急性肾损伤(acute kidney injury,AKI)是脓毒症的常见合并症,也是导致危重症患者病情急剧恶化的重要危险因素[1]。最近的研究证据表明,氧化失衡导致的线粒体损伤与脓毒症急性肾损伤(septic acute kidney injury,SAKI)病理生理过程密切相关,其中沉默信息调节因子3(silent information regulator3,Sirt3)是线粒体稳态的关键调节因子,也是调控肾小管上皮细胞氧化应激的重要信号通路蛋白[2-3]。然而,Sirt3在SAKI发病机制中的作用尚不清楚。因此,本研究拟通过建立脓毒症小鼠模型,探讨Sirt3调控SAKI时肾小管上皮细胞内线粒体损伤和功能的机制,以及N-乙酰半胱氨酸(N-acetylcysteine,NAC)对Sirt3蛋白表达影响,为SAKI患者的精准防治提供新思路。
1 材料与方法 1.1 实验材料C57BL/6小鼠40只,购自浙江大学动物实验中心[许可证号:SYXK(浙)2018-0016];NAC购自美国Sigma-Aldrich公司;酶联免疫吸附试剂盒(enzyme-linked immunosorbent assay,ELISA)购自中国武汉BOSTER生物公司;RNeasy mini试剂盒购自中国上海Thermo Fisher Scientific公司;超氧化物歧化酶(superoxide dismutase,SOD)、谷胱甘肽过氧化物酶(glutathione peroxidase,GSH-Px)、过氧化氢酶(catalase,CAT)和丙二醛(malondialdehyde,MDA)均购自中国南京建成生物公司;Sirt3免疫组织化学试剂盒购自美国Sigma-Aldrich公司。
1.2 实验动物及分组雄性C57BL/6小鼠,4~5周龄,13~15 g。采用盲肠结扎和穿孔术法(cecal ligation and perforation,CLP)构建脓毒症小鼠模型。具体步骤:使用异氟烷腹腔注射麻醉小鼠,沿腹中线做一切口(2~3 cm),找到盲肠并脱出腹外,27号针头穿刺盲肠,4号线结扎盲肠,最后细针缝合切口。对照组除不做穿孔和结扎外,其余步骤同CLP组。根据实验需要,将实验小鼠随机(随机数法)分为4组:即假手术组(Sham)、CLP组、CLP+NAC(50 mg/kg)组和CLP + NAC(100 mg/kg)组。对于NAC组,在构建脓毒症模型前3 d给予NAC(50 mg/kg或100 mg/kg)灌胃,1次/d,在最后1次灌胃后12 h采用CLP法制作模型[4]。本研究所有动物实验操作均按照相关规范进行,并已通过宁波大学实验动物伦理委员会批准(AEWC-2017-33)。
1.3 标本留取所有小鼠在CLP术后24 h均采用颈脱位法处死,使用心脏穿刺法留取小鼠血液样本,12 000 r/min,离心10 min,同时留取新鲜肾组织样本,保存于-80℃低温冰箱中,备用。
1.4 肾组织病理损伤评分取新鲜肾组织,将其固定于4%多聚甲醛中24 h,石蜡包埋,切片后采用苏木精-伊红(hematoxylin-eosin staining,HE)染色,普通光镜下观察肾组织损伤情况(400×)。基于前期研究方法对肾组织进行定量评分,具体如下:正常肾小管上皮组织,评分为0;轻度伤害(< 25%),得1分;中度伤害(25%~50%),得2分;严重伤害(50%~75%),得3分;极其严重的伤害(> 75%),得4分[5]。由两位专业病理医师通过盲法独立阅片,并随机挑选3个显微镜视野进行评分。
1.5 肾功能评估根据制造商的说明,使用ELISA法检测小鼠血清肌酐(serum creatinine,Scr)、血尿素氮(blood urea nitrogen,BUN)、中性粒细胞明胶酶相关载脂蛋白(neutrophil gelatinase-associated apolipoprotein,NGAL)和肾脏损伤分子-1(kidney injury molecule-1,KIM-1)表达水平。
1.6 免疫组织化学检测肾组织Sirt3表达将肾组织固定于4%多聚甲醛中,组织包埋并切片(1~2 mm),常规乙醇梯度脱水,二甲苯透明,逐步滴加一抗(Sirt3),4℃过夜,滴加二抗辣根过氧化物,室温孵育2 h,中性树脂封片后普通光镜下观察(400×),并通过Image-Pro定量评估Sirt3蛋白表达水平。
