中国拥有世界上面积最大的高原国土,在此生活着数量众多的高原常驻人口和移居人口,随时面临急慢性高原病的威胁。高原肺水肿 (high altitude pulmonary edema, HAPE) 是急性高原病中较为重要的组成部分,因其具有较高的发病率和病死率[1],一直是国内外学者研究的热点。目前认为炎症反应和氧化应激在HAPE的发病过程中扮演了重要角色[2-3]。
罗格列酮是一种过氧化物酶体增殖物激活受体γ(peroxisome proliferator activatedreceptor, PPAR-γ) 激动剂,主要用于Ⅱ型糖尿病的治疗。近年研究发现它在急性肺损伤[4]、重症胰腺炎[5]、腹膜炎[6]、蛛网膜下腔出血[7]等疾病中有良好的抗炎效果,此外,它还能通过抑制活性氧 (reactive oxygen species,ROS) 的产生来调节氧化应激[8]。目前,罗格列酮在高原病方面的研究甚少,其是否对HAPE有保护作用尚不明确。本研究通过建立HAPE大鼠模型,观察罗格列酮对HAPE的保护作用并初步探讨其可能的作用机制。
1 材料与方法 1.1 实验动物与试剂雄性SD大鼠,SPF级,体质量180~200 g,购自军事医学科学院动物中心,生产许可证号:SCXK-(军)-2012-0004。罗格列酮和地塞米松购自上海阿拉丁生化科技股份有限公司,白细胞介素-6(IL-6) Elisa试剂盒、肿瘤坏死因子-α(TNF-α) Elisa试剂盒、白细胞介素-10(IL-10) Elisa试剂盒均购自美国ebioscience公司。超氧化物歧化酶 (superoxide dismutase,SOD) 试剂盒、丙二醛 (malondialdehyde,MDA) 试剂盒、谷胱甘肽 (glutathion,GSH) 试剂盒、总蛋白测定试剂盒购自南京建成生物工程研究所。
1.2 实验仪器自制高原低压低氧动物实验舱, 电子天平 (MettlerToledo,ME403E),光学显微镜 (OPTIKA,B-500TiFL),组织切片机 (Leica,Rm2245),组织自动包埋机 (Leica,1150H),电热恒温干燥箱 (Lebserv,LS-0610),酶标仪 (Thermo,3001)。
1.3 方法 1.3.1 动物建立模型及分组36只大鼠在实验室适应性饲养7 d后随机 (随机数字法) 分为6组:对照组 (control)、低压低氧模型组 (hypobaric hypoxia,HH)、罗格列酮低剂量组 (RSG-L)、罗格列酮中剂量组 (RSG-M)、罗格列酮高剂量组 (RSG-H)、地塞米松组 (Dex),每组6只,Dex为阳性对照药物。将罗格列酮溶于溶剂 (PBS:DMSO=1:1)。各组大鼠均在SPF环境条件下饲养,Control组与HH组腹腔注射溶剂 (PBS:DMSO=1:1),剩余4组按相应剂量腹腔注射给药,连续给药3 d。在第4天,将HH、RSG-L、RSG-M、RSG-H、Dex 5组大鼠置于高原低压低氧动物实验舱内,上升速度为10 m/s,模拟高度6 000 m (舱内压力47.2 kPa,氧分压10.28 kPa),舱内温度保持在 (20±2) ℃,湿度保持在 (60±10)%,在此期间自由进食饮水。以后每24 h开舱0.5 h,给药并换垫料和食物,持续72 h。
1.3.2 动物取材实验结束后,各组大鼠腹腔注射2%戊巴比妥 (2 mL/kg) 麻醉,固定,打开腹腔,下腔静脉取血,1 700 g,4 ℃离心15 min,血清至于-80 ℃低温冰箱保存。然后打开胸腔,结扎右主支气管,分离肺右叶,用生理盐水冲洗3遍并用滤纸吸干,右上叶用于测量湿干质量比,右中叶用4%甲醛溶液固定,右下叶-80 ℃低温冰箱保存,左肺用于测定肺泡灌洗液 (bronchoalveolar lavage fluid,BALF)。
1.3.3 肺组织含水量检测采用湿干质量比 (W/D) 法检测肺含水量。右上叶在电子天平称量湿质量后,用锡箔纸包裹,放入电热恒温干燥箱中连续烘烤72 h,称量干质量,计算肺组织湿干质量比 (肺湿质量/肺干质量)。
1.3.4 肺泡灌洗液蛋白含量将2 mL 0.9%生理盐水通过左主支气管缓慢注入到左肺中,轻轻按揉胸部,缓慢回抽生理盐水后再重新注入,反复3次,将BALF 800 g离心10 min,保留上清液,使用总蛋白测定试剂盒测定BALF总蛋白含量,具体操作按照说明书进行。
1.3.5 大鼠肺组织病理学观察肺右中叶在4%甲醛固定24 h后,取4 mm2左右大小组织,常规脱水、包埋、切片、HE染色,在光学显微镜下选取5个不同视野,观察肺组织结构、肺间隔、红细胞渗出和炎症细胞浸润改变,并拍摄图片。
