准确评估容量状态对于精细化管理危重症患者的容量水平,防止容量过负荷具有重要作用。临床工作中,可以使用多种方法来量化容量状态,包括中心静脉压(CVP)、肺动脉楔压(PAOP)、全心舒张末期血容积指数(GEDVI)、下腔静脉直径及其呼吸变异度和血管外肺水等[1-5]。尽管从这些方法中可以获得相对准确的判断,但随之而来的操作风险或对技术的特殊要求往往限制了它们的应用。作为一种快速、便捷和无创的检查,胸部X线摄影(CXR)用来辨别患者的容量状态已有较多研究[6-9]。一些CXR的特征,比如肺动脉凸出、肋膈角变钝、叶间裂渗出、间质纹理增粗、蝶翼样水肿区等通常可以判断容量过负荷。然而这些X线的特征往往依赖于临床医师的主观判断,不具备定量诊断的价值。血管蒂宽度(vascular pedicle width,VPW)是1984年Milne等[10]首次提出的一种评估血管内容量状态的定量指标。在CXR上测量血管蒂宽度不仅是一种有价值的、非侵入性的判断容量负荷的方法[8, 11],而且VPW数值与血管内容量有较好的相关性[6, 12-18]。本文就血管蒂宽度在容量评估中的价值做一综述,为临床上指导重症患者液体治疗提供依据。
1 心脏血管蒂的解剖在直立后前位胸片上,心脏血管蒂即从胸廓入口延伸到心脏顶的进出于心脏的一些大血管阴影。它的右侧缘上方是右头臂静脉,下方是上腔静脉,位置偏前;左侧缘由左锁骨下动脉构成,位置偏后;外侧缘延伸至主动脉弓。这种左右缘的平面不同,加之静脉较动脉顺应性更好,使得血管蒂右侧缘大小的改变比左侧缘更能反映血管内容量状态的变化[10]。
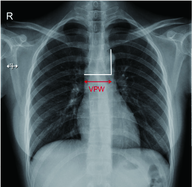
2 血管蒂宽度的测量血管蒂宽度的测量可分为两步:首先从左锁骨下动脉外缘起点开始向下画一条垂直线,然后确认上腔静脉与右主支气管的重叠点,该重叠点到垂直线的水平距离就是血管蒂宽度(图 1)。Milne等[10]报道的正常人直立后前位胸片上VPW为(48±5)mm,仰卧后前位胸片上VPW可增加至58~64 mm,或增加近20%。
|
| 图 1 血管蒂宽度(VPW)的测量方法(首先从左锁骨下动脉外缘起点开始向下画一条垂直线,然后确认上腔静脉与右主支气管的重叠点,该重叠点到垂直线的水平距离即为VPW) |
|
|
Milne等[10]对83例正常志愿者的胸片进行VPW测量后发现,VPW与身高、体质量和体表面积有密切关系,它们之间可以用相关函数来表示,即VPW vs身高(cm) y=0.26 x+3.69,VPW vs体质量(kg) y=0.29 x+29.72,VPW vs体表面积(m2) y=18.39 x+15.37,且VPW与体质量和体表面积的相关性比身高更大。VPW与体型也有一定的关系,一个70 kg标准体型的人可以与瘦高型或是矮胖型的人拥有相同的VPW值。
3.2 血管蒂宽度与呼吸Milne等[10]发现吸气和呼气时VPW是保持恒定的。正常生理状态下,吸气时胸腔内负压增大,回心血量增加,血管蒂增宽;呼气时胸腔内压变为正压,回心血量虽减少,但由于横膈上抬、纵隔变紧凑使得血管蒂增宽,因此VPW并没有减小。Ely等[19]对机械通气的患者进行观察后发现,在自主呼吸和正压通气的不同模式下,VPW的数值是一致的。总之,呼吸对VPW的影响可以忽略不计。
3.3 影响血管蒂宽度的技术因素 3.3.1 直立后前位与前后位摄片因血管蒂的右侧缘偏前,左侧缘偏后,故无论在后前位或前后位摄片,总有一边缘更靠近胶片。故两种位置摄片比较,VPW仅有轻微的变化。
3.3.2 体位可影响VPW的大小Milne等[10]发现直立位和仰卧位摄片时,VPW有明显差异。他们对10名正常志愿者采取仰卧位摄片,VPW可增加7%~40%,(17.3±9.4)%;对32例心脏病患者进行仰卧位摄片,VPW增加了(21±7.3)%,其中以血管蒂右缘增宽较明显,可达15%~114%,(47±37.1)%,而左缘增宽仅为0~17%,(7±4.81)%。此外,体位旋转对VPW也有一定的影响,如果患者向右侧旋转(左前斜投照)可增加VPW的测量值,向左侧旋转(右前斜投照)可减小VPW的测量值。
3.3.3 摄影技术X线摄影技术会影响胸片图像质量,进而会影响到血管蒂宽度的测量。在常规胸片摄影中,直立位摄片时多采用72英寸(180 cm)的焦点-胶片距,床边仰卧位摄片时多采用40英寸(100 cm)的焦点-胶片距。摄影管电压多为70~80 kV。原则上应该在保证图像信息量的情况下,尽量减少曝光量,同时还需要根据患者病理原因(如肺气肿、大量胸水)进行相应的增加和减少曝光量。
3.3.4 阅片者间的差异Milne等[10]的研究中正常志愿者的VPW均数在不同阅片者间的差异仅为(2±2)%。Wang等[20]的一项Meta分析发现不同阅片者间VPW测量变异的平均百分比为2%,血管蒂宽度的阅片者内部相关系数为0.82,阅片者之间相关系数为0.84,表明胸部X线摄片进行VPW的测量具有相对高的一致性和低的变异性。
3.4 影响血管蒂宽度的疾病因素心血管疾病、纵隔疾病、胸部手术、放疗、肿瘤以及外伤等均会影响血管蒂的轮廓,从而影响VPW的测量值。Chiou等[21]回顾了261例心脏移植术后患者的胸片,结果发现VPW为(60.9±22.8)mm,与正常值(48±5)mm有明显差异。杨常运等[22]对133例先天性房室间隔缺损的患者术前术后的胸片进行VPW的测量,结果发现90.2%的患者术后VPW增宽。相关疾病导致的VPW的变化应视为患者正常的胸片表现,不应该当作异常。
