脓毒症是感染因素引起的机体反应失调而造成威胁生命的器官功能障碍[1]。脓毒症严重时可导致多器官功能障碍,甚至多器官功能衰竭[2]。肝脏作为人体最大的器官,具有代谢、解毒、免疫等重要功能, 因而对脓毒症的发生和发展具有重要作用。由于强烈的炎症反应,肝脏也是脓毒症发展中最易受到损害的器官之一[3],但肝功能发生损伤的机制仍未明确[4]。脓毒症早期即可诱发急性肝损伤(acute liver injury,ALI)[5]。近年来,多项研究表明作为ω-3多不饱和脂肪酸代谢产物的炎症消退介质在各种模型中发挥着显著的抗炎作用[6-9]。保护素DX(protectin DX,PDX)是神经保护素D1的同分异构体, 在体内由DHA经脂氧合酶代谢而成[10]。越来越多的研究表明,PDX在减轻炎症反应和保护器官功能方面起着重要的作用,但能否减轻脓毒症致急性肝损伤尚有待研究[11-13]。本研究探讨PDX对脓毒症致急性肝损伤有保护作用及其相关机制。
1 材料与方法 1.1 主要药品及试剂PDX(Cayman公司, 密歇根州, 美国); 小鼠TNF-α、IL-6、IFN-γ and IL-10的ELISA试剂盒(博士德公司, 武汉, 中国);NF-κB P65和NF-κB P65(PhosPhor Ser536)抗体(GeneTex公司, 加利福尼亚, 美国);羊抗兔二抗(安特捷公司, 武汉,中国);细胞总蛋白提取试剂盒(碧云天公司, 上海, 中国);BCA蛋白定量试剂盒(Thermo公司, 沃尔瑟姆, 美国);髓过氧化物酶(MPO)试剂盒(建成生物工程研究所,南京,中国)。
1.2 动物分组以及构建脓毒症模型6~8周龄雄性C57BL/6小鼠30只, 体质量20~25 g, 由北京维通利华实验动物技术有限公司提供,生产许可证号:SYXK(鄂)2016-0006。采用随机数字表法分为3组(n=10), 假手术组(Sham组), 脓毒症组(cecum ligation and puncture, CLP组)和脓毒症+PDX干预组(CLP+PDX组)。参照文献介绍的方法进行盲肠结扎穿孔(CLP)造模[14]。小鼠腹腔注射麻醉药(2%戊巴比妥钠80 mg/kg),待其至合适深度,仰卧位固定于实验手术台, 备皮并消毒手术区域, 于腹正中线做1.5 cm切口, 用镊子游离肠系膜和盲肠, 在回盲瓣以下位置用4号无菌丝线环形结扎盲肠, 并用20号针头于盲端部位贯通穿孔, 挤出少许粪便后还纳腹腔, 逐层缝合关腹。术毕于背部皮下注射1 mL生理盐水进行液体复苏, 术后自由进食饮水。Sham组小鼠操作同前, 但不行盲肠结扎和穿孔。在CLP后1 h时,CLP+PDX组给予PDX 1 μg腹腔注射,Sham组和CLP组均腹腔注射等容量生理盐水。
1.3 动物取材CLP后24 h时适当麻醉小鼠。经一侧眼球取全血, 每只小鼠可取全血700~1 000 μL, 常温静置1 h后以3 000 r/min离心10 min, 取上清置于EP管中,保存于-80 ℃冰箱做后续检测。接着沿腹部正中线打开腹腔, 分离暴露主动脉及肝脏, 剪断腹主动脉彻底放血, 逐叶结扎取肝左外叶、中叶和右叶分别存入EP管中冻存于-80 ℃冰箱做后续检测。
1.4 肝组织病理观察将肝组织用4%多聚甲醛固定24 h, 然后进行组织石蜡包埋, 切片,HE染色。光镜下(400×)观察肝组织病理学改变。
1.5 血清中ALT和AST水平将存于-80 ℃冰箱中的血清拿出解冻, 采用全自动生化分析仪(迈瑞生物医疗公司, 深圳)分析血清中ALT及AST水平, 依据酶标仪(51119000,Thermo MultiskanFC)使用说明书进行操作,测定血浆中ALT和AST水平。
1.6 血清中炎症因子水平将存于-80 ℃冰箱中的血清拿出解冻, 然后严格按照ELISA试剂盒(TNF-α、IL-6、IFN-γ和IL-10)说明书进行操作, 测定血清中TNF-α、IL-6、IFN-γ和IL-10水平。
1.7 Western blot检测NF-κB P65磷酸化水平将存于-80 ℃冰箱中的肝组织取出解冻, 置入玻璃研磨器中加入裂解液混合物(包含蛋白酶抑制剂和磷酸酶抑制剂)进行充分研磨制成匀浆, 冰上裂解30 min后以12 000 r/min离心15 min, 吸取上清存于EP管, 然后用BCA试剂盒测定蛋白浓度。制作10%凝胶后, 每孔蛋白上样30 μg, 电泳后转膜至PVDF膜上, 用5%脱脂牛奶室温封闭1 h, 加入一抗稀释液(NF-κB P65和磷酸化NF-κB P65均为1:1 000), 4 ℃孵育过夜。TBST洗涤3次, 每次10 min, 加入二抗稀释液(羊抗兔二抗为1:2000), 室温孵育1 h, 用ECL显影液显色, 凝胶成像系统进行曝光成像, 采用Image J图像分析软件对图片吸光度值进行分析,以磷酸化NF-κB P65与NF-κB P65的比值反映NF-κB P65磷酸化水平。
1.8 肝组织MPO活性测定准确称取肝组织质量,制备5%组织匀浆。按照MPO试剂盒步骤依次进行操作。在450 nm处,1 cm光径,双蒸水调零,分光光度计(UV-2450, 岛津公司)检测样本吸光度值以反映MPO活性。酶活力单位为每克组织湿片在37 ℃的反应体系中H2O2被分解1 μmol为1个酶活性单位。
1.9 统计学方法采用SPSS18.0软件,计量资料以均数±标准差(x±s)表示, 组间均数比较采用单因素方差(ANOVA)分析, 以P < 0.05为差异具有统计学意义。
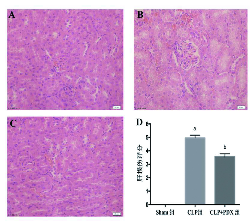
