免疫球蛋白轻链型淀粉样变性(immunoglobulin light-chain amyloidosis,AL)是浆细胞克隆产生大量异常免疫球蛋白轻链,聚集折叠为淀粉样蛋白原纤维沉积在机体各系统中引起的全身性疾病,是最常见的原发性系统性淀粉样变性类型[1]。可以出现全胃肠道受累,以胃部和小肠受累多见。可以表现为上腹不适、消化不良、腹泻、便秘、吸收不良综合征和消化道出血等[2]。AL淀粉样变性患者诊断时的平均年龄为63岁,55%为男性[3]。据估计,其发病率为每年8人/100万[4]。血、尿免疫球蛋白游离轻链检测及系统评估可确诊AL淀粉样变性。皮肤表现可作为早期或唯一特征提示AL淀粉样变性的诊断,25%~40%的患者可出现皮肤黏膜病变,主要表现为蜡状丘疹、结节和创伤性瘀点、瘀斑及浸润性斑块,其广泛病变可导致狮面外观和硬皮病样改变,其中捏夹或刺激迷走神经后咳嗽、呕吐诱发的眶周瘀斑被认为是该疾病特征性表现。罕见皮肤表现包括秃发、获得性皮肤松弛症和淀粉样蛋白沉积部位的出血性大疱[5-6]。查阅相关文献,几乎未见AL淀粉样变性患者发生肠梗阻伴肠穿孔的相关报道。浙江大学医学院附属第一医院结直肠外科收治的1例轻链型淀粉样变患者肠梗阻伴肠穿孔患者,现报道如下。
1 资料与方法患者,男,63岁,无明显诱因下出现腹部胀痛半天余,无恶心呕吐畏寒发热,为求进一步诊治2021年1月31日来本院急诊。查全腹增强CT示:结肠积粪,腹腔游离气体,提示空腔脏器穿孔,请结合临床。另见两侧少量胸腔积液,心包中量积液,胸腹壁水肿,腹盆腔积液,右肾切除术后改变。入院时患者神志清,精神可,急性病容,下唇肿胀明显,可见大面积紫黑色血泡,右舌可见大面积血泡,左舌背可见活检切口,活检病理示:真皮层见均质嗜酸性物质团块,双眼睑周围黄红色斑块,紫癜,呈现“熊猫眼征”,上肢、颈部散在紫癜,患者腹部压痛、反跳痛明显。患者主诉既往高血压病史十余年,轻链型淀粉样变病史,右肾肿瘤切除病史,给予环磷酰胺+硼替佐米+地塞米松(PCD方案)[2]化疗6个疗程后评估为血液学缓解状态。2021年01月15日血液科复查血β2微球蛋白为3.3 mg/L,血游离KAP轻链31.3 mg/L,血游离LAM轻链45.9 mg/L,游离轻链比值0.68。KAP轻链(尿)2.6 mg/dL,LAM轻链(尿)0.5 mg/dL,未见单克隆免疫球蛋白,尿蛋白定量326 mg/24 h,D-二聚体1 270 μg/L。1月31日患者因“肠梗阻伴肠穿孔”急诊入院后予继续补充完善相关术前检查,4 h后急诊行“剖腹探查术+肠粘连松解术+回肠双腔造瘘术”,术中探查发现肝胆脾胰无异常,全腹腔肠管、系膜肿胀明显,腹腔粘连致密,横结肠至回盲部扩张明显,回肠距回盲部40 cm处见一长约1.5 cm破口,遂切除穿孔肠段,行上述手术,手术过程顺利,术后转ICU治疗。2月9日病情平稳,转结直肠外科进一步治疗,予心电监护、吸氧,严密监测患者生命体征。2月12日4:15患者心率41次/min,血压134/114 mmHg(1 mmHg=0.133 kPa),出现呼之不应,两侧瞳孔对光反射迟钝,瞳孔直径3 mm,两侧瞳孔等大。4:20触摸颈动脉搏动消失,呼吸心搏骤停,经皮血氧饱和度由82%迅速转为无法测出,予立即床边心肺复苏,呼叫值班医生,1 min抢救车、电动吸引器到位,8 min麻醉科、ICU等多学科积极迅速到位配合,4:27呼吸皮囊加压给氧,心电监护显示心率38次/min,呼吸0次/min,无创血压36/14 mmHg,经皮血氧饱和度无法测出,患者呈昏迷状态,给予持续心肺复苏,呼吸皮囊加压给氧,医嘱予肾上腺素1 mg静脉推注,抽急诊血气分析。4:33心电监护显示患者心率46次/min,呼吸11次/min,血压40/25 mmHg,经皮血氧饱和度无法测出,医嘱予去甲肾上腺素3 mg+生理盐水50 mL以10 mL/h微量泵推注,血气分析示:钾4.7 mmol/L,钠149 mmol/L,pH 6.98,氧分压43 mmHg,乳酸6.9 mmol/L,肌钙蛋白Ⅰ 0.104 ng/mL,B型脑钠肽4 367 pg/mL,医嘱予碳酸氢钠250 mL快速静脉滴入,准备经口气管插管,患者气管插管成功,持续心肺复苏,行机械通气。