由于VPW值可受上述一些因素影响,当使用胸部X线摄片时,应提出更高的要求,即规范床边胸片的投照方法,特别注意摆正患者的体位,使用相同的投照条件,最大限度发挥胸片的作用,得出更加准确的VPW值。
4 测量血管蒂宽度的临床意义 4.1 评估容量过负荷和(或)肺水肿1985年Milne等[12]首次将VPW用于肺水肿类型的鉴别。他们对216例肺水肿患者直立后前位胸片研究后发现,肺水肿的分布、VPW和肺血流的分布对鉴别肺水肿的类型很有帮助。当VPW < 43 mm时可认为肺水肿为损伤性的,而VPW > 53 mm时认为是容量负荷增加的表现,如心衰或肾衰。1988年Miniati等[23]使用标准解读方法分析了119张立位胸片,目的是准确鉴别肺水肿的病因(心源性、肾源性和损伤性)。通过对15个影像学表现进行逐步的判别分析,可使88.2%的患者得到正确的病因分类。其中VPW拥有第二高的鉴别能力,仅次于肺血流的分布。
重症患者往往需要床边仰卧位摄片,尽管仰卧位时VPW值大于立位的VPW值,但其对容量状态的评估仍有较高的预测价值,这在一系列的前瞻性研究中被不断证实。1998年Thomason等[9]首先评价了床旁仰卧前后位CXR在鉴别静水压增高型肺水肿和渗透性肺水肿中的预测价值。他们发现,VPW和心胸比(CTR)均与肺动脉楔压有很好的相关性,结合VPW和CTR可使诊断的准确率从41%提升至73%,其中VPW > 63 mm和CTR > 0.52是最佳分界点。就VPW单个指标而言,鉴别静水压增高型肺水肿和渗透性肺水肿的最佳分界点是68 mm。2001年Ely[8]纳入了100例留置肺动脉漂浮导管的重症监护患者,行仰卧位床边CXR检查后1 h内测量PAOP。结果发现VPW≥70 mm是鉴别血管内容量增高(PAOP≥18 mmHg)(1 mmHg=0.133 kPa)和正常(PAOP < 18 mmHg)的最佳分界点,准确率可达67%。如果结合CTR测量,即VPW≥70 mm和CTR > 0.55,准确率可达70%。因此得出结论:VPW和CTR是最重要的两个反映血容量状态的放射学预测指标。2002年Martin等[15]采取了与Ely相似的方法来评估VPW的预测价值,结果发现VPW≥74.5 mm可以预测容量过负荷。2011年Wichansawakul等[17]对泰国的重症监护患者也做了类似的前瞻性研究,在测量PAOP后1 h内行仰卧位床边CXR,结果发现VPW > 68 mm是预测PAOP≥18 mmHg的最佳分界点,如果同时结合CTR > 0.58和支气管袖套征可以作为肺动脉漂浮导管置入存在禁忌时的替代方法。2014年Farshidpanah等[18]为了验证Ely等的结果,即VPW≥70 mm是否是鉴别心源性肺水肿和非心源性肺水肿的最佳分界点,开展了一项回顾性研究。研究最终得出了肯定的结论。
以上研究均是以PAOP作为参照指标来评价VPW在容量过负荷中的价值。2007年Aloizos等[24]证实了VPW和PiCCO相关参数具有显著相关性。VPW与全心舒张末期血容积指数(GEDVI)、胸腔内血容积(ITBV)和血管外肺水指数(EVLWI)的相关系数分别为0.785、0.710和0.510。2015年Salahuddin等[25]使用下腔静脉超声(直径和呼吸变异度)和肺部超声作为对照来评价VPW的预测价值。把下腔静脉直径≥2 cm和(或)变异度≤15%定义为容量充足,于CXR后1 h内行超声检查,结果显示VPW与下腔静脉直径和呼吸变异度有很好的相关性,最佳预测值为64 mm,而VPW与血管外肺水(通过测量肺彗尾征)无相关性。
4.2 连续测量血管蒂宽度的价值患者进行连续的VPW测量对于容量状态的评估和管理是很有益的,VPW的真正价值也体现于此。Pistolesi等[13]发现VPW的变化与总血容量的变化明显相关(r=0.93,P < 0.01)。当在直立位胸片上连续测量VPW时,可发现全血容量每增加1 L,VPW可增宽5 mm。Haponik等[14]对42例皮肤烧伤和具有吸入性肺损伤危险因素患者的胸片进行了连续回顾分析,其中18例在发病后(3.3±1.5)d出现了肺水肿,VPW从(5.9±0.8)cm增加至(6.9±1.2)cm(P < 0.01),这些患者均在入院后24 h内接受了更多的液体复苏[(16.9±9.7)L vs (8.9±4.7)L,P < 0.05],因此指出VPW的增宽与早期烧伤患者的肺水肿有关。Don等[26]对22例慢性肾衰竭患者透析前、透析后36张胸片的VPW做了对比研究,结果发现透析后患者的VPW值显著减小,指出VPW是判定临床透析患者血管容量负荷状态敏感而有用的指标。冯冰等[27]对25例长期血透合并心力衰竭患者在心衰纠正前后胸片上VPW值对比研究发现,心衰纠正后患者VPW显著减小,进一步证明VPW和血管内容量状态具有很高的相关性。Gao等[28]提出了ΔVPW的概念,即治疗前后VPW的差值。他们发现ΔVPW与接受腹膜透析患者的血管内容量状态具有很高的相关性。
