手术、外伤和烧伤后过度炎症反应可导致脓毒症和脓毒性休克,其主要特征是由细菌毒素诱发的强烈全身性炎症反应,最终可导致多脏器损伤,主要累及的脏器包括肺、肾、肝和胃肠道等,与不良预后密切相关[1-3]。近年来,尽管脓毒症基础研究和临床实践取得了长足进步,并发现抑制体内促炎症因子的产生和释放可以显著改善患者体内炎症反应,但却未能很大程度提高患者生存率[4-5]。因此,深入探讨脓毒症患者的病理生理机制及其导致体内炎症反应的靶向治疗,对降低脓毒症患者的病死率起到至关重要的作用。本研究拟通过构建脓毒症小鼠模型,研究短期富含脂质的肠内营养干预对小鼠体内炎症反应的影响,为脓毒症危重症患者的治疗提供新的参考依据。
1 材料与方法 1.1 实验动物与分组80只SPF级雄性BALB/c小鼠(购自浙江大学实验动物中心),8~10周龄,体质量(20±2)g,饲养于宁波大学医学院实验动物中心[SYKX(浙)2013-0191],温度(22±2)℃,湿度30%~70%。实验前所有小鼠均未经任何药物处理,可以自由进食和饮水。按照随机数字表法随机分为4组(每组10只),即假手术组(Sham),脓毒症组(cecal ligation and puncture,CLP),低脂肠内营养组(lipid low,LL)和高脂肠内营养组(lipid rich,LR)。所有实验过程严格按照国际实验动物标准进行,并获得宁波大学医学院实验动物伦理委员会批准。
1.2 动物模型制备根据笔者以往经验,采用CLP法构建脓毒症小鼠模型[6]。具体方案:使用氯胺酮(100 mg/kg)和甲苯噻嗪(13 mg/kg)肌肉注射法麻醉小鼠,中线剖腹后暴露盲肠,将其远端结扎,使用27号针头刺穿近端盲肠,并挤出少量盲肠内容物;然后将盲肠重新回纳腹腔,并用两层闭合切口。除结扎和盲肠穿刺外,对Sham组小鼠进行同上相同处理。通过腹膜内注射无菌盐水(1 mL)复苏所有小鼠液体。CLP之后,将动物放回笼中继续饲养。CLP术后24 h处死小鼠(颈脱位法),留取血液、肺、肾和肝组织样本,保存于-80 ℃冰箱中用于后续实验。
1.3 营养干预方案根据相关文献进行[7],Sham组和CLP组小鼠在手术前18 h至术后3 h被禁食。LL组小鼠在手术前18 h、2 h、45 min和术后3 h均给予0.2 mL控制性低脂质肠内营养液;LR组小鼠在手术前18 h、2 h、45 min和术后3 h均给予0.2 mL富含脂质肠内营养液。所有肠内营养液均由实验人员于实验前配制,并于(40±2)℃储存,术后3 h所有小鼠均恢复标准饮食和饮水。低脂质肠内营养液包含16.0%脂肪、8.7%蛋白质和75.3%碳水化合物;富含脂质肠内营养液包含50.4%脂肪、8.7%蛋白质和40.9%碳水化合物。脂质来源于卵磷脂,其中ω-3和ω-6脂肪酸含量少于5%;蛋白质来源于瘦奶粉,含80%酪蛋白和20%乳清蛋白;碳水化合物来源于蔗糖和麦芽糖糊精混合物。
1.4 主要试剂氯胺酮和甲苯噻嗪均购自美国eBioscience公司,卵磷脂购自美国Sigma公司,瘦奶粉和麦芽糖糊精购自上海康朗生物科技有限公司,酶联免疫吸附(ELISA)试剂盒购自美国Sigma公司,组织裂解液购自上海生工生物工程有限公司。
1.5 生存情况观察观察4组小鼠7 d内生存情况,并绘制生存曲线。
1.6 组织病理学观察另取40只小鼠,按照随机数字表法随机分4组(分组同上,每组10只)。CLP术后24 h,采用颈脱位法处死小鼠。取小鼠肺、肾和肝组织,4%多聚甲醛固定,常规处理组织,包埋后切片,苏木精-伊红(HE)染色,使用光镜观察小鼠肺、肾和肝组织病理学变化。
1.7 细胞因子分析取小鼠血浆,以及肺、肾和肝组织,液氮中速冻,裂解后离心,将上清液保存在-20℃直至分析。采用标准酶联免疫吸附法(ELISA)测定小鼠血浆和组织中TNF-α、IL-1β和IL-6表达水平,以及血浆IL-10水平。
1.8 统计学方法采用SPSS 16.0软件进行统计学分析,所有计量资料以均数±标准差(Mean±SD)表示,并通过Prism 5.02软件制作图谱。使用Kaplan-Meier和对数秩检验进行组间的生存分析。多组间差异的比较采用单因素方差分析,组间两两比较使用LSD-t检验。以P < 0.05为差异有统计学意义。
