急性肺损伤(acute lung injury,ALI)是一种严重的呼吸系统疾病,常常引起弥漫性肺泡损伤且无有效治疗方法,病死率较高。肺水肿、肺泡通透性增加、白细胞聚集、上皮细胞损伤和弥漫性肺泡损伤是急性肺损伤的典型病理改变[1]。急性肺损伤可被多种因素诱发,其中研究最为广泛、严重程度最高的则是脂多糖(LPS)所诱导的肺损伤。越来越多的证据表明细胞焦亡(pyroptosis)所带来的细胞因子风暴在脂多糖诱导的急性肺损伤中扮演着相当重要的角色[2]。
罗汉果为葫芦科(cucurbitaceae) 罗汉果属植物罗汉果(momordica grosvenorii)的干燥果实。罗汉果是一种传统的中药材,因其具有独特的甜味特性,可以作为无热量的糖替代品[3]。罗汉果醇(mogrol,MO)作为罗汉果的主要成分罗汉果皂苷的苷元,是人体摄取罗汉果苷后被吸收的主要形式[4]。近年来,有研究表明,罗汉果醇可以抑制ERK1/2和STAT3的磷酸化,且具有抗白血病、抗肿瘤以及调节脂肪代谢的作用[3]。同时,罗汉果醇被发现是AMP依赖的蛋白激酶(AMP dependent protein kinase, AMPKα)的有效激活剂,实现对脂肪合成以及癌症进展的调节作用[5]。AMPK作为线粒体内能量代谢感受器, 在ATP水平变化时磷酸化程度改变,从而调控其下游分子mTOR, TLR4等表达及活性,发挥调节免疫的功能[6]。然而目前MO能否通过激活AMPK来抑制炎症程度,缓解急性器官损伤仍未可知。本研究通过脂多糖刺激小鼠以及人单核细胞THP-1诱导的急性炎症模型,探索罗汉果醇促进AMPK磷酸化后靶向调控炎症通路的作用以及相关机制,为MO能否对急性肺损伤的临床治疗中得到应用提供研究证据。
1 材料与方法 1.1 主要材料与试剂罗汉果醇购自上海MCE公司(目录号:HY-N2312),纯度 > 99%;脂多糖(LPS)购自美国Sigma-Aldrich公司;本实验一抗:p-AMPK(2537)、NLRP3(15101)、GAPDH(9315)均购自美国Cell Signaling Technology公司,GSDMD-N(ab215203)购自abcam公司,Caspase-1(A0964)、ASC(A16672)均购自abclonal公司;超敏级ECL发光显色液、蛋白上样缓冲液、;RIPA裂解液购自biosharp公司;聚偏氟乙烯膜购自美国Millipore公司;化学发光二抗购自proteintech公司;逆转录试剂盒(K1622)购自Thermo公司;ELISA试剂盒IL-1β (ab197742,ab214025)、IL-18 (ab216165,ab215539)购自abcam公司。
1.2 实验方法 1.2.1 动物模型建立取用24只6~8周龄清洁级C57BL/6雄性小鼠(体重20 g左右),适应性喂养5 d后,采用随机数字法将小鼠分为对照组、罗汉果醇(MO)组、脂多糖组、脂多糖+MO组,每组各分配6只。对照组小鼠腹腔注射生理盐水(30 mL/kg), MO组小鼠腹腔注射MO(30 mg/kg), 脂多糖组小鼠腹腔注射脂多糖(10 mg/kg),脂多糖+MO组小鼠腹腔注射MO(30 mg/kg), 30 min后另一侧腹腔注射脂多糖(10 mg/kg)。经过12 h后,处死小鼠并取材。
1.2.2 组织病理染色及评估取小鼠左肺于4%甲醛中固定,石蜡包埋,截最大面切片,将切片进行苏木精-伊红(hematoxylin-eosin, HE)染色。在光学显微镜下观察拍照,根据肺泡及间质炎症,肺水肿,肺泡及间质出血,肺泡完整性及透明膜形成行0~4分半定量分析。若视野内无损伤:0分;病变范围 < 25%: 1分;病变范围25%~50%: 2分;病变范围50%~70%:3分;满视野:4分。
1.2.3 肺湿/干重比测定将小鼠处死后取右肺并擦去表面血液,立即称量右肺湿重。将同一组织置于65℃烘箱内烘干96 h,再次称量干燥组织重量,记录肺湿/干重比。
