在内毒素休克发生发展的过程中,肺脏是最容易受到损伤的器官之一。研究表明,氧化应激可能是脓毒症多器官功能障碍的重要原因之一,而线粒体动力学变化与氧化应激密切相关[1-2]。Fis1是重要的线粒体分裂蛋白分子, 位于线粒体外膜。正常细胞内线粒体以膜网络管状结构存在来维持能量平衡;当细胞受损时,Fisl表达升高,通过促进线粒体裂解诱导细胞凋亡,而Fis1缺失突变的细胞中线粒体分裂受到抑制,说明Fis1是调节线粒体分裂的重要分子[3]。血红素加氧酶1(heme oxygnase-1, HO-1) 是血红素代谢的限速酶,催化血红素降解, 最终形成等摩尔的胆绿素、一氧化碳 (carbon monoxide, CO) 和游离铁。HO-1/CO组成了机体质量要的内源性保护系统,参与多种疾病及病理过程,通过抗氧化、抗炎、抗细胞凋亡等多重机制发挥组织器官保护作用[4-5]。本课题组前期研究结果表明,HO-1与线粒体动力学变化密切相关,但具体机制尚不明确[6]。研究表明,一氧化碳可上调p38MAPK的表达,HO-1可通过CO反向作用于p38MAPK信号通路[7-8]。研究证实,p38MAPK在参与急性肺损伤的炎症反应和细胞凋亡等机制中发挥了重要的作用[9-10],成为各领域研究的热点。本研究拟探讨CORM-2通过p38分裂原激活蛋白激酶 (p38MAPK) 信号通路对脂多糖 (LPS) 刺激大鼠肺巨噬细胞中线粒体分裂蛋白Fis1的影响, 为阐明p38MAPK信号通路抑制线粒体分裂的机制提供理论依据。
1 材料与方法 1.1 主要试剂肺泡巨噬细胞NR8383(ATCC公司,美国);F12K培养基、胎牛血清 (Gibco公司,美国);青霉素和链霉素 (南京凯基生物公司,中国);LPS、胰蛋白酶、CORM-2、DMSO、SB203580 (sigma公司,美国)。
1.2 细胞培养用含有10%胎牛血清、1%青链双抗的F12k培养基,在37 ℃、5% CO2细胞培养孵箱内培养大鼠肺泡巨噬细胞。待细胞融合成单层后,用0.25%胰蛋白酶将贴壁细胞消化以1: 4比例传代培养。
1.3 主要方法 1.3.1 分组及处理将密度2×105个/ml的传代细胞接种于96孔培养板,200 μL/孔,达到80%融合后将细胞分为正常对照组 (C组)、LPS组 (L组)、CO释放剂CORM-2+LPS组 (LC组)、p38MAPK抑制剂SB203580+CORM-2+LPS组 (LCS组)。L组加入10 μg/mL LPS;LC组先加入100 μmol CORM-2,30 min后加入10 μg/ml LPS;LCS组加入10 μmol SB203580,1 h后加入100 μmol CORM-2, 30 min后加入10 μg/mL LPS。
1.3.2 氧化应激测定细胞孵育24 h时收集细胞上清液,3 000 r/min,离心10 min。采用硫代巴比妥酸法测定血清MDA含量,采用黄嘌呤氧化酶法测定SOD活性,严格按照试剂盒 (南京建成生物有限公司) 说明书进行操作。
1.3.3 RT-PCR采用RT-PCR法检测Fis1、HO-1 mRNA表达。Trizol法提取细胞总RNA, 按逆转录试剂盒 (TaKaRa code DRRO47A) 说明书进行逆转录。β-actin上游引物5’-GCCTCAGATCGTCGTAGTGG-3’,下游引物5’-TGCTTCAACTCCATTTTCTTCTCC-3’,长度187 bp;Fis-1上游引物5’-TACCCCGAGGCTGTCCTAAG-3’,下游引物5’-CAGGACATTAGGCCCAGAGC-3’,长度147 bp;HO-1上游引物5’-GAATCGAGCAGAACCAGCCT-3’,下游引物5’-CTCAGCATTCTCGGCTTGGA-3’,长度135 bp;采用20 μL体系进行PCR反应,反应条件:95℃预变性15 min,95℃变性10 s,59℃退火延伸30 s,共40个循环。用ABI 7500型荧光定量PCR仪,采用2-△△CT值反映目的基因的相对表达量。
1.3.4 Western blot细胞孵育24 h时,取细胞裂解液,采用Western blot法测定HO-1、Fis1和p38的表达。蛋白电泳分离后,半干法转膜并封闭2 h;洗膜后分别加入稀释度为1: 1 000的HO-1、Fis1和p38的兔抗大鼠单克隆抗体 (sigma公司,美国) 和β-actin,摇匀2 h,4 ℃下孵育过夜;洗涤后加入稀释度1: 10 000的山羊抗兔二抗 (sigma公司,美国),室温摇床杂交1.5 h;采用凝胶成像系统进行分析,以目的蛋白光密度值与β-actin吸光度值的比值反映p38MAPK蛋白的表达。
