脓毒症肝损伤发生率为34.1%~45.9%,与脓毒症患者预后密切相关,是脓毒症预后不良的独立风险因素[1-2];一旦发生肝损伤,病死率可高达54.3%~67.6%[3]。故对脓毒症患者加强肝脏保护作用,减轻其肝损伤程度,维持其肝脏功能稳定,对降低脓毒症病死率具有重要意义。
糖皮质激素是临床脓毒症治疗中常用药物,具有抗炎和免疫抑制作用。近年来,Wang等[4]观察到糖皮质激素能抑制巨噬细胞自噬作用;另一研究发现糖皮质激素能诱导自噬发生,保持骨细胞活力[5]。而自噬在脓毒症发生发展中的调节作用也备受关注。Watanabe等[6]发现脓毒症患者肝脏中自噬体增加,提示肝细胞自噬作用增强。抑制肝细胞自噬会加重脂多糖(lipopolysaccharide, LPS)诱导的肝损伤[7]。以上提示自噬参与脓毒症相关肝损伤的调控,并可能发挥保护作用。糖皮质激素用于改善脓毒症及其相关肝损伤的功能是否与肝细胞自噬调节有关,无资料可循。
本研究拟利用LPS诱导小鼠内毒素血症引发肝损伤模型,探讨糖皮质激素(甲基强的松龙,methylprednisolone, MP)对脓毒症肝损伤的保护作用及对肝细胞自噬活性的影响,旨在为脓毒症肝损伤的治疗提供新的理论依据。
1 材料与方法 1.1 实验动物及处理清洁级C57BL/6小鼠(20~25 g),雄性,8周龄;购自上海西普尔-必凯实验动物有限公司。动物购进后于上海市医学研究遗传所SPF级动物房适应性饲养1周。动物实验严格按照上海市实验动物管理条例进行。实验操作符合动物伦理学要求。
腹腔注射LPS制作小鼠内毒素血症肝损伤模型,制模条件参照李江等[8]实验方法。动物随机(随机数字法)分组:对照组(Control组),LPS组(LPS分别处理1、2、4、8、24、48 h后处死组),LPS+MP组(LPS处理1 h后腹腔注射MP组),每组6只。LPS组按腹腔注射LPS(10 mg/kg)后1、2、4、8、24、48 h经戊巴比妥麻醉后处死并收取血清及肝组织;LPS+MP组按照LPS(10 mg/kg)处理1h后腹腔注射MP[20 mg/(kg·d)],48 h经戊巴比妥麻醉后处死并收取血清及肝组织;健康对照组采用生理盐水处理;实验流程图见图 1。血清存放于-80℃冰箱,病理组织样本浸泡于4%多聚甲醛,肝组织经液氮瞬时冷冻后转移至-80℃冰箱,备用。
|
| 图 1 C57BL/6小鼠实验设计 Figure 1 Experimental design for C57BL/6 mice |
|
|
LPS(Ecoli.O111:B4):美国Sigma公司;TRIzol RNA提取液:美国Life Technologies公司(Lot:139505);反转录试剂盒(Lot:RR036A)、实时荧光定量PCR试剂盒(Lot:AK8406):日本TaKaRa公司;一抗anti-GAPDH (Lot:5174S)、anti-LC3 Ⅱ/Ⅰ(Lot:12741S)、anti-P62(Lot:5114S):美国Cell Signaling Technology;二抗山羊抗兔IgG(H+L)购于莱兹生物(Lot:293982)。
1.3 实验仪器分光光度计(Nanodrop ND2000C):美国Thermo公司;Light Cycler96实时荧光定量PCR仪:瑞士Roche公司;全生化分析检测仪器为日本Hitachi 7180。
1.4 血液生化指标检测取全血后,低速离心机3 500 r/min离心8 min分离取上层清液获得血清,采用全生化分析仪检测小鼠血清谷丙转氨酶(alanine aminotransferase, ALT)、谷草转氨酶(aspartate aminotransferase, AST)总胆红素(total bilirubin, TBIL)和总胆汁酸(total bile acids, TBA)水平。
1.5 实时荧光定量聚合酶链反应(RT-qPCR)采用RT-PCR法检测肝组织内TNF-α、IL-6、IL-1β mRNA水平,GAPDH作为内参。Trizol法提取总RNA,反转录获得cDNA,采用20 μL体系进行实时荧光定量PCR,反应条件: 95℃预变性15 min,95 ℃变性反应10 s,60℃退火15 s,72℃延伸15 s,共45个循环。通过值2-△△ct计算目的基因相对表达量。引物序列由上海生物工程有限公司合成,碱基序列见表 1。
| 转运体 | 引物序列 |
| GAPDH Fnord | GGTTGTCTCCTGCGACTTCA |
| GAPDH R | GGTCCAGGGTTTCTTACTCC |
| IL-6 F | GATACCACTCCCAACAGAC |
| IL-6 R | CTTTTCTCATTTCCACGAT |
| TNF-α F | CCCCAGTCTGTATCCTTCTAA |
| TNF-α R | CCCAGCATCTTGTGTTTCT |
| IL-1β F | CTGGTGTGTGACGTTCCCATTA |
| IL-1β R | CCGACAGCACGAGGCTTT |
20 μg肝组织蛋白经蛋白电泳分离后湿转法转膜,5 %脱脂牛奶封闭2 h,而后加入一抗anti-GAPDH、anti-LC3 Ⅱ/Ⅰ、anti-P62置于4 ℃摇床过夜孵育;洗涤后加入二抗,室温摇床孵育1 h;洗涤后显影液显色、曝光;实验结果用Image J图像处理软件分析。
