2 天津市环湖医院重症医学科,300350
高血压脑出血是神经科常见的急危重症,其中最为危重、病死率最高、预后最差的为脑干出血[1-5]。出血量大于5 mL的重型脑干出血的临床结果非常不好,无论是内科治疗还是外科治疗,文献报道的死亡率大都在60%以上[6]。2015年4月至2018年12月本院应用立体定向技术实施穿刺置管引流治疗高血压重型脑干出血31例,现总结报道如下。
1 资料与方法 1.1 一般资料2015年4月至2018年12月,本院神经外科采用立体定向抽吸术治疗重症高血压脑干出血31例,其中男24例,女7例,年龄为27~66岁,平均52.64岁,术前均处于浅昏迷,昏迷状态,Glasgow昏迷量表(GCS)评分均在8分及以下,意识状况以格拉斯哥昏迷评分(GCS)判定,3~5分13例,6~8分18例。消化道出血18例,双侧瞳孔不等大13例,去大脑强直6例,体温>39℃8例,术前呼吸机辅助呼吸6例。发病至手术的时间范围为4~69 h,平均18 h。影像学检查:本组31例患者术前均行头颅CT检查,其中桥脑出血11例,中脑出血7例,中脑桥脑出血13例,出血破入脑室12例。出血量采用多田法计算,出血量5~15 ml。见表 1。
| GOS分级 | 5级(恢复良好) | 4级(中度残疾) | 3级(严重残疾) | 2级(植物状态) | 1级(死亡) |
| 术前GCS评分 | 7.4±4.3 | 7.2±4.1 | 5.6±3.2 | 4.7±2.4 | 3.5±1.3 |
| 术前血量(ml) | 6.0±1.6 | 6.2±2.6 | 7.4±1.8 | 9.1±1.5 | 12.5±3.6 |
局麻下安装leksell立体定向仪头架,行CT扫描,采用手工算法或计划系统,选择血肿最大横截面的中心为靶点,计算出靶点X、Y、Z三维坐标值。
根据血肿的位置及患者的病情选择相应的入路,采用仰卧位经幕上额部入路穿刺14例,仰卧位经幕上额部入路穿刺时,患者仰卧位,在血肿侧根据脑室大小中线旁开3.5~4 cm,冠状缝前1 cm为穿刺点。消毒铺巾后,局麻下依次切开皮肤,皮下,撑开器撑开,采用电钻或手摇钻钻孔。采用侧卧位经幕下桥臂入路穿刺17例,侧卧位经幕下桥臂入路穿刺时,在血肿侧采用乙状窦后平耳孔横切口,局麻下依次切开皮肤皮下,肌肉,撑开器撑开,采用磨钻磨孔或电钻钻孔。安装弧弓导向装置并校对靶点坐标,电凝后十字切开硬膜,首先采用活检针通过导向器轻柔缓慢旋转导入脑组织,送至靶点,缓慢抽吸液态、半液态陈旧性血液,根据术前血肿量及抽吸量,计算剩余血肿量。如血肿抽吸困难,可用生理盐水缓慢反复冲洗血肿腔,不可用力过大、过快。然后沿导向器置入外径2.8 mm的硅胶脑室外引流管,注射器缓慢回抽陈旧血液确认引流管位置后,记号笔标记后,皮下潜行引流管,固定引流管。本组均未在术中注入尿激酶及夹管保留,以免诱发再出血。本组合并急性梗阻性脑积水者,加做单侧侧脑室置管外引流术。术后根据患者情况当天或转天复查CT确定引流管位置。
术后转天根据血肿残留量将尿激酶1~2万单位溶于2 mL生理盐水内注入血肿腔,夹管保留2 h,然后开放引流,依据血肿引流情况,每天2次。血肿残留少于3 ml时拔除引流管。
手术指征及手术时机:目前一般认为立体定向脑干血肿穿刺的手术指征为:影像学上显示脑干出血量为5 mL以上,意识状态表现为浅昏迷或昏迷,GCS评分≤8分。手术禁忌证:对于出血量≤3 mL,患者意识为清醒或嗜睡的(GCS评分 > 8分),一般主张保守治疗。而患者意识状态表现为深度昏迷,生命体征极度不稳定,特别是血压低者术中术后死亡率极高,预后极差,一般不建议手术。越早行脑干血肿穿刺越有利于脑干减压,但因血肿穿刺存在无法术中止血的缺点,为减少术中再出血几率,手术时机以发病后4 h以后为宜。
围手术期处理:重症脑干出血患者多死于肺部并发症,肺部并发症的防治是脑干出血治疗中的重要环节,应与重症医学科及麻醉科合作,及早行气管插管,行胃肠减压,保证呼吸道通畅,防止误吸及反流,改善缺氧状态,保障患者术中及术后安全,减少吸入性肺炎等并发症[12]。早期即开始预防性的应用抗生素,出现肺部感染后根据痰培养药敏及时更换抗生素。在术前积极行气管插管,保证呼吸道通畅,术中如患者躁动给予咪达唑仑肌注镇静,如患者自主呼吸弱可接呼吸机保障呼吸功能。同时应认识到气管插管在昏迷较浅的患者中会引起患者不耐受从而躁动,血压升高,需要给予镇静镇痛,造成患者意识障碍加深影响病情观察,需定期复查CT。如患者术后短期内清醒可拔出气管插管,减少气管切开的并发症。脑干出血患者易出现植物神经功能紊乱,儿茶酚胺分泌过强,易出现应激性溃疡,糖代谢紊乱,水电解质紊乱,体温调节功能紊乱等情况,应及时应用抑酸药预防应激性溃疡,出现中枢性高热可应用冰毯及冰帽降温。
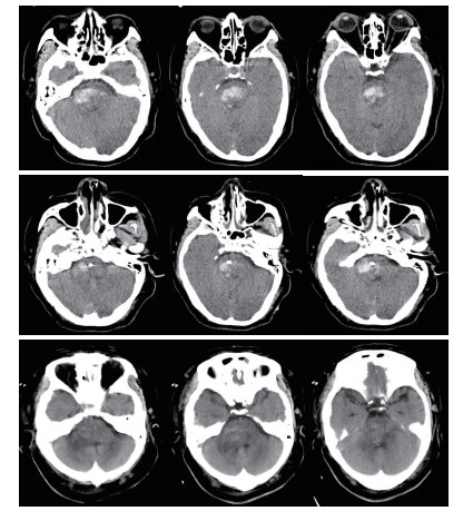