连续测量VPW的意义在Martin等[15]的前瞻性研究中被进一步证实。该研究纳入了36例接受机械通气的急性肺损伤(ALI/ARDS)患者,随机分为呋塞米+白蛋白组和双安慰剂组,并对这些患者进行连续的床边仰卧位摄片,共136张。结果发现经过5 d的治疗,治疗组患者的净尿量平均增加了3.3 L,体质量平均减轻了10 kg,VPW值明显减小。
5 结语尽管目前已经有诸如Swan-Ganz肺动脉漂浮导管、PiCCO监测仪、床旁超声等先进的工具和仪器,但操作风险或对技术的特殊要求往往限制了它们的应用。目前关于血管蒂宽度的研究中,纳入的人群、样本量、X线摄片技术、设计方法、采用的评估容量过负荷的参照指标等不尽相同,使得不同的研究得出了不同的血管蒂宽度界定值来衡量容量过负荷,但血管蒂宽度总能比较准确地反映容量状态,尤其是连续监测VPW更能准确地反映容量状态的变化。2011年Wang等[20]将8个研究(2个回顾性研究,6个前瞻性研究),363位受试者进行了荟萃分析,结果提示无论是直立位摄片还是仰卧位摄片,VPW均与容量过负荷有显著的相关性r=0.81(95%CI: 0.74~0.86),因此VPW来评估容量状态是可靠的。
综上所述,在CXR上进行客观的血管蒂宽度测量可增加容量状态的临床和影像学评估的准确性,尤其是对同一个患者进行连续性监测时临床意义会更大。当患者存在有创的血流动力学监测的禁忌或者医院不具备其他有创或无创的监测技术时,使用血管蒂宽度将会是较好的选择。
| [1] | Richard C, Warszawski J, Anguel N, et al. Early use of the pulmonary artery catheter and outcomes in patients with shock and acute respiratory distress syndrome:a randomized controlled trial[J]. JAMA, 2003, 290(20): 2713-2720. DOI:10.1001/jama.290.20.2713 |
| [2] | Harvey S, Harrison DA, Singer M, et al. Assessment of the clinical effectiveness of pulmonary artery catheters in management of patients in intensive care (PAC-Man):a randomised controlled trial[J]. Lancet, 2005, 366(9484): 472-477. DOI:10.1016/s0140-6736(05)67061-4 |
| [3] | Marik PE. Techniques for assessment of intravascular volume in critically ill patients[J]. J Intensive Care Med, 2009, 24(5): 329-337. DOI:10.1177/0885066609340640 |
| [4] | Zhang ZH, Xu X, Ye S, et al. Ultrasonographic measurement of the respiratory variation in the inferior vena cava diameter is predictive of fluid responsiveness in critically ill patients: systematic review and meta-analysis[J]. Ultrasound Med Biol, 2014, 40(5): 845-853. DOI:10.1016/j.ultrasmedbio.2013.12.010 |
| [5] | Picano E, Frassi F, Agricola E, et al. Ultrasound lung comets: a clinically useful sign of extravascular lung water[J]. J Am Soc Echocardiogr, 2006, 19(3): 356-363. DOI:10.1016/j.echo.2005.05.019 |
| [6] | Aberle R, Wiener-Kronish P, Webb R, et al. Hydrostatic versus increased permeability pulmonary edema: diagnosis based on radiographic criteria in critically ill patients[J]. Radiology, 1988, 168(1): 73-79. DOI:10.1148/radiology.168.1.3380985 |
| [7] | Duarte AG. Radiographic assessment of intravascular volume[J]. Chest, 2002, 122(6): 1879-1881. DOI:10.1378/chest.122.6.1879 |
