中华急诊医学杂志  2019, Vol. 28 Issue (11): 1422-1425   DOI: 10.3760/cma.j.issn.1671-0282.2019.11.017
De winter综合征七例
王苗 , 廖旺 , 李斌 , 王圣 , 黄玉冰     
海南省人民医院心血管内科 海南省心血管病研究所,海口 570311
摘要: 目的 探讨De winter综合征患者的治疗时机及预后。方法 收集2018年1月至8月在海南省人民医院心血管内科诊断De winter综合征住院的患者7例,观察术前及术后心电图演变、心脏彩超、冠脉造影特点等,并予药物及介入治疗等,术后随访1个月。结果 7例患者术前口服阿司匹林300 mg+替格瑞洛180 mg后行冠脉造影,结果均为前降支病变,均行前降支经皮冠状动脉介入治疗(percutaneous coronary intervention,PCI),复查冠脉造影TIMI血流Ⅲ级。结论 正确认识De winter综合征的心电图改变,尽早行冠脉造影及开通靶血管,可改善患者生活质量及降低病死率。
关键词: De winter综合征    急性心肌梗死    心电图    

2008年,荷兰鹿特丹心内科医师De winter等[1]在《新英格兰杂志》上发表了一篇文章,引起了心血管医师的注意,该研究通过回顾其心脏中心1 532例左前降支近段闭塞的急性冠脉综合征患者的心电图时发现,30例并未出现典型ST段抬高的心电图改变,而是表现为胸前V1-6导联J点压低1~3 mm,ST段呈上斜型下移,T波对称高尖,QRS波通常不宽或轻度增宽,部分患者胸前导联R波递增不良,多数患者aVR导联ST段轻度抬高,后来这一类疾病被命名为De winter综合征。也正因为心电图的不典型,未引起临床医师的重视,从而导致De winter综合征患者未及时得到诊治。目前关于De winter综合征的文献多为个案报道[2-3],笔者收集De winter综合征患者7例,现报道如下。

1 资料与方法 1.1 一般资料

纳入2018年1月至8月因急性胸痛(发病7 d内)在海南省人民医院心内科住院,心电图诊断为De winter综合征的患者7例,均为男性患者,年龄(52.5±13.0)岁,均无糖尿病、高血压及冠心病家族史,2例合并高脂血症,3例有吸烟史,见表 1。7例患者的临床表现情况见表 2。本研究符合医学伦理学标准,治疗及检查均获得患者或家属知情同意。7例患者均以胸痛入院,发病时间、伴随症状、入院生命体征及GRACE评分,见表 2。入院后心肌酶、肌钙蛋白T及血清钾等化验指标结果,见表 3

表 1 7例患者的人口学特征及冠心病危险因素
编号 性别 年龄(岁) BMI(kg/m2 高血压 糖尿病 高脂血症 吸烟 酗酒 冠心病家族史
病例1 61 20.8
病例2 67 19.5
病例3 41 23.5
病例4 59 27.4
病例5 61 22.9
病例6 48 30.5
病例7 31 24.1

表 2 7例患者的临床表现情况
编号 发病诱因 主要症状 发病时间(h) 伴随症状 入院血压(mmHg) 入院心率(次/min) GRACE评分
病例1 胸痛 4 肩背部及左上肢放射痛,大汗淋漓,恶心、呕吐、心悸、气促、乏力 104/70 65 173
病例2 钓鱼 胸痛 3 后背放射痛,大汗 99/74 76 189
病例3 胸痛 3 肩背部及双上肢放射痛,大汗淋漓,头晕、心悸、气促 140/80 74 124
病例4 胸痛 4 大汗 132/86 82 150
病例5 胸痛 29.25 出汗、手麻、口干 110/60 80 176
病例6 胸痛 2 肩背部及左上肢放射痛,大汗淋漓 140/80 78 127
病例7 踢足球 胸痛 3 后背放射痛、大汗、恶心、呕吐 113/79 89 168

表 3 7例患者的化验检查结果
编号 肌酸激酶同工酶(U/L) 超敏肌钙蛋白(μg/L) 血清钾(mmol/L)
PCI术前 PCI术后1 d PCI术后2 d PCI术前 PCI术前 PCI术后1 d PCI术后2 d
病例1 485.3 229.5 未检查 10 4.96 4.47 3.96
病例2 182.3 未检查 未检查 1.960 3.89 4.32 3.88
病例3 13.1 175.1 未检查 0.007 3.65 3.91 3.97
病例4 88.6 67.6 36.9 1.910 4.11 3.30 3.36
病例5 150.8 79.2 32.4 3.150 3.96 3.90 3.93
病例6 54.8 55.9 未检查 1.190 4.02 3.57 3.69
病例7 26.2 311.1 未检查 4.260 3.27 4.05 3.70
1.2 研究方法

