2. 安徽医科大学第二附属医院呼吸与危重症医学科, 合肥 230601;
3. 安徽医科大学第二附属医院检验科, 合肥 230601
肺脓肿是肺组织的化脓性病变,常见病原体包括需氧、厌氧和兼性厌氧菌,如金黄色葡萄球菌、化脓性链球菌、肺炎克雷伯杆菌、铜绿假单胞菌等。其中肠球菌引起的肺脓肿较为少见,而屎肠球菌(Enterococcus faecium)肺脓肿更是少见。现报道安徽医学大学第二附属医院一例确诊为屎肠球菌肺脓肿病例,并检索相关文献进行分析,探讨对该病的诊断及治疗方案,提高对疾病的认识。
1 资料与方法患者,男,54岁。因“咳嗽咳痰伴发热12 d”于2019年12月14日收入院。12 d前受凉后出现咳嗽,咳少量痰,发热,在天津某诊所拟“感冒”治疗后,症状无好转。7 d前至宁波某医院门诊治疗,症状未见改善。2 d前咳嗽咳痰加重,大量灰褐色痰,有腥臭味,并出现呼吸急促及高热(最高39.0 ℃)。1 d前在河南某医院胸部CT示右肺上叶及中叶大片实变影,左肺上下叶可见散在团块状密度增高影(图 1),住院1 d后出院,于12月14日晚收入我院。上述治疗用药患方均未能提供。患者10年前因胃溃疡行胃部分切除术,无吸烟酗酒病史,无牙周病病史。患者为建筑工人,平日常辗转各建筑工地工作。体格检查:体温39.3 ℃,心率155次/min,呼吸35次/min,血压131/81 mmHg(1 mmHg=0.133 kPa),吸氧3 L/min时经皮氧饱和度90%,双肺呼吸音粗,可闻及粗湿性啰音。入科后实验室检查:白细胞5.03×109/L,中性粒细胞百分比0.97,淋巴细胞百分比0.04,血红蛋白124 g/L,血小板137×109/L;C反应蛋白122.5 mg/L,降钙素原42.42 ng/mL,白介素-6 > 5 000 pg/mL;生化:白蛋白16.7 g/L,谷草转氨酶159 U/L,血肌酐208 μmol/L,尿素氮25.07 mmol/L,乳酸2.52 mmol/L。血浆D-二聚体3 630 μg/L,肌红蛋白 > 4 057 ng/mL,肌酸激酶1 471 U/L。空腹血糖8.4 mmol/L,糖化血红蛋白6.2%,人类免疫缺陷病毒抗体、甲型及乙型流感病毒抗体、痰抗酸染色均阴性。G试验 < 10 pg/mL,GM试验0.3 pg/mL,癌胚抗原1.66 ng/mL,甲胎蛋白0.7 ng/mL,T细胞亚群:总T淋巴细胞计数106/μL,CD4+T 54/μL,CD8+T 40/μL。
|
| 图 1 患者2019年12月14日胸部CT结果(右肺上叶及中叶大片实变影,左肺上下叶可见散在团块状密度增高影) |
|
|
入院诊断“社区获得性肺炎”。予无创呼吸机支持(FiO2 75%),经验性予以美罗培南静脉泵入1.0 g 2次/d、磷酸奥司他韦口服75 mg 2次/d、莫西沙星静脉滴注0.4 g 1次/d。入科后治疗4 h仍无尿,且呼吸困难进行性加重,血氧饱和度进行性下降,氧合指数109 mmHg,予以经口气管插管接呼吸机辅助通气及连续性血液净化等治疗。机械通气后,吸出大量灰褐色痰,且病情进展快,短时间无法脱机拔管,12月17日气管切开。12月17日复查血常规:血白细胞2.49×109/L,中性粒细胞百分比0.925,血红蛋白70 g/L,血小板62×109/L。停用莫西沙星改用利奈唑胺0.6 g静脉滴注2次/d。12月19日胸部CT示,⑴双肺散在多发感染性病变,右侧为著;⑵右肺空腔伴气液平;⑶右侧胸腔积液(图 2)。12月19日血白细胞3.7×109/L,中性粒细胞百分比0.882,淋巴细胞百分比0.098,血红蛋白78 g/L,血小板115×109/L,入科后立即送检的血、痰培养回报均阴性。12月20日肺泡灌洗液病理回报镜下见炎症细胞、吞噬细胞及菌丝样物,未发现恶性细胞(图 3)。12月21日痰宏基因组学检测回报:肺炎链球菌(序列数113 916)、屎肠球菌(序列数1 307)、铜绿假单胞菌(序列数16)。12月20日及24日肺泡灌洗液、血培养均回报为屎肠球菌,药敏试验结果示,对氨苄青霉素、环丙沙星、红霉素、庆大霉素、青霉素耐药;对替考拉宁、替加环素、利奈唑胺、万古霉素、奎奴普丁/达福普丁敏感。