| [8] | Ely EW, Haponik EF. Using the chest radiograph to determine intravascular volume status: the roleof vascular pedicle width[J]. Chest, 2002, 121(3): 942-950. DOI:10.1378/chest.121.3.942 |
| [9] | Thomason JW, Ely EW, Chiles C, et al. Appraising pulmonary edema using supine chest roentgenograms in ventilated patients[J]. Am J Respir Crit Care Med, 1998, 157(5Pt1): 1600-1608. DOI:10.1164/ajrccm.157.5.9708118 |
| [10] | Milne N, Pistolesi M, Miniati M, et al. The vascular pedicle of the heart and the vena azygos. Part Ⅰ: The normal subject.[J]. Radiology, 1984, 152(1): 1-8. DOI:10.1148/radiology.152.1.6729098 |
| [11] | Miller RR, Ely EW. Radiographic measures of intravascular volume status: the role of vascular pedicle width[J]. Curr Opin Crit Care, 2006, 12(3): 255-262. DOI:10.1097/01.ccx.0000224871.31947.8d |
| [12] | Milne E, Pistolesi M, Miniati M, et al. The radiologic distinction of cardiogenic and noncardiogenic edema[J]. Am J Roentgenol, 1985, 144(5): 879-894. DOI:10.2214/ajr.144.5.879 |
| [13] | Pistolesi M, Milne N, Miniati M, et al. The vascular pedicle of the heart and the vena azygos. Part Ⅱ: Acquired heart disease[J]. Radiology, 1984, 152(1): 9-17. DOI:10.1148/radiology.152.1.6729142 |
| [14] | Haponik EF, Adelman M, Munster AM, et al. Increased vascular pedicle width preceding burn-related pulmonary edema[J]. Chest, 1986, 90(5): 649-655. DOI:10.1378/chest.90.5.649 |
| [15] | Martin GS, Ely EW, Carroll FE, et al. Findings on the portable chest radiograph correlate with fluid balance in critically ill patients[J]. Chest, 2002, 122(6): 2087-2095. DOI:10.1378/chest.122.6.2087 |
| [16] | Salahuddin N, Chishti I, Siddiqui S. Determination of intravascular volume status in critically ill patients using portable chest X-rays: measurement of the vascular pedicle width[J]. Crit Care, 2007, 11(Suppl 2): P282. DOI:10.1186/cc5442 |
| [17] | Wichansawakul S, Vilaichone W, Tongyoo S, et al. Evaluation of correlation between vascular pedicle width and intravascular volume status in Thai critically ill patients[J]. J Med Assoc Thai, 2011, 94 Suppl 1(94 Suppl 1): S181-S187.Pubmed |
