2 浙江大学医学院附属第二医院心血管内科,杭州 310009;
3 浙江大学医学院附属第二医院放射科,杭州 310009;
4 浙江大学医学院附属第二医院心脏大血管外科,杭州 310009;
5 浙江大学医学院附属第二医院核医学科,杭州 310009
心脏脂肪瘤临床少见,多见于心包和心房。心脏脂肪瘤可引起恶性室性心律失常、心肌梗死和血栓等心血管事件,因此脂肪瘤体积较大者多建议手术治疗。本文报道了一例罕见的室间隔全层脂肪瘤并文献复习,并讨论了内外科治疗经验。
1 资料与方法患者男,48岁,公司职员。2019年1月19日因被人撞击胸部后感心前区不适,遂至当地医院就诊,心脏超声检查提示“左室后间隔节段性增厚,占位性病变待排”,遂于2019年1月22日急诊来浙江大学医学院附属第二医院诊治。患者无明显胸闷胸痛,无心悸气促,无黑朦晕厥等不适。既往高血压病和糖尿病史,现服用厄贝沙坦片,格列美脲片和二甲双胍,血压控制可。入院后体格检查心率70次/min,律齐,心界无明显扩大,未及明显杂音,双下肢无浮肿。患者否认心脏病家族史及家族猝死病史。
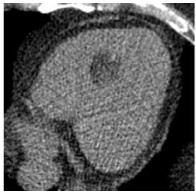
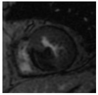
入院后签署患者知情同意告知书,查血常规、凝血谱、电解质、血生化、甲状腺功能、肿瘤标志物、C反应蛋白和脑钠肽均未见明显异常,心电图示窦性心律,顺钟向转位。连续心电遥控监护5 d未见明显室性心律失常。心脏超声和经食道心脏超声检查提示室间隔及左室下壁中段近后内侧乳头肌处可见一个偏高回声区,主要位于心肌内,浸润心肌全层,部分凸向左室腔,略见活动及变形,未累及二尖瓣和主动脉瓣,未见心腔流入道和流出道梗阻,未见明显心包积液。左心声学造影显示室间隔中下段偏强回声团块内未见明显血流信号,乏血供表现。心脏多层螺旋计算机断层扫描(CT)示室间隔内异常密度,测其CT值为-31.3 Hu,提示为脂肪组织密度,增强后病灶未见强化,诊断为脂肪来源肿瘤,脂肪瘤考虑(图 1~2)。心脏磁共振(CMRI)增强扫描示FIESTA序列显示后室间隔-左室下壁见一混杂高信号“小核桃”样大小肿物,T2WI(图 3)上为高信号,Triple IR序列(图 4)上病灶全部为低信号,提示为纯脂肪成分,病变周围可见低信号环,提示为化学位移伪影,病变质地较软,边界尚清楚,电影序列可见病灶柔软摆动,并随心动周期形态改变,局部突入左心室,舒张末期测量大小约25 mm×19 mm×36 mm,灌注序列见灌注确实,延迟增强未见强化,拟诊为心脏脂肪瘤(图 5)。SPECT心肌静息灌注显像见室间隔和左室下壁局部心肌血流灌注减低。18F-FDG PET-CT显像提示室间隔-左室下壁心肌内病变糖代谢减低,考虑为脂肪源性病变,全身未见局部异常密度增高。
|
| 图 1 心脏CT图(室间隔肿瘤在T2WI像上显示为高信号) |
|
|
|
| 图 2 心脏增强CT图 |
|
|
|
| 图 3 心脏磁共振图 |
|
|
|
| 图 4 心脏磁共振图(肿瘤在Triple IR序列上病灶全部为低信号,提示为纯脂肪成分) |
|
|
|
| 图 5 心脏磁共振图(肿瘤在灌注序列中延迟增强未见强化) |
|
|
患者进一步进行了冠状动脉的评估。患者能完成活动平板的Bruce极量运动方案,未见心电图心肌缺血性改变。冠脉造影未见收缩期和舒张期冠状动脉有压迫征象。冠状动脉CT造影提示主要冠状动脉分支和肿瘤距离较远(图 6)。
|
| 图 6 冠状动脉CTA图 |
|
|
经多学科讨论后不建议患者行外科切除手术,继续降压降糖治疗出院,定期复查心超和动态心电图,并建议佩戴体外心电记录仪。3个月后患者复诊,未诉胸闷心悸黑朦晕厥等明显不适。
2 讨论心脏肿瘤较为少见,且继发性占绝大多数。原发性心脏肿瘤发病率为0.001 7%~0.033%[1-2]。可见于任何性别与年龄,以40~49岁发病率最高,良性肿瘤和恶性肿瘤比例约为3:1[3]。心脏肿瘤中脂肪瘤和脂肪肉瘤均为罕见,好发于心包和心外膜下[4-5]。
