2019年12月以来,湖北省武汉市发现多起不明原因肺炎病例,现被认定为由一种先前未在人体中发现的冠状病毒新毒株——新型冠状病毒所引起的新型冠状病毒肺炎[1-2]。根据中国疾病预防与控制中心发布的《2019新型冠状病毒疫情进展和风险评估》[3],目前病毒疫情仍在持续传播,发病人数呈上升趋势,加之病程早期症状较轻且存在无症状感染病例,难以及时被诊断和隔离,造成社区中传染源的积累,控制疾病传播的难度较大,对人民健康造成严重威胁,给社会经济造成巨大损失。此外其他国家和地区也相继出现感染患者[4-7]。目前病毒的来源、变异性、人群易感性、患病率和临床特征尚不完全清楚,且对于可疑患者尚无统一的筛查流程。本研究总结了北京协和医院急诊科发热门诊筛查患者的病例资料,根据病例特点探讨和总结了详细的筛查流程以供参考。
1 资料与方法 1.1 一般资料回顾性收集2020年1月19日至26日于北京协和医院急诊科发热门诊就诊的有流行病学史及呼吸系统症状或有发热症状的患者。流行病学史包括:(1)发病前14 d内有武汉及周边地区,或其他有病例报告社区的旅居史;(2)发病前14 d内与新型冠状病毒感染者(核酸检测阳性者)有接触史;(3)发病前14 d内曾接触过来自武汉及周边地区,或来自有病例报告社区的发热或有呼吸道症状的患者;(4)聚集性发病[8]。呼吸系统症状包括:咳嗽、咳痰、咽痛、流涕、胸闷、胸痛。发热定义为最高体温(口温)≥37.3℃。纳入标准:有流行病学史及呼吸系统症状或有发热症状;有新型冠状病毒核酸筛查结果。本研究通过北京协和医院伦理委员会批准。
1.2 标本的采集与检测患者就诊时于分诊台采集心率、血压、指氧饱和度(pulse oxygen saturation, SpO2)、体温数据,并由医生记录患者病历资料。外周血标本送北京协和医院检验科进行血常规(complete blood count, CBC)、肝功能、肾功能、C反应蛋白(C-reactive protein, CRP)、肌酸激酶(creatine kinase, CK)、降钙素原(procalcitonin, PCT)检测。鼻咽拭子由统一培训的临床医师采集并分别送至北京协和医院检验科及感染科实验室,阳性者由北京市东城区疾病预防控制中心采样,均采用实时逆转录聚合酶链反应(real-time reverse transcription-polymerase chain reaction, real-time RT-PCR)法进行新型冠状病毒核酸检测。由北京协和医院放射科进行胸部CT检查及阅片。
1.3 统计学方法用SPSS 21.0软件进行统计分析。使用Kolmogorov-Smirnov检验评估分布的正态性。服从正态分布的计量资料用均数±标准差(Mean±SD)表示,组间均数比较采用LSD-t检验。偏态分布的计量资料用中位数(四分位数)[M(QL, QU)]表示,组间比较采用秩和检验。计数资料的比较采用卡方检验。以P < 0.05为差异有统计学意义。
2 结果 2.1 一般资料入组患者共46例,其中9例经鼻咽拭子RT-PCR确诊为新型冠状病毒感染(本院感染科、检验科实验室及北京市东城区疾病预防控制中心检测结果均为阳性),为新型冠状病毒感染组,其余患者为非新型冠状病毒感染组(本院感染科及检验科两个实验室检测结果均为阴性)。
新型冠状病毒感染组患者年龄为(46.44±13.32)岁,与非新型冠状病毒感染组患者[36.00岁(28.00,55.50)岁]差异无统计学意义(P > 0.05)。新型冠状病毒感染组与非新型冠状病毒感染组患者男女比例分别为5:4和17:20,差异无统计学意义(P > 0.05)。在新型冠状病毒感染组中,所有患者均于发病前2周内有武汉旅居史,且比例高于非新型冠状病毒感染组(P < 0.05)。其中1例有华南海鲜市场接触史。除3例患者在武汉期间即出现发热外,其余新型冠状病毒感染组患者离开武汉至出现症状的时间为3.00 d(1.75,6.25)d,其中最长者为13 d,与非新型冠状病毒感染组(3.38±2.55)d差异无统计学意义(P > 0.05)。2例新型冠状病毒感染组患者在发病前14 d内曾接触过来自武汉的发热伴有呼吸道症状的患者,但均否认接触确诊或疑似新型冠状病毒感染的患者,4例(44.4%)为聚集性发病,但这些流行病学特征在两组间差异无统计学意义(P > 0.05),见表 1。
