急性一氧化碳中毒迟发性脑病(delayed encephalopathy after acute carbon monoxide poisoning, DEACMP)是急性一氧化碳中毒最严重神经系统的并发症,是经过2~60 d的假愈期后,出现以性情改变为主要表现的一类精神神经疾病,单用中毒引起的脑组织缺氧缺血损伤,不能完全解释DEACMP的病情进展过程,在众多机制研究中,一氧化氮(NO)介导损伤机制参与了DEACMP的发生[1]收到大家普遍认可,NO是参与许多生物途径的气体信号分子,NO具有神经毒性和神经保护双重的作用,取决于细胞产生一氧化氮合酶(nitric oxide synthase,NOS)的类型和时间阶段,NO是由NOS在体内产生的,NOS具有三种亚型:神经元型NOS(neuronal nitric oxide synthase,nNOS)、内皮型NOS(endothelial nitric oxide synthase,eNOS)和诱导型NOS(inducible nitric oxide synthase,iNOS)[2]。3种NOS在缺氧或缺血性脑损伤中的作用不同。本研究旨在检测iNOS、nNOS在DEACMP中表达及其与海马神经元变性坏死的相关性分析,探讨iNOS、nNOS在DEACMP发生发展过程中的作用,为探索DEACMP的进一步治疗提供新的理论依据。
1 材料与方法 1.1 实验动物选择健康Sprague-Dawley(SD)大鼠(购自宁夏医科大学动物实验中心),雄性,体质量280~330 g,动物检疫合格证号(SCXK(X)20150001)。将大鼠随机分配分笼饲养,每笼4只,给予足够的饮水和饲料,饲养于温度22~25℃,相对湿度60%~70%的环境,自由饮食、饮水。适应一周时间后开始实验。
1.2 实验试剂及仪器CO气体(99.99%)购自佛山市科的气体化工有限公司;兔二部法检测试剂盒、DAB显色试剂盒、全蛋白提取试剂盒、5X蛋白上样缓冲液、BCA蛋白含量检测试剂盒、β-actin、辣根酶标记山羊抗兔IgG均购自北京中杉金桥生物技术有限公司;Anti-iNOS(ab5323)、Anti-nNOS(ab5586)一抗均购自Abcam;石蜡切片机(Leica Rm2235)购自Leica公司;Olympus显微照相仪购自Olympus公司。
1.3 动物分组选取72只雄性SD大鼠,编号后按随机数字表法,随机分为:DEACMP组,给予等体积CO纯品气体腹腔注射;正常组,不进行任何预处理,每组36只。每组大鼠根据造模前后不同时间段,将两组分别分成造模前、造模1 d、造模7 d、造模14 d、造模21 d、造模28 d各6组,共12组,每个小组6只。
1.4 DEACMP模型的制备及判定标准采用改良式腹腔注射CO法建立DEACMP大鼠模型首次注射99.99% CO气体120 mL/kg,后连续注射3次,每次按照首次剂量的2/3,间隔4 h[3]。参照Ochi等[4]对DEACMP模型的判定标准。首先中毒后出现口唇、鼻黏膜等四肢末端皮肤呈现樱桃红色改变,呼吸急促,全是皮毛耸立,行动迟缓,步态不稳,四肢软瘫等急性中毒表现。其次通过Morris水迷宫测试的平均潜伏期,较训练时是否延长,或测试的穿越平台次数较训练时是否减少,初步帅选出DEACMP模型,最后通过HE染色观察神经元变性坏死情况,在形态学基础上进一步验证模型[5]。根据以上三点判定DEACMP模型。SD大鼠先经过Morris水迷宫训练5 d,每次航行总时间为60 s,记录大鼠上平台时间,此时间为潜伏期,第6天筛选出60 s以内能找到平台的合格SD大鼠,若大鼠在60 s内未找到平台,剔除,继续补充大鼠训练,把大鼠四个象限逃避潜伏期的平均值记为平均逃避潜伏期。
1.5 海马神经元HE染色DEACMP在基底节区、海马区及小脑神经元出现变性坏死等是最常见的病理改变[6],采用改良式腹腔注射CO法建立DEACMP模型。经过Morris水迷宫初步筛选出DEACMP的大鼠,经10%水合氯醛(3 mL/kg)腹腔注射麻醉后仰卧位固定于操作台上,先以0.9%生理盐水(约200 mL)灌注,后用4%多聚甲醛(约150 mL/只)灌注直至大鼠四肢及尾巴苍白僵硬,断头取脑,制备石蜡切片HE染色,在40倍镜下观察,细胞核被苏木精染成蓝色,细胞质被伊红染成红色,将细胞核被苏木精蓝色变形、深染的细胞计为变性坏死的神经元。采用Image Pro Plus图像处理软件,对海马区变性坏死的神经元计数统计分析。
1.6 免疫组织化学法检测iNOS、nNOS在海马区的表达将包埋好的蜡块切片,贴片,烤片,脱蜡,梯度酒精至水化。采用微波炉加热法抗原修复,用0.3%过氧化氢去除内源性过氧化物酶,滴加1%胎牛血清稀释液封闭抗原1 h,加入一抗(Anti-iNOS 1:100,Anti-nNOS 1:200)室温下孵育30 min后转入4℃冰箱过夜,洗去一抗,加入二抗(增强酶标山羊抗兔IgG聚合物50 μL),37℃孵育1 h,洗去二抗,加入DAB显色液,在显微镜下观察显色强度,待细胞着色而背景无变化时终止反应,苏木精复染,梯度乙醇脱水,透明,封片,光镜下拍照,采用Image Pro Plus 6.0统计各组切片的平均吸光度(AOD)值, 对海马iNOS、nNOS的表达水平进行半定量分析。