1.7 肝组织切片病理分析小鼠完全麻醉后颈椎脱臼法处死,解剖腹腔,取下肝脏左中叶组织,经4 %多聚甲醛固定,常规石蜡包埋、组织切片;酒精脱蜡、二甲苯透明等处理后,HE染色,并在光学显微镜下观察肝脏组织病理变化。
1.8 统计学方法采用SPSS V23.0 (SPSS Inc., Chicago, IL)进行数据分析,正态分布的计量资料以均数±标准差(x±s)表示,多组比较采用单因素方差分析,均数间两两比较采用LSD-t检验;若组间方差不齐,则采用近似F检验Welch法。以P < 0.05为差异有统计学意义。
2 结果 2.1 小鼠活力变化对比观察各组小鼠活力状况:腹腔注射10 mg/kg LPS后,小鼠逐渐出现精神萎靡,活动减少,蜷缩冷战,疼痛刺激无反应或反应迟钝。与LPS组小鼠相比,LPS+MP组的小鼠精神情况相对较好,活动量稍多;虽蜷缩冷战,但能对疼痛刺激做出反应,反应稍迟缓。
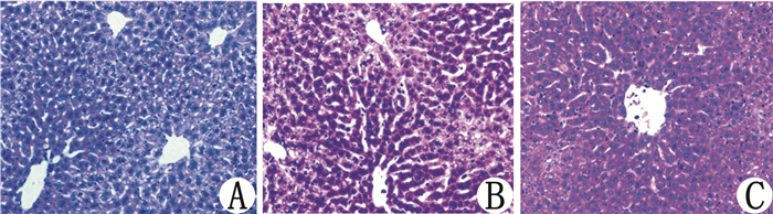
2.2 肝组织切片病理学变化在200×光镜下对比观察各组小鼠肝组织切片HE染色后的病理学变化。与对照组小鼠肝组织相比,LPS处理48 h的小鼠肝组织结构疏松,门管区炎性细胞浸润,胆小管增生,肝细胞空泡样变、嗜酸样变,局部出现点状坏死;与LPS组小鼠肝组织切片相比,LPS+MP组肝小叶结构相对完整,肝细胞空泡样变、嗜酸样变较LPS组小鼠明显减轻。健康对照组肝小叶结构完整,无肝细胞变性坏死(图 2)。
|
| A:Control组(健康对照组);B:LPS组(10 mg/kg LPS 48h处理组);C:LPS+MP组(20 mg/kg MP干预48 h组) 图 2 光镜下小鼠肝组织病理变化(HE×200) Figure 2 Histological changes of liver tissues(HE × 200) |
|
|
随着LPS处理时间的延长,小鼠血清ALT、AST、TBIL和TBA水平整体呈上升趋势(表 2)。腹腔注射LPS刺激48 h后,LPS组血清ALT、AST、TBIL和TBA水平(104.50±29.34 U/L,252.67±94.37 U/L,0.52±0.12 μmol/L,10.33±2.34 μmol/L)显著高于健康对照组(30.83±20.31 U/L, 126.60±29.48 U/L, 0.19±0.14 μmol/L, 1.50±0.55 μmol/L); LPS+MP组小鼠血清ALT、AST、TBIL和TBA水平(63.40±11.55 U/L,192.33±34.73 U/L,0.37±0.08 μmol/L,4.67±2.58 μmol/L)与正常组相比,差异有统计学意义(F=16.578,P < 0.01;F=5.620,P=0.016; F=11.120, P=0.002;F=28.995,P < 0.01);但与LPS组相比,LPS+MP组小鼠血清中只有ALT、TBIL、TBA水平显著降低(P=0.009; P=0.032; P < 0.01)(图 3)。
| 指标 | 0 h | 2 h | 4 h | 8 h | 24 h |
| TBIL | 0.68±0.08 | 0.76±0.39 | 0.89±0.27 | 0.77±0.17 | 0.83±0.20 |
| TBA | 8.67±0.33 | 8.67±0.88 | 7.8±0.49 | 11.11±1.86 | 15.25±1.80* |
| ALT | 31.11±4.73 | 69.58±27.46a | 67.65±3.58a | 68.94±5.10a | 116.08±15.47a |
| AST | 165.66±39.15 | 334.13±42.60a | 415.48±60.96a | 507.36±89.23a | 588.60±113.53a |
| 注:与0 h比较,数据以均数±标准差(x±s) | |||||
|
| 对照组、LPS组、MP干预组三组间血清ALT、AST、TBIL、TBA浓度比较,a表示与Control组(生理盐水组)比较P < 0.05;b表示与LPS组比较P < 0.05 图 3 小鼠血清肝功能相关指标变化(48 h) Figure 3 The changes of serum index of liver function |
|
|
LPS处理小鼠48 h,其肝组织内TNF-α、IL-6、IL-1β mRNA相对表达量(10.09±4.73,1.06±0.68, 1.22±0.50)显著高于正常对照小鼠(0.24±0.05,0.01±0.01,0.04±0.03);而LPS+MP组TNF-α、IL-6、IL-1β mRNA相对表达量(4.18±0.81, 0.31±0.14, 0.17±0.05)显著低于LPS 48 h组表达量,差异有统计学意义(F=21.495,P=0.002;F=10.948,P=0.008; F=17.694, P=0.001)(图 4)。
|
| 对照组、LPS组、LPS+MP组三组间肝组织炎症因子mRNA表达变化,a表示与Control组(生理盐水组)比较P < 0.05;b表示与LPS组比较P < 0.05 图 4 小鼠肝组织TNF-α、IL-6、IL-1β mRNA表达变化(48 h) Figure 4 The mRNA levels of TNF-α, IL-6, IL-1β in livers of mice |
