2. 广州市增城区人民医院影像科,广州 511300;
3. 中山大学附属第七医院放射科,深圳 518107;
4. 中山大学孙逸仙纪念医院急诊科,广州 510120
2. Department of Radiology, Zengcheng District People's Hospital, Guangzhou 511300, China;
3. Department of Radiology, the Seventh Affiliated Hospital of Sun Yat-sen University, Shenzhen 518107, China;
4. Department of Emergency, Sun Yat-sen Memorial Hospital, Sun Yat-sen University, Guangzhou 510120, China
心脏骤停(cardiac arrest, CA)后心肺脑等脏器严重缺血、缺氧,可危及生命[1]。有很多患者因为CPR后的脑损伤而死亡或者昏迷[2]。CA/CPR后昏迷患者持续动态监测神经功能有助于临床决策,避免对苏醒无望的患者过度治疗,避免将获得良好神经功能预后机会的患者过早地撤除治疗[3]。然而,亚低温及镇静药物的使用对CA/CPR后评估神经功能预后的多项监测手段(如神经功能评分及神经电生理监测等)存在影响[4]。研究发现核磁共振成像(magnetic resonance imaging, MRI)在评估CA/CPR后脑损伤及预后不受低温或镇静药物等的影响[5]。最近的研究发现基于T2WI图像的纹理分析技术可以识别缺血性脑卒中病灶的存在[6]。笔者推测基于T2WI图像的纹理分析方法可以评估CA/CPR后脑损伤。因此,本研究探讨基于T2WI图像纹理特征评价大鼠CA/CPR后脑损伤的可行性,为今后实现影像组学及人工智能诊断CA/CPR后脑损伤提供实验性研究数据。
1 材料与方法 1.1 伦理学申明这是一项前瞻性对照实验研究,本研究采用的实验动物均取得广东省实验动物质量合格证明,本实验得到了医院伦理委员会的批准(2021-H-001)。
1.2 心脏骤停模型制作及分组18只体质量为(510±16) g的雄性SD大鼠均购于中山大学实验动物中心(中国广州)。将大鼠随机分为假手术组(n=8)及模型组(n=10),采用3%戊巴比妥钠腹腔注射45 mg/kg麻醉动物。大鼠麻醉成功后,连接小动物呼吸机通气,设置初始呼吸频率为70次/min,依据目标ETCO2(40~45 mmHg, 1 mmHg=0.133 kPa)进行调整,潮气量6 mL/kg。经左股动脉将一根23号聚乙烯50(PE-50)导管(Becton Dickinson, Franklin Larkes, NJ)置入,用于测量平均动脉压(MAP)和抽出血液进行动脉血气分析。另外,经左侧颈外静脉置入一根PE-50导管进入右心房,测量右心房压力,并且连续记录常规心电图导联II,测量和记录血流动力学数据。动物麻醉后用14号管经口进行气管插管并封堵后约4.5 min,建立窒息大鼠CA模型(CA定义为MAP ≤ 20 mmHg)。CA后6 min内不作任何处理,然后开始用自制心肺复苏装置以210次/min的频率按压心前区,按压深度为15 mm,心脏按压1 min后经股静脉推注肾上腺素(10 μg/kg),大鼠如无自主循环恢复(return of spontaneous circulation,ROSC),则重新开始胸外按压,机械通气和必要时除颤,直至ROSC[7]。若3个CPR循环后仍无ROSC则宣布复苏失败。ROSC被定义为至少持续5 min内MAP≥60 mm Hg的室上节律恢复,成功ROSC的动物复苏后继续机械通气30 min,连续检测血流动力学。假手术组动物进行了相同的手术,但未诱导窒息。
1.3 仪器与方法所有大鼠模型扫描均使用GE 1.5T MRI成像仪(GE 1.5T Signa HDi,美国)和1.5T横向8通道大鼠专用线圈(CG-MUC44-H150-AG,上海晨光有限公司)进行。假手术组和模型组的动物通过腹膜内注射3%戊巴比妥钠(10 mg/kg)进行麻醉,将大鼠模型固定在线圈中,行T2WI序列横断位扫描。TR 1 433 ms,TE 101 ms,矩阵320×256,FOV 80 mm×80 mm,层厚2.0 mm,层间距0.8 mm,信号激励次数3次,采集时间2.14 min。
