百草枯(paraquat, PQ)是我国使用比较广泛的触灭型除草剂之一,我国农业生产中普通使用制剂为含百草枯20%水溶剂。PQ在人体内作用毒性极高,人体摄入大概5~15 mL百草枯生产制备的水溶液或含量达40 mg/kg百草枯后能导致死亡。PQ被人体吸收后,随血液流动,在人体各组织和器官均有分布,但其在体内以肺组织中含量最高,肺组织中毒物浓度远远大于其他组织器官内的浓度。已有研究发现PQ中毒后期可导致不可逆转的肺纤维化病变[1]。我国有学者对百草枯中毒后期导致的肺泡及肺泡间隔组织纤维化的病理变化将其命名为“百草枯肺”[2]。目前治疗手段有限且无特效解毒药。曲尼司特(tranilast)是最开始由日本研制的抗过敏药物,其药理作用中亦有抗纤维化的功能,主要机制可能与抑制成纤维细胞转化生长因子-β(TGF-β)的释放及抑制成纤维细胞胶原合成有关。而白细胞介素-4(IL-4)和白细胞介素-13(IL-13)在Th2细胞及肥大细胞上均有表达,可能与肺组织的纤维化形成机制有关。本研究在目前国内外所研究的PQ中毒发生肺纤维化机制的基础之上,观察曲尼司特对肺纤维化的影响,以及在此过程中探讨百草枯中毒导致肺纤维化的形成机制是否与IL-4、IL-13有关,为PQ中毒早期治疗及防止肺纤维化形成提供理论基础,改善PQ中毒患者的救治成功率。
1 材料与方法 1.1 实验动物清洁级健康SD大鼠,90只,体质量(260±20)g,均为雄性。购于重庆市陆军军医大学大坪医院医学实验动物中心,许可证编号:SCXK(渝)2012-0005。采用标准应用水及颗粒饲料饲养。
1.2 实验材料大鼠IL-4 ELISA试剂盒,购自美国R & D Systems(Minneapolis, MN),批号:YR038109;大鼠IL-13 ELISA试剂盒购自美国R & D Systems(Minneapolis, MN),批号:YR037101;Masson三色染色试剂盒(福州迈新生物技术开发有限公司,产品编号:MST-8003/8004);HE染色试剂盒(厦门迈威生物科技有限公司,产品编号:YZB/闽夏0016-2009);20%百草枯(上海兴农药业有限公司,批号:20121215);曲尼司特胶囊(中国药大制药,批号:20121006);地塞米松针剂(批号:310091);10%水合氯醛(青岛龙海藻有限公司,批准文号:国药准字H37022673)。
1.3 动物分组及模型制备选取雄性SD大鼠90只,应用随机数字法分为5组:正常对照组(N组)、模型对照组(P组)、地塞米松治疗组(D组)、曲尼司特治疗组(T组)、地塞米松+曲尼司特联合治疗组(DT组),每组18只。模型对照组及各治疗组采取一次性20%百草枯溶液按30 mg/kg灌胃,制备PQ中毒肺损伤模型,正常对照组以同等量生理盐水灌胃。D组给予地塞米松1 mg/(kg·d)腹腔注射冲击治疗;T组予曲尼司特250 mg/(kg·d)灌胃治疗;DT组同时应用地塞米松及曲尼司特治疗,方法及剂量同D组及T组。
1.4 标本采集与检测五组实验大鼠分别于染毒后7 d、14 d、21 d同一时间经腹腔注射10%水合氯醛麻醉处死,各组取大鼠腹主动脉血血清采用ELISA法测IL-4,IL-13表达量,剖胸取肺叶组织制作切片行HE染色及Masson染色。
1.4.1 肺泡炎症以及肺纤维化检测采用HE染色检测肺泡炎症程度,Masson染色测定肺纤维化程度。肺泡炎症及肺纤维化程度分为4级,由轻至重分别记为0、1、2、3分。
1.4.2 ELISA法测IL-4、IL-13表达量实验前完善试剂准备,标准品稀释液和样本;取出密封袋中所需的板条;每孔加入50 μL RD1-54检测稀释剂;设空白孔、标准孔、待测样品孔,每孔分别加50 μL样本,轻匀1 min,酶标板加上盖或覆膜,室温孵育2 h;吸出每孔液体,用400 μL洗涤缓冲液稀释液洗涤5次,每次2 min;洗涤最后一次,清除剩余的洗涤缓冲液,倒扣板子,滤纸吸干;每孔加入100 μL稀释的共轭溶液;覆上新模,室温孵育2 h;重复上述步骤进行洗板;每孔加入100 μL基质溶液,避光30 min;每孔加入100 μL终止液,轻拍底部彻底混匀;30 min内在Model 550 Reader上测每孔吸光度值。据标准孔所测吸光度值作标准曲线,得标准曲线方程,计算各自实际浓度。