继续利奈唑胺600 mg 2次/d,总疗程62 d。治疗期间血红蛋白在66~91 g/L,血小板均在(100~300)×109/L。12月26日CT引导下经皮肺组织穿刺术,并送检病理细胞学及组织培养,结果显示符合炎症性病变改变,病原学阴性。2020年1月9日脱离呼吸机,1月14日转入普通病房,1月23日拔出气管切开套管,2020年2月13日复查胸部CT病灶有所吸收(图 4),2月24日好转出院。出院半年后电话随访,当地医院复查胸部CT示病灶较前明显吸收,已经正常工作。
|
| 图 2 患者2019年12月19日胸部CT结果(双肺散在多发感染性病变,右侧为著;右肺空洞伴气液平面;右侧胸腔积液) |
|
|
|
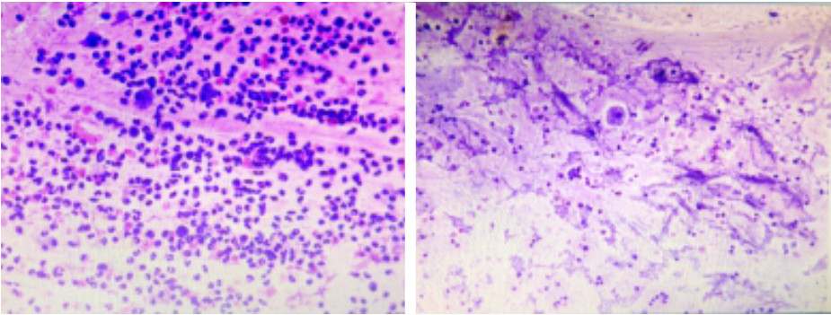
| 镜见炎症细胞、吞噬细胞及菌丝样物,未发现恶性细胞;HE染色(左40×,右10×) 图 3 患者2019年12月20肺泡灌洗液病理结果 |
|
|
|
| 图 4 2020年2月13日胸部CT结果(双肺多发异常密度,右侧为著伴右肺空洞,较前有所吸收;双侧胸腔积液,右侧较前有所减少,左侧较前稍有增多) |
|
|
采用“屎肠球菌并且肺脓肿”为检索词检索中国知网、万方和维普中文科技期刊数据库中的中文期刊文献,检出1篇经肺组织细菌学培养确诊的屎肠球菌肺脓肿;同时以(“Enterococcus” OR “Enterococcus faecium”)AND(“lung abscess” OR “pulmonary abscess” OR “abscess of lung” OR “pulmonry abscess”)为检索词检索PubMed数据库,检索出资料完整的文献报道5篇,中外文检索时限均至2020年11月31日,共检出6篇[1-6]屎肠球菌肺脓肿病例(表 1)。
| 作者及发表时间 | 年龄 | 性别 | 诊断 | 诊断方法 | 基础疾病 | 影像学表现 | 病原菌及药物敏感性 | 抗菌药物治疗方法 | 预后 |
| Miyara等[1](2002) | 73 | 男 | 肺脓肿 | 尸检组织培养 | 淋巴浆细胞性淋巴瘤 | 左上肺球形实变并迅速进展,空洞形成 | 屎肠球菌、嗜肺军团菌、普雷沃菌 | 哌拉西林他唑巴坦联合异帕米星治疗29 d | 死亡 |
| Levora等[2](2007) | 29 | 男 | 肺脓肿 | 血培养、肺泡灌洗液培养 | 肾移植 | 双肺多发结节影伴空洞形成 | 屎肠球菌 | 替考拉宁治疗3 d后改为利奈唑胺治疗3周 | 治愈 |
| Vanschooneveld等[3](2009) | 41 | 男 | 肺脓肿、脓胸 | 胸腔镜下肺组织活检肺组织培养 | HIV | 右下肺实变,胸腔镜下肺组织活检发现多发肺脓肿 | 屎肠球菌;VRE | 利奈唑胺治疗4周 | 治愈 |
| 方向群等[4](2010) | 60 | 男 | 肺炎、肺脓肿 | 经皮肺穿刺组织活检及细菌学培养 | 糖尿病 | 肺实变伴空洞 | 屎肠球菌 | 万古霉素联合替考拉宁、利奈唑胺治疗2周 | 治愈 |
| Kimura和Kobayashi[5](2011) | 73 | 男 | 肺脓肿 | 痰培养 | 胰腺癌、糖尿病 | 右上肺空洞伴右侧中肺实变 | 屎肠球菌;氨苄青霉素、左氧氟沙星耐药 | 哌拉西林钠舒巴坦钠联合万古霉素治疗2周 | 治愈 |
| Cotton和Packer[6](2018) | 67 | 男 | 肺炎、脓胸 | 胸腔积液 | 无脾、COPD、脑血管疾病、酗酒、抽烟 | 右下肺脓胸伴空洞 | 屎肠球菌;氨苄西林、VRE | 利奈唑胺治疗两周 | 治愈 |
| 注:HIV为艾滋病;VRE为万古霉素耐药肠球菌;COPD为慢性阻塞性肺疾病 | |||||||||