1.3.6 大鼠肺组织氧化应激相关指标的检测取出低温保存的肺组织,用电子天平准确称量后,用PBS制成10%的组织匀浆,3 500 r/min低温离心15 min,取上清液,采用考马斯亮蓝法测定蛋白含量,微量酶标法测量GSH,TBA法测量MDA,WST-1法测量SOD,最后均用酶标仪测定组织匀浆中各指标的变化情况,具体操作按照说明书进行。
1.3.7 大鼠血清炎症相关因子检测血清解冻后,按ELISA试剂盒说明书分别检测IL-1β、IL-6、TNF-α和IL-10。用标准品浓度及其测出的吸光度值 (波长=450 nm) 绘制标准曲线,分别计算各炎症因子的血清浓度并进行比较。
1.4 统计学方法采用SPSS 18.0统计软件对数据进行分析,计量资料用均数±标准差 (x±s) 表示,多组间比较用单因素方差分析,与同一组比较采用Dunnet-t检验,组间两两比较采用LSD-t检验。以P<0.05为差异有统计学意义。
2 结果 2.1 罗格列酮能够降低HAPE大鼠肺组织含水量及BALF蛋白含量肺组织湿干质量比能够间接反映肺水肿严重程度,肺泡灌洗液蛋白含量能够反映肺泡毛细血管膜通透性。与Control组比较,低压低氧持续暴露72 h,HH组大鼠肺组织W/D和BALF蛋白含量明显增加 (P<0.01),而RSG-L、RSG-M、RSG-H三组与HH组比较,罗格列酮能够显著降低肺组织水含量和肺泡灌洗液蛋白含量 (P<0.01),且RSG-H组与Dex组差异无统计学意义 (P>0.05)(表 1)。这提示6 000 m低压低氧暴露72 h能够造成大鼠HAPE,且罗格列酮对其有保护效果。
| 组别 | W/D | BALF蛋白含量 (μg/mL) |
| Control组 | 3.65±0.23 | 147.22±16.29 |
| HH组 | 5.08±0.24a | 351.06±44.55a |
| RSG-L组 | 4.74±0.10b | 296.87±26.33b |
| RSG-M组 | 4.08±0.21c | 228.50±83.83c |
| RSG-H组 | 4.05±0.23c | 207.60±29.91c |
| Dex组 | 4.35±0.52c | 206.65±27.65c |
| 注:与Control组比较,aP<0.01;与HH组比较,bP<0.05,cP<0.01 | ||
氧化应激是高原缺氧重要的评价指标,表 2结果所示,与Control组比较,HH组SOD活性显著降低 (P<0.01),GSH含量降低 (P<0.01),MDA含量明显升高 (P<0.01)。而RSG-L、RSG-M、RSG-H、Dex组与HH组比较,SOD活性明显升高 (P<0.01),GSH含量升高 (P<0.01),MDA含量降低 (P<0.01)。RSG-M、RSG-H组与Dex组差异无统计学意义 (P>0.05)。
| 组别 | MDA (nmol/mgprot) | GSH (μmol/gprot) | SOD (U/mgprot) |
| Control组 | 1.45±0.17 | 2.82±0.14 | 13.06±1.93 |
| HH组 | 2.15±0.18a | 1.63±0.20a | 10.65±0.94a |
| RSG-L组 | 1.85±0.13c | 1.98±0.18b | 12.47±1.40b |
| RSG-M组 | 1.75±0.09c | 2.40±0.34c | 13.35±1.33c |
| RSG-H组 | 1.67±0.09c | 2.73±0.29c | 13.61±1.29c |
| Dex组 | 1.72±0.08c | 2.73±0.15c | 13.25±1.44c |
| 注:与Control组比较,a P<0.01;与HH组比较,bP<0.05,cP<0.01 | |||
炎症是导致肺动脉高压和肺血管通透性增加的重要因素。表 3结果所示,与Control组比较,HH组血清中TNF-α、IL-6水平明显增加 (P<0.01),而IL-10水平下降 (P<0.05)。不同浓度的RSG组与HH组比较,TNF-α、IL-6水平明显下降 (P<0.01),而IL-10水平明显上升 (P<0.01)。Dex组与RSG各组差异无统计学意义 (P>0.05)。值得注意的是,RSG各组以及Dex组与Control组比较,IL-10水平显著升高 (P<0.01)。
| 组别 | TNF-α(pg/mL) | IL-6(pg/mL) | IL-10(pg/mL) |
| Control组 | 32.70±4.54 | 111.69±17.04 | 96.14±7.31 |
| HH组 | 56.92±2.87b | 217.80±48.01b | 76.85±16.72a |
| RSG-L组 | 52.76±1.82c | 181.89±23.85d | 121.24±11.74d |
