急性百草枯(paraquat, PQ)中毒是急诊常见中毒性疾病之一,由于无特异性解毒剂,其病死率高达50%~70%[1]。目前研究认为,百草枯中毒后主要通过氧化应激损伤、过度炎症反应、细胞凋亡等途径造成早期急性肺损伤(ALI)、急性呼吸窘迫综合征(ARDS)及后期肺间质纤维化[2],而急性中毒后肺损伤是导致死亡的主要原因,也是目前研究的热点问题。动脉血气分析是目前临床上评价肺功能的常用指标,但PQ中毒患者早期由于机体的代偿作用,血氧分压可维持在正常水平,而影响二氧化碳分压变化的因素很多,除由于代偿性呼吸频率过快外,还受患者情绪紧张等因素影响。肺部影像学异常是评价PQ中毒肺损伤的特异性指标,但肺部影像学变化往往比功能性变化(血气结果异常)出现得晚。目前临床研究发现的一些和预后有关的生化指标,如白细胞计数、淀粉酶、脂肪酶以及肾功能等,都不宜用于早期肺损伤的准确评估[3-4]。急性PQ中毒后早期肺损伤缺乏特异性诊断指标,而中毒早期对肺损伤程度的精准评估和预测对指导早期目标治疗,评估预后,合理利用医疗资源以及减轻患者经济负担等方面均具有重要意义。
肌腱蛋白C(tenascin-C,TNC)是一种细胞外基质蛋白,胚胎发育时期高表达,在成人生理状态下不表达或少量表达,但在炎症、损伤修复以及肿瘤发生等病理条件下高表达[5-7]。研究报道血清TNC浓度与特发性肺纤维化(idiopathic pulmonary fibrosis, IPF)患者的预后具有明显的相关性。肺脏损伤后,肺泡Ⅱ型上皮细胞合成分泌大量TNC[8]。但目前TNC在急性PQ中毒患者中的表达规律尚未见报道。本研究通过前瞻性设计,拟通过检测PQ中毒患者病程早期血清中TNC的表达情况,分析其与其他脏器损伤指标的相关性,为发现PQ中毒临床血清标志物提供依据。
1 资料与方法 1.1 一般资料前瞻性纳入2017年1月1日至2017年12月31日就诊于中国医科大学附属第一医院急诊科的急性PQ中毒患者。纳入标准:急性PQ中毒患者(经口服),年龄≥16岁; 排除标准:合并慢性肺脏、心脏、肝脏及肾脏等基础疾病以及肿瘤患者。所有入选患者自愿签署知情同意书,患者的处理符合中国医科大学伦理学研究相关规定。
1.2 实验方法患者来诊后均给予标准的治疗方案,包括及时洗胃、导泻,根据尿PQ浓度指导临床给予血液净化治疗,小剂量甲泼尼龙、补液利尿等对症治疗,完善动脉血气、血液生化及肺部CT检查。留取患者首诊血清标本,应用ELISA法检测血清TNC浓度。ELISA试剂盒为单克隆抗体4F10TT,购于日本IBL公司(Immuno-Biological Laboratories Co., Ltd),具体操作步骤按试剂盒说明书进行。收集患者首诊和来诊72 h的生化检查和肺部CT资料,随访至28 d,依据存活情况进行分组。
1.3 统计学方法采用SPSS 22.0进行统计分析,符合正态分布的计量资料用均数±标准差(Mean±SD)表示,组间比较采用成组t检验(方差齐)/t’检验(正态方差不齐)。不符合正态分布的资料,采用中位数(四分位数)[M(P25, P75)]和Mann-Whitney U秩和检验; 计数资料采用χ2检验; Logistic回归用于分析独立危险因素; 血清TNC对预后预测用受受试者工作特征曲线(receiver-operating characteristics curve, ROC)。数据资料若服从双变量正态分布,参数间相关性采用Pearson系数,否则采用Spearman系数; 以P < 0.05为差异有统计学意义。
2 结果 2.1 存活组和死亡组患者首诊生化指标比较共有82例急性PQ中毒患者纳入此实验,经随访28 d,死亡35例,存活47例; 男39例,女43例,年龄16~74岁,(42.7±15.4)岁。PQ急性中毒患者入院首次临床生化检查及血气分析数据比较显示,两组患者性别、年龄等基本特征差异无统计学意义。患者服毒量及入院首次白细胞计数(WBC)、血清谷丙转氨酶(ALT)、血清总胆红素(TBil)、血肌酐(Cr)、血尿素氮(BUN)、血清脂肪酶(LPS)、血清淀粉酶(AMS)等肝肾功能指标及动脉血pH值、PaO2等肺功能指标差异无统计学意义。而入院首次尿PQ浓度定量、血乳酸(Lac)、PaCO2组间差异有统计学意义,入院首次血清TNC表达水平在死亡组明显高于存活组,且差异有统计学意义(P < 0.01),见表 1。