2 结果 2.1 各组小鼠生存情况分析采用CLP诱发脓毒症后24 h内,所有小鼠均表现出严重感染迹象,包括冷漠、发抖和食物摄入减少等。Sham组小鼠术后7 d的生存情况为100%,而CLP组仅为20%,小鼠死亡时间主要集中于术后3 d内。与Sham组相比,CLP组小鼠的生存率明显降低(P < 0.01)。LL组小鼠术后7 d生存情况为60%,LR组小鼠为80%。与CLP组相比,虽然LL组小鼠生存率有所升高,但差异无统计学意义(P=0.074),此结果可能与各组小鼠数量较少有关;然而LR组小鼠生存情况明显升高,差异有统计学意义(P=0.005),见图 1。
|
| 与Sham组相比,aP < 0.01;与CLP组相比,bP < 0.01;n=10 图 1 富含脂质肠内营养对脓毒症小鼠生存情况影响 |
|
|
如表 1所示,与Sham相比,CLP组小鼠术后24 h血浆促炎症因子TNF-α、IL-1β和IL-6水平均显著升高(P < 0.01),而抗炎症因子IL-10表达显著降低(P < 0.01)。与CLP组相比,LL组和LR组小鼠血浆TNF-α、IL-1β和IL-6水平均有显著降低(P < 0.01),而IL-10表达显著升高(P < 0.01);同时与LL组相比,LR组小鼠血浆TNF-α、IL-1β和IL-6表达均明显降低(P < 0.01),IL-10水平显著升高(P < 0.01),差异有统计学意义。
| 组别 | TNF-α | IL-1β | IL-6 | IL-10 |
| Sham组 | 16.75±2.30 | 14.56±2.06 | 24.44±2.52 | 36.55±2.22 |
| CLP组 | 42.72±4.20a | 41.75±2.21a | 63.99±2.58a | 11.49±1.71a |
| LL组 | 33.38±2.07b | 35.14±2.43b | 50.75±4.03b | 18.49±1.17b |
| LR组 | 23.19±3.49bc | 26.42±2.63bc | 35.76±2.83bc | 25.19±3.10bc |
| F值 | 132.14 | 252.31 | 320.72 | 222.37 |
| P值 | < 0.01 | < 0.01 | < 0.01 | < 0.01 |
| 注:Sham组为假手术组,CLP组为脓毒症组,LL组为低脂肠内营养组,LR组为高脂肠内营养组;与Sham组相比,aP < 0.01;与CLP组相比,bP < 0.01;与LL组相比,cP < 0.01 | ||||
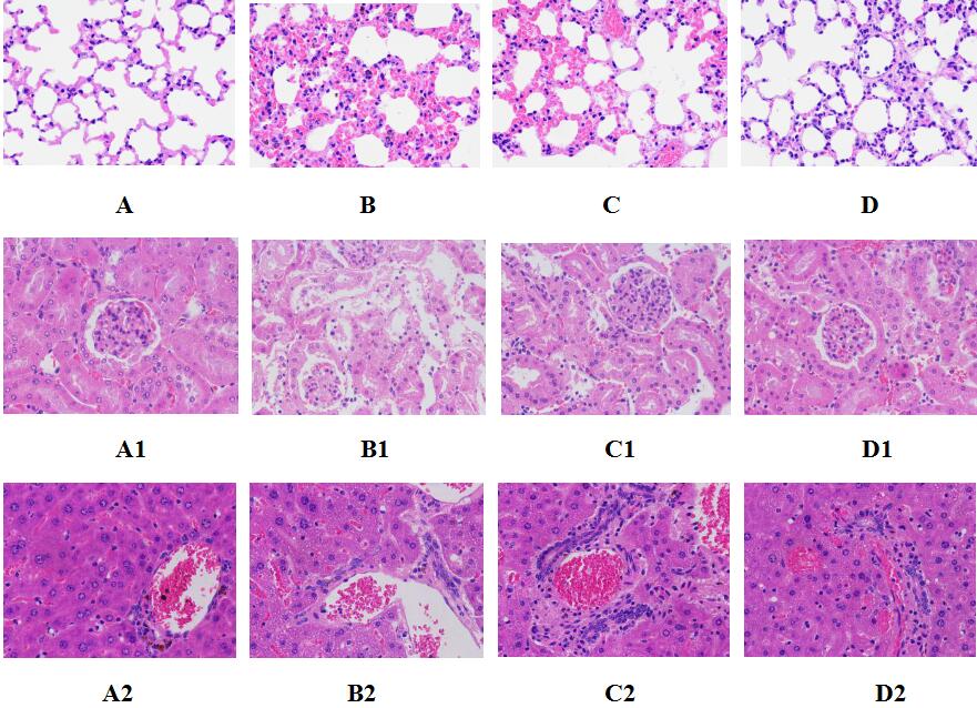
如图 2所示,Sham组小鼠肺、肾和肝脏组织结构清晰完整,细胞无水肿,间质无炎症细胞。CLP组小鼠肺组织破坏严重,肺泡出血明显,泡膜增厚,间质大量炎症细胞浸润;肾小球完全破裂,大量肾小管上皮细胞脱落,间质充满炎症细胞;肝脏细胞显著水肿,组织细胞血供减少,胆管上皮细胞脱落,间质炎症细胞浸润。LL组小鼠肺组织相对完整,肺泡腔仅少量出血,间质轻度水肿,少量炎症细胞浸润;肾小球包膜完整,肾小管上皮细胞轻度脱落,间质少量炎症细胞;肝脏细胞轻度水肿,组织血供增加,间质少量炎症细胞。LR组肺、肾和肝组织结构完整,均无显著损伤。
|
| A、A1、A2:对照组肺、肾和肝组织结构完整,无炎症细胞浸润;B、B1、B2:CLP组肺泡腔大量出血,肺组织结构破坏,肺间质水肿,充满炎症细胞;肾小球破裂,肾小管上皮细胞脱落,间质大量炎症细胞;肝脏细胞水肿,组织血供减少,炎症细胞浸润;C、C1、C2:LL组肺泡腔少量出血,肺间质轻度水肿,少量炎症细胞浸润;肾小球包膜完整,肾小管上皮细胞轻度脱落,间质少量炎症细胞;肝脏细胞轻度水肿,组织血供增加,间质少量炎症细胞;D、D1、D2:LR组肺、肾和肝组织结构完整,均无显著损伤;CLP组为脓毒症组,LL组为低脂肠内营养组,LR组为高脂肠内营养组 图 2 各组小鼠肺、肝和肾组织病理学改变(HE× 400) |
