载人航天返回着陆后院前紧急救治体系建设是航天医学的重要内容。着陆现场环境复杂,返回舱着陆存在诸多不确定性,院前救治面临很多现实难题,及时高效的伤情筛查是出现意外情况时提高救治能力的基本前提。美军早在1996年就提出了战术战伤救治(tactical combat casualty care,TCCC)概念及指南[1],对于严重创伤人员,快速有效的现场救治与后送过程中的联动救治可以最大可能地挽救生命[2-3]。
近年来,超声影像已在战创伤急救领域中得到了应用和发展,并提出了创伤超声重点评估(focused assessment with sonography for trauma,FAST)及扩展性创伤超声重点评估(extended focused assessment with sonography for trauma, E-FAST)等超声急救概念[4-5]。2016年吕发勤和黎檀实[6]在国内亦提出战场可直接应用便携式超声检查的理念。本文结合既往航天保障任务经验及航天员返回时可能出现的伤病情,形成空间站任务航天员院前急救超声应用专家共识。
1 载人航天可能发生的伤病及超声应用 1.1 航天员返回可能伤病情在过去的60多年中,载人航天曾先后发生过多种安全事故和故障,造成多人死亡,以发动机故障、起火、推进剂泄露等引发的烧伤、中毒、冲击伤多见[7]。在载人航天飞行中,航天员在发射、在轨飞行期间、返回舱着陆中都可能发生伤情,有的与机械故障相关,有的与航天员自身适应性相关。结合既往航天事故及多次执行神舟载人飞船任务的实际经验,预期可能出现十余种伤病情[8],包括冲击过载伤、推进剂中毒、颅脑损伤、骨折、胸腹伤、失血性休克、烧伤、减压病、航天运动病等。航天冲击过载伤可能会发生在以下场合:火箭发射前紧急救生“0”高度逃逸时的加速度过载、火箭分离、船-箭分离-返回舱与轨道舱分离、降落伞开伞即刻、以及返回舱着陆瞬间,都可能会发生冲击过载伤。冲击伤往往外轻内重,累及多个脏器,发展迅速,容易漏诊。FAST早期主要针对腹部创伤检查,可以快速发现肝周、脾周、盆腔等腹腔内积液。对于钝性腹部损伤,尤其合并低血容量时,常规临床检查敏感度较低,而FAST的阳性检测敏感度可达100%[9-10]。随着临床实践不断应用和发展,FAST应用扩展到了对胸肺部,逐渐演变为E-FAST。E-FAST对于血气胸的敏感度显著高于胸片,与胸部CT结果具有一致性[11]。FAST或E-FAST的超声应用,可以对胸腹腔重要脏器进行快速排查,及时发现如钝性腹部创伤、血气胸等隐匿伤情。
1.2 航天员返回院前医疗救护流程航天员出舱后的院前医疗救治环节,主要分为两大部分:
⑴舱前救治,主要进行伤情快速的筛查及处置,通过简单问诊、查体初步确定伤情,如果无明显伤情,则要求快速的将航天员送入后送载体中(如直升机或医监医保救护车),进行进一步伤情的排查;如出现开放性创伤,如颅脑、四肢外伤,则在舱前进行快速、简单的止血、包扎等处理后立即后送。如出现严重伤情,导致生命体征不能维持或心搏骤停,则按照急救预案,立即在舱前紧急剖开航天服,展开胸外按压、心肺复苏等措施,如出现危及生命的血气胸、心包填塞,可立即在舱前超声引导下行紧急胸腔或心包穿刺,如遇到难以经口插管的气道阻塞的伤情,可在超声的指导下行环甲膜穿刺,进行紧急气道开放。特别是情况紧急、周围环境干扰较大,容易导致定位不准,胸腔穿刺及环甲膜穿刺操作困难。便携超声引导可准确定位、缩短操作时间,避免盲目操作风险,减少并发症[12]。一旦条件允许,立即后送。
⑵后送载体平台救治,航天救护中所用后送载体主要为直升机和地面医监医救车,直升机是航天医疗救护的首选载体。如遇特殊地形或极端天气,直升机不能起飞或无法降落,医监医救车可第一时间进入现场展开救治运送。直升机作为重要的战场急救医疗救护的载体之一,转送速度快,受地形影响小,在野战医疗急救中发挥了重要作用,直升机医疗急救体系(helicopter emergency medical services, HEMS)在降低创伤患者病死率方面与地面医疗急救体系(ground emergency medical services, GEMS)疗效一致,但比地面救治转运距离更远[13],从而为伤情的急救及后送赢得了宝贵的时间,已成为空间站任务院前急救中的主体。但直升机内强大的噪声,不利于临床医生进行常规心肺听诊等物理检查,因此近几年提出了直升机重点超声检查(point-of-care ultrasound, PoCUS)概念[14],即以直升机作为急救平台,在直升机上进行快速且有针对性的超声探查,研究显示在直升机上所获得的超声影像的质量并不劣于地面救治[15]。故在后送载体内运用FAST或E-FAST的快速筛查法,可行性强,是快速发现如钝性腹部创伤、血气胸等一些引起的血流动力学不稳定的隐匿伤情的可靠方法[16],为院前救治(图 1)赢得宝贵时间。
|
| 图 1 航天员返回舱着陆后院前救治体系流程 |
|
|
减压病及航天运动病也是航天员常见的太空相关疾病。随着航天员在轨时间的延长,出舱活动的频繁,减压病发生的可能性明显增加[17]。超声作为高效、快捷、无创的影像学检测手段,不仅可辅助创伤的诊断与救治,也可对减压病及航天运动病起到辅助诊断作用。
【推荐意见1】航天员返回后在院前迅速进行伤情评估,如出现重大伤情,可根据伤情具体情况,运用便携超声开展指导性诊治。Fast/E-Fast伤情快速判断及排查或相关超声医学监测,建议在后送载体中实施;舱前不建议仅以诊断为目的的超声检查。
2 院前急救中不同部位伤情的超声快速诊断 2.1 颅脑超声脑外伤常伴随着颅内压(intracranial pressure, ICP)的升高,颅内压升高的三联征:头痛、呕吐和视神经盘水肿;严重者可能还伴有昏迷、意识模糊等临床表现。ICP升高是颅内并发症的早期信号,也是晚期死亡的主要原因。在紧急救治中临床单靠瞳孔或意识等某项指标来判断ICP升高情况往往不够准确[18]。超声测量视神经鞘直径(optic nerve sheath diameter, ONSD)是近几年一种新型的无创颅内压监测方法,早期判断ICP增高并及时有效干预,可明显改善患者预后。大量研究证实ICP增高是ONSD扩张的独立影响因素,且两者呈中等程度的线性相关[19-20],多数研究认为颅内压增高的ONSD的临界值为5.0~5.9 mm [21-24]。ONSD在ICP增高早期即已出现扩张,且ONSD > 5.0 mm可作为判断ICP增高的阈值,其敏感度可达94%,特异度为98%[25-26]。目前,国内外对于ONSD的阈值尚无统一标准,故对于ONSD的测量并不应视为“绝对”数字,实时动态监测更有临床意义。超声测量ONSD评估ICP升高相对较准确,且快速、便捷、可重复性好,易用在急救或特殊环境抢救时对于颅脑外伤的快速颅内压测定。