1.7 RT-qPCR检测肾组织Sirt3 mRNA表达使用RNeasy mini试剂盒提取肾皮质总RNA,并进行RNA纯度鉴定。使用的Sirt3 mRNA引物为:正链3´-AAA GCA ACT ACC ACG AGC CAC CAG CAG CGC-5´; ,反链5´-CGC CAG CGT CGT CCA CTC TGC CTT CTA CAC-3´。设定反应条件:95℃变性,快速冷却至40~60℃,引物退火65℃,在Taq DNA聚合酶作用下引物链沿模板延伸,共35个循环,并使用2-ΔΔCt方法计算Sirt3 mRNA的相对水平。
1.8 透射电镜观察肾小管上皮细胞线粒体形态将肾组织固定于4%戊二醛中,4℃过夜,PBS冲洗,1%锇酸固定,使用酒精丙酮进行梯度脱水,将组织包膜至环氧树胶中,制作切片铜网,采用醋酸铀 & 枸橼酸铅进行染色,在透射电镜下随机选取视野观察肾小管上皮细胞内线粒体的形态改变,并通过线粒体数量/视野面积计算线粒体密度。
1.9 肾组织氧化酶表达根据制造商的说明,通过商业试剂盒检测肾组织氧化酶SOD、GSH-Px、CAT和MDA表达水平,并以牛胎血清白蛋白为标准,通过Bradford法定量评估蛋白质表达量。
1.10 统计学方法计量资料以均数±标准差(x±s)表示,并使用SPSS 24.0(SPSS Inc.,Chicago,IL)进行分析。采用单因素方差分析比较多组间差异(LSD-t),以P < 0.05为差异有统计学意义。
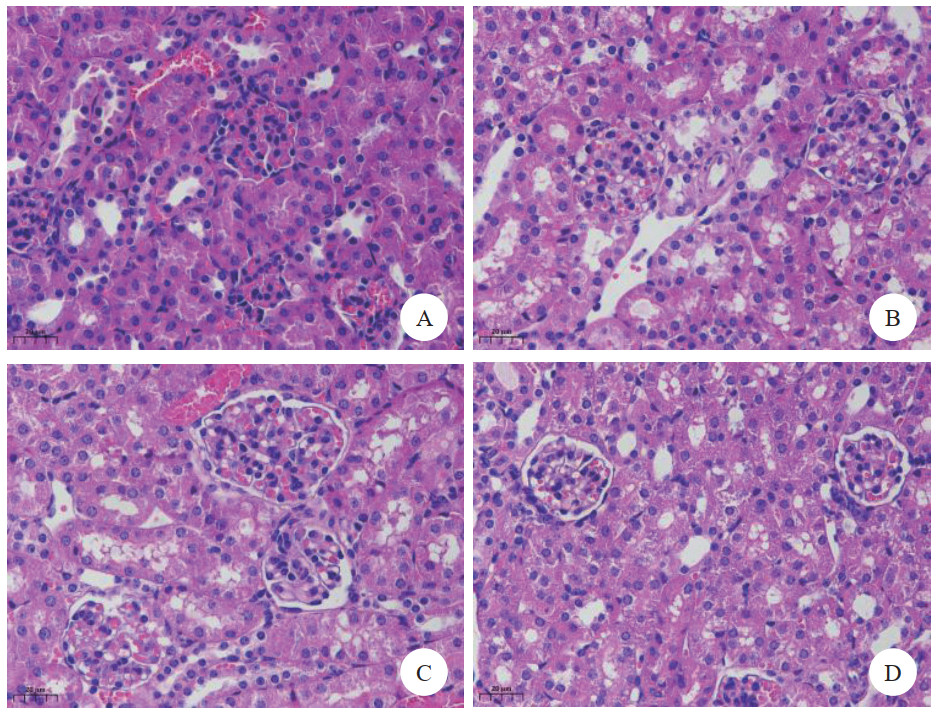
2 结果 2.1 肾组织病理学和肾功能变化普通光镜下可见Sham组小鼠肾组织结构清晰正常;CLP组小鼠肾组织结构紊乱,肾小球包膜破裂,肾小管上皮细胞损伤脱落,间质可见炎症细胞浸润;50 mg/kg NAC治疗组肾组织结构相对清晰,肾小球包膜完整,但肾小管上皮细胞中度损伤,间质存在炎症细胞;100 mg/kg NAC治疗组肾组织结构清晰规整,肾小球包膜完整,肾小管上皮存在轻度损伤。如表 1所示,与Sham组相对,CLP组小鼠肾损伤评分以及肾功能指标Scr、BUN、KIM-1和NGAL水平均显著升高(均P < 0.001);与CLP组相比,虽然50 mg/kg NAC治疗组肾损伤评分以及肾功能指标Scr、BUN、KIM-1和NGAL水平均有所减低,但差异无统计学意义;然而100 mg/kg NAC治疗组肾损伤评分以及肾功能指标Scr、BUN、KIM-1和NGAL水平均显著降低(均P < 0.01)。见图 1,表 1。
|
| A:Sham组;B:CLP组;C:CLP+NAC组(50 mg/kg);D:CLP+NAC组(100 mg/kg) 图 1 普通光镜下观察各组小鼠肾组织损伤情况(HE×400) Fig 1 Observation of kidney tissue damage under ordinary light microscope in each group of mice (HE, original magnification×400) |
|
|
| 组别 | 动物数(n) | 肾损伤评分 | Scr(μmol/L) | BUN(mmol/L) | KIM-1(ng/mL) | NGAL(ng/mL) |
| Sham组 | 10 | 0.200±0.133 | 44.701±2.650 | 8.600±0.921 | 31.300±1.506 | 47.401±1.956 |
| CLP组 | 10 | 3.500±0.167a | 147.000±6.525a | 35.500±1.839a | 78.000±3.830a | 131.900±5.567a |
| CLP+NAC(50 mg/kg)组 | 10 | 3.200±0.200 | 128.000±6.013 | 30.600±1.614 | 67.900±3.192 | 105.900±6.098 |
| CLP+NAC(100 mg/kg)组 | 10 | 2.000±0.211b | 94.200±6.480b | 16.700±1.359b | 49.000±2.098b | 82.600±5.852b |
| F值 | 69.000 | 60.440 | 70.790 | 54.291 | 48.470 | |
| P值 | < 0.001 | < 0.001 | < 0.001 | < 0.001 | < 0.001 | |