|
|
如表 2所示,与Sham组相比,术后24 h,CLP组小鼠肺、肾和肝组织中TNF-α、IL-1β和IL-6表达均显著升高(P < 0.01);与CLP组相比,LL组和LR组小鼠肺、肾和肝组织中TNF-α、IL-1β和IL-6表达水平均显著下降(P < 0.01);同时与LL组相比,LR组小鼠肺、肾和肝组织中TNF-α、IL-1β和IL-6表达均明显下降,且差异有统计学意义(P < 0.01)。
| 组别 | 肺 | 肾 | 肝 | ||||||||
| TNF-α | IL-1β | IL-6 | TNF-α | IL-1β | IL-6 | TNF-α | IL-1β | IL-6 | |||
| Sham组 | 12.95±1.42 | 14.47±1.47 | 14.14±1.99 | 14.23±1.39 | 12.97±1.49 | 13.24±2.13 | 12.10±1.81 | 10.07±1.59 | 13.74±1.41 | ||
| CLP组 | 35.72±3.94a | 40.55±4.87a | 48.79±5.73a | 33.62±2.04a | 40.15±6.09a | 44.09±3.01a | 32.52±1.66a | 24.84±2.96a | 49.19±4.62a | ||
| LL组 | 23.38±2.07b | 32.97±2.63b | 35.35±2.71b | 23.08±1.67b | 31.57±1.74b | 33.55±1.91b | 22.38±1.19b | 22.97±2.63b | 34.05±2.34b | ||
| LR组 | 17.99±4.29bc | 23.92±2.41bc | 21.76±4.77bc | 17.98±4.91bc | 23.12±2.26bc | 21.46±3.06bc | 15.05±2.91bc | 14.62±2.41bc | 23.06±4.56bc | ||
| F值 | 95.21 | 132.13 | 139.90 | 84.56 | 114.00 | 275.42 | 208.30 | 197.73 | 187.22 | ||
| P值 | < 0.01 | < 0.01 | < 0.01 | < 0.01 | < 0.01 | < 0.01 | < 0.01 | < 0.01 | < 0.01 | ||
| 注:Sham组为假手术组,CLP组为脓毒症组,LL组为低脂肠内营养组,LR组为高脂肠内营养组;与Sham组相比,aP < 0.01;与CLP组相比,bP < 0.01;与LL组相比,cP < 0.01 | |||||||||||
在危重患者中,尽早提供肠内营养支持被认为是一种积极的治疗策略,可以降低疾病严重程度,减少并发症并缩短ICU住院时间[8]。近年来,相关研究提倡补充使用ω-3不饱和脂肪酸,其可以通过直接抑制核因子-κB介导的促炎信号传导和通过改变多种脂质介体的模式而发挥免疫调节作用[9]。含有少于5% ω-3不饱和脂肪酸的富含脂质肠内营养干预被证明可通过激活周围自主神经系统胆囊收缩素来减轻啮齿动物的炎症反应并保持脏器完整性[10]。而在脓毒症患者中也报道了肠内营养的抗炎作用[11]。本研究为了明确富含脂质肠内营养支持对脓毒症小鼠体内炎症反应的影响,通过构建脓毒症小鼠模型,首先探讨富含脂质肠内营养支持对脓毒症小鼠生存情况的影响,发现给予短期富含脂质肠内营养支持(LR组)小鼠的死亡率明显降低,这一结果证实短期富含脂质肠内营养支持可以明显提高脓毒症小鼠的生存率。
免疫抑制是脓毒症等危重症患者普遍存在的现象,其可导致无法控制的严重感染并使患者脏器功能不全的发生率明显升高,特别是脓毒症导致的继发性难治性肺炎、急性肾损伤和急性肝功能不全[12-13]。尽管有最佳的抗生素和支持治疗,但脓毒症诱导继发感染导致的病死率仍居高不下。脓毒症期间,宿主无法充分响应严重感染而产生过量的细胞炎症因子,包括促炎因子TNF-α、IL-1β、IL-6和抗炎因子IL-10等,细胞因子大量释放刺激机体巨噬细胞和嗜中性粒细胞等吞噬细胞,从而有效消除入侵的微生物[14-16]。一般认为,脓毒症早期过度炎症因子释放是体内包括IL-6和IL-10在内的促炎和抗炎介质相互对抗和平衡。因此,急性炎症反应的调节是预防与免疫抑制有关的并发症(如继发感染)的潜在手段[17]。