检查方法:采用高频(5.0~10.5 MHz)线阵超声探头。取仰卧位,头保持正中位,双眼睑闭合,眼球尽量固定。探头轻轻地放在闭合的眼睑上,避免过度施压。扫描切面分为横断面和矢状面。调整增益使视神经及其周围组织显示更加清晰。通常选择在眼球后3 mm的位置测量ONSD,测量时与视神经鞘的长轴垂直[27](图 2)。
|
| A: 视神经鞘探查体位及探头位置,A-1横切, A-2纵切;B:视盘的测量;C:视神经鞘的测量;D:颅高压时,ONSD水肿、增厚 图 2 超声测量视神经鞘直径 |
|
|
创伤性颅脑损伤时,可出现脑中线偏移、脑室扩张、出血/血肿等。通过颞窗行超声扫查,一般均可显示脑中线(midline shift, MLS),通过测量同侧和对侧颅骨到第三脑室的距离,评估是否有脑中线移位。超声测量的MLS与CT扫描测量存在良好的相关性[28],急救时床旁MLS评估可用于检测早期颅脑并发症。
检查方法:采用低频(1.0~5.0 MHz)心脏或经颅超声探头。经颞窗行横断面扫查,显示丘脑平面图像,观察脑中线是否居中(图 3)。
|
| A:超声颞窗;B:正常脑中线(红箭) 图 3 超声检查脑中线 |
|
|
【推荐意见2】航天员返回后出现脑外伤,可通过超声对视神经鞘直径、视盘突起度及脑中线情况进行颅内压的评估。根据航天员标准的身高体重,可将ONSD > 5.0 mm或视盘突起度 > 0.5 mm,作为阈值,并做好动态监测。
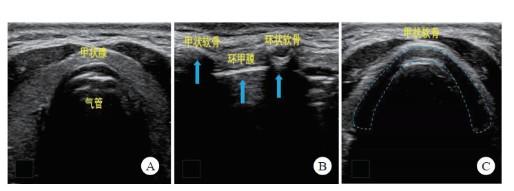
2.2 气道紧急气道管理(emergency airway management, EAM)是急危重症时保持气道通畅的重要手段。在空间站任务特殊环境中,一旦出现伤情,往往伤情重、时间紧、当手法开放气道、口/鼻通气管、喉罩等方法无效,需行气管插管以获得确定性人工气道时,因受伤情或航天服制约,可能导首次气管插管尝试成功率低。如果航天员遭受严重的颅脑、颈椎或胸部外伤等需要进行紧急开通气道,如不能顺利完成气管插管,需要行紧急的环甲膜穿刺切开。虽然触诊仍是识别环甲膜的传统方法,但大量研究表明,即使在最理想的条件下,也不完全可靠,尤其在紧急情况或解剖结构变异时,其可靠性显著降低[29]。超声可协助临床医生快速筛查不易行喉镜检查的困难气道,既往研究表明在急救过程中经超声环甲膜定位的时间,最短(17±9.2)s[30],最长(196.1±60.6)s[31]。有研究对多名无超声经验的非麻醉专业的临床医生进行超声引导下环甲膜穿刺定位培训后,定位成功率达88.3%,用时(36.9±9.0) s[32]。在超声引导下行环甲膜定位穿刺切开术简单易行,准确性高,用时短,不延误总体抢救时间,且便携超声可携带至舱前,在紧急情况下,实用性极强。
检查方法:采用高频(5.0~10.0 MHz)线阵探头,将探头放置颈部环状软骨以下,取横向切面,由下而上纵向平扫,快速扫描确定环甲膜位置(图 4)。此操作一般控制在2 min内。
|
| 图A-C为由环状软骨以下定位纵行向上滑动至甲状软骨; A:环状软骨以下气管处; B:甲状软骨与环状软骨交界处;C:图甲状软骨处 图 4 超声引导下横向切面环甲膜穿刺定位示意图 |
|
|
【推荐意见3】航天员在紧急抢救时,如因各种原因无法通畅气道,可在便携超声引导下行紧急环甲膜穿刺术。
2.3 肺部超声在既往急救超声应用及我国2019年《战术战伤救治中的超声技术应用专家共识》中均明确了超声在胸部创伤早期救治中的应用价值[33-34]。如超声检查胸膜腔通过“肺滑动征”和“彗尾”征消失诊断气胸,阴性预测值高达为99%,敏感度和准确性远高于X片,接近肺部CT的效果[35-36]。当航天员出现胸部创伤,可能出现胸痛、气促等症状,甚至急性呼吸衰竭。超声可快速、有效的检查胸部伤情,包括胸腔积液、张力性气胸、肺挫伤等的早期诊断。床旁急诊肺部超声方案(bedside lung ultrasounds in emergency,BLUE)作为高效且实用的诊治措施曾被推荐应用于ICU和急诊科,逐渐成为快速评估危重患者肺部疾病的首选[36],同时肺部超声检查也是E-FAST检查的扩展部分。尤其出现可疑肺损伤时,超声对于一些隐匿性气胸或重力依赖区分布的肺疾病(如急性呼吸窘迫综合征)采用BLUE检查方案具有良好的诊断价值[37-38]。在进行肺部超声诊断前,须了解肺部超声基本表现及常见病理情况如下。
2.3.1 肺部超声基本表现 2.3.1.1 蝙蝠征将探头垂直放置于肋间,由胸膜线、上下肋骨构成形似蝙蝠的图像,是肺部超声检查的基本切面。(图 5-A)。
|
| A: 纵向肺扫查可见上肋骨、下肋骨(黄线)和胸膜线、A线组成状似“蝙蝠”的图像;B: 沿肋间隙扫查可见连续的胸膜线呈水平线(黄箭),后方为平行的、与皮肤到胸膜线等间距的A线(蓝箭) 图 5 肺部超声扫查 |
|
|
即超声波遇到胸膜的多重反射后形成的多条和胸膜平行的亮线。A线呈高回声,随距离衰减;平行于胸膜线;A线间等间距。正常的肺超声图像通常可见2-3条平行的A线(图 5-B)。
2.3.1.3 胸膜滑动征正常情况下,脏壁层胸膜紧贴,随呼吸相对滑动,在实时超声检查时可以观察到。
2.3.1.4 B线是超声波遇到肺内气体后形成的放射状彗尾伪像,从胸膜线发出,并随胸膜滑行而移动,不随着距离而衰减(图 6-A)。
|
| A: 肺水肿时出现B线,B线起源并垂直于胸膜线,呈放射状发散至肺野深部(箭头);B、C:血气胸时,胸腔可见液性暗区,并可见积液内高回声漂浮 图 6 肺部超声检查常见征像 |
|
|
是指在正常肺组织与气胸的病理性肺组织之间的过渡区会产生肺点征象。
2.3.2 肺部损伤的超声快速识别。(1)气胸:胸膜滑动征消失,出现肺点。
(2)血胸:如坐位扫查,仅肋膈角被无回声积液充填,为少量积液;如任意体位胸腔均可见液性暗区,为中-大量积液,超声对其诊断准确性100%[39](图 7-B)。
