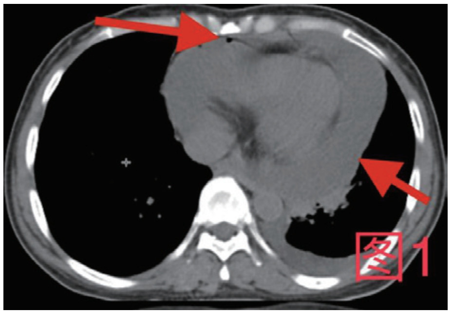
患者,女,41岁,2020年10月26日因“腹痛3 d”入急诊,否认近期有吞服异物、鱼刺、骨头等,无腹部手术史。入院查体:体温36.9℃,心率115次/min,血压98/57 mmHg(1 mmHg=0.133 kPa),血氧饱和度:97%;腹软,上腹部压痛,腹肌略紧张,余查体阴性。入院初检验:乳酸13.3 mmol/L;超敏C反应蛋白212.46 mg/L;血常规白细胞计数35.0×109/L,中性粒细胞百分数0.908,降钙素原50.46 ng/mL;Pro-B型钠尿肽7 117 pg/mL;肌钙蛋白T 0.147 ng/mL;肌酐554 μmol/L,谷丙转氨酶2 499 U/L,谷草转氨酶5 908 U/L。心电图未见ST-T改变;胸腹部增强CT(图 1、图 2):示大量心包积液伴少许积气,纵隔少量积气;左侧少量胸腔积液,右肺下叶感染,盆腔少量积液;心脏超声:心包积液(大量),最深处21 mm;急诊予心包穿刺引流出大量浑浊脓性液体,心包穿刺引流液常规:中性粒细胞占96%,涂片见革兰阴性杆菌及革兰阳性球菌,积液培养见咽峡炎链球菌。诊断:化脓性心包炎,脓毒血症,多脏器功能不全,代谢性酸中毒。本病例报道经温州医科大学附属东阳市人民医院伦理委员会批准,且所有临床检测指标及有创操作均获得家属同意或直系亲属的授权(伦理审批号:东人医2021-YX-124)。
|
| 图 1 箭头所指为心包内积气积液 |
|
|
|
| 图 2 箭头所指为纵隔内积气 |
|
|
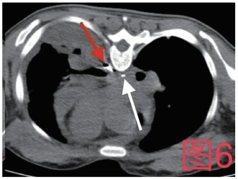
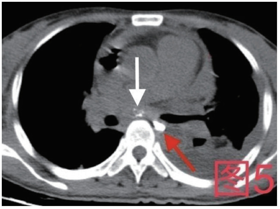
治疗经过:急诊予美罗培南0.5 g,1次/12 h抗感染,补液支持,心包引流等治疗措施,收住感染科后继续抗感染治疗,期间心包积液培养出白假丝酵母菌,加用氟康唑200 mg,1次/d, 口服,心包积液、左侧胸腔积液引流等措施,治疗10 d后复查胸部CT仍有中大量心包积液伴少许积气,纵隔积气;左侧少量胸腔积液,两肺叶间裂少许积液。对照前片(2020.10.26)心包积气及左侧胸前积液有增多,叶间裂积液新发,心包积液略有减少。右肺下叶感染,左肺下叶膨胀不全,较前右肺下叶感染有吸收,左肺下叶膨胀不全新发。考虑不能排除食管纵隔瘘,予口服碘海醇后胸部CT检查(图 3~6):约胸6椎体水平食管纵隔瘘,瘘口为相应水平食管壁右前方可能;胃镜(图 7):食道距门齿25 cm右后壁见一直径约1.0 cm凹陷,内有一小瘘口。胃镜下予钛夹2枚夹闭瘘口(图 8),同时植入空肠营养管。至此患者病情明确诊断食管心包瘘,患者经以上治疗后心包积液、胸腔积液逐渐减少,于11月13日拔除心包及胸腔引流管,因患者签字回当地就诊,予口服莫西沙星、氟康唑带药出院,出院后随访,患者未回当地医院治疗,仅在家中继续空肠营养管饲喂及口服抗菌药物治疗。
|
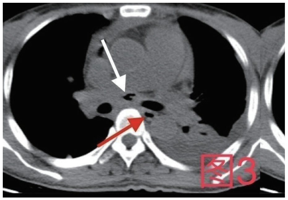
| 图 3 白色箭头所指为气管隆突下方纵隔内积气,红色箭头所指为食管 |
|
|
|
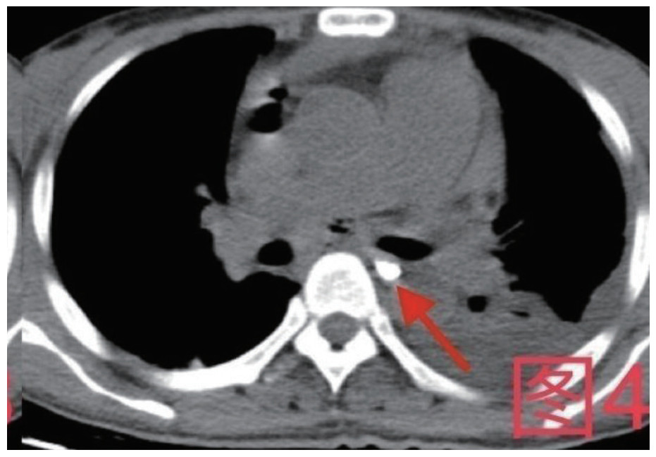
| 图 4 患者卧位第一次口服15 mL碘海醇后,箭头所指为食管内碘海醇,未见食管内碘海醇漏出 |
|
|
|
| 图 5 患者卧位第2次口服15 mL碘海醇后,白色箭头所指为纵隔内碘海醇,红色箭头为食管内碘海醇 |
|
|
|
| 图 6 患者俯卧位,白色箭头为纵隔内碘海醇,红色箭头为食管内碘海醇 |
|
|
|
| 图 7 箭头所指为食管瘘瘘口,同时可见空肠营养管 |
|
|
|
| 图 8 瘘口已予2枚钛夹夹闭 |
|
|
讨论 食管心包瘘在临床中较为少见,食管瘘常发生于恶性病因如食管恶性肿瘤[1],食管肿瘤术后或放化疗后[2-4];良性病因如食管异物嵌顿[5],食管憩室破裂[6],房颤射频消融术后[7]等。
在该病例中,延误诊断的主要原因是医生对该疾病的认识不足,且患者病史中并无上述可疑病因的描述,患者胃镜下未见食管溃疡、食管恶性肿瘤、异物嵌顿等问题,瘘道的出现原因尚不明确。在既往报道中,有患者因胸痛症状,心电图st段抬高,肌钙蛋白升高等误诊为急性冠脉综合征[8]。临床医生需谨慎鉴别该疾病与早期复极综合征、心肌梗死等疾病心电图改变特征[9]。
