血栓性血小板减少性紫癜(thrombotic thrombocytopenic purpura,TTP)以广泛微血管血栓形成和血小板减少为病理特征,其发病与血管性血友病因子裂解蛋白酶(ADAMTS13) 缺陷有关,病程进展迅速,病死率高达90%。除了血浆置换之外,利妥昔单抗和激素等药物可有效治疗复发、难治性TTP患者[1]。这些药物有免疫抑制等不良反应,然而合并肺孢子菌肺炎(pneumocystis carinⅡ pneumonia,PCP)罕见,最近大连医科大学附属第一医院急诊科成功治疗一例TTP合并PCP患者,现报道如下。
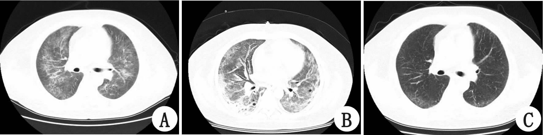
1 资料与方法患者,男性,45岁,既往体健,因“皮肤出血点2个月”于2015年9月22日收入大连医科大学附属第一医院血液科。曾就诊于当地医院,血红蛋白及血小板呈进行性下降,骨穿后诊断为骨髓增生异常综合征-难治性血细胞减少伴多系发育异常,疗效差。间断头痛难忍,双手麻木,发作性言语不清,且神经系统症状进行性加重,出现黄疸。查体:T 36.9 ℃,P 72次/min,R 18次/min,BP 110/70 mmHg(1 mmHg=0.133 kPa);贫血貌,全身散在出血点,巩膜及皮肤黄染;心肺腹及神经系统未见阳性体征。我院头部CT未见异常;血白细胞6.82×109/L,血红蛋白68 g/L,血小板11×109/L;总胆红素39.4 μmol/L;乳酸脱氢酶1 121 U/L;网织红细胞比例16.69%;外周血涂片破碎红细胞>10%;ADAMTS13活性<2.5%(正常值68%~131%);尿蛋白质++,尿潜血阳性;肌酐正常;Coombs试验(-),我院诊断为TTP。因病情恶化,出现神志不清,呼吸困难,2015年9月29日转入急诊ICU行机械通气;右股静脉穿刺成功后予血浆置换,3 000 mL/d,静脉滴注甲强龙160 mg/d。10月3日血小板升至131.4×109/L,血浆置换量减为2 000 mL/d;10月5日血小板骤降至9.4×109/L,穿刺处渗血,右下肢肿胀且大面积淤青,予局部有效压迫止血,血浆置换量再增至3 000 mL/d,出血倾向好转,10月6日神志转清,10月8日撤呼吸机。然而,在此期间血小板仍低 ,遂将血浆置换量增至3 500 mL/d,并加用利妥昔单抗600 mg/次,每周一次,10月16日血小板升至101×109/L,未再下降,血浆置换量渐减至2 000 mL/d。10月28日复查ADAMTS13活性64%,11月1日出院。共行血浆置换27次,总量达74 500 mL。出院后继续口服泼尼松片,定期复查血小板均正常。该患者12月11日起出现发热,体温39 ℃,咳嗽、少痰,入住外院查血常规正常,PCT 0.134 ng/mL,给予头孢唑林静脉滴注,12月16日肺部CT(图 1A)提示双肺弥漫毛玻璃样斑片影,考虑真菌性肺炎可能,换用卡泊芬净联合莫西沙星后疗效较差,出现喘憋,SPO2降至65%。12月18日转入我科行机械通气,复查肺CT(图 1B)示双肺弥漫性毛玻璃密度影,双肺间质纤维化或间质性肺炎,较前加重;痰真菌培养回报为阴性,细菌培养为正常咽喉菌群生长;G实验291.3 pg/mL,GM实验阴性。经呼吸内科会诊考虑为肺孢子菌肺炎,继续用卡泊芬净联合莫西沙星,加复方磺胺甲噁唑口服,症状渐好转,成功撤呼吸机出院。继续口服复方磺胺甲噁唑,1月22日复查CT见图 1C病灶基本吸收。
|
| A:12月16日;B:12月18日;C:1月22日复查 图 1 患者CT结果 |
|
|
TTP虽发病率低,但病情凶险,典型临床表现包括血小板减少、微血管病性溶血性贫血、神经系统症状、发热 和肾损害五大主征或仅表现为前3项,易误诊或漏诊[2-3]。血浆置换是首选治疗措施,可使病死率可降至8%~30%[2]。本例患者病情危重,血浆置换减量易致病情反复,故血浆置换量极大,共27次,总量达74 500 mL。该患者血小板计数极低,穿刺出血风险极大,但为了争取一线生机,仍进行了股静脉穿刺,结果穿刺部位渗血明显,采取有效局部压迫止血后,坚持血浆置换直至病情缓解。另外,激素联合利妥昔单抗有效缓解了TTP病情,预防复发[1]。
PCP是一个机会感染性疾病,多见于免疫功能缺陷或长期接受免疫抑制剂治疗者,若缺乏针对性治疗,病情迅速恶化,预后极差[4]。其确诊常以肺组织或下呼吸道分泌物发现肺孢子菌包囊和滋养体为金标准;痰阳性检出率低,支气管肺泡灌洗液和支气管肺活检的敏感率可高达90%~95%[4]。本例后期出现重症肺炎,虽未行确诊性检查,但根据病史、临床症状及CT,临床诊断为PCP,予卡泊芬净联合复方甲噁唑诊断性治疗[5]后效果显著。故TTP患者若临床上怀疑PCP,应及时经验性诊断性治疗,切勿贻误治疗时机。
| [1] | Mariotte E, Veyradier A. Thrombotic thrombocytopenic purpura: From diagnosis to therapy[J]. Curr Opin Crit Care , 2015, 21 : 593-601 DOI:10.1097/MCC.0000000000000255 |
| [2] | 马元, 乔莉, 娄爽, 等. 21例血栓性血小板减少性紫癜临床研究[J]. 中华急诊医学杂志 , 2014, 23 (6) : 673-677 DOI:10.3760/cma.j.issn.1671-0282.2014.06.017 |
| [3] | 李军根, 肖接承, 陆士奇, 等. 血栓性血小板减少性紫癜两例[J]. 中华急诊医学杂志 , 2010, 19 (7) : 721 DOI:10.3760/cma.j.issn.1671-0282.2010.07.013 |
| [4] | 曾健生, 钱素云. 肺孢子菌肺炎的诊断与治疗[J]. 中华实用儿科临床杂志 , 2012, 27 (18) : 1453-1456 |
| [5] | Lobo ML, Esteves F, de Sousa B, et al. Therapeutic potential of caspofungin combined with trimethoprim-sulfamethoxazole for pneumocystis pneumonia: a pilot study in mice[J]. PLoS One , 2013, 8 : e70619 DOI:10.1371/journal.pone.0070619 |
2017, Vol. 26