(3)肺水肿:可见大量B线。
2.3.3 检查方法采用BLUE法中的检查位置(见图 7)。共6个检查点:(1)上BLUE点位于上面手的中央(左侧、右侧共2个);(2)下BLUE点位于下面手掌的中央(左侧、右侧共2个)。这四个点遵循肺部解剖,尽可能避开了心脏;(3)后侧肺泡或胸膜综合征点(posterolateral alveolar and/or pleural syndrome point, PLAPS)位于下蓝点延长线与腋后线相垂直的交点;(4)膈肌点(diaphragmatic point)位于下蓝手小指外侧缘即膈肌线,其延长线与腋中线交点。检查时间一般不超过3 min。
检查时间一般不超过3 min。
|
| A: 上蓝点(2个)、下蓝点(2个);B:PLAPS点(黄箭)、膈肌点(蓝箭) 图 7 BLUE法定位扫查 |
|
|
【推荐意见4】肺部超声是E-FSAT检查中的一部分,也可根据具体临床情况单独进行,在对航天员进行肺部超声检查时,可采用Blue法定位,快速对血气胸及相关隐匿性胸部伤情进行筛查。
2.4 心脏超声 2.4.1 心脏结构航天员在微重力影响下,体液将发生重新分布,引起容量前后反馈的调控也会发生变化,体液从全身容量血管转移至上身血管,故在返回地面时,回心血量、心腔大小及每搏输出量均可能发生变化[40-41]。研究显示对于模拟失重4周的大鼠,其左心室内径变小,左室容积与每搏量降低[42]。因此应对航天员返回后进行心脏超声检查,了解心腔结构、左室收缩功能及瓣膜、室壁运动情况,评估重力变化对于体液及心功能的影响。
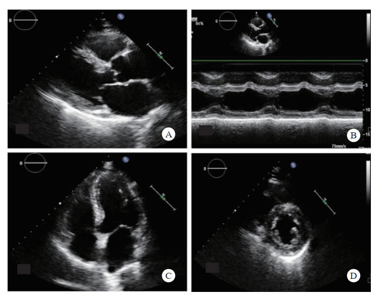
超声快速筛查:目测法观察心腔大小、比例及室壁运动、室壁厚度、心包有无积液,同时快速观察有无血流动力学改变。扫查切面有(图 8):左室长轴切面、心尖四腔心切面、左室M型、左室短轴切面,检查时间不超3 min。
|
| A: 左室长轴切面;B: 左心室M型;C: 四腔心切面;D: 左室短轴切面 图 8 心脏快速检查切面 |
|
|
心包积液为心脏最大舒张期壁层与脏层之间的液性暗区,胸部严重冲击伤时导致心肌出血或心脏破裂,积血在心包内迅速聚积,甚至引起心包压塞。此时航天员可出现呼吸困难、面色苍白、脉搏细弱、血压下降、心音遥远、颈静脉怒张。应立即行心包超声检查,也是休克及急救超声心脏检查的重点部分,方法容易掌握、检查时间短、效果确切。检查切面类似上述心脏快速筛查切面(图 4)。心包积液量的评估见表 1。如确诊大量心包积液后立即可在超声引导下行心包穿刺术,将穿刺针经胸壁刺入心包腔,行减压引流,并确认引流管位置后立即后送。多中心研究证实了超声引导心包穿刺术的安全性[43],纳入研究的各个医疗机构穿刺成功率均较高(91.7%~99%),并发症发生率较低。进针位置多在近心尖部,即锁骨中线外第5~6肋间交界处,检查时间不超2 min。
| 心包积液 | 心包液体前后径(mm) | 估计液体量(mm) | 出现部位 |
| 少量 | 3~5(左室后壁后方) | 5~200 | 仅见于左心室后下壁和房室 |
| 中等量 | 2~5(右室前壁前方)5~10(左室后壁后方) | 200~500 | 心脏周围均可见液体积聚,以左心室后下壁区域为主 |
| 大量 | 5~15(右室前壁前方)10~25(左室后壁后方) | 500~1 000 | 出现心脏摆动征 |
| 极大量 | 15~40(右室前壁前方或左房后方)style="class: table_bottom_border" 25~60(左室后壁后方) | 1 000~4 000 | 包绕整个心脏,明显心脏摆动征,常发生心脏压塞 |
【推荐意见5】心脏及心包快速超声检查,是针对航天员返回后心脏结构功能及容量变化的重点监测部位。在血气胸、休克急救及后送载体中进行FSAT/E-FAST筛查时,均应实施。
2.5 腹部超声胸腹腔出现游离液体往往是器官损伤的标志,创伤重点超声评估(FAST)对于腹腔积液有较高的准确性,特别是病情不稳定闭合性腹部损伤。既往前瞻性研究发现在772例患者进行FAST评估,对于病情相对不稳定患者,有29%(15/52)FAST为阳性者存在腹腔内的隐匿性损伤[44],故对可疑病例应进行早期FAST伤情评估,并根据结果来提前预判下一步诊疗方案(图 9)。
|
| 图 9 对行FAST评估的创伤患者的诊断流程 |
|
|
对于腹部闭合性损伤、腹部出血,可采用FAST进行超声检查。腹部主要探查3个部位,即右上腹肝肾间隙、左上腹脾肾隐窝、下腹部盆腔。
检查方法:患者取平卧位,按顺序探查4个部位(图 10-A):剑突下、左右肋间、肋下和耻骨联合上方快速探查心包、肝肾间隙、脾肾间隙和Douglas窝是否存在积液。每个部位均采用连续性扫查。检查时间一般不超过5 min。
|
| A:1=右侧肋缘下, 2=左侧肋缘下,3=剑突下,4=耻骨联合;B:1=右侧肋缘下, 2=左侧肋缘下,3=剑突下,4=耻骨联合;5=右侧液后线与肋角交界处,6=左侧液后线与肋角交界处,7=右侧胸前第二肋,8=左侧胸前第二肋 图 10 FAST与E-FAST的检查部位 |
|
|
E-FAST是在FAST的基础上进一步深入检查,同时增加了对胸腔(双肺)的评估,即双肺、肝周、脾周、心包、盆腔周围5个部位(图 10-B)。可辅助诊断急性呼吸衰竭和创伤性胸部损伤。其中肺部超声检查部分方法同上。
【推荐意见6】对于航天员腹部隐匿性伤情的判断,推荐采用FAST检查方法,常可结合胸部超声扩展为E-FAST检查法。如发现伤情,再进行相关重点区域超声检查,可在后送载体内实施。
2.6 容量评估快速超声休克检查(rapid ultrasound in shock, RUSH)是迅速地系统性排查一些特殊低血压病因的超声检查方法,可用于鉴别病情不稳定或原因不明的低血压的病因学诊断。其核心理念在于对“泵、容量、管道”三个系统的快速检查,“泵”指心脏,心排量、心功能情况,“容量”指容量大小,容量不足或容量负荷大,“管道”指血管,血管是否结构正常完整。RUSH最早始于急诊休克抢救中的快速病因诊断及鉴别诊断,但近几年已开始同样用于直升机平台的急救体系[45]。对于容量的评估,除了上述提及E-FAST检查中对心脏结构、心包积液、胸腔、腹腔积液的探查外,还应包括通过下腔静脉(inferior vena cava, IVC)的充盈程度对全身容量进行评估。