1.7 Western blot法检测各组不同时间段海马区iNOS、nNOS蛋白的表达取海马组织,采用蛋白提取试剂盒提取海马组织中的蛋白,于4 ℃低温离心机12 000 r/min离心5 min,取上清液分装,在-80℃冰箱中保存待用。采用BCA法测定提取液中蛋白浓度。配分离胶、浓缩胶,取50 μg蛋白进行十二烷基硫酸钠(SDS)-聚丙烯酰胺凝胶电泳(PAGE),转到已激活的聚偏二氟乙烯(PVDF)膜上,用含5%脱脂奶粉的TBST室温封闭2 h,加入一抗(Anti-iNOS 1:500,Anti-nNOS 1:1 000, β-actin 1:2 000)4℃孵育床过夜,次日加入二抗(辣根酶标记山羊抗兔IgG 1:5 000)室温孵育2 h,滴加ECL发光液后曝光图像,运用Image J进行条带灰度值分析,以iNOS/β-actin和nNOS/β-actin表示目的蛋白的相对表达水平。
1.8 统计学方法应用SPSS 21.0软件统计分析。计量资料以均数±标准差(Mean±SD)表示,对各组实验结果进行正态性检验及方差分析,各组间均数比较采用两独立样本的t检验。iNOS、nNOS蛋白相对表达量与变性坏死神经元进行相关性分析,用Graph Pad Prism 8软件,以P < 0.05为差异有统计学意义。
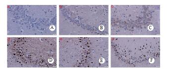
2 结果 2.1 两组大鼠海马神经元变性坏死计数的比较通过HE染色在40倍镜下观察海马区神经元,在DEACMP组造模14 d以后可见细胞排列紊乱,胞核出现固缩变形、溶解、碎裂,细胞的完整结构消失,部分区域细胞呈空泡样,取而代之是被苏木精蓝色深染、变性坏死的神经元,用Image-Pro Plus软件统计海马区变性坏死的神经元计数,结果显示在造模前、造模1 d、造模7 d两组海马神经元变性坏死计数比较,差异无统计学意义(P > 0.05),在造模14 d、造模21 d、造模28 d两组比较差异有统计学意义(P < 0.05)见表 1、图 1。
| 组别 | n | 造模前 | 造模1 d | 造模7 d | 造模14 d | 造模21 d | 造模28 d |
| 正常组 | 6 | 25.57±2.98 | 25.36±1.77 | 25.82±1.53 | 26.64±1.41 | 26.91± 1.76 | 27.07±1.44 |
| DEACMP组 | 6 | 26.82±2.25 | 26.22±1.45 | 25.82±2.46 | 83.41±14.2a | 70.25±16.5a | 63.88±7.48a |
| t值 | 0.35 | 1.25 | 0.88 | 92.13 | 40.61 | 137.17 | |
| P值 | 0.71 | 0.31 | 0.44 | 0.00 | 0.00 | 0.00 | |
| 注:与正常组比较aP < 0.05 | |||||||
|
| A.海马神经元病理改变(HE染色x400)A:正常组, B:造模1d, C:造模7d, D:造模14d, E:造模21d, F:造模28d;B.两组不同时间海马神经元变性坏死计数比较,aP < 0.05, n=6 图 1 两组大鼠不同时间段海马神经元变性坏死计数比较 Fig 1 Comparison of counts of hippocampal degenerated and necrotic neurons in different time periods between the two groups |
|
|
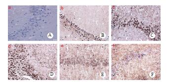
iNOS和nNOS阳性染色主要在神经元细胞膜表达,显色呈棕色深染色的颗粒。iNOS蛋白表达在造模7 d开始,造模14 d、造模21 d、造模28 d呈现逐渐增强趋势,与正常组比较,差异有统计学意义(P < 0.05)。nNOS蛋白表达在造模1 d开始,造模7 d、造模14 d表达呈现上升趋势,与正常组比较,差异有统计学意义(P < 0.05),到造模21 d、造模28 d表达呈现减退趋势。见表 2、表 3、图 2、图 3。
| 组别 | n | 造模前 | 造模1 d | 造模7 d | 造模14 d | 造模21 d | 造模28 d |
| 正常组 | 6 | 0.26±0.01 | 0.26±0.01 | 0.25±0.01 | 0.25±0.01 | 0.25±0.01 | 0.26±0.01 |
| DEACMP组 | 6 | 0.27±0.01 | 0.26±0.01 | 0.29±0.01a | 0.97±0.03a | 0.66±0.02a | 0.66±0.02a |
| t值 | 1.31 | 0.59 | 8.70 | 63.42 | 44.25 | 59.40 | |
| P值 | 0.22 | 0.57 | 0.00 | 0.00 | 0.00 | 0.00 | |
| 注:与正常组比较aP < 0.05 | |||||||
| 组别 | n | 造模前 | 造模1 d | 造模7 d | 造模14 d | 造模21 d | 造模28 d |
