重症急性胰腺炎(severe acute pancreatitis,SAP)是临床常见的急腹症,起病急,病情凶险,易并发胰外脏器损伤。重症急性胰腺炎相关性肺损伤 (severe acute pancreatitis associated lung injury,SAPALI)发生率可高达60%~70%,严重者可发展为急性呼吸窘迫综合征,是患者早期死亡的最主要原因[1]。有研究表明,氧化应激时产生大量的ROS对SAPALI的发病发生过程起着重要的作用[2]。也有研究报道SAP时P38MAPK及NF-κB活化及过度表达可能是SAPALI的重要因素 [3,4]。氢气能选择性地清除羟自由基(·OH)及过氧亚硝基阴离子(ONOO-),从而能起到抗氧化应激及减轻ROS诱导的炎症反应[5,6]。该研究旨在探讨氢饱和生理盐水(hydrogen-rich saline, HRS)对大鼠SAPALI的保护作用及其对肺组织中P38MAPK及NF-κB表达的影响。
1 材料与方法 1.1 实验动物与试剂SPF级雄性Wistar大鼠54只、体质量(220±20)g,由湖北省疾病预防控制中心提供。随机分为3组(n=18),即假手术组(SO组)、重症急性胰腺炎模型组(SAP组)、氢饱和生理盐水治疗组(HRS组)。牛磺胆酸钠购于美国Sigma公司。P38MAPK、p-P38MAPK及NF-κB P65抗体均购自美国Abcam公司。氢饱和生理盐水由第二军医大学孙学军教授提供。
1.2 动物模型制备与处理SAP组手术前大鼠禁食12 h,自由饮水,称体质量。用10%水合氯醛腹腔注射(3 mL/kg)麻醉,铺巾后无菌操作下行上腹正中切口进腹,采用钝性细针头通过十二指肠壁,经乳头逆行穿刺胆胰管,用无损伤血管夹分别夹闭肝门处的胆总管及针头插入部位的胆胰管。向胆胰管恒速(0.1 mL/min)注入5%牛磺胆酸钠(1 mL/kg)。注射完毕后,原位夹闭主胰管5 min后见胰腺出现水肿、出血、坏死即表明造模成功,关腹。HRS组造模方式同SAP组。SO组大鼠开腹后仅翻动胰、十二指肠即关腹。HRS组造模成功后5 min经尾静脉注射HRS(6 mL/kg),并皮下HRS补液(20 mL/kg);SAP组造模成功和SO组术后5 min经尾静脉注射生理盐水(6 mL/kg) ,并皮下生理盐水补液(20 mL/kg)。
1.3 标本的获取和处理三组大鼠分别于造模成功后3、12、24 h三个时间点(每个时间点6只)心脏穿刺采血,处死大鼠。血样2 000 r/min离心15 min后分离血清于-20 ℃保存备用。取右肺下叶组织行10%中性甲醛固定24 h,石蜡包埋切片,HE染色以及肺组织免疫组化切片的制作。取右肺中叶称干湿质量,剩余肺组织-80 ℃保存备用。
1.4 检测方法及病理评分方法采用全自动生化分析仪(日本奥林巴斯2700,武汉大学人民医院检验科)测定血清AMY、LIP。取右肺中叶,拭去肺组织表面血迹及水分后称湿重,置70 ℃烘箱24 h后称干质量,计算肺湿/干质量比(W/D)。光镜下观察肺脏组织病理改变,并根据程石等[7]方法对肺组织行病理学评分。大鼠肺组织采用10%中性甲醛固定24 h,石蜡包埋切片,采用SP法行免疫组织化学检查p-38MAPK、P-P38MAPK及NF-κB的表达,各组大鼠各选6张切片,每张切片随机选取2个视野(×200)下计数阳性细胞的个数,以视野下阳性细胞占细胞总数百分率为阳性率,通过阳性率比较其在各组大鼠肺脏中的表达情况。阳性判断标准:阳性细胞≤25%为弱阳性(+),25%~50%≤为阳性(++),>50%为强阳性(+++),未见阳性染色为阴性(-)。
1.5 统计学方法采用SPSS 17.0统计软件进行分析处理,计量资料以均数±标准差(x±s)表示,组间两两比较采用SNK-q检验,以P<0.05为差异具有统计学意义。
2 结果2.1 血清淀粉酶、脂肪酶活性
SAP组血清AMY、LIP较SO组相应时间点显著升高(AMY: t3 h=12.58, P<0.01; t12 h=22.89, P<0.01; t24 h=22.51, P<0.01; LIP: t3 h=18.79, P<0.01; t12 h=41.78, P<0.01; t24 h=43.73, P<0.01),差异具有统计学意义(均P<0.05)。SAP组较HRS组相应时间点血清AMY、LIP略有降低(AMY: t3 h=1.20, P=0.259 4; t12 h=0.31, P=0.762 2; t24 h=0.55, P=0.593 9 ;LIP: t3 h=0.33, P=0.750 6; t12 h=0.27, P=0.794 1;t24 h=1.41, P=0.189 7),但差异无统计学意义,见表 1。
| 组别 | AMY | LIP | ||||
| 3 h | 12 h | 24 h | 3 h | 12 h | 24 h | |