| 指标 | 存活组 (n=47) |
死亡组 (n=35) |
Z/χ2值 | P值 |
| 男性(例, %) | 43 | 34 | 0.576 | 0.448 |
| 年龄(岁) | 35(25, 52) | 49(39, 56) | -0.066 | 0.948 |
| 尿PQ浓度定量 (μg/mL) |
0.00 (0.00, 0.56) |
13.26 (0.25, 65.98) |
-4.757 | < 0.01 |
| WBC(109/L) | 9.9(7.7, 14.6) | 13.1(9.5, 17.1) | -1.819 | 0.069 |
| pH | 7.41(7.37, 7.46) | 7.39(7.33, 7.47) | -0.78 | 0.430 |
| PaO2(mmHg) | 97(83, 114) | 103(90, 113) | -1.140 | 0.254 |
| PaCO2(mmHg) | 36(33, 40) | 30(27, 38) | -2.083 | 0.037 |
| Lac(mmol/L) | 2(1, 3) | 3.6(1.8, 5.4) | -2.908 | 0.004 |
| ALT(U/L) | 28(24, 42) | 31(26, 38) | -0.122 | 0.903 |
| TBil(μmol/L) | 17.7(13.1, 22.4) | 13.8(10.0, 23.8) | -1.145 | 0.148 |
| Cr(μmol/L) | 68(54, 82) | 64(54, 105) | -0.492 | 0.622 |
| BUN(μmol/L) | 5(4, 6.9) | 5.5(4.2, 8.2) | -1.430 | 0.153 |
| LPS(U/L) | 67(36, 108) | 64(42, 158) | -0.680 | 0.497 |
| AMS(U/L) | 73(57, 114) | 83(57, 164) | -1.069 | 0.285 |
| TNC(ng/mL) | 18.7(16.5, 21.6) | 55.9(51.2, 61.5) | -7.674 | < 0.01 |
| 注:计量资料不服从正态分布,采用中位数(四分位数)进行统计描述,Mann-Whiteney U秩和检验进行统计推断,以P < 0.05为差异有统计学意义 | ||||
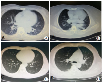
急性PQ中毒患者临床胸部CT显示,早期主要表现为肺纹理增粗、渗出实变和磨玻璃影; 中期主要表现为渗出实变、胸腔积液和间质改变; 晚期主要表现为渗出实变和间质改变[6]。比较入院首诊胸部CT显示,两组患者肺部CT出现肺纹理增粗、渗出实变和磨玻璃影等征象及肺CT阳性率均差异无统计学意义。比较两组患者中毒后72 h胸部CT结果,出现肺纹理增粗和磨玻璃影等征象及肺CT阳性率在组间差异有统计学意义,死亡组中毒后72 h出现渗出实变征象的比例明显高于存活组,但差异无统计学意义,见表 2和图 1。
| CT 表现 |
入院首次 | χ2值 | P值 | 72 h | χ2 值 |
P值 | ||
| 存活组 | 死亡组 | 存活组 | 死亡组 | |||||
| 肺纹理 增粗 |
12 (25.5) |
8 (22.9) |
0.078 | 0.78 | 12 (25.5) |
17 (48.6) |
4.659 | 0.031 |
| 渗出 实变 |
17 (36.2) |
13 (37.1) |
1.678 | 0.195 | 18 (38.3) |
21 (62.9) |
3.788 | 0.052 |
| 磨玻 璃影 |
15 (31.9) |
13 (37.1) |
0.244 | 0.621 | 15 (31.9) |
19 (54.3) |
4.136 | 0.042 |
| 无明显 变化 |
16 (34.0) |
16 (34.0) |
0.062 | 0.803 | 18 (38.3) |
4 (11.4) |
7.738 | 0.007 |
| 肺CT 阳性率 |
31 (66.0) |
24 (68.6) |