| 正常组 | 6 | 0.27±0.02 | 0.28±0.03 | 0.28±0.03 | 0.28±0.03 | 0.28±0.03 | 0.28±0.03 |
| DEACMP组 | 6 | 0.27±0.03 | 1.02±0.04a | 1.66±0.04a | 1.54±0.03a | 0.54±0.013a | 0.31±0.01 |
| t值 | 0.2 | 34.00 | 72.18 | 71.63 | 19.69 | 2.19 | |
| P值 | 0.84 | 0.00 | 0.00 | 0.00 | 0.00 | 0.07 | |
| 注:与正常组比较aP < 0.05 | |||||||
|
| A:正常组,B:DEACMP组造模1d, C:DEACMP组造模7d, D:DEACMP组造模14d, E:DEACMP组造模21d, F:DEACMP组造模28 d. 图 2 海马CA3区iNOS的表达(免疫组织化学x400) Fig 2 Expression of iNOS in the CA3 area of the hippocampus(immunohistochemistry x 400) |
|
|
|
| A:正常组,B:DEACMP组造模1 d, C:DEACMP组造模7d, D:DEACMP组造模14d, E:DEACMP组造模21d, F:DEACMP组造模28d. 图 3 海马CA3区nNOS的表达(免疫组织化学x400) Fig 3 Expression of nNOS in the CA3 area of the hippocampus(immunohistochemistry x 400) |
|
|
iNOS、nNOS在正常组都有一定量的表达,与DEACNP组造模前比较无统计学意义(P > 0.05)。iNOS在造模后7 d开始有表达,造模后14 d、21 d、28 d呈现逐渐增强趋势,与正常组比较,差异有统计学意义(P < 0.05)。nNOS在造模后1 d开始表达,造模后7 d、14 d表达呈现上升趋势,与正常组比较差异有统计学意义(P < 0.05),到造模后21 d、28 d表达呈现减退趋势,与正常组比较差异无统计学意义(P > 0.05)。见表 4、表 5、图 4、图 5。
| 组别 | n | 造模前 | 造模1 d | 造模7 d | 造模14 d | 造模21 d | 造模28 d |
| 正常组 | 6 | 0.18±0.00 | 0.18±0.00 | 0.19±0.00 | 0.19±0.10 | 0.19±0.10 | 0.19±0.10 |
| DEACMP组 | 6 | 0.18±0.00 | 0.18±0.00 | 0.24±0.00a | 0.54±0.10a | 1.34±0.10a | 1.38±0.20a |
| t值 | 0.00 | 0.15 | -11.47 | -59.81 | -194.54 | -205.28 | |
| P值 | 1.00 | 0.69 | 0.00 | 0.00 | 0.00 | 0.00 | |
| 注:与正常组比较aP < 0.05 | |||||||
| 组别 | n | 造模前 | 造模1 d | 造模7 d | 造模14 d | 造模21 d | 造模28 d |
| 正常组 | 6 | 0.15±0.00 | 0.15±0.10 | 0.15±0.11 | 0.16±0.01 | 0.15±0.01 | 0.14±0.00 |
| DEACMP组 | 6 | 0.15±0.00 | 0.37±0.00a | 0.61±0.00a | 1.02±0.01a | 0.14±0.00 | 0.14±0.01 |
| t值 | 0.00 | -51.89 | -77.51 | -160.52 | 1.62 | 1.75 | |
| P值 | 1.00 | 0.00 | 0.00 | 0.00 | 0.14 | 0.12 | |
| 注:与正常组比较aP < 0.05 | |||||||
|
| 与正常组比较aP < 0.05, n=6 图 4 DEACMP大鼠海马iNOS蛋白表达 Fig 4 Expression of iNOS protein in hippocampus of DEACMP rats |
|
|
|
| 与征常组比较,P<0.05,n=6 . 图 5 DEACMP大鼠海马nNOS蛋白表达 Fig 5 Expression of nNOS protein in hippocampus of DEACMP rats |
|
|
用SPSS20.0软件对DEACMP组的iNOS相对表达量与其海马CA3区的神经元变性坏死计数行相关性分析,相关系数r=0.661,P < 0.05,差异有统计学意义,两者呈正相关;nNOS相对表达量与其海马CA3区的神经元变性坏死计数行相关性分析,相关系数r=0.281,P > 0.05,差异无统计学意义,两者无相关性,见图 6。
|