研究发现,减轻急性炎症反应的有效策略是短期给予富含脂质的营养[18]。富含脂质的肠内营养通过激活传入迷走神经纤维上的胆囊收缩素受体来刺激自主神经系统,同时副交感神经外流通过胆碱能神经递质与炎症细胞上的烟碱型乙酰胆碱受体结合来抑制细胞因子释放并减少器官损伤[19]。此外,富含脂质的肠内营养可激活抗炎反射,在各种急性炎症实验模型中保持器官完整性并促进胃肠蠕动[20]。本研究为了明确富含脂质肠内营养支持对脓毒症小鼠体内炎症因子表达的调控作用,采用ELISA法检测小鼠血浆炎症因子表达。结果发现,与CLP组相比,LL组和LR组小鼠血浆TNF-α、IL-1β和IL-6表达均显著降低,IL-10表达明显升高,表明两种肠内营养制剂均能减轻全身性炎症;进一步与LL组相比,LR组小鼠TNF-α、IL-1β和IL-6降低更为显著,IL-10升高也更为明显,并且差异有统计学意义。本研究结果证实短期富含脂质的肠内营养支持比低脂营养更有效地减少全身炎症,从而对脓毒症小鼠保护更加显著。
此外,为了进一步探讨富含脂质的肠内营养对脓毒症小鼠脏器特异性炎症的调控作用,本研究取小鼠的肺、肾和肝组织进行病理学研究。结果发现,与CLP组小鼠相比,LL组和LR组小鼠肺、肾和肝组织病理学损伤均有所减少,并且组织内促炎因子TNF-α、IL-1β和IL-6表达均显著降低,表明两种肠内营养制剂均能对小鼠肺、肾和肝组织损伤起到保护作用。进一步研究发现LR对小鼠肺、肾和肝组织保护作用更加显著,表明富含脂质的营养比低脂营养更有效,对脏器损伤的保护作用更加显著。
综上所述,急性炎症反应的调节是预防与脓毒症严重感染的潜在手段。富含脂质的肠内营养支持可显著抑制体内高炎症反应状态,保持脏器完整性并改善其预后。
利益冲突 所有作者均声明不存在利益冲突
| [1] | Hotchkiss RS, Karl IE. The pathophysiology and treatment of sepsis[J]. N Engl J Med, 2003, 348(2): 138-150. DOI:10.1056/NEJMra021333 |
| [2] | Chambers KA, Park AY, Banuelos RC, et al. Outcomes of severe sepsis and septic shock patients after stratification by initial lactate value[J]. World J Emerg Med, 2018, 9(2): 113-117. DOI:10.5847/wjem.j.1920-8642.2018.02.005 |
| [3] | Marik PE, Zaloga GP. Immunonutrition in critically ill patients: a systematic review and analysis of the literature[J]. Intensive Care Med, 2008, 34(11): 1980-1990. DOI:10.1007/s00134-008-1213-6 |
| [4] | 靳贝贝, 龚平. CD4+T淋巴细胞亚群与脓毒症免疫应答的研究进展[J]. 中华急诊医学杂志, 2019, 28(9): 1174-1178. DOI:10.3760/cma.j.issn.1671-0282.2019.09.028 |
| [5] | 吴淡森, 石松菁, 张瑞, 等. 脓毒症并多器官功能不全综合征患者的新型抑制性细胞因子IL-35表达及其临床意义[J]. 中华急诊医学杂志, 2019, 28(2): 175-180. DOI:10.3760/cma.j.issn.1671-0282.2019.02.009 |
