2. 大连市中心医院冠心病三科,大连 116033
2. Department of Cardiology, Dalian Municipal Central Hospital, Dalian 116033, China
脓毒症(sepsis)是因感染产生的宿主反应失调所导致的威胁生命的多器官功能障碍综合征,脓毒症时肺脏极易受累,导致急性呼吸窘迫综合征(acute respiratory distress syndrome,ARDS)的发生[1]。ARDS的病死率很高,目前尚无有效的治疗药物[2]。探究能够有效防治ARDS的靶向药物具有十分重要的意义。Rho激酶为相对相对分子质量为160 000的丝氨酸/苏氨酸蛋白激酶,有ROCK1和ROCK2两种异构体,从基因序列表达上具有高度同源性。RhoA、ROCK及ROCK的下游靶分子可组成作用广泛的RhoA/ROCK细胞信号通路[3]。研究表明,RhoA/ROCK信号通路在ARDS的发生发展中发挥一定作用[4-5]。法舒地尔(Fasudil,FAS)是目前唯一应用于临床的Rho激酶抑制剂,法舒地尔可通过RhoA/ROCK信号通路在心绞痛、心衰、青光眼等多种疾病中发挥作用[6]。Rho激酶抑制剂通过扩张肺动脉血管、降低肺动脉阻力和抑制肿瘤细胞迁移等方式在ARDS的发生发展过程中起作用,但具体作用机制仍有待进一步阐明[7-8]。一氧化氮合酶(nitric oxide synthase,NOS)共有3种亚型:参与神经递质传递的神经源型(nNOS)、参与免疫反应的诱导型(iNOS)、特异性作用于内皮细胞NO的内皮型(eNOS)。内皮细胞产生的NO是RhoA/ROCK信号通路的作用靶点之一,RhoA/ROCK信号通路可负性调控NO的产生,影响ARDS的肺损伤程度[9-10]。
本研究通过脂多糖腹腔注射及气道滴注构建脓毒症小鼠ARDS实验模型,通过肺组织HE染色、免疫组织化学法(IHC)及Western-Blot等检测方法,探讨法舒地尔调控RhoA/ROCK1信号通路改善脓毒症所致ARDS的可能机制。
1 材料与方法 1.1 实验动物SPF级雄性C57BL/6小鼠,4~6周龄,质量20 g左右,购于辽宁长生生物技术股份有限公司,许可证号:SYXK(辽)2020-0001,合格证号:211002300062682,动物实验均遵照《中华人民共和国实验动物管理条例》,并通过大连医科大学伦理委员会审查批准。
1.2 主要药物和试剂盐酸法舒地尔注射液购自天津红日药业有限责任公司;MDA、MPO试剂盒购自南京建成生物工程研究所;蛋白标记物、兔抗小鼠Caspase-3多克隆抗体、兔抗小鼠RhoA多克隆抗体、鼠抗小鼠ROCK1单克隆抗体均购自美国Proteintech公司;兔抗小鼠eNOS多克隆抗体购自武汉塞维尔生物科技有限公司;兔抗小鼠p-eNOS多克隆抗体购自成都正能生物技术有限责任公司;兔抗小鼠GAPDH多克隆抗体购自武汉塞维尔生物科技有限公司;山羊抗兔、抗鼠抗体(二抗)购自美国Proteintech公司。
1.3 动物模型建立及分组采用随机数字表法将45只4~6周龄体重(20.17±2.38) g的雄性SPF级C57BL/6小鼠随机(随机数字法)分为3组:对照组(Control组,n=15)、脂多糖组(LPS组,n=15)和法舒地尔干预组(FAS+LPS组,n=15)。本研究经大连医科大学伦理委员会批准。三组小鼠的年龄、体重等基础数据差异无统计学意义。
LPS组小鼠将LPS溶液(1 mg/kg)腹腔注射给药,16 h后LPS溶液(5 mg/kg)气管内滴注。FAS+LPS组经腹腔注射LPS溶液前30 min予腹腔注射盐酸法舒地尔(10 mg/kg),并于气管滴注LPS溶液后1 h再次予盐酸法舒地尔腹腔注射(10 mg/kg)。Control组在相同时间点予生理盐水腹腔注射及气管内滴注。气管滴注后4 h处死实验小鼠,取肺组织备用。
1.4 肺组织湿重/干重(W/D)测定留取小鼠右肺中叶,用滤纸吸干肺组织表面的残留血渍,置于电子分析天平上称重,记录读数为湿重。移至60 ℃恒温烘箱72 h后称重,记录读数为干重。将数值相除,计算各组W/D。
1.5 肺组织HE染色留取新鲜的左肺下叶,用PBS缓冲液冲洗3次,置于装有4%多聚甲醛固定液的EP管中固定48 h。石蜡包埋与切片、组织脱水、浸腊与包埋、组织切片,肺HE染色。