1.5 统计学方法所有实验数据以均数±标准差(x±s)表示, 数据采用SPSS 19.0统计软件进行单因素方差分析,多组间两两比较采用SNK-q检验,以P < 0.05为差异有统计学意义。
2 结果 2.1 各组大鼠一般情况正常对照组大鼠无异常不适。模型对照组出血,呼吸急促,精神萎靡,饮食饮水减少,活动量减少,毛发稀疏枯黄等。各治疗组出现上述中毒症状,但随着治疗时间延长,上述症状逐渐减轻。
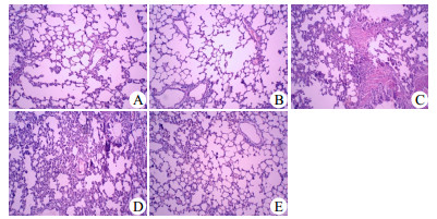
2.2 肺泡炎症HE染色正常对照组可见在不同时间段正常肺泡组织,肺泡腔开放良好,而且肺泡间隔无明显增宽,未见明显炎症细胞浸润及异常增生的成纤维细胞;模型对照组可见肺泡充血、出血,肺间质血管可见扩张、充血,肺间质见少量淋巴细胞、单核细胞浸润,可观察到在不同时间段肺泡组织数量减少,肺泡腔有不同程度缩小,而且肺泡间隔随时间推移逐渐增宽,肺泡结构破坏,后期炎症细胞浸润加重,可见异常增生的成纤维细胞;曲尼司特组可观察到在不同时间段肺泡组织数量有所减少,可见部分正常肺泡腔,也可见不同程度缩小的肺泡腔,肺泡间隔随时间也有不同程度增宽,可见炎症细胞浸润及异常增生的成纤维细胞;地塞米松组可观察到肺泡局部塌陷,肺泡间隔断裂,肺间质小血管局部扩张充血,炎症细胞细胞侵润,可见异常增生的成纤维细胞,肺泡间隔增宽,但炎症细胞浸润、肺泡充血、出血等肺泡炎表现较模型对照组轻。联合给药治疗组可见炎症细胞浸润,部分肺泡结构破坏,肺泡间隔断裂等,但均较所有染毒组程度减轻,见图 1。
|
| A:正常对照组;B:模型对照组;C:地塞米松组;D:曲尼司特组;E:联合治疗组 图 1 各组肺组织HE染色(×100) |
|
|
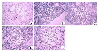
正常对照组局部大小血管周围、细支气管周围染色阳性,肺泡间隔未见明显胶原纤维增生。模型对照组早期可见肺泡间质有不同程度胶原纤维增生,小灶性胶原形成,染色阳性,随时间推移逐渐加重,见大量胶原沉积。地塞米松组可见肺泡间质有轻度胶原纤维增生,小灶胶原形成,肺泡间隔组织增厚,阳性染色程度加重趋势平缓。曲尼司特组肺泡间质胶原纤维增生,肺泡间隔组织增厚,阳性染色程度趋势平缓,后期染色程度程度无明显加重,后期胶原堆积无明显增加。联合治疗组可见肺泡间质有轻度胶原纤维增生,染色有轻度减轻趋势,见图 2。
|
| A:正常对照组;B:模型对照组;C:地塞米松组;D:曲尼司特组;E:联合治疗组 图 2 各组肺纤维化Masson染色(×100) |
|
|
通过电镜对本次实验所取的大鼠肺组织进行HE染色、Masson染色病理观察发现:通过HE染色观察发现早期模型对照组、地塞米松组、曲尼司特组、联合治疗组以肺泡炎为主,所有大鼠均有不同程度肺泡炎性改变,以模型对照组最重最典型,经过药物治疗组有不同程度减轻,联合治疗组较明显(表 1);Masson染色发现模型对照组、曲尼司特组、地塞米松组、联合治疗组早期有部分大鼠出现肺纤维化表现,第2、3周左右模型对照组、曲尼司特组、地塞米松组、联合治疗组每只大鼠均出现不同程度肺纤维化,但药物治疗组较P组比较肺纤维化程度减轻,联合治疗组优势明显(表 2)。
| 组别 | 7 d | 14 d | 21 d | |||||||||||
| 阴性 | 轻度 | 中度 | 重度 | 阴性 | 轻度 | 中度 | 重度 | 阴性 | 轻度 | 中度 | 重度 | |||
| 正常对照组 | 6 | 0 | 0 | 0 | 5 | 1 | 0 | 0 | 5 | 1 | 0 | 0 | ||
| 模型对照组 | 0 | 1 | 1 | 4 | 0 | 0 | 2 | 4 | 0 | 0 | 1 | 5 | ||
| 曲尼司特组 | 0 | 1 | 2 | 3 | 0 | 1 | 3 | 2 | 0 | 2 | 2 | 2 | ||
| 地塞米松组 | 0 | 1 | 3 | 2 | 0 | 3 | 3 | 0 | 0 | 4 | 2 | 0 | ||
| 联合治疗组 | 0 | 1 | 4 | 1 | 0 | 4 | 2 | 0 | 0 | 5 | 1 | 0 | ||
| 组别 | 7 d | 14 d | 21 d | ||||||||
| - | +~++ | +++~++++ | - | +~++ | +++~++++ | - | +~++ | +++~++++ | |||
