中华急诊医学杂志  2019, Vol. 28 Issue (9): 1148-1151   DOI: 10.3760/cma.j.issn.1671-0282.2019.09.018
以恶心、呕吐起病视神经脊髓炎谱系疾病一例诊治分析
高倩 , 秋爽 , 王薇     
首都医科大学附属北京世纪坛医院急诊科 100038
1 资料与方法

患者女性,29岁,以“恶心、呕吐1个月余,进食困难伴饮水呛咳半月,呼吸困难5 d,发热1 d”主诉收入北京世纪坛医院。患者病史长且复杂,笔者根据其先后就诊医院对其病史进行总结(表 1)。2018年5月10日患者在北京西客站候车过程中出现呼吸困难加重,随后出现呼之不应,立即送至本院急诊。至本院急诊抢救室时,患者生命体征心律166次/min,呼吸32次/min,血压80/47 mmHg(1 mmHg=0.133 kPa),氧饱和度80%,体温39.5℃,查体:浅昏迷,双瞳孔等大正圆,直径约2 mm,对光反射存在,无颈项强直,口周及口腔内可见较多清亮唾液,双肺呼吸音粗,双肺可闻及少量湿性啰音,左下肺为著,心律齐,各瓣膜听诊区未及杂音。腹部查体未见异常。双侧腱反射存在,双侧病理征阴性。血气:pH 6.95, PCO2 88 mmHg, PO2 48 mmHg, Lac 8.0 mmol/L, 故立即予气管插管、呼吸机辅助通气, 建立静脉通路补液及去甲肾上腺素泵入升压治疗,并立即收入本院急诊ICU。患者入院后主要血化验结果见表 2。心脏彩超提示弥漫性室壁运动异常,EF为45%,考虑感染相关心肌抑制。胸部CT提示双肺弥漫大小不等点片、斑片状高密度影,其内可见支气管走行,纵隔内可见多个大小不等淋巴结影,考虑双肺感染(图 1)。下肢血管超声、头颅CT、腹部CT均未见明显异常。患者入院后继续予气管插管接呼吸机辅助通气,呼吸机模式PC,起始参数:P 18 cmH2O(1 cmH2O=0.098 kPa),f 14次/min,PEEP 4 cmH2O,FiO2 40%;去甲肾上腺素静脉泵入及静脉补液升压治疗;肠内营养治疗;结合患者胸部CT及其他化验结果,诊断首先考虑重症肺炎,脓毒症,脓毒性休克,Ⅱ型呼吸衰竭,因此抗感染采用联合抗细菌、真菌及病毒全覆盖方案,同时予静脉输注人免疫球蛋白(IVIg)20 g/d ×5 d,静脉输注甲泼尼龙80 mg/12 h×4 d→40 mg/12 h×7 d→40 mg/d×3 d→甲泼尼龙片20 mg/d口服。经过上述治疗,患者体温逐渐下降至正常,神志逐渐转清,四肢肌力逐渐恢复至正常,呼吸机条件逐渐下调至模式PS,参数P 8 cmH2O,FiO2 40%,循环逐渐稳定并停用血管活性药物。复查主要血化验结果(表 3)均较前好转。抗感染治疗后前后2次复查胸部CT均提示肺炎较前吸收好转(图 2)。此时患者能脱机,但却不能拔管,且患者无咳嗽反射亦不能遵嘱吞咽。