1.6 肺组织免疫组织化学(IHC)组织包埋、切片与脱蜡水化同上述肺HE染色。将内源性过氧化物酶阻断剂滴注在切片组织上,室温避光孵育15 min。再次放入PBS中洗涤3次,每次5 min。将组织浸没在稀释后的Caspase-3一抗中,在4 ℃冰箱中孵育过夜。将组织浸没在山羊抗兔二抗中,室温条件下孵育20 min,PBS洗涤3次后进行显色。显微镜下实时观察显色变化。苏木精染色液染色1 min,流水缓慢冲洗1 min,分化后在流水中反蓝20 min。脱水至封片同上述HE染色步骤。
1.7 肺组织MDA、MPO检测 1.7.1 MDA含量检测组织称重后,按质量(g)∶体积(mL)为1∶9的比例加入预冷的生理盐水。在冰上进行肺组织匀浆,制备成10%的匀浆上清液以进行MDA含量的测定。上清液于532 nm处测量各管吸光度值(OD值)。计算公式:MDA含量(nmol/mg)=(测定OD值-对照OD值)/(标准OD值-空白OD值)×标准管浓度(10 nmol/mL)/待测匀浆蛋白浓度(mg/mL)。
1.7.2 MPO活性测定组织匀浆同上述MDA含量测定步骤。在460 nm处测量各管吸光度值。计算公式:MPO含量(U/g)=(测定OD值-对照OD值)/11.3/取样量(g)。MDA、MPO测定均平行重复3次。
1.8 Western-Blot法检测RhoA、ROCK1和p-eNOS蛋白的表达分离出实验小鼠右肺下叶,4 ℃下12 000 g低温离心15 min,取上清液,用BCA蛋白法定蛋白含量。依据蛋白相对分子质量配制6%、8%及12%的SDS-PAGE凝胶。在样本蛋白中加入5 ×Loading buffer,100℃水浴加热煮沸10 min使蛋白变性。蛋白上样,设置电泳电压,观察蛋白Marker标记位置,确定目的蛋白彻底分离时停止电泳。依据蛋白Marker确定目的蛋白位置,采用200 mA恒流条件进行转膜,依据不同蛋白相对分子质量设定转膜时间。转膜成功后,取出PVDF膜,浸泡在5%脱脂牛奶,室温下置于摇床封闭1 h。取出封闭后的PVDF膜,用TBST缓冲液洗涤3次,每次间隔10 min。孵育一抗:用TBST稀释一抗,将裁剪后的PVDF膜分别浸没在RhoA、ROCK1、p-eNOS及GAPDH抗体中,将抗体孵育盒置于4 ℃冰箱过夜。再次用TBST缓冲液洗膜3次,每次间隔10 min。孵育二抗:将一抗孵育完毕的PVDF膜浸没在稀释后的第二抗体中,室温下孵育1 h,经过3次洗膜后用于化学发光。配制超敏ECL显影液,与PVDF膜反应5 min,调节曝光时间,使用Image Lab成像仪器测定蛋白条带并拍照记录。
1.9 统计学方法采用SPSS 22.0软件进行统计学分析。对于服从正态分布的计量资料以均值±标准差(x±s)表示,组间比较采用单因素方差分析,组间两两比较行LSD-t检验,以P < 0.05为差异具有统计学意义。
2 结果 2.1 各组肺组织湿重/干重(W/D)结果正态性检验结果显示,3组样本的W/D值均服从正态分布,因此采用单因素方差分析比较3组样本W/D值的差异。如表 1所示,3组样本的肺组织W/D值差异有统计学意义(F=328.196,P < 0.001)。LPS组和FAS+LPS组的W/D均显著高于对照组(P < 0.05),但FAS+LPS组的W/D显著低于LPS组(P < 0.05)。
| 组别 | W/D | F值 | P值 |
| 对照组 | 5.05±0.09 | 328.196 | < 0.001 |
| LPS组 | 6.05±0.10a | ||
| FAS+LPS组 | 5.64±0.12a, b | ||
| 注: 与对照组比较,aP < 0.05;与LPS组比较,bP < 0.05 | |||
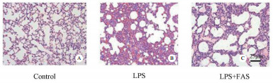
LPS组与Control组对比,肺组织体积显著增大,颜色呈深褐色,可见散在出血点及出血灶。LPS组HE染色示:肺泡数量明显减少,肺间隔水肿增厚,大部分肺泡结构消失或融合。肺泡腔内可见大量红细胞渗出,局部有透明膜形成,可见大量以中性粒细胞渗出为主的炎性细胞浸润。FAS+LPS组肺体积显著减小,出血点及出血灶较少。FAS+LPS组HE染色示:肺泡结构较为完整,肺泡数量明显增多,局部肺间质增厚和水肿,炎细胞和红细胞的浸润程度也有所减轻。见图 1。
|