| 正常对照组 | 6 | 0 | 0 | 6 | 0 | 0 | 6 | 0 | 0 | ||
| 模型对照组 | 1 | 5 | 0 | 0 | 1 | 5 | 0 | 1 | 5 | ||
| 曲尼司特组 | 2 | 4 | 0 | 0 | 3 | 3 | 0 | 4 | 2 | ||
| 地塞米松组 | 1 | 5 | 0 | 0 | 2 | 4 | 0 | 3 | 3 | ||
| 联合治疗组 | 1 | 5 | 0 | 0 | 4 | 2 | 1 | 4 | 1 | ||
治疗后7、14、21 d,模型对照组中IL-4、IL-13含量高于正常对照组,差异有统计学意义(P < 0.05)。治疗后14 d、21 d,IL-4在曲尼司特组、地塞米松组、联合治疗组的含量明显低于模型对照组,差异有统计学意义(P < 0.05)。治疗后7 d IL-13在地塞米松组、联合治疗组的含量明显低于模型对照组,差异有统计学意义(P < 0.05)。治疗后14 d、21 d,IL-13在曲尼司特组、地塞米松组、联合治疗组的含量明显低于模型对照组,差异有统计学意义(P < 0.05),见表 3~4。
| 组别 | 外周血IL-4含量(ng/μL) | ||
| 7 d | 14 d | 21 d | |
| 正常对照组 | 0.178±0.033 | 0.180±0.032 | 0.182±0.031 |
| 模型对照组 | 0.215±0.031a | 0.252±0.030b | 0.271±0.058b |
| 曲尼司特组 | 0.207±0.012 | 0.220±0.035c | 0.200±0.021c |
| 地塞米松组 | 0.203±0.015 | 0.204±0.017c | 0.197±0.009c |
| 联合治疗组 | 0.199±0.016 | 0.181±0.031c | 0.191±0.018d |
| 注:与正常对照组比较,aP < 0.05;与正常对照组比较,bP < 0.01;与模型对照组比较,cP < 0.05;与模型对照组比较,dP < 0.01 | |||
| 组别 | 外周血IL-13含量(pg/mL) | ||
| 7 d | 14 d | 21 d | |
| 正常对照组 | 21.99±2.40 | 21.87±2.41 | 21.10±2.39 |
| 模型对照组 | 29.68±6.30a | 37.65±4.88b | 41.42±1.11b |
| 曲尼司特组 | 28.26±6.23 | 27.44±7.53c | 26.70±4.56c |
| 地塞米松组 | 22.42±4.21c | 27.26±6.11c | 28.38±6.74c |
| 联合治疗组 | 22.36±1.67c | 22.24±3.24d | 21.94±5.13d |
| 注:与正常对照组比较,aP < 0.05;与正常对照组比较,bP < 0.01;与模型对照组比较,cP < 0.05;与模型对照组比较,dP < 0.01 | |||
百草枯的化学成分主要为1, 1’-二甲基- 4, 4’-二氯二吡啶,在体内很少降解,始终保持原型,在粪便和尿液中能检测到百草枯原型物。口服中毒患者可导致全身多器官、组织功能受损,出现全身中毒症状,早期可出现口腔烧灼样不适,消化道黏膜溃疡、糜烂等,伴随恶心、呕吐及吞咽困难等症状,也可伴有腹痛,病情严重者可出现呕血、胃肠穿孔等,中毒早期还可出现肝脏损害、黄疸等表现。因其毒物浓度在人体肺组织中含量最高,不易排出,故在各组织及器官损伤中以肺组织损伤最严重,可引起一系列肺泡炎表现如肺充血、出血、水肿,透明膜形成和变性、增生、纤维化等改变。
目前认为PQ中毒中晚期形成肺纤维化形成的机制,主要包括细胞因子作用及氧化损伤等,其中转化生长因子-β1(TGF-β1)与肺纤维化形成过程的关系最为密切,认为其是肺纤维化形成过程中的主要驱动力[3]。白细胞介素作为炎症细胞因子,在PQ中毒导致肺纤维化形成过程也可能起到一定作用。毛毳等[4]研究证实IL-4在肺纤维化过程中有大量表达,说明其参与了肺纤维化的过程。IL-4对肺成纤维细胞有刺激作用,可促进其增生,可导致肺泡壁、肺间质或整个肺组织结构改变,可引起肺泡壁弥漫性上皮下纤维化改变及基底膜增厚[5]。