| 指标 | 新型冠状病毒感染组(n=9) | 非新型冠状病毒感染组(n=37) | P值 |
| 年龄 | 46.44±13.32 | 36.00 (28.00-55.50) | 0.138 |
| 性别(例,%) | 0.718 | ||
| 男 | 5 (55.56) | 17 (45.95) | |
| 女 | 4 (44.44) | 20 (54.05) | |
| 流行病学特征 | |||
| 发病前2周内有武汉旅居史(例,%) | 9 (100) | 16 (43.24) | 0.002 |
| 离开武汉至发病天数 | 3.00(1.75,6.25)a | 3.38±2.55 | 0.082 |
| 发病前2周内接触过来自武汉的发热伴呼吸道症状患者(例,%) | 2 (22.22) | 14 (37.84) | 0.463 |
| 聚集性发病(例,%) | 4 (44.44) | 6 (16.22) | 0.087 |
| 无接触史(例,%) | 0 (0) | 1 (2.70) | 1.000 |
| 合并症(例,%) | 1 (11.11) | 8 (21.62) | 0.664 |
| 肺气肿 | 1 (11.11) | 0 (0) | |
| 高血压 | 0 (0) | 4 (10.81) | |
| 糖尿病 | 0 (0) | 1 (2.70) | |
| 甲状腺功能亢进 | 0 (0) | 1 (2.70) | |
| 皮肌炎 | 0 (0) | 1 (2.70) | |
| 乳腺癌 | 0 (0) | 1 (2.70) | |
| 注:a为n=6 | |||
新型冠状病毒感染组患者最常见的临床表现是发热(100%),最高体温为(38.11±0.53)℃,其中最高体温最低的患者为37.3℃。其他常见的临床表现有肌痛或乏力(6例)、咳嗽(5例)、咳痰(4例)和流涕(3例)。少数患者有头痛(2例)、呼吸困难(2例)、咽痛(1例)和腹泻(1例)。新型冠状病毒感染组患者SpO2均在94%以上,为(98.22±1.72)%。以上症状与非新型冠状病毒感染组间差异均无统计学意义(P > 0.05)。但新型冠状病毒感染组患者从出现发热到就诊的时间比非新型冠状病毒感染组患者长[分别为3.00 d(2.50,6.00)d和1.00 d(1.00,3.00)d,P < 0.05]。两组患者肺内听诊均未及啰音,见表 2。非新型冠状病毒感染组中,10例患者被诊断为甲型流感病毒感染,2例患者被诊断为乙型流感病毒感染。新型冠状病毒感染组患者甲型及乙型流感病毒核酸检测均为阴性。
| 临床表现 | 新型冠状病毒感染组(n=9) | 非新型冠状病毒感染组(n=37) | P值 |
| 发热(例,%) | 9 (100) | 36 (97.30) | 1.000 |
| 发热至就诊天数 | 3.00(2.50, 6.00) | 1.00(1.00, 3.00)a | 0.007 |
| 最高体温(℃) | 38.11±0.53 | 38.00(37.53, 38.50)a | 0.669 |
| 咳嗽(例,%) | 5 (55.56) | 17 (45.95) | 0.718 |
| 咳痰(例,%) | 4 (44.44) | 5 (13.51) | 0.058 |
| 咽痛(例,%) | 1 (11.11) | 15 (40.54) | 0.132 |
| 流涕(例,%) | 3 (33.33) | 8 (21.62) | 0.664 |
| 乏力或肌痛(例,%) | 6 (66.67) | 15 (40.54) | 0.264 |
| 头痛(例,%) | 2 (22.22) | 14 (37.84) | 0.463 |
| 气短(例,%) | 2 (22.22) | 3 (8.11) | 0.248 |
| 腹泻(例,%) | 1 (11.11) | 1 (2.70) | 0.357 |