下腔静脉检查常用IVC塌陷率,也称下腔静脉呼吸变异指数(shape change index, SCI),是反映右心房压力的敏感指标。当血容量不足时,IVC塌陷明显增加,当血容量过高时,IVC塌陷率明显减少[46]。
创伤患者的低血压的常见原因是出血引起的低血容量,还包括当心脏或中枢神经系统发生冲击创伤时,可能引起心源性休克,创伤造成的剧烈疼痛也可能引起神经源性休克,而超声对IVC的快速测量可以间接估测中心静脉压(表 2)。根据欧洲心脏协会(European Society of Cardiology, ESC)指南里IVC的标准定为2.1 cm[47],但由于航天员在太空中体液分布的重大变化,返回地面时IVC指标变化幅度可能较大,相关数据少,其标准是否需要修改,还有待进一步研究论证。
| IVC直径(cm) | SCI | 中心静脉压(CVP)(mmHg) | 临床意义 |
| ≤2.1 | > 50% | 3 (0~5) | 容量不足,需要补液 |
| > 2.1 | < 50% | 15(10~20) | 容量过大,需要利尿、扩血管,减轻心脏负荷 |
| > 50% | 8(5~10) | 正常 | |
| ≤2.1 | > 50% | 8(5~10) | 正常 |
| 注:1 mmHg=0.133 kPa | |||
检查方法:采用平卧位,超声切面为剑突下切面,显示下腔静脉汇入右房、肝静脉汇入下腔静脉,M模式下采样线置于离右心房-下腔静脉交接点约2 cm处,测量最大和最小内径,计算出SCI(图 11)。检查时间一般不超过2 min。
|
| A:正常下腔静脉在剑突下切面右心房交汇处下2 cm;B:下腔静脉M型超声测量最大最小内径 图 11 下腔静脉的测量方法 |
|
|
【推荐意见7】在航天员救治过程中,可采用FAST/E-FAST或RUSH的检查程序,对全身容量变化进行重点评估。推荐根据不同临床具体情况,上述不同部位超声检查必要时联合诊治。
2.7 超声在特殊航天病中的应用-减压病减压病是在太空飞行中的压力环境和微重力环境下产生。太空飞行过程中,由于大气压力降低, 在人体组织、体液中溶解的氮气会形成气泡,可能会堵塞血管,或在其他组织内形成的气泡,引发一些相应的病症。在载人航天中, 有两种工况存在产生减压病的可能性: 一是舱内气压快速降低; 二是出舱活动(extravehicular activity,EVA),前者是偶然事件,后者为常规航天活动,更可能多见。随着载人航天活动的增多,涉及大型复杂空间站的建设,着舱外压力服的航天员需要从事大量的舱外活动要特别注意发生减压病。根据形成气泡的多少以及栓塞或压迫部位的不同,可以引起各种不同症状。屈肢症就是太空减压病中最常见的症状,占全部症状的60%~70%以上。既往研究减压病的超声诊断多见高空减压病及潜水减压病,美国国家航空航天局(National Aeronautics and Space Administration, NASA)及海军潜水研究所(Navy Experimental Diving Unit, NEDU)开展了人体低压试验研究并采用经胸超声心动图对减压效果进行评估[48-50]。主要原理是根据气泡产生后经静脉系统回流至右心房、右心室,通过二维谐波超声在心脏四腔切面右心系统可看到气泡的高回声影来进行诊断,该超声诊断方法敏感、快速、安全,已为广泛认可[51]。太空减压病与高空及潜水减压病的超声诊断原理相同,超声所见气泡应与常规右心超声或造影时所见大致相同,但目前尚未有太空减压病的超声报道。医学超声是否能在航天飞行中预测减压病风险,还需要进一步探讨。根据Golding评分系统[52]分为1型(轻型)和2型(重型)减压病,1型减压病主要表现为关节痛,可发生12 h内,如果航天员返回后出现肢体关节疼痛,应考虑到减压病可能,可以利用超声对关节进行针对性探查,也可与外伤性关节痛相鉴别。
【推荐意见8】怀疑航天员出现高空减压病时,可在行心脏超声筛查时关注心腔微泡情况。如存在屈肢症可能,在行心腔超声的同时,也可针对性对相关关节进行超声探查,便于鉴别诊断。
3 超声对伤情的监测在后送载体平台上,不仅可对航天员进行超声定向检查并实施早期救治,而且在整个转运过程中,还可利用超声对伤情进行实时监测。如在给予相应治疗后,伤情的转归,心排量的恢复,紧急心包或胸腔穿刺后积液的变化,均可通过超声再次进行快速确认及监测。随着信号传输技术的发展,或可实现远程实时超声传输会诊,更快的实施救治。
总之,随着我国载人航天事业的迅猛发展,航天医学保障体系建设也日臻完善。在航天员返回着陆时规范应用超声检查,能够克服着陆场复杂环境的不利影响,对航天员伤病情进行高效的辅助诊断,为科学救治提供客观依据,值得进一步推广普及和深化研究。
共识专家组组长:顾建文(解放军战略支援部队特色医学中心神经外科)杨鹤鸣(解放军战略支援部队特色医学中心普通外科)
主审专家:吕发勤(解放军总医院第三医学中心超声科)刘禧(空军特色医学中心超声科)
执笔专家:赵蓓(解放军战略支援部队特色医学中心心血管内科)贾化平(解放军战略支援部队特色医学中心超声科)李连勇(解放军战略支援部队特色医学中心消化内科)吕发勤(解放军总医院第三医学中心超声科)刘禧(空军特色医学中心超声科)袁曼莉(解放军战略支援部队特色医学中心超声科)
共识专家组成员(按姓氏笔画排序):马青变(北京大学第三医院急诊科)王刚(解放军战略支援部队特色医学中心耳鼻喉科)王瑞娟(解放军战略支援部队特色医学中心呼吸内科)李科(解放军战略支援部队特色医学中心医研部)李连勇(解放军战略支援部队特色医学中心消化内科)刘禧(空军特色医学中心超声科)吕发勤(解放军总医院第三医学中心超声科)刘骥(解放军战略支援部队特色医学中心麻醉科)吴彩军(北京中医药大学东直门医院急诊科)杨蕾(解放军战略支援部队特色医学中心超声科)宋海晶(解放军战略支援部队特色医学中心急诊科)杨鹤鸣(解放军战略支援部队特色医学中心普通外科)赵蓓(解放军战略支援部队特色医学中心心血管内科)娄晓同(解放军战略支援部队特色医学中心医研部)贾化平(解放军战略支援部队特色医学中心超声科)顾建文(解放军战略支援部队特色医学中心神经外科)袁曼莉(解放军战略支援部队特色医学中心超声科)谭荣(解放军战略支援部队特色医学中心骨科)
