2 邯郸市中心医院重症医学科 056001
2 Department of Critical Care Medicine, Handan Central Hospital, Handan 056001, China
急性百草枯(paraquat,PQ)中毒是临床常见急危重症,无特效解毒药,病死率高[1]。近年来国内外学者对急性PQ中毒的致病机制进行了深入研究,但临床救治进展不大,平均病死率仍在50%左右[2-4]。在现有诊疗手段基础上如何早期判断中毒患者预后成为热点问题之一。中毒患者血及尿液PQ浓度等可作为评估预后的有效指标,但国内PQ浓度检测尚未标准化,限制了其临床应用[5-7]。对于PQ中毒患者,胸部CT尤其高分辨CT(high resolution CT,HRCT)因其可发现细微病变、提供影像信息多、可动态观察肺内改变,已有国内外研究报道肺内磨玻璃影(ground glass opacities, GGOs)变化可用于PQ中毒预后评估[8-10]。但上述研究中GGOs面积计算多于固定层面进行,可能无法整体反映病变的严重程度。因此基于三维重建的肺内GGOs改变用于评估PQ中毒患者预后可能具有重要的临床意义。
1 资料与方法 1.1 一般资料前瞻性纳入2017年6月至2018年12月于中国武警特色医学中心中毒急救中心行规范化诊治的急性PQ中毒患者。纳入标准:⑴年龄15~60岁PQ口服中毒患者,估计PQ摄入剂量10~60mL;⑵中毒时间在8h以内。排除标准:⑴患者在外院已行血液净化治疗;⑵患者或家属拒绝血液净化治疗;⑶合并慢性心脏、肝脏、肾脏等基础疾病,肿瘤患者等。所有入院患者均自愿签署知情同意书,本研究经医院伦理委员会批准(批准号:15-04-WJ-0079)。
1.2 实验方法 1.2.1 标准化治疗所有入组患者均进行标准化治疗方案。
⑴入院后抽静脉抗凝血(5.0mL)送毒检中心,采用气相色谱分析法(UV-2600双光速紫外/可见分光光度计,中国上海)检测血清PQ浓度,动脉血气分析及生化等采样一并送检。
⑵洗胃及导泻。洗胃:下胃管,鼻饲活性碳100g(加注射用水500mL),鼻饲完毕后用生理盐水500mL冲洗。导泻:蒙脱石散剂15g、硫酸镁粉15g加入20%甘露醇注射液250mL中导泻治疗,4h/次。
⑶标准药物治疗。环磷酰胺15mg/kg加入100mL 5%葡萄糖注射液中,连用2d;甲泼尼龙15mg/kg加250mL 5%葡萄糖注射液,连用3d。所有患者均接受应激性溃疡的预防治疗(奥美拉唑40mg,2次/d)。
⑷血液净化治疗。所有患者行股静脉置管(双腔导管12Fr-20cm,广东百合医疗),给予低分子肝素抗凝。行连续性血浆吸附灌流治疗(diapact CRRT,德国贝朗),设置血流速度为180mL/min,血浆以50mL/min流速通过树脂血液灌流器(RC180,重庆希尔康),每隔2.5h更换血液灌流器直至动脉端的血浆PQ浓度降至检测限以下[11]。继续行连续性静脉-静脉血液滤过治疗(diapact CRRT,德国贝朗)清除体内炎性介质及组织吸收释放的PQ成分。所有患者随访至90d,依据存活情况进行分组。
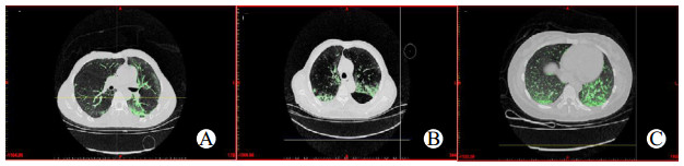
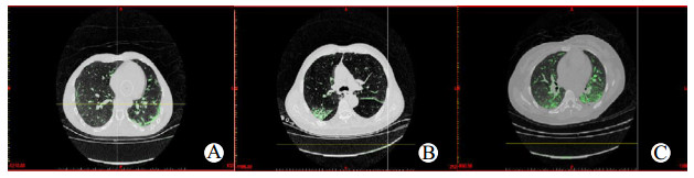
1.2.2 定量分析患者胸部HRCT患者胸部HRCT通过GE工作台(Advantage Workstation 4.4; GE Healthcare)由一名工作15年的放射科医生进行三维重建,该医生仅行三维重建,不能阅读临床资料。建模步骤可以分为4步:读取图像、提取轮廓、选择热区、生成三维模型。选择热区按照Oikonomou等[12]所采取的方案,本研究把肺内病变根据CT值分为四个部分:过度通气区(CT阈值:-1000HU到-901HU)、正常通气区(CT阈值:-900HU到-501HU)、通气减低区(CT阈值:-500HU到-101HU)和不通气区(CT阈值:-100HU到100HU)。在本研究中主要观察肺磨玻璃影改变对急性PQ中毒患者预后的影响,而磨玻璃影改变可以近似看作为通气减低区域。入组患者在入院第3、5、7天行肺HRCT检查,调取患者原始影像资料,导入工作台行三维重建。选择CT阈值-500HU至-101HU为磨玻璃影改变热区,标记热区颜色为绿色,通过蒙版编辑把肺外相同CT值的其他组织部分剪掉(图 1~2)。同样的方法标记过度通气区、正常通气区和不通气区,并蒙版编辑肺外区域后,计算四个区域的总和即肺的容积,最后计算磨玻璃样体积占肺的体积比(V%GGOs)来量化分析磨玻璃影。
