2 上海安泰医院 200082
虽然重症理念和技术近年有长足的进步,但神经重症患者并发感染性休克的病死率仍可高达30%~60%[1]。80岁以上的高龄脑卒中患者,因机体组织器官功能减退,免疫力低,往往合并有慢性基础疾病,因而并发严重感染的概率高,而高龄患者的感染指标及症状往往隐匿不典型,可以迅速出现多脏器功能不全和衰竭,导致高龄患者严重感染及感染性休克的诊治十分困难,病死率极高,预后极差。本文就两例80岁以上脑卒中患者感染性休克的成功救治报道如下。
1 资料与方法病例1,男性,87岁,因“洗澡后突发头痛,呕吐半天”急诊入院。既往史有高血压病史数十年,血压控制良好;冠心病史,2007年接受“冠脉搭桥术”,长期服用拜阿司匹林325 mg 1次/d,辛伐他汀80 mg 1次/晚。入院查体:格拉斯哥昏迷评分法(Glasgow Coma Scale,GCS)14分,双瞳等大等圆,光敏,四肢肌力正常,双侧病理征阴性。入院头颅CT(图 1)示小脑蚓部血肿,量约7 mL,四脑室和环池清晰;双侧额顶叶,脑室旁多发缺血腔隙灶,脑萎缩。CTA提示未见明显异常。
|
| 图 1 2007年5月11日患者入院第1天头颅CT |
|
|
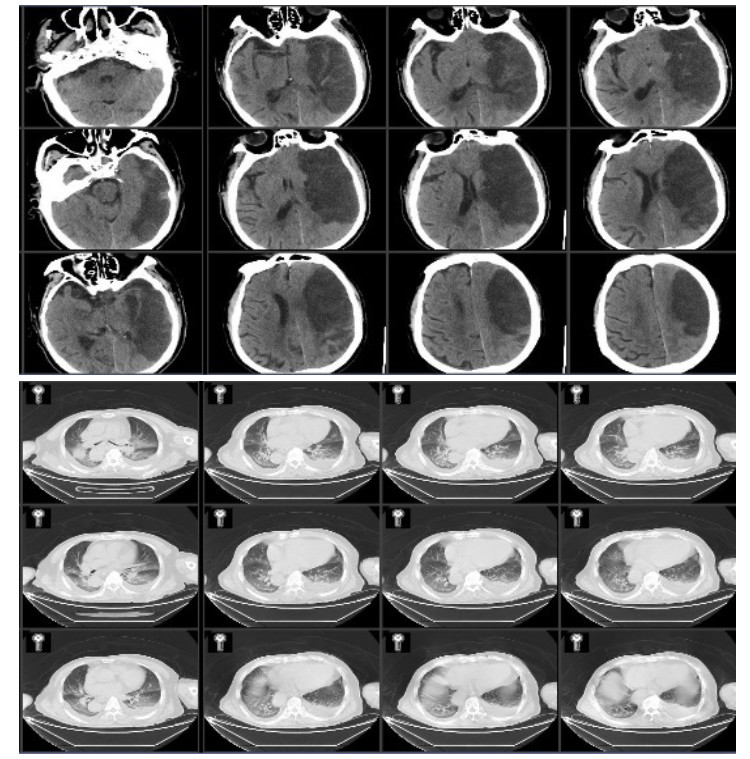
第8天复查肺部CT提示肺部感染(图 2),给予头孢他啶2.0 mg 2次/d抗感染治疗。患者第9天上午9时,患者突发心悸,气急,言语含糊。查体:体温37.3 ℃,脉搏100次/min,血压170/80 mmHg (1 mmHg=0.133 kPa),呼吸25~40次/min,指末氧饱和度SPO2 89%~95%,GCS 2-2-5分,双瞳等大等圆,光敏,双肺呼吸音减低,可闻及少量哮鸣音。血气分析:pH 7.344↓,PCO2 6.76 kPa↑,PO2 6.83 kPa↓,pro-BNP 513.3 pg/mL↑,PCT 0.09 ng/mL;血常规:WBC 9.46×109/L,NEUT% 78.5%↑;血电解质、心肌标志物、心肌酶谱、心超和心动图未见明显异常。经呼吸科和心内科会诊对症治疗后呼吸平稳,血氧饱和度维持95%以上。
|
| 图 2 患者第8天肺部CT |
|
|
第10天上午9时患者血压突然下降到85/55 mmHg。查体:体温36.8 ℃,脉搏65次/min,呼吸16~30次/min,指末氧饱和度SPO2 95%,GCS下降至7分;双瞳等大等圆,光敏,双肺呼吸清,可闻及少量痰鸣音,未闻及湿啰音;每小时尿量减少至15 mL/h,且上午9时至12时,每小时尿量均低于30 mL/h;急查血常规白细胞WBC 17.51×109/L, 中性比N% 92.7%,血肌酐Cr 132 μmol/L;血气分析:氧分压PO2 5.07 kPa, 二氧化碳分压PCO2 5.79 kPa, 氧饱和度SatO2 68.9%;综合患者体征及实验室检查诊断考虑感染性休克,并出现多脏器功能衰竭。立即给予0.9% NS 30 mL+多巴胺100 mg+多巴酚丁胺100 mg,及生理盐水60 mL+去甲肾上腺素12 mg微泵维持血压。予多巴胺100 mg+呋塞米200 mg+生理盐水30 ml 3 mL/h维持利尿,计每小时出入液量。立即将抗生素升级为美罗培南抗感染治疗。