秘书:杨博(解放军战略支援部队特色医学中心综合计划科)潘春江(解放军战略支援部队特色医学中心综合计划科)
利益冲突 所有作者声明无利益冲突
| [1] | Butler FK Jr, Blackbourne LH. Battlefield trauma care then and now: a decade of Tactical Combat Casualty Care[J]. J Trauma Acute Care Surg, 2012, 73(6 Suppl 5): S395-S402. DOI:10.1097/TA.0b013e3182754850 |
| [2] | McSwain NE, Frame S, Salome JP. Prehospital trauma life support manual5th ed [M]. Akron: Mosby, 2003. |
| [3] | McSwain NE, Salome JP. Prehospital trauma life support manual[M]. 6th ed. Akron: Mosby, 2006. |
| [4] | American College of Surgeons Committeeon Trauma Fildes J. ATLS student cource manual8ed [M]. Chicago, IL: 2008. |
| [5] | Desai N, Harris T. Extended focused assessment with sonography in trauma[J]. BJA Educ, 2018, 18(2): 57-62. DOI:10.1016/j.bjae.2017.10.003 |
| [6] | 吕发勤, 黎檀实. 微型超声在胸腹战伤"黄金1小时"救治中的应用前景[J]. 临床急诊杂志, 2017, 18(10): 729-731. DOI:10.13201/j.issn.1009-5918.2017.10.004 |
| [7] | Burlet-Vienney D, Chinniah Y, Bahloul A. The need for a comprehensive approach to managing confined space entry: summary of the literature and recommendations for next steps[J]. J Occup Environ Hyg, 2014, 11(8): 485-498. DOI:10.1080/15459624.2013.877589 |
| [8] | 刘骥, 贾付坤, 娄晓同, 等. "神舟十一号" 飞船航天员主着陆场舱前急救复苏策略的研究[J]. 中国急救医学, 2019, 39(1): 61-65. DOI:10.3969/j.issn.1002-1949.2019.01.013 |
| [9] | Stengel D, Bauwens K, Rademacher G, et al. Association between compliance with methodological standards of diagnostic research and reported test accuracy: meta-analysis of focused assessment of US for trauma[J]. Radiology, 2005, 236(1): 102-111. DOI:10.1148/radiol.2361040791 |
| [10] | Richards JR, McGahan JP. Focused assessment with sonography in trauma (FAST) in 2017: what radiologists can learn[J]. Radiology, 2017, 283(1): 30-48. DOI:10.1148/radiol.2017160107 |
| [11] | Oh KH, Do HH, Kim HY, et al. The effectiveness of extended focused assessment with sonography for trauma education conducted on the medical college students[J]. J Trauma Inj, 2016, 29(3): 82-88. DOI:10.20408/jti.2016.29.3.82 |
| [12] | Trovato FM, Catalano D, Trovato GM. Thoracic ultrasound: an adjunctive and valuable imaging tool in emergency, resource-limited settings and for a sustainable monitoring of patients[J]. World J Radiol, 2016, 8(9): 775-784. DOI:10.4329/wjr.v8.i9.775 |
| [13] | Nabeta M, Murotani K, Kannae M, et al. Comparison of physician-staffed helicopter with ground-based emergency medical services for trauma patients[J]. Am J Emerg Med, 2021, 45: 75-79. DOI:10.1016/j.ajem.2021.02.062 |
| [14] | Lenz TJ, Phelan MB, Grawey T. Determining a need for point-of-care ultrasound in helicopter emergency medical services transport[J]. Air Med J, 2021, 40(3): 175-178. DOI:10.1016/j.amj.2021.01.003 |