|
| A~C分别代表第3、5、7天;绿色为所选热区(CT值-500 HU至-101 HU) 图 1 生存组同一病例第3、5、7天GGOs改变 Fig 1 Changes of GGOs on the 3rd, 5th and 7th day in the same person of the survival group |
|
|
|
| A~C分别代表第3、5、7天;绿色为所选热区(CT值-500 HU至-101 HU) 图 2 死亡组同一病例第3、5、7天GGOs改变 Fig 2 Changes of GGOs on the 3rd, 5th and 7th day in the same person of the death group |
|
|
采用SPSS 22.0进行统计分析,符合正态分布的计量资料以均数±标准差(Mean±SD)表示。连续分布变量资料采用成组t检验。不符合正态分布的计量资料采用中位数(四分位数)[M(QL,QU)]描述,两组间比较采用秩和检验。计数资料采用频数(百分率)描述,组间比较采用χ2检验。以P<0.05为差异有统计学意义。绘制受试者工作特征曲线(ROC曲线),并计算ROC曲线下面积(AUC),得出评估预后的最佳指标。
2 结果 2.1 患者一般资料研究期间共纳入89例符合标准的急性PQ中毒患者,其中男50例,女39例。最终存活49例,死亡40例。死亡时间为入院后6~43d,平均14.5d。两组PQ中毒患者在性别、年龄、中毒时间差异无统计学意义(均P>0.05,表 1)。两组患者入院时氧合指数、平均动脉压及总胆红素、尿素氮、谷丙转氨酶、谷草转氨酶等指标间比较差异无统计学意义(均P>0.05),而生存组与死亡组间入院时血中PQ浓度比较差异有统计学意义(P=0.013),见表 2。
| 指标 | 总纳入患者(n=89) | 生存组(n=49) | 死亡组(n=40) | 统计值 | P值 |
| 男性(例,%) | 50(56.1) | 27(55.1) | 23(57.5) | <0.01 | 0.833 |
| 年龄(岁)a | 34(24, 44) | 28(19, 42) | 38(26, 48) | 1.811 | 0.187 |
| 中毒时间(h)a | 4(3, 6) | 4.0(3.9, 6) | 4.5(3, 6) | 0.140 | 0.710 |
| 注:a为M(QL,QU) | |||||
| 指标 | 生存组(n=49) | 死亡组(n=40) | t值 | P值 |
| 氧合指数(mmHg) | 342.6±90.6 | 326.3±112.4 | 0.753 | 0.214 |
| 平均动脉压(mmHg) | 80±21 | 74±26 | 1.420 | 0.321 |
| 血PQ浓度(mg/L) | 3.49±0.21 | 6.35±0.51 | -5.341 | 0.013 |
| 总胆红素(μmol/L) | 48.24±6.23 | 54.07±4.32 | -0.613 | 0.210 |
| 尿素氮(mmol/L) | 4.62±1.31 | 5.14±1.41 | -2.653 | 0.237 |
| 谷草转氨酶(U/L) | 29.97±4.56 | 34.14±11.32 | -2.305 | 0.178 |
| 谷丙转氨酶(U/L) | 18.87±4.32 | 22.09±5.86 | -1.171 | 0.112 |
| 注:1 mmHg=0.133 kPa | ||||