| [18] | Farshidpanah S, Klein W, Matus M, et al. Validation of the vascular pedicle width as a diagnostic aid in critically ill patients with pulmonary oedema by novice non-radiology physicians-in-training[J]. Anaesth Intensive Care, 2014, 42(3): 321-329. DOI:10.1177/0310057x1404200308 |
| [19] | Ely W, Johnson M, Chiles C, et al. Chest X-ray changes in air space disease are associated with parameters of mechanical ventilation in ICU patients[J]. Am J Respir Crit Care Med, 1996, 154(5): 1543-1550. DOI:10.1164/ajrccm.154.5.8912778 |
| [20] | Wang H, Shi RH, Mahler S, et al. Vascular pedicle width on chest radiograph as a measure of volume overload: meta analysis[J]. West J Emerg Med, 2011, 12(4): 426-432. DOI:10.5811/westjem.2011.3.2023 |
| [21] | Chiou AC, Abularrage CJ, Olson PN, et al. "Incisura" of the ascending aorta and vascular pedicle width in the cardiac transplant patient[J]. Ann Thorac Surgery, 1988, 62(4): 1141-1145. DOI:10.1016/0003-4975(96)00491-2 |
| [22] | 杨常运, 范力军, 张旭志, 等. 房室间隔缺损患者胸片血管蒂宽度的临床意义[J]. 空军医高专学报, 1994, 16(1): 34-35. |
| [23] | Miniati M, Pistolesi M, Paoletti P, et al. Objective radiographic criteria to differentiate cardiac, renal, and injury lung edema[J]. Invest Radiol, 1988, 23(6): 433-440. DOI:10.1097/00004424-198806000-00005 |
| [24] | Aloizos S, Liapis G, Maragiannis D, et al. Comparison of vascular pedicle width and PiCCO-derived haemodynamic measurements inpatients in a general intensive care unit[J]. Crit Care, 2007, 11(suppl2): P291. DOI:10.1186/cc5451 |
| [25] | Salahuddin N, Hussain I, Alsaidi H, et al. Measurement of the vascular pedicle width predicts fluid repletion: a cross-sectional comparison with inferior vena cava ultrasound and lung comets[J]. J Intensive Care, 2015, 3: 55. DOI:10.1186/s40560-015-0121-4 |
| [26] | Don C, Burns KD, Levine DZ. Body fluid status in hemodialysis patients: the value of the chest radiograph[J]. Can Assoc Radiol J, 1990, 41(3): 123-126. |
| [27] | 冯冰, 张志良, 庄凌云, 等. 长期血透合并心衰患者血管蒂宽度变化的临床研究[J]. 医师进修杂志, 2005(S1): 131-132. |
| [28] | Gao N, Kwan BCH, Chow KM, et al. Longitudinal changes of cardiothoracic ratio and vascular pedicle width as predictors of volume status during one year in Chinese peritoneal dialysis patients[J]. Kidney Blood Press Res, 2009, 32(1): 45-50. DOI:10.1159/000203349 |
2019, Vol. 28