0.062 | 0.803 | 29 (61.7) |
31 (88.6) |
7.738 | 0.007 |
| 注:采用χ2检验进行统计推断,以P < 0.05为差异有统计学意义 | ||||||||
|
| A:双肺纹理增粗伴磨玻璃影; B:双肺下野渗出实变伴少量胸腔积液; C:双肺下野轻度磨玻璃影; D:双肺下野少量渗出 图 1 急性百草枯中毒患者常见肺CT影像学表现 Fig 1 Common presentation of lung CT findings in PQ poisoning patients |
|
|
PQ中毒患者入院72 h内临床生化检查及血气分析数据比较显示,患者来诊72 h内最高白细胞计数(WBCmax)、最高血清谷丙转氨酶(ALTmax)、最高血清总胆红素(TBilmax)、最高血肌酐(Crmax)、最高血尿素氮(BUNmax)以及最低动脉血pH值(pHmin)组间比较差异无统计学意义; 最高血清脂肪酶(LPSmax)、最高血清淀粉酶(AMSmax)、最低动脉血气氧分压(PaO2min)、最低动脉血气二氧化碳分压(PaCO2min)、最高乳酸值(Lacmax)组间比较差异有统计学意义(P < 0.05)。见表 3。
| 指标 | 存活组 (n=47) |
死亡组 (n=35) |
Z值 | P值 |
| WBCmax(109/L) | 10.4(7.82, 15.27) | 13.1(9.46, 17.1) | -1.472 | 0.141 |
| pHmin | 7.38(7.34, 7.44) | 7.32(7.30, 7.48) | -0.153 | 0.133 |
| PaO2min(mmHg) | 74(66, 83) | 51(48, 55) | -7.514 | < 0.01 |
| PaCO2min(mmHg) | 33(28, 38) | 28(26, 30) | -3.982 | < 0.01 |
| Lacmax(mmol/L) | 3.2(2.1, 4.0) | 4.0(3.0, 5.8) | -2.661 | 0.008 |
| ALTmax(U/L) | 32(26, 47) | 36(26, 45) | -0.422 | 0.673 |
| TBilmax(μmol/L) | 17.7(13.3, 22.4) | 13.7(9.9, 23.5) | -1.636 | 0.102 |
| Crmax(μmol/L) | 69(54, 89) | 86(59, 324) | -1.529 | 0.129 |
| BUNmax(μmol/L) | 5.9(4.1, 7.3) | 5.9(4.3, 12.3) | -1.275 | 0.202 |
| LPSmax(U/L) | 128(83, 239) | 417(127, 1 419) | -3.099 | 0.002 |
| AMSmax(U/L) | 127(87, 224) | 351(135, 692) | -3.253 | 0.001 |
| 注:计量资料不服从正态分布,采用中位数(四分位数)进行统计描述,Mann-Whiteney U秩和检验进行统计推断,以P < 0.05为差异有统计学意义 | ||||
将两组间首诊和72 h具有统计学差异的指标进行Logistic回归,分析影响预后的独立危险因素,结果显示入院首诊血清TNC浓度是急性PQ中毒患者28 d内死亡的独立危险因素,差异有统计学意义(P < 0.01)。见表 4。
| 因素 | β值 | OR(95%CI) | P值 |
| 首诊血清TNC浓度 | 0.125 | 1.134(1.072~1.199) | < 0.01 |
| 首诊PaCO2 | -0.272 | 0.762(0.589~0.986) | 0.053 |
| 首诊LAC | -0.123 | 0.884(0.392~1.993) | 0.767 |
| 首诊尿液PQ浓度 | 0.041 | 1.042(1.001~1.084) | 0.056 |
| 72 h PaO2min | 0.013 | 1.013(0.828~1.239) | 0.899 |
| 72 h PaCO2min | 0.163 | 1.177(0.890~1.556) | 0.253 |
