金黄色葡萄球菌是引起感染性疾病重要的病原菌之一,其分布广泛,人群普遍易感。随着抗生素的广泛应用,金黄色葡萄球菌耐药逐渐增加,甚至出现高度耐药型金黄色葡萄球菌如:耐甲氧西林金黄色葡萄球菌(methicillin-resistant Staphylococcus aureus,MRSA),耐万古霉素金黄色葡萄球菌。金黄色葡萄球菌易导致感染性心内膜炎(infective endocarditis,IE),MRSA导致IE较其他病原体导致IE病情更严重,死亡率更高,且根治率更低。但MRSA感染多见于院内获得性感染,国外社区获得性MRSA感染报道较多,国内报道相对较少。国内关于社区获得性MRSA(community-acquired methicillin-resistant Staphylococcus aureus,CA-MRSA)感染多见于儿童及青少年,且多为皮肤软组织及肺部感染。国内成人社区获得性MRSA直接导致感染性心内膜炎尚无报道。本文结合郑州大学第一附属医院收治的1例社区获得性MRSA致感染性心内膜炎患者的临床资料,介绍该病的危险因素、治疗过程中出现的问题及并发症的处理,以提高临床医师对该病的认识。
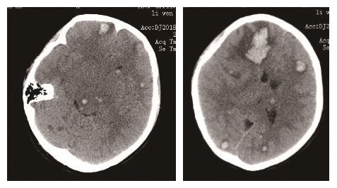
1 资料与方法患者女性,18岁,以“发热、头痛1周,加重1天”为主诉, 于2018年1月24日入院。1周前受凉后出现发热,体温最高39.9 ℃,伴寒颤、头痛、肌肉疼痛,无呼吸困难、胸闷等症状,至当地医院给予头孢、阿奇霉素静脉滴注,仍高热。3 d前出现恶心、呕吐、面部、双上肢及腹部散在皮疹。1 d前查白细胞24.8×109/L,血小板19×109/L,精神差,治疗效差,遂急诊来我院。既往体健。入院查体:嗜睡,头面部、腹部多发散在皮下出血点。双侧瞳孔等大等圆,直径约2 mm,对光反射灵敏,颈软无抵抗,双肺呼吸音清,未闻及干湿性啰音。心脏听诊无异常。入院诊断为发热待查:血流感染?白血病?入院后留取血培养、痰培养,行骨髓穿刺术。急查头颅及肺部CT见:蛛网膜下腔出血,肺部CT未见明显异常。心脏超声示:左心耳内稍高回声大小约16 mm×8 mm(血栓?);二尖瓣少量反流;三尖瓣少量反流。给予哌拉西林他唑巴坦+左氧氟沙星抗细菌治疗,帕拉米韦抗病毒,同时给予止血、输血小板、升血小板药物应用。入院36 h血培养报警:革兰阳性球菌,立即加用万古霉素1.0 g q 12 h静脉滴注,我院血培养报警后当地医院血培养结果电话回示金黄色葡萄球菌。追问病史,入院两周前有至非正规医疗机构纹眉史。入院后第3天患者昏迷,急查头颅CT,示颅内多发散在、点片状出血(图 1),给予保守治疗,继续输血小板、血浆、冷沉淀。骨穿结果回示:感染骨髓象。我院血培养回示:耐甲氧西林金黄色葡萄球菌(MRSA)。补充诊断:MRSA致血流感染,感染性心内膜炎?脑出血;血小板减少。
|
| 图 1 入院后第3天患者头颅CT |
|
|
继续应用万古霉素,于应用第六剂前查血药浓度:3.85μg/mL,谷浓度不达标,给予加量应用,1.0 g q 8 h静脉滴注,后复查万古霉素谷浓度为15.35 μg/mL,达标。患者体温高峰逐渐下降,发热时间缩短,血小板逐渐升高。入院后第8天,出现黄脓痰,痰培养示泛耐药鲍曼不动杆菌,白细胞仍高,仍间断发热,抗生素调整为替加环素100 mg q 12 h+磷霉素8 g q12 h+万古霉素1.0 g q 8 h。入院后第11天出现心率快,气喘,听诊双肺细湿啰音,考虑心衰,给予利尿、扩血管治疗,心衰症状明显好转。复查超声示:二尖瓣前瓣脱垂并中重度关闭不全,二尖瓣后瓣瓣根左房侧稍高回声(赘生物不除外),感染性心内膜炎诊断明确,此次心衰为二尖瓣脱垂引起。入院后第12天痰培养示铜绿假单胞菌,抗生素调整为:头孢他啶+替加环素+磷霉素+万古霉素。入院后第14天行经皮气管切开术。替加环素及磷霉素应用8 d后停药。后患者体温逐渐下降至正常,意识逐渐好转。万古霉素应用6周,三次血培养阴性,体温正常2周,停用万古霉素。转康复科行康复治疗。复查头颅CT,脑出血已吸收完全。患者肢体活动良好后出院。
出院后,患者出现活动后胸闷症状并逐渐加重,复查心脏超声示:感染性心内膜炎;二尖瓣前叶赘生物形成,二尖瓣前叶脱垂,二尖瓣重度关闭不全;三尖瓣中-重度反流;右心、左房增大。于2018年5月8日全麻下行“直视微创二尖瓣生物瓣置换术”。术后继续应用万古霉素+替加环素1个月。术后2个月随访,患者一般情况可,活动后无胸闷,可从事轻度体力劳动。
2 讨论文献报道纹眉导致丙肝、疣、念珠菌等传染性疾病的发生,但尚未有纹眉导致MRSA感染的病例报道。社区获得性MRSA感染罕见,目前国内报道多见于儿童及青少年,多见于皮肤软组织感染及肺炎,国外社区获得性MRSA感染性心内膜炎多见于静脉药瘾者[1],而国内成人社区获得性MRSA感染直接导致血流感染尚无报道。该患者血培养所示MRSA对氟喹诺酮类、利福平、复方新诺明均敏感,该MRSA菌株可能携带SCCmecⅣ型基因[2],符合社区获得性MRSA感染药敏结果。且该患者肺部、泌尿系统、腹腔等均未发现感染灶,未发现MRSA入血途径,既往无心脏瓣膜病史。故考虑可能因使用不规范的消毒物品纹眉导致MRSA感染。在临床工作中应注意若发热患者有整形史,需考虑MRSA感染可能性。