|
|
与健康对照组比较,LPS条件下(2 h内)肝细胞自噬标志蛋白LC3 Ⅱ/Ⅰ表达上调自噬水平呈现短暂升高,2 h后呈现降低趋势,24 h时自噬标志蛋白LC3 Ⅱ/Ⅰ水平明显降低;LPS处理24h时,P62表达水平明显降低(图 5 A、B)。与LPS组小鼠相比,LPS+MP组小鼠肝组织内LC3 Ⅱ/Ⅰ、P62表达明显上调(图 5 B)。
|
| 图A对照组(C), LPS(10 mg/kg)腹腔注射1、2、4、8、24 h,肝组织中自噬蛋白P62和Ⅱ/Ⅰ的表达变化;图B LPS处理48 h,MP干预48 h时,肝组织自噬蛋白P62和LC3 Ⅱ/Ⅰ的表达变化 图 5 肝组织自噬蛋白LC3 Ⅱ/Ⅰ、P62变化 Figure 5 The expressionof autophagosomal protein LC3 Ⅱ/Ⅰ and P62 in liver |
|
|
本研究结果证实MP能有效改善LPS诱导的小鼠肝损伤,表现为血清ALT、TBIL、TBA水平显著改善,炎症因子TNF-α、IL-6、IL-1β表达水平显著降低;进一步研究发现,MP能增加自噬标志蛋白LC3 Ⅱ/Ⅰ表达,提示MP可能通过激活肝细胞自噬发挥肝保护作用,改善LPS诱导的肝损伤程度。
LPS一方面直接损伤肝细胞诱导其凋亡,另一方面激活库普弗细胞分泌大量促炎因子(TNF-α、IL-1β等)间接导致肝细胞坏死[9-10]。腹腔注射LPS诱导内毒素血症,是模拟临床脓毒症的常用模型[11-13];但LPS的适用剂量与动物类型、品种和年龄等密切相关。Ning等[14]研究发现4 mg/kg LPS造模可导致12周和22周龄C57BL/6小鼠肝脏、肺脏、肾脏等多脏器损伤。本课题组前期研究发现:给予8周龄雄性C57BL/6小鼠腹腔注射不同剂量LPS诱导肝损伤模型,在保证动物模型的存活率及肝损伤模型成功的前提下,确定10 mg/kg为最适剂量[8]。多个研究均证实10mg/kg LPS适用于小鼠脓毒症相关肝损伤的模型制备[15-16]。本研究采用腹腔注射10 mg/kg LPS制作肝损伤模型,处理48 h发现LPS组肝脏组织疏松、充血及炎性细胞浸润,血清ALT、AST水平明显升高,提示制备脓毒症肝损伤模型成功。
糖皮质激素能有效抑制宿主免疫防御反应,是临床抑制脓毒症炎症因子风暴的常用药物[17-18]。在动物模型中,通过肝门静脉注射MP [50 mg/(kg·d)]能显著降低血清ALT、AST及炎症因子水平,减轻LPS导致的急性肝功能衰竭,有效改善大鼠的生存率[19]。此外,Xiao等[20]通过皮下接种微型渗透泵,连续7 d给药MP[20 mg/(kg·d)]能促进肝损伤修复。以上研究结果提示[20 mg/(kg·d)]或以上剂量的MP能有效改善LPS诱导的大鼠肝损伤。小鼠LPS肝损伤模型中,MP的给药剂量、给药方式不同对肝保护作用的影响尚无报道,其机制尚需深入研究。本研究采用腹腔注射[20 mg/(kg·d)]MP干预LPS诱导的肝损伤小鼠模型,结果证实:腹腔注射[20 mg/(kg·d)]MP能有效改善LPS诱导的肝损伤和肝细胞凋亡,起到肝保护作用。
肝损伤的自我保护机制具有时间依赖性。LPS处理6 h内肝脏自我保护能力增强,24 h后呈减弱趋势[21-23]。自噬激活在脓毒症导致的多器官功能衰竭中起自我保护作用,包括肝脏、肾脏、肺脏、心脏等[24-29]。Chen等[22]研究发现脓毒症早期肝细胞内自噬激活,而后期自噬减弱可能是肝衰竭发生的重要因素。P62与LC3 Ⅰ/Ⅱ是重要的自噬调节蛋白,P62通过LIR区域(LC3-interacting region)与Atg8/LC3结合来调节自噬[30]。LPS处理小鼠促进肝细胞内LC3 Ⅰ向LC3 Ⅱ转变以及P62蛋白的积累[23]。本研究发现:LPS诱导自噬激活作用在2h内到高峰,之后逐渐减弱;提示LPS刺激条件下,早期自噬激活可能是肝细胞的自我保护反应;而后自噬处于抑制状态,可能是肝损伤恶化的关键因素之一。MP干预后肝脏的自噬活性显著被激活,自噬蛋白LC3 Ⅱ和P62的表达明显增加,提示MP能有效激活LPS处理后期对肝细胞自噬的抑制作用进而发挥肝保护作用。Xue等[31]研究发现糖皮质激素激活自噬依赖于哺乳动物雷帕霉素靶蛋白(mammalian target of rapamycin, mTOR)途径;而本研究中MP激活自噬发挥肝保护是否与mTOR途径有关,尚需深入研究。此外,Shi等[32]研究发现激活自噬能抑制IL-1β表达,抑制NALP3炎性体,进而调节IL-18和IL-1β的表达[33];依赖P62蛋白的选择性自噬可清除受损线粒体,终止炎性体活化及降低TNF-α、IL-18和IL-1β的表达[34];提示自噬可能通过调控炎症反应发挥保护作用。本研究中,LPS+MP组自噬蛋白P62较LPS组增加,小鼠肝脏TNF-α、IL-1β、IL-6等炎症因子的表达水平显著低于单纯LPS组,提示MP能有效降低LPS导致的高炎症因子水平,可能和自噬激活相关。
| [1] | Marshall JC. New Translational research provides insights into liver dysfunction in sepsis[J]. Plos Med, 2012, 9(11): e1001341. DOI:10.1371/journal.pmed.1001341 |