| SpO2(%) | 98.22±1.72 | 99.00(99.00, 100.00) | 0.143 |
| 肺内听诊啰音(例,%) | 0 (0) | 0 (0) | — |
| 注:a为n=36 | |||
新型冠状病毒感染组患者血常规白细胞计数低于非新型冠状病毒感染组患者,差异有统计学意义(P < 0.05),且白细胞计数低于4×109/L的比例更高。新型冠状病毒感染组患者血常规中性粒细胞计数和血小板计数均低于非新型冠状病毒感染组,均P < 0.05。CRP和PCT在新型冠状病毒感染组患者中正常或有轻度升高,但两组间差异无统计学意义(P > 0.05)。肌酐、肌酸激酶和谷丙转氨酶水平在两组之间差异亦无统计学意义(P > 0.05),见表 3。
| 指标 | 2019-nCoV感染组(n=9) | 非2019-nCoV感染组(n=37) | P值 |
| 白细胞(×109/L) | 4.40±0.97 | 7.29±2.26 | 0.001 |
| < 4×109/L(例) | 3 | 1 | 0.020 |
| 4~10×109/L(例) | 6 | 32 | 0.176 |
| > 10×109/L(例) | 0 | 4 | 0.571 |
| 中性粒细胞(×109/L) | 2.74±1.03 | 4.68(3.62, 5.58) | 0.001 |
| 淋巴细胞(×109/L) | 1.26±0.43 | 1.57±0.71 | 0.226 |
| 血红蛋白(g/L) | 144.67±16.89 | 141.73±15.56 | 0.620 |
| 血小板(×109/L) | 187.00±49.44 | 222.78±45.56 | 0.043 |
| C反应蛋白(mg/L) | 19.11±17.39 | 4.50(1.00, 26.00)a | 0.169 |
| 肌酐(μmol/L) | 80.00±20.88 | 82.57±17.54b | 0.753 |
| 肌酸激酶(U/L) | 89.00 (66.00, 224.00) | 90.00 (84.50, 123.00)c | 0.593 |
| 谷丙转氨酶(U/L) | 21.00±11.14 | 17.93±8.72b | 0.467 |
| 降钙素原(ng/mL) | 0.07(0.07, 0.09) | 0.07(0.07, 0.10)c | 0.442 |
| 胸部CT具肺炎表现(例) | 9 | 16 | 0.002 |
| 实变 | 1 | 1 | |
| 磨玻璃影 | 8 | 15 | |
| 注:a为n=30, b为n=14, c为n=13 | |||
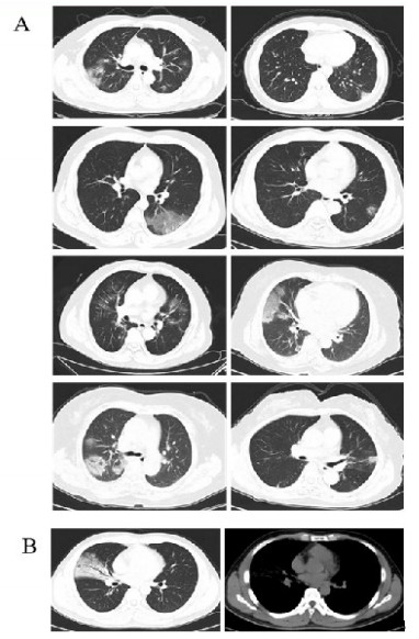
新型冠状病毒感染组患者胸部CT均有肺炎表现,其中8例为磨玻璃影,1例为实变影,见表 3和图 1。非新型冠状病毒感染组中有21例患者胸部CT正常。本研究所筛查的46例患者中,胸部CT正常者的新型冠状病毒核酸检测均阴性。
|
| A:8例患者在就诊时胸部CT可见磨玻璃影;B:1例患者就诊时胸部CT表现为实变影 图 1 新型冠状病毒感染患者胸部CT表现 Fig 1 The image characteristics of novel coronavirus infection patients |
|
|
本研究对发热门诊筛选的46例患者进行了分析比较,结果显示新型冠状病毒在不同年龄、性别的人群中易感性无明显差异,该结果与既往研究显示男性患者居多有所不同[9],可能与本组病例数较少有关,人群易感性尚需大规模临床研究明确。新型冠状病毒感染组患者发病2周内均有武汉旅行或居住史,且比例高于非新型冠状病毒感染组,但所有患者均否认与确诊或疑诊新型冠状病毒感染的患者接触,且仅有1人有明确华南海鲜市场接触史,同时部分病例为聚集性发病,证实了新型冠状病毒具有较强的人传人的能力,与既往报道相符[3]。尽管所有确诊患者均有发热症状,但鉴于有1例确诊患者最高体温仅37.3℃,同时既往研究也报道了无发热症状的感染患者[9],不能除外有流行病学史和呼吸系统症状但无发热的人群没有感染或者传染性。本研究中,离开武汉(可疑接触史)至出现症状时间最长的患者为13 d,说明该病潜伏期较长,与既往报道潜伏期一般为3~7 d,最长不超过14 d相符[3],较长的潜伏期使疾病预防控制相当困难。
