现代医学的进步和医疗条件的改善,让更多的脓毒症和多脏器功能障碍综合征等危重症患者得以生存[1-2]。但仍有ICU患者在原发疾病基本控制后,患者的临床症状并没有相应的改善,出现与原发疾病不相对应的肢体功能障碍、感觉异常、腱反射减弱或消失、肌肉萎缩、呼吸肌无力,这种以急性进行性四肢瘫为表现可导致患者呼吸衰竭的神经系统并发症——危重病多发性神经病(critical illness polyneuropathy, CIP)逐渐受到人们的重视[3]。CIP在世界范围内均有报道,在ICU脓毒症、多器官功能衰竭和机械通气时间延长患者中的发生率约为46%[4]。目前报道有多种用于CIP研究的实验动物模型,然而尚未有来源于患者人体神经细胞模型用于CIP研究的报道。
诱导性多能干细胞(induced pluripotent stem cells,iPS)是通过基因重编程技术,从体细胞诱导而来的具有类似于人胚胎干细胞(human embryonic stem cell,hES)的自我更新能力和多向分化潜能的一类细胞[5]。患者特异性的iPS可自体取材且来源广泛,可有效分化为神经细胞,并且不受伦理限制,故iPS的运用呈现巨大的临床应用潜能。目前,多种神经系统疾病模型的诱导多能干细胞系已获成功建立[6],但尚未见到源于CIP患者体细胞重编程诱导出iPS的报道。
本研究针对临床上危重病多发性神经病的发生率具有较大的个体差异性,且目前所使用的细胞模型都未能忠实地模拟人体细胞CIP发生过程及由之引起的神经细胞损害机制。因此,本研究提出利用iPS技术,建立患者来源的特异性iPS细胞模型(CIP-iPS),并定向诱导CIP-iPS分化为神经细胞,旨在为下一步研究CIP神经细胞损害机制及临床治疗探索提供细胞模型基础。
1 材料与方法 1.1 材料 1.1.1 标本皮肤成纤维细胞来源于南昌大学第一附属医院诊断为危重病多发性神经病患者的皮肤组织,经患者家属同意及南昌大学第一附属医院医学科研伦理委员会批准后细针穿刺收集标本[医学研究伦理批准号为:(2017)伦审第004号]。
1.1.2 主要试剂慢病毒重编程诱导试剂盒STEMCCA (Millipore,美国),滋养层细胞培养基、人胚胎干细胞培养基、bFGF、成纤维细胞完全培养基FibroGROTM、高糖DMEM、DMEM/F12、胎牛血清、L-谷氨酰胺、青霉素链霉素、非必需氨基酸、β-巯基乙醇、0.1%明胶溶液等试剂均购自STEMCCA试剂盒中推荐的产品目录(Millipore,美国)。胰蛋白酶、血清替代物(KnockoutTM Serum Replacement) (Invitrogen,美国);碱性磷酸酶(AP)染色试剂盒(上海诺百生物科技有限公司);SSAE4、OCT-4、SOX2、β Ⅲ Tubulin、ChAT抗体(Abcam,美国),RT-qPCR试剂盒(BIO-RAD,美国),B-27 supplement、N2 supplement、neurobasal基础培养基(Invitrogen,美国),DKK1、BDNF、维甲酸(RA)、Shh (Sigma,美国)。各种生长因子(PeproTech,美国)。
1.2 方法 1.2.1 原代培养人皮肤成纤维细胞皮肤成纤维细胞来源于46岁的CIP男性患者,采用皮肤细针活检的方法取约2 mm×2 mm的皮肤组织块,立即投入含青霉素-链霉素双抗的DMEM培养基中,培养基反复清洗后,在DMEM培养基中将皮肤标本剪成约1 mm×1 mm大小的组织块,皮肤小块附于含DMEM培养基的12孔细胞培养板中,皮肤小块上方加用无菌盖玻片覆盖以帮助其固定贴壁,培养基中添加20%的胎牛血清及1%的青链双抗。置于37 ℃、5% CO2细胞培养箱中孵育,72 h后初次换液,3~5 d左右可见成纤维细胞将从组织块周边中贴壁迁移出来。细胞融合度达到90%时用0.25%的胰酶消化传代。1~3代内的成纤维细胞可用于诱导性多能干细胞的制作。
1.2.2 成纤维细胞重编程诱导为iPS参照慢病毒重编程诱导试剂盒STEMCCA说明书进行。成纤维细胞以104个/孔的细胞计数铺入6孔细胞培养板中,将携带Oct4、Klf4、Sox2、c-Myc基因的慢病毒通过polybrene介导下转染成纤维细胞,MOI=50,转染后6 d将成纤维细胞以1×104~5×104个/孔的密度接种到预铺有饲养层细胞的6孔培养板中继续培养。18~25 d可以观察到具有类似人胚胎干细胞样克隆形成,即为iPS克隆,使用细针机械分离的方法建系传代。
