急性胰腺炎(acute Pancreatitis,AP)是可引起胰腺局部损伤、全身性炎症反应综合征和器官衰竭的炎症性疾病[1]。急性重症胰腺炎(severe acute pancreatitis,SAP)常并发急性呼吸窘迫综合征、腹腔间隔室综合征、急性肾衰竭、胰腺假性囊肿以及胰周坏死物感染等并发症[2],但并发胆囊动脉出血病例极少见。本文报道1例SAP并发胆囊动脉出血患者的救治过程,总结其发病特点并初步探讨其诊断、治疗方案。
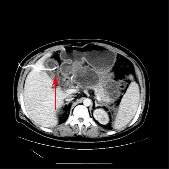
1 资料与方法患者吴某,男,33岁,身体质量指数37 kg/m2,因“腹痛13 h”急诊就诊。患者餐后出现上腹部持续性胀痛,向腰部放射,疼痛逐渐加重,急诊收住院。既往史:高血压病史2年,血压最高达200/100 mmHg(1 mmHg=0.133 kPa),未服用降压药。糖尿病病史1年,未行治疗。查体:体温36.6 ℃、脉搏130次/min、呼吸38次/min、血压228/113 mmHg,神志清楚,皮肤、巩膜无黄染,两肺未及干湿性啰音;心律齐,未闻及杂音,腹膨隆,腹肌紧张,上腹部压痛明显,无反跳痛,肠鸣音弱;肌力、肌张力正常,神经系统检查阴性。主动脉CTA:未见夹层;上腹部CT:AP(见图 1);心电图:窦性心动过速;肝胆脾彩超:重度脂肪肝,胆囊饱满,胰腺肿大并不均质改变。化验检查示,随机血糖32.8 mmol/L,动脉血气分析pH 7.313,二氧化碳分压23.8 mmHg,氧分压68.7 mmHg,标准碳酸氢根11.8 mmol/L,血氧饱和度93.5%,剩余碱-12.28 mmol/L(鼻导管吸氧FiO2 0.33),血乳酸12.6 mmol/l,总胆固醇12.61 mmol/L,甘油三酯23.31 mmol/L。血清钙1.56 mmol/L,凝血功能正常。血常规检查示,白细胞计数(WBC)14.08×109/L,中性粒细胞百分比(NE%)84.4%,红细胞数(RBC)5.73×1012/L,血红蛋白(HGB)194 g/L,红细胞压积(HCT)0.58,血小板数(PLT)410×109/L。肝功能检查示,丙氨酸氨基转移酶(ALT)、天冬氨酸氨基转移酶(AST)、r-谷氨酰转移酶(r-GT)、总胆红素(TBiL)、非结合胆红素(NCBiL)、结合胆红素(CBiL)均正常,总蛋白(TP)143 g/L,白蛋白(Alb)37.5 g/L。肾功能检查示,尿素氮(BUN)7.35 mmol/L,肌酐(Cr)296.8 μmol/L。尿液分析示,蛋白(Pro)3+,葡萄糖4+,酮体弱阳性,糖化血红蛋白9.3%,血淀粉酶2 320 U/L,尿淀粉酶22 073 U/L,脂肪酶382.80 mmol/L。患者入住急诊监护室8 h后胸闷、呼吸困难进行性加重,氧合指数 < 100,紧急行气管插管呼吸机辅助呼吸。
|
| 胰腺弥漫性增大,密度不均匀减低,周围间隙模糊并多发片絮状、索条状渗出影,胆囊不大,囊内未见明显异常密度影。 图 1 患者入院时腹部CT |
|
|