本研究中未发现对新型冠状病毒感染有特异性的临床症状,咽痛、流涕等上呼吸道症状在本研究新型冠状病毒感染者中并不少见。与既往报道的诊断方法不同[9-10],本研究所有患者均采用鼻咽拭子诊断,因此对新型冠状病毒的传播途径和侵袭部位需要进一步研究明确。此外,本研究中1例患者有腹泻症状,尽管不像在严重急性呼吸综合征冠状病毒(SARS-CoV)和中东呼吸综合征冠状病毒(MERS-CoV)感染者中那样常见[11-12],但仍需进一步研究确定其他可能的传播途径,如粪便和尿液。
与非新型冠状病毒感染患者相比,新型冠状病毒感染患者的外周血常规白细胞计数较低,尤其低于4×109/L的比例较高,中性粒细胞、血小板计数也较低。虽有部分患者淋巴细胞计数减低,但两组间差异无统计学意义,故淋巴细胞减低对新型冠状病毒感染的诊断价值尚需进一步研究以明确[9]。
在本研究中,胸部CT正常的患者,无论是否有流行病学史及发热、呼吸道症状等,新型冠状病毒核酸检测均为阴性,故胸部CT可能作为新型冠状病毒感染筛查的一项快速而敏感的手段。基于以上研究结果,笔者在急诊发热门诊推荐以下流程用于筛查新型冠状病毒感染患者(图 2)。需特别注意,除所有发热患者外,有流行病学史和呼吸系统症状的患者(定义同上)均需到发热门诊进行筛查。另外,若患者有流行病学史、临床表现符合病毒感染而无其他疾病解释、胸部CT高度怀疑病毒性肺炎、血常规、CRP亦怀疑病毒感染,即使24 h复查新型冠状病毒核酸阴性,1周后也需再次通知复查。
|
| 图 2 急诊发热门诊新型冠状病毒感染筛查流程 Fig 2 Screening process for novel coronavirus infection in fever clinic |
|
|
同时,本研究存在一定的不足之处。本研究纳入样本较少,确诊患者只有9例,可能因为样本量的局限而存在疏漏之处。虽本研究中胸部CT阴性者新型冠状病毒核酸检测均为阴性,但因样本量少,尚不能除外有肺部影像学正常的患者存在。此外,本研究中所有患者均因有症状至医院筛查,但不能除外无症状感染者存在。
综上所述,新型冠状病毒感染患者无特异性临床症状,但胸部CT阴性对新型冠状病毒感染具有很高的阴性预测价值。基于以上发现,笔者推荐急诊与发热门诊采取以上基于流行病学史、胸部CT阳性再进行新型冠状病毒核酸检测的筛查流程以降低漏诊率并提高筛查效率。
利益冲突 所有作者均声明不存在利益冲突
| [1] | Munster VJ, Koopmans M, van Doremalen N, et al. A novel coronavirus emerging in China - key questions for impact assessment[J]. N Engl J Med, 2020 Jan 24. DOI: 10.1056/NEJMp2000929.[Epubaheadofprint] |
| [2] | Novel coronavirus – China. Geneva: World Health Organization, January 2020[EB/OL]. http://www.who.int/csr/don/12-january-2020-novel-coronavirus-china/en/. |
| [3] | 2019新型冠状病毒疫情进展和风险评估.北京: 中国疾病预防控制中心, 2020年1月[EB/OL]. http://www.chinacdc.cn/yyrdgz/202001/P020200128523354919292.pdf. |
| [4] | Novel coronavirus – Thailand (ex-China). Geneva: World Health Organization, January 2020.[EB/OL]. http://www.who.int/csr/don/14-january-2020-novel-coronavirus-thailand/en/. |