| A: The alveolar tissue structure is intact; B: Most alveolar structures disappeared or fused with inflammatory cell infiltration; C: The alveolar structure is relatively complete. n=15. 图 1 各组小鼠肺组织HE染色 Fig 1 HE staining of lung tissue of mice in each group |
|
|
正态性检验结果显示,3组样本的Caspase-3平均光密度值均服从正态分布,因此采用单因素方差分析比较3组样本肺组织的Caspase-3平均光密度值,来衡量各组肺细胞凋亡的差异。如表 2所示,3组样本的肺组织Caspase-3平均光密度值差异有统计学意义(F=36.265,P < 0.001)。LPS组和FAS+LPS组的Caspase-3平均光密度值均显著高于对照组(P < 0.05),但FAS+LPS组的Caspase-3平均光密度值显著低于LPS组(P < 0.05)。
| 组别 | Caspase-3平均光密度值 | F值 | P值 |
| 对照组 | 4.49±2.81 | 36.265 | < 0.001 |
| LPS组 | 29.90±13.56a | ||
| FAS+LPS组 | 18.13±2.96a, b | ||
| 注: 与对照组比较,aP < 0.05;与LPS组比较,bP < 0.05 | |||
正态性检验结果显示,3组样本的MDA含量、MPO活性均服从正态分布,因此采用单因素方差分析比较3组样本MDA含量、MPO活性的差异。如表 3所示,3组样本的肺组织MDA含量(F=71.809,P < 0.001)、MPO活性(F=381.754,P < 0.001)均差异有统计学意义。LPS组和FAS+LPS组的MDA含量、MPO活性均显著高于对照组(P < 0.05),但FAS+LPS组的MDA含量、MPO活性显著低于LPS组(P < 0.05)。
| 组别 | MDA含量(nmol/mg) | MPO活性(U/g) |
| 对照组 | 1.45±0.32 | 0.73±0.07 |
| LPS组 | 3.66±0.78a | 2.43±0.12a |
| FAS+LPS组 | 2.62±0.25a, b | 1.44±0.26a, b |
| F值 | 71.809 | 381.754 |
| P值 | < 0.001 | < 0.001 |
| 注: 与对照组比较,aP < 0.05;与LPS组比较,bP < 0.05 | ||
正态性检验结果显示,3组样本的RhoA、ROCK1、eNOS及p-eNOS的蛋白相对表达水平符合正态分布,因此采用单因素方差分析比较3组样本之间RhoA、ROCK1、eNOS及p-eNOS的蛋白表达差异。如表 4所示,3组eNOS总蛋白的相对表达水平差异无统计学意义(P > 0.05),RhoA、ROCK1及p-eNOS差异有统计学意义(P < 0.05)。进一步进行LSD两两比较得,FAS+LPS组和LPS组小鼠肺组织RhoA、ROCK1的相对表达水平均显著高于对照组(P < 0.05),但FAS+LPS组的RhoA、ROCK1显著低于LPS组(P < 0.05);而LPS组的p-eNOS显著低于对照组和FAS+LPS组,FAS+LPS组显著高于对照组(P < 0.05)。
| 组别 | RhoA/GAPDH | ROCK1/GAPDH | eNOS/GAPDH | p-eNOS/eNOS |
| 对照组 | 1.00±0.05 | 1.00±0.08 | 1.00±0.03 | 1.00±0.00 |
| LPS组 | 2.04±0.27a | 1.66±0.13a | 0.98±0.03 | 0.70±0.05a |
| FAS+LPS组 | 1.34±0.16a, b | 1.26±0.14a, b | 0.94±0.03 | 1.37±0.08a, b |
| F值 | 24.876 | 22.108 | 3.947 | 109.470 |
| P值 | 0.001 | 0.002 | 0.081 | < 0.001 |
| 注: 与对照组比较,aP < 0.05;与LPS组比较,bP < 0.05 | ||||
ARDS发病机制错综复杂,其根本原因为失控的“炎症级联反应”所导致的弥漫性肺实质损伤。目前认为,ARDS的发病机制包括肺组织细胞的凋亡、氧化应激和细胞内信号转导通路的激活等[11-12]。ARDS高发病率和病死率一直是重症医学科亟需攻克的重难点问题之一[13-14]。目前临床上尚未发现可有效降低ARDS发病率与病死率的药物,因此寻找有效治疗的药物至关重要[15]。