入院诊断:SAP、急性呼吸窘迫综合征、急性肾功能衰竭、腹腔间隔室综合征、糖尿病、糖尿病酮症、高脂血症、高血压3级极高危、脂肪肝。治疗上给予禁食、胃肠减压、灌肠导泻,抑制胃酸、胰酶,扩容补液、抗感染、降脂、抗凝、持续肾脏替代治疗,经皮气管切开术、呼吸机辅助呼吸及气道管理,镇痛镇静、监测膀胱压及控制腹内高压、控制血压和血糖、纠正内环境、营养支持等。经治疗患者顺利脱机拔管、肾功能恢复、腹腔高压好转,并发肺部及腹腔感染相对控制。患者入院第30天复查腹部CT示胰腺假性囊肿形成,囊肿大小155 mm×87 mm,考虑其压迫周围十二指肠致胃流出道梗阻,CT引导下经皮穿刺引流积液,介入手术顺利,无穿刺并发症。
入院第41天,患者首次出现间断便血,呈暗红色稀糊状,每日总量约150~600 mL,伴阵发性上腹痛,无发热、呕血。复查血常规:WBC 4.54×109/L,NE% 78.1%,RBC 2.66 ×1012/L,HGB 80 g/L,PLT 203×109/L,血红蛋白较前明显下降;肾功能检查:BUN 13.18 mmol/L,尿素氮明显升高;肝功能:γ-GT 555 U/L,TBil 21.3 μmol/L,NCBil 10.8 μmol/L,CBil 10.5 μmol/L,γ-GT、胆红素明显升高。凝血功能正常,大便常规提示隐血阳性。复查肝胆脾胰彩超:中度脂肪肝,胆囊增大、胆囊淤胆,胰腺肿大并不均质改变。腹腔动脉CTA示:(1)腹腔动脉未见异常;(2)AP;(3)胆囊结石、胆囊炎。胃镜检查发现十二指肠球部可见少量新鲜血迹,疑似为球部炎症,肠镜检查未见明显异常。给予PPI制剂抑制胃酸,止血并输血补液对症治疗后大便转为黄色,恢复消化道进食。复查肝功能:γ-GT 184 U/L,指标较前明显下降,TBil、NCBil、CBil均恢复正常。
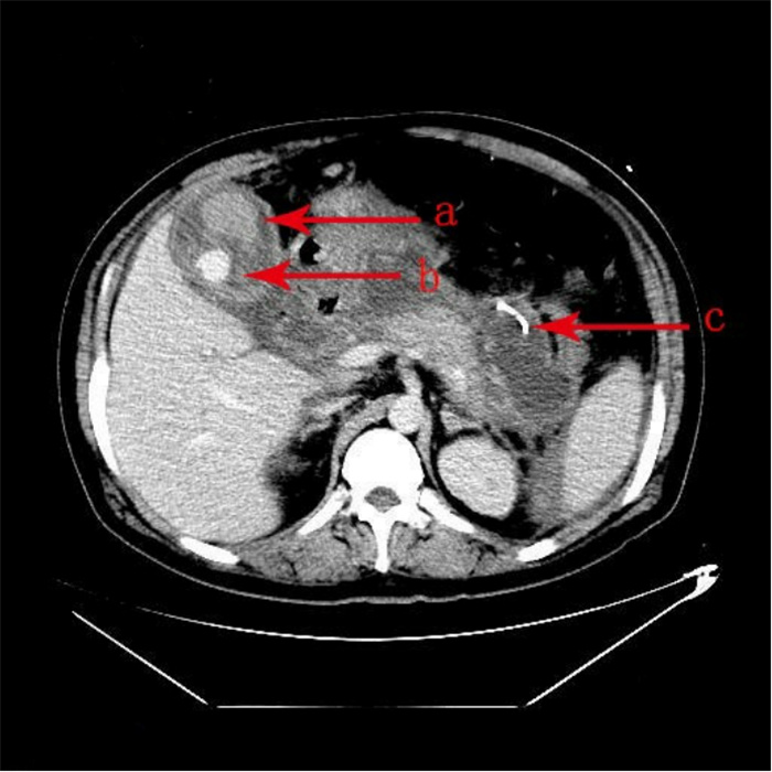
入院第57天,患者再次出现暗红色血便,伴阵发性右上腹痛,无发热、呕血,症状与之前相同。鉴于患者有活动性出血,再次复查胃镜:慢性浅表性胃炎伴糜烂。复查肝功能:γ-GT 844 U/L,TBil 43.6 μmol/L,NCBil 16.6 μmol/L,CBil 27 μmol/L,肝功指标再次回升,γ-GT、CBil明显升高,提示可能出现胆道梗阻。肝胆脾胰腺彩超复查:胆囊肿大、胆囊陈旧性稠厚淤胆(较前无明显变化),胰腺稍大并不均质改变。复查上腹CT:AP复查情况与之前相同,可能有胆囊出血(见图 2)。联合介入放射科行血管造影检查,常规局部麻醉下采用Seldinger技术由右侧股动脉入路,造影发现胆囊动脉分支出血(图 3),超选择胆囊动脉分支用明胶海绵颗粒行栓塞止血(图 4)。同时,行经皮经肝胆囊穿刺置管引流(图 5),病情稳定后带管出院,3月后予以拔除,择期行胆囊切除。
|
| 胆囊内可见高密度影,A:CT值为62 HU;B:CT值102 HU;C:胰腺假性囊肿引流管 图 2 入院第57天复查腹部CT |
|
|
|
| 胆囊动脉增粗,其分支局部造影剂外溢,未见明显动脉瘤征象 图 3 胆囊动脉造影 |
|
|
|
| 栓后造影胆囊动脉主干以远闭塞,造影剂外溢征象消失 图 4 胆囊动脉介入栓塞术后复查造影 |
|
|
|
| 置管置入内端位于胆囊中,位置良好 图 5 经皮经肝胆囊穿刺置管后腹部CT |
|
|
AP可引起一系列血管并发症,内脏动脉假性动脉瘤最常见[3],假性动脉瘤破裂出血可能是致命的,其破裂风险达37%,所涉及的动脉主要包括脾动脉、胃十二指肠动脉、胰十二指肠动脉、胃动脉、肝动脉[4]。
