脓毒症是由感染引起的全身炎症反应综合征,严重者可发展为脓毒性休克,甚至死亡,是重症医学面临的重要临床问题之一。在关注耐药的金黄色葡萄球菌感染的当今时代,仍需重视敏感菌的感染,一旦入血病情凶险。现将北京安贞医院EICU 2016年3月8日收治的一例17岁敏感菌感染的重症患者诊治经过报道如下。
1 资料与方法患者,女,17岁,在校学生。主因“腰痛6 d,胸闷、憋气伴发热3 d”来诊。患者6日前无明显诱因出现腰痛,当时未就诊,5日前到当地诊所“中医正骨”治疗,4日前在当地诊所治疗(具体不详),症状无明显好转。3日前出现发热,体温最高38 ℃,伴胸闷、憋气,无明显咳嗽、咳痰、无意识障碍,到当地住院治疗,行血常规提示白细胞升高,给予退热、“曲马多”止痛、牵引等治疗。1日前再次出现发热,憋气症状加重,伴白细胞明显下降。为进一步诊治转来北京安贞医院。外院曾诊断为:“肺转移癌”、“血液病”。既往体健,体质量65 kg,血压130/80 mmHg(1 mmHg=0.133 kPa)左右,否认肝炎、结核及其他传染病史。否认有特殊药物、粉尘、毒物、放射性物质接触史。预防接种正规。否认药物过敏史,无外伤史,无手术史,无输血史,无疫区居住史,无冶游史,无吸烟以及饮酒史。月经规律,15 d前正常经期。否认家族中有遗传病史。
入院查体:T 38.6℃,P154次/min,R45次/min BP 90/50 mmHg,神志清楚,精神极差,喘息貌,全身皮肤未见皮疹,双肺呼吸音清,双下肺可闻及湿啰音。心率154次/min,心律齐,各瓣膜听诊区未闻及杂音,腹部柔软,无压痛及反跳痛,肝脾脏未触及,肠鸣音正常,双下肢不肿,双下肢肌力Ⅲ级。
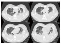
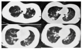
入院相关化验结果,血常规:WBC 0.8 g/L, NE 0.5 g/L, HGB 126.0 g/L, PLT 47.0/L;血气分析:pH 7.450,PaCO2 32.90 mmHg,PaO2 52.50 mmHg,SaO2 89.3%, LAC 3.9 mmol/L, HCO3- 22.5 mmol/L;心肌标志物:CK 4 668 U/L,MB 46.2 ng/mL,cTnI 0.52 ng/mL,MyO 1 884 ng/mL;肾功能:UREA 7.10 mmol/L,CREA 80.7 μmol/L,Glu 8.35 mmol/L,Na+ 131 mmol/L,K+ 3.9 mmol/L;肝功能:ALT 47 U/L,AST 211 U/L,ALB 22.4 g/L,TBIL32.93 μmol/L,DBIL 19.01 μmol/L; D-Dimer 18 893 μg/mL;BNP 986 pg/mL;ESR 66 mm/h;CRP 320 mg/L; 降钙素原53.8 ng/mL。腹部B超(-);子宫附件B超(-);超声心动图(-)、入院前胸部CT平扫提示双肺多发片状、团块病灶,见图 1。
|
| 图 1 入院前胸部CT |
|
|
入院初步诊断:脓毒症、脓毒症休克、Ⅰ型呼吸衰竭、肺部感染、血流感染?骨髓抑制、粒细胞缺乏、血小板减低、肝功能异常、低蛋白血症、急性心肌损伤。
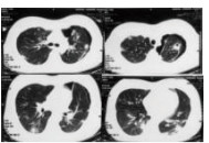
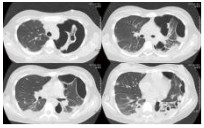
入院后给予抗感染、液体复苏、保肝、补充白蛋白、提升白细胞、输注血小板等对症支持治疗,生命体征逐渐稳定,但患者胸片以及胸部CT仍提示呈进展状态,双肺弥漫性渗出较前明显,肺组织出现“空洞”,并呈进行性破坏,见图 2~3。体温持续波动在38~40℃。入院第8天胸CT提示双侧胸腔积液, 入院第21天胸CT提示双肺渗出及大小不一的“空洞”, 出院时胸部CT,左侧肺气囊样变(图 4)。