| 72 h LACmax | -0.090 | 0.914(0.377~2.219) | 0.843 |
| 72 h AMSmax | -0.003 | 0.997(0.993~1.001) | 0.098 |
| 72 h LPSmax | 0.002 | 1.002(1.000~1.004) | 0.059 |
相关性分析显示,PQ中毒患者首诊血清TNC浓度和来诊72 h最差氧分压(PaO2min)呈显著负相关(r=-0.801,P < 0.01),另外与pHmin、PaCO2min、Lacmax、72 h肺CT阳性率亦具有相关性,而与ALTmax、Crmax、BUNmax等无明显相关性。如表 5及图 2所示。
| 指标 | 与TNC的Spearman相关系数 | P值 |
| PaO2min | -0.801 | < 0.01 |
| pHmin | -0.225 | 0.021 |
| PaCO2min | -0.392 | < 0.01 |
| Lacmax | 0.284 | 0.010 |
| 72 h肺CT阳性率 | -0.308 | 0.005 |
| ALTmax | 0.042 | 0.701 |
| Crmax | 0.139 | 0.212 |
| BUNmax | 0.139 | 0.213 |
|
| 图 2 首诊血清TNC浓度与来诊72 h PaO2min相关性 Fig 2 Correlation analysis of serum TNC level on admission and PaO2min at 72 h after diagnosis |
|
|
图 3为PQ中毒患者血清TNC的ROC曲线,对预测PQ中毒患者出现急性肺损伤和死亡,血清TNC曲线下面积(AUC)为0.895,急性PQ中毒患者根据血清TNC预测预后的截断值为41.9 ng/mL,表明若血清TNC浓度大于41.9 ng/mL则提示预后不良,其敏感度为84%,特异度为80%,Youden指数为0.64。
|
| 图 3 首诊血清TNC浓度受试者工作特征曲线 Fig 3 ROC of serum TNC level on admission |
|
|
本研究发现,急性PQ中毒患者首诊血清TNC浓度在死亡组的表达水平明显高于存活组,而且和72 h PaO2min、pHmin、PaCO2min、Lacmax、中毒后72 h肺CT阳性率具有相关性,尤其和PaO2min相关性最显著,是预测急性PQ中毒患者肺损伤和预后的独立危险因素。
TNC是一种细胞外基质大分子蛋白,主要参与胚胎形成和器官发育,在大多数成人生理及发育完全的器官中基本不表达。而在炎症、肿瘤、外伤以及自身免疫等疾病状态下,TNC高表达于存在损伤修复过程的组织中,且表达水平与组织的损伤程度明显相关[9-10]。TNC升高受多种因素调控,如各种细胞因子、生长因子、低氧、酸中毒、机械压力等,同时升高的TNC在细胞外基质中也具有调控其他细胞功能的作用,如在急性炎症反应期,TNC通过白介素-6(IL-6)、肿瘤坏死因子-α(TNF-α)等炎症介质参与急性炎症反应[11],诱导肥大细胞、巨噬细胞、嗜酸性细胞等在炎症部位募集[10]; 在各种类型的细胞中正向调节金属基质蛋白酶(MMP)、诱导成纤维细胞向肌纤维细胞转化、促进细胞外基质细胞合成并分泌胶原蛋白等[12-15]。急性PQ中毒时,由于肺泡Ⅰ型和Ⅱ型细胞具有主动摄取PQ的能力,大量PQ分子在短时间内快速进入肺内,通过氧化应激触发以炎症级联反应为主的肺内损伤,受损肺泡细胞通过自分泌和旁分泌方式产生大量TNC[8],TNC在肺泡细胞受损后立即出现表达水平的升高,进而进入血液循环,导致血清TNC浓度升高。因此本研究中,TNC表达水平在急性PQ中毒患者首诊的血清中即出现明显升高,但患者此时临床多表现为腐蚀性消化道症状[10],而肺损伤的临床表现、实验室结果以及临床体征均无明显异常。因此,入院首诊血清TNC水平能较早反映肺损伤程度。