1.2.4 肺组织MPO活性测定将肺组织研磨,使用MPO试剂盒(ab105136, Abcam)检测MPO活性,并在酶标仪上测定412 nm处吸光度
1.2.5 组织切片免疫荧光染色石蜡切片置于65℃烘箱中烘片2 h,脱蜡水化后修复抗原并用0.2%Triton X-100通透,随后封闭,将一抗以1:100比例稀释后4℃孵育过夜,第2天复温并、漂洗避光孵育二抗45 min,DAPI复染细胞核后封片,镜检拍照。
1.2.6 细胞培养取用状态良好的THP-1细胞用含10%胎牛血清的RPMI1640培养基中培养24 h后,用100 ng/mL PMA诱导分化成巨噬细胞,设置对照组、罗汉果醇(MO)组、脂多糖组、脂多糖+MO组。其中MO组在含100μmol/L MO的完全培养基中培养6 h,脂多糖组在含1μg/mL脂多糖培养基中培养6 h,脂多糖+MO组在同时含有100 μmol/L MO及1μg/mL脂多糖培养基中培养6 h。刺激结束后收集各组细胞悬液,所得细胞及培养基上清液用于后续检测。
1.2.7 分子生物学检测通过蛋白质免疫印迹(Western Blotting)法检测小鼠肺组织以及细胞中蛋白水平变化。取研磨后的肺组织或离心获得的细胞沉淀,按照一定比例加入RIPA裂解液冰上裂解30 min,超声离心后定量并变性。在SDS-PAGE凝胶中进行蛋白电泳并转膜,封闭3 h后4℃冰箱孵育一抗过夜,次日室温下孵育二抗后显色,记录条带并通过Image J软件分析结果。
实时定量PCR检测相关炎症因子mRNA的表达:取组织或细胞,Trizol法提取总mRNA,取2 μg获得的mRNA逆转录合成cDNA,使用SYBR®Green Realtime PCR Master Mix(购自TOYOBO公司),检测mRNA表达水平。相关引物见表 1。
| 基因名称 | 引物序列(5’-3’) | 种属 |
| IL-1β | 上游:TCAAATCTCGCAGCAGCACATC | 小鼠 |
| 下游: CGTCACACACCAGCAGGTTATC | ||
| TNF-α | 上游: GTGCCTATGTCTCAGCCTCTTCTC | 小鼠 |
| 下游: GTTTGTGAGTGTGAGGGTCTGG | ||
| IL-6 | 上游:CCCCAATTTCCAATGCTCTCC | 小鼠 |
| 下游: CGCACTAGGTTTGCCGAGTA |
ELISA法检测组织及细胞上清液中IL-1β、IL-18水平:取用预冷的PBS溶液研磨的组织匀浆或离心获得的细胞上清液,按照试剂盒说明书步骤操作并在酶标仪上机检测吸光度,收集数据并分析。
1.3 统计学方法运用SPSS 23.0和GraphPad Prism 8进行统计学分析,计量资料采用均数±标准差(x±s)表示,组间比较采用单因素方差分析(LSD-t),以P<0.05为差异有统计学意义。
2 结果 2.1 缓解LPS诱导的急性肺损伤程度及炎症水平与对照组相比,脂多糖组的损伤程度明显,组织切片的HE染色结果中可见肺泡腔结构破坏,炎症细胞浸润增多,且有出血以及肺泡腔间隔明显增厚;同时MPO活性,肺湿/干重比等指标显著提高(均P < 0.05,图 1)。而在加入MO干预的情况下,小鼠肺组织的损伤程度大幅度改善,MPO、肺湿/干重比等也有了显著的降低(均P < 0.05,图 1)。肺组织中炎症因子IL-1β、IL-6、TNF-α的mRNA水平也同样在MO的干预下显著下调[(2.96±0.10)vs.(5.53±0.14),(8.62±0.17)vs.(12.31±0.09),(3.01±0.09)vs.(4.85±0.36)],差异具有统计学意义(均P < 0.05,表 2)。
|