1.4 T2WI图像纹理特征的提取选取大鼠全脑横断位T2WI图像(共8个层面)作为纹理特征提取的感兴趣区(region of interest, ROI),由2名具有5年以上工作经验从事医学影像诊断的住院医师利用Omni-Kinetics(GE公司,Version V2.0.10)软件分别对大鼠全脑8个层面手动勾画ROI并融合,获取包括脑干、小脑及大脑的3D-ROI,提取68个纹理特征。
1.5 免疫组织化学方法及评分将大鼠断头后取脑组织,用4%中性缓冲甲醛固定24 h后制作成石蜡组织块,石蜡组织以4 μm厚切片,使用MaxVisionTM HRP免疫组织化学试剂盒进行水通道蛋白4(aquaporin-4, AQP4)及神经元特异度烯醇化酶(neuron specific enolase, NSE)染色,具体步骤按照试剂盒操作说明书进行。
免疫组织化学阳性定义为镜下观察显示为细胞中出现黄色、棕黄色至棕褐色颗粒[8]。由两名高资历病理医师双盲法,参照文献方法[8]对实验大鼠脑组织的免疫组织化学染色切片进行独立阅片并分别评分,计算阳性细胞的百分比估计值(数量得分)与染色强度(染色强度得分)。综合得分=数量得分×染色强度得分,总分范围0到12分。最终的综合得分为两位病理医师单独评分的平均值。
1.6 统计学方法运用SPSS 25软件包对2名医师测量的68个纹理特征行组内相关系数(intraclass correlation coefficient, ICC)一致性分析,筛选出ICC > 0.8的数据统计分析,并运用Kolmogorov-Smirnov检验对上述数据行正态性检验,符合正态分布的特征以均数±标准差(Mean±SD)表示,组间差异比较采用成组t检验;不符合正态分布的特征组间比较采用非参数检验(Mann-Whitney U);计数资料进行χ2检验。运用ROC曲线评价纹理特征对脑损伤的诊断效能。运用Spearman等级相关系数分析纹理特征与免疫组织化学AQP4及NSE抗体表达之间的相关性。以P < 0.05为差异具有统计学意义。
2 结果本研究共使用了18只SD雄性大鼠,10只大鼠接受了CPR,8只大鼠出现ROSC,2只无ROSC;另8只大鼠仅接受了麻醉和置管等操作,而无诱导心脏骤停和CPR。
2.1 两组大鼠的基线生理和CPR特征假手术组与模型组大鼠之间的基线生理参数及CPR特征的差异均无统计学意义(表 1)。
| 变量 | 假手术组(n=8) | 模型组(n=8) |
| 体质量(g) | 521±26 | 514±21 |
| 心率(次/min) | 395±27 | 413±30 |
| 呼气末CO2分压(mmHg) | 42±2 | 41±3 |
| 平均动脉压(mmHg) | 124±7 | 118±14 |
| 动脉血pH值 | 7.32±0.04 | 7.41±0.05 |
| 氧分压(mmHg) | 89±12 | 94±13 |
| 动脉血乳酸(mmol/L) | 1.1±0.3 | 1.2±0.4 |
| 窒息时间(min) | - | 10.3±0.7 |
| 心脏按压时间(min) | - | 3.9±2.2 |
两组大鼠全脑T2WI图像均未见异常信号(图 1)。提取基于T2WI图像的纹理特征共68个,包括27个直方图特征,9个形态学度量特征,22个灰度共生矩阵特征和10个游程长矩阵特征;其中35个(35/68,51.5%)纹理特征ICC>0.8。在35个ICC>0.8的特征中,两组间直方图特征(最小强度值、标准偏差)、灰度共生矩阵特征(差分熵、逆差矩)及游程长矩阵特征(高灰度不均匀性)的差异均具有统计学意义(均P < 0.05,表 2)。运用ROC曲线评价上述纹理特征中CA/CPR后脑损伤的诊断效能(图 2),其中差分熵诊断效能最优(AUC=0.922),取阈值为0.512时,其评价CA/CPR后脑损伤的敏感度为100%,特异度为75%,其余参数诊断效能见表 3。
|
| A:假手术组大鼠T2WI图像未见异常信号;B:模型组大鼠T2WI图像未见异常信号 图 1 大鼠模型横断位T2WI图像 Fig 1 T2WI image of the rat model in transverse position |
|
|
| 纹理特征 | 假手术组(n=8) | 模型组(n=8) | t值 | P值 |
| 直方图 | ||||
| 最小强度值 | 39.6±8.9 | 51.4±7.6 | -2.867 | < 0.05 |
| 标准偏差 | 47.6±5.9 | 56.7±9.4 | 37.784 | < 0.05 |
| 灰度共生矩阵 | ||||