1.2.3 人iPS细胞系鉴定(1) 碱性磷酸酶(AP)染色:常规方法使用4%多聚甲醛室温下固定后,按照AP显色试剂盒提供的方法进行AP染色,显微镜下观察并拍照。(2) RT-qPCR技术检测iPS相关基因的表达情况:按照Trizol法提取细胞RNA说明书和Real-time Quality PCR试剂盒说明书进行操作。使用Trizol提取第4代CIP-iPS细胞、CIP患者成纤维细胞和hES-H9细胞总RNA,反转录成cDNA,RT-qPCR检测诱导性多能干细胞中胚胎干细胞标志性基因Sox2、Oct4、REX1、Nanog的表达情况,使用7500 fast realtime PCR仪对样品进行检测(ABI公司,美国)。采用表 1中的引物序列。(3)免疫荧光检测人iPS多能性基因蛋白标志物及胚胎干细胞表面抗原的表达:将源于CIP患者的第5代iPS贴壁生长于48孔板中,常规细胞免疫荧光检测方法验证本实验中iPS胚胎干细胞特异表面抗原SSEA4及hES多能性基因蛋白标志物OCT4、SOX2的表达情况。一抗稀释比例:SSEA4 (1:1 000)、OCT4(1:1 000)、SOX2(1:1 000),DAPI染细胞核,倒置荧光显微镜进行荧光照相。(4)体内畸胎瘤成形实验:将处于对数生长期iPS经Accutase消化后制备为iPS细胞悬液,细胞悬液0.2 mL接种于NOD/SCID鼠右前肢腋窝皮下,接种细胞数为2×106个,操作均在无特定病原体屏障内进行,10周左右处死小鼠摘除畸胎瘤制备石蜡组织切片,对切片行苏木精-伊红染色。
| 基因 | 引物序列(5’-3’) | 产物片段大小(bp) |
| Sox2 | F:CCCCCGGCGGCAATAGCA | 447 |
| R:TCGGCGCCGGGGAGATACAT | ||
| Oct4 | F:GGGAGGAGCTAGGGAAAGAAAACCT | 141 |
| R:GAACTTCACCTTCCCTCCAACCAGT | ||
| REX1 | F:AGAAACGGGCAAAGACAAGAC | 116 |
| R:GCTGACAGGTTCTATTTCCGC | ||
| Nanog | F:ATGGAGGGTGGAGTATGGTTGG | 206 |
| R:AGGCTGAGGCAGGAGATAGG |
根据本实验室前期将iPS诱导为神经元的培养体系[7],结合文献报道[8-9]稍加改进,采用Accutase将iPS细胞克隆消化分离后,接种于预铺有2.5% matrigel包被的6孔板中,待细胞达到90%融合度时开始进行下一步的诱导分化,第1个10 d使用添加有SB431542 (10 μmol/L) + Noggin (100 ng/mL)的神经培养基进行培养,神经培养基配方为:DMEM和Neurobasal培养基以l︰1比例配制,N2 (50×)和B27 (100×)细胞补充物,GlutaMax (100×),EGF (20 ng/μL)和bFGF (20 ng/μL),第2个10 d使用添加有SHH(200 ng/mL)+DKK1 (100 ng/mL)的神经元诱导培养基进行培养,神经元诱导培养基配方为:DMEM和Neurobasal培养基以3:1比例配制,N2 (50×)和B27 (100×)细胞补充物,GlutaMax (100×),BDNF (20 ng/mL),Y27632(10 μmol/L),最后更换神经元诱导培养基中的添加成分为维甲酸(0.5 μmol/L) + cAMP (0.5 μmol/L)+ Ascorbic Acid (200 μmol/L)+GDNF (10 ng/mL)继续培养5 d,上述培养基均为隔天换液。诱导25~30 d,多聚甲醛固定贴壁细胞并进行免疫荧光染色鉴定神经元标记物。一抗稀释比例:β-Ⅲ-Tubulin(1:1 000)、ChAT(1:500)、DAPI染细胞核。
