2. 西安医学院第二附属医院肝胆外科 710038;
3. 南京中医药大学中医学院·中西医结合学院 210023;
4. 辽宁中医药大学中医药创新工程技术中心, 沈阳 110847
2. Department of Hepatobiliary Surgery, The Second Affiliated Hospital of Xi'an Medical College, Xi'an 710038, China;
3. School of Traditional Chinese Medicine and School of Integrated Chinese and Western Medicine, Nanjing University of Chinese Medicine, Nanjing 210023, China;
4. Innovation Engineering and Technology Center of Traditional Chinese Medicine, Liaoning University of Traditional Chinese Medicine, Shenyang 110847, China
重症急性胰腺炎(Severe acute pancreatitis, SAP)是最危急的急腹症之一,常因并发成人呼吸窘迫综合征、腹腔室间隔等或多器官功能障碍而危及生命[1-2]。目前认为SAP后肠道功能障碍所致菌群失调,致病菌及其内毒素入血所致的肠源性感染是导致其并发症发生的主要原因[3-4]。肠道功能障碍在临床上可表现为腹胀,且腹胀程度与SAP病情严重度往往呈正相关[5-6]。
肠道动力受神经、胃肠激素及起搏细胞ICC共同调控,其中,ICC的作用占主导地位,其在小肠分布于十二指肠至回肠末端的黏膜下肌层,能够产生慢波并传递给平滑肌[7-8]。ICC受肠神经系统及胃肠激素的调控。已知ICC细胞膜上表达多种神经递质受体和胃肠激素受体,其中,胃动素受体不仅在多种实验动物及人的肠道ICC上被发现,在肠道平滑肌、神经细胞上也有广泛分布[9-11]。胃动素周期性分泌和肠道移行性复合运动(migrating motor complex, MMC)节律相一致,主要表现在对MMCⅢ的调控作用。胃动素通过对神经、ICC及平滑肌的综合调控,参与节律性的肠蠕动。目前对SAP合并肠道动力障碍的机制已有相关研究,与肠道神经系统、胃肠激素、ICC等多种因素相关[12-14]。
大黄附子汤是一种传统中药,在临床上常用于急性胰腺炎、肠梗阻等急腹症的辅助治疗。既往研究证实,大黄附子汤治疗对减轻SAP大鼠全身炎症反应、急性肺损伤及肠屏障破坏的程度有效[15-18]。临床应用大黄附子汤亦能有效缓解SAP患者腹胀、腹痛等肠道动力障碍症状[19],从而缓解病情,但其作用机制仍不十分清楚。
因此,本实验从回肠结构、Cajal间质细胞和血清胃动素及其受体的角度出发,探讨大黄附子汤治疗SAP致肠道动力障碍的可能机制,进而为中药治疗SAP提供一定的理论基础。
1 材料与方法 1.1 实验动物及分组健康清洁级雄性Sprague-Dawley大鼠(购自大连医科大学动物实验中心)18只,体质量250~280 g,实验前适应性喂养1周,不限制饮食及饮水,实验室温度控制(23±1)℃,湿度(50±5)%,光照系统控制12 h/d,实验流程符合实验动物保护和使用指南并且得到大连大学附属中山医院动物科研伦理委员会批准。动物按随机数字法分为对照组、SAP组及大黄附子汤治疗组,每组6只。
1.2 主要试剂配制大黄附子汤(由大连大学附属中山医院药剂科提供): 每剂含大黄9 g,附子9 g,和细辛3 g,煎制成汤剂,100℃水浴消毒后于4℃冰箱保存,使用前加热至37℃。
1.3 动物模型制备及取材术前禁食12 h、禁水4 h,应用异氟烷气体吸入诱导麻醉(浓度5%)成功后改鼻罩维持吸入麻醉(浓度2%)。术区备皮、消毒,取腹正中切口,逐层切开致腹腔,显露胰腺及胰胆管,轻柔分离胰腺周围组织游离胰胆管,沿胰胆管走行寻找十二指肠乳头开口,暂时阻断胰胆管肝门端,1 mL注射器逆行缓慢注入4%牛磺胆酸钠(1 mL/kg),肉眼见胰腺组织呈棕黑色,证明注射成功,棉球止血,确认无出血点后关腹。对照组开腹后暴露胰腺组织仅轻柔翻动数次后关腹。术后允许各组大鼠自由饮食、饮水。SAP组大鼠于术后12、24 h使用生理盐水2 mL灌肠; 治疗组则分别使用大黄附子汤2 mL灌肠。术后48 h再次麻醉大鼠取材,抽取腹主动脉血4 mL,其中2 mL用于血清淀粉酶及内毒素测定,其余血标本离心5 min (3 000 r/min) 后取上清液,- 80℃冰箱内保存用于血浆胃动素水平检测。取血后依次使用磷酸盐缓冲液和4 %多聚甲醛溶液灌流,灌流后取回肠、胰腺组织于4%甲醛中固定,用于病理、免疫组织化学检测。