| 注:与Sham组比较,aP < 0.001;与CLP组比较,bP < 0.001;Scr为血清肌酐,BUN为血清尿素氮,KIM-1为肾损伤分子1,NGAL为中性粒细胞明胶酶相关载脂蛋白 | ||||||
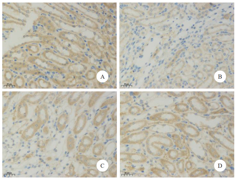
采用免疫组织化学法检测各组小鼠肾组织中Sirt3蛋白表达,发现Sham组小鼠肾皮质组织中大量Sirt3蛋白表达,并主要集中在肾小管上皮组织中。见图 2。与Sham组相比,CLP组Sirt3蛋白和mRNA表达均显著下调(均P < 0.001);与CLP组相比,50 mg/kg NAC治疗组肾皮质组织中Sirt3蛋白和mRNA表达均显著增加(均P < 0.05),而100 mg/kg NAC治疗组肾皮质组织中Sirt3蛋白和mRNA表达增加均更加明显(均P < 0.001)。见表 2。
|
| A:Sham组;B:CLP组;C:CLP+NAC组(50 mg/kg);D:CLP+NAC组(100 mg/kg) 图 2 免疫组织化学检测各组小鼠肾皮质组织Sirt3蛋白表达(×400) Fig 2 Immunohistochemical detection of Sirt3 protein expression in renal cortex of mice in each group (original magnification×400) |
|
|
| 组别 | 动物数(n) | Sirt3蛋白(IOD值) | Sirt3 mRNa | 线粒体密度 | SOD(U/mg) | GSH-Px(U/mg) | CAT(U/mg) | MDA(nmol/mg) |
| Sham组 | 10 | 70.401±1.945 | 0.967±0.031 | 0.696±0.042 | 87.531±2.395 | 336.710±9.436 | 13.661±0.640 | 24.660±1.086 |
| CLP组 | 10 | 20.004±0.745a | 0.413±0.068a | 0.425±0.061a | 21.091±0.892a | 180.001±3.310a | 5.190±0.581a | 83.811±1.697a |
| CLP+NAC(50 mg/kg)组 | 10 | 23.800±1.405c | 0.490±0.065c | 0.472±0.079 | 26.261±1.722 | 198.301±8.642 | 7.680±0.432 | 75.610±2.061 |
| CLP+NAC(100 mg/kg)组 | 10 | 50.201±2.792b | 0.574±0.066b | 0.598±0.053b | 67.372±3.792b | 265.610±9.606b | 8.580±0.645b | 40.360±1.792b |
| F值 | 159.301 | 173.104 | 42.022 | 173.510 | 76.231 | 37.490 | 276.001 | |
| P值 | < 0.001 | < 0.001 | < 0.001 | < 0.001 | < 0.001 | < 0.001 | < 0.001 | |
| 注:与Sham组比较,aP < 0.001;与CLP组比较,bP < 0.001,cP < 0.05;SOD为超氧化物歧化酶,GSH-Px为谷胱甘肽过氧化物酶,CAT为过氧化氢酶,MDA为丙二醛 | ||||||||
通过透射电镜可以观察到Sham组小鼠肾小管上皮细胞线粒体结构正常完整;CLP组小鼠肾小管上皮细胞线粒体结构紊乱,线粒体显著肿胀,外膜破裂缺失;而给予50 mg/kg NAC治疗组肾小管上皮细胞线粒体结构尚完整,线粒体肿胀有所减轻;给予100 mg/kg NAC治疗组肾小管上皮细胞线粒体结构清晰完整,线粒体肿胀明显减轻,外膜完整。如表 2所示,与Sham组相比,CLP组线粒体密度显著降低(P < 0.001);与CLP组相比,虽然50 mg/kg NAC治疗组肾皮质组织中线粒体密度有所增加,但差异无统计学意义,而100 mg/kg NAC治疗组肾皮质组织中线粒体密度明显增加(P < 0.001)。见图 3。
|