1.3 统计学方法采用SPSS 18.0统计软件进行数据分析,数据用均数±标准差(x±s)表示,Sox2、Oct4、REX1、Nanog基因在三类细胞中的表达差异采用单因素方差分析检验,以P < 0.05为差异有统计学意义。
2 结果 2.1 人皮肤成纤维细胞原代培养及重编程为iPS细胞原代培养肺部感染合并危重病多发性神经病[10]的l例46岁男性皮肤组织块并建立了皮肤成纤维细胞系,形态如图 1A所示。将携带Oct4、Klf4、SOX2、c-Myc基因的慢病毒转染该皮肤成纤维细胞,感染后大约第5天成纤维细胞形态发生改变,部分细胞聚集环中心化;约18 d之后,在培养皿中就会出现一些形态类似于人胚胎干细胞的细胞集落,即iPS (图 1B)。第22天左右镜下对获得的iPS细胞克隆进行机械分离,接种到新的含MEF的培养皿上,传代培养,获得稳定生长状态的危重病多发性神经病患者特异性多能干细胞系,iPS克隆AP染色呈紫红色阳性(图 1C)。
|
| A:原代培养的人皮肤成纤维细胞(×100);B:重编程后iPS细胞克隆形成(×100);C:iPS克隆AP染色阳性(×100),标尺长度100 μm 图 1 人皮肤成纤维细胞原代培养及重编程为iPS细胞 Figure 1 Reprogramming patient-derived fibroblasts into induced pluripotent stem cells (iPS) |
|
|
这些源于CIP患者的iPS细胞系的内源多能基因SOX2、REXl、NANOG和OCT4基因相对表达水平远远高于他们在初始的成纤维细胞中的表达水平(SOX2、REXl、NANOG和OCT4组的t值分别为-9.020、-10.753、-13.295、-12.677,P < 0.01),而CIP-iPS细胞系与人胚胎干细胞系H9的表达水平相似(图 2)。
|
| A1-A4:胚胎干细胞表面抗原标记物SSEA4免疫荧光染色(红色);B1-B4:胚胎干细胞多能性基因蛋白标志物OCT4免疫荧光染色(绿色);C1-C4:胚胎干细胞多能性基因蛋白标志物SOX2免疫荧光染色(红色)。DAPI复染细胞核(蓝色)。标尺长度50 μm 图 2 CIP-iPS表达胚胎干细胞表面抗原标记物SSEA4和多能性基因蛋白标志物OCT4、SOX2情况(×200) Figure 2 Immunofluorescence identification for SSEA4, OCT4, SOX2 in CIP-iPS. (Fluorescence microscopy, ×200) |
|
|
免疫荧光染色结果显示,胚胎干细胞特异表面标志物SSEA4在诱导的细胞中是阳性的,同时,它们也被检测出成功表达胚胎干细胞多能基因标志物OCT4、SOX2 (图 3)。
|
| aP < 0.01, n=5 图 3 iPS细胞系的内源多能基因Sox2、REXl、NANOG和OCT4基因相对表达量 Figure 3 mRNA expression of Sox2, REXl, NANOG and OCT4 relative to H9 |
|
|
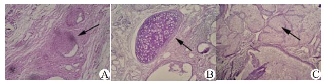
将2×106的iPS注射到NOD/SCID小鼠右前肢腋窝皮下3周后可见有肿块生长;10周左右处死SCID鼠,摘除肿块,苏木精一伊红进行组织切片染色,镜下可见外胚层神经管样结构(图 4A)、中胚层软骨组织结构(图 4B)、内胚层上皮和腺体结构(图 4C)等三胚层组织。
|
| A:神经管(外胚层);B:软骨组织(中胚层);C:上皮和腺体(内胚层);标尺长度50 μm 图 4 畸胎瘤石蜡组织切片HE染色结果(×200) Figure 4 HE staining of teratoma derived from iPS cells (×200) |
|
|
在诱导分化7 d左右,贴壁的iPS可形成透亮的神经球样形态(图 5A),消化并吹散培养后形成贴壁的细胞集落,继续培养可以看到神经前体样细胞逐渐从贴壁的细胞集落周围长出,并形成突触连系(图 5B)。经过30 d左右的诱导分化后,可以观察到神经元样细胞,如图 5C。免疫荧光染色显示,B Ⅲ-微管蛋白(β-Ⅲ-Tubulin)阳性的神经细胞同时表达胆碱能神经元特异性的标志物ChAT (图 5D),证明iPS细胞能够诱导分化为胆碱能神经元。
