肺爆震伤多合并烧伤、出血等复合性损伤, 往往会因血流动力学不稳、手术、创面及血流感染等因素需要大量补液进行液体复苏, 但过多的容量负荷会使急性肺损伤加重,甚至进展为呼吸衰竭及ARDS,因此液体复苏策略至关重要。肺部超声指导下的液体复苏可能是该类患者较为适合的精准复苏方案。
1 资料与方法本研究已通过浙江大学附属二院伦理委员审批,伦理审批号:研2020-586,患者直系亲属已进行相关授权并签字。
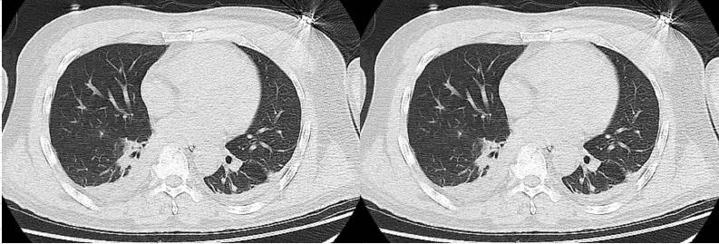
患者,男,42岁,因“爆炸烧伤致头颈、躯干、四肢疼痛2 d”于2020年6月15日由外院转入浙江大学医学院附属第二医院滨江院区急诊ICU。入院诊断:烧爆复合伤:1.头面部、双上肢、髋部及左下肢深二度烧伤(38%)2.肺部爆震伤。入院查体:患者神情,精神软,急性生理和慢性健康状况评分Ⅱ(APACHEⅡ评分)9分, 体温37.6℃, 心率115次/min, 呼吸24次/min鼻塞吸氧(5 L/min),氧饱和度95%~99%,心肺听诊阴性,腹软,无压痛反跳痛,肠鸣音2~3次/min,颜面部及胸前可见大片烧伤,予阴离子纱布覆盖,双上肢及左下肢纱布包裹,可见少许渗液。入院给予清创换药,留置鼻肠管行肠内营养,哌拉西林他唑巴坦4.5 g/8h抗感染,输注血浆及白蛋白等对症治疗;并完成术前相关检查。入院后第3天开始出现氧合指数下降:由入院当天的325降至178;氧疗方式改为经鼻高流量吸氧:流量50 L/min,吸入氧体积分数45%;行胸部CT与入院当日相比未见明显加重(图 1):两下肺少许渗出,两侧少量胸腔积液;肺部超声评分(总分36分)由入院当天的19分上升至第3天的26分。同时患者出现高热,血压下降,炎症指标上升,考虑创面细菌入血导致的感染性休克,予调整抗生素方案(加用替加环素)并进行液体复苏:当天24 h正平衡2 600 mL,考虑患者入院后肺水明显增加且合并肺部爆震伤,我科采取超声指导下的限制性液体复苏策略:①予小剂量去甲肾上腺素稳定血压,维持脏器功能循环;②为尽量减少肺水的进一步增加,予肺部超声评估下的限制性液体复苏,关注肺部超声评分和氧合指数的变化。每日行肺部超声,根据肺部超声评分降低肺水含量(见图 2),适当利尿,治疗期间液体负荷量及氧合指数见图 3。患者入院后第6天行“双上肢切痂、异体皮覆盖术及头面躯干部清创术”,术后患者机械通气情况下氧分压仍偏低,考虑患者后期需多次手术及肺部情况给予气管切开术。术后循环呼吸逐渐稳定,经过烧伤科四次切痂及植皮手术,多学科团队综合治疗,患者3周顺利脱机并拔除气切套管;4周后患者转当地医院继续康复治疗。
|
| 图 1 患者入院当日及第3天胸部CT变化 |
|
|
|
| 图 2 患者入院3周内每日液体负荷和氧合指数变化 |
|
|
|
| 图 3 患者入院3周内每日肺部超声评分(LUS)变化 |
|
|
爆炸导致的冲击波引起组织的压缩和损伤, 肺组织容易压缩、同时肺组织中存在气液界面, 因此更容易损伤, 压缩或剪切力导致组织的破坏, 并继发出血和水肿[1]。肺爆震伤常缺乏外观可见的胸部伤口, 早期症状和体征不一定很明显, 有“外轻内重、发展迅速”的特点, 其特有的肺部病理生理特点, 给常规的液体复苏和机械通气带来挑战, 导致救治困难, 病死率高。爆炸后冲击波引起的肺损伤, 类似于胸部钝器伤所造成的肺挫伤[2]。冲击波沿胸壁传播, 从组织穿过充满空气的肺泡, 在气液平面交界处, 主要通过散裂力、内爆力和惯性力导致毛细血管肺泡界面的破坏, 随后肺内出血和水肿, 导致肺损伤。散裂力导致肺出血; 内爆效应导致肺泡破裂, 肺泡中的气体进入肺循环(如空气栓塞); 冲击波在不同密度的组织中传播速度不同, 因而产生的剪切力称为惯性力。以上3种力共同作用导致肺泡毛细血管和肺泡壁等一系列损伤, 导致气胸、间质肺气肿、气体栓塞、肺出血、肺水肿等一系列病理和生理学改变[3]。肺泡中渗出的血液和血红蛋白导致氧自由基的形成、水肿和早期炎症反应的放大和氧化应激的增强, 进一步导致白细胞聚集, 随之导致上皮细胞损伤(在12~24 h)、内皮细胞损伤(在24~56 h)和最后导致典型的ARDS[4-5]。
