报道相符[5]。但目前缺乏对病灶大小与治疗方法疗效的研究,潜在风险的PSV值亦无统一标准[5, 15]。本研究得出超声测量病灶大小(V)和最大径线(a)对该病治疗的意义及治疗节点:V>130 cm3或a>5 cm的患者行UAE后再进腹手术治疗(病灶剔除或子宫切除)安全有效,否则容易出现栓塞失败或病情反复。
获得性UAVF常与妊娠相关[5, 15],盲目刮宫或宫腔镜手术可使血管构筑更加复杂化,疾病大出血风险增高[20, 22, 23]。HCG值较高且合并宫腔占位者在UAE后再行清宫/宫腔镜手术,可提高疾病治愈率。
综上所述,子宫动静脉瘘为罕见妇产科急症,TVDU联合CTA检查,对UAVF诊断的敏感度和特异度高,有望替代DSA进行治疗前评估,减少有创操作。病灶大小和最大径线可作为UAVF治疗方案的选择依据之一。UAE为一线治疗方案,若影像学提示合并妊娠物残留时,建议UAE后行宫腔内手术。子宫动脉栓塞失败或者病灶大无生育要求患者可行手术切除治疗[9, 24-25]。妇科医生需要快速的进行识别和处理子宫动静脉瘘,切忌盲目直接行宫腔内手术。
利益冲突 所有作者声明无利益冲突
作者贡献声明 黄琼:研究设计、论文撰写;黄云柯、钟霜霜:数据收集及整理、统计学分析、论文撰写;杨春波:解释数据、统计指导;周露璐:实施超声部分研究;任聪聪:实施CTA部分研究
| [1] | Zhu YP, Sun ZJ, Lang JH, et al. Clinical characteristic and management of acquired uterine arteriovenous malformation[J]. Chin Med J (Engl), 2018, 131(20): 2489-2491. DOI:10.4103/0366-6999.243570 |
| [2] | Gilbert A, Thubert T, Dochez V, et al. Angiographic findings and outcomes after embolization of patients with suspected postabortion uterine arteriovenous fistula[J]. J Gynecol Obstet Hum Reprod, 2021, 50(7): 102033. DOI:10.1016/j.jogoh.2020.102033 |
| [3] | Yan X, Zhao C, Tian C, et al. Ultrasound-guided high-intensity focused ultrasound ablation for treating uterine arteriovenous malformation[J]. BJOG, 2017, 124(Suppl 3): 93-96. DOI:10.1111/1471-0528.14749 |
| [4] | Rosen A, Chan WV, Matelski J, et al. Medical treatment of uterine arteriovenous malformation: a systematic review and meta-analysis[J]. Fertil Steril, 2021, 116(4): 1107-1116. DOI:10.1016/j.fertnstert.2021.05.095 |
| [5] | Giurazza F, Corvino F, Silvestre M, et al. Uterine arteriovenous malformations[J]. Semin Ultrasound CT MR, 2021, 42(1): 37-45. DOI:10.1053/j.sult.2020.08.002 |
| [6] | Vijayakumar A, Srinivas A, Chandrashekar BM, et al. Uterine vascular lesions[J]. Rev Obstet Gynecol, 2013, 6(2): 69-79. |
| [7] | 贾柠伊, 刘佳, 李坚. 子宫动静脉瘘诊断及治疗现状进展[J]. 中国妇产科临床杂志, 2019, 20(6): 571-573. DOI:10.13390/j.issn.1672-1861.2019.06.031 |
| [8] | Giurazza F, Corvino F, Paladini A, et al. Uterine arteriovenous fistula with concomitant pelvic varicocele: endovascular embolization with Onyx-18®[J]. Case Rep Vasc Med, 2017, 2017: 3548271. DOI:10.1155/2017/3548271 |
| [9] | Hong W, Wang BY, Wu ZP, et al. Systematic retrospective analysis of 13 cases of uterine arteriovenous fistula: Pathogeny, diagnosis, treatment and follow-up[J]. J Obstet Gynaecol Res, 2020, 46(7): 1117-1127. DOI:10.1111/jog.14264 |
| [10] | Picel AC, Koo SJ, Roberts AC. Transcatheter arterial embolization with n-butyl cyanoacrylate for the treatment of acquired uterine vascular malformations[J]. Cardiovasc Intervent Radiol, 2016, 39(8): 1170-1176. DOI:10.1007/s00270-016-1328-z |