对食管心包瘘的诊断检查需尽早进行,在急诊工作中我们可以选择口服美蓝观察心包和胸腔引流液染色情况,采取食管造影、口服碘海醇螺旋CT检查或胃镜检查。其中口服碘海醇螺旋CT检查的患者需注意可能因造影剂尚未通过瘘口导致漏诊,如本病例中患者在口服2次碘海醇后检查才出现异常结果,多次检查或改变体位进行食管造影能降低漏诊机会[10-11]。对于高度怀疑的患者进一步的胃镜检查不仅可明确诊断,也可以在诊断后给予食管支架或钛夹等治疗手段以及放置空肠营养管便于早期营养支持等支持措施[12-13]。
本案例患者虽然延误诊断,但患者住院治疗期间脏器功能恢复良好、感染控制尚稳定的结果,笔者认为得益于早期广谱抗生素的应用以及积极的引流。但对于远期心包、胸膜黏连,深部器官脓肿的处理尚需更长时间的临床观察和随访。
利益冲突 所有作者均声明不存在利益冲突
| [1] | 田园, 吴越铭, 苏茂龙. 食管心包瘘超声影像学表现1例[J]. 中华超声影像学杂志, 2018, 27(8): 713. DOI:10.3760/cma.j.issn.1004-4477.2018.08.018 |
| [2] | 吴旭, 李想, 钟海, 等. 食管癌术后管状胃心包瘘伴感染性休克1例[J]. 中华胸心血管外科杂志, 2018, 34(9): 557-558. DOI:10.3760/cma.j.issn.1001-4497.2018.09.012 |
| [3] | 李琪, 廖清池, 刘美英, 等. 食管癌放疗后并发心包积气积液1例[J]. 大连医科大学学报, 2019, 41(2): 186-188. DOI:10.11724/jdmu.2019.02.18 |
| [4] | 邓婷, 巴一. 食管癌化疗后心包瘘1例[J]. 中国肿瘤外科杂志, 2010, 2(5): 317-318. DOI:10.3969/j.issn.1674-4136.2010.05.018 |
| [5] | 蒋大铭, 胡章龙, 张一弓, 等. 食管异物致主动脉食管瘘三例的诊治分析[J]. 中华急诊医学杂志, 2021, 30(5): 631-635. DOI:10.3760/cma.j.issn.1671-0282.2021.05.022 |
| [6] | 袁玉娟, 穆叶赛·尼加提. 食管憩室穿孔并发急性心包炎一例[J]. 中华胃食管反流病电子杂志, 2015, 2(3): 182-183. DOI:10.3877/cma.j.issn.1674-6899.2015.03.016 |
| [7] | Zhang P, Zhang YY, Ye Q, et al. Characteristics of atrial fibrillation patients suffering esophageal injury caused by ablation for atrial fibrillation[J]. Sci Rep, 2020, 10(1): 2751. DOI:10.1038/s41598-020-59539-6 |
| [8] | 刘同泰, 罗钰, 田静, 等. 贲门癌术后食管心包瘘救治成功一例[J]. 中华胃肠外科杂志, 2018, 21(4): 465-466. DOI:10.3760/cma.j.issn.1671-0274.2018.04.022 |
| [9] | 吴祥, 蔡思宇. 急性心包炎心电图表现的若干新概念[J]. 中华心血管病杂志, 2003, 31(7): 542-544. DOI:10.3760/j:issn:0253-3758.2003.07.025 |
| [10] | 李保军, 张学东, 徐振东. 贲门癌术后胃心包瘘1例[J]. 河北医药, 2011, 1(19): 2984. DOI:10.3969/j.issn.1002-7386.2011.19.059 |
| [11] | 程邦昌, 昌盛, 黄杰, 等. 胃代食管术后胸胃穿孔的病因及治疗[J]. 中华胸心血管外科杂志, 2006, 22(1): 6-8. DOI:10.3760/cma.j.issn.1001-4497.2006.01.003 |
| [12] | 杨迪, 马洪升, 张雪梅, 等. 食管瘘治疗新进展[J]. 华西医学, 2015, 30(10): 1983-1985. DOI:10.7507/1002-0179.20150566 |
| [13] | 董凤良, 黄晓东, 胡建文, 叶新彬. 主动脉食管瘘临床诊治分析[J]. 中华急诊医学杂志, 2019, 28(11): 1432-1434. DOI:10.3760/cma.j.issn.1671-0282.2019.11.019 |
2021, Vol. 30