|
| 图 2 入院第8天胸部CT |
|
|
|
| 图 3 入院第21天胸部CT |
|
|
|
| 图 4 出院时胸部CT |
|
|
入院第5天血培养回报:金黄色葡萄球菌,药敏提示对青霉素、红霉素、克林霉素、复方新诺明耐药,对苯唑西林、庆大霉素、万古霉素、利奈唑胺、左氧氟沙星等敏感。此后多次血培养为药敏结果相同的金黄色葡萄球菌。抗酸染色、结核分枝杆菌-r干扰素(-);呼吸道病原体11项:流感B- Ig M (弱阳性)、甲流咽拭子(-);G试验:(-)、GM(-);类风湿、抗链O、抗核抗体:(-);肿瘤标记物:(-);先后行3次经胸超声心动图以及1次经食道超声心动图均提示:心脏瓣膜未见赘生物。胸腔积液提示:血性渗出液。上腹部CT提示:未见异常。
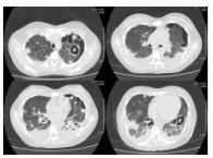
抗感染治疗方面,入院后联合应用抗生素,先后应用:美罗培南、万古霉素、头孢噻肟钠舒巴坦、依替米星、头孢吡肟、哌拉西林舒巴坦、阿米卡星、利奈唑胺、亚胺培南西司他汀等药物。住院30 d体温逐渐下降,住院35 d好转出院。“毁损消失”的肺组织逐渐好转,出院随诊,出院2个月门诊复查胸部CT,“毁损的肺组织”明显好转,出院4个月门诊复查胸部CT,肺组织基本恢复正常,见图 5~6。
|
| 图 5 出院2个月门诊复查胸部CT |
|
|
|
| 图 6 出院4个月门诊复查胸部CT |
|
|
金黄色葡萄球菌肺炎(Staphyloccocus aureus)临床病情严重,预后多较凶险。根据其耐药性分为甲氧西林敏感(MSSA)和甲氧西林耐药(MRSA)两类。我国全国细菌耐药监测报告显示2015年MRSA全国检出率为35.8%[1],耐甲氧西林金黄色葡萄球菌检出率和各种抗菌药物的耐药性呈不同程度上升趋势[2]。有人将MRSA与乙型肝炎、艾滋病一起称为当今世界三大感染顽疾[3]。而有关MSSA的相关数据鲜见。
2.1 此例MSSA患者病情凶险的原因分析MSSA对多种抗生素敏感,治疗相对容易,受重视程度往往低于MRSA。而本例患者MSSA感染却十分凶险:起病急,快速进展为脓毒性休克,并出现严重的骨髓抑制,究其原因,金黄色葡萄球菌菌株致病力的强弱主要取决于其产生的毒素和侵袭性酶,包括溶血素、杀白细胞素、血浆凝固酶、肠毒素、表皮剥脱毒素、毒性休克综合征毒素等。这些毒力因子因其不同的生物学特性,证实具有不同的致病特征[4]。有研究认为,甲氧西林耐药性降低了金黄色葡萄球菌的生物膜形成能力及毒力[5]。国内有关于金黄色葡萄球菌毒力基因分布特征的研究显示,各类毒力因子在MRSA和MSSA菌株中分布特征差异明显,MSSA毒力因子分布更为多样化,整体携带率明显高于MRSA[6]。
2.2 此例MSSA患者骨髓抑制的原因分析金黄色葡萄球菌产生的溶血素为它的重要外毒素,分为α、β、γ、δ四种,能损伤血小板,破坏溶酶体,引起肌体局部缺血和坏死。其中α-溶血素是最主要的毒力因子之一,在致病和逃避机体免疫过程中起着非常重要的作用, 而β-溶血素具有神经磷脂酶活性,可以溶解红细胞,增加金黄色葡萄球菌α-溶血素对机体的损害。本病例病原学检测结果与金黄色葡萄球菌典型的β-溶血不同,该菌株经细菌室培养为少见的双溶血环金黄色葡萄球菌,即内环为β溶血,外环为α溶血,见图 7。我院细菌室曾统计2014—2015年10个月间全院送检标本中仅分离出双溶血环金黄色葡萄球菌19株[7],检出率呈逐渐增加趋势。本病例患者PLT低至47.0/L,考虑和该菌株产溶血素有关。
|
| 图 7 A:双溶血环金黄色葡萄球菌24 h的菌落形态; B:金黄色葡萄球菌标准菌株的菌落形态 |
|
|