| [6] | Fan H, Zhao Y, Zhu JH. S-nitrosoglutathione protects lipopolysaccharide-induced acute kidney injury by inhibiting toll-like receptor 4-nuclear factor-κ B signal pathway[J]. J Pharm Pharmacol, 2019, 71(8): 1255-1261. DOI:10.1111/jphp.13103 |
| [7] | de Haan JJ, Pastille E, Wirsdörfer F, et al. Lipid-rich enteral nutrition improves the defense against an opportunistic infection during polymicrobial sepsis[J]. Shock, 2014, 41(2): 109-114. DOI:10.1097/shk.0000000000000062 |
| [8] | Lubbers T, de Haan JJ, Luyer MD, et al. Cholecystokinin/ cholecystokinin-1 receptor-mediated peripheral activation of the afferent vagus by enteral nutrients attenuates inflammation in rats[J]. Ann Surg, 2010, 252(2): 376-382. DOI:10.1097/sla.0b013e3181dae411 |
| [9] | Lubbers T, Kox M, de Haan JJ, et al. Continuous administration of enteral lipid- and protein-rich nutrition limits inflammation in a human endotoxemia model[J]. Crit Care Med, 2013, 41(5): 1258-1265. DOI:10.1097/ccm.0b013e31827c0a17 |
| [10] | Fujitani S, Sun HY, Yu VL, et al. Pneumonia due to Pseudomonas aeruginosa: part I: epidemiology, clinical diagnosis, and source[J]. Chest, 2011, 139(4): 909-919. DOI:10.1378/chest.10-0166 |
| [11] | Pastille E, Didovic S, Brauckmann D, et al. Modulation of dendritic cell differentiation in the bone marrow mediates sustained immunosuppression after polymicrobial sepsis[J]. J Immunol, 2011, 186(2): 977-986. DOI:10.4049/jimmunol.1001147 |
| [12] | Lubbers T, De Haan JJ, Hadfoune M, et al. Lipid-enriched enteral nutrition controls the inflammatory response in murine Gramnegative sepsis[J]. Crit Care Med, 2010, 38(10): 1996-2002. DOI:10.1097/CCM.0b013e3181eb90d7 |