| 图 6 iNOS. nNOS表达与海马CA3区神经元变性坏死计数相关性比较 Fig 6 Comparison of correlation between the expression of iNOS and nNOS and the count of degenerated and necrotic neurons in hippocampal CA3 anea |
|
|
DEACMP是急性CO中毒后以中枢神经系统损害为主要表现的疾病,通常表现为记忆力下降、认知功能障碍等神经精神症状,其机制复杂,目前存在多种学说,其中NO介导神经损伤在DEACMP的发生发展过程中起到了重要作用[7]。一氧化氮(NO)是重要的信号分子,参与神经系统功能相关的各种关键活动,例如细胞内和细胞间信号传递、突触可塑性和细胞稳态[8]。NO在缺血性脑卒中发挥的有益或有害作用取决于NO产生的时间、部位、浓度和催化NO合成NOS[9]。高浓度的NO促进神经变性[10],Guo等[11]研究表明NO介导的损伤机制参与了DEACMP的发生发展。Zakarya等[12]研究表明NO影响大鼠脑外伤后神经功能缺损程度。Yin等[13]研究提示通过抑制NO信号传导减轻成年小鼠手术引起的神经炎性认知障碍。在生理条件下,NO充当神经递质或神经调节剂,可调控血管舒张、抑制血小板和白细胞聚黏附、调节神经递质在突触之间传递、抑制神经元凋亡等保护作用[14]。在病理条件下,NO神经损伤的机制可能有以下几点:①自由基氧化应激损伤NO与体内超氧阴离子(O2-)形成超氧亚硝酸根离子(ONOO-),ONOO-可使细胞变性凋亡、自噬蛋白表达上调[15]。②NO介导兴奋性氨基酸的神经毒性作用NO激活谷氨酸等兴奋性氨基酸,激活N-甲基-D-天冬氨酸(NMDA)受体,介导细胞内钙超载,导致神经元损伤[16]。③线粒体损伤NO破坏呼吸链复合酶,抑制线粒体的电子传递,从而导致线粒体能量代谢衰竭、Na+-K+-ATP酶活性降低、血脑屏障受损,引起脑水肿[17]。④过量的NO激活环氧酶(COX)产生,COX产生自由基(OFR)和前列腺素(PGs),两者均具有很强的促炎功能,产生神经毒性[18]。⑤免疫介导损伤NO是连接非特异性和特异性免疫系统的信使,CD4+辅助T细胞和CD8+细胞毒性T细胞调控NOS表达NO,NO诱导具有生物学意义的蛋白质翻译后共价修饰,例如酪氨酸硝化或半胱氨酸巯基的S-亚硝化而介导神经损伤[19]。由于NO的半衰期仅数秒钟,所以一般通过检测NOS的表达水平反应体内NO的浓度高低。有研究[20]显示,海马区的nNOS和iNOS在压力反射控制中的差异作用。在DEACMP发生发展的过程中iNOS、nNOS在各自起到的作用没有阐明,因此,本研究探讨了iNOS、nNOS在DEACMP中的表达及其与神经元变性坏死计数的相关性分析,提示在正常组、DEACMP组造模前iNOS、nNOS都有低水平的表达,NOS低水平表达产生的NO,对于维持神经元细胞功能具有重要作用[21]。在DEACMP组,iNOS在造模7 d、造模14 d、造模21 d、造模28 d呈现逐渐增强趋势,并且与变性坏死的神经元呈正相关;nNOS在造模1 d、造模7 d、造模14 d呈现上升趋势,在造模21 d、造模28 d呈下降趋势,与变成坏死的神经元无相关性。
nNOS在神经元细胞中表达,参与神经元可塑性,记忆形成,神经递质释放的传输。研究[22]表明nNOS衍生的NO有助于调节突触可塑性,对阿尔茨海默氏病的发展具有神经保护作用。也有研究[23]发现nNOS能够加强突触之间的联系对大脑神经突触可塑性具有重要作用,但是中枢神经系统内nNOS过度表达,NO的过量产生,导致神经毒性[24]。Kawasaki H等[25]研究显示依达拉奉通过抑制nNOS表达,而产生对脑缺血和再灌注的脑保护作用。本实验结果显示,nNOS在DEACMP组表达的早,在造模后1 d开始表达,持续时间较iNOS短,在造模后14 d开始下降。虽然nNOS表达与神经元的变性坏死没有相关性,但是随着nNOS的表达量逐渐增加,海马区也会出现变性坏死的神经元细胞,说明nNOS过度表达后可能产生神经毒性作用。
iNOS在中枢神经系统中由星形胶质细胞和小胶质细胞产生[26],iNOS的表达在转录翻译水平进行,它可以产生大量的NO。有研究[27]显示,iNOS的过表达或失调涉及包括败血症、癌症、神经变性等多种疾病。CD4+和CD8+T细胞调控iNOS表达产生大量的NO,iNOS被认为是免疫源NOS[28]。本实验结果显示,iNOS在DEACMP组表达延迟,在造模后7 d才开始表达,持续时间较nNOS长,至造模后28 d仍然高表达,伴随着海马神经元的变性坏死,说明iNOS持续高表达在DEACMP的发生发展过程中起到了重要作用。Dong等[29]研究显示miR-96在帕金森病小鼠中通过MAPK信号通路来抑制iNOS表达,而产生治疗帕金森病的脑保护作用。目前DEACMP治疗尚无特效药物治疗,治疗效果欠佳,探索新的治疗方法,在DEACMP治疗过程中有重要的实用价值。有研究显示,iNOS的抑制可改善外伤应激诱导的突触可塑性和记忆力的缺陷[30],一氧化氮合酶抑制作为围产期窒息后的缺氧缺血性脑病后的神经保护策略[31],NOS抑制剂有可能是脑损伤的神经靶向药物[32]。iNOS抑制剂可能成为下一步研究DEACMP治疗的一种方法。