杀白细胞素(panton-valentine leukocidin,PVL)是由2个基因编码的一种不耐热蛋白,能够在中性粒细胞的细胞膜上产生溶解性孔洞,使其坏死或诱导凋亡。产PVL的金黄色葡萄球菌毒力非常强,常与皮肤、软组织化脓性感染相关,特别是蜂窝组织炎、疖肿等。可导致组织坏死和坏死性肺炎,严重者可导致多脏器功能衰竭甚至迅速致死[8-9]。有研究发现,由产PVL菌株引起的坏死性肺炎病情进展迅速、病死率高,患者入院48 h病死率为37%,而PVL阴性的金黄色葡萄球菌仅为6%[10]。金黄色葡萄球菌携带PVL基因菌株在我国儿童中明显高于成人,有报道达47%[11],本病例患者为青少年,病情危重,WBC一度低至0.8 g/L,并达到粒细胞缺乏标准,应考虑该菌株产PVL可能。
此外,还有文献报道,血培养阳性即全身性感染患者其血小板下降的发生率高达79.6%, 金黄色葡萄球菌感染的发生率为89.6%。危重病患者白细胞和血小板进行性下降提示患者脓毒症严重, 预后较差, 尤其是血小板对细菌毒素较为敏感, 即在严重感染的早期就有所表现[12]。本例患者随着病情的缓解,患者WBC、PLT均恢复正常,这也证实了患者发病初期存在严重骨髓抑制,并不是外院所怀疑的“血液病”。
2.3 患者感染来源分析从细菌入侵途径看,金黄色葡萄球菌常经损伤的皮肤和黏膜入侵皮肤导致感染,或经吸入、食入引起。该患者无外伤史,故入院当时未能明确感染途径,后经反复询问,患者诉发病前头皮曾有一疖,挠破出血,未在意。考虑此为金黄色葡萄球菌入侵可能性大。也曾有患者经期感染的可能,但这位患者经期已过15 d,经期感染的可能性不大。起病初期严重腰痛经骨扫描提示右侧髂骨及骶髂关节骨盐代谢增高,亦不能除外骨髓炎的问题。
2.4 影像学除外肺部转移瘤的原因分析患者住院时高热,喘憋比较明显,影像学提示双肺弥漫性浸润病灶(图 1)。最初考虑可能为多发肺部转移瘤?随着治疗的好转以及影像学的演变,最终排除了肺部转移瘤的诊断。
MSSA的影像学特点是在疾病早期,CT改变不明显,仅有小片状肺部浸润,但是,病变发展极快,出现大叶性炎症改变或肺段性浸润,以双下肺野多见。随后病灶内或其周围出现空腔或蜂窝状透亮区,并可发展为肺脓肿。肺浸润、肺脓肿、肺气囊肿和脓胸或脓气胸为金黄色葡萄球菌肺炎的四大影像征象,不同病期以不同的组合表现。肺气囊肿为金黄色葡萄球菌肺炎的典型影像学表现,是支气管周围脓肿使终末细支气管和肺泡发生坏死,当与支气管相通后坏死物质排空形成的直径1~2.5 cm、壁厚1~2 mm、圆形或类圆形薄壁空腔,多发者似蜂窝肺。当临床表现已明显缓解时肺气囊肿仍可存在数月,最后可自然痊愈。
这例患者的疾病过程以及胸部CT表现符合上述改变,“毁损的肺组织”是肺气囊肿,后期随着病情的好转,肺组织基本恢复正常。
通过本病例社区获得MSSA感染引起脓毒症休克的报道,希望临床上能够更加重视MSSA感染,特别是双溶血环金黄色葡萄球菌等强毒力菌株,病情可进展极快,如不能及时进行有效的治疗,可能危及生命。
| [1] | 国家卫生计生委合理用药专家委员会, 全国细菌耐药监测网. 2015年全国细菌耐药监测报告[J]. 中国执业药师, 2016(3): 3-8. DOI:10.3969/j.issn.1672-5433.2016.03.001 |
| [2] | 邓家德, 叶惠芬, 陈惠玲, 等. 急诊留观病房病原菌分布及耐药性监测结果分析[J]. 中华急诊医学杂志, 2005, 14(6): 494-496. DOI:10.3760/j.issn:1671-0282.2005.06.015 |
| [3] | Kristiansen MM, Leandro C, Ordway D, et al. Phenothiazines alter resistance of methicillin-resistant strains of Staphylococcus aureus (MRSA)to oxacillin in vitro[J]. Int J Antimicrob Agents, 2003, 22(3): 250-253. DOI:10.1016/S0924-8579(03)00200-0 |