2 结果 2.1 肝组织病理学结果Sham组肝组织未见明显异常病理改变。CLP组肝索排列紊乱,肝细胞肿胀坏死,炎性细胞浸润,可见淤血及出血,较Sham组肝损伤评分[15]显著增加。与CLP组相比,CLP+PDX肝细胞肿胀坏死及炎症反应程度明显减轻,肝损伤评分显著降低。见图 1。
|
| A:Sham组;B:CLP组;C:CLP+PDX组;D:各组肝损伤评分;与Sham组比较,aP < 0.05;与CLP组相比,bP < 0.05 图 1 小鼠肝组织病理学改变(HE, ×400) Figure 1 Pathological changes in liver tissue(HE, ×400) |
|
|
与Sham组相比,CLP组血清中ALT和AST明显升高(均P < 0.05);PDX处理后血清中ALT和AST水平较CLP组显著降低(均P < 0.05) (图 2)。
|
| 与Sham组比较,aP < 0.05;与CLP组相比,bP < 0.05 图 2 小鼠肝功能水平改变 Figure 2 Changes of liver function |
|
|
与Sham组相比,CLP组血清中炎症因子(TNF-α、IL-6、IFN-γ和IL-10)水平均显著升高(均P < 0.05)。PDX处理后血清中促炎症因子TNF-α、IL-6、IFN-γ水平明显降低, 而抗炎因子IL-10较CLP组升高(均P < 0.05)(图 3)。
|
| 图 3 小鼠血清炎症因子水平改变 Figure 3 Changes in serum inflammatory factors |
|
|
与Sham组相比,CLP组肝组织中MPO升高(P < 0.05);PDX处理后MPO水平较CLP组下降(P < 0.05) (图 4)。
|
| 与Sham组比较, aP < 0.05;与CLP组比较,bP < 0.05 图 4 小鼠肝组织MPO水平 Figure 4 MPO level in liver tissue |
|
|
与Sham组相比,CLP组肝组织中NF-κB磷酸化水平急剧增高(P < 0.05); PDX干预后NF-κB磷酸化水平较CLP组明显降低(P < 0.05) (图 5)。
|
| 与Sham组比较, aP < 0.05;与CLP组比较,bP < 0.05 图 5 小鼠肝组织NF-κB磷酸化水平的变化 Figure 5 NF-κB phosphorylation level in liver tissue |
|
|
脓毒症是感染、烧伤、创伤、休克等急危重患者的严重并发症,是临床危重疾病患者死亡主要原因之一。尽管随着危重病监护救治技术的进步,脓毒症患者病死率已明显降低,但仍高达20%[16]。而肝脏作为受累器官之一,易发展为急性肝损伤,因此控制炎症的过度反应就显得非常必要。近年来一系列研究都表明来源于EPA和DHA的代谢产物作为炎症消退介质在控制炎症反应方面取得了不错的成果[17]。PDX是神经保护素Protectin D1的同分异构体,由于PD1在神经炎症以及其他炎症中都起到了明显的控制作用, 而且PDX的器官保护作用也得到了越来越多的证实,因此,笔者推测PDX在脓毒症诱导的急性肝损伤中也能起到积极作用[18-19]。
小鼠CLP模型是与临床脓毒症较为接近的经典模型,因此本研究采用该方法建立小鼠脓毒症急性肝损伤模型。结果显示CLP组小鼠肝组织病理学损伤明显, 血清中ALT及AST水平明显升高, 表明脓毒症诱导急性肝损伤模型制备成功。
研究结果显示CLP后1 h时给予PDX能明显减轻肝损伤病理变化以及降低血清中ALT和AST水平;血清中促炎因子(TNF-α、IL-6、IFN-γ)浓度降低,抗炎因子IL-10浓度升高;肝组织MPO活性明显被抑制。表明PDX可抑制脓毒症小鼠肝组织炎性反应,减轻急性肝损伤。
NF-κB存在于几乎所有的细胞中, 为一个转录因子蛋白家族,包括5个亚单位:Rel(cRel)、P65(RelA, NF-κB3)、RelB和P50(NF-κB1)、P52(NF-κB2)。P65、cRel和RelB分含有N端Rel同源区(Rel homology domain, RHD)和C端的反式激活结构域(transactivation domain, TD),在RHD的C末端有一个核定位区域(nuclear-localization sequence, NLS),负责与DNA结合、二聚体化和核易位,而TD则与转录活化相关。P50和P52只有RHD而缺乏TD,因此,P50和P52同源二聚体并不能激活基因转录,而是作为一种抑制分子存在,它们在细胞内通常各自以其前体P105和P100的形式存在。两个亚基形成的同源和(或)异源二聚体与靶基因上特定的序列(-κB位点)结合调节基因转录,不同的NF-κB二聚体在选择结合序列时可能略有差异,这是NF-κB通过不同的二聚体的形式对不同基因的表达进行精细调节的一种方式。最常见的NF-κB二聚体是P65与P50组成的异二聚体。系由P50和P65构成的二聚体蛋白质, 能够多向转录调节多种细胞因子基因表达, 在炎症反应中起着非常关键的作用[20]。静息状态下, NF-κB与抑制因子IκB结合成无活性状态的三聚体存在于细胞质中, 不具备调节基因转录的功能。当细胞受到刺激会诱导NF-κB激酶的活化, 使IκB降解磷酸化, 同时NF-κB的P65亚基发生磷酸化并转移进入细胞核, 进而参与一系列炎症因子基因的表达调控[21]。国内外研究均表明抑制NF-κB的活性可减少相关炎症介质的产生, 进而缓解脓毒症导致的急性肝损伤[22-23]。本研究显示CLP组肝组织的NF-κB磷酸化水平明显增高, 而PDX组NF-κB磷酸化水平明显降低,提示PDX减轻脓毒症小鼠肝组织炎性反应的机制与抑制NF-κB活性有关。