此外,IL-4对Th1细胞与Th2细胞之间的相互抑制作用产生影响,参与两者动态平衡有效维持的过程,而Th1型细胞与Th2型细胞的平衡机制在介导机体免疫反应导致肺损伤及肺纤维化过程中起到一定作用。也有研究报道,IL-13在肺纤维化形成的机制中发挥了重要作用[6-8]。IL-13作为Th2型细胞因子,能有效促进纤维化发展,此外也可促进黏液分泌、嗜酸性粒细胞炎症。其机制为诱导肺泡Ⅱ型上皮细胞增生,使肺泡表面活性物质异常增多、沉积,通过激活巨噬细胞促进TGF-β的表达促进Ⅰ型前胶原纤维合成。本研究提示IL-4、IL-13参与了百草枯中毒大鼠肺纤维化过程,IL-4、IL-13在肺纤维化过程中发挥了重要的作用。此外,PQ可能具有电子受体功能,当其在肺泡Ⅰ型和Ⅱ型细胞中大量累积时,在细胞内发生氧化还原反应,产生细胞内大量活化的氧自由基,参与肺组织中毒作用并促进肺纤维化形成,引起肺换气或通气功能障碍,患者往往出现急性呼吸窘迫综合征(ARDS),最终导致呼吸衰竭而死亡。
近年来PQ中毒自服或误服的患者逐渐增多,由于无特效解毒药,发病机制复杂且未完全明确,病死率高,目前临床治疗上主要以对症支持治疗为主,常规治疗方式可通过早期洗胃、血液灌流、促进毒物排出、抗氧化及对症支持治疗[9-11]。但经积极抢救治疗并度过急性期的患者中,大部分1~2周内出现进行性的肺损伤和肺纤维化,肺功能损伤逐渐加重,由最初的呼吸功能障碍进展为呼吸功能衰竭而死亡,临床救治成功率很低。因此在PQ中毒治疗过程中,早期干预肺纤维化形成尤为重要,临床上应用大剂量糖皮质激素及免疫抑制剂是主要的治疗方法[12-14],糖皮质激素具有强大的抗炎治疗作用,在很大程度上能减轻水肿和渗出,也可诱导p-糖蛋白发生积极作用,对肺组织中PQ水平的降低有积极作用,对预防肺纤维化的进展有抑制作用,但并发症也较多。其他针对肺纤维化治疗及预防的药物较少,且仅处于动物实验或小范围临床研究,未能发现像糖皮质激素一样在临床广泛推广的药物。
曲尼司特的药理作用有抗纤维化的功能,研究发现,在博来霉素导致小鼠肺纤维化过程中,曲尼司特对其肺纤维化形成有抑制作用[15-16];徐红蕾等[17]报道了在肺纤维化形成过程中曲尼司特具有干预作用,认为曲尼司特在成纤维细胞的增殖过程以及胶原合成方面有抑制作用, 其作用机制可能主要通过抑制TGF-β的释放及表达,通过下调核转录因子κB(NF-κB)的活性及抑制抗原抗体反应从而抑制胶原合成,对肺纤维化形成的过程有干预作用。本研究证实曲尼司特对PQ中毒所致的肺纤维化有一定的干预作用。
| [1] | Yamashita M. A long-term follow-up of lung function in survivors of paraquat poisoning[J]. Hum Exp Toxicol, 2010, 19(2): 99-103. DOI:10.1191/096032700678815729 |
| [2] | 胡晓, 王煜, 沈海涛, 等. GW3965抑制p38丝裂原活化蛋白激酶信号通路表达减轻百草枯致小鼠急性肺损伤[J]. 中华急诊医学杂志, 2018, 27(5): 507-512. DOI:10.3760/cma.j.issn.1671-0282.2018.05.010 |
| [3] | Franck V, Alain M. Transforming growth factor-β and fibrosis[J]. World J Gastroenterol, 2007, 13(22): 3056-3062. DOI:10.3748/wjg.v13.i22.3056 |
| [4] | 毛毳, 李佳, 邹燕, 等. 补肺通络方对肺纤维化大鼠模型IL-4、TNF-α、TGF-β1活性表达影响的研究[J]. 中国中医急症, 2017, 26(3): 397-400. DOI:10.3969/j.issn.1004-745X.2017.03.007 |
| [5] | 陈敏, 陈玉凤, 林庆明, 等. 骨髓间充质干细胞移植对百草枯中毒导致肺纤维化的影响[J]. 中华急诊医学杂志, 2016, 25(5): 610-616. DOI:10.3760/cma.j.issn.1671-0282.2016.05.014 |
| [6] | 梁宇, 蒋令修, 秦文婧, 等. 特发性肺纤维化患者血清IL-13、TGF-β1、IL-8水平及与肺功能的相关性[J]. 中国现代医生, 2015, 53(11): 1-3. |