屎肠球菌原归属于链球菌科、链球菌属,是人和动物胃肠道的正常菌群之一。目前肠球菌属已分离出约30多个菌种,其中分离率最高的是粪肠球菌(Enterococcus faecalis)和屎肠球菌(Enterococcus faecium)。在人体中一般不致病,但在机体免疫力低下、伴有严重的基础性疾病或侵入性检查或治疗的情况下会引起菌血症、腹腔感染、心内膜炎、泌尿系统感染、皮肤软组织等感染,很少引起肺脓肿[7-9]。Patterson等[10]报道的110例肠球菌感染病例中肺炎及肺脓肿仅占4%,其余为菌血症患者、腹腔和泌尿系统感染,其中并未单独提及屎肠球菌感染比率,可知屎肠球菌肺脓肿更为少见。
屎肠球菌下呼吸道感染的病原学诊断是一个难点,痰培养发现肠球菌的意义往往不明确,需要结合临床来判断致病菌、污染菌还是定植菌。因屎肠球菌是口咽部正常菌群,国内外微生物实验室的常规例做法是对于普通痰培养检出的屎肠球菌作为正常菌群,故确诊通常需要肺组织培养、血培养、肺泡灌洗液以及胸腔积液阳性病原学结果,文献报道也多采用上述病原学诊断方式。从临床表现来看,屎肠球菌肺炎早期症状可不典型,易出现误诊,可以咳嗽咳痰为表现,也可以胸闷气促等表现。方向群等[4]报道的1例屎肠球菌致肺脓肿曾被误诊为“肺栓塞”和“肺癌”。本例患者早期也被误诊为“感冒”,直到入院前胸部CT检查才考虑为肺炎。但因病情危重,早期未能行经皮肺组织穿刺,而痰宏基因检测以肺炎链球菌为主,其次为屎肠球菌。由于肺炎链球菌一般不会形成肺脓肿,且容易被杀死,结合临床表现及胸部影像学特点,本例肺炎链球菌肺脓肿诊断证据不足,后经血培养、肺泡灌洗液明确病原菌为屎肠球菌,并且病情进展迅速,很快肺部空洞形成。可见屎肠球菌肺脓肿的诊断常需采用多种病原学检测方法,应尽早明确诊断,以减少耐药菌的发生。近年来宏基因组测序[11]技术的应用,使得病原菌的检出率大为提高,但检出病原谱广,需结合患者临床特征仔细甄别致病菌的种类,且由于该检测技术相对昂贵的费用也限制了其广泛应用。该患者早期通过宏基因检测并结合临床表现诊断为屎肠球菌肺脓肿,为精准抗生素的治疗提供了重要依据。
笔者检索的6例屎肠球菌肺脓肿病例(表 1)均为男性,年龄29~73岁,其中治愈5例,死亡1例。影像学多表现为肺实变伴空洞形成。从以上病例看,屎肠球菌肺脓肿均发生于合并肿瘤、慢性肾病、糖尿病等基础疾病者或有酗酒、吸烟等不良生活史者。这类患者往往肺炎进展较快,易发展成肺脓肿或脓胸,甚至会血流播散导致全身菌血症状。屎肠球菌的细胞壁较厚,不仅对多种抗菌药物呈固有耐药,且易产生获得性耐药[12],治疗上疗程较长,常常需联合用药。早期病例多采用青霉素类、氨基糖苷类、喹诺酮类或万古霉素治疗,近年来多采用利奈唑胺、万古霉素、替考拉宁等药物治疗[13]。上述病例报道中1例死亡者为混合感染,治愈者中2例为耐万古霉素屎肠球菌(vancomycin-resistant Enterococcus faecium, VRE),抗菌药物疗程通常在2~4周。据全国细菌耐药监测网报道[14],2014—2019年,前三位的痰、尿、血标本中发现,屎肠球菌占革兰阳性菌比例分别为8.8%、8.9%、9.3%、9.2%、9.6%、10.1%,屎肠球菌对万古霉素耐药率分别为2.9%、2.9%、2.0%、1.4%、1.4%、1.1%。据CHINET中国细菌耐药监测网报道,2019年三级医院屎肠球菌检出率为4.17%,对万古霉素耐药率为1.1%,而对利奈唑胺耐药率为0.3%,其中,其他无菌体液占11.09%,尿道占10.7%,而痰标本未见报道。由以上监测数据可以看出,近年来屎肠球菌检出率有上升趋势,但屎肠球菌对万古霉素耐药率有下降的趋势,而下呼吸道屎肠球菌感染诊断率非常低。