SAP的出血并发症需要快速诊断,但准确定位出血点通常比较困难[5]。SAP患者一旦出现腹痛、消化道出血,临床惯性思维一般首先考虑胰周血管受累出血的可能性,且腹部CTA可发现速度为0.3~0.5 mL/min的出血[6]。故患者发生便血后,紧急进行腹腔动脉CTA检查,但未发现腹腔血管异常,并排除医源性介入损伤出血可能性。胃镜、肠镜检查在诊断消化道出血病因上是必要的[7],但是胃镜肠镜的检查结果难以解释该患者出血的病因。
患者病程41 d、57 d查腹部CT分别提示胆囊结石和胆囊内出血的可能性,这是患者入院腹部CT所没有的特征,检测胆囊内病灶CT值为62~102 HU。多学科会诊中大部分专家意见认为胆囊出血临床极罕见,胆囊内病灶并不考虑出血,仍考虑结石可能性大。因患者首次便血后给予对症治疗后便血症状停止,故没有选择血管造影进一步检查明确病因。
回顾总结该病例,不难发现,患者病程中两次活动性出血有共同点:先间断性右上腹痛,继之便血,伴γ-GT、CBil指标异常升高,以及胆囊内出现疑似结石、出血的影像学改变。胆囊内出血经胆道排出后,在十二指肠处可见少量新鲜血液,故首次胃镜检查时,根据十二指肠球部少量新鲜血迹判断球部炎症存在一定的误诊。另外,特别需要强调的是,少量的出血混合胆汁在影像学检查上表现为疑似新发的胆囊结石,临床不应直接考虑为胆囊淤胆性结石,尤其急性SAP患者出现上诉临床特征时,应当考虑胆囊动脉出血的可能性。直至患者第二次便血后,再次组织多学科会诊联合介入放射科进一步行血管造影,发现并确定胆囊动脉出血,但未见明显动脉瘤征象,行胆囊动脉栓塞后患者出血停止。
胆囊动脉出血是罕见的胰腺炎血管并发症,确切的病理基础尚不清楚,推测其出血的机制主要继发于胰管释放的胰酶侵蚀及炎症刺激损伤血管壁[4]。介入放射科的共同参与在复杂胰腺炎的救治中有着重要作用[8],胆囊动脉出血难以被常规的检查发现,尤其是经常规治疗后患者仍有活动性出血时,选择性血管造影应作为首选方法。血管造影仍然是目前判断有无活动性出血的“金标准”,敏感度可达80%~90%以上[9]。血管造影同时发现异常血管、急性出血病因及部位[10],发现病灶的同时可给予介入治疗,有助于迅速维持血流动力学稳定。
Thillai等[11]报道胆囊动脉出血给予栓塞治疗后会出现胆囊坏疽、继发腹腔感染的情况,本例患者行胆囊动脉栓塞后同时给予胆囊穿刺置管引流及冲洗治疗,未出现其报道的继发感染情况,后择期行胆囊切除术。
综上所述,胆囊动脉出血临床罕见并极易漏诊误诊,临床医师应当加强SAP血管并发症的认识,尽早诊断并积极治疗,改善患者预后。关于预防或者治疗胆囊动脉栓塞后可能出现的并发症,尚需要临床更多的病例进一步观察总结。
利益冲突 所有作者均声明不存在利益冲突
| [1] | Crockett SD, Wani S, Gardner TB, et al. American gastroenterological association institute guideline on initial management of acute pancreatitis[J]. Gastroenterology, 2018, 154(4): 1096-1101. DOI:10.1053/j.gastro.2018.01.032 |