通过三维重建量化测算,生存组及死亡组在中毒后第3天VGGOs和V%GGOs指标比较,死亡组已高于生存组,差异有统计学意义(P=0.010)。第5、7天两组间VGGOs和V%GGOs较第3天均明显增加。其中第5天时两组患者上述指标间比较差异有统计学意义(P<0.01),见表 3。
| 时点 | VGGOs(cm3) | V%GGOs | |||||||
| 存活组(n=49) | 死亡组(n=40) | t值 | P值 | 存活组(n=49) | 死亡组(n=40) | t值 | P值 | ||
| 第3天 | 184.38±44.58 | 245.15±87.53 | -3.252 | 0.010 | 0.049±0.007 | 0.062±0.020 | -3.380 | 0.013 | |
| 第5天 | 470.02±159.40 | 1144.80±527.74 | -12.039 | <0.01 | 0.123±0.044 | 0.292±0.130 | -11.260 | <0.01 | |
| 第7天 | 518.65±129.03 | 1351.40±602.18 | -7.579 | 0.036 | 0.138±0.034 | 0.334±0.116 | -4.095 | 0.019 | |
如表 4~5和图 3~4所示,中毒后第7天V%GGOs判断预后AUC为0.967,阈值0.16时灵敏度100%,特异度83.33%,虽能较好区分生存组及死亡组,VGGOs判断预后AUC为0.900,阈值为698.67cm3时灵敏度80%,特异度100%,但为时较晚;中毒后第5天V%GGOs判断预后AUC为0.842,阈值0.14时灵敏度82.35%,特异度89.47%,VGGOs判断预后AUC为0.845,阈值为669.62cm3时灵敏度76.47%,特异度94.74%,此时灵敏度及特异度均较高,可较好判断患者预后;中毒后第3天V%GGOs判断预后AUC为0.708,阈值0.1405时灵敏度55%,特异度78.95%,VGGOs判断预后AUC为0.726,阈值为195.70cm3时灵敏度75.00%,特异度63.16%,此时灵敏度及特异度均较第5、7天低。
| 时点 | AUC | 阈值(cm3) | 灵敏度(%) | 特异度(%) | +LR | -LR | 约登指数 |
| 第3天 | 0.726 | 195.70 | 75.00 | 63.16 | 2.04 | 0.40 | 0.3816 |
| 第5天 | 0.845 | 669.62 | 76.47 | 94.74 | 14.53 | 0.25 | 0.7121 |
| 第7天 | 0.900 | 698.67 | 80.00 | 100.00 | - | 0.20 | 0.8000 |
| 注:GGOs为磨玻璃样影,AUC为受试者工作特征曲线(ROC)下面积,+LR为阳性似然比,-LR为阴性似然比 | |||||||
| 时点 | AUC | 阈值 | 灵敏度(%) | 特异度(%) | +LR | -LR | 约登指数 |
| 第3天 | 0.708 | 0.05 | 55.00 | 78.95 | 2.61 | 0.57 | 0.3395 |
| 第5天 | 0.842 | 0.14 | 82.35 | 89.47 | 7.82 | 0.20 | 0.7182 |
| 第7天 | 0.967 | 0.16 | 100.00 | 83.33 | 6.00 | 0.00 | 0.8333 |
| 注:GGOs为磨玻璃样影,AUC为受试者工作特征曲线(ROC)下面积,+LR为阳性似然比,-LR为阴性似然比 | |||||||
|
| 图 3 PQ中毒患者第3、5、7天GGOs体积ROC曲线 Fig 3 The ROC curve of VGGOs on the 3rd, 5th and 7th day with PQ poisoning patients |
|
|
|
| 图 4 PQ中毒患者第3、5、7天GGOs体积占比ROC曲线 Fig 4 The ROC curve of V%GGOs on the 3rd, 5th and 7th day with PQ poisoning patients |