综上所述,iNOS在急性CO中毒后动态表达与DEACMP疾病的进展有正相关,这对于我们今后开展iNOS抑制剂治疗DEACMP的研究,提供了前期基础研究的实验依据。虽然nNOS的动态表达未表现出与DEACMP有相关性,但是正常海马nNOS低水平的表达可能有助于海马调控突触可塑性、学习记忆等,需要进一步实验验证。
利益冲突 所有作者均声明不存在利益冲突。
| [1] | 包秋胜, 刘亚泽, 宁荣霞, 等. NF-κB/nNOS信号通路在小鼠急性CO中毒迟发性脑病发生中的作用[J]. 神经解剖学杂志, 2019, 35(01): 75-80. DOI:10.16557/j.cnki.1000-7547.2019.01.012 |
| [2] | Liu HT, Li J, Zhao FY, et al. Nitric oxide synthase in hypoxic or ischemic brain injury[J]. Rev Neurosci, 2015, 26(1): 105-117. DOI:10.1515/revneuro-2014-0041 |
| [3] | 高浩然, 王宝军, 项文平, 等. 腹腔注射法与吸入法建立急性一氧化碳中毒迟发性脑病动物模型的对比研究[J]. 中华诊断学电子杂, 2018, 6(03): 207-210. DOI:10.3877/cma.j.issn.2095-655X.2018.03.014 |
| [4] | Ochi S, Abe M, Li C, et al. The nicotinic cholinergic system is affected in rats with delayed carbon monoxide encephalopathy[J]. Neurosci Lett, 2014, 569: 33-37. DOI:10.1016/j.neulet.2014.03.054 |
| [5] | Wick MR. The hematoxylin and eosin stain in anatomic pathology: an often-neglected focus of quality assurance in the laboratory[J]. Semin Diagn Pathol, 2019, 36(5): 303-311. DOI:10.1053/j.semdp.2019.06.003 |
| [6] | Law-Ye B, Dodet P, Hermann B, et al. Progressive white-matter demyelination in delayed CO poisoning encephalopathy[J]. J Neuroradiol, 2018, 45(1): 59-62. DOI:10.1016/j.neurad.2017.09.008 |
| [7] | BradLey SA, Steinert JR. Nitric oxide-mediated posttranslational modifications: impacts at the synapse[J]. Oxidative Med Cell Longev, 2016, 2016: 1-9. DOI:10.1155/2016/5681036 |
| [8] | Ivanova VO, Balaban PM, Bal NV. Modulation of AMPA receptors by nitric oxide in nerve cells[J]. Int J Mol Sci, 2020, 21(3): 981. DOI:10.3390/ijms21030981 |
| [9] | Chen ZQ, Mou RT, Feng DX, et al. The role of nitric oxide in stroke[J]. Med Gas Res, 2017, 7(3): 194-203. DOI:10.4103/2045-9912.215750 |
| [10] | Tarasenko AS, of Biochemistry National Academy of Sciences of Ukraine Kyiv PI. Effect of nitric oxide donor SNAP on GABA release from rat brain nerve terminals[J]. UkrBiochemJ, 2016, 88(5): 82-89. DOI:10.15407/ubj88.05.082 |
| [11] | Guo DZ, Hu HJ, Pan SY. Oligodendrocyte dysfunction and regeneration failure: a novel hypothesis of delayed encephalopathy after carbon monoxide poisoning[J]. Med Hypotheses, 2020, 136: 109522. DOI:10.1016/j.mehy.2019.109522 |