4:53患者出现颈动脉搏动,心电监护显示:心率98次/min,呼吸12次/min,血压74/47 mmHg,经皮血氧饱和度仍无法测出,医嘱予林格液500 mL快速滴入,去甲肾上腺素微泵组调整至20 mL/h微量泵维持,予电动吸引出白色粘痰约30 mL,医嘱予肾上腺素3 mg+生理盐水50 mL以5 mL/h微量泵推注。5:14患者自主心率恢复,心电监护显示患者心率122次/min,呼吸19次/min,血压103/68 mmHg,经皮血氧饱和度100%,患者意识仍未恢复,GCS评分3分,医嘱予转运至ICU进一步高级生命支持。患者入ICU后,心电监护显示:体温35.8℃,心率114次/min,窦性心率,血压180/107 mmHg,呼吸21次/min,经皮血氧饱和度100%,气管插管接呼吸机辅助通气,PC模式:PC 25 cmH2O,PEEP 8 cmH2O(1 cmH2O=0.098 kPa),FiO2 40%,氧合指数250~300 mmHg。心脏超声示左室壁对称性增厚,左室舒张功能减退,主瓣、二三尖瓣轻度反流,肺动脉压增高,心包积液(中量)。患者出现心脏骤停后缺血缺氧性脑病、贫血、高血压、胸腔积液、心包积液、脓毒性休克等并发症,经过多学科协作一系列的治疗和护理,术后25d患者好转后转当地医院继续康复治疗。
本例患者由于AL引起肠梗阻伴肠穿孔,前期在血液科行PCD方案化疗6个疗程后评估为血液学缓解状态,病情控制可,急诊行“剖腹探查术+肠粘连松解术+回肠双腔造瘘术”后转ICU治疗后病情稳定,转入普通病房后发现切口下引流管引流出浑浊液体约50 mL,引流液淀粉酶为23.20 U/L,引流液总胆红素为17.5μmol/L,白细胞25.6×109/L,中性粒细胞百分比95.9%,超敏C反应蛋白165.0 mg/L,经血液科、结直肠外科、ICU等多学科会诊后考虑脓毒性休克引起,予禁食禁饮,利奈唑胺600 mg Q12 h抗感染,维持水电解质平衡,抗休克治疗,输血,注射用生长抑素等对症治疗。
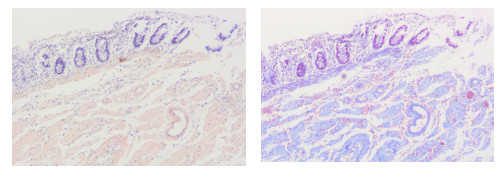
本例患者切除的肠段病理报告示:送检右半结肠根治切除标本,结肠一端见一疑似穿孔区,范围1.8 cm×1 cm。镜下可见穿孔区及周围肠黏膜上皮坏死,局灶全程坏死,可见多核巨细胞;穿孔区及周围肠壁黏膜下层、肌层及浆膜层广泛淀粉样变(图 1)。回肠壁及阑尾周围可见淀粉样变,肠周围淋巴结呈反应性增生。诊断结论:肠淀粉样变,伴结肠坏死穿孔改变。见图 2。
|
| 图 1 患者切除肠段结肠黏膜下层HE染色(A:×50;B:×100) |
|
|
|
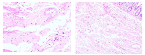
| 图 2 患者切除肠段结肠黏膜下层免疫组化染色[A:刚果红(+)×50;B:Masson(+)×50] |
|
|
根据本病例的诊断治疗过程,笔者有如下体会:⑴AL型淀粉样变性是一种浆细胞克隆病,由免疫球蛋白轻链错误折叠,沉积于除大脑以外的所有器官,导致器官功能障碍,进展快,预后差,每年发病率大约为8~9例/1000 000[7]。AL型淀粉样变性的表现根据受累器官不同而呈现多样性,常见的受累器官有心脏(82%)、肾脏(68%)、软组织(17%)、肝脏(14%)、周围和自主神经系统(12%)、胃肠道(8%)等[7]。由此可见AL淀粉样变性累及胃肠道的概率极低,发生肠梗阻伴肠穿孔的报道极少,由于淀粉样的物质沉积在胃肠道黏膜或固有肌层,加之神经和血管壁受累,导致消化功能障碍、肠黏膜溃疡出血等,极少数患者可自发性穿孔,横结肠淀粉样蛋白沉积而形成的假性肿瘤可引起肠梗阻,根据患者既往病史,应快速诊断尽早手术,及时解除梗阻,控制感染,控制原发疾病,同时医护人员应加强观察,发现病情变化及时迅速抢救处理,多学科协作配合是本例患者救治成功的关键。⑵AL淀粉样变性患者的生存期主要取决于心脏受累程度[8-9],由于轻链本身具有细胞毒性作用,会直接损伤心肌细胞,理想的AL治疗目标是获得器官缓解,但是现有的治疗都只是靶向于克隆性浆细胞,降低血清单克隆免疫球蛋白水平,并最终通过人体的自我清除机制获得器官缓解。目前心肌肌钙蛋白T和NT-proBNP为重要的AL预后预测指标,约65%~75%的AL患者死于AL心脏相关并发症[10]。本例患者虽有心脏受累,但是术前已经经过积极治疗,将疾病控制在血液学缓解状态,术后排除心源性引起心脏骤停,并经过治疗,NT-proBNP由4 367 pg/mL降至443 pg/mL,心脏超声示心包积液较前减少,心脏功能逐步好转。⑶组织活检发现刚果红染色阳性的无定形物质沉积是诊断淀粉样变的金标准[2]。本例患者术后切除的肠断病理报告提示,确诊为肠淀粉样变,伴结肠坏死穿孔改变。有文献报道,AL型淀粉样变性的消化道临床表现、内镜检查和影像学表现缺乏特异性,仍以病理活组织检查为确诊依据[11]。