| [5] | Novel coronavirus – Japan (ex-China). Geneva: World Health Organization, January 2020[EB/OL]. http://www.who.int/csr/don/17-january-2020-novel-coronavirus-japan-ex-china/en. |
| [6] | Novel coronavirus – Republic of Korea (ex-China). Geneva: World Health Organization, January 2020[EB/OL]. http://www.who.int/csr/don/21-january-2020-novel-coronavirus-republic-of-korea-ex-china/en/. |
| [7] | First travel-related case of 2019 novel coronavirus detected in United States. Beijing: Chinese Center for Disease Control and Prevention, January 2020[EB/OL]. https://www.cdc.gov/media/releases/2020/p0121-novel-coronavirus-travel-case.html. |
| [8] | 国家卫生健康委.新型冠状病毒感染的肺炎诊疗方案(试行第五版)2020年2月[EB/OL]. http://www.nhc.gov.cn/yzygj/s7653p/202002/3b09b894ac9b4204a79db5b8912d4440/files/7260301a393845fc87fcf6dd52965ecb.pdf |
| [9] | Huang C, Wang Y, Li X, et al. Clinical features of patients infected with 2019 novel coronavirus in Wuhan, China[J]. Lancet, 2020 Jan 24. DOI: 10.1016/S0140-6736(20)30183-5.[Epub ahead of print] |
| [10] | Zhu N, Zhang D, Wang W, et al. China Novel Coronavirus Investigating and Research Team. A Novel Coronavirus from Patients with Pneumonia in China, 2019[J]. N Engl J Med, 2020 Jan 24. DOI: 10.1056/NEJMoa2001017.[Epub ahead of print] |
| [11] | Assiri A, Al-Tawfiq JA, Al-Rabeeah AA, et al. Epidemiological, demographic, and clinical characteristics of 47 cases of Middle East respiratory syndrome coronavirus disease from Saudi Arabia: a descriptive study[J]. Lancet Infect Dis, 2013, 13(9): 752-761. DOI:10.1016/S1473-3099(13)70204-4 |
| [12] | Lee N, Hui D, Wu A, et al. A major outbreak of severe acute respiratory syndrome in Hong Kong[J]. N Engl J Med, 2003, 348(20): 1986-1994. DOI:10.1056/NEJMoa030685 |
2020, Vol. 29