利奈唑胺是由嗯唑烷酮类合成的抗生素[15],其抗菌药机制比较独特,主要抑制细菌蛋白质合成的最早阶段,与其他药物无交叉耐药产生。由于它的抗菌谱、药代动力学特点及临床特性,对于治疗屎肠球菌肺脓肿具有良好的优势,且口服制剂生物利用率近乎100%,可用于重症感染的序贯治疗。本例患者及早使用了利奈唑胺静脉及序贯口服治疗,对患者的预后起到了关键的作用。在利奈唑胺的使用过程中,需关注其不良反应,主要为骨髓抑制。与疗程相关的利奈唑胺不良反应中,主要为血小板和血红蛋白的减少[16-17]。国外报道利奈唑胺长疗程治疗革兰阳性菌感染多为骨髓炎、人工假体关节感染等,最长疗程达561 d[18]。血小板减少和血红蛋白的减少是逐渐发生的,停药后可恢复,少数情况需换药治疗。中国报道该药导致血小板减少症发生率为2.4%~31.6%[19],利奈唑胺用药说明书显示血红蛋白减少的发生率为2.5%~12.3%。本例患者细胞免疫功能低下,用药前已有白细胞、血红蛋白及血小板减少,考虑与感染相关。用利奈唑胺治疗后2 d,白细胞、血小板计数均正常,治疗期间血红蛋白均能维持在60 g/L以上。因此,血细胞减少并非是利奈唑胺治疗的绝对禁忌证,但需要做好血细胞的动态监测,并应避免与其他引起血细胞减少的药物联用。
本例患者在治疗过程中也存在不足,如未能行肺部脓液穿刺引流,病灶吸收慢,抗生素疗程长,在以后的治疗中应汲取经验。另外,单一病原学难以解释的肺脓肿患者,需要采用联合多种方法进行病原学检测,以尽早诊断,并选用合理的抗菌药物,以减少耐药菌的产生,达到预期疗效。
利益冲突 所有作者均声明不存在利益冲突
| [1] | Miyara T, Tokashiki K, Shimoji T, et al. Rapidly expanding lung abscess caused by Legionella pneumophila in immunocompromised patients: a report of two cases[J]. Intern Med, 2002, 41(2): 133-137. DOI:10.2169/internalmedicine.41.133 |
| [2] | Levora J, Teplan V, Viklicky O. Enterococcus faecium as a cause of pulmonary abscesses in kidney transplant recipient[J]. Transpl Int, 2007, 20(3): 297-298. DOI:10.1111/j.1432-2277.2006.00403.x |
| [3] | Vanschooneveld T, Mindru C, Madariaga MG, et al. Enterococcus pneumonia complicated with empyema and lung abscess in an HIV-positive patient. Case report and review of the literature[J]. Int J STD AIDS, 2009, 20(9): 659-661. DOI:10.1258/ijsa.2008.008456 |
| [4] | 方向群, 刘又宁. 屎肠球菌所致肺脓肿一例并文献复习[J]. 中华结核和呼吸杂志, 2010, 33(2): 99-103. DOI:10.3760/cma.j.issn.1001-0939.2010.02.005 |
| [5] | Kimura Y, Kobayashi I. A case of pneumonia due to Enterococcus faecium after near drowing[J]. Kansenshogaku Zasshi, 2011, 85(4): 380-383. DOI:10.11150/kansenshogakuzasshi.85.380 |
| [6] | Cotton MJ, Packer CD. Vancomycin-resistant Enterococcus faecium empyema in an asplenic patient[J]. Cureus, 2018, 10(8): e3227. DOI:10.7759/cureus.3227 |
| [7] | O'Driscoll T, Crank CW. Vancomycin-resistant enterococcal infections: epidemiology, clinical manifestations, and optimal management[J]. Infect Drug Resist, 2015, 8: 217-230. DOI:10.2147/IDR.S54125 |