利益冲突 所有作者均声明不存在利益冲突
| [1] | 付玉娟, 周炯, 郑敏. 系统性免疫球蛋白轻链型淀粉样变性的治疗进展[J]. 中华皮肤科杂志, 2020, 53(8): 668-672. DOI:10.35541/cjd.20180845 |
| [2] | 中国抗癌协会血液肿瘤专业委员会, 中华医学会血液学分会白血病淋巴瘤学组. 原发性轻链型淀粉样变的诊断和治疗中国专家共识(2016年版)[J]. 中华血液学杂志, 2016, 37(9): 742-746. DOI:10.3760/cma.j.issn.0253-2727.2016.09.003 |
| [3] | Quock TP, Yan T, Chang E, et al. Epidemiology of AL amyloidosis: a-real world study using US claims data[J]. Blood Adv, 2018, 2(10): 1046-1053. DOI:10.1182/bloodadvances.2018016402 |
| [4] | 朱子璇. 轻链型淀粉样变性肾受累患者临床特征、肾脏结局及预后分析[D]. 北京: 北京协和医学院; 中国医学科学院; 清华大学医学部; 北京协和医学院中国医学科学院, 2018. DOI: 10.7666/d.Y3514434. |
| [5] | Andrei M, Wang JC. Cutaneous light chain amyloidosis with multiple myeloma: a concise review[J]. Hematol Oncol Stem Cell Ther, 2018, pii: S1658-3876(18): 30095-5. DOI:10.1016/j.hemonc.2018.09.003 |
| [6] | Wanat KA, Ki mB, Rosenbach M. Multisystem diseases affecting the skin and eye[J]. Clin Dermatol, 2016, 34(2): 214-241. DOI:10.1016/j.clindermatol.2015.11.013 |
| [7] | 杨帆, 丘惠嫦, 李斌恺. 系统性轻链型淀粉样变性合并多种慢性疾病一例[J]. 中华全科医师杂志, 2020, 19(9): 855-856. DOI:10.3760/cma.j.cn114798-20200229-00211 |
| [8] | 潘小宏, 马群超, 田庄. 《2020年加拿大心脏淀粉样变性患者评估和治疗的联合立场声明》解读[J]. 心电与循环, 2020, 39(4): 321-325. DOI:10.12124/j.issn.2095-3933.2020.4.2020-4032 |
| [9] | 王立明, 王桐桐, 田颖, 等. 血清游离轻链检测在轻链型心肌淀粉样变性中的预后价值[J]. 中华血液学杂志, 2020, 41(1): 47-53. DOI:10.3760/cma.j.issn.0253-2727.2020.01.009 |
| [10] | 许利凡, 李振宇. 免疫球蛋白轻链型淀粉样变性的诊疗进展[J]. 国际输血及血液学杂志, 2016, 39(3): 233-237. DOI:10.3760/cma.j.issn.1673-419X.2016.03.009 |
| [11] | 黄夕夏, 顾而立, 王虹. 以便血为主要症状的免疫球蛋白轻链型淀粉样变性一例[J]. 中华消化杂志, 2018, 38(1): 62-64. DOI:10.3760/cma.j.issn.0254-1432.2018.01.014 |
2021, Vol. 30