1.4 统计学方法采用SPSS 17.0统计学软件进行分析,计量资料以均数±标准差 (x ±s) 表示,组间比较采用单因素方差分析,以P < 0.05为差异具有统计学意义。
2 结果 2.1 氧化应激测定结果与C组比较,L组MDA含量上调 (t=-2.707, P=0.014),SOD活力降低 (t=4.112, P=0.001),差异具有统计学意义;与L组比较,LC组MDA含量下调 (t=-2.361, P=0.030),SOD活力升高 (t=2.390, P=0.029),差异具有统计学意义;与LC组比较,LCS组MDA含量上调 (t=-3.073, P=0.007),SOD活力降低 (t=3.588, P=0.003), 差异具有统计学意义,见表 1。
| 指标 | C组 | L组 | LC组 | LCS组 |
| MDA | 2.43±0.12 | 3.59±0.07a | 3.08±0.52b | 4.16±0.19ac |
| SOD | 81.7±1.62 | 54.7±1.62a | 67.4±1.32b | 45.9±1.52ac |
| 注:与C组比较, aP < 0.05;与L组比较,bP < 0.05;与LC组比较,cP < 0.05 | ||||
与C组比较,L组Fis1(t=-3.578, P=0.005) 和HO-1(t=-3.607, P=0.002) 表达上调, 差异具有统计学意义;与L组比较,LC组Fis1表达下调 (t=-3.917, P=0.001),HO-1表达上调 (t=2.186, P=0.0042), 差异具有统计学意义;与LC组比较,LCS组Fis1表达上调 (t=-2.255, P=0.037),HO-1表达下调 (t=2.122, P=0.048),差异具有统计学意义,见表 2。
| 指标 | C组 | L组 | LC组 | LCS组 |
| Fis1 | 1.27±0.23 | 2.01±0.35a | 1.48±0.39ab | 1.96±0.31ac |
| HO-1 P38 | 1.31±0.27 1.01±0.24 | 1.65±0.41a 1.36±0.17a | 2.25±0.18 1.78±0.23ab | 1.78±0.19ac 1.12±0.29ac |
| 注:与C组比较, aP < 0.05;与L组比较,bP < 0.05;与LC组比较,cP < 0.05 | ||||
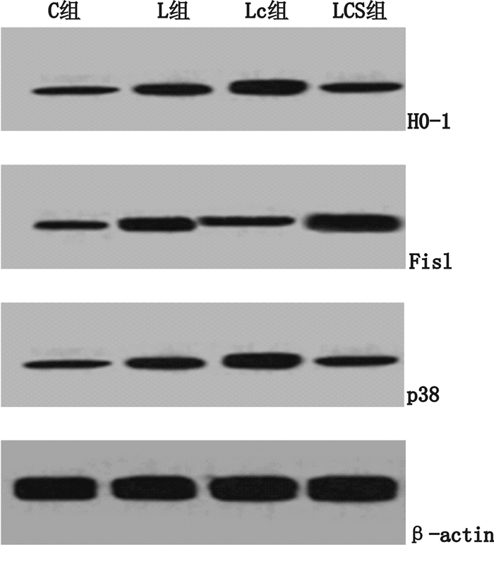
与C组比较,L组Fis1、HO-1和p38(t=-3.489, P=0.003) 表达上调;与L组比较,LC组HO-1和p38(t=-2.952, P=0.011) 表达上调,Fis1表达下调;与LC组比较,LCS组HO-1和p38(t=2.804, P=0.015) 表达下调,Fis1表达上调,差异具有统计学意义,见图 1, 表 2。
|
| 图 1 p38、HO-1 and Fis1表达的比较 Figure 1 The expression of p38 |
|
|
SOD与MDA作为氧化应激指标,可间接反映细胞损伤情况[10]。本研究表明,与对照组比较,内毒素性急性肺损伤组肺巨噬细胞氧自由基增多,抗氧化能力降低,提示成功制备了肺巨噬细胞内毒素性急性肺损伤模型。本研究分别参照文献[11-12]选择CORM-2和p38MAPK抑制剂SB203580的给药剂量。HO-1催化血红素降解形成CO,此为内源性CO最主要来源。研究发现, HO-1/CO组成机体质量要的内源性保护系统,参与体内多种生理和病理过程[13]。外源性CO的应用来源主要是CO气体和一氧化碳释放分子。CORM-2是过渡金属化合物钌的羰基化合物二聚体分子,能够缓慢释放CO, 是一种安全的外源性CO给予方式[14]。因此CORM-2广泛用于模拟内源性CO对机体组织应激损伤作用机制等的研究[15-16]。