| 差分熵 | 0.524±0.007 | 0.504±0.015 | 3.489 | < 0.05 |
| 逆差矩 | 0.057±0.003 | 0.065±0.007 | -2.720 | < 0.05 |
| 游程长矩阵 | ||||
| 高灰度不均匀性 | 13801.0±1903.0 | 10381.5±3114.3 | 2.650 | < 0.05 |
|
| 差分熵诊断效能最优,敏感度为100%,特异度为75% 图 2 大鼠全脑T2WI纹理特征ROC曲线分析 Fig 2 ROC curve analysis of whole brain T2WI texture characteristics in rats |
|
|
| 纹理参数 | AUC(95%CI) | 截断阈值 | 敏感度(%) | 特异度(%) |
| 直方图 | ||||
| 最小强度值 | 0.859(0.672~1.000) | 48.000 | 87.5 | 75.0 |
| 标准偏差 | 0.766(0.528~1.000) | 53.551 | 62.5 | 75.0 |
| 灰度共生矩阵 | ||||
| 差分熵 | 0.922(0.791~1.000) | 0.512 | 100 | 75.0 |
| 逆差矩 | 0.641(0.342~0.939) | 0.128 | 62.5 | 75.0 |
| 游程长矩阵 | ||||
| 高灰度不均匀性 | 0.828(0.621~1.000) | 11602.275 | 100 | 62.5 |
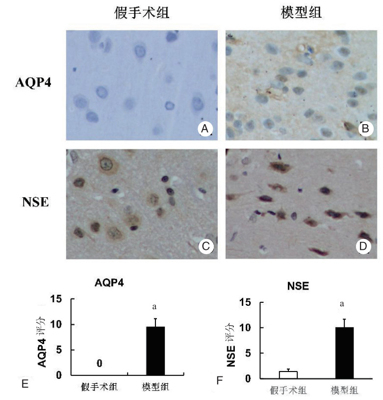
对假手术组及模型组大鼠模型脑组织进行AQP4及NSE免疫组织化学DAB显色(放大倍数200×),假手术组AQP4及NSE表达均为阴性,免疫组织化学评分为0分(图 3),模型组可AQP4及NSE表达较假手术组显著增加(P < 0.05,表 4)。
|
| A:假手术组AQP4抗体表达阴性,免疫组织化学为0分;B:模型组AQP4抗体表达阳性;C:模型组AQP4免疫组织化学评分显著明显高于假手术组(P < 0.05);D:假手术组NSE抗体表达阴性;E:模型组NSE抗体表达阳性;F:模型组NSE免疫组织化学评分显著明显高于假手术组(P < 0.05)。假手术组和模型组比较,a P < 0.05 图 3 对假手术组及模型组大鼠模型脑组织进行AQP4及NSE抗体免疫组织化学DAB显色(放大倍数200×),以及免疫组织化学评分 Fig 3 Brain tissues of rat models in the sham group and the model group were subjected to AQP4 and NSE immunohistochemical DAB color development (magnification 200×), and immunohistochemical score |
|
|
| 纹理特征 | AQP4 | NSE | |||
| 相关系数 | P值 | 相关系数 | P值 | ||
| 直方图 | |||||
| 最小强度值 | 0.501 | 0.048 | 0.568 | 0.022 | |
| 标准偏差 | 0.620 | 0.010 | 0.530 | 0.035 | |
| 灰度共生矩阵 | |||||
| 差分熵 | -0.535 | 0.033 | -0.466 | 0.069 | |
| 逆差矩 | 0.457 | 0.075 | 0.303 | 0.255 | |
| 游程长矩阵 | |||||
| 高灰度不均匀性 | -0.312 | 0.240 | -0.354 | 0.178 | |
| 注:AQP4:水通道蛋白4;NSE:神经元特异度烯醇酶 | |||||
最小强度值及标准偏差与AQP4、NSE表达均呈正相关;差分熵与AQP4表达呈负相关,见表 4。
3 讨论CA/CPR后脑损伤的主要机制是脑氧输送的减少,引起一系列复杂的病理生理级联反应,导致血脑屏障破坏、脑代谢异常和脑水肿[9]。在本研究中,模型组大鼠全脑T2WI纹理特征的最小强度值、标准偏差及逆差明显低于假手术组(P < 0.05),而差分熵及高灰度不均匀性显著高于假手术组(P < 0.05)。脑组织AQP4及NSE表达增加提示大鼠CA/CPR后存在脑水肿和神经元受损。