| [2] | Strnad P, Tacke F, Koch A, et al. Liver -guardian, modifier and target of sepsis[J]. Nat Rev Gastroenterol Hepatol, 2016, 14(1): 55. DOI:10.1038/nrgastro.2016.168 |
| [3] | Yan J, Li S, Li S. The role of the liver in sepsis[J]. Int Rev Immunol, 2014, 33(6): 498-510. DOI:10.3109/08830185.2014.889129 |
| [4] | Wang J, Wang R, Wang H, et al. Glucocorticoids suppress antimicrobial autophagy and nitric oxide production and facilitate mycobacterial survival in macrophages[J]. Sci Rep, 2017, 7(1): 982. DOI:10.1038/s41598-017-01174-9 |
| [5] | Xia X, Kar R, Gluhak-Heinrich J, et al. Glucocorticoid-induced autophagy in osteocytes[J]. J Bone Miner Res, 2010, 25(11): 2479-2488. DOI:10.1002/jbmr.160 |
| [6] | Watanabe E, Muenzer JT, Hawkins WG, et al. Sepsis induces extensive autophagic vacuolization in hepatocytes: a clinical and laboratory-based study[J]. Lab Invest, 2009, 89(5): 549-561. DOI:10.1038/Labinvest.2009.8 |
| [7] | Amir M, Zhao E, Fontana L, et al. Inhibition of hepatocyte autophagy increases tumor necrosis factor-dependent liver injury by promoting caspase-8 activation[J]. Cell Death Differ, 2013, 20(7): 878-887. DOI:10.1038/cdd.2013.21 |
| [8] | 李江, 崔云, 张育才, 等. 内毒素对小鼠胆汁酸转运体Ntcp mRNA和Bsep mRNA表达及肝功能的影响[J]. 中华急诊医学杂志, 2017, 26(7): 767-772. DOI:10.3760/cma.j.issn.1671-0282.2017.07.010 |
| [9] | 马晓春. 应提高对脓毒症肝损伤的认识[J]. 中华危重病急救医学, 2013, 25(4): 198-200. DOI:10.3760/cma.j.issn.2095-4352.2013.04.003 |
| [10] | Lescot Mdpdt, Karvellas mdfrcpcc, Beaussier mdpdm, et al. Acquired liver injury in the intensive care unit[J]. Anesthesiology, 2012, 117(4): 898-904. DOI:10.1097/ALN.0b013e318266c6df |
| [11] | Starr ME, Steele AM, Cohen DA, et al. Short-term dietary restriction rescues mice from lethal abdominal sepsis and endotoxemia and reduces the inflammatory/coagulant potential of adipose tissue[J]. Crit care med, 2016, 44(7): e509-519. DOI:10.1097/CCM.0000000000001475 |
| [12] | Chee ME, Majumder K, Mine Y. Intervention of dietary dipeptide gamma-l-glutamyl-l-valine (gamma-EV) Ameliorates inflammatory response in a mouse model of LPS-induced sepsis[J]. J Agric Food Chem, 2017, 65(29): 5953-5960. DOI:10.1021/acs.jafc.7b02109 |