综上所述,PDX可抑制肝组织NF-κB活性从而减轻脓毒症小鼠急性肝损伤。
| [1] | Seymour CW, Liu V X, Iwashyna T J, et al. Assessment of Clinical Criteria for Sepsis: For the Third International Consensus Definitions for Sepsis and Septic Shock (Sepsis-3)[J]. JAMA, 2016, 315(8): 762-774. DOI:10.3410/f.726165855.793550942 |
| [2] | Rhodes A, Phillips G, Beale R, et al. The Surviving Sepsis Campaign bundles and outcome: results from the International Multicentre Prevalence Study on Sepsis (the IMPreSS study)[J]. Intensive Care Med, 2015, 41(9): 1620-1628. DOI:10.1007/s00134-015-3906-y |
| [3] | Yan J, Li S, Li S. The role of the liver in sepsis[J]. Int Rev Immunol, 2014, 33(6): 498-510. DOI:10.3109/08830185.2014.889129 |
| [4] | Crowell KT, Phillips BE, Kelleher SL, et al. Immune and metabolic responses in early and late sepsis during mild dietary zinc restriction[J]. J Surg Res, 2017, 210: 47-58. DOI:10.1016/j.jss.2016.10.020 |
| [5] | Adkins Y, Kelley DS. Mechanisms underlying the cardioprotective effects of omega-3 polyunsaturated fatty acids[J]. J Nutr Biochem, 2010, 21(9): 781-792. DOI:10.1016/j.jnutbio.2009.12.004 |
| [6] | Zhang MJ, Spite M. Resolvins: Anti-inflammatory and proresolving mediators derived from Omega-3 polyunsaturated fatty acids[J]. Annu Rev Nutr, 2012, 32(1): 203-227. DOI:10.1146/annurev-nutr-071811-150726 |
| [7] | White PJ, Mitchell PL, Schwab M, et al. Transgenic ω-3 PUFA enrichment alters morphology and gene expression profile in adipose tissue of obese mice: Potential role for protectins[J]. Metabolism, 2015, 64(6): 666-76. DOI:10.1016/j.metabol.2015.01.017 |
| [8] | Li R, Wang Y, Zhao E, et al. Maresin 1, a proresolving lipid mediator, mitigates carbon tetrachloride-induced liver injury in mice[J]. Oxid Med Cell Longev, 2016, 2016: 9203716. DOI:10.1155/2016/9203716 |
| [9] | Chen P, Fenet B, Michaud S, et al. Full characterization of PDX, a neuroprotectin/protectin D1 isomer, which inhibits blood platelet aggregation[J]. Febs Letters, 2009, 583(21): 3478-3484. DOI:10.1016/j.febslet.2009.10.004 |
| [10] | Xia H, Lin C, Hong L, et al. Protectin DX increases survival in a mouse model of sepsis by ameliorating inflammation and modulating macrophage phenotype[J]. Sci Rep, 2017, 7(1): 99. DOI:10.1038/s41598-017-00103-0 |