1.4 血清内毒素、淀粉酶含量测定取1 mL腹主动脉血,离心5 min(3 000 r/min),取上清液100 μL加入处理液(革兰阴性菌脂多糖检测试剂盒,北京金山川科技发展有限公司,中国)混匀,70℃恒温仪加热15 min,冷却区冷却至室温,取混合液250 μL与反应试剂(革兰阴性菌脂多糖检测试剂盒,北京金山川科技发展有限公司,中国)混合并摇匀,应用MB-80微生物快速动态监测系统(北京金山川科技发展有限公司,中国)检测内毒素; 另取1 mL腹主动脉血,送至大连大学附属中山医院医学检验中心,使用全自动生化分析仪(西门子公司,德国)检测淀粉酶值。
1.5 大鼠胰腺、回肠组织HE染色将组织从甲醛固定液中取出,石蜡包埋,以5 μm连续切片,将切片于60℃烤箱内烘烤过夜后,二甲苯脱蜡2次各10 min,再依次浸泡无水乙醇、95%、75%、50%乙醇各5 min,蒸馏水浸泡3min; 苏木精染色5 min,蒸馏水冲洗1 min; 盐酸酒精分化3~5 s,小流量自来水冲洗返蓝; 伊红溶液染色3 min; 小流量自来水冲洗1 min; 常规脱水,透明,封片,待树胶完全凝固后,显微镜下进行HE染色组织观察。
1.6 ELISA测定大鼠血浆胃动素含量将待测上清液标本从- 80℃冰箱中取出,室温放置2 h,按所购ELISA试剂盒(武汉伊莱瑞特生物科技股份有限公司,中国)说明书进行检测。
1.7 C-kit及胃动素受体免疫组织化学及评分免疫组织化学方法按所购抗体试剂盒(中杉金桥技术有限公司,中国)说明书进行。免疫组织化学评分在400×显微视野下进行,评分标准: 按照阳性细胞百分数比分: ①无细胞染色为0分; ②1%~10%的细胞染色为1分; ③11%~50%的细胞染色为2分; ④51%~80%的细胞染色为3分; ⑤81%~100%的细胞染色为4分。按照阳性细胞染色强度分级: ①阴性0分; ②弱阳性1分; ③中等阳性2分; ④强阳性3分。符合要求的阳性细胞染色强度评分和阳性细胞百分数比评分相乘,0~1分表示阴性,1~4分表示弱阳性,5~8分表示中度阳性,9~12分表示强阳性免疫反应。
1.8 统计学方法运用SPSS 22.0软件进行统计处理。计量资料均数±标准差(Mean±SD)表示,组间比较用单因素方差分析,两两比较用最小有意义差别法(LSD法)。以P < 0.05为差异有统计学意义。
2 结果 2.1 术后一般情况观察术后SAP组大鼠无自主进食,腹围明显增大,排便明显减少,呼吸急促,术后48 h开腹可见腹腔内大量血性腹水,部分肠管扩张明显,血运差,肠蠕动消失,见图 1。治疗组大鼠可间断少量进食,腹围无明显增大,排便基本正常,呼吸无急促,开腹可见腹腔内少量棕黄色澄清腹水,肠管无明显扩张,血运良好,肠蠕动稍减弱,见图 1。
|
| 图 1 术后48 h大体组织观察 Fig 1 Gross histological observation at 48 h post-operation |
|
|
与对照组比,SAP组和治疗组内毒素含量显著升高(P < 0.05);与SAP组比较,治疗组内毒素含量明显下降(P < 0.05)(见表 1)。
| 组别 | 内毒素含量 |
| 对照组 | 17.76±5.01 |
| SAP组 | 504.98±88.81a |
| 治疗组 | 189.9±38.23b |
| 注: SAP组与对照组相比,aP<0.05;治疗组与SAP组相比,bP<0.05 | |
与对照组比较,SAP组和治疗组血清淀粉酶含量显著升高(P < 0.05);与SAP组比较,治疗组血清淀粉酶含量明显下降(P < 0.05)(见表 2)。
| 组别 | 淀粉酶含量 |
| 对照组 | 69.45±3.61 |
| SAP组 | 532.28±66.53a |
| 治疗组 | 294.23±25.66b |
| 注: SAP组与对照组相比,aP<0.05;治疗组与SAP组相比,bP<0.05 | |