|
|
急性PQ中毒后肺组织可通过单胺系统主动转运血中PQ至肺泡上皮细胞,肺组织内PQ浓度可明显超过血中浓度,不断的氧化还原循环导致急性肺损伤[13]。既往认为中毒后第3~7天为PQ中毒早期炎症反应期,PQ可造成肺组织内毛细血管内皮细胞、肺泡上皮细胞受损,出现血管通透性增加、肺间质水肿、肺泡壁损伤、肺泡内渗出等病理改变。高艳霞等[14]研究认为百草枯中毒后生存组及死亡组随时间推移氧分压逐渐下降与PQ肺损害有关,且肺脏为主要受累器官。赵义和许铁[15]报道PQ中毒3~7d胸部CT影像学以肺磨玻璃影及间质性改变为主,随病程延长出现肺实质性病变及支气管扩张、胸腔积液等,PQ中毒肺损伤CT表现与临床病情发展成正相关。黄林和叶敏[16]认为急性PQ中毒肺损伤患者首诊肺CT表现与预后关系密切,首诊CT测量肺损伤范围>70%判断PQ中毒致死的灵敏度、准确性及特异度分别为100%、84.7%和85.5%。宋成珍和菅向东[17]认为胸部HRCT变化与PQ中毒患者肺功能改变存在较好相关性,对PQ中毒患者的预后具有一定指导意义。Zhang等[18]报道胸部CT变化可预测急性PQ中毒肺损伤患者预后。但上述文献报道的评估肺损伤方法多是从常规胸部CT或胸部HRCT不同层面采用人工双盲阅片、半定量面积评估等方式测算肺损伤程度,带有一定经验性及主观性,临床偏倚不可避免。
自20世纪70年代以来,重建三维影像学模型便开始逐渐应用,从最初的脊椎生物力学研究逐渐拓展至颅面骨、颌骨等骨科研究中,逐渐应用于医学各个领域[12, 19]。既然胸部CT或HRCT可以早期较好评估急性PQ中毒患者的预后,笔者认为借助三维重建技术重建胸部HRCT的3D影像学模型可以评估PQ中毒患者肺损伤范围及严重程度,获得病变空间范围内的连续性指标并监测其动态变化,有助于全面准确反映肺损伤患者病情并评估预后。目前国内外关于此方面文献报道较少,杨旭和刘志[20]首次应用Mimics软件评估急性PQ中毒患者肺损伤面积与预后的关系,但仅限于患者出现急性肺损伤当天及3d后肺内影像学评估,肺窗阈值选择较窄(-800HU至600HU),病程相对较短,缺乏对判断指标灵敏度及特异度的评价。基于此,评价急性PQ中毒患者早期(3~7d)肺损伤影像学变化并寻找判断预后的指标更具有临床指导意义。
本研究采用软件量化急性PQ中毒患者早期肺内GGOs及所占肺体积比并计算其ROC曲线下面积判断预后。通过数据分析得出中毒第3天肺内GGOs及所占肺体积比差异已有统计学意义,但灵敏度及特异度均不高。第5、7天时两组患者上述两项指标间均数差异更加明显。中毒第5天V%GGOs判断预后AUC为0.842,此时灵敏度及特异度均较高,可较好判断患者预后。这与Kang等[8]研究认为患者入院前5d内GGOs占全肺容积超过10.8%是独立危险因素的结论相似。本组患者中毒第7天V%GGOs的ROC曲线提示阈值为0.16,AUC面积0.967,灵敏度100%,特异度83.33%,约登指数为0.8333,虽然能较好区分生存及死亡预后,但为时较晚。这跟国内外学者研究存在一定差异[21],差异原因主要与文献报道中肺损伤面积评价基于固定层面(主动脉弓层面、主肺动脉窗层面、左上叶支气管层面等)选择有关。本研究对患者胸部HRCT进行三维重构,可以精确量化GGOs的体积及其占肺比,规避上述方法带来的诸如层面数代表性不强、低估肺损害程度等不足,结果更加真实可靠。
本研究存在以下局限性:⑴为单中心,小样本研究;⑵鉴于经济条件、患者安全性等综合因素考虑,未予每日行胸部HRCT评估肺内情况,而是选择第3、5、7天肺损伤容易出现及病情进展较快的时间点;⑶因临床工作中,早期出现实变、胸腔积液等影像学改变的百草枯中毒患者比例偏低,本研究未分析胸部HRCT中的其他影像改变;⑷本系统软件未实现自动化,在分析过程中还需放射医生选择范围,可能会带来选择偏倚。
综上所述,通过三维重建评估急性PQ中毒患者胸部HRCT的GGOs占比是目前评估PQ中毒早期预后的一项较有意义的辅助指标,尤其是中毒后第5天V%GGOs灵敏度及特异度均较高,如果GGOs体积占比超过14%时,患者预后死亡风险很高。