| [7] | Jakubzick C, Kunkel SL, Puri RK, et al. Therapeutic targeting of IL-4 and IL-13 responsive cells in pulmonary fibrosis[J]. Immunol Res, 2004, 35(3): 339-350. DOI:10.1385/IR:30:3:339 |
| [8] | Blease K. Therapeutics targeting IL-13 for the treatment of pulmonary inflammation and airway remodeling[J]. Curr Opin Investig Drugs, 2008, 9(11): 1180-1184. |
| [9] | 姚冬奇, 李敏, 高恒波, 等. 长期存活急性百草枯中毒患者肺功能的随访研究[J]. 中华急诊医学杂志, 2016, 25(6): 792-796. DOI:10.3760/cma.j.issn.1671-0282.2016.06.021 |
| [10] | 成怡冰, 王檬, 周崇臣. 百草枯中毒治疗进展[J]. 中国小儿急救医学, 2018, 25(2): 89-93. DOI:10.3760/cma.j.issn.1673-4912.2018.02.003 |
| [11] | 刘晓伟, 李晓飞, 裴培, 等. 服毒-血液灌流时间对急性百草枯中毒患者预后的影响[J]. 中华急诊医学杂志, 2014, 23(11): 1198-1203. DOI:10.3760/cma.j.issn.1671-0282.2014.11.004 |
| [12] | 王志超, 武琦, 冯凡超, 等. 血管紧张素抑制药联合糖皮质激素对特发性肺纤维化作用的系统评价[J]. 中国临床药理学杂志, 2017, 33(21): 2182-2186. DOI:10.13699/j.cnki.1001-6821.2017.21.025 |
| [13] | Agarwal R, Jindal SK. Acute exacerbation of idiopathic pulmonary fibrosis: a systematic review[J]. Eur J Intern Med, 2008, 19(4): 227-235. DOI:10.1016/j.ejim.2007.04.024 |
| [14] | Beretta L, Caronni M, Raimondi M, et al. Oral cyclophosphamide improves pulmonary function in scleroderma patients with fibrosing alveolitis: experience in one centre[J]. Clin Rheumatol, 2007, 26(2): 168-172. DOI:10.1007/s10067-006-0254-x |
| [15] | Li X, Shen Y, Lu Y, et al. Amelioration of bleomycin-induced pulmonary fibrosis of rats by an aldose reductase inhibitor, epalrestat[J]. Korean J Physiol Pharmacol, 2015, 19(5): 401-411. DOI:10.4196/kjpp.2015.19.5.401 |
| [16] | Tang LT, Jiang T, Han XL, et al. Effect of tranilast on bleomycin induced pulmonary fibrosis in a rat model[J]. Afric J Pharm Pharmacol, 2011, 5(10): 1315-1320. DOI:10.5897/AJPP11.448 |
| [17] | 徐红蕾, 金旭如, 陈少贤. 曲尼司特抗大鼠肺纤维化的作用及机制[J]. 中国临床药理学与治疗学, 2009, 14(7): 754-759. |
2018, Vol. 27