回肠: 对照组回肠组织结构完整; SAP组回肠绒毛出现倒伏及间隔稍稀疏,绒毛尖端毛细血管轻微淤血,上皮下间隙增宽,回肠组织水肿及炎性渗出; 治疗组回肠绒毛大致排列整齐,组织结构较完整,上皮下间隙正常,与固有层连接紧密,未见明显水肿,少量炎性渗出,见图 2。
|
| 图 2 大鼠回肠及胰腺组织HE染色(×200) Fig 2 Histological observation of ileum and pancreas tissues with HE staining (original magnification ×200) |
|
|
胰腺: 对照组胰腺组织结构完整,腺体及血管形态正常; SAP组胰腺组织内大片水肿坏死,腺体结构消失,血管结构破坏,数量减少; 治疗组腺体轻微水肿,坏死面积缩小,可见新生毛细血管,见图 2。
2.5 血清胃动素含量与对照组比较,SAP组和治疗组血清胃动素含量显著降低(P < 0.05);与SAP组比较, 治疗组血清胃动素含量明显升高(P < 0.05)(见表 3)。
| 组别 | 胃动素含量 |
| 对照组 | 301±8.10 |
| SAP组 | 195.4±6.7a |
| 治疗组 | 264.2±8.3b |
| 注: SAP组与对照组相比,aP<0.05;治疗组与SAP组相比,bP<0.05 | |
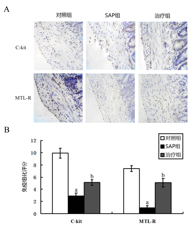
回肠组织中,C-kit免疫反应阳性染色呈棕黄色,免疫组织化学评分结果显示: 对照组呈强阳性表达,SAP组呈弱阳性表达,而治疗组呈中度阳性表达,差异有统计学意义(P < 0.05);在回肠组织平滑肌及ICC膜上,MTL-R免疫反应染色呈棕黄色为阳性染色,免疫组织化学评分结果显示: 对照组呈中度阳性表达,SAP组呈阴性表达,治疗组呈弱阳性表达,差异有统计学意义(P < 0.05),见图 3A,3B。
|
| A: 各组C-kit及MTL-R免疫组织化学染色结果; B: 各组C-kit及MTL-R免疫组织化学评分; SAP组与对照组相比,aP<0.05;治疗组与SAP组相比,bP<0.05 图 3 大鼠肠道C-kit、MTL-R免疫组织化学染色及评分(×400) Fig 3 Immunohistochemical staining and score for C-kit and MTL-R in each group (original magnification×400) |
|
|
SAP早期即可出现严重肠道动力障碍,据统计SAP合并肠道动力障碍发病率约78%[20-21],肠道动力障碍导致排泄功能降低,增加肠道致病菌及其内毒素入侵机率,引起一系列严重并发症。本实验中,SAP组大鼠合并肠道动力障碍,伴血清内毒素水平显著增高,与上述观点符合。既往文献报道,肠源性内毒素血症在SAP的发生、发展过程中起到至关重要的作用,可引发全身炎症反应综合征甚至多器官功能不全而危及患者生命[22-23]。因此,在SAP治疗过程中,肠道动力的恢复受到广泛重视。临床上,SAP所致的肠道动力障碍使用常用促胃肠动力药物如西沙比利、莫沙必利等疗效不佳,而以大黄附子汤为代表的传统中药显现出一定的疗效和优越性,但长期以来,其具体的作用机制都未被阐明。
既往研究报告SAP合并肠道动力障碍与胃肠激素水平降低有关[24],本研究也验证了SAP的确导致血清胃动素水平以及回肠胃动素受体数量的降低。而经大黄附子汤治疗之后,血清胃动素水平及回肠胃动素受体数量均明显回升。胃动素主要分布于小肠黏膜隐窝及绒毛中,可通过与神经、ICC及平滑肌上胃动素受体结合参与调控肠道动力[9-11]。肠道Mo细胞周期性分泌胃动素与其受体结合,引起肠道MMC运动,研究发现MMC运动的周期性变化和血清胃动素水平的周期性分泌呈正相关,MMCⅢ期剧烈肠道平滑肌收缩时胃动素水平呈分泌高峰,相反MMCⅠ期,胃动素水平呈低分泌[25]。胃动素所诱发的肠道运动能够促进肠道内容物、细菌、毒素的排出,具有肠道“清道夫”的作用; 同时,胃动素还能增加MMCⅢ期肠道微循环血供,保证了平滑肌剧烈运动的“能源供应”及乳酸的及时释放,避免肠道缺血及乳酸堆积[26]。因此,大黄附子汤可能通过提高胃动素分泌及其受体表达,增加胃动素对ICC的正向调节作用,促进肠道动力的恢复,从而降低血清内毒素水平。