盐酸法舒地尔是Rho激酶抑制剂的衍生药物,现有动物实验证明,法舒地尔能够减轻脓毒症所致的肺损伤,在LPS诱发的脓毒症肺损伤动物模型中,应用法舒地尔10 mg/kg进行干预,可显著改善肺水肿并减轻肺组织病理损伤[5, 16]。Rho激酶抑制剂能减少炎症介质的产生与释放,如IL-1β、IL-6、IL-8、TNF-α及细胞黏附分子等,可通过拮抗Rho/ROCK信号通路介导的钙增敏效应调控炎症细胞,从而抑制炎症细胞的迁徙、聚集和浸润[8, 17-18]。为探索ARDS的临床用药,法舒地尔对脓毒症所致ARDS的作用效果及具体机制值得进一步探讨,本研究主要从法舒地尔对肺炎症性损伤、肺细胞凋亡、肺部eNOS表达等几个方面进行相关机制探讨。
Ding等[17]研究结果发现,LPS能够引起小鼠肺泡水肿、出血及炎性细胞浸润,进而引起肺部病理评分增高,而Rho激酶抑制剂可以降低肺部病理评分。本研究通过对比小鼠肺组织的外观、肺部HE染色病理切片及肺部W/D的比值,证实法舒地尔能减轻肺部以中性粒细胞为主的炎症细胞浸润程度,对抗内毒素对肺泡及间质结构的破坏,缓解肺出血及淤血改变,有效抑制ARDS所造成的炎症性肺水肿。
MDA和MPO代表氧化应激与炎症反应,本研究通过检测肺组织匀浆中MDA、MPO的表达,证实法舒地尔能显著降低ARDS小鼠肺部MDA的含量与MPO的活性,表明法舒地尔可以降低肺部MDA与MPO的表达而抑制氧化应激、炎症反应,从而减轻ARDS病程中肺组织结构的损伤和破坏,减轻炎症性肺损伤的进展。
内皮细胞的凋亡在多种肺部疾病中起到至关重要的作用,可影响肺血管的微循环结构和功能。Rho/ROCK信号通路参与了多种细胞凋亡途径,包括介导细胞骨架重排、核膜解体、Caspase的活化及凋亡小体的吞噬等。凋亡因子Caspase-3可使ROCK抑制自身活性的返折部分水解,暴露蛋白激酶催化域而呈现持久性的激酶活性,从而促进凋亡小泡生成[16, 19]。本研究通过免疫组织化学法(IHC)测定凋亡启动因子Caspase-3的表达,证实法舒地尔能够显著抑制脓毒症小鼠肺组织Caspase-3的表达,进而改善肺组织微循环障碍,对脓毒症ARDS小鼠起到肺保护作用。
NO参与内皮细胞的炎症免疫反应的病理生理过程,低氧条件下血管内皮细胞会代偿性释放NO,保护性舒张血管,维持血管稳态。McGown等[20]研究证实,法舒地尔能通过抑制脓毒症大鼠的iNOS表达,增加内皮细胞eNOS的表达,从而对炎症性肺损伤起保护作用。Yang等[21]应用同为Rho激酶抑制剂的利帕舒地尔(Ripasudil)干预LPS诱导的人肺血管内皮细胞(HPMVECs),证实利帕舒地尔可通过抑制ROCK2途径促进eNOS的磷酸化转化,从而降低TNF-α、IL-6等炎症因子水平,并下调Caspase-3、Bcl-2的蛋白表达而降低细胞凋亡率。本研究通过检测三组中RhoA、ROCK1,eNOS及p-eNOS的蛋白表达,证实法舒地尔通过下调RhoA、ROCK1的表达,显著上调了p-eNOS的表达,但三组的eNOS总蛋白的表达却无明显变化。结果说明,法舒地尔通过RhoA/ROCK1信号通路增加eNOS的表达,并抑制了通路活性从而促进eNOS的磷酸化。本研究证实法舒地尔可能通过抑制RhoA/ROCK 1信号通路增加了eNOS的磷酸化水平,发挥抑制炎症反应与细胞凋亡的作用,最终对ARDS进程中损伤的肺组织起到保护作用。
法舒地尔在呼吸系统的研究和应用还处于起步阶段,随着相关研究的不断探索与深入,法舒地尔有望成为ARDS的临床预防和治疗用药,但本研究为动物试验存在一定的局限性,仍需进一步的临床试验来证实。
利益冲突 所有作者均声明不存在利益冲突
作者贡献申明:姜晓东、王馨悦:直接参与设计实验、实施研究、采集数据、分析数据,后期图表制作,文章撰写等;宫丹丹:文章修改,起草文章、对文章的相关内容进行审阅,及后期的文章处理;于健:工作支持,行政、技术或材料支持、指导、支持性贡献
| [1] | Cecconi M, Evans L, Levy M, et al. Sepsis and septic shock[J]. Lancet, 2018, 392(10141): 75-87. DOI:10.1016/S0140-6736(18)30696-2 |