穿刺路径选择:行脑干出血立体定向穿刺分别采用幕上经额部及幕下经桥臂两种入路,笔者根据血肿的位置及患者的病情选择相应的入路,经幕上穿刺尤其适合侵及中脑的血肿,优点:体位摆放方便,对患者呼吸功能影响小,操作较简便,手术时间较短,血压监测较方便。缺点:穿刺路径较长,可能穿过脑室造成引流管移位,穿过丘脑及中脑,损伤损伤丘脑及中脑结构,如引流管置入过深可能损伤延髓。经幕下穿刺优点:经桥臂穿刺,穿刺路径短,损伤重要结构少,缺点:手术中需要侧卧位,可能影响呼吸,手术前应行气管插管,上头架时应预留手术穿刺位置,及耳环的位置,体位摆放及术中操作较复杂,手术时间较长。对于血肿侵及中脑或病情较重的患者,一般选择幕上经额穿刺(图 1)。如患者病情允许或术前有脑积水的患者,一般选择经幕下经桥臂入路,并根据血肿形态使引流管纵行穿过血肿(图 2)。
|
| 图 1 经幕上入路脑干血肿穿刺A:血肿穿刺前B:血肿穿刺后复查C:穿刺后5 d |
|
|
|
| 图 2 经幕下入路脑干血肿穿刺A:血肿穿刺前B:血肿穿刺后复查C:穿刺后6 d复查 |
|
|
本组手术术后24 h内血肿大部排空有7例,24~48 h大部排空有11例,48~72 h大部排空8例(图 1,2)。于1~4 d内拔除血肿腔引流管。术后8例患者3个月内死亡,死亡率25.8%。1例术中突发血压持续降低后,术后弥漫性脑肿胀死亡。1例术前吸入性肺炎严重,术后感染性休克死亡。1例肝功能不全,术中术后反复出血,家属放弃治疗死亡。1例术后不明原因高热,消化道出血,家属放弃治疗死亡。2例术后突发呼吸心搏骤停死亡。2例术后再出血,家属放弃治疗死亡。18例于术后3个月内清醒,均留有不同程度残疾,5例3个月内未清醒,存活病例随访3个月至1年后,格拉斯哥结局量表(GOS) 5级5例,4级7例,3级6例,2级5例,1级8例。植物状态及死亡患者多为出血量大(>10 mL),术前昏迷程度较深的患者(GCS评分3~5分)。
3 讨论高血压所致的脑干出血起病急,患者意识障碍恶化迅速,并发症复杂,死亡率高。过去因手术治疗风险大,难度高,成功率低,所以内科保守治疗为主[7-8]。脑干出血的预后与出血量、出血部位及临床症状等有关。其中出血量是影响患者预后的重要因素[9-10]。据统计,出血量<2 mL者,内科保守治疗的存活率达100%;出血量为2~5 mL者,患者病死率为16.7%~33.3%;出血量为5.1~10 mL者,患者病死率>75%;而出血量>10 mL的极重型患者的病死率接近100%[11]。而行立体定向抽吸的重症脑干出血患者死亡率为25.8%,较文献报道的保守治疗脑干出血死亡率低,并且死亡多为出血量大,术前昏迷程度较深的患者。患者预后主要与术前血量及昏迷程度相关,如患者术前血量大(>10 mL),昏迷程度深(GCS评分3~5分),应向家属说明患者植物状态及死亡几率较大,减少家属术后家庭及经济负担及术后纠纷。
总之,因立体定向血肿抽吸存在无法术中止血,血肿凝结坚固者难以迅速排空等缺点,如患者出血时间较短,血量较大,患者昏迷较深,技术条件允许,建议行开颅血肿清除[13-15]。但相比开颅手术,立体定向脑干出血穿刺术,手术时间较短,定位精确,操作相对简便,对脑干组织及其周围重要结构的损伤小,尤其适合昏迷较浅、年老体弱、不能耐受开颅手术的脑干出血患者。
| [1] | Ojaghihaghighi S. Comparison of neurological clinical manifestation in patients with Hemorrhagic and ischemic stroke[J]. World J Emerg Med, 2017, 8(1): 34. DOI:10.5847/wjem.j.1920-8642.2017.01.006 |
| [2] | 陈雄辉, 张鹏杰, 凌伟华, 等. 颅内血肿微创穿刺术治疗脑出血穿刺时间的回顾性研究[J]. 中华急诊医学杂志, 2018, 27(10): 1163-1165. DOI:10.3760/cma.j.issn.1671-0282.2018.10.020 |
| [3] | Meguro T, Kuwahara K, Tomita Y, et al. Primary pontine hemorrhage in the acute stage: clinical features and a proposed new simple scoring system[J]. J Stroke Cerebrovasc Dis, 2015, 24(4): 860-865. DOI:10.1016/j.jstrokecerebrovasdis.2014.12.006 |
| [4] | Morotti A, Jessel MJ, Brouwers HB, et al. CT angiography spot sign, hematoma expansion, and outcome in primary pontine intracerebral hemorrhage[J]. Neurocrit Care, 2016, 25(1): 79-85. DOI:10.1007/s12028-016-0241-2 |