| [15] | Press GM, Miller SK, Hassan IA, et al. Prospective evaluation of prehospital trauma ultrasound during aeromedical transport[J]. J Emerg Med, 2014, 47(6): 638-645. DOI:10.1016/j.jemermed.2014.07.056 |
| [16] | 卢加发, 舒敏, 吴京兰, 等. 胸腹部创伤患者在院前行创伤超声重点评估的可行性[J]. 中华急诊医学杂志, 2020, 29(11): 1471-1475. DOI:10.3760/cma.j.issn.1671-0282.2020.11.016 |
| [17] | Vann, RD, Gerth WA. Physiology of decompression sickness. In: The Proceedings of the 1900 Hypobaric Decompression Sickness Workshop[M]. Ed. By Pilmanis, A.A. Armstrong Laboratory, Brooks AFB, TX, 1992: 35-51. |
| [18] | Fernando SM, Tran A, Cheng W, et al. Diagnosis of elevated intracranial pressure in critically ill adults: systematic review and meta-analysis[J]. BMJ, 2019, 366: l4225. DOI:10.1136/bmj.l4225 |
| [19] | Moretti R, Pizzi B, Cassini F, et al. Reliability of optic nerve ultrasound for the evaluation of patients with spontaneous intracranial hemorrhage[J]. Neurocrit Care, 2009, 11(3): 406-410. DOI:10.1007/s12028-009-9250-8 |
| [20] | Chen LM, Wang LJ, Hu Y, et al. Ultrasonic measurement of optic nerve sheath diameter: a non-invasive surrogate approach for dynamic, real-time evaluation of intracranial pressure[J]. Br J Ophthalmol, 2019, 103(4): 437-441. DOI:10.1136/bjophthalmol-2018-312934 |
| [21] | Kimberly HH, Shah S, Marill K, et al. Correlation of optic nerve sheath diameter with direct measurement of intracranial pressure[J]. Acad Emerg Med, 2008, 15(2): 201-204. DOI:10.1111/j.1553-2712.2007.00031.x |
| [22] | Soldatos T, Chatzimichail K, Papathanasiou M, et al. Optic nerve sonography: a new window for the non-invasive evaluation of intracranial pressure in brain injury[J]. Emerg Med J, 2009, 26(9): 630-634. DOI:10.1136/emj.2008.058453 |
| [23] | Amini A, Kariman H, Arhami Dolatabadi A, et al. Use of the sonographic diameter of optic nerve sheath to estimate intracranial pressure[J]. Am J Emerg Med, 2013, 31(1): 236-239. DOI:10.1016/j.ajem.2012.06.025 |
| [24] | Wang LJ, Feng LS, Yao Y, et al. Optimal optic nerve sheath diameter threshold for the identification of elevated opening pressure on lumbar puncture in a Chinese population[J]. PLoS One, 2015, 10(2): e0117939. DOI:10.1371/journal.pone.0117939 |
| [25] | Kim SE, Hong EP, Kim HC, et al. Ultrasonographic optic nerve sheath diameter to detect increased intracranial pressure in adults: a meta-analysis[J]. Acta Radiol, 2019, 60(2): 221-229. DOI:10.1177/0284185118776501 |
| [26] | de Bernardo M, Rosa N. Measuring optic nerve sheath diameter as a proxy for intracranial pressure[J]. JAMA Ophthalmol, 2018, 136(11): 1309-1310. DOI:10.1001/jamaophthalmol.2018.3429 |