表 1 患者入本院前病史总结
  时间 就诊医院 主要表现
2018年4月初 A 进食桑葚后出现恶心、呕吐,呕吐物为胃内容物,非喷射性,量约50 mL/次,伴呃逆、反酸,无呕血、黑便,无腹痛、腹泻,无发热、咳痰,无胸闷、胸痛,无头晕、头痛等不适,遂就诊A医院,行胃镜检查提示慢浅表性胃炎,十二指肠球部多发息肉,予抑酸、补液治疗后患者上述症状无缓解
2018-04-17至2018-04-28 B 查血、尿、便常规,血生化等均未见异常,免疫指标:ANA 1:100,SSA 3+,Ro-52 +,余均阴性;腹部CT:胃窦部胃壁水肿增厚、副脾;头及肺部CT未见异常;予止吐、抑酸、补液等对症治疗10余天后患者恶心、呕吐,呃逆较前减轻,但出现口齿不清, 唾液增多,吞咽困难,伴视物模糊,当时考虑淀粉样变性不除外,建议完善双肾超声、心脏超声、甲状腺超声等检查,但患者家属拒绝并出院
2018-05-06 C 患者吞咽困难加重,就诊C医院风湿免疫科,不考虑风湿免疫系统疾病,建议继续就诊消化内科
2018-05-07 D 患者出现呼吸困难,胸痛,D-二聚体升高
2018-05-07 E 行肺动脉造影(CTPA)检查未见肺栓塞表现,仅提示双肺少许炎性改变
2018-05-08至2018-05-10 F 行胸片检查提示右下肺高密度影,考虑肺炎,给予抗感染、化痰、平喘等治疗,2018-05-09患者出现发热,Tmax40.0℃,予退热对症治疗。2018-05-10患者体温再次升至40.0℃,当时查血气提示pH 7.45, PCO2 29 mmHg, PO2 49.6 mmHg, Lac 1.1 mmol/L,因不能住院治疗,患者家属签字离院
注:A、B、C、D、E、F医院分别为通辽糖尿病医院、中国医科大学附属第一医院、北京大学人民医院、中国人民解放军总医院第一附属医院(304医院)、中国人民解放军总医院(301医院)、北京协和医院

表 2 患者入院后主要化验结果
化验项目 化验结果
血常规 WBC 8.75×109/L,N 95.2 %,HB 108 g/L,PLT 123×109/L
尿便常规 未见异常
血生化 ALB 26 /L,AMY 219 U/L,K+ 3.46 mmol/L,余(-)
凝血 PT 15.6 s,PT% 66%,FDP 4.53g/L,D-二聚体2 952 ng/mL
心肌酶 cTnI 0.21 ng/mL,MYO 52.8 ng/mL,CK-MB 1.35 ng/mL
BNP 915 pg/mL
炎症指标 ESR 44 mm/h,CRP 153.75 mg/L,PCT 12.62 ng/mL,G试验201.5 pg/mL
免疫指标 抗核抗体:ANA斑点均质型1:320,SS-A抗体(+),Ro-52抗体(+),余(-);ANCA:(-);CH50 47.6 U/mL,C3 0.84 g/L,ASO、RF、IgG、IgA、IgM、C4均(-)
甲状腺功能呼吸道病原 T3 58.2 ng/dL,FT3 1.45 pg/mL,T4 4.87 μg/dL,FT4 0.92 ng/dL,TSH 0.14 mU/L,anti-TG 362.4 U/mL,TRAb 1.29 U/L CPN-IgG(+),CPN-IgM(-),MP-IgG/IgM(-),LP-IgM(-),EBV-VCA-IgM(-),CMV-IgM(-)
血、尿、痰培养 未见异常
动脉血气 pH 7.34,PCO2 31 mmHg,PO2 93 mmHg,BE -8 mmol/L,HCO3- 16.7 mmol/L,Lac 1.1 mmol/L

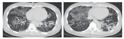
图 1 患者入院后首次胸部CT检查结果(2018-05-11)

表 3 患者住院期间经过治疗后复查主要化验结果
  化验项目 化验结果
血常规 WBC 4.27×109/L,N 78.0 %,HB 103 g/L,PLT 302×109/L
尿便常规 未见异常
血生化 ALT 24 U/L,TBIL 7.7 μmol/L,GGT 99 U/L,ALB 35.2 g/L,Cr 29 μmol/L,BUN 9.40 mmol/L,余(-)
凝血 PT 12.6 s,PT% 85%,FDP 2.81 g/L,D-二聚体493 ng/mL
心肌酶 cTnI 0.02 ng/mL,MYO 28.1 ng/mL,CK-MB 0.82 ng/mL
BNP 54.48 pg/mL
炎症指标 ESR 33 mm/h,CRP 6.04 mg/L,PCT 0.05 ng/mL,G试验 < 10 pg/mL
免疫指标 抗核抗体:ANA斑点均质型1:320,SS-A抗体(+),Ro-52抗体(+),余(-);ANCA:(-);CH50 47.6 U/mL,C3 0.84 g/L,ASO、RF、IgG、IgA、IgM、C4均(-)
甲状腺功能 T3 32.2 ng/dL,FT3 1.21 pg/mL,T4 4.51 μg/dL,FT4 0.95 ng/dL,TSH 2.09 mU/L,anti-TG 148.9 U/mL,TRAb 0.91 U/L
动脉血气 pH 7.44,PCO2 40 mmHg,PO2 126 mmHg,BE 2.8 mmol/L,Lac 1.0 mmol/L