| [4] | Otto M. Staphylococcus aureus toxins[J]. Curr Opin Microbiol, 2014, 17C: 32-37. DOI:10.1016/j.mib.2013.11.004 |
| [5] | Pozzi C, Waters EM, Rudkin JK, et al. Methicillin resistance alters the biofilm phenotype and attenuates virulence in Staphylococcus aureus device-associated infections[J]. Plos Pathogens, 2012, 8(4): e1002626. DOI:10.1371/journal.ppat.1002626 |
| [6] | 王俊瑞, 杜小莉, 塔拉, 等. 甲氧西林耐药/敏感金黄色葡萄球菌基因分型和毒力基因检测[J]. 中国感染与化疗杂志, 2015, 14(1): 70-75. DOI:10.16718/j.1009-7708.2015.01.015 |
| [7] | 刘美清, 兰英, 蔡曼, 等. 双溶血环金黄色葡萄球菌的菌落特征与药物敏感性分析[J]. 中华医院感染学杂志, 2016, 26(9): 1921-1923. DOI:10.11816/cn.ni.2016-151906 |
| [8] | Low TB, Harty L, Murray M, et al. Panton Valentine leukocidin MSSA leading to multi-organ failure[J]. Irish Med J, 2009, 102(6): 185. |
| [9] | Wenzel JJ, Hentschel J, Silvis W, et al. Rapidly fatal necrotizing pneumonia in a 12-year-old boy caused by coinfection with parainfluenza virus type 1 and Panton-Valentine leukocidin (PVL)-positive methicillin -sensitive Staphylococcus aureus[J]. Infection, 2009, 37(1): 75-77. DOI:10.1007/s15010-008-8214-9 |
| [10] | Gillet Y, Issartel B, Vanhems P, et al. Association between Staphylococcus aureus strains carrying gene for Panton-Valentine leukocidin and highly lethal necrotizing pneumonia in young immunocompetent patients[J]. Lancet, 2002, 359(9308): 753-759. DOI:10.1016/S0140-6736(02)07877-7 |
| [11] | 胡龙华, 熊建球, 周信云, 等. 儿童与成人金黄色葡萄球菌分离株携带PVL基因状况比较[J]. 临床儿科杂志, 2012, 30(3): 251-255. DOI:10.3969/j.issn.1000-3606.2012.03.015 |
| [12] | 陈德昌, 李红江, 毛居卫, 等. 血小板及骨髓象变化在危重病临床监测中的意义[J]. 中华急诊医学杂志, 2002, 11(1): 40-42. DOI:10.3760/j.issn:1671-0282.2002.01.013 |
2018, Vol. 27