| A:Sham组;B:CLP组;C:CLP+NAC组(50 mg/kg);D:CLP+NAC组(100 mg/kg) 图 3 透射电镜下观察各组小鼠肾小管上皮细胞线粒体结构(0.5 μm) Fig 3 Observation of the mitochondrial structure of renal tubular epithelial cells under transmission electron microscope in each group of mice (0.5 μm) |
|
|
与Sham相比,CLP组小鼠肾组织中抗氧化酶SOD,GSH-Px和CAT的水平均显著减低(均P < 0.001),而脂质过氧化物MDA水平显著升高(P < 0.001)。与CLP组相比,给予50 mg/kg NAC治疗组肾组织中SOD,GSH-Px和CAT的水平均有所升高,MDA有所降低,但差异无统计学意义;然而给予100 mg/kg NAC治疗组肾组织中SOD,GSH-Px和CAT的水平均显著升高(均P < 0.001),MDA显著降低(P < 0.001)。见表 2。
3 讨论线粒体长期以来一直被认为是产生活性氧和氮的主要来源,线粒体动力学和生物发生在维持线粒体本身中的重要作用一直是研究的热点[6]。研究表明,在许多病理情况下,尤其是由于氧化平衡紊乱过程中,维持线粒体内的动态平衡和氧化还原失衡是预防疾病发生和发展的重要措施[7]。N-乙酰半胱氨酸(NAC)是谷胱甘肽的前体物质,也是被公认的一种强大的抗氧化剂,其能够在许多异常情况下保护细胞和器官免受氧化损伤[8]。在过去的数年中,NAC对线粒体的保护作用已经在体内和体外研究模型中得到证实,同时也发现NAC的抗炎和抗分解作用[9-10]。然而,NAC如何保护线粒体以及其作用机制尚不清楚。
Sirt3作为线粒体动力学最新公认的调节剂,是最主要的线粒体NAD+依赖性蛋白脱乙酰基酶,在维持线粒体动力和功能方面起着关键作用[11]。Sirt3可以通过调控电子传输链复合物Ⅰ和Ⅲ的功能来维持氧化还原稳态,从而防止ROS的产生[12-13]。同时Sirt3也可以通过SOD2的脱乙酰作用而促进ROS的解毒,从而激活线粒体抗氧化酶SOD2[14-15]。肾脏是人体重要的调节器官,对维持体内的平衡起着重要作用[16]。研究表明,Sirt3可以预防肾脏缺血-再灌注、顺铂以及脓毒症引起的AKI,而缺乏Sirt3会导致小鼠AKI发生率的显著升高和存活率的显著降低[17-19]。最新研究表明,脓毒症导致Sirt3蛋白表达显著下调,线粒体动力和功能明显降低,加重疾病发生和发展。
本研究通过CLP法构建脓毒症小鼠模型,使用两种不同剂量的NAC预处理小鼠,发现CLP导致脓毒症小鼠肾组织中Sirt3蛋白表达显著降低,并伴有肾组织损伤和肾功能降低。给予50 mg/kg NAC预处理小鼠可增加Sirt3蛋白表达,同时减轻肾组织损伤和改善肾功能,但差异无统计学意义。然而,给予100 mg/kg NAC预处理后肾组织中Sirt3蛋白表达显著增加,并显著改善肾组织损伤和肾功能。介于Sirt3在维持线粒体结构和氧化应激功能上的重要作用,进一步探讨了小鼠肾小管上皮细胞线粒体损伤情况和氧化应激水平改变。本研究表明,CLP导致小鼠肾组织中抗氧化酶SOD,GSH-Px和CAT的水平显著降低,而脂质过氧化终产物MDA水平显著升高,在给予50 mg/kg NAC预处理后仅部分恢复了肾组织中抗氧化酶活性,但差异无统计学意义。进一步研发发现给予100 mg/kg NAC预处理后显著恢复了肾组织中抗氧化酶活性,并降低氧化产物MDA水平。由此可见,Sirt3在维持CLP诱发肾小管上皮细胞损伤中起着重要作用,100 mg/kg NAC可以通过恢复Sirt3表达水平来部分消除由于线粒体损伤和氧化应激导致的不利后果。
利益冲突 所有作者声明无利益冲突
作者贡献声明 樊恒,乐健伟,孙敏:实验操作、论文撰写;樊恒,陈国栋:数据收集及整理、统计学分析;樊恒,朱建华:研究设计、论文修改
| [1] | Xia S, Lin H, Liu H, et al. Honokiol attenuates sepsis-associated acute kidney injury via the inhibition of oxidative stress and inflammation[J]. Inflammation, 2019, 42(3): 826-834. DOI:10.1007/s10753-018-0937-x |