CPR后早期脑氧输送及氧消耗仍然处于失衡状态,引起血管内皮细胞功能障碍、细胞内Ca2+蓄积及自由基形成等,加剧神经元缺血和细胞死亡;另外,在微血管系统中内皮细胞功能障碍导致血脑屏障障碍,血管源性脑水肿形成,微血栓形成和脑血流量的减少导致细胞缺血加重[10]。近年来,定量MRI评估CA/CPR后脑损伤越来越受重视,2015年AHA指南更新推荐患者ROSC后2~6 d可行MRI检查进行神经预后评估[11]。然而,由于患者CA时间不同,部分患者在ROSC早期存在意识不清甚至昏迷等临床症状,提示存在脑损伤,但是常规影像学上无法显示,因此寻找一种可挖掘常规影像图像的纹理数据的检查方法,以期能反映、监测脑损伤,指导临床治疗策略尤为重要。
纹理分析是对图像中空间分布的像素信息定量描述,将医学的灰度图像转换成纹理信息,以量化的形式表达病灶区域特点,可反映出肉眼不可见的微观病变,揭示病变的异质性,为临床医师提供客观的诊断疾病方法[12]。近年来基于影像学图像纹理分析技术已经在缺血性脑卒中、多发性硬化等中枢神经系统疾病中有相关研究并应用于临床[13-15]。Betrouni等[14]对160例脑卒中患者发病72 h后的T1WI图像进行纹理分析,发现卒中后发生痴呆患者海马和内嗅皮层的峰度和逆差矩纹理特征与卒中后6个月的神经心理学检查具有显著的相关性。目前,尚未发现国内外利用纹理分析方法对CA/CPR后脑损伤进行研究的报道。
CA/CPR后存在脑水肿及神经元受损等一系列病理生理变化[16],这些变化在MRI图像主要表现为纹理特征变化,包括直方图、灰度共生矩阵及游程长矩阵等反映图像灰度特征的变化。直方图特征反映的是MRI图像中灰度值最大强度与最小强度间的距离,像素间灰度值变化越大,范围越大图像的异质性越高[13]。灰度共生矩阵主要反映的是图像两点灰度之间在距离、方向及变化幅度上相关性,更直观表达图像区域纹理的空间属性[17]。游程长矩阵主要反映图像灰度值的三维信息高阶参数,反映图像纹理大小及均匀度[18]。本研究CA/CPR后脑组织AQP4及NSE表达增加表明存在一定程度的脑水肿及神经元受损。模型组大鼠全脑直方图特征(最小强度值、标准偏差)数值显著高于假手术组,而灰度共生矩阵特征(差分熵)数值显著低于假手术组,上述特征均与反映脑水肿的AQP4正相关,其中差分熵与AQP4呈负相关,其诊断脑损伤效能最优(敏感度为100%,特异度为75%),表明最小强度值、标准偏差及差分熵等纹理特征可反映CA/CPR后脑水肿情况。另外,直方图特征中的最小强度值及标准偏差与反映神经元损伤的NSE表达呈正相关,表明上述两种纹理特征可反映CA/CPR后神经元受损情况。本组研究中模型组逆差矩及高灰度不均匀性特征均与假手术组差异有统计学意义,但与AQP4及NSE表达不存在相关性。综上所述,笔者认为基于T2WI图像的直方图特征(最小强度值、标准偏差)及灰度共生矩阵特征(差分熵)是反映CA/CPR后脑损伤的敏感指标,而差分熵诊断效能最优。
大鼠脑部T2WI图像的像素灰度值分布模式及变化规律随着CA/CPR后脑水肿及神经元受损的出现而发生变化,通过提取及量化这些纹理特征可以实现CA/CPR后脑损伤可视化。基于T2WI图像纹理分析技术评价CA/CPR后脑损伤,优点在于可发现超出肉眼观察范围的图像细节信息,可客观定量测量图像纹理特征的分布,并且不受主观分析、专业水平的影响,在评价CA/CPR后脑损伤方面具有较高临床价值。
本研究存在以下几点不足:(1)尽管发现基于T2WI图像纹理特征可以评估CA/CPR后脑水肿的情况,但是由于没有研究不同缺血时间CA模型之间的纹理特征差异,因此不能确定纹理特征参数能否反映脑损伤的严重程度,这将是今后的研究重点之一;(2)本研究只测量基于T2WI图像的纹理特征,没有对T1WI、T2FLAIR及DWI等序列的纹理特征进一步对比分析,无法确定反映CA/CPR后脑损伤的最敏感的MRI序列,这也是下一步研究的重点。
综上所述,脑损伤是CA/CPR后常见的并发症,基于T2WI图像的纹理分析可以评估脑水肿及神经元受损情况,直方图特征(最小强度值、标准偏差)、灰度共生矩阵特征(差分熵)是评估CA/CPR后脑损伤的指标,其中差分熵敏感度和特异度最高。本研究可为CA/CPR后脑损伤的影像组学及人工智能研究提供实验性研究数据。
利益冲突 所有作者均声明不存在利益冲突
| [1] | Andersen LW, Holmberg MJ, Berg KM, et al. In-hospital cardiac arrest: a review[J]. JAMA, 2019, 321(12): 1200-1210. DOI:10.1001/jama.2019.1696 |