入院9天中不考虑液体隐性丢失的情况下基本平衡,考虑有隐性丢失和严重的炎症反应情况下有效血容量不足,立即加强液体复苏。家属不愿意气管插管和深静脉穿刺等有创操作的情况下,主治医师持续10 h连续紧盯监视屏,根据心率、血压、每小时尿量,动态监测血浆pro-BNP和血电解质、血糖来调整输液速度和输液成分。快速扩容液体复苏,控制心率不超过100次/min和pro-BNP连续每4小时检测分别为670、661、579 U/L,同时动态微调去甲肾上腺素等血管活性药物以保障收缩压≥100 mmHg;3条静脉通路输液速度在随后的7 h内200~750 m/h。在每小时尿量 < 30 mL/h连续3 h后,终于在少尿的第4,5,6,7小时,尿量逐渐达到40、50、60和110 mL, 随后的8 h进入多尿期(每小时尿量250~400 mL),在稳定血压和心功能负荷严密监测情况下,予以最大限度扩容,其中最快的1 h中输液高达920 mL。随着血压的稳定,患者的呼吸和意识逐渐好转稳定恢复意识。
患者入院第17天,神志清楚GCS 15分,体温正常、生命体征平稳、内环境稳定,病情平稳而转回美国,随访12个月格拉斯哥预后评分(Glasgow Outcome Scale,GOS)8分。
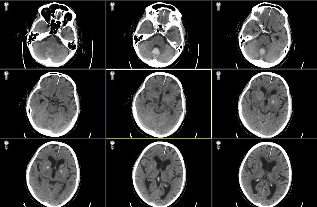
病例2,男性,80岁,因“突发右侧肢体无力1周,加重伴意识障碍1 d”由外院转入我院。外院头颅CT示左侧额颞叶片状低密度灶,诊断大面积脑梗死。头颅CTA示左侧颈内动脉及大脑中动脉部分闭塞,急诊溶栓治疗无效。既往有高血压病史20年,无冠心病房颤病史。入院查体:生命体征平稳,体温37.8 ℃,GCS 2-5-1,双瞳等大等圆,光敏,左侧肢体有不自主活动,右侧肢体无活动,右侧巴氏征阳性。入院诊断为左额颞大面脑梗,肺部感染,高血压病。入院后头肺CT见图 3。
|
| 图 3 入院患者头颅和肺CT |
|
|
入院后在严密监测每24小时出入液量、中心静脉压(CVP)、pro-BNP等容量指标下扩容、扩血管和改善脑微循环治疗,常规对症支持和适当渗透性治疗。反复动态监测血常规、凝血功能DIC全套、C-反应蛋白(CRP)、降钙素原、痰细菌真菌涂片和培养药敏等感染相关指标。
根据痰培养为泛耐药的鲍曼不动杆菌+肺炎克雷伯菌,给予替加环素,美罗培南抗感染治疗。患者意识逐渐改善,GCS上升至10分,脑梗区头颅CT复查密度明显改善。入院第9天出现腹泻,每天量约1 000 mL, 经对症治疗2 d后基本缓解。入院后体温波动于37.3~37.7 ℃,第11天临晨曾一过性高达38.8 ℃,随即下降至37.4 ℃。第12天上午5时出现氧饱和度下降至70%,当时体温36.7 ℃,立即予翻身拍背吸痰、抬高上半身体位后升至100%,至上午8时出现氧饱和度又下降至80%,呼吸急促31次/min,同时血压下降至83/35 mmHg,心率61次/min,四肢厥冷,开始出现无尿;立即给予呼吸机支持通气保障氧供。记尿量上午在上午8时至10时连续3 h尿量为0 mL。急查血常规白细胞WBC 12.92×109/L;中性粒比N% 91.8%, 肾功能肌酐Cr 213 μmoL/L。结合患者的体征及实验室检查诊断感染性休克、多脏器功能衰竭。