当发现存在心脏肿瘤时,首先需要明确其性质,尤其是良恶性。CT和磁共振对脂肪瘤的识别具有高度特异性[12-13],本患者CT检查示室间隔脂肪组织均匀低密度影。MR清晰显示肿瘤边界,T1W1呈强信号,T2W1呈稍强信号,脂肪组织序列呈弱信号,钆增强后也未见明显强化,对映证脂肪瘤均有较大价值。患者肿瘤的CT值同皮下脂肪组织,同时结合心超等其他影像学依据可排除黏液样变、血管组织、肌肉组织、纤维组织和错构瘤等其他组织来源,因此可临床确诊为脂肪来源的肿瘤。肿瘤形态、血供是否丰富和代谢是否活跃是鉴别脂肪瘤和脂肪肉瘤的重要依据。超声、CT和磁共振均提示肿瘤为单个,与周围组织边界清楚。患者接受了超声左心声学造影和核素心肌静息灌注显像检查,均提示肿瘤血供明显不丰富。18F-FDG PET-CT检查显示肿瘤放射性摄取呈稀疏缺损区,提示葡萄糖代谢减低,符合良性肿瘤表现,同时也未见全身其余部位有高糖代谢病灶,因此临床诊断良性脂肪瘤成立。2011年AECVP/SCVP心内膜心肌活检共识声明认为对左心系统肿瘤无需进一步进行心肌活检[7]。
心脏脂肪瘤可引起的不良后果有:心律失常、心肌缺血、心腔梗阻、心力衰竭、血栓和瘤栓栓塞[6, 11]。患者接受了详细的相关评估,以充分揭示该脂肪瘤可能对患者造成的短期和长期风险。心律失常可以是缓慢的传导阻滞,也可能是快速性恶性室性心律失常。脂肪瘤位于室间隔下部,与房室结希氏束解剖位置距离较远,引起房室传导阻滞可能性不大。心脏肿瘤可能因为局部折返或延迟后除极造成快速性室性心律失常,外科手术不一定能减少其发生。该患者既往无黑朦晕厥病史,心电图动态心电图和心电监护等多次心电记录未见传导阻滞和室性心律失常。近期心律失常风险不高,建议患者加强心电记录。脂肪瘤可以压迫冠状动脉,造成局部心肌缺血甚至梗死。该患者接受了活动平板和冠脉造影检查,无论是静息还是运动状态下均未见到前降支或间隔支压迫和缺血征象,心脏冠状动脉CT造影检查见冠状动脉主要血管和肿瘤距离较远,近期导致有临床意义的冠脉事件可能性较小。多种影像学检查均提示目前肿瘤未造成明显的左室流入道及流出道机械性梗阻,心超未见收缩和舒张功能异常,脑钠肽正常,良性脂肪瘤通常生长非常缓慢,近期迅速长大造成心腔梗阻或者心力衰竭影响血液动力学可能性小。肿瘤表面心内膜完整,患者凝血功能正常,尚不考虑近期局部血栓形成或者瘤体脱落造成栓塞的可能性。
目前国内外尚缺心脏肿瘤诊治指南或者专家共识。对于有症状的心脏脂肪瘤, 目前认为一经确诊需及时手术治疗,对于无症状心脏脂肪瘤是否需要手术目前存在争论[8-10]。该患者目前肿瘤累及室间隔及左室下壁中段,如果外科手术需要切除部分透层室间隔,肯定会影响心脏的协调运动,反而会影响预后。建议患者积极控制心血管病危险因素,长程心电记录仪检查,定期复查心脏影像学检查,动态观察肿瘤变化。如今后出现肿瘤相关的心律失常、心肌缺血和心脏收缩功能障碍的症状和体征,再行手术治疗。
利益冲突 所有作者均声明不存在利益冲突
| [1] | Bois MC, Bois JP, Anavekar NS, et al. Benign lipomatous masses of the heart: a comprehensive series of 47 cases with cytogenetic evaluation[J]. Hum Pathol, 2014, 9(45): 1859-1865. DOI:10.1016/j.humpath.2014.05.003 |
| [2] | He S, Cao Y, Qin W, et al. Prevalence of primary cardiac tumor malignancies in retrospectivestudies over six decades: a systematic review and meta-analysis[J]. Oncotarget, 2017, 8(26): 43284-43294. |
| [3] | 王红月, 宋来凤, 阮英茆. 心脏脂肪瘤的临床病理特点[J]. 临床与实验病理学杂志, 2002, 18(1): 43-45. DOI:10.3969/j.issn.1001-7399.2002.01.012 |