|
| A:在诱导分化7 d,贴壁的iPS细胞可形成透亮的神经球样形态;B:诱导分化14 d,神经前体样细胞逐渐从贴壁的神经球周围长出,并形成突触联系;C:诱导分化30 d,神经元样细胞;D:免疫荧光染色显示,β-Ⅲ-Tubulin (红色)阳性的神经细胞同时表达胆碱能神经元特异性的标志物ChAT (绿色),DAPI复染细胞核(蓝色)。标尺长度50 μm 图 5 神经细胞诱导过程中细胞形态变化及免疫荧光鉴定结果(×200) Figure 5 Cell transformation during the inducing process and immunostaining results. (Fluorescence microscopy, ×200) |
|
|
脓毒症和多脏器功能障碍综合征等重症患者在原发疾病治疗好转后,患者神智状态或肌肉运动却常常出现与原发疾病病程不相对应的功能减退,这种急性发作、以神经轴突退行性变为主的神经系统综合征即称为危重病性多发性神经病(CIP)。关于CIP的病因及发病机制尚未阐明,近年来研究认为微循环障碍、内皮细胞损害、能量供应障碍、炎症反应、内毒素作用和离子通道问题等因素对CIP起重要作用[11],这些影响一方面可能干扰神经递质传导过程,另一方面影响神经轴突对营养及代谢产物的运输,导致神经轴突退行性变[12]。值得注意的是,虽然距CIP概念的提出已过去了30余年,且越来越多的报道显示CIP与危重病患者的诊疗过程密切相关,但有关CIP神经损害机制及调控模式的基础研究至今报道甚少[13]。CIP临床发生率的报道不尽相同,约在46%[4],提示CIP的发生存在较大的个体差异性,笔者认为目前的体外细胞模型都未能忠实地表现出该发病率的差异,进而未能忠实地模拟人体CIP发生过程及由之引起的神经损害机制。诱导多能干细胞的出现为CIP研究提供了新的思路,目前,通过患者的成纤维细胞重新编程形成iPS细胞并分化成特异神经细胞的技术,已广泛用于制备患者来源的细胞模型以研究各种神经退行性病细胞发病机制及药物筛选[14],故使用CIP患者来源的神经元研究CIP机制相对而言比使用神经元细胞系更为合理。
iPS重编程基因组合目前有多种,如可采用Oct4、K1f4、Sox2、Nanog组合;Oct4、K1f4、Sox2、c-Myc组合或Sox2、Klf4、Nanog、Lin28、POU5F1、c-Myc组合将体细胞编程为iPS细胞。转染方式也多种多样,如腺病毒、慢病毒、逆转录病毒或转座子、电转化介导等,均可将外源基因导入靶细胞内进行细胞基因重编程实验,但是基因重编程工作量仍然繁琐。本实验选用了慢病毒重编程诱导试剂盒STEMCCA,以慢病毒作为Oct4、Klf4、Sox2、c-Myc四个逆转录因子的转移载体,将CIP患者皮肤成纤维细胞重编程为诱导性多能干细胞。由于试剂盒中已配有包括慢病毒载体、滋养层细胞、细胞培养基等所需的大部分试剂,简化了科研人员进行基因重编程的工作量。诱导后第5天成纤维细胞形态发生改变,部分细胞聚集环中心化;约18 d之后,在培养皿中就会出现一些形态类似于人胚胎干细胞的细胞集落,它们呈现出扁平椭圆或圆形,克隆边缘清晰,细胞排列紧凑,与饲养层细胞分界清楚,即iPS克隆。本实验证实笔者获得的iPS细胞在形态学,多能基因表达,胚胎干细胞表面标志物,以及碱性磷酸酶活性等方面均表现为人胚胎干细胞特点,移植到SCID鼠体内能够形成向三胚层分化的畸胎瘤。传代培养可获得稳定生长状态的危重病多发性神经病患者特异性多能干细胞系,提示CIP患者iPS系已获成功建立。