立即给予快速输液的同时微调去甲肾上腺素和或升压多巴胺尽力维持收缩血压100 mmHg以上;呋塞米8 mg/h维持利尿;密切监测心率、血压、每小时出入液量、CVP、肺顺应性和动态连续每3~5 h监测血pro-BNP分别为3 408、3 720、3 612、3 829、3 911 U/L;在心功能可以承受的范围内最大限度的快速扩容,其中最快一小时的输液速度是820 mL/h。输液成分取决于血钠、血糖和血浆渗透压水平。至上午11点患者生命体征逐渐稳定,尿量首次升至75 mL/h。24 h内总入液量5 613 mL, 总出液量2 540 mL, 正平衡3 073 mL。至入院第21天,体温最高仍有37.5℃,能简单遵嘱,GCS 4-6-2分,左侧肢体有自主活动,右侧肢体无活动,病情平稳,随访6月E-GOS 4分
2 讨论感染性休克(septic shock)是指感染灶中的微生物、毒性产物等侵入机体血液循环,激活一系列炎症反应,引起大量炎症介质释放,影响组织器官灌注,造成组织器官缺血缺氧、功能衰竭[2]。老年高龄患者基础疾病多、免疫力低下、各脏器功能储备差,感染症状隐匿不典型,部分炎症指标不能反应炎症的严重程度,一旦严重感染,可以迅速恶化而感染性休克,病死率极高,是高龄脑卒中患者死亡的最重要因素之一[3]。
回顾上述两例高龄脑卒中患者在并发感染性休克时,高热症状并不明显,第2例患者血常规白细胞和中性粒细胞百分比明显增高,而第1例患者的白细胞正常水平,中性粒细胞仅轻微增高。因为两例患者感染性休克都发生于周末,故未能监测到当天的CRP和PCT值。两例患者在休克发生前都没有进行大剂量的脱水液体负平衡,感染性休克发生突然,并立刻同步出现少尿无尿,而老年患者的心功能储备极差,感染性休克时心脏冠脉血供本身收到影响,心功能复苏耐受性极差,进行液体快速扩容复苏难度极大。对于高龄患者早期如何尽可能精准的监测感染的严重程度和精准的液体管理,对于早期预警和早期诊断感染性休克非常重要;一旦感染性休克发生,如何尽快的控制炎症的进一步恶化,如何尽快的在心功能能承受的范围内快速扩容复苏,稳定血流动力学并纠正无尿少尿,是能否成功复苏的关键。
由于高龄患者对于感染反应的不典型性,所以必须尽可能全面的多模态监测感染的相关指标,包括体温、血常规、CPR、PCT、血乳酸、以及感染可能导致凝血功能微循环的改变后的DIC全套,对于其中感染相关指标中的任何一个指标显著增高,尤其相互之间反常不一致改变时更加需要重视,进行复测并高度重视感染加重的可能。对于病原菌的监测,一旦能取到痰标本的第一时间就应用开始动态连续监测痰细菌和真菌的涂片培养药敏,不拘泥于常规一周两次,可以在能开始取到痰标本时每天进行一次,加大检测的频率,直到找到细菌或真菌及药敏结果。后续的病原学监测频率取决于感染的控制程度和病菌改变的可能性而定,目标是在任何感染加重的第一时间内能做到准确的目标性抗感染治疗。同时合理必要的营养和免疫治疗是老年抗感染治疗的根本。