| [2] | Fan E, Brodie D, Slutsky AS. Acute respiratory distress syndrome: advances in diagnosis and treatment[J]. JAMA, 2018, 319(7): 698-710. DOI:10.1001/jama.2017.21907 |
| [3] | Julian, Olson MF. Rho-associated coiled-coil containing kinases (ROCK): structure, regulation, and functions[J]. Small GTPases, 2014, 5: e29846. DOI:10.4161/sgtp.29846 |
| [4] | Shahbazi R, Baradaran B, Khordadmehr M, et al. Targeting ROCK signaling in health, malignant and non-malignant diseases[J]. Immunol Lett, 2020, 219: 15-26. DOI:10.1016/j.imLet.2019.12.012 |
| [5] | Abedi F, Hayes AW, Reiter R, et al. Acute lung injury: The therapeutic role of Rho kinase inhibitors[J]. Pharmacol Res, 2020, 155: 104736. DOI:10.1016/j.phrs.2020.104736 |
| [6] | Berrino E, Supuran CT. Rho-kinase inhibitors in the management of Glaucoma[J]. Expert Opin Ther Pat, 2019, 29(10): 817-827. DOI:10.1080/13543776.2019.1670812 |
| [7] | Zhang YQ, Wu SJ. Effects of fasudil on pulmonary hypertension in clinical practice[J]. Pulm Pharmacol Ther, 2017, 46: 54-63. DOI:10.1016/j.pupt.2017.08.002 |
| [8] | Feng YB, LoGrasso PV, Defert O, et al. Rho kinase (ROCK) inhibitors and their therapeutic potential[J]. J Med Chem, 2016, 59(6): 2269-2300. DOI:10.1021/acs.jmedchem.5b00683 |
| [9] | Shimokawa H, Sunamura S, Satoh K. RhoA/rho-kinase in the cardiovascular system[J]. Circ Res, 2016, 118(2): 352-366. DOI:10.1161/CIRCRESAHA.115.306532 |
| [10] | Hunt JL, Bronicki RA, Anas N. Role of inhaled nitric oxide in the management of severe acute respiratory distress syndrome[J]. Front Pediatr, 2016, 4: 74. DOI:10.3389/fped.2016.00074 |
| [11] | Thompson BT, Chambers RC, Liu KD. Acute respiratory distress syndrome[J]. N Engl J Med, 2017, 377(6): 562-572. DOI:10.1056/nejmra1608077 |
| [12] | Huppert LA, Matthay MA, Ware LB. Pathogenesis of acute respiratory distress syndrome[J]. Semin Respir Crit Care Med, 2019, 40(1): 31-39. DOI:10.1055/s-0039-1683996 |
