扁桃体周围脓肿是耳鼻喉科常见病, 治疗不当可致严重并发症。扁桃体周围脓肿多为单侧起病,双侧发病较为罕见,浙江大学医学院附属第二医院耳鼻喉科近来接诊1例,分析其病例资料,同时回顾相关文献,以加深对该病的认识。
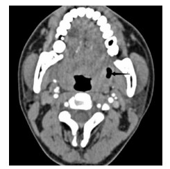
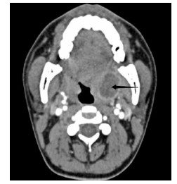
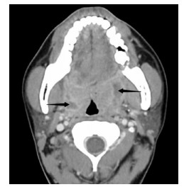
1 资料与方法患者,男,22岁,因“咽痛16 d ”于2020年6月19日就诊于浙江大学医学院附属第二医院耳鼻喉科。起初未就医,近半个月来咽痛逐渐加重,伴左侧耳朵放射痛,吞咽时明显,不能言语,伴张口困难,进食困难,夜间平卧时偶感呼吸不畅。来院前1 d,患者曾有吐出脓血性液体。查体见张口度1.5指,双侧软腭隆起,充血,双侧扁桃体Ⅱ度,右侧扁桃体后方可见少许脓液流出。急诊行颈部增强CT(图 1)示:双侧扁桃体炎伴周围脓肿形成,右侧脓腔可见积气。尝试行左侧扁桃体周围脓肿穿刺,未及明显脓液。收住入院后予头孢哌酮舒巴坦抗感染及甲泼尼龙抗炎消肿治疗,患者感咽痛逐渐缓解,软腭肿胀逐渐减轻。入院后第5天,再次行颈部增强CT(图 2)示:左扁桃体脓肿扩大,右侧扁桃体内脓肿消失,局部轻度肿胀。予行左侧扁桃体周围脓肿穿刺及切排,流出较多脓液。切排后,继续予上述药物治疗,每日定期扩张切排口,入院后第7天,切排口已无明显脓液,复查颈部增强CT(图 3)示:左侧脓肿基本吸收、残留少许气体。入院后第8天,患者予出院。后经短期随访,患者恢复情况可,无症状反复。目前患者已失随访,本研究经医院伦理委员会审批免除知情同意,批件号:(2020)伦研审第(979)号。
|
| 图 1 患者2020-06-20颈部C增强CT(箭头示双侧扁桃体周围脓腔形成) |
|
|
|
| 图 2 患者2020-06-25颈部C增强CT(箭头示左侧扁桃体周围脓腔扩大) |
|
|
|
| 图 3 患者2020-06-28颈部C增强CT(箭头示左侧扁桃体周围脓腔吸收) |
|
|
单侧扁桃体周围脓肿是十分常见的,大约每年每10万人中就有10~41例扁桃体周围脓肿发病[1]。双侧扁桃体周围脓肿则少见报道,其在扁桃体周围脓肿中的发生率在不同研究中也有着较大的差异,发生率在2%~24%,平均为5.5%[2],其中多数是在后续CT检查或行脓肿扁桃体切除术时偶然发现对侧的脓肿。扁桃体周围脓肿的致病菌主要为溶血性链球菌,此外流感嗜血杆菌以及坏死梭形杆菌也较常见[1]。
扁桃体周围脓肿的发病机制目前并没有统一的认识,有学者认为是急性扁桃体炎并发症引起,有的则认为是Weber腺体感染引起。前者则认为继发于急性扁桃体炎,主要有以下几点支持:⑴扁桃体周围脓肿往往伴发有急性扁桃体炎[3];⑵扁桃体周围脓肿偶有出现双侧发病的情况[2],这与急性扁桃体炎常常累及双侧的发病方式相似;⑶扁桃体周围脓肿与急性扁桃体炎的致病菌高度一致,常为溶血性链球菌和坏死梭形杆菌[1];⑷抗生素治疗可以阻止的扁桃体周围脓肿的发展[4]。后者认为扁桃体周围脓肿继发于Weber腺体感染,主要有以下几点支持:⑴扁桃体周围脓肿的脓液中淀粉酶的增高幅度远高于其他颈部脓肿[5];⑵扁桃体周围脓肿常发生于扁桃体上隐窝,与Weber腺体解剖位置关系密切[6];⑶反复发作的扁桃体周围脓肿常伴有Weber腺体的炎症及纤维化[7]。也有学者提出是这两种机制的相互作用引起的,致病菌侵犯扁桃体黏膜并通过唾液腺扩散至扁周间隙,在人体免疫系统功能低下时就形成脓肿。本例患者有双侧扁桃体周围脓肿并伴有扁桃体炎,正好佐证扁桃体周围脓肿很有可能是急性扁桃体炎发展而来。
扁桃体周围脓肿常有患侧咽痛、吞咽困难、张口受限以及发音含糊等症状,查体则可见患侧软腭红肿隆起[8]。无论双侧或者单侧扁桃体周围脓肿,这些症状都可能存在,程度可能有所不同,但差异不明显,并不利于判断。与单侧扁桃体周围脓肿不同,双侧扁桃体周围还需要与严重的急性扁桃体炎或传染性单核细胞增多症等双侧起病的疾病相鉴别的,在少数情况下,则需要与扁桃体的淋巴瘤等肿瘤相鉴别[9]。扁桃体周围脓肿的诊断过去常依靠临床诊断,包括穿刺抽脓,但灵敏度较低,容易遗漏隐性脓肿或者局限的小脓肿。扁桃体周围脓肿如果不能得到正确的诊断和治疗,或可发生严重的并发症。常见的并发症有咽后、咽旁脓肿,罕见的则有下行性坏死性纵隔炎、Lemierre综合征等。口内超声检查有助于扁桃体周围脓肿的诊断,而增强CT检查对于扁桃体周围脓肿的诊断则有着更高的灵敏度[10],因此在条件允许的情况下应及时行增强CT检查。
扁桃体周围脓肿的治疗除了常规的抗生素及必要时的糖皮质激素治疗,还应优先采取切开排脓或穿刺抽脓,甚至切除脓肿扁桃体的方法,迅速改善患者的症状,减少并发症的发生。对于扁桃体周围脓肿,呼吸道的管理十分重要[11],无论是脓肿破溃或是扁周组织肿胀都有可能发生呼吸道梗阻。而双侧扁周脓肿的呼吸道梗阻风险要远远高于单侧,在治疗中更是应当放在首要位置。切开排脓及穿刺抽脓都是常规的治疗方式,但后者存在患者痛苦少,配合好的优点;即使复发,可再考虑行切开排脓治疗,而且穿刺可以避免切排治疗后的继发性扁周组织水肿[12],避免呼吸道梗阻。脓肿扁桃体切除术也是一个可行的治疗方案,对于呼吸道梗阻的缓解有着重要的价值,已有的研究显示术中出血量及术后出血率均较择期手术降低[13],但其存在麻醉诱导后出现呼吸道梗阻的风险[11],出现插管困难,反而可能需紧急气管切开。由于病程时间长,本例患者右侧扁桃体周围脓肿已自行破溃,经药物治疗后右侧肿胀已基本好转,左侧脓肿虽有加重,但呼吸道梗阻风险已明显降低,则予常规切开排脓治疗。
笔者体会双侧扁桃体周围脓肿是少见的颈部感染性疾病,很可能是双侧急性扁桃体炎的并发症,临床表现结合颈部增强CT扫描结果可以确诊。由于双侧扁桃体周围肿胀,呼吸道阻塞风险大,治疗优先考虑穿刺抽脓,根据临床实际情况,可考虑脓肿扁桃体切除术。