| [11] | Lebreton C, Deffieux X, Vieillefosse S, et al. An arterio-venous malformation related to a uterine scar defect, an unusual association[J]. J Gynecol Obstet Hum Reprod, 2020, 49(6): 101733. DOI:10.1016/j.jogoh.2020.101733 |
| [12] | 吕小利, 陈萍, 徐惠英, 等. 彩色多普勒超声在获得性子宫动静脉瘘的诊断及疗效评估中的应用[J]. 中华医学超声杂志(电子版), 2019, 16(3): 181-185. DOI:10.3877/cma.j.issn.1672-6448.2019.03.005 |
| [13] | Hashim H, Nawawi O. Uterine arteriovenous malformation[J]. Malays J Med Sci, 2013, 20(2): 76-80. |
| [14] | 中国医师协会急诊医师分会. 急性上消化道出血急诊诊治流程专家共识(修订稿)[J]. 中国急救医学, 2011, 31(1): 1-8. DOI:10.3969/j.issn.1002-1949.2011.01.001 |
| [15] | Szpera-Goździewicz A, Gruca-Stryjak K, Bręborowicz GH, et al. Uterine arteriovenous malformation - diagnosis and management[J]. Ginekol Pol, 2018, 89(5): 276-279. DOI:10.5603/GP.a2018.0047 |
| [16] | Iraha Y, Okada M, Toguchi M, et al. Multimodality imaging in secondary postpartum or postabortion hemorrhage: retained products of conception and related conditions[J]. Jpn J Radiol, 2018, 36(1): 12-22. DOI:10.1007/s11604-017-0687-y |
| [17] | Rosen A, Chan WV, Matelski J, et al. Medical treatment of uterine arteriovenous malformation: a systematic review and meta-analysis[J]. Fertil Steril, 2021, 116(4): 1107-1116. DOI:10.1016/j.fertnstert.2021.05.095 |
| [18] | 段萍, 吕杰强, 朱春丹, 等. 急诊子宫大出血的动脉栓塞治疗[J]. 中华急诊医学杂志, 2008, 17(5): 548-549. DOI:10.3760/j.issn:1671-0282.2008.05.030 |
| [19] | 徐红艳, 杨康亚, 曹敏媛, 等. 三种球囊填塞法应用于凶险性前置胎盘伴植入患者围术期止血的效果分析[J]. 中华急诊医学杂志, 2020, 29(10): 1372-1375. DOI:10.3760/cma.j.issn.1671-0282.2020.10.022 |
| [20] | Yoon DJ, Jones M, Taani JA, et al. A systematic review of acquired uterine arteriovenous malformations: pathophysiology, diagnosis, and transcatheter treatment[J]. AJP Rep, 2016, 6(1): e6-e14. DOI:10.1055/s-0035-1563721 |
| [21] | 殷亚东, 刘岚. 子宫动静脉瘘引起晚期产后出血的诊疗进展[J]. 国际妇产科学杂志, 2021, 48(1): 84-88. DOI:10.12280/gjfckx.20200541 |
| [22] | Cura M, Martinez N, Cura A, et al. Arteriovenous malformations of the uterus[J]. Acta Radiol, 2009, 50(7): 823-829. DOI:10.1080/02841850903008792 |
| [23] | 郭翠霞, 孙丽娟, 李菁华, 等. 子宫动静脉瘘致阴道大出血的超声图像分析[J]. 中华医学超声杂志(电子版), 2020, 17(6): 503-508. DOI:10.3877/cma.j.issn.1672-6448.2020.06.003 |
| [24] | 黎静. 多层螺旋CT和高频超声检查对人工流产后子宫动静脉瘘的临床价值[J]. 医学影像学杂志, 2019, 29(2): 337-340. |
| [25] | 张慧玲, 李妍. 子宫动静脉瘘1例报道及相关文献复习[J]. 中国现代手术学杂志, 2020, 24(2): 146-150. DOI:10.16260/j.cnki.1009-2188.2020.02.015 |
2022, Vol. 31