| RSG-M组 | 48.30±1.59d | 143.41±15.57d | 161.35±9.84d |
| RSG-H组 | 44.48±2.84d | 135.99±18.39d | 179.79±23.06d |
| Dex组 | 47.91±2.2d | 128.35±16.42d | 158.98±14.55d |
| 注:与Control组比较,aP<0.05,bP<0.01;与HH组比较,cP<0.05,dP<0.01 | |||
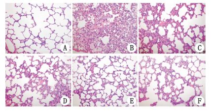
大鼠肺组织病理切片显示,Control组肺泡内无液体及细胞渗出,肺泡间隔无增宽,结构良好,未见炎性细胞浸润 (图 1A)。HH组与Control组比较,肺内结构破坏,肺泡及肺间隔内可见红细胞,肺泡内有粉红色液体渗出,肺内动脉充血,肺间隔增宽明显,其中可见中性粒细胞和巨噬细胞浸润 (图 1B)。与HH组比较,RSG-L、RSG-M、RSG-H三组的病理变化有不同程度的改善,肺泡内偶见红细胞和粉红色液体渗出,肺间隔有较轻微增宽,炎性细胞浸润不明显 (图 1C、D、E)。阳性对照药物Dex组 (图 1F) 与HH组比较,病理改变同样有明显减轻。
|
| A: Control组; B: HH组; C: RSG-L组; D: RSG-M组; E: RSG-H组; F: Dex组 图 1 各组大鼠肺组织病理学改变 (HE×200) Figure 1 Pathological changes of lung tissue in rats of each group (HE×200) |
|
|
HAPE是一种威胁生命的非心源性肺水肿,通常发生于快速到达2 500~3 000 m海拔的平原人群,其发病通常与登山速度、到达的海拔高度、劳累程度、上呼吸道感染等因素相关,是高原病中最常见的致死原因[9]。本实验将大鼠暴露于模拟6 000 m海拔高度的环境中,持续72 h,观察到肺组织含水量、肺泡灌洗液蛋白含量明显增高,间接反映出肺组织出现水肿且肺血管通透性增加。病理切片进一步显示,肺泡内有液体渗出和出血,肺间隔增宽且有炎细胞浸润,从而证明了HAPE大鼠造模成功,同时也反映出炎症细胞参与了HAPE的发病过程。不同剂量的罗格列酮能够降低肺组织水含量及肺泡灌洗液蛋白含量,同时能够减轻肺内出血和液体渗出,减少炎细胞浸润,这说明罗格列酮对HAPE大鼠具有保护作用。
目前认为HAPE的主要发病机制包括:缺氧性肺动脉高压、肺血管通透性增加、肺泡液体清除功能降低,而氧化应激和炎症反应在其中起到了关键作用。氧化应激是机体内氧化物和抗氧化物之间比例失衡,导致氧自由基堆积,继而对机体造成损害。低氧使线粒体氧供不足导致电子传递链受阻,有部分电子从电子传递链漏出,传递给O2,从而形成大量活性氧,进而造成血管内皮通透性增加。研究显示,H2O2可使Cav-1Tyr14磷酸化,进而导致小窝蛋白/β-链蛋白复合体解离,最终使内皮屏障破裂,肺水肿形成。与此同时,氧化应激产生的ONOO-可抑制鸟苷酸环化酶,增加内源性一氧化氮合酶抑制剂不对称性二甲基精氨酸,激活磷脂酶A2并释放血栓素,从而促进炎症反应和血管收缩[10]。本实验对大鼠肺组织中MDA、GSH的含量及SOD的活力进行检测,MDA是体内脂质过氧化反应的终产物,其含量与机体氧化损伤程度呈正比,SOD和GSH是体内较为关键的抗氧化酶和抗氧化物,两者可反映机体清除氧自由基的能力。低压低氧可导致HAPE大鼠肺组织MDA含量升高,SOD活力和GSH含量降低,间接反映出HAPE大鼠机体内氧化物和抗氧化物之间比例失衡,而罗格列酮则能够显著提高SOD活力和GSH含量并降低MDA含量,从而证明了罗格列酮的抗氧化效果。有研究显示,罗格列酮可以降低NADPH氧化酶的活性,减少超氧化物形成,同时它能够增加内皮型一氧化氮合酶Ser1177的磷酸化,提高其活性,增加NO合成,从而发挥抗氧化应激作用,该通路有待在HAPE模型中进一步验证。
低氧可促进缺氧诱导因子的产生,NF-κB是缺氧诱导因子的重要靶点[11]。当NF-κB激活后,可启动和调控多种促炎因子,如TNF-α和IL-6。TNF-α是启动全身炎症反应的起始因子,可激活细胞因子级联反应,它可直接与肺组织上的受体结合,损害溶酶体,致使酶外泄造成肺损伤。此外,TNF-α能够使肺血管通透性增高,Sawant等[12]发现,TNF-α能够促进肺微血管内皮细胞线粒体产生ROS,降低线粒体膜电位,增加caspase-3活性,启动细胞凋亡信号通路,从而破坏黏着连接蛋白复合体,诱导肌动蛋白应力纤维形成,增加血管内皮通透性。HAPE患者血清中IL-6异常增高,且与发病过程相伴行[13],IL-6不仅可以使肺血管通透性增加,还是导致肺动脉高压的关键炎症因子,动物实验显示,IL-6不仅能够直接促进血管内皮生长因子的合成,后者能够增加血管通透性,还能激活肺血管平滑肌细胞增生,导致血管重塑[14]。