| [2] | Angus DC. Successful resuscitation from in-hospital cardiac arrest: what happens next?[J]. JAMA, 2015, 314(12): 1238-1239. DOI:10.1001/jama.2015.11735 |
| [3] | 心肺复苏后昏迷患者早期神经功能预后评估专家共识组. 心肺复苏后昏迷患者早期神经功能预后评估专家共识[J]. 中华急诊医学杂志, 2019, 28(2): 156-162. DOI:10.3760/cma.j.issn.1671-0282.2019.02.006 |
| [4] | Paul M, Bougouin W, Dumas F, et al. Comparison of two sedation regimens during targeted temperature management after cardiac arrest[J]. Resuscitation, 2018, 128: 204-210. DOI:10.1016/j.resuscitation.2018.03.025 |
| [5] | Hahn DK, Geocadin RG, Greer DM. Quality of evidence in studies evaluating neuroimaging for neurologic prognostication in adult patients resuscitated from cardiac arrest[J]. Resuscitation, 2014, 85(2): 165-172. DOI:10.1016/j.resuscitation.2013.10.031 |
| [6] | Ortiz-Ramón R, Valdés Hernández MDC, González-Castro V, et al. Identification of the presence of ischaemic stroke lesions by means of texture analysis on brain magnetic resonance images[J]. Comput Med Imaging Graph, 2019, 74: 12-24. DOI:10.1016/j.compmedimag.2019.02.006 |
| [7] | Gong P, Zhao S, Wang JG, et al. Mild hypothermia preserves cerebral cortex microcirculation after resuscitation in a rat model of cardiac arrest[J]. Resuscitation, 2015, 97: 109-114. DOI:10.1016/j.resuscitation.2015.10.003 |
| [8] | Soslow RA, Dannenberg AJ, Rush D, et al. COX-2 is expressed in human pulmonary, colonic, and mammary tumors[J]. Cancer, 2000, 89(12): 2637-2645. DOI:10.1002/1097-0142(20001215)89:12<2637:aid-cncr17>3.0.co;2-b |
| [9] | Roberts BW, Kilgannon JH, Hunter BR, et al. Association between early hyperoxia exposure after resuscitation from cardiac arrest and neurological disability: prospective multicenter protocol-directed cohort study[J]. Circulation, 2018, 137(20): 2114-2124. DOI:10.1161/CIRCULATIONAHA.117.032054 |