| [27] | Cimilli Ozturk T, Demir H, Yorulmaz R, et al. Assessment of intra-interobserver reliability of the sonographic optic nerve sheath diameter measurement[J]. Kaohsiung J Med Sci, 2015, 31(8): 432-436. DOI:10.1016/j.kjms.2015.06.004 |
| [28] | 郭志祥, 何文, 王小平, 等. 脑外伤的术中超声应用研究[J]. 中华医学超声杂志(电子版), 2009, 6(6): 1088-1094. DOI:10.3969/j.issn.1672-6448.2009.06.015 |
| [29] | You-Ten KE, Desai D, Postonogova T, et al. Accuracy of conventional digital palpation and ultrasound of the cricothyroid membrane in obese women in labour[J]. Anaesthesia, 2015, 70(11): 1230-1234. DOI:10.1111/anae.13167 |
| [30] | Yıldız G, Göksu E, Şenfer A, et al. Comparison of ultrasonography and surface landmarks in detecting the localization for cricothyroidotomy[J]. Am J Emerg Med, 2016, 34(2): 254-256. DOI:10.1016/j.ajem.2015.10.054 |
| [31] | Siddiqui N, Arzola C, Friedman Z, et al. Ultrasound improves cricothyrotomy success in cadavers with poorly defined neck anatomy: a randomized control trial[J]. Anesthesiology, 2015, 123(5): 1033-1041. DOI:10.1097/ALN.0000000000000848 |
| [32] | Oliveira KF, Arzola C, Ye XY, et al. Determining the amount of training needed for competency of anesthesia trainees in ultrasonographic identification of the cricothyroid membrane[J]. BMC Anesthesiol, 2017, 17(1): 74. DOI:10.1186/s12871-017-0366-7 |
| [33] | Lichtenstein DA. BLUE-protocol and FALLS-protocol: two applications of lung ultrasound in the critically ill[J]. Chest, 2015, 147(6): 1659-1670. DOI:10.1378/chest.14-1313 |
| [34] | 全军超声医学专业委员会, 中国医学装备协会应急救治装备分会. 战术战伤救治中的超声技术应用专家共识[J]. 中华医学超声杂志(电子版), 2019, 16(12): 892-898. DOI:10.3877/cma.j.issn.1672-6448.2019.12.003 |
| [35] | Walcher F, Weinlich M, Conrad G, et al. Prehospital ultrasound imaging improves management of abdominal trauma[J]. Br J Surg, 2006, 93(2): 238-242. DOI:10.1002/bjs.5213 |
| [36] | Skaarup SH, Folkersen BH. Ultrasound-assisted aspiration of loculated pneumothorax: a new technique[J]. J Clin Ultrasound, 2016, 44(5): 326-330. DOI:10.1002/jcu.22326 |
| [37] | Lanks CW, Correa V. Advantages of cardiopulmonary ultrasound in post-cardiopulmonary resuscitation tension pneumothorax[J]. J Ultrasound Med, 2018, 37(4): 819-822. DOI:10.1002/jum.14437 |
| [38] | Poudel SC, Rayamajhi AJ, Bhattarai PR, et al. Role of lung scan for detection of pneumothorax in operation theatre[J]. Birat J Health Sci, 2017, 1(1): 75-77. DOI:10.3126/bjhs.v1i1.17105 |
| [39] | Ibitoye BO, Idowu BM, Ogunrombi AB, et al. Ultrasonographic quantification of pleural effusion: comparison of four formulae[J]. Ultrasonography, 2018, 37(3): 254-260. DOI:10.14366/usg.17050 |