p38MAPK家族是丝氨酸-苏氨酸激酶,属于应激激活激酶,在巨噬细胞中,p38MAPK激活参与抗炎及抗氧化作用。本研究结果表明,肺巨噬细胞孵育24 h时,给予CORM-2的肺巨噬细胞p38MAPK信号通路被激活致HO-1表达水平上调;而给予SB203580的肺巨噬细胞,p38MAPK信号通路受抑制致HO-1表达水平下调,表明p38MAPK信号通路介导了LPS攻击肺巨噬细胞诱发肺损伤时HO-1的表达上调。
哺乳动物体内线粒体分裂相关蛋白Fis1大量表达时,可增加线粒体分裂,从而导致细胞凋亡[3]。本实验结果表明,给予CORM-2的肺巨噬细胞通过激活p38MAPK信号通路致Fis1表达下调;而给予p38MAPK抑制剂SB203580的肺巨噬细胞,p38MAPK信号通路受抑制致Fis1表达上调,表明p38MAPK信号通路抑制LPS刺激肺巨噬细胞中线粒体分裂蛋白Fis1的表达。
| [1] | Preau S, Delguste F, Yu Y, et al. Endotoxemia engages the rhoA kinase pathway to impair cardiac function by altering cytoskeleton, mitochondrial fission, and autophagy[J]. Antioxid Redox Signal, 2016, 24(10): 529-542. DOI:10.1089/ars.2015.6421 |
| [2] | 张剑, 卢中秋, 张宁, 等. 辣椒素对内毒素血症小鼠肝脏氧化应激损伤的干预作用[J]. 中华急诊医学杂志, 2015, 24(7): 760-763. DOI:10.3760/cma.j.issn.1671-0282.2015.07.015 |
| [3] | Zhang Z, Liu L, Wu S, et al. Drp1, Mff, Fis1, and MiD51 are coordinated to mediate mitochondrial fission during UV irradiation-induced apoptosis[J]. FASEB J, 2016, 30(1): 466-476. DOI:10.1096/fj.15-274258 |
| [4] | Yu JB, Yao SL. Effect of heme oxygenase-endogenous carbon monoxide on mortality during septic shock in rats[J]. Ir J Med Sci, 2009, 178(4): 491-496. DOI:10.1007/s11845-008-0260-x |
| [5] | Yu J B, Shi J, Zhang Y, et al. Electroacupuncture ameliorates acute renal injury in lipopolysaccharide-stimulated rabbits via induction of HO-1 through the PI3K/Akt/Nrf2 pathways[J]. PLoS One, 2015, 10(11): e141622. DOI:10.1371/journal.pone.0141622 |
| [6] | 王颖, 王丹, 余剑波, 等. 线粒体融合-分裂在大鼠内毒素性急性肺损伤中的作用[J]. 中华麻醉学杂志, 2015, 35(5): 604-607. DOI:10.3760/cma.j.issn.0254.1416.2015.05.023 |
| [7] | Sethi JM, Otterbein LE, Choi AM. Differential modulation by exogenous carbon monoxide of TNF-alpha stimulated mitogen-activated protein kinases in rat pulmonary artery endothelial cells[J]. Antioxid Redox Signal, 2002, 4(2): 241-248. DOI:10.1089/152308602753666299 |
| [8] | 武丽娜, 余剑波, 刘大全, 等. P38MAPK信号通路在内毒素性休克诱发急性肺损伤大鼠肺组织HO-1表达上调中的作用[J]. 中华麻醉学杂志, 2012, 32(6): 727-731. DOI:10.3760/cma.j.issn.0254-1416.2012.06.023 |