| [12] | Zakarya R, Sapkota A, Chan YL, et al. Nitroxides affect neurological deficits and lesion size induced by a rat model of traumatic brain injury[J]. Nitric Oxide, 2020, 97: 57-65. DOI:10.1016/j.niox.2020.02.001 |
| [13] | Yin LJ, Gao SL, Li CK. Exogenous hydrogen sulfide alleviates surgery-induced neuroinflammatory cognitive impairment in adult mice by inhibiting NO signaling[J]. BMC Anesthesiol, 2020, 20: 12. DOI:10.1186/s12871-019-0927-z |
| [14] | Bahadoran Z, Carlström M, Mirmiran P, et al. Nitric oxide: To be or not to be an endocrine hormone?[J]. Acta Physiol, 2020, 229(1). DOI:10.1111/apha.13443 |
| [15] | Liu C, Liang MC, Soong TW. Nitric oxide, iron and neurodegeneration[J]. Front Neurosci, 2019, 13: 114. DOI:10.3389/fnins.2019.00114 |
| [16] | Dawson TM, Dawson VL. Nitric oxide signaling in neurodegeneration and cell death[M]//Advances in Pharmacology, Elsevier, 2018, 57-83. DOI: 10.1016/bs.apha.2017.09.003. |
| [17] | Chen ZQ, Mou RT, Feng DX, et al. The role of nitric oxide in stroke[J]. Med Gas Res, 2017, 7(3):194-203. Published 2017 Oct 17. DOI:10.4103/2045-9912.215750. |
| [18] | Picón-Pagès P, Garcia-Buendia J, Muñoz FJ. Functions and dysfunctions of nitric oxide in brain[J]. Biochim Et Biophys Acta BBA - Mol Basis Dis, 2019, 1865(8): 1949-1967. DOI:10.1016/j.bbadis.2018.11.007 |
| [19] | García-Ortiz A, Serrador JM. Nitric oxide signaling in T cell-mediated immunity[J]. Trends Mol Med, 2018, 24(4): 412-427. DOI:10.1016/j.molmed.2018.02.002 |
| [20] | Almeida J, Oliveira LA, Benini R, et al. Differential roles of hippocampal nNOS and iNOS in the control of baroreflex function in conscious rats[J]. Brain Res, 2019, 1710: 109-116. DOI:10.1016/j.brainres.2018.12.044 |
| [21] | Liu HT, Li J, Zhao FY, et al. Nitric oxide synthase in hypoxic or ischemic brain injury[J]. Rev Neurosci, 2015, 26(1): 105-117. DOI:10.1515/revneuro-2014-0041 |
| [22] | Kwon KJ, Park JH, Jo Ⅰ, et al. Disruption of neuronal nitric oxide synthase dimerization contributes to the development of Alzheimer′s disease: Involvement of cyclin-dependent kinase 5-mediated phosphorylation of neuronal nitric oxide synthase at Ser 293[J]. Neurochem Int, 2016, 99: 52-61. DOI:10.1016/j.neuint.2016.06.005 |