7例患者术前口服阿司匹林300 mg+替格瑞洛180 mg后行冠脉造影,其中6例为急诊冠脉造影,1例为择期冠脉造影,依冠脉造影结果决定是否行支架植入术,术后常规复查心电图,并予阿司匹林100 mg/d,替格瑞洛90 mg/12 h抗血小板治疗,术后3 d转普通病房,1周内完善心脏彩超,7~10 d出院,1个月后电话随访,随访内容包括患者症状、再住院情况及是否死亡等。

2 结果

本研究收集7例De winter综合征患者,6例进行了急诊冠脉造影,胸痛至球囊扩张平均时间为3.3 h,1例进行择期冠脉造影。其中,3例为前降支近段严重病变,1例为第一对角支闭塞,3例为前降支中段闭塞,2例合并多支血管病变,5例为单支血管病变,均行前降支支架植入术(表 4)。1周内行心脏彩超检查,4例出现室壁运动减弱,2例EF值小于50%,2例心脏形态结构未见异常,1例患者术后第2天因个人原因自动出院,未完善心脏彩超(表 5)。观察7例患者住院期间心电图演变情况,其中有3例在PCI术后出现前壁导联ST段抬高,4例未出现ST段抬高(表 5)。病例1住院期间出现室性心动过速,病例7患在急诊科就诊时发生呼吸心搏骤停,经抢救后送导管室行急诊冠脉造影。另外,所有患者经药物及介入治疗后,均症状缓解出院,院外长期服用阿司匹林100 mg/d+替格瑞洛90 mg/12 h+阿托伐他汀40 mg/瑞舒伐他汀20 mg等药物,出院1个月后电话随访,7例患者均无胸痛、气促发作及再住院,无死亡病例。

表 4 7例患者冠脉造影及介入治疗情况
编号 是否急诊冠脉造影 冠脉造影结果 介入治疗情况
病变血管支数 罪犯血管 罪犯血管狭窄程度 罪犯血管TIMI血流
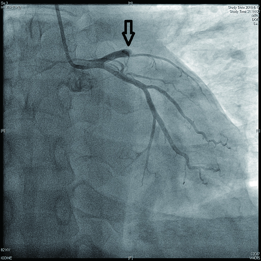
病例1 1 LAD近段(图 9 75%~90% 2级 LAD近段植入支架1枚
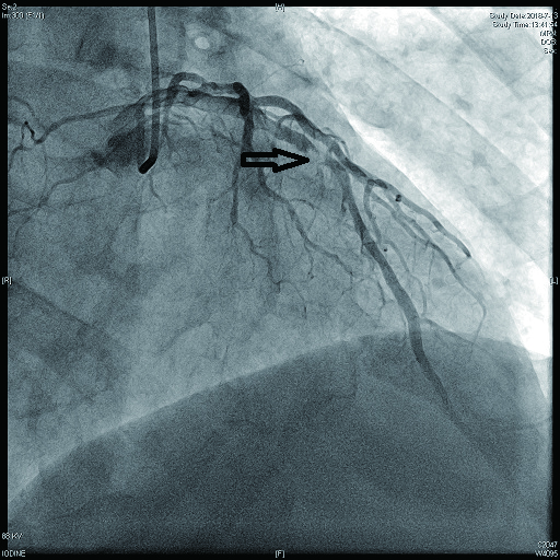
病例2 3(图 6~8 LAD近段 次全闭塞 2级 LAD近段植入支架1枚
病例3 1 LAD中段 闭塞 0级 LAD中段植入支架1枚
病例4 3 LAD中段及D1(图 11 LAD 85%及D1闭塞 0级 LAD中段植入支架1枚
病例5 1 LAD中段 闭塞 0级 LAD中段植入支架1枚
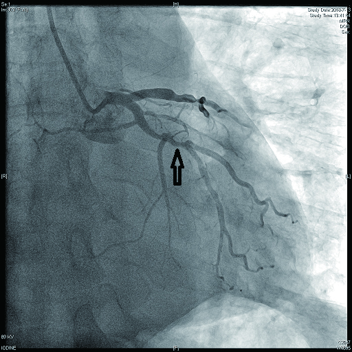
病例6 1 LAD中段(图 10 闭塞 0级 LAD中段植入支架1枚
病例7 1 LAD近段 次全闭塞 2级 LAD近段植入支架1枚
注:LAD为左冠状动脉前降支; TIMI为心肌梗死溶栓治疗