| [2] | 中华医学会急诊分会, 京津冀急诊急救联盟, 北京医学会急诊分会, 等. 急性胰腺炎急诊诊断及治疗专家共识[J]. 中华急诊医学杂志, 2021, 30(2): 161-172. DOI:10.3760/cma.j.issn.1671-0282.2021.02.005 |
| [3] | Mallick B, Malik S, Gupta P, et al. Arterial pseudoaneurysms in acute and chronic pancreatitis: Clinical profile and outcome[J]. JGH Open, 2019, 3(2): 126-132. DOI:10.1002/jgh3.12116 |
| [4] | 朱昌, 朱奕舟, 王颖, 等. 急性胰腺炎血管并发症的诊断和治疗[J]. 临床肝胆病杂志, 2018, 34(6): 1357-1360. DOI:10.3969/j.issn.1001-5256.2018.06.048 |
| [5] | 吴优, 曾彦博, 杜奕奇. 重症急性胰腺炎的出血并发症防治研究进展[J]. 中华胰腺病杂志, 2020, 20(5): 396-400. DOI:10.3760/cma.j.cn115667-20201014-00168 |
| [6] | 中国医师协会急诊医师分会, 中华医学会急诊医学分会, 全军急救医学专业委员会, 等. 急性上消化道出血急诊诊治流程专家共识(2020版)[J]. 中华急诊医学杂志, 2021, 30(1): 15-24. DOI:10.3760/cma.j.issn.1671-0282.2021.01.006 |
| [7] | 李鹏, 王拥军, 吕富靖, 等. 下消化道出血诊治指南(2020)[J]. 中国实用内科杂志, 2020, 40(10): 818-828. DOI:10.19538/j.nk2020100107 |
| [8] | Acton HJ, Mulholland D, Torreggiani WC. Quantification of the impact of interventional radiology in the management of acute pancreatitis[J]. Ir J Med Sci, 2019, 188(4): 1195-1200. DOI:10.1007/s11845-019-01970-4 |
| [9] | 张超, 李昂, 方育, 等. 10例胰腺炎相关出血性胰周假性动脉瘤的诊治[J]. 首都医科大学学报, 2017, 38(6): 827-830. DOI:10.3969/j.issn.1006-7795.2017.06.010 |
| [10] | 姜春晖, 杜奕奇. 亟需重视重症急性胰腺炎中后期并发症防治[J]. 内科急危重症杂志, 2019, 25(1): 5-9. DOI:10.11768/nkjwzzzz20190102 |
| [11] | Thillai M, Sethi P, Narayana Menon R, et al. Cystic artery pseudoaneurysm following acute necrotising pancreatitis[J]. BMJ Case Rep, 2017: bcr2016218891. DOI:10.1136/bcr-2016-218891 |
2021, Vol. 30