| [23] | Cortés-Montero E, Rodríguez-Muñoz M, Sánchez-Blázquez P, et al. The axonal motor neuropathy-related HINT1 protein is a zinc- and calmodulin-regulated cysteine SUMO protease[J]. Antioxid Redox Signal, 2019, 31(7): 503-520. DOI:10.1089/ars.2019.7724 |
| [24] | Mousavi SE, Saberi P, Ghasemkhani N, et al. Licofelone attenuates LPS-induced depressive-like behavior in mice: a possible role for nitric oxide[J]. J Pharm Pharm Sci, 2018, 21: 184-194. DOI:10.18433/jpps29770 |
| [25] | Kawasaki H, Ito Y, Kitabayashi C, et al. Effects of edaravone on nitric oxide, hydroxyl radicals and neuronal nitric oxide synthase during cerebral ischemia and reperfusion in mice[J]. J Stroke Cerebrovasc Dis, 2020, 29(3): 104531. DOI:10.1016/j.jstrokecerebrovasdis.2019.104531 |
| [26] | Lee M, Rey K, Besler K, et al. Immunobiology of nitric oxide and regulation of inducible nitric oxide synthase[M]. Cham: Springer International Publishing, 2017: 181-207. |
| [27] | Cinelli MA, Do HT, Miley GP, et al. Inducible nitric oxide synthase: Regulation, structure, and inhibition[J]. Med Res Rev, 2020, 40(1): 158-189. DOI:10.1002/med.21599 |
| [28] | García-Ortiz A, Serrador JM. Nitric oxide signaling in T cell-mediated immunity[J]. Trends Mol Med, 2018, 24(4): 412-427. DOI:10.1016/j.molmed.2018.02.002 |
| [29] | Dong Y, Han LL, Xu ZX. Suppressed microRNA-96 inhibits iNOS expression and dopaminergic neuron apoptosis through inactivating the MAPK signaling pathway by targeting CACNG5 in mice with Parkinson′ s disease[J]. Mol Med, 2018, 24: 61. DOI:10.1186/s10020-018-0059-9 |
| [30] | Wang XL, Wang HF, Li HF. Inhibition of iNOS ameliorates traumatic stress-induced deficits in synaptic plasticity and memory[J]. Psychiatry Res, 2018, 268: 413-418. DOI:10.1016/j.psychres.2018.08.028 |
| [31] | Favié LMA, Cox AR, van den Hoogen A, et al. Nitric oxide synthase inhibition as a neuroprotective strategy following hypoxic–ischemic encephalopathy: evidence from animal studies[J]. Front Neurol, 2018, 9: 258. DOI:10.3389/fneur.2018.00258 |
| [32] | Garry PS, Ezra M, Rowland MJ, et al. The role of the nitric oxide pathway in brain injury and its treatment: From bench to bedside[J]. Exp Neurol, 2015, 263: 235-243. DOI:10.1016/j.expneurol.2014.10.017 |
2020, Vol. 29