影响肠道动力的另一重要因素ICC在胃肠道肌层中广泛分布,能够产生慢波并传递给平滑肌。ICC受肠神经系统及胃肠激素的调控。ICC胞质向周围发出突起,与神经末梢及周围平滑肌细胞之间分别通过突触样及缝隙连接,形成三维立体网络结构,有利于三者之间的信息交流。ICC具有肠道“窦房结”作用,接受兴奋性信号后产生动作电位,并通过网络结构将动作电位传递至肠道平滑肌,平滑肌节律收缩产生正常肠蠕动,并控制肠道运动节律、方向[27]。ICC的分布、功能、形态及数量变化可导致肠道动力障碍[28-29]。在本研究中,SAP大鼠的回肠ICC表达蛋白c-kit数量减少,而经大黄附子汤治疗之后其数量可明显回升。因此,笔者推测大黄附子汤亦通过提高ICC自身表达而促进SAP大鼠的肠道动力恢复。
综上所述,笔者推测大黄附子汤通过提高胃动素水平及胃动素受体表达,增加ICC活性,恢复神经和胃动素对ICC的调控及慢波的产生,从而有效促进SAP大鼠肠道动力的恢复,降低肠道致病菌及内毒素的移位。中药治疗SAP所致肠道动力障碍疗效确切,但其具体如何改善神经-ICC-平滑肌网络的机制仍需要更深入的研究。
利益冲突 所有作者均声明不存在利益冲突
| [1] | 吴自谦, 刘楠, 万有栋, 等. 重症急性胰腺炎影响肾功能恢复危险因素分析[J]. 中华急诊医学杂志, 2020, 29(9): 1173-1177. DOI:10.3760/cma.j.issn.1671-0282.2020.09.007 |
| [2] | 闵安, 李贺, 项和平, 等. 急性胰腺炎三种分类标准的比较[J]. 中华急诊医学杂志, 2019, 28(5): 625-629. DOI:10.3760/cma.j.issn.1671-0282.2019.05.018 |
| [3] | Majidi S, Golembioski A, Wilson SL, et al. Acute pancreatitis: etiology, pathology, diagnosis, and treatment[J]. South Med J, 2017, 110(11): 727-732. DOI:10.14423/smj.0000000000000727 |
| [4] | Capurso G, Zerboni G, Signoretti M, et al. Role of the gut barrier in acute pancreatitis[J]. J Clin Gastroenterol, 2012, 46(Suppl): S46-S51. DOI:10.1097/MCG.0b013e3182652096 |
| [5] | de Jong PR, González-Navajas JM, Jansen NJ. The digestive tract as the origin of systemic inflammation[J]. Crit Care, 2016, 20(1): 279. DOI:10.1186/s13054-016-1458-3 |
| [6] | 温聪聪, 王颖, 吴德卿, 等. 重症急性胰腺炎胃肠功能障碍的诊治和发生机制研究进展[J]. 中华胰腺病杂志, 2019, 19(2): 143-145. DOI:10.3760/cma.j.issn.1674-1935.2019.02.018 |
| [7] | Sanders KM. Spontaneous electrical activity and rhythmicity in gastrointestinal smooth muscles[J]. Adv Exp Med Biol, 2019, 1124: 3-46. DOI:10.1007/978-981-13-5895-1_1 |
| [8] | Kim JN, Kim BJ. The mechanism of action of ghrelin and motilin in the pacemaker potentials of interstitial cells of Cajal from the murine small intestine[J]. Mol Cells, 2019, 42(6): 470-479. DOI:10.14348/molcells.2019.0028 |
| [9] | Deloose E, Verbeure W, Depoortere I, et al. Motilin: from gastric motility stimulation to hunger signalling[J]. Nat Rev Endocrinol, 2019, 15(4): 238-250. DOI:10.1038/s41574-019-0155-0 |