在本实验中,低压低氧使大鼠体内TNF-α和IL-6水平显著升高,而罗格列酮则能够抑制其升高,缓解炎症因子对HAPE的不良影响,从而发挥其保护作用。在HAPE发病机制的研究中,抑炎因子 (IL-10) 水平的降低[15]也是其发病的重要因素。罗格列酮能够显著提高HAPE大鼠体内IL-10水平,IL-10具有强烈的免疫抑制和抗炎作用,它可以通过抑制IκB激酶活性以及NF-κB与DNA转录控制区的结合,从而抑制抑制NF-κB信号通路的激活,此外它能够抑制单核细胞分泌炎症因子,调节T细胞分泌趋化因子,上调体内细胞因子拮抗剂的表达[16]。因此,提高体内IL-10水平是罗格列酮治疗HAPE的可能途径。
此外,本研究还有尚需完善和深入研究的内容。近年研究显示,罗格列酮能够减少内皮素释放,同时还能抑制肺血管平滑肌细胞表面瞬时型感受器电位通道和电压门控钙通道[4]表达,从而有效改善肺动脉高压,其是否在HAPE模型中同样适用还需要进一步研究。罗格列酮还能够提高肾小管内皮钠通道表达,提高液体重吸收,那它是否能够提高肺泡上皮液体重吸收能力,都有待进一步研究证实。
综上所述,罗格列酮通过抑制氧化应激,减少炎症因子分泌对低压低氧诱导的大鼠HAPE起到良好的保护作用,因而具有良好的应用前景,但其作用机制有待进一步深入研究。
| [1] | Pennardt A. High-altitude pulmonary edema: diagnosis, prevention, and treatment[J]. Curr Sports Med Rep, 2013, 12(2): 115-119. DOI:10.1249/JSR.0b013e318287713b |
| [2] | Yamaji-Kegan K, Su Q, Angelini DJ, et al. Hypoxia-induced mitogenic factor (HIMF/FIZZ1/RELMalpha) increases lung inflammation and activates pulmonary microvascular endothelial cells via an IL-4-dependent mechanism[J]. J Immunol, 2010, 185(9): 5539-5548. DOI:10.4049/jimmunol.0904021 |
| [3] | Farias JG, Herrera EA, Carrasco-Pozo C, et al. Pharmacological models and approaches for pathophysiological conditions associated with hypoxia and oxidative stress[J]. Pharmacol Ther, 2016, 158: 1-23. DOI:10.1016/j.pharmthera.2015.11.006 |
| [4] | Wang Y, Lu W, Yang K, et al. Peroxisome proliferator-activated receptor gamma inhibits pulmonary hypertension targeting store-operated calcium entry[J]. J Mol Med (Berl), 2015, 93(3): 327-342. DOI:10.1007/s00109-014-1216-4 |
| [5] | 赵凯亮, 巴图尔·尼牙子, 杨波, 等. 罗格列酮对高脂血症大鼠合并重症急性胰腺炎的作用[J]. 中华急诊医学杂志, 2014, 23(1): 39-44. DOI:10.3760/cma.j.issn.1671-0282.2014.01.011 |
| [6] | Zhang YF, Zou XL, Wu J, et al. Rosiglitazone, a peroxisome proliferator-activated receptor (PPAR)-gamma agonist, attenuates inflammation via NF-kappaB inhibition in lipopolysaccharide-induced peritonitis[J]. Inflammation, 2015, 38(6): 2105-2115. DOI:10.1007/s10753-015-0193-2 |
