创伤性腋动脉破裂出血的发生在临床上较为罕见,其临床表现无明显特异性,诊断和治疗是否及时对预后影响很大,延误治疗是导致患者截肢及致死的重要原因之一。由于腋动脉解剖位置复杂,手术难度大,常须借助CT血管造影或数字减影血管造影(digital substraction antiography, DSA)动脉造影等明确诊断,同时治疗上需借助血管介入等手段行微创手术。现将本院近期收治的一例腋动脉破裂大出血抢救成功经过报道如下。
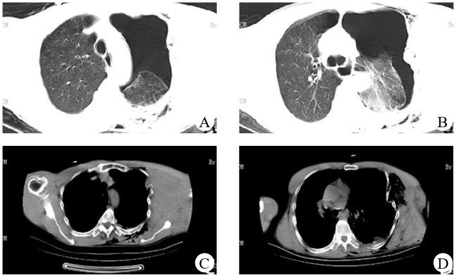
1 资料与方法患者,男性,54岁,因“重物砸伤致左侧肩部胸部疼痛、呼吸困难2 h”于2019年6月16日入院。患者2 h前在工地劳作时不慎被约20~30 kg重物砸伤,伤后即感左侧肩部胸部疼痛、呼吸困难,发病后无昏迷史、无恶心呕吐、无肢体抽搐、无大小便失禁。入院时查体:体温35.3 ℃,心率153次/min,呼吸27次/min,血压52/37 mmHg(1 mmHg=0.133 kPa),SpO2 77%(面罩吸氧5 L/min后上升至90%左右)。患者GCS评分15分,神志清楚,呼吸急促,左侧胸廓畸形,颈部、左前胸壁、左腋下、左上肢肿胀,左前胸壁可及皮下气肿,反常呼吸,四肢皮肤湿冷,左上肢活动障碍,桡动脉搏动较右上肢减弱,四肢末梢感觉无异常。急查床边超声示左侧胸腔积液,脾肾隐窝、腹腔未见明显积液。CT示颅内未见明显出血。左侧气胸伴左肺膨胀不全、挫伤,肺压缩约70%;左侧多发肋骨骨折,左侧颈部、胸部、侧胸部、背部皮下积气、血肿,见图 1。上下腹部未见明显外伤性改变。
|
| A、B:左侧气胸、左肺膨胀不全、左肺挫伤,C、D:左侧多发肋骨骨折、左侧胸背部皮下积气 图 1 患者急诊胸部CT |
|
|
胸外科会诊后暂无手术指征,行左侧胸腔闭式引流,胸带外固定,急诊予扩容补液、血管活性药物[去甲肾上腺素约0.5μg/(kg·min)]维持血压,气管插管后收住EICU。入科后患者循环极不稳定,血管活性药物剂量逐渐上调[去甲肾上腺素约1.0 μg/(kg·min)],血压仍难以维持,此时再次查体发现患者左侧胸壁、左腋下、左上肢触之质地变实,颜色较前加深,左侧胸廓较前隆起,复查床边胸片未见张力性气胸;复查血红蛋白68 g/L,血红蛋白呈进行性下降趋势。为进一步明确诊断,起病4 h组织胸心外科、骨科、血管外科、介入科等多学科会诊,结合患者致伤因素与体格检查,考虑存在血管破裂活动性出血可能,建议行动脉断层摄影血管造影(computed tomography angiography, CTA)检查。CTA检查提示左侧腋动脉起始部破裂伴血肿形成。
血管外科行左腋动脉造影和左腋动脉覆膜支架植入术,术中造影见左腋动脉破裂伴造影剂外渗,在三维路图引导下将带有导送装置的覆膜支架(8 mm×5 cm,GORE VIABAHN,美国)送入腋动脉,将支架中点覆盖血管破口后释放支架,再次造影见腋动脉通畅,无造影剂外渗,见图 2。
|
| A、B:左腋动脉造影可见造影剂外溢;C、D:置入覆膜支架后造影剂无外渗 图 2 左腋动脉造影和左腋动脉覆膜支架植入术 |
|
|
术后返回EICU,患者生命体征逐渐平稳,血管活性药物剂量逐步下调,复查CT及三维重建未见新发血肿,见图 3。1周后脱机拔管,10 d后拔除胸引管,2周后转出监护室。术后停用镇静镇痛药物后即发现患者存在腋神经、臂丛神经损伤迹象,后转至骨科行肌电图,提示臂丛神经上、中、下三支均严重受损,后期行康复治疗。
|
| 图 3 术后复查胸部CT及三维重建 |
|
|
创伤性腋动脉破裂出血是一种临床少见、致死率高的肩部损伤,临床上发生率极低。腋动脉自身的创伤性损伤仅为主动脉损伤的2.9%~9%[1]。腋动脉损伤常常继发于上肢关节脱位,与下肢相比,其发生率不足1%[2]。因腋动脉位置隐匿,临床表现无明显特异性,易引起忽视。Kelley等[3]认为,当患者存在肩关节外伤史,动脉彩色多普勒超声检查发现存在动脉血流变化以及不断增大的腋窝肿块即可及时诊断腋动脉损伤。本病例血管造影可见左侧腋动脉起始部造影剂外渗,在置入覆膜支架后腋动脉显影通畅,无造影剂外溢现象,术后行三维重建可见支架影。