在CIP患者iPS系成功建立后,为了获得CIP患者的神经细胞模型,笔者继续将CIP患者iPS细胞诱导为神经细胞。在本实验室之前报道的诱导方法学中,使用维甲酸(RA)结合无血清培养基诱导法,获得由人iPS细胞分化来的神经细胞[5],该方法首先要将iPS在悬浮培养中分化,形成细胞聚合体——胚体(embryoid body,EB),EB体在悬浮培养中表现出一定的局限性:①形成的聚合体EB本身具有变异性,影响神经前体细胞产生的数量;②EB体中接触神经诱导因子浓度的不均一,导致了不同胚层细胞分化所持续时间不一;③ EB体中上下聚集重叠的细胞阻碍对细胞形态学的观察,不如贴壁细胞直观。由Koch等[9]所报道的另一种方法,该方法使用由人胚胎干细胞在贴壁条件下直接分化,可以完成由人胚胎干细胞逐步分化成人类神经前体细胞,并且这种神经前体细胞可以保留自我更新特性。Conti等[15]也报道了将大鼠胚胎干细胞贴壁诱导法获得神经细胞,并且指出,悬浮培养的神经球的形成无助于提升神经球内神经干细胞的数量,且实际上神经球中干细胞的比例很低。本研究中,我们根据上述已有的报道进行方法改良,选用iPS细胞单层贴壁法直接诱导为神经细胞,没有经过典型的神经球样悬浮培养过程,在诱导培养基中添加维甲酸成分,目的是提高胆碱能神经元的诱导效率,在贴壁诱导分化14 d后,可以看到神经前体样细胞逐渐从贴壁的细胞集落周围长出,并形成突触联系,经过30 d的诱导分化可以观察到神经元样细胞,免疫荧光染色显示,该神经细胞可表达神经细胞β-Ⅲ-Tubulin和胆碱能神经元特异性的标志物ChAT,证明iPS细胞能够通过直接贴壁法诱导分化为胆碱能神经元。由此推断,复杂的神经球环境对神经细胞诱导并不十分关键,并且成纤维细胞生长因子2(FGF-2)和表皮生长因子(EGF)的组合可能足以诱导和维系神经前体细胞。
本研究利用CIP患者皮肤成纤维细胞获得的iPS细胞为患者特异性,保留的遗传信息理论上与临床CIP的个体差异将保持一致,为了记录并验证iPSCs-神经细胞仍可能保留CIP患者的表观遗传学特性,以后还应当进行DNA检测确认每个个体来源细胞的唯一性,并将制作细胞遗传学条码标记。本次研究成功建立了CIP患者iPS细胞系,并证明该iPS细胞系可成功分化为胆碱能神经细胞,这将为危重病多发性神经病的发病机制研究和临床治疗探索提供良好的细胞模型,也将为其细胞移植等再生医学的治疗提供了潜在的细胞来源。
| [1] | Lu YH, Liu L, Qiu XH, et al. Effect of early goal directed therapy on tissue perfusion in patients with septic shock[J]. World J Emerg Med, 2013, 4(2): 117-122. DOI:10.5847/wjem.j.issn.1920-8642.2013.02.006 |
| [2] | 何小军, 马岳峰. 脓毒症:我们能做些什么?[J]. 中华急诊医学杂志, 2017, 26(5): 483-487. DOI:10.3760/cma.j.issn.1671-0282.2017.05.001 |
| [3] | Bolton CF, Gilbert JJ, Hahn AF, et al. polyneuropathy in critically ill patients[J]. J Neurol Neurosurg Psyehiat, 1984, 47: 1223. DOI:10.1136/jnnp.47.11.1223 |
| [4] | Osias J, Manno E. Neuromuscular complications of critical illness[J]. Crit Care Clin, 2014, 30(4): 785-794. DOI:10.1016/j.ccc.2014.06.008 |
| [5] | Bhartiya D, Anand S, Patel H, et al. Making gametes from alternate sources of stem cells: past, present and future[J]. Reprod Biol Endocrinol, 2017, 15(1): 89. DOI:10.1186/s12958-017-0308-8 |
| [6] | Jaiswal MK. Therapeutic opportunities and challenges of induced pluripotent stem cells-derived motor neurons for treatment of amyotrophic lateral sclerosis and motor neuron disease[J]. Neural Regen Res, 2017, 12(5): 723-736. DOI:10.4103/1673-5374.206635 |