| [40] | Shykoff BE, Farhi LE, Olszowka AJ, et al. Cardiovascular response to submaximal exercise in sustained microgravity[J]. J Appl Physiol (1985), 1996, 81(1): 26-32. DOI:10.1152/jappl.1996.81.1.26 |
| [41] | Prisk GK, Guy HJ, Elliott AR, et al. Pulmonary diffusing capacity, capillary blood volume, and cardiac output during sustained microgravity[J]. J Appl Physiol (1985), 1993, 75(1): 15-26. DOI:10.1152/jappl.1993.75.1.15 |
| [42] | 商慧华, 钱蕴秋, 暴军香, 等. 高频超声评价正常和模拟失重大鼠心室结构与功能的实验研究[J]. 中国超声医学杂志, 2000, 16(7): 484-487. DOI:10.3969/j.issn.1002-0101.2000.07.002 |
| [43] | McGahan JP, Richards J, Gillen M. The focused abdominal sonography for trauma scan: pearls and pitfalls[J]. J Ultrasound Med, 2002, 21(7): 789-800. DOI:10.7863/jum.2002.21.7.789 |
| [44] | Chiu WC, Cushing BM, Rodriguez A, et al. Abdominal injuries without hemoperitoneum: a potential limitation of focused abdominal sonography for trauma (FAST)[J]. J Trauma, 1997, 42(4): 617-623;discussion623-5. DOI:10.1097/00005373-199704000-00006 |
| [45] | Madill JJ. In-flight thoracic ultrasound detection of pneumothorax in combat[J]. J Emerg Med, 2010, 39(2): 194-197. DOI:10.1016/j.jemermed.2009.08.026 |
| [46] | Juhl-Olsen P, Frederiksen CA, Sloth E. Ultrasound assessment of inferior vena cava collapsibility is not a valid measure of preload changes during triggered positive pressure ventilation: a controlled cross-over study[J]. Ultraschall Med, 2012, 33(2): 152-159. DOI:10.1055/s-0031-1281832 |
| [47] | Lang RM, Badano LP, Mor-Avi V, et al. Recommendations for cardiac chamber quantification by echocardiography in adults: an update from the American Society of Echocardiography and the European Association of Cardiovascular Imaging[J]. J Am Soc Echocardiogr, 2015, 28(1): 1-39.e14.. DOI:10.1016/j.echo.2014.10.003 |
| [48] | Webb JT, Pilmanis AA, Kannan N, et al. The effect of staged decompression while breathing 100% oxygen on altitude decompression sickness[J]. Aviat Space Environ Med, 2000, 71(7): 692-698. |
| [49] | Conkin J, Foster PP, Powell MR, et al. Relationship of the time course of venous gas bubbles to altitude decompression illness[J]. Undersea Hyperb Med, 1996, 23(3): 141-149. |
| [50] | Kumar KV, Billica RD. Classification of decompression sickness[J]. Aviat Space Environ Med, 1995, 66(9): 912. |
| [51] | Powell MR, Spencer MP, von Ramm O. Ultrasonic surveillance of decompression[M]. In: Bennett PB, Elliott DH, editors. The physiology and medicine of diving, 3rd ed, San Pedro, CA: Best Publishing;, 1982: 404-34. |
| [52] | Golding FC, Griffiths P, Hempleman HV, et al. Decompression sickness during construction of the Dartford Tunnel[J]. Br J Ind Med, 1960, 17: 167-180. DOI:10.1136/oem.17.3.167 |
2022, Vol. 31