利益冲突 所有作者均声明不存在利益冲突
| [1] | Lin JL, Lin-Tan DT, Chen KH, et al. Improved survival in severe paraquat poisoning with repeated pulse therapy of cyclophosphamide and steroids[J]. Intensive Care Med, 2011, 37(6): 1006-1013. DOI:10.1007/s00134-010-2127-7 |
| [2] | 中国医师协会急诊医师分会. 急性百草枯中毒诊治专家共识(2013)[J]. 中国急救医学, 2013, 33(6): 484-489. DOI:10.3969/j.issn.1002-1949.2013.6.002 |
| [3] | Sun B, Chen YG. Advances in the mechanism of paraquat-induced pulmonary injury[J]. Eur Rev Med Pharmacol Sci, 2016, 20(8): 1597-1602. |
| [4] | Xu L, Xu J, Wang Z. Molecular mechanisms of paraquat-induced acute lung injury: a current review[J]. Drug Chem Toxicol, 2014, 37(2): 130-134. DOI:10.3109/01480545.2013.834361 |
| [5] | 崔文华, 邱泽武, 孙成文, 等. 急性百草枯中毒患者早期血浆毒物浓度检测的意义[J]. 药物不良反应杂志, 2013, 15(2): 79-82. DOI:10.3760/cma.j.issn.1008-5734.2013.02.005 |
| [6] | Senarathna L, Eddleston M, Wilks MF, et al. Prediction of outcome after paraquat poisoning by measurement of the plasma paraquat concentration[J]. QJM, 2009, 102(4): 251-259. DOI:10.1093/qjmed/hcp006 |
| [7] | 才权, 刘志. 急性百草枯中毒早期死亡相关因素分析[J]. 中华危重病急救医学, 2014, 26(6): 379-382. DOI:10.3760/cma.j.issn.2095-4352.2014.06.003 |
| [8] | Kang X, Hu DY, Li CB, et al. The volume ratio of ground glass opacity in early lung CT predicts mortality in acute paraquat poisoning[J]. PLoS One, 2015, 10(4): e121691. DOI:10.1371/journal.pone.0121691 |
| [9] | 王欢, 俞同福, 张伟, 等. 百草枯中毒患者早期胸部CT表现对预后的评估[J]. 南京医科大学学报(自然科学版), 2015, 35(2): 234-236. DOI:10.7655/NYDXBNS20150222 |
| [10] | 李竞, 赵继华, 张泉, 等. 高分辨率CT评价磨玻璃密度影对急性百草枯中毒患者的预后价值[J]. 中华危重病急救医学, 2015, 27(4): 270-273. DOI:10.3760/cma.j.issn.2095-4352.2015.04.009 |
| [11] | 李国强, 魏路清, 刘阳, 等. 持续血浆灌流清除百草枯中毒患者血中百草枯的临床研究[J]. 中华危重病急救医学, 2011, 23(10): 588-592. DOI:10.3760/cma.j.issn.1003-0603.2011.10.006 |