依据急性PQ中毒患者的临床特点,本研究选取了首诊和中毒后72 h的肺部CT影像学和首诊和来诊72 h实验室生化检查指标进行比较分析。结果发现入院首次常规检查结果中,只有尿PQ浓度定量、动脉血Lac、PaCO2组间差异有统计学意义,而决定预后最关键的因素服毒量[16],却因受到患者的主观因素影响,无法用作定量的判断标准,只能作为大致参考。首诊尿PQ浓度虽然组间比较有差异,但其受院外行洗胃和血液净化等治疗、来诊距服毒时间间隔以及膀胱存留尿液量等因素影响[17-18],对评估预后也存在一定局限性。来诊72 h的最差生化检查结果中LPSmax、AMSmax、PaO2min、PaCO2min、Lacmax组间比较差异有统计学意义,同时肺部影像学出现明显差异。但作为早期肺损伤评估指标,显然在时间上均不具备优势。进一步Logistic多因素回归分析发现入院首次血清TNC浓度是急性PQ中毒患者预后的独立危险因素,不受服毒后就诊时间、来诊尿PQ浓度等因素影响,AUC为0.895,敏感度为84%、特异度为80%,cut-off值为41.9 ng/mL,表明若入院首次血清TNC浓度高于41.9 ng/mL,则患者急性肺损伤及肺纤维化进展较快,28 d死亡风险较高。
进一步分析首诊血清TNC浓度与患者来诊72 h最差生化指标的关系,发现入院首次血清TNC水平与72 h内PaO2min相关性最大,即血清TNC浓度越高,相应的PaO2越低,肺损伤越重。而动物实验结果表明TNC在急性肺损伤后一周达到表达峰值,而且后续表达与持续肺损伤程度以及损伤后过度修复所导致的纤维化密切相关[8]。虽然本研究未连续监测血清TNC表达变化,但结合动物实验结果,笔者认为TNC作为急性PQ中毒肺损伤标志物具有早期敏感度高,持续表达时间长,特异性较高等特点,值得临床进一步研究和应用。
| [1] | 中国医师协会急诊医师分会. 急性百草枯中毒诊治专家共识(2013)[J]. 中国急救医学, 2013, 33(6): 484-489. DOI:10.3969/j.issn.1002-1949.2013.6.002 |
| [2] | Sun B, Chen YG. Advances in the mechanism of paraquat-induced pulmonary injury[J]. Eur Rev Med Pharmacol Sci, 2016, 20(8): 1597-1602. |
| [3] | 杨旭, 刘志. 联合应用早期尿液百草枯清除率及百草枯中毒严重指数对急性百草枯中毒患者预后评估的临床价值[J]. 中华急诊医学杂志, 2017, 26(7): 795-801. DOI:10.3760/cma.j.issn.1671-0282.2017.07.015 |
| [4] | 王宏伟, 王书轩, 丁长伟. 百草枯中毒致肺损伤的CT表现[J]. 生物医学工程与临床, 2008, 12(2): 119-122. DOI:10.13339/j.cnki.sglc.2008.02.014 |
| [5] | Brösicke N, Faissner A. Role of tenascins in the ECM of gliomas[J]. Cell Adhes Migrat, 2015, 9(1/2): 131-140. DOI:10.1080/19336918.2014.1000071 |
| [6] | Xu LJ, Xu J, Wang Z. Molecular mechanisms of paraquat-induced acute lung injury:a current review[J]. Drug Chem Toxicol, 2014, 37(2): 130-134. DOI:10.3109/01480545.2013.834361 |
| [7] | 田若辰, 黄昌保, 张锡刚. 百草枯中毒机制研究现状[J]. 中华劳动卫生职业病杂志, 2013, 31(9): 713-714. DOI:10.3760/cma.j.issn.1001-9391.2013.09.022 |
| [8] | Carey WA, Taylor GD, Dean WB, et al. Tenascin-C deficiency attenuates TGF-β-mediated fibrosis following murine lung injury[J]. Am J PhysiolLungCell Mol Physiol, 2010, 299(6): L785-793. DOI:10.1152/ajplung.00385.2009 |