| [13] | ARDS Definition Task Force, Ranieri VM, Rubenfeld GD, et al. Acute respiratory distress syndrome: the Berlin Definition[J]. JAMA, 2012, 307(23): 2526-2533. DOI:10.1001/jama.2012.5669 |
| [14] | Silva PL, Pelosi P, Rocco PRM. Personalized pharmacological therapy for ARDS: a light at the end of the tunnel[J]. Expert Opin Investig Drugs, 2020, 29(1): 49-61. DOI:10.1080/13543784.2020.1699531 |
| [15] | Nanchal RS, Truwit JD. Recent advances in understanding and treating acute respiratory distress syndrome[J]. F1000Res, 2018, 7: F1000FacultyRev-F1000Faculty1322. DOI:10.12688/f1000research.15493.1 |
| [16] | Chen JM, Wang HQ, Gao CJ, et al. Tetramethylpyrazine alleviates LPS-induced inflammatory injury in HUVECs by inhibiting Rho/ROCK pathway[J]. Biochem Biophys Res Commun, 2019, 514(1): 329-335. DOI:10.1016/j.bbrc.2019.04.135 |
| [17] | Ding RY, Zhao DM, Li XX, et al. Rho-kinase inhibitor treatment prevents pulmonary inflammation and coagulation in lipopolysaccharide-induced lung injury[J]. Thromb Res, 2017, 150: 59-64. DOI:10.1016/j.thromres.2016.12.020 |
| [18] | 蔡华忠, 周峰, 王艳, 等. RhoA/ROCK信号通路介导睾酮对血早期内皮祖细胞功能调节[J]. 中华急诊医学杂志, 2020, 29(4): 525-529. DOI:10.3760/cma.j.issn.1671-0282.2020022.005-1 |
| [19] | 潘舟, 李光, 伍威, 等. 雌激素相关受体α对脂多糖诱导的内皮细胞凋亡及连接蛋白降解的影响[J]. 中华急诊医学杂志, 2021, 30(11): 1312-1317. DOI:10.3760/cma.j.issn.1671-0282.2021.11.006 |
| [20] | McGown CC, Brown NJ, Hellewell PG, et al. ROCK induced inflammation of the microcirculation during endotoxemia mediated by nitric oxide synthase[J]. Microvasc Res, 2011, 81(3): 281-288. DOI:10.1016/j.mvr.2011.02.003 |
| [21] | Yang JX, Ruan F, Zheng ZJ. Ripasudil attenuates lipopolysaccharide (LPS)-mediated apoptosis and inflammation in pulmonary microvascular endothelial cells via ROCK2/ENOS signaling[J]. Med Sci Monit, 2018, 24: 3212-3219. DOI:10.12659/MSM.910184 |
2022, Vol. 31