| [13] | Takehara K, Murakami T, Kuwahara-Arai K, et al. Evaluation of the effect of recombinant thrombomodulin on a lipopolysaccharide-induced murine sepsis model[J]. Exp Ther Med, 2017, 13(6): 2969-2974. DOI:10.3892/etm.2017.4308 |
| [14] | Ning Y, Kim JK, Min HK, et al. Cholesterol metabolites alleviate injured liver function and decrease mortality in an LPS-induced mouse model[J]. Metabolism, 2017, 71: 83-93. DOI:10.1016/j.metabol.2016.12.007 |
| [15] | Ye HY, Jin J, Jin LW, et al. Chlorogenic acid attenuates lipopolysaccharide-induced acute kidney injury by inhibiting TLR4/NF-kappaB Signal pathway[J]. Inflammation, 2017, 40(2): 523-529. DOI:10.1007/s10753-016-0498-9 |
| [16] | Dai YW, Zhang CC, Zhao HX, et al. Chikusetsusaponin V attenuates lipopolysaccharide-induced liver injury in mice[J]. Immunopharmacol Immunotoxicol, 2016, 38(3): 167-174. DOI:10.3109/08923973.2016.1153109 |
| [17] | Dellinger RP, Levy MM, Rhodes A, et al. Surviving Sepsis Campaign: international guidelines for management of severe sepsis and septic shock, 2012[J]. Intensive Care Med, 2013, 39(2): 165-228. DOI:10.1007/s00134-012-2769-8 |
| [18] | Annane D, Bellissant E, Bollaert PE, et al. Corticosteroids for treating sepsis[J]. Cochrane Database Syst Rev, 2015(12): Cd002243. DOI:10.1002/14651858.CD002243.pub3 |
| [19] | Higuchi N, Kato M, Kotoh K, et al. Methylprednisolone injection via the portal vein suppresses inflammation in acute liver failure induced in rats by lipopolysaccharide and d-galactosamine[J]. Liver Int, 2007, 27(10): 1342-1348. DOI:10.1111/j.1478-3231.2007.01590.x |
| [20] | Xiao Y, Yan W, Zhou K, et al. Glucocorticoid treatment alters systemic bile acid homeostasis by regulating the biosynthesis and transport of bile salts[J]. Dig Liver Dis, 2016, 48(7): 771-779. DOI:10.1016/j.dld.2016.03.022 |
| [21] | Zhang DL, Zhang SW, Cheng QH, et al. Effects of peritoneal macrophage autophagy on the immune function of sepsis mice[J]. Am J Clin Exp Immunol, 2017, 6(4): 52-59. |
| [22] | Chien WS, Chen YH, Chiang PC, et al. Suppression of autophagy in rat liver at late stage of polymicrobial sepsis[J]. Shock, 2011, 35(5): 506-511. DOI:10.1097/SHK.0b013e31820b2f05 |
| [23] | Chung KW, Kim KM, Choi YJ, et al. The critical role played by endotoxin-induced liver autophagy in the maintenance of lipid metabolism during sepsis[J]. Autophagy, 2017, 13(7): 1113-1129. DOI:10.1080/15548627.2017.1319040 |