图 6 病例2冠脉造影示LAD中段病变

图 7 病例2冠脉造影示LCX病变

图 8 病例2冠脉造影示RCA病变

图 9 病例1冠脉造影示LAD近段病变

图 10 病例6冠脉造影示LAD中段闭塞

图 11 病例4冠脉造影示LAD狭窄,D1闭塞

表 5 7例患者的心电图演变及心脏彩超结果
编号 心电图是否演变为ST段抬高 心脏彩超
病例1 是(图 3~5 左心扩大,左室前间壁、前侧壁及心尖部运动减弱,EF 35%
病例2 左室前间壁中下段运动稍减弱,EF 59%
病例3 左室前间壁中下段及心尖运动稍减弱,EF 57%
病例4 心脏形态结构未见异常,EF 63%
病例5 左室前间壁及心尖部运动减弱,EF 44%
病例6 患者术后第二天因个人原因自动出院,未完善心脏彩超
病例7 否(图 1~2 心脏形态结构未见异常,EF 56%

图 1 病例7 PCI术前心电图

图 2 病例7 PCI术后心电图

图 3 病例1 PCI术前心电图A(肢体导联+V1-V3导联)

图 4 病例1 PCI术前心电图B(V4-V6导联)

图 5 病例1 PCI术后心电图
3 讨论

De winter综合征是近10年来新发现的心电图诊断,其诊断标准为:⑴胸前导联T波高尖对称; ⑵胸前V1-6导联J点压低1~3 mm,ST段呈上斜型下移; ⑶QRS波群通常不增宽或轻度增宽; ⑷可出现胸前导联R波递增不良; 大多数患者aVR导联ST段抬高1~2 mm。当然,这仅是心电图诊断,具体还要结合临床及其他辅助检查。目前其已被证实与前降支急性闭塞有关,占急性前壁心肌梗死的2%。虽然De winter综合征不属于STEMI范畴,但因其心血管事件的发生风险较高,有学者提出,其治疗时机应参照STEMI,尽早行冠脉造影及干预靶血管,改善预后。本文7例De winter综合征病例中,6例患者行急诊冠脉造影+PCI术,术后心脏彩超证实4例患者心功能恢复良好,1例(病例1)心脏收缩功能受到影响(EF 35%),恰巧该患者PCI术后心电图也演变为STEMI,是否演变为STEMI的De winter综合征患者的心功能较未演变为STEMI的患者更容易受损,有待于进一步证实。1例(病例5)择期冠脉造影+PCI术患者心功能明显受损,这可能与缺血时间长,心肌细胞损伤严重有关。另外,住院期间心血管事件发生、30 d再住院、死亡等方面,7例患者预后均良好。

黄振华等[4]认为,GRACE评分对急性胸痛患者30 d心血管不良事件具有良好的预测价值。目前GRACE评分广泛应用于NSTEMI的危险分层,大于140分为高危患者,应在24 h内行冠脉造影。De winter综合征属于NSTEMI,因此同样适用。本研究中,2例患者(病例3和病例6)GRACE评分小于140分,5例患者的GRACE大于140分,可见,GRACE评分对于De winter患者并不是完全适用,当然,也可能跟收集的病例样本太少有关。

De winter综合征的主要心电图改变为:胸前V1-V6导联ST段呈上斜型下移,T波对称高尖,多数患者aVR导联ST段轻度上抬。出现这种心电图改变的原因尚未清楚。传统观点认为ST段压低,是因为心肌细胞受损后,由于不能正常除、复极,导致正常与异常心肌细胞之间产生电位差,出现损伤电流,导致ST段出现了相对或直接偏移。近年来,有人提出离子流学说,正常时Ito电流分布为外膜>内膜,当心内膜心肌缺血时,内膜Ito电流明显增大,达到钙失活电位后,造成二相平台丢失,内外膜之间形成的电位差由高到低指向心内膜,背离探查电极,从而引起ST段压低[5]。刘元生[6]则认为,前壁导联ST段未抬高,可能与细胞膜上ATP敏感性钾通道(KATP)不能激活有关,其机制是心肌缺血使ATP产生缺乏。也有学者推测可能是反复心肌缺血,及各冠脉之间已形成广泛的侧支循环所致[7]