| [5] | Zhang HT, Chen LH, Bai MC, et al. Anterior subtemporal approach for severe upper pontine hematomas: A report of 28 surgically treated cases[J]. J Clin Neurosci, 2018, 54: 20-24. DOI:10.1016/j.jocn.2018.04.063 |
| [6] | Gross BA, Jankowitz BT, Friedlander RM. Cerebral intraparenchymal hemorrhage[J]. JAMA, 2019, 321(13): 1295. DOI:10.1001/jama.2019.2413 |
| [7] | Pan K, Panwar A, Roy U, et al. A comparison of the intracerebral hemorrhage score and the acute physiology and chronic health evaluation Ⅱ score for 30-day mortality prediction in spontaneous intracerebral hemorrhage[J]. J Stroke Cerebrovasc Dis, 2017, 26(11): 2563-2569. DOI:10.1016/j.jstrokecerebrovasdis.2017.06.005 |
| [8] | Huang KB, Ji Z, Sun LH, et al. Development and validation of a grading scale for primary pontine hemorrhage[J]. Stroke, 2017, 48(1): 63-69. DOI:10.1161/strokeaha.116.015326 |
| [9] | Sutherland GR, Auer RN. Primary intracerebral hemorrhage[J]. J Clin Neurosci, 2006, 13(5): 511-517. DOI:10.1016/j.jocn.2004.12.012 |
| [10] | 王学建. 十九例脑干出血的治疗体会[J]. 中华神经创伤外科电子杂志, 2017, 3(3): 169-171. DOI:10.3877/cma.j.issn.2095-9141.2017.03.010 |
| [11] | Tao CY, Li H, Wang JJ, et al. Predictors of surgical results in patients with primary pontine hemorrhage[J]. Turkish Neurosurg, 2016, 26(1): 77-83. DOI:10.5137/1019-5149.JTN.12634-14.1 |
| [12] | Liu YC1, Qi YM1, Zhang H, et al. A survey of ventilation strategies during cardiopulmonary resuscitation[J]. World J Emerg Med, 2019, 10(4): 222. DOI:10.5847/wjem.j.1920-8642.2019.04.005 |
| [13] | 唐华民, 周建国, 张剑锋, 等. 两种手术方式治疗高血压脑出血的对比研究[J]. 中华急诊医学杂志, 2018, 27(4): 425-429. DOI:10.3760/cma.j.issn.1671-0282.2018.04.018 |
| [14] | Ichimura S, Takahara K, Mochizuki Y, et al. Intradural combined transpetrosal approach for primary pontine hemorrhage[J]. World Neurosurg, 2019, 127: 194-198. DOI:10.1016/j.wneu.2019.03.122 |
| [15] | Ichimura S, Bertalanffy H, Nakaya M, et al. Surgical treatment for primary brainstem hemorrhage to improve postoperative functional outcomes[J]. World Neurosurg, 2018, 120: e1289-e1294. DOI:10.1016/j.wneu.2018.09.055 |
2020, Vol. 29