肺部超声评分(lung ultrasound score, LUS)是通过床旁超声评估肺部通气情况的一种方法,是急诊危重症超声的重要组成部分之一,在急诊及ICU广泛应用已超过10年;该超声评估手段已经被证实可以预测ARDS的发生,机械通气患者的拔管失败率以及急性呼吸衰竭患者的插管率[6]。已有多项国外多中心研究证实肺部超声评分通过准确评估机械通气患者拔管前,拔管后的肺通气情况来预测拔管后的再插管率的风险值;LUS ≥ 14分的ICU患者拔管后的发生呼吸衰竭及再插管率明显高于LUS < 14分的患者[7]。Bouhemad等[8]研究显示,在抗生素治疗VAP过程中,肺部超声显示肺部通气改变比床旁X线胸片更为精确。肺部超声在多种肺部疾病诊断方面具有较强的优势:准确评估俯卧位通气肺部通气变化、呼吸末正压(PEEP)对ARDS的肺复张效果、呼吸相关性肺炎治疗过程中肺通气变化及肺水肿患者肺复张的通气变化。
笔者根据该病例总结烧伤合并肺部爆震伤治疗难点及液体管理如下:
(1) 患者由于大面积烧伤、创面感染、血流感染,中心静脉及动脉置管引起的导管相关感染较普通危重症患者高,容量评估依赖肺部超声及下腔静脉等无创手段持进行比较合适。
(2) 肺部爆震伤导致的急性肺损伤,肺通气血流及顺应性下降,氧合指数的下降可以与患者临床表现、肺部影像不匹配,需要严密监测患者循环呼吸的变化,及早进行干预及治疗。
(3) 严重烧伤患者容量复苏的情况下,限制性的液体复苏尤为重要,肺部的损伤在高容量的情况下更容易导致急性肺损伤加重,甚至ARDS的发生。因呼吸衰竭使用机械通气后患者发生呼吸机相关性肺炎、深静脉血栓等并发症的发生率大大增加,增加住院时间及影响患者预后。
(4) 该患者治疗过程中因病情需要多次进行液体复苏;患者需要使用悬浮床进行治疗,隐性体液丢失明显,容量评估难度大且极其重要;治疗期间出现脓毒症甚至脓毒性休克也需要液体复苏;患者多次手术,术中失血及补液量大,需要反复输注白蛋白、血浆、红细胞等胶体液,术前及术后容量评估也十分关键。
该病例患者入院后出现低氧血症的原因首先考虑肺部爆震伤及液体复苏过程中的容量过负荷,但同时也需要警惕手术、感染引起的SIRS对肺部的“二次打击”;患者无明显胸闷气急症状,肺部影像难以解释低氧血症情况,结合患者爆震伤病史、胸部及躯干部位烧伤,需要考虑肺部爆震伤引起肺通气血流变化及顺应性的病理生理学改变。因此,包括中心静脉压(CVP)、PICCO以及床旁超声等在内的容量监测管理对于该患者治疗过程中的作用显得更为重要。肺部超声可以床边实时反复评估肺部通气情况,并间接评判患者容量水平;可成为该类患者容量及肺部通气情况评估的有效且实用的工具。有研究提出, 肺爆震伤患者避免过度补液是很重要的, 因为肺泡膜的破坏和毛细血管通透性的增加会导致液体在肺内的沉积而加重肺水肿, 但是肺爆震伤多合并有烧伤、出血等复合性损伤, 往往会因血流动力学不稳而需要大量补液, 因此液体复苏策略至关重要[9-10]。因此,肺部超声指导下的液体复苏可能是该类患者较为适合的精准复苏方案。
该患者在肺部超声指导下进行液体复苏,成功度过烧伤休克期及感染性休克,病情逐渐稳定后根据肺部超声评分逐渐减少液体负荷水平,可相应减少并发症导致的机械通气天数延长,并相应的缩短了患者ICU住院天数。肺部超声指导下对该类患者的液体复苏可能是易于操作且有效的,但仍然需结合患者临床表现,综合专科意见以及参考如下腔静脉变异率等容量评估指标来决策患者治疗。
利益冲突 所有作者均声明不存在利益冲突。