| [2] | Peerapanyasut W, Kobroob A, Palee S, et al. Activation of sirtuin 3 and maintenance of mitochondrial integrity by N-Acetylcysteine protects against bisphenol a-induced kidney and liver toxicity in rats[J]. Int J Mol Sci, 2019, 20(2): 267. DOI:10.3390/ijms20020267 |
| [3] | Tan C, Gu J, Li T, et al. Inhibition of aerobic glycolysis alleviates sepsisinduced acute kidney injury by promoting lactate/Sirtuin 3/AMPK regulated autophagy[J]. Int J Mol Med, 2021, 47(3): 19. DOI:10.3892/ijmm.2021.4852 |
| [4] | Vasco CF, Watanabe M, Fonseca CDD, Vattimo MFF. Sepsis-induced acute kidney injury: kidney protection effects by antioxidants[J]. Rev Bras Enferm, 2018, 71(4): 1921-1927. DOI:10.1590/0034-7167-2017-0469 |
| [5] | Fan H, Le JW, Zhu JH. Protective Effect of N-Acetylcysteine pretreatment on acute kidney injury in septic rats[J]. J Surg Res, 2020, 254: 125-134. DOI:10.1016/j.jss.2020.04.017 |
| [6] | 盛悦, 王锦权. 脓毒症致线粒体损伤的研究进展[J]. 中华急诊医学杂志, 2018, 27(5): 573-576. DOI:10.3760/cma.j.issn.1671-0282.2018.05.026 |
| [7] | 杨倩, 曹伟, 吕迪宇, 等. 尿基质金属蛋白酶组织抑制剂-2和胰岛素样生长因子结合蛋白-7在脓毒症致AKI中的早期诊断价值[J]. 中华急诊医学杂志, 2020, 29(9): 1167-1172. DOI:10.3760/cma.j.issn.1671-0282.2020.09.006 |
| [8] | Sharma M, Kaur T, Singla SK. Protective effects of N-acetylcysteine against hyperoxaluria induced mitochondrial dysfunction in male wistar rats[J]. Mol Cell Biochem, 2015, 405(1-2): 105-114. DOI:10.1007/s11010-015-2402-6 |
| [9] | González R, Ferrín G, Hidalgo AB, et al. N-acetylcysteine, coenzyme Q10 and superoxide dismutase mimetic prevent mitochondrial cell dysfunction and cell death induced by d-galactosamine in primary culture of human hepatocytes[J]. Chem Biol Interact, 2009, 181(1): 95-106. DOI:10.1016/j.cbi.2009.06.003 |
| [10] | Jain S, Kumar CH, Suranagi UD, et al. Protective effect of N-acetylcysteine on bisphenol A-induced cognitive dysfunction and oxidative stress in rats[J]. Food Chem Toxicol, 2011, 49(6): 1404-1409. DOI:10.1016/j.fct.2011.03.032 |