| [8] | 田鹏鹏, 朱丽莎, 马青, 等. 尿路感染中肠球菌的分布及耐药性分析[J]. 中华医院感染学杂志, 2017, 27(4): 743-745, 761. |
| [9] | 岑叶平, 崔裕山, 常燕子, 等. 肠球菌属细菌的临床分布与耐药性分析[J]. 中国微生态学杂志, 2019, 31(10): 1215-1218. DOI:10.13381/j.cnki.cjm.201910023 |
| [10] | Patterson JE, Sweeney AH, Simms M, et al. An analysis of 110 serious enterococcal infections. Epidemiology, antibiotic susceptibility, and outcome[J]. Medicine (Baltimore), 1995, 74(4): 191-200. DOI:10.1097/00005792-199507000-00003 |
| [11] | 钮月英, 吴晓虹, 应可净. 肺泡灌洗液宏基因二代测序技术对下呼吸道感染病原体检测的优势[J]. 中国实用内科杂志, 2020, 40(9): 754-758. DOI:10.19538/j.nk2020090111 |
| [12] | 张利霞, 胡同平, 郭翔, 等. 万古霉素耐药肠球菌感染的流行病学研究进展[J]. 中国医院药学杂志, 2017, 37(20): 2103-2105. DOI:10.13286/j.cnki.chinhosppharmacyj.2017.20.22 |
| [13] | 李晓鹏, 罗雯, 叶寰, 等. 耐万古霉素屎肠球菌血流感染发生与死亡的影响因素分析[J]. 中华医院感染学杂志, 2019, 29(5): 650-653. DOI:10.11816/cn.ni.2019-174256 |
| [14] | 中国细菌耐药监测网. 全国细菌耐药监测网2014—2019年细菌耐药性监测报告[J]. 中国感染控制杂志, 2021, 20(1): 15-31. |
| [15] | 李春杏, 付强, 朱珠. 利奈唑胺组织穿透性及在感染组织中的药效学[J]. 中国临床药理学与治疗学, 2015, 20(3): 349-355. |
| [16] | 窦林杰, 韩欣妍, 董海燕. 利奈唑胺致血小板减少症研究进展[J]. 中国感染与化疗杂志, 2019, 19(1): 96-100. DOI:10.16718/j.1009-7708.2019.01.019 |
| [17] | 王海静, 王盈盈, 许巧巧, 等. 利奈唑胺致血红蛋白减少的相关危险因素[J]. 中国临床药学杂志, 2020, 29(5): 355-359. DOI:10.19577/j.1007-4406.2020.05.009 |
| [18] | Rao N, Ziran BH, Wagener MM, et al. Similar hematologic effects of long-term linezolid and vancomycin therapy in a prospective observational study of patients with orthopedic infections[J]. Clin Infect Dis, 2004, 38(8): 1058-1064. DOI:10.1086/382356 |
| [19] | 白艳, 王羽凝, 李其, 等. 利奈唑胺不良反应的文献计量分析[J]. 中国临床药理学杂志, 2015, 31(24): 2459-2461. DOI:10.13699/j.cnki.1001-6821.2015.24.028 |
2021, Vol. 30