| [10] | Taccone FS, Crippa IA, Creteur J, et al. Estimated cerebral perfusion pressure among post-cardiac arrest survivors[J]. Intensive Care Med, 2018, 44(6): 966-967. DOI:10.1007/s00134-018-5074-3 |
| [11] | Callaway CW, Donnino MW, Fink EL, et al. Part 8: post-cardiac arrest care: 2015 American heart association guidelines update for cardiopulmonary resuscitation and emergency cardiovascular care[J]. Circulation, 2015, 132(18 Suppl 2): S465-S482. DOI:10.1161/CIR.0000000000000262 |
| [12] | 李昕, 童隆正, 周晓霞, 等. 基于MR图像三维纹理特征的阿尔茨海默病和轻度认知障碍的分类[J]. 中国医学影像技术, 2011, 27(5): 1047-1051. DOI:10.13929/j.1003-3289.2011.05.016 |
| [13] | Wang KY, Carlton J, Guffey D, et al. Histogram analysis of apparent diffusion coefficient and fluid-attenuated inversion recovery in discriminating between enhancing and nonenhancing lesions in multiple sclerosis[J]. Clin Imaging, 2020, 59(1): 13-20. DOI:10.1016/j.clinimag.2019.08.005 |
| [14] | Betrouni N, Yasmina M, Bombois S, et al. Texture features of magnetic resonance images: an early marker of post-stroke cognitive impairment[J]. Transl Stroke Res, 2020, 11(4): 643-652. DOI:10.1007/s12975-019-00746-3 |
| [15] | Kim HG, Choi JW, Han MR, et al. Texture analysis of deep medullary veins on susceptibility-weighted imaging in infants: evaluating developmental and ischemic changes[J]. Eur Radiol, 2020, 30(5): 2594-2603. DOI:10.1007/s00330-019-06618-6 |
| [16] | 范希超, 唐子人, 肖鹏, 等. 丁苯酞注射液对猪心肺复苏后脑神经元线粒体功能的影响[J]. 中华急诊医学杂志, 2019, 28(8): 971-977. DOI:10.3760/cma.j.issn.1671-0282.2019.08.011 |
| [17] | Yang Y, Yan LF, Zhang X, et al. Optimizing texture retrieving model for multimodal MR image-based support vector machine for classifying glioma[J]. J Magn Reson Imaging, 2019, 49(5): 1263-1274. DOI:10.1002/jmri.26524 |
| [18] | Zhang H, Mao Y, Chen X, et al. Magnetic resonance imaging radiomics in categorizing ovarian masses and predicting clinical outcome: a preliminary study[J]. Eur Radiol, 2019, 29(7): 3358-3371. DOI:10.1007/s00330-019-06124-9 |
2021, Vol. 30