| [11] | 夏海发, 孙志鹏, 崔术楠, 等. Protectin DX对小鼠脓毒症致急性肾损伤的保护作用及其相关机制[J]. 华中科技大学学报(医学版), 2016, 45(1): 39-42. DOI:10.3870/j.issn.1672-0741.2016.01.008 |
| [12] | 夏海发, 杨依依, 崔术楠, 等. 外源性保护素DX对脓毒症小鼠急性肺损伤的影响[J]. 中华麻醉学杂志, 2016, 36(6): 751-754. DOI:10.3760/cma.j.issn.0254-1416.2016.06.027 |
| [13] | Rittirsch D, Huber-Lang MS, Flierl MA, et al. Immunodesign of experimental sepsis by cecal ligation and puncture[J]. Nat Protoc, 2009, 4(1): 31. DOI:10.1038/nprot.2008.214 |
| [14] | Matutebello G, Downey G, Moore BB, et al. An Official American Thoracic Society Workshop Report: Features and Measurements of Experimental Acute Lung Injury in Animals[J]. Am J Respir Cell Mol Biol, 2011, 44(5): 725-738. DOI:10.1165/rcmb.2009-0210st |
| [15] | Vincent JL, Opal SM, Marshall JC, et al. Sepsis definitions: time for change[J]. Lancet, 2013, 381(9868): 774-775. DOI:10.1016/s0140-6736(12)61815-7 |
| [16] | Zhang HW, Wei LY, Zhao G, et al. Periplaneta americana extract used in patients with systemic inflammatory response syndrome[J]. World J Emerg Med, 2016, 7(1): 50-54. DOI:10.5847/wjem.j.1920–8642.2016.01.009 |
| [17] | Schwab JM, Chiang N, Arita M, et al. Resolvin E1 and protectin D1 activate inflammation-resolution programmes[J]. Nature, 2007, 447(7146): 869-874. DOI:10.1038/nature05877 |
| [18] | Liu M, Boussetta T, Makni-Maalej K, et al. Protectin DX, a double lipoxygenase product of DHA, inhibits both ROS production in human neutrophils and cyclooxygenase activities[J]. Lipids, 2014, 49(1): 49-57. DOI:10.1007/s11745-013-3863-6 |
| [19] | 冯丹, 徐家丽, 姚尚龙, 等. 洛沙坦通过抑制NF-κB减轻大鼠机械通气所致肺损伤[J]. 华中科技大学学报(医学版), 2014, 43(4): 395-398. DOI:10.3870/j.issn.1672-0741.2014.04.006 |
| [20] | Mattioli I, Sebald A, Bucher C, et al. Transient and selective NF-κB p65 serine 536 phosphorylation induced by T cell costimulation is mediated by IκB kinase β and controls the kinetics of p65 nuclear import[J]. J Immunol, 2004, 172(10): 6336-6344. DOI:10.4049/jimmunol.172.10.6336 |
| [21] | 陈晓燕, 王卫星, 丁佑铭, 等. 罗格列酮对重症急性胰腺炎大鼠肝脏的保护作用[J]. 中华急诊医学杂志, 2010, 19(8): 847-850. DOI:10.3760/cma.j.issn.1671-0282.2010.08.020 |
| [22] | Zhong W, Qian K, Xiong J, et al. Curcumin alleviates lipopolysaccharide induced sepsis and liver failure by suppression of oxidative stress-related inflammation via PI3K/AKT and NF-κB related signaling[J]. Biomed Pharmacother, 2016, 83: 302-313. DOI:10.1016/j.biopha.2016.06.036 |
2018, Vol. 27