| [24] | Gunst J. Recovery from critical illness-induced organ failure: the role of autophagy[J]. Crit Care, 2017, 21(1): 209. DOI:10.1186/s13054-017-1786-y |
| [25] | Liu S, Hartleben B, Kretz O, et al. Autophagy plays a critical role in kidney tubule maintenance, aging and ischemia-reperfusion injury[J]. Autophagy, 2012, 8(5): 826-837. DOI:10.4161/auto.19419 |
| [26] | Lalazar G, Ilyas G, Malik SA, et al. Autophagy confers resistance to lipopolysaccharide-induced mouse hepatocyte injury[J]. Am J Physiol Gastrointest Liver Physiol, 2016, 311(3): G377-386. DOI:10.1152/ajpgi.00124.2016 |
| [27] | Mei S, Livingston M, Hao J, et al. Autophagy is activated to protect against endotoxic acute kidney injury[J]. Sci Rep, 2016, 6(2): 22171. DOI:10.1038/srep22171 |
| [28] | Lo S, Yuan SS, Hsu C, et al. Lc3 over-expression improves survival and attenuates lung injury through increasing autophagosomal clearance in septic mice[J]. Ann Surg, 2013, 257(2): 352-363. DOI:10.1097/SLA.0b013e318269d0e2 |
| [29] | Hsieh CH, Pai PY, Hsueh HW, et al. Complete induction of autophagy is essential for cardioprotection in sepsis[J]. Ann Surg, 2011, 253(6): 1190-1200. DOI:10.1097/SLA.0b013e318214b67e |
| [30] | Moscat J, Karin M, Diaz-Meco M. p62 in Cancer: Signaling Adaptor Beyond Autophagy[J]. Cell, 2016, 167(3): 606. DOI:10.1016/j.cell.2016.09.030 |
| [31] | Xue E, Zhang Y, Song B, et al. Effect of autophagy induced by dexamethasone on senescence in chondrocytes[J]. Mol Med Rep, 2016, 14(4): 3037-3044. DOI:10.3892/mmr.2016.5662 |
| [32] | Shi CS, Shenderov K, Huang NN, et al. Activation of autophagy by inflammatory signals limits IL-1beta production by targeting ubiquitinated inflammasomes for destruction[J]. Nat Immunol, 2012, 13(3): 255-263. DOI:10.1038/ni.2215 |
| [33] | Nakahira K, Haspel JA, Rathinam VA, et al. Autophagy proteins regulate innate immune responses by inhibiting the release of mitochondrial DNA mediated by the NALP3 inflammasome[J]. Nat Immunol, 2011, 12(3): 222-230. DOI:10.1038/ni.1980 |
| [34] | Zhong Z, Umemura A, Sanchezlopez E, et al. NF-κB Restricts inflammasome activation via elimination of damaged mitochondria[J]. Cell, 2016, 164(5): 896. DOI:10.1016/j.cell.2015.12.057 |
2017, Vol. 26