| [13] | Fan H, Zhao Y, Sun M, et al. Urinary neutrophil gelatinase-associated lipocalin, kidney injury molecule-1, N-acetyl-β -D-glucosaminidase levels and mortality risk in septic patients with acute kidney injury[J]. Arch Med Sci, 2018, 14(6): 1381-1386. DOI:10.5114/aoms.2018.79006 |
| [14] | Tian T, Zhao Y, Huang Q, et al. N-3 polyunsaturated fatty acids improve inflammation via inhibiting sphingosine kinase 1 in a rat model of parenteral nutrition and CLP-induced sepsis[J]. Lipids, 2016, 51(3): 271-278. DOI:10.1007/s11745-016-4129-x |
| [15] | 卫威, 余治高, 宋振举. Gpr174对脓毒症肠道菌群和代谢的影响[J]. 中华急诊医学杂志, 2021, 30(4): 443-448. DOI:10.3760/cma.j.issn.1671-0282.2021.04.012 |
| [16] | Yin J, Chen Y, Huang JL, et al. Prognosis-related classification and dynamic monitoring of immune status in patients with sepsis: A prospective observational study[J]. World J Emerg Med, 2021, 12(3): 185-191. DOI:10.5847/wjem.j.1920-8642.2021.03.004 |
| [17] | Li X, Zhang X, Yang E, et al. Fish oil-supplemented parenteral nutrition could alleviate acute lung injury, modulate immunity, and reduce inflammation in rats with abdominal sepsis[J]. Nutr Res, 2015, 35(9): 784-791. DOI:10.1016/j.nutres.2015.06.008 |
| [18] | Wendel M, Paul R, Heller AR. Lipoproteins in inflammation and sepsis. Ⅱ. Clinical aspects[J]. Intensive Care Med, 2007, 33(1): 25-35. DOI:10.1007/s00134-006-0433-x |
| [19] | Lubbers T, Luyer MD, de Haan JJ, et al. Lipid-rich enteral nutrition reduces postoperative ileus in rats via activation of cholecystokinin-receptors[J]. Ann Surg, 2009, 249(3): 481-487. DOI:10.1097/sla.0b013e318194d187 |
| [20] | de Haan JJ, Hadfoune M, Lubbers T, et al. Lipid-rich enteral nutrition regulates mucosal mast cell activation via the vagal anti-inflammatory reflex[J]. Am J Physiol Gastrointest Liver Physiol, 2013, 305(5): G383-G391. DOI:10.1152/ajpgi.00333.2012 |
2021, Vol. 30