| A: 各组小鼠肺组织HE染色(×200), 1为对照组,2为罗汉果醇组,3为脂多糖组,4为脂多糖+罗汉果醇组; B: 根据HE染色切片,对各组小鼠肺组织进行半定量炎症评分; C: 各组小鼠肺组织湿/干重比。与对照组比较,aP < 0.05;与脂多糖组比较,bP < 0.05 图 1 MO在小鼠体内显著缓解LPS诱导的急性肺损伤程度 Fig 1 MO significantly alleviated lPS-induced acute lung injury in mice. |
|
|
| 组别(n=6/组) | IL-1β | IL-6 | TNF-α |
| 对照组 | 1.00±0.05 | 1.00±0.12 | 1.00±0.15 |
| 罗汉果醇组 | 1.11±0.09 | 0.97±0.25 | 0.92±0.19 |
| 脂多糖组 | 5.53±0.14a | 12.31±0.09a | 4.85±0.36a |
| 脂多糖+罗汉果醇组 | 2.96±0.10b | 8.62±0.17b | 3.01±0.09b |
| 注:与对照组比较,aP < 0.05;与脂多糖组比较,bP < 0.05 | |||
取小鼠肺组织切片免疫荧光染色,结果显示与对照组相比,脂多糖刺激后,肺泡腔结构破坏的同时重要的炎性小体成分NLRP3的表达显著提高[(36.45±3.06) vs. (1.17±0.88),P < 0.05];而脂多糖+MO组小鼠肺组织NLRP3表达受到明显抑制[(13.68±1.33) vs. (36.45±3.06),P < 0.05],差异有统计学意义(图 2,表 3)。
|
| 图 2 各组小鼠肺组织免疫荧光(×400) Fig 2 Immunofluorescence in lung tissues of mice in each group (original magnification×400) |
|
|
| 组别(n=6/组) | NLRP3 |
| 对照组 | 1.17±0.88 |
| 罗汉果醇组 | 1.09±0.15 |
| 脂多糖组 | 36.45±3.06a |
| 脂多糖+罗汉果醇组 | 13.68±1.33b |
| 注:与对照组比较,aP < 0.05;与脂多糖组比较,bP < 0.05; | |
蛋白印迹检测结果显示,MO组与脂多糖+MO组的小鼠肺组织中p-AMPK表达量明显高于对照组[(0.50±0.17)、(0.48±0.12) vs. (0.10±0.07),P < 0.05]。脂多糖组中炎性小体的主要成分蛋白NLRP3、caspase-1 p20、GSDMD-N、ASC表达量显著高于对照组[(0.89±0.15) vs. (0.48±0.02)、(0.93±0.16) vs.(0.26±0.11)、(0.86±0.14) vs. (0.34±0.09)、(0.47±0.10) vs. (0.26±0.06), 均P < 0.05], 而脂多糖+MO组中的焦亡相关蛋白的表达均得到有效地抑制[(0.58±0.09) vs.(0.89±0.15)、(0.19±0.08) vs. (0.93±0.16)、(0.65±0.09) vs. (0.86±0.14)、(0.30±0.12) vs. (0.47±0.10), 均P < 0.05],表明MO可以抑制焦亡蛋白的表达来减轻炎症(图 3,表 4);同时通过ELISA法测得在组织中焦亡的主要标志物炎症因子IL-1β、IL-18的分泌同样可以被MO缓解,差异有统计学意义(表 5)。
|
| 1:对照组;2:罗汉果醇组;3:脂多糖组;4:脂多糖+罗汉果醇组 图 3 各组小鼠肺组织焦亡相关蛋白变化 Fig 3 Changes of scorched death-related proteins in lung tissues of mice in each group |
|
|
| 组别(n=6/组) | p-AMPK | NLRP3 | Caspase-1 p20 | GSDMD-N | ASC |