利益冲突 所有作者均声明不存在利益冲突
| [1] | Sanmark E, Wiksten J, Valimaa H, et al. Peritonsillar abscess may not always be a complication of acute tonsillitis: A prospective cohort study[J]. PLoS One, 2020, 15(4): e0228122. DOI:10.1371/journal.pone.0228122 |
| [2] | Klug TE, Rusan M, Fuursted K, et al. Peritonsillar abscess: complication of acute tonsillitis or Weber's glands infection?[J]. Otolaryngol Head Neck Surg, 2016, 155(2): 199-207. DOI:10.1177/0194599816639551 |
| [3] | Rokkjaer MS, Klug TE. Tonsillar malignancy in adult patients with peritonsillar abscess: retrospective study of 275 patients and review of the literature[J]. Eur Arch Oto Rhino Laryngol, 2015, 272(9): 2439-2444. DOI:10.1007/s00405-014-3186-0 |
| [4] | Del Mar CB, Glasziou PP, Spinks AB. Antibiotics for sore throat[J]. Cochrane Database Syst Rev, 2006(4): CD000023. DOI:10.1002/14651858.cd000023.pub3 |
| [5] | El-Saied S, Puterman M, Kaplan DM, et al. Involvement of minor salivary glands in the pathogenesis of peritonsillar abscess[J]. Otolaryngol Head Neck Surg, 2012, 147(3): 472-474. DOI:10.1177/0194599812445552 |
| [6] | Passy V. Pathogenesis of peritonsillar abscess[J]. Laryngoscope, 1994, 104(2): 185-190. DOI:10.1288/00005537-199402000-00011 |
| [7] | Powell EL, Powell J, Samuel JR, et al. A review of the pathogenesis of adult peritonsillar abscess: time for a re-evaluation[J]. J Antimicrob Chemother, 2013, 68(9): 1941-1950. DOI:10.1093/jac/dkt128 |
| [8] | AlAwadh I, Aldrees T, AlQaryan S, et al. Bilateral peritonsillar abscess: a case report and pertinent literature review[J]. Int J Surg Case Rep, 2017, 36: 34-37. DOI:10.1016/j.ijscr.2017.04.028 |
| [9] | Lin YY, Lee JC. Bilateral peritonsillar abscesses complicating acute tonsillitis[J]. Can Med Assoc J, 2011, 183(11): 1276-1279. DOI:10.1503/cmaj.100066 |
| [10] | Baker KA, Stuart J, Sykes KJ, et al. Use of computed tomography in the emergency department for the diagnosis of pediatric peritonsillar abscess[J]. Pediatr Emerg Care, 2012, 28(10): 962-965. DOI:10.1097/pec.0b013e31826c6c36 |
| [11] | Lau SK. Sleep apnoea due to bilateral peritonsillar abscess[J]. J Laryngol Otol, 1987, 101(6): 617-618. DOI:10.1017/s0022215100102373 |
| [12] | Safdar A, Hughes JP, Walsh RM, et al. Bilateral peritonsillar abscess revisited[J]. Ear Nose Throat J, 2005, 84(12): 791-793. DOI:10.1177/014556130508401218 |
| [13] | 马伟, 李彦利, 徐岩, 等. 扁桃体周围脓肿患者脓肿期行扁桃体切除术疗效观察[J]. 中国现代医药杂志, 2018, 20(6): 68-69. DOI:10.3969/j.issn.1672-9463.2018.06.020 |
2021, Vol. 30