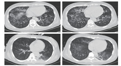
图 2 患者治疗后复查胸部CT检查结果(上下分别为患者治疗8 d和13 d情况)

对患者再次进行神经系统查体:患者神志清楚,查体配合,智能可。双眼闭合力弱,双侧水平注视时可见持续粗大水平眼震,咬合力弱,转头耸肩力量可,四肢肌力5-级,膈肌与肋间肌肌力正常,痛觉大致正常,双上肢腱反射+++,双髌阵挛阳性,跟腱反射+++,双侧病理征阳性,颈以下皮肤划痕征阳性。因双眼闭合力弱,水平眼震,发病时呕吐,患者病变定位于脑桥背侧及小脑联系纤维;吞咽困难、球麻痹、呼吸障碍,定位于延髓背侧;前胸后背疼痛、皮肤划痕征阳性,定位于高颈段。2018年5月24日行脑脊液穿刺检查,脑脊液呈无色透明状,压力120 cmH2O。脑脊液常规:潘氏反应阴性,细胞总数3×106/L,白细胞2×106/L,红细胞1×106/L;脑脊液生化:蛋白0.4 g/L,氯离子124 mmol/L,糖5.58 mmol/L;脑脊液外送检验结果以及住院期间其他外送检验结果见表 4。其中脑脊液抗水通道蛋白抗体(AQP4-IgG)3+。2018年5月31日患者头颅磁共振检查提示:视神经分叉部、颈髓-延髓移行区异常对比增强(图 3)。结合患者临床表现,脑脊液AQP4-IgG阳性,以及头颅磁共振结果,患者最终诊断视神经脊髓炎谱系疾病。该患者后续经过激素维持治疗及康复锻炼于2018年6月5日拔除气管插管,患者吞咽功能逐渐恢复于2018年7月10日拔除胃管,2018年9月20日患者病情进一步好转出院。出院后3个月随访,患者一般情况好,生活自理,未遗留视力及其他器官功能障碍。

表 4 患者住院期间外送标本检测结果
  送检项目(送检医院) 回报日期 结果
毒物检测(307医院) 2018-05-18 血、尿液中未检测到农药,鼠药、滥用药物及其他毒物
呼吸道病原核酸检测(朝阳医院) 2018-05-16 人肺孢子菌、甲流、乙流、腺、EB、巨细胞、呼吸道合胞、鼻、偏肺病毒核酸检测均阴性
乙酰胆碱受体抗体(北京医院) 2018-05-23 阴性
脑脊液免疫指标(北大医院) 2018-05-30 抗水通道蛋白抗体(AQP4-IgG)+++