腋动脉自第一肋外侧缘延续锁骨下动脉,至大圆肌腱和背阔肌的下缘延续为肱动脉[4]。直接暴力或间接暴力均可造成腋动脉损伤,继发血管破裂出血,本例患者系由重物砸伤后致左侧腋动脉起始处破裂出血引起休克,且患者入院时表现为张力性气胸引起的梗阻性休克,临床上容易引起忽视,此类患者必须早期行DSA血管造影或动脉CTA检查方可明确诊断,且患者伤处伴随臂丛神经分支腋神经,致伤后易引起神经损伤,该患者受伤后出现腋神经损伤的表现,诊疗中应予以关注。
对于创伤性腋动脉破裂出血患者,需结合其致伤因素、致伤部位、局部肢体临床表现、远端肢体缺血症状体征、神经功能等进行初步判断,特别是对于神志清醒患者的神经功能损伤情况进行评估,但明确病因及制定下一步治疗方案仍需借助CT血管造影或DSA动脉造影。CTA能明确局部血管损伤,还能明确血管外及周围情况,而DSA动脉造影可以精确显示损伤部位,同时可行栓塞及支架置入等治疗手段[5]。该病例抢救成功关键在于:⑴早期判断,对于此类较少见的动脉损伤疾病,应早期行血管造影,引起足够的重视,否则极易引起漏诊,致患者死亡;⑵以急诊为主导科室的多学科会诊,是处理此类多发伤、非常见损伤的重要手段,同时能缩短手术时间,获得抢救患者的最佳时间;⑶选择微创手术,特别是经导管置入覆膜支架修复受损血管是目前该类损伤患者的最佳手术方式,因传统手术方式创伤大,预后时间长,故选择微创介入治疗是一种行之有效的方法;⑷腋动脉的损伤常常伴有同名腋神经的损伤,在体格检查及诊治过程中需引起高度警惕,防止遗漏。
综上所述,通过本病例的诊治经过,以期提高对创伤性腋动脉破裂出血救治的认识。临床上遇到此类创伤患者时,需及时选择CT血管造影或者DSA动脉造影以明确诊断,同时可借助血管介入微创手术改善患者预后,从而起到早期诊断和积极治疗的作用,降低致残率及致死率。
利益冲突 所有作者声明无利益冲突
| [1] | Setiawati R, Varidha VU, Guglielmi G, et al. A rare case of neglected rupture of right axillary artery pseudoaneurysm mimicking a soft tissue tumor[J]. Case Rep Oncol, 2020, 13(3): 1082-1090. DOI:10.1159/000509769 |
| [2] | González Canga C, Busto Suárez S, Camblor Santervás LA, et al. Endovascular treatment of a traumatic axillary artery rupture using the dual bull's-eye technique[J]. Ann Vasc Surg, 2020, 69: 447.e17-447.e21. DOI:10.1016/j.avsg.2020.05.025 |
| [3] | Kelley SP, Hinsche AF, Hossain JF. Axillary artery transection following anterior shoulder dislocation: Classical presentation and current concepts[J]. Injury, 2004, 35(11): 1128-1132. DOI:10.1016/j.injury.2003.08.009 |
| [4] | 王怀经. 局部解剖学[M]. 北京: 人民卫生出版社, 2005: 316-318. |
| [5] | 赵会峰. 创伤性锁骨下动脉破裂并假性动脉瘤2例报告[J]. 吉林医学, 2013, 34(19): 3961-3962. DOI:10.3969/j.issn.1004-0412.2013.19.136 |
2022, Vol. 31