| 对照组 | 0.10±0.07 | 0.48±0.02 | 0.26±0.11 | 0.34±0.09 | 0.26±0.06 |
| 罗汉果醇组 | 0.50±0.17a | 0.51±0.11 | 0.22±0.05 | 0.29±0.03 | 0.21±0.08 |
| 脂多糖组 | 0.44±0.09 | 0.89±0.15a | 0.93±0.16a | 0.86±0.14a | 0.47±0.10a |
| 脂多糖+罗汉果醇组 | 0.48±0.12a | 0.58±0.09b | 0.19±0.08b | 0.65±0.09b | 0.30±0.12b |
| 注:与对照组比较,aP < 0.05;与脂多糖组比较,bP < 0.05 | |||||
| 组别(n=6/组) | IL-1β | IL-18 |
| 对照组 | 11.57±1.58 | 52.15±3.52 |
| 罗汉果醇组 | 10.98±2.31 | 51.96±4..67 |
| 脂多糖组 | 31.33±3.09a | 133.58±7.22a |
| 脂多糖+罗汉果醇组 | 22.19±3.98b | 81.37±4.83b |
| 注:与对照组比较,aP < 0.05;与脂多糖组比较,bP < 0.05 | ||
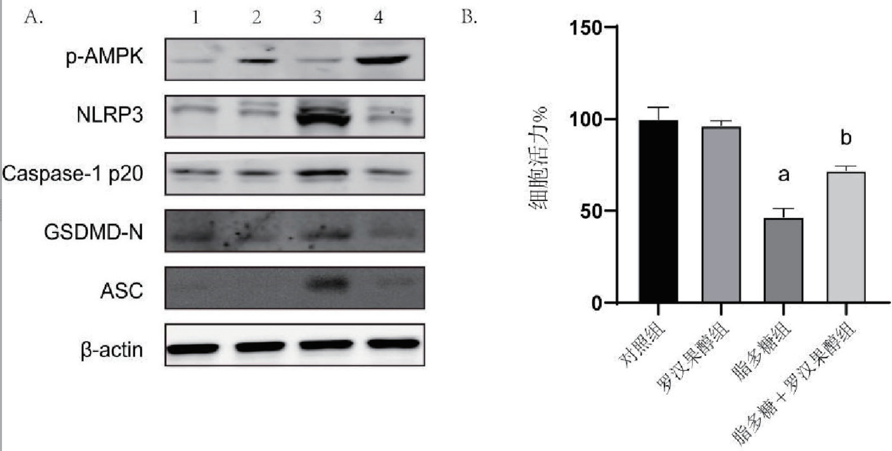
MO同样可以通过促进AMPK的磷酸化来抑制NLRP3炎症小体介导的细胞焦亡。经过MO处理后的THP-1细胞,无论是在普通培养基中还是加入脂多糖刺激都可以显著提升磷酸化AMPK蛋白的表达水平[(0.44±0.02)、(1.04±0.19) vs. (0.13±0.03),P < 0.05]。而被浓度为1μg/mL的LPS刺激之后,THP-1表达的NLRP3、caspase-1 p20、GSDMD-N、ASC等细胞焦亡相关蛋白水平大幅提高[(1.00±0.18) vs.(0.18±0.02)、(1.04±0.21) vs. (0.57±0.02)、(0.31±0.03) vs. (0.07±0.01)、(0.28±0.02) vs.(0.03±0.01),均P < 0.05], 细胞上清液测得分泌至细胞外的IL-1β和IL-18同样明显增多(均P < 0.05),而在加入MO干预后,无论是炎性小体成分还是炎症因子的分泌都得到了有效抑制(图 4,表 6、7)。同时,用CCK8法测定细胞活力与炎症水平同步变化(图 4)。
|
| A.各组细胞蛋白表达变化,1为对照组,2为罗汉果醇组,3为脂多糖组,4为脂多糖+罗汉果醇组;B.各组细胞活力变化,注:与对照组比较,aP < 0.05;与脂多糖组比较,bP < 0.05 图 4 在巨噬细胞中,MO可缓解脂多糖诱导的细胞焦亡 Fig 4 MO alleviated the pyrophosis induced by lipopolysaccharide in macrophages |
|
|
| 组别(n=6/组) | p-AMPK | NLRP3 | Caspase-1 p20 | GSDMD-N | ASC |
| 对照组 | 0.13±0.03 | 0.18±0.02 | 0.57±0.02 | 0.07±0.01 | 0.03±0.01 |
| 罗汉果醇组 | 0.44±0.02a | 0.20±0.05 | 0.53±0.05 | 0.05±0.01 | 0.04±0.01 |
| 脂多糖组 | 0.35±0.05 | 1.00±0.18a | 1.04±0.21a | 0.31±0.03a | 0.28±0.02a |
| 脂多糖+罗汉果醇组 | 1.04±0.19a | 0.24±0.03b | 0.51±0.06b | 0.11±0.01b | 0.17±0.02b |
| 注:与对照组比较,aP < 0.05;与脂多糖组比较,bP < 0.05 | |||||