| [10] | Singaram K, Gold-Smith FD, Petrov MS. Motilin: a panoply of communications between the gut, brain, and pancreas[J]. Expert Rev Gastroenterol Hepatol, 2020, 14(2): 103-111. DOI:10.1080/17474124.2020.1718492 |
| [11] | Kato S, Takahashi A, Shindo M, et al. Characterization of the gastric motility response to human motilin and erythromycin in human motilin receptor-expressing transgenic mice[J]. PLoS One, 2019, 14(2): e0205939. DOI:10.1371/journal.pone.0205939 |
| [12] | 叶源春, 吴婷. 重症急性胰腺炎胃肠激素变化及其对胃肠道动力的影响[J]. 医学综述, 2008, 14(14): 2128-2130. DOI:10.3969/j.issn.1006-2084.2008.14.016 |
| [13] | Zerem E. Treatment of severe acute pancreatitis and its complications[J]. World J Gastroenterol, 2014, 20(38): 13879-13892. DOI:10.3748/wjg.v20.i38.13879 |
| [14] | 熊波, 张劲夫, 张兴文. 重症急性胰腺炎合并肠动力障碍相关机制的研究进展[J]. 医学综述, 2018, 24(2): 226-230, 235. DOI:10.3969/j.issn.1006-2084.2018.02.004 |
| [15] | 路小光, 战丽彬, 范治伟, 等. 重症胰腺炎并急性肺损伤大鼠肺组织蛋白激酶C与细胞外信号调节激酶的表达[J]. 中华急诊医学杂志, 2007, 5(7): 699-702. DOI:10.3760/j.issn:1671-0282.2007.07.006 |
| [16] | 路小光, 康新, 战丽彬, 等. 大黄附子汤对重症急性胰腺炎肺损伤大鼠肺泡上皮屏障功能的影响[J]. 中华急诊医学杂志, 2011, 9(2): 151-155. DOI:10.3760/cma.j.issn.1671-0282.2011.02.010 |
| [17] | Kang X, Liang ZK, Lu XG, et al. Dai-Huang-fu-zi-Tang alleviates intestinal injury associated with severe acute pancreatitis by regulating mitochondrial permeability transition pore of intestinal mucosa epithelial cells[J]. Evid Based Complementary Altern Med, 2017, 2017: 4389048. DOI:10.1155/2017/4389048 |
| [18] | Kang X, Lu XG, Zhan LB, et al. Dai-Huang-Fu-Zi-Tang alleviates pulmonary and intestinal injury with severe acute pancreatitis via regulating aquaporins in rats[J]. BMC Complementary Altern Med, 2017, 17(1): 1-15. DOI:10.1186/s12906-017-1789-x |
| [19] | 路小光, 战丽彬, 康新, 等. 大黄附子汤佐治重症急性胰腺炎患者的临床研究——附206例患者的多中心临床疗效观察[J]. 中国危重病急救医学, 2010, 22(12): 723-728. DOI:10.3760/cma.j.issn.1003-0603.2010.12.007 |