De winter综合征表现为T波高尖,临床上应注意与急性心肌梗死超急性期、高钾等疾病相鉴别。有学者认为,De winter综合征不会演变成STEMI,与STEMI超急性期的鉴别关键在于密切监测心电图,如果是De winter综合征,其ST段不会抬高,而急性心肌梗死超急性期心电图会有动态演变,T波高尖之后会逐渐出现ST段抬高,R波下降甚至丢失,病理性Q波形成等特点,但这种观点与本研究观察到的情况不符,本文中病例1、病例5和病例6都观察到心电图演变为STEMI。临床上观察不到的原因可能是:⑴患者发病时间短,心电图还来不及演变为ST段抬高,就已行冠脉造影及支架植入开通血管。⑵ST段抬高可能是一过性的,开通血管后ST段又回落至基线。只有密切监测心电图,才可能真正发现问题。至于与高钾导致的T波高尖的鉴别,急查血清钾即可明确。De winter等[1]发现心电图表现为ST段上斜型压低,T波高尖的患者,冠脉造影均提示前降支近段闭塞,且为单支血管病变。本文中观察到,3例为前降支近段严重病变,1例为第一对角支闭塞,3例为前降支中段闭塞,2例合并多支血管病变,5例为单支血管病变。亦有研究发现,心电图表现为De winter综合征,但冠脉造影却提示左主干闭塞[8]。可见,本文的发现及Murat等[8]的发现提示De winter综合征的靶病变不一定局限于LAD近段。另外,从本文观察到的情况,患者发病年龄都相对年轻,且均为男性,2例合并高脂血症,与以往文献报道[9]相符。

总之,De winter综合征虽为NSTEMI,但治疗时机应等同于STEMI,尽早干预靶血管,减少致死致残率,减少再住院率及改善患者预后。另外,广大临床医生应掌握De winter综合征的心电图特点,积极治疗,以免耽误患者病情。

参考文献
[1] De winter RJ, Verouden NJ, Wellens HJ, et al. A new ECG sign of proximal LAD occlusion[J]. N Engl J Med, 2008, 359(19): 2071-2073. DOI:10.1056/NEJMc0804737
[2] 徐萌萌, 姜龙, 冯娜娜, 等. de winter综合征一例[J]. 中华心血管病杂志, 2018, 46(3): 230-231. DOI:10.3760/cma.j.issn.0253-3758.2018.03.014
[3] 王浩, 程小航, 张宸, 等. ST段呈动态演变的de winter综合征一例[J]. 中国心血管杂志, 2018, 23(2): 160-162. DOI:10.3969/j.issn.1007-5410.2018.02.014
[4] 黄振华, 廖瑾莉, 肖孝勇, 等. GRACE评分对急性胸痛患者30 d心血管不良事件的预测价值[J]. 中山大学学报医学科学版, 2018, 39(1): 82-86. DOI:10.13471/j.cnki.j.sun.yat-sen.univ(med.sci).2018.0013
[5] 张夏琳, 刘墨青. ST段压低的分析[J]. 实用心电学杂志, 2017, 26(4): 229-233. DOI:10.13308/j.issn.2095-9354.2017.04.001
[6] 刘元生. 冠心病心电图的特殊改变[J]. 临床心电学杂志, 2017, 26(1): 1-3. DOI:10.3969/j.issn.1005-0272.2017.01.002
[7] Romero D, Ringborn M, Demidova M, et al. Characterization of ventricular depolarization and repolarization changes in a porcine model of myocardial infarction[J]. Physiol Meas, 2012, 33(12): 1975-1991. DOI:10.1088/0967-3334/33/12/1975
[8] Sunbul M, Erdogan O, Yesildag O, et al. De winter sign in a patient with left main coronary artery occlusion[J]. Postepy Kardiol Interwencyjnej, 2015, 11(3): 239-240. DOI:10.5114/pwki.2015.54019
[9] Verouden NJ, Koch KT, Peter RJ, et al. Persistent precordial 'hyperacute' T-waves signify proximal left anterior descengding artery occlusion[J]. Heart, 2009, 95(20): 1701-1706. DOI:10.1136/hrt.2009.174557