图 3 患者头颅增强磁共振结果(蓝色箭头标注处高密度影为患者病变所在,分别位于视神经分叉部以及颈髓-延髓移行区)
2 讨论

视神经脊髓炎(neuromyelitis optical,NMO)是一种自身免疫介导的以视神经和脊髓受累为主的中枢神经系统脱髓鞘性疾病。该病临床上多以严重的视神经炎和纵向延伸的长节段横贯性脊髓炎为特征表现,年轻女性多见,复发率及致残率高。临床上有一组尚不能满足视神经脊髓炎诊断标准的脱髓鞘疾病,但部分病例最终演变为NMO。2007年Wingerchuk等[1]把上述疾病统一命名为视神经脊髓炎谱系疾病(neuromyelitis optical spectrum disorder,NMOSD)。目前尚无准确的NMOSD流行病学数据,已有的小样本流行病学资料显示该病患病率约为(0.05~4.4)/10万,且无明显地域差别[2]。水通道蛋白4抗体(AQP4-IgG)是该病的高度特异性指标。2015年国际NMO诊断小组制定的NMOSD诊断标准[3-4], 以AQP4-IgG作为诊断分层,将其分为AQP4-IgG阳性和AQP4-IgG阴性组。AQP4-IgG阳性的NMOSD的诊断标准为:(1)至少1项核心临床特征;(2)采用可靠的方法检测AQP4-IgG呈阳性;(3)排除其他诊断。其中视神经炎、急性脊髓炎、延髓最后区综合征为最具特征临床表现。本病例以恶心、呕吐、呃逆起病属于延髓最后区综合征。对AQP4-IgG阴性的NMOSD则需要满足严格的MRI附加条件。目前NMOSD的治疗方案主要是依据一些临床试验、回顾性研究、专家共识以及其他自身免疫性疾病的治疗经验[5-7],分为急性期治疗、序贯治疗、对症治疗和后期康复治疗。其中急性期治疗包括激素治疗,静脉注射人免疫球蛋白,血浆置换。该病发病率低,临床表现多样且病情进展迅速,导致患者常因各种急危重情况被迫就诊急诊。作为急诊科医生,能否准确迅速地对该病做出诊断,对患者预后起到了至关重要的作用。该病例中患者以“恶心、呕吐”等消化道症状为首发表现,患者1个月内先后就诊多家医院,这其中不乏国内顶尖医院,但患者始终没有得到正确诊断及有效治疗,导致患者最终发展成严重的肺部感染和呼吸、循环衰竭。从该病例可以得到以下经验教训:(1)青壮年女性,以恶心、呕吐等消化系统症状首发,不能用常规内科疾病解释,且常规治疗效果不佳,应当考虑NMOSD;(2)再次强调病史和查体的重要性,该患者病程中始终伴随视物模糊,但先后接诊医生均未对此重视,更未对此做进一步检查。从而遗漏了诊断该病的重要线索。通过总结这样一例病例,希望对急诊工作者认识视神经脊髓炎谱系疾病有一定的帮助。

参考文献
[1] Wingerchuk DM, Lennon VA, Lucchinetti CF, et al. The spectrum of neuromyelitis optica[J]. Lancet Neurol, 2007, 6(9): 805-815. DOI:10.1016/S1474-4422(07)70216-8
[2] Pittock SJ, Lucchinetti CF. Neuromyelitis optica and the evolving spectrum of autoimmune aquaporin-4 channelopathies: a decade later[J]. Ann N Y Acad Sci, 2016, 1366(1): 20-39. DOI:10.1111/nyas.12794
[3] Wingerchuk DM, Banwell B, Bennett JL, et al. International panel for NMO diagnosis. International consensus diagnostic criteria for neuromyelitis optica spectrum disorders[J]. Neurology, 2015, 85(2): 177-189. DOI:10.1212/WNL.0000000000001729
[4] 中国免疫学会神经免疫学分会, 中华医学会神经病学分会神经免疫学组, 中国医师协会神经内科分会神经免疫专业委员会. 中国视神经脊髓炎谱系疾病诊断与治疗指南[J]. 中国神经免疫学和神经病学杂志, 2016, 23(3): 155-166. DOI:10.3969/j.issn.1006-2963.2016.03.001
[5] Mealy MA, Wingerchuk DM, Palace J, et al. Comparison of relapse and treatment failure rates among patients with neutomyelitis optica: multicenter study of treatment efficacy[J]. JAMA Neurol, 2014, 71(3): 324-330. DOI:10.1001/jamaneurol.2013.5699
[6] Torres J, Pruitt A, Balcer L, et al. Analysis of the treatment of neuromyelitis optica[J]. J Neurol Sci, 2015, 351(1/2): 31-35. DOI:10.1016/j.jns.2015.02.012
[7] Mao Z, Lu Z, Hu X, et al. Distinction between MOG antibody-positive and AQP4 antibody-positive NMO spectrum disorders[J]. Neurology, 2014, 83(12): 11-22. DOI:10.1212/WNL.0000000000000830