| 组别(n=6/组) | IL-1β | IL-18 |
| 对照组 | 19.36±2.02 | 35.23±4.08 |
| 罗汉果醇组 | 20.92±1.37 | 34.78±3.50 |
| 脂多糖组 | 63.87±5.22a | 108.74±6.57a |
| 脂多糖+罗汉果醇组 | 42.63±4.19b | 79.39±4.85b |
| 注:与对照组比较,aP < 0.05;与脂多糖组比较,bP < 0.05 | ||
炎症因子风暴是脂多糖诱导急性肺损伤的典型特征,也是损伤严重、病情凶险难以控制的直接原因[7]。而细胞焦亡(pyroptosis)所造成的质膜破坏以及炎症因子的活化分泌是造成这一现象的主要因素。细胞焦亡虽然与细胞凋亡(apoptosis)同为caspase家族触发启动的调节性细胞死亡,但是其本质是模式识别受体(pattern-recognition receptors,PRRs)受到信号激活后,组装炎性小体并且切割活化炎性caspase分子以及IL-1β等炎症因子,进而直接作用于底物GSDMD使其暴露N末端,从而破坏细胞膜的完整性,释放炎症因子[8]。细胞焦亡,尤其是巨噬细胞的焦亡严重破坏了免疫内环境的稳定,进而对组织产生剧烈损伤[9]。细胞焦亡成为为治疗急性肺损伤的主要靶点[10]。
NLRP3是可对多种刺激做出响应,包括致病相关分子模式(PAMP,如病毒RNA、微生物毒素和细菌表面成分)和危险相关分子模式(DAMP,如尿酸晶体、三磷酸腺苷等)。NLRP3可通过同型NACHT结构域相互作用进行自我寡聚。寡聚化的NLRP3通过同型PYD-PYD结构域相互作用招募ASC,并诱导ASC聚集,形成ASC斑点。随后,组装的ASC通过同型CARD-CARD域相互作用招募Caspase-1前体,形成NLRP3-ASC-caspase-1蛋白复合物,被称为NLRP3炎症小体[11]。NLRP3炎症小体在细胞焦亡中发挥着至关重要的作用。因此,针对NLRP3的调控一直是众多学者研究的重点[12-13]。AMP活化蛋白激酶(AMPK)是细胞中能量变化的感受器,参与调节多种细胞状态。当细胞中的AMP占比增高时,AMPK的磷酸化程度增加,从而促进了细胞自噬进程,通过自噬将细胞内的炎症小体清除,进而达到抑制细胞焦亡的作用[13]。AMPK的活化增加也同样可以抑制多条上游炎症通路来抑制NLRP3的表达。
本研究发现在脂多糖诱导的急性肺损伤中,MO可以降低小鼠肺组织的损伤程度以及炎症水平,并且提高巨噬细胞的细胞活力。而MO改善急性肺损伤的主要靶点就是NLRP3所介导的细胞焦亡。无论是在肺组织中还是在巨噬细胞内,MO都能够明显抑制焦亡相关的蛋白表达以及炎症因子的分泌。本研究也揭示了MO对急性炎症的治疗作用可能是通过促进AMPK磷酸化实现的。
利益冲突 所有作者声明无利益冲突
作者贡献声明 刘博昊、何如愿:实验操作、论文撰写;熊锐、付庭吕:数据收集及整理、统计学分析;李宁、耿庆:研究设计、论文修改、工作支持
| [1] | Matthay MA, Ware LB, Zimmerman GA. The acute respiratory distress syndrome[J]. J Clin Invest, 2012, 122(8): 2731-2740. DOI:10.1172/jci60331 |
| [2] | Liu BH, He RY, Zhang L, et al. Inflammatory caspases drive pyroptosis in acute lung injury[J]. Front Pharmacol, 2021, 12: 631256. DOI:10.3389/fphar.2021.631256 |