| [9] | Bai X, Fan L, He T, et al. SIRT1 protects rat lung tissue against severe burn-induced remote ALI by attenuating the apoptosis of PMVECs via p38 MAPK signaling[J]. Sci Rep, 2015, 5: 10277. DOI:10.1038/srep10277 |
| [10] | 樊斌, 石乔, 刘黎明, 等. 氢饱和生理盐水对重症急性胰腺炎大鼠肺损伤的保护作用及对P38MAPK和NF-κB表达的影响[J]. 中华急诊医学杂志, 2015, 24(09): 964-968. DOI:10.3760/cma.j.issn.1671-0282.2015.09.010 |
| [11] | Hualin C, Wenli X, Dapeng L, et al. The anti-inflammatory mechanism of heme oxygenase-1 induced by hemin in primary rat alveolar macrophages[J]. Inflammation, 2012, 35(3): 1087-1093. DOI:10.1007/s10753-011-9415-4 |
| [12] | Qin S, Du R, Yin S, et al. Nrf2 is essential for the anti-inflammatory effect of carbon monoxide in LPS-induced inflammation[J]. Inflamm Res, 2015, 64(7): 537-548. DOI:10.1007/s00011-015-0834-9 |
| [13] | Yu JB, Shi J, Gong LR, et al. Role of Nrf2/ARE pathway in protective effect of electroacupuncture against endotoxic shock-induced acute lung injury in rabbits[J]. PLoS One, 2014, 9(8): e104924. DOI:10.1371/journal.pone.0104924 |
| [14] | Chien PT, Lin CC, Hsiao LD, et al. Induction of HO-1 by carbon monoxide releasing molecule-2 attenuates thrombin-induced COX-2 expression and hypertrophy in primary human cardiomyocytes[J]. Toxicol Appl Pharmacol, 2015, 289(2): 349-359. DOI:10.1016/j.taap.2015.09.009 |
| [15] | Magierowska K, Magierowski M, Hubalewska-Mazgaj M, et al. Carbon monoxide (CO) released from tricarbonyldichlororuthenium (Ⅱ) dimer (CORM-2) in gastroprotection against experimental ethanol-induced gastric damage[J]. PLoS One, 2015, 10(10): e140493. DOI:10.1371/journal.pone.0140493 |
| [16] | Li Y, Gao C, Shi Y, et al. Carbon monoxide alleviates ethanol-induced oxidative damage and inflammatory stress through activating p38 MAPK pathway[J]. Toxicol Appl Pharmacol, 2013, 273(1): 53-58. DOI:10.1016/j.taap.2013.08.019 |
2017, Vol. 26