| [20] | Regli A, Chakera J, de Keulenaer BL, et al. Matching positive end-expiratory pressure to intra-abdominal pressure prevents end-expiratory lung volume decline in a pig model of intra-abdominal hypertension[J]. Crit Care Med, 2012, 40(6): 1879-1886. DOI:10.1097/CCM.0b013e31824e0e80 |
| [21] | Ke L, Ni HB, Tong ZH, et al. Intra-abdominal pressure and abdominal perfusion pressure: which is a better marker of severity in patients with severe acute pancreatitis[J]. J Gastrointest Surg, 2011, 15(8): 1426-1432. DOI:10.1007/s11605-011-1553-3 |
| [22] | Sharma M, Sachdev V, Singh N. Alterations in intestinal permeability and endotoxemia in severe acute pancreatitis[J]. Trop Gastroenterol, 2012, 33(1): 45-50. DOI:10.7869/tg.2012.7 |
| [23] | 韩德五. 肠源性内毒素血症在胰腺炎发病中的作用[J]. 世界华人消化杂志, 2006, 14(29): 2825-2829. DOI:10.3969/j.issn.1009-3079.2006.29.001 |
| [24] | 叶美玲, 彭燕. 急性重症胰腺炎肠道动力障碍机制的研究进展[J]. 医学综述, 2016, 22: 4039-4042. DOI:10.3969/j.issn.1006-2084.2016.20.024 |
| [25] | Boivin M, Bradette M, Raymond MC, et al. Mechanisms for postprandial release of motilin in humans[J]. Dig Dis Sci, 1992, 37(10): 1562-1568. DOI:10.1007/bf01296503 |
| [26] | 金颖, 李彤, 刘彤, 等. 胃动素对消化间期胃动脉血流影响的在体机制研究[J]. 中国实验诊断学, 2011, 15(5): 780-785. DOI:10.3969/j.issn.1007-4287.2011.05.007 |
| [27] | Foong D, Zhou J, Zarrouk A, et al. Understanding the biology of human interstitial cells of Cajal in gastrointestinal motility[J]. Int J Mol Sci, 2020, 21(12): 4540. DOI:10.3390/ijms21124540 |
| [28] | 常宗宏, 邓尚新, 杨娟, 等. Cajal间质细胞在胃肠动力障碍性疾病中的研究[J]. 胃肠病学和肝病学杂志, 2019, 28(4): 387-390. DOI:10.3969/j.issn.1006-5709.2019.04.007 |
| [29] | Li L, Zou C, Zhou Z, et al. Phenotypic changes of interstitial cells of Cajal after intestinal obstruction in rat model[J]. Braz J Med Biol Res, 2019, 52(10): e8343. DOI:10.1590/1414-431x20198343 |
2021, Vol. 30