| [3] | Liu C, Zeng Y, Dai LH, et al. Mogrol represents a novel leukemia therapeutic, via ERK and STAT3 inhibition[J]. Am J Cancer Res, 2015, 5(4): 1308-1318. |
| [4] | 刘善桂, 戴晓健, 钟大放, 等. 罗汉果醇在大鼠血浆中代谢产物鉴定及药代动力学研究[J]. 药学学报, 2017, 52(9): 1452-1457. DOI:10.16438/j.0513-4870.2017-0341 |
| [5] | 黄琰菁, 王琳, 李赛, 等. 罗汉果醇通过激活AMPK信号通路调控肝细胞癌HepG2细胞的脂代谢[J]. 中国肿瘤生物治疗杂志, 2019, 26(8): 876-881. DOI:10.3872/j.issn.1007-385x.2019.08.008 |
| [6] | Yang F, Qin Y, Wang YQ, et al. Metformin inhibits the NLRP3 inflammasome via AMPK/mTOR-dependent effects in diabetic cardiomyopathy[J]. Int J Biol Sci, 2019, 15(5): 1010-1019. DOI:10.7150/ijbs.29680 |
| [7] | Matthay MA, Zemans RL, Zimmerman GA, et al. Acute respiratory distress syndrome[J]. Nat Rev Dis Primers, 2019, 5(1): 18. DOI:10.1038/s41572-019-0069-0 |
| [8] | Ramirez M, Salvesen GS. A primer on caspase mechanisms[J]. Semin Cell Dev Biol, 2018, 82: 79-85. DOI:10.1016/j.semcdb.2018.01.002 |
| [9] | 姜洁, 吕菁君, 魏捷. 细胞焦亡途径以及细胞焦亡对脓毒症免疫反应的潜在影响[J]. 中华急诊医学杂志, 2019, 28(5): 655-658. DOI:10.3760/cma.j.issn.1671-0282.2019.05.029 |
| [10] | Li N, Xiong R, He RY, et al. Mangiferin mitigates lipopolysaccharide-induced lung injury by inhibiting NLRP3 inflammasome activation[J]. J Inflamm Res, 2021, 14: 2289-2300. DOI:10.2147/JIR.S304492 |
| [11] | Mangan MSJ, Olhava EJ, Roush WR, et al. Targeting the NLRP3 inflammasome in inflammatory diseases[J]. Nat Rev Drug Discov, 2018, 17(8): 588-606. DOI:10.1038/nrd.2018.97 |
| [12] | 蒋磊, 赵鸣雁. NLRP3炎性体在肺损伤的作用进展[J]. 中华急诊医学杂志, 2017, 26(7): 829-833. DOI:10.3760/cma.j.issn.1671-0282.2017.07.024 |
| [13] | 刘燕燕, 程波, 张岩, 等. ISO-1通过抑制NLRP3炎症小体信号通路保护急性胰腺炎[J]. 中华急诊医学杂志, 2021, 30(8): 965-967. DOI:10.3760/cma.j.issn.1671-0282.2021.08.009 |
2022, Vol. 31