老年卒中患者的液体精准管理困难而重要,而在一旦感染加重后,全身炎症反应综合征,脓毒血症、严重脓毒血症甚至感染性休克时,随着炎症的加重,全身组织的毛细血管通透性和渗漏增加,组织间隙渗液随之增加,有效血容量丢失,其程度与炎症的严重程度成正比,目前无法准确评估炎症中损失的有效血容量;但可以明确的是为维持有效血容量,随着炎症的加重,输液量也要相应增加,然而诸多研究表明大剂量液体输注往往会破坏机体内环境平衡,甚至造成肺等重要器官的损伤[4-5]。卒中患者感染性休克时,昏迷、循环功能衰竭、无尿肾功能衰竭,加上呼吸功能不全,多脏器功能衰竭的数目增加是感染性休克死亡的最重要预后不佳因素[6]。而且老年患者的心功能储备差,如何准确平衡输液量增加和心功能保护在老年卒中患者将十分困难。所以老年卒中患者的液体管理时,所有的上述感染相关指标都必须严密监测,同时必须测24 h出入液量,必要时每小时出入液量;对于容量和心功能相关的指标,如中心静脉压(CVP)、pro-BNP、肺顺应性、心率、血压,如有条件的心超和PiCCO,以及全身皮肤组织肤色皱缩浮肿与否、四肢末梢皮肤温度和毛细血管充盈时间等全面、严密、仔细和动态的观察评估。上述两个病例在感染性休克时,因为监测条件的限制,只在根据心率、血压、每小时尿量、血浆pro-BNP、血电解质、血糖的反复动态监测,来调整输液速度和输液成分;考虑到少尿和无尿是肾前性的有效血容量不足导致的,在心功能能承受的最大范围内给予快速输液,2例80岁以上的高龄卒中患者的最快输液速度都超过了800 mL/h;幸运的是在心功能不能承受之前纠正无尿和少尿,这时机一纵即逝,必须尽早把握才有成功可能。
所以,对于老年高龄卒中患者,严密的感染预防监测和液体管理是预防感染性休克的关键,一旦发生,如果能第一时间加强精准抗感染、快速精准的液体容量复苏以及保护好重要脏器,救治成功仍有机会。
| [1] | Chambers KA, Park AY, Banuelos RC, et al. Outcomes of severe sepsis and septic shock patients after stratification by initial lactate value[J]. World J Emerg Med, 2018, 9(2): 113-117. DOI:10.5847/wjem.j.1920-8642.2018.02.005 |
| [2] | 仇洪影. 感染性休克发病机制及早期治疗的方法[J]. 中国中医药现代远程教育, 2010, 8(7): 207-208. DOI:10.3969/j.issn.1672-2779.2010.07.176 |
| [3] | 许风琴. 脑卒中患者恢复期死亡30例临床分析[J]. 实用医技杂志, 2006, 13(1): 113. DOI:10.3969/j.issn.1671-5098.2006.01.099 |
| [4] | 李银平, 王今达. 对休克复苏策略的深入探究很有必要[J]. 中华危重病急救医学, 2007, 19(5): 插3. DOI:10.3760/j.issn:1003-0603.2007.05.001 |
| [5] | 李文雯, 万献尧. 感染性休克时液体复苏相关性肺损伤研究进展[J]. 中国呼吸与危重监护杂志, 2012, 11(5): 510-513. DOI:10.3969/j.issn.1671-6205.2012.05.021 |
| [6] | 刘刚, 江宇, 卢中秋, 等. 感染性休克病死率和危险因素分析[J]. 中华医院感染学杂志, 2007, 17(10): 1229-1231. DOI:10.3321/j.issn:1005-4529.2007.10.016 |
2019, Vol. 28