| [7] | Gu C, Wang Y, Li J, et al. Rosiglitazone attenuates early brain injury after experimental subarachnoid hemorrhage in rats[J]. Brain Res, 2015, 1624: 199-207. DOI:10.1016/j.brainres.2015.07.025 |
| [8] | Al Rouq F, El Eter E. PPAR-gamma activator induces neuroprotection in hypercholesterolemic rats subjected to global cerebral ischemia/reperfusion injury: in vivo and in vitro inhibition of oxidative stress[J]. Exp Gerontol, 2014, 51: 1-7. DOI:10.1016/j.exger.2013.12.008 |
| [9] | Korzeniewski K, Nitsch-Osuch A, Guzek A, et al. High altitude pulmonary edema in mountain climbers[J]. Respir Physiol Neurobiol, 2015, 209: 33-38. DOI:10.1016/j.resp.2014.09.023 |
| [10] | Siti HN, Kamisah Y, Kamsiah J. The role of oxidative stress, antioxidants and vascular inflammation in cardiovascular disease (a review)[J]. Vascul Pharmacol, 2015, 71: 40-56. DOI:10.1016/j.vph.2015.03.005 |
| [11] | Wanderer AA. Hypoxia and inflammation[J]. N Engl J Med, 2011, 364(20): 656-665. DOI:10.1056/NEJMra0910283 |
| [12] | Sawant DA, Wilson RL, Tharakan B, et al. Tumor necrosis factor-alpha-induced microvascular endothelial cell hyperpermeability: role of intrinsic apoptotic signaling[J]. J Physiol Biochem, 2014, 70(4): 971-980. DOI:10.1007/s13105-014-0366-8 |
| [13] | Hartmann G, Tschop M, Fischer R, et al. High altitude increases circulating interleukin-6, interleukin-1 receptor antagonist and C-reactive protein[J]. Cytokine, 2000, 12(3): 246-252. DOI:10.1006/cyto.1999.0533 |
| [14] | Groth A, Vrugt B, Brock M, et al. Inflammatory cytokines in pulmonary hypertension[J]. Respir Res, 2014, 15(1): 47. DOI:10.1186/1465-9921-15-47 |
| [15] | Gu YH, Zhen Z. Significance of the changes occurring in the levels of interleukins, SOD and MDA in rat pulmonary tissue following exposure to different altitudes and exposure times[J]. Exp Ther Med, 2015, 10(3): 915-920. DOI:10.3892/etm.2015.2604 |
| [16] | Ouyang W, Rutz S, Crellin NK, et al. Regulation and functions of the IL-10 family of cytokines in inflammation and disease[J]. Annu Rev Immunol, 2011, 29: 71-109. DOI:10.1146/annurev-immunol-031210-101312 |
2017, Vol. 26