| [11] | Zhao WY, Zhang L, Sui MX, et al. Protective effects of sirtuin 3 in a murine model of sepsis-induced acute kidney injury[J]. Sci Rep, 2016, 6: 33201. DOI:10.1038/srep33201 |
| [12] | Benigni A, Perico L, Macconi D. Mitochondrial dynamics is linked to longevity and protects from end-organ injury: the emerging role of sirtuin 3[J]. Antioxid Redox Signal, 2016, 25(4): 185-199. DOI:10.1089/ars.2016.6682 |
| [13] | Yu L, Gong B, Duan W, et al. Melatonin ameliorates myocardial ischemia/reperfusion injury in type 1 diabetic rats by preserving mitochondrial function: role of AMPK-PGC-1α-SIRT3 signaling[J]. Sci Rep, 2017, 7: 41337. DOI:10.1038/srep41337 |
| [14] | Morigi M, Perico L, Rota C, et al. Sirtuin 3-dependent mitochondrial dynamic improvements protect against acute kidney injury[J]. J Clin Invest, 2015, 125(2): 715-726. DOI:10.1172/JCI77632 |
| [15] | Nowak G, Megyesi J. Protein kinase Cα mediates recovery of renal and mitochondrial functions following acute injury[J]. FEBS J, 2020, 287(9): 1830-1849. DOI:10.1111/febs.15110 |
| [16] | Fan H, Zhao Y, Zhu JH. S-nitrosoglutathione protects lipopolysaccharide-induced acute kidney injury by inhibiting toll-like receptor 4-nuclear factor-κB signal pathway[J]. J Pharm Pharmacol, 2019, 71(8): 1255-1261. DOI:10.1111/jphp.13103 |
| [17] | Huang Z, Li Q, Yuan Y, et al. Renalase attenuates mitochondrial fission in cisplatin-induced acute kidney injury via modulating sirtuin-3[J]. Life Sci, 2019, 222: 78-87. DOI:10.1016/j.lfs.2019.02.042 |
| [18] | Zhao W, Zhang L, Chen R, et al. SIRT3 protects against acute kidney injury via AMPK/mTOR-regulated autophagy[J]. Front Physiol, 2018, 9: 1526. DOI:10.3389/fphys.2018.01526 |
| [19] | Si Y, Bao H, Han L, et al. Dexmedetomidine attenuation of renal ischaemia-reperfusion injury requires sirtuin 3 activation[J]. Br J Anaesth, 2018, 121(6): 1260-1271. DOI:10.1016/j.bja.2018.07.007 |
2022, Vol. 31