| [1] | Avidan V, Hersch M, Armon Y, et al. Blast lung injury: clinical manifestations, treatment, and outcome[J]. Am J Surg, 2005, 190(6): 945-950. DOI:10.1016/j.amjsurg.2005.08.022 |
| [2] | MacKenzie IMJ, Tunnicliffe B. Blast injuries to the lung: epidemiology and management[J]. Phil Trans R Soc B, 2011, 366(1562): 295-299. DOI:10.1098/rstb.2010.0252 |
| [3] | McDonald Johnston A, Ballard M. Primary blast lung injury[J]. Am J Respir Crit Care Med, 2015, 191(12): 1462-1463. DOI:10.1164/rccm.201501-0063im |
| [4] | Scott TE, Kirkman E, Haque M, et al. Primary blast lung injury - a review[J]. Br J Anaesth, 2017, 118(3): 311-316. DOI:10.1093/bja/aew385 |
| [5] | 苏时祯, 赖国祥, 张雷. 肺爆震伤治疗的研究进展[J]. 国际呼吸杂志, 2019, 39(2): 156-160. DOI:10.3760/cma.j.issn.1673-436X.2019.02.016 |
| [6] | 卢骁, 高玉芝, 吴春双, 等. 经鼻高流量氧疗在基于肺超声评估的高风险脱机患者中的应用[J]. 中华急诊医学杂志, 2018, 27(004): 367-372. DOI:10.3760/cma.j.issn.1671-0282.2018.04.006 |
| [7] | Arbelot C, Ferrari F, Bouhemad B, et al. Lung ultrasound in acute respiratory distress syndrome and acute lung injury[J]. Curr Opin Crit Care, 2008, 14(1): 70-74. DOI:10.1097/mcc.0b013e3282f43d05 |
| [8] | Bouhemad B, Brisson H, Le-Guen M, et al. Bedside ultrasound assessment of positive end-expiratory pressure–induced lung recruitment[J]. Am J Respir Crit Care Med, 2011, 183(3): 341-347. DOI:10.1164/rccm.201003-0369oc |
| [9] | 张伟, 宋斌, 孙建忠. 特重烧伤复合肺爆震伤的临床观察和治疗[J]. 第一军医大学学报, 2005, 25(10): 1302-1304. |
| [10] | Chang Y, Zhang DH, Liu LY, et al. Simulation of blast lung injury induced by shock waves of five distances based on finite element modeling of a three-dimensional rat[J]. Sci Rep, 2019, 9: 3440. DOI:10.1038/s41598-019-40176-7 |
2020, Vol. 29