| [7] | 冯年花, 谢安, 娄远蕾. 人诱导性多能干细胞向神经干细胞分化的方法探讨[J]. 中国病理生理杂志, 2010, 26(8): 1662-1664. DOI:10.3969/j.issn.1000-4718.2010.044 |
| [8] | Guo X, Disatnik MH, Monbureau M, et al. Inhibition of mitochondrial fragmentation diminishes Huntington' s disease-associated neurodegeneration[J]. J Clin Invest, 2013, 123(12): 5371-5388. DOI:10.1172/JCI70911 |
| [9] | Koch P, Opitz T, Steinbeck JA, et al. A rosette-type, self-renewing human ES cell-derived neural stem cell with potential for in vitro instruction and synaptic integration[J]. Proc Natl Acad Sci U S A, 2009, 106(9): 3225-3230. DOI:10.1073/pnas.0808387106 |
| [10] | 蔡慧敏, 付志新, 陈江云, 等. 危重病性多发性神经病患者神经电生理分析[J]. 癫痫与神经电生理学杂志, 2013, 22(6): 365-367. |
| [11] | 王巧宏, 朱宁, 杨旭燕. 系统性红斑狼疮合并急性炎症性脱髓鞘性多发性神经病二例[J]. 中华急诊医学杂志, 2010, 19(11): 1215-1217. DOI:10.3760/cma.j.issn.1671-0282.2010.11.027 |
| [12] | Price DR, Mikkelsen ME, Umscheid CA, et al. Neuromuscular Blocking agents and neuromuscular dysfunction acquired in critical Illness: a systematic review and meta-analysis[J]. Crit Care Med, 2016, 44(11): 2070-2078. DOI:10.1097/CCM.0000000000001839 |
| [13] | Zhou C, Wu L, Ni F, et al. Critical illness polyneuropathy and myopathy: a systematic review[J]. Neural Regen Res, 2017, 9(1): 101-110. DOI:10.4103/1673-5374.125337 |
| [14] | Jaworska E, Kozlowska E, Switonski PM, et al. Modeling simple repeat expansion diseases with iPSC technology[J]. Cell Mol Life Sci, 2016, 73(21): 4085-4100. DOI:10.1007/s00018-016-2284-0 |
| [15] | Conti L, Pollard SM, Gorba T, et al. Niche-independent symmetrical self-renewal of a mammalian tissue stem cell[J]. PLoS Biol, 2005, Sep, 3(9): e283. DOI:10.1371/journal.pbio.0030283 |
2018, Vol. 27