| [9] | Midwood KS, Chiquet M, Tucker RP, et al. Tenascin-C at a glance[J]. J Cell Sci, 2016, 129(23): 4321-4327. DOI:10.1242/jcs.190546 |
| [10] | Midwood KS, Orend G. The role of tenascin-C in tissue injury and tumorigenesis[J]. J Cell Commun Signal, 2009, 3(3/4): 287-310. DOI:10.1007/s12079-009-0075-1 |
| [11] | Hemmati AA, Nazari Z, Motlagh ME, et al. The role of sodium cromolyn in treatment of paraquat-induced pulmonary fibrosis in rat[J]. Pharmacol Res, 2002, 46(3): 229-234. DOI:10.1016/s1043-6618(02)00122-6 |
| [12] | Kalembeyi I, Inada H, Nishiura R, et al. Tenascin-C upregulates matrix metalloproteinase-9 in breast cancer cells:Direct and synergistic effects with transforming growth factor β1[J]. Int J Cancer, 2003, 105(1): 53-60. DOI:10.1002/ijc.11037 |
| [13] | Nishiura R, Noda N, Minoura H, et al. Expression of matrix metalloproteinase-3 in mouse endometrial stromal cells during early pregnancy:Regulation by interleukin-1α and tenascin-C[J]. Gynecol Endocrinol, 2005, 21(2): 111-118. DOI:10.1080/09513590500168399 |
| [14] | de Wever O, Nguyen QD, van Hoorde L, et al. Tenascin-C and SF/HGF produced by myofibroblasts in vitro provide convergent pro-invasive signals to human colon cancer cells through RhoA and Rac[J]. FASEB J, 2004, 18(9): 1016-1018. DOI:10.1096/fj.03-1110fje |
| [15] | Clark RAF. Biology of dermal wound repair[J]. Dermatol Clin, 1993, 11(4): 647-666. DOI:10.1016/s0733-8635(18)30218-3 |
| [16] | 聂时南, 黄昌保. 百草枯中毒诊治:现状与前景[J]. 临床急诊杂志, 2016, 17(5): 329-332. DOI:10.13201/j.issn.1009-5918.2016.05.001 |
| [17] | 刘晓伟, 李晓飞, 裴培, 等. 服毒-血液灌流时间对急性百草枯中毒患者预后的影响[J]. 中华急诊医学杂志, 2014, 23(11): 1198-1203. DOI:10.3760/cma.j.issn.1671-0282.2014.11.004 |
| [18] | Gawarammana IB, Buckley NA. Medical management of paraquat ingestion[J]. Br J Clin Pharmacol, 2011, 72(5): 745-757. DOI:10.1111/j.1365-2125.2011.04026.x |
2019, Vol. 28