金黄色葡萄球菌血流感染易导致感染性心内膜炎,其机制尚不清楚,可能与金黄色葡萄球菌毒力强,繁殖快,有高度侵袭性及粘附心内膜的能力有关。20%感染性心内膜炎患者可出现脑梗死及脑出血,所有感染性心内膜炎引起的卒中,出血占30%,脑梗死占70%[3]。引起脑出血的机制可能是:瓣膜赘生物脱落,随血流播散至全身,进入颅内则导致颅内血管堵塞,细菌繁殖,血管壁炎症反应,严重者可能血管破裂导致脑出血。该患者颅内多发点片状出血,考虑可能为瓣膜小赘生物脱落堵塞小动脉导致。
关于MRSA感染的治疗,美国感染病学会(IDSA)指出:万古霉素仍是MRSA治疗的一线药物,仅当有证据支持万古霉素会导致临床治疗失败时可调整其他抗菌药物。有学者认为:万古霉素治疗金黄色葡萄球菌导致的肺炎时,当其AUC/MIC≥400时,能取得较好的临床效果。临床应用时,AUC/MIC较难获得,万古霉素血药谷浓度常作为其替代值。当MIC≤1 μg/mL,谷浓度15~20 μg/mL相当于AUC/MIC≥400。故应用万古霉素时,应查血药谷浓度,根据谷浓度调整其用量,该患者常规剂量应用万古霉素血药谷浓度不达标,给予加大剂量应用,且加大剂量后取得较好疗效,不良反应并未出现。对于MRSA导致感染性心内膜炎推荐治疗4~6周[4]。
关于IE的手术治疗,内科治疗无效、有外科手术指征的患者需尽早手术,有手术指征但未手术者病死率高达100%[5]。美国心脏学会、胸外科医师学会、欧洲心脏病学会指南推荐,当发生颅内出血事件时,手术时机应推迟至少4周[6-7]。该患者颅内出血量大,出血点数量多,若手术治疗,可能导致颅内出血增加等风险,风险极大,故选择推迟手术。出院后患者心衰症状加重,手术指征明确,给予更换二尖瓣后,心衰症状明显好转。
综上所述,社区获得性耐甲氧西林金黄色葡萄球菌导致的感染,发病率越来越高,在临床中注意MRSA导致的感染, 以提高治愈率,减少致残率。
| [1] | Atilla OD, Temizyurek Z, Kirman E. Infective endocarditis complicated with cerebral and splenic infarction in a hemodialysis patient[J]. World J Emerg Med, 2013, 4(3): 229-231. DOI:10.5847/wjem.j.1920-8642.2013.03.013 |
| [2] | Wijaya L, Hsu L Y, Kurup A. Community-associated methicillin-resistant Staphylococcus aureus: overview and local situation[J]. Proceedings of Singapore Healthcare, 2010, 19(3): 212-219. DOI:10.1177/201010581001900307 |
| [3] | Silver B, Behrouz R, Silliman S. Bacterial endocarditis and cerebrovascular disease[J]. Current Neurology and Neuroscience Reports, 2016, 16(12). DOI:10.1007/s11910-016-0705-y |
| [4] | Holland TL, Arnold C, Fowler VG Jr. Clinical management of Staphylococcus aureus baeteremia:a review[J]. JAMA, 2014, 312(13): 1330-1341. DOI:10.1001/jama.2014.9743 |
| [5] | 娄秀芬, 杨穗彦, 刘正印, 等. 感染性心内膜炎120例临床分析[J]. 中华内科杂志, 2009, 48(1): 35-38. DOI:10.3760/cma.j.issn.0578-1426.2009.01.011 |
| [6] | Habib G, Lancellotti P, Antunes M J, et al. 2015 ESC Guidelines for the management of infective endocarditis: The Task Force for the Management of Infective Endocarditis of the European Society of Cardiology (ESC). Endorsed by: European Association for Cardio-Thoracic Surgery (EACTS), the European Assoc[J]. World Clinical Drugs, 2016, 69(1): 69-69. |
| [7] | Baddour LM, Wilson WR, Bayer AS, et al. Infective Endocarditis in AduIts: Diagnosis, Antimierobial Therapy, and Management of Complications: A Scientific Statement for Healthcare Professionals From the American Heart Association[J]. Circulation, 2015, 132(15): 1435-1486. DOI:10.1161/CIR.0000000000000296 |
2018, Vol. 27