| [12] | Oikonomou A, Prassopoulos P. Mimics in chest disease: interstitial opacities[J]. Insights Imaging, 2013, 4(1): 9-27. DOI:10.1007/s13244-012-0207-7 |
| [13] | Cartin-Ceba R, Hubmayr RD, Qin R, et al. Predictive value of plasma biomarkers for mortality and organ failure development in patients with acute respiratory distress syndrome[J]. J Crit Care, 2015, 30(1): 219.e1-219.e7. DOI:10.1016/j.jcrc.2014.09.001 |
| [14] | 高艳霞, 王艺博, 李毅, 等. 急性百草枯中毒导致多器官损伤的临床观察[J]. 中华急诊医学杂志, 2020, 29(11): 1411-1416. DOI:10.3760/cma.j.issn.1671-0282.2020.11.006 |
| [15] | 赵义, 许铁. 百草枯中毒肺损伤CT表现及预后分析[J]. 中国CT和MRI杂志, 2015, 13(12): 14-16. DOI:10.3969/j.issn.1672-5131.2015.12.005 |
| [16] | 黄林, 叶敏. 百草枯中毒肺损害首诊CT表现与预后的关系[J]. 实用医学影像杂志, 2011, 12(4): 214-216. DOI:10.3969/j.issn.1009-6817.2011.04.004 |
| [17] | 宋成珍, 菅向东. 百草枯中毒存活患者肺部HRCT影像学与肺功能动态变化[J]. 中国工业医学杂志, 2016, 29(2): 95-98. DOI:10.13631/j.cnki.zggyyx.2016.02.004 |
| [18] | Zhang H, Liu P, Qiao P, et al. CT imaging as a prognostic indicator for patients with pulmonary injury from acute paraquat poisoning[J]. Br J Radiol, 2013, 86(1026): 20130035. DOI:10.1259/bjr.20130035 |
| [19] | Cevidanes LH, Motta A, Proffit WR, et al. Cranial base superimposition for 3-dimensional evaluation of soft-tissue changes[J]. Am J Orthod Dentofacial Orthop, 2010, 137(4 suppl): S120-S129. DOI:10.1016/j.ajodo.2009.04.021 |
| [20] | 杨旭, 刘志. 重建肺损伤3D图像对急性百草枯中毒预后的评估[J]. 中国医科大学学报, 2013, 42(6): 557-559. DOI:10.3969/j.issn.0258-4646.2013.06.020 |
| [21] | Kim YT, Jou SS, Lee HS, et al. The area of ground glass opacities of the lungs as a predictive factor in acute paraquat intoxication[J]. J Korean Med Sci, 2009, 24(4): 636-640. DOI:10.3346/jkms.2009.24.4.636 |
2021, Vol. 30