| [4] | Singh B, Bhairappa S, Shankar SK, et al. Cardiac lipoma at unusual location - mimicking atrial myxoma[J]. Echocardiography, 2013, 3(30): E72-E74. DOI:10.1111/echo.12093 |
| [5] | Girrbach F, Mohr FW, Misfeld M. Epicardiallipoma-a rare differential diagnosis in cardiovascular medicine[J]. Eur J Cardiothorac Surg, 2012, 3(41): 699-701. DOI:10.1093/ejcts/ezr020 |
| [6] | 段世锋, 李建锋, 谢萍. 心尖部脂肪瘤致短阵室性心动过速一例[J]. 中国循环杂志, 2017, 32(7): 709. DOI:10.3969/j.issn.1000-3614.2017.07.022 |
| [7] | Leone O, Veinot JP, Angelini A, et al. 2011 consensus statement on endomyocardial biopsy from the Association for European Cardiovascular Pathology and the Society for Cardiovascular Pathology[J]. Cardiovasc Pathol, 2011, 4(21): 245-274. DOI:10.1016/j.carpath.2011.10.001 |
| [8] | D’Souza J, Shah R, Abbass A, et al. Invasive cardiac lipoma: a case report and review of literature[J]. BMC Cardiovasc Disord, 2017, 1(17): 1-4. DOI:10.1186/s12872-016-0465-2 |
| [9] | Mkalaluh S, Szczechowicz M, Torabi S, et al. Surgical treatment of cardiac tumors: insights from an 18-year single-center analysis[J]. Med Sci Monit, 2017, 23: 6201-6209. DOI:10.12659/msm.905451 |
| [10] | 肖宜超. 心脏肿瘤的诊疗进展[J]. 心血管病学进展, 2011, 32(6): 824-829. DOI:10.3969/j.issn.1004-3934.2011.06.021 |
| [11] | Kanemitsu S, Hirano K, Shimono T, et al. A case of a large cardiac lipoma with coronary artery disease[J]. Asian Cardiovasc Thorac Ann, 2014, 22(5): 604-606. DOI:10.1177/0218492313479953 |
| [12] | Konarik, Miroslav, Ma ly, Ji ri, Pi rk, J an, et al. Giant cardiac lipoma – Potentially deceptive entity in differential diagnostic imaging[J]. Coret Vasa, 5(59): e512-e514. DOI:10.1016/j.crvasa.2016.12.008 |
| [13] | Wijesurendra RS, Sheppard KA, Westaby S, et al. The many faces of cardiac lipoma—an egg in the heart[J]. Eur Heart J Cardiovasc Imaging, 2017, 18(7): 821-821. DOI:10.1093/ehjci/jex048 |
2020, Vol. 29