| SO组 | 1 142.3±156.2 | 1 083.3±149.1 | 1 106.1±137.0 | 92.7±8.5 | 88.5±9.9 | 96.3±11.7 |
| SAP组 | 3 734.0±479.8a | 5 435.0±441.2a | 7 031.6±630.2a | 935.4±109.3a | 1 917.9±106.8a | 2 104.2±232.4a |
| HRS组 | 3 422.1±421.9ab | 5 306.7±909.2ab | 6 799.7±816.4ab | 957.0±119.5ab | 1 897.8±149.4ab | 1 948.9±138.1ab |
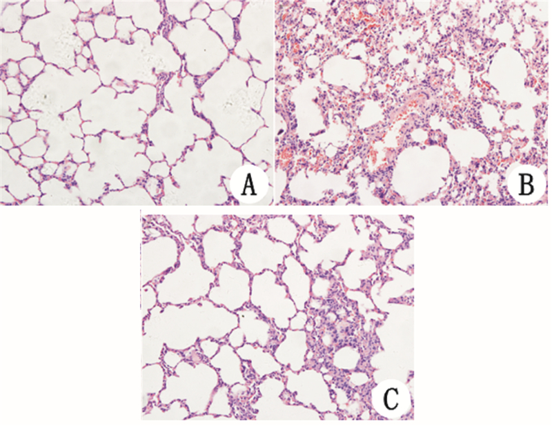
SO组大鼠肺组织结构清晰,肺泡壁完整,无水肿、充血及炎性渗出。SAP组大鼠肺泡出现融合,部分肺泡不张,肺泡上皮细胞肿胀,间质明显增宽、充血、水肿,炎性细胞浸润,随着时间延长肺损伤加重,肺组织病理评分逐渐增高。较SAP组相应时间点,HRS组大鼠肺泡融合,肺大泡形成,及肺不张情况明显减少,肺泡间质充血、水肿和浸润程度减轻,病理评分降低(t3 h=4.37, P=0.001 4; t12 h=7.10, P<0.01; t24 h=5.37, P=0.000 3),差异具有统计学意义见图 1及 表 2。
![]() |
| A: SO组;B: SAP组;C: HRS组 图 1 12 h大鼠肺组织病理改变 (HE×200) Fig 1 Morphologic change of lung tissues at 12h(HE×200) |
| 组别 | 肺脏W/D | 肺脏病理评分 | ||||
| 3 h | 12 h | 24 h | 3 h | 12 h | 24 h | |
| SO组 | 1.21±0.13 | 1.35±0.17 | 1.24±0.09 | 0.63±0.14 | 0.59±0.18 | 0.61±0.21 |
| SAP组 | 2.69±0.29a | 3.12±0.58a | 5.16±1.12a | 1.29±0.25a | 3.58±0.32a | 5.47±0.85a |
| HRS组 | 1.47±0.21b | 1.87±0.25ab | 2.13±0.33ab | 0.74±0.18b | 2.14±0.38ab | 3.37±0.44ab |
SAP组各时间点大鼠肺W/D比随着时间的延长逐渐升高,24 h达到最高值;而HRS组肺W/D比较SAP组相应时间点显著下降(t3 h=8.35, P<0.01; t12 h=4.85, P=0.0007; t24 h=6.36, P<0.01),差异具有统计学意义,见表 2。
2.4 肺脏P38MAPK及p-P38MAPK免疫组化结果P38MAPK阳性表达为视野内胞质被染成棕黄色,p-P38MAPK阳性表达为胞核及部分胞质被染成棕黄色。SO组肺组织胞质中P38表达呈(++),SAP组表达呈(++),HRS组表达呈(++)(见图2A、B及C)。SO组肺组织胞质中p-P38表达呈(-),SAP组表达呈(+++),HRS组表达呈(+) ,见图 2D、E及F。
![]() |
| P38MAPK免疫组化 A: SO组;B: SAP组;C: HRS组 p-P38MAPK免疫组化 D: SO组;E: SAP组;F: HRS组 图 2 12 h大鼠肺组织P38MAPK及p-P38MAPK免疫组化(×200) Fig 2 Immunohistochemistry detection of the expression of P38MAPK and p-P38MAPK in lung tissues at 12h(×200) |
NF-κB阳性表达为视野内胞核被染成棕黄色。SO组肺组织胞核中NF-κB表达呈(-),SAP组表达呈(++),HRS组表达呈(+),见图 3。
![]() |
| A: SO组;B: SAP组;C: HRS组 图 3 12 h大鼠肺组织NF-κB P65免疫组化(×200) Fig 3 Immunohistochemistry detection of the expression of NF-κB in lung tissues at 12h(×200) |
氢广泛存在于自然界,是具有还原性的双原子气体。2007年日本学者Ohsawa等[5]首次提出氢气可选择性的清除羟自由基(·OH)及亚硝酸阴离子(ONOO-),且不干扰其他自由基在细胞信号通路中的正常氧化还原反应。随后有学者证实,在缺血-再灌注、脓毒血症、胰腺炎等模型中证实了氢气具有抗氧化抗炎作用[8,9,10]。笔者前期研究也证实了氢饱和生理盐水在SAP肾损伤中具有抗氧化应激的作用[11]。氢气具有良好的生物膜通透性,能自由通过细胞膜进入细胞及细胞器。这些说明,氢是一种良好的自由基清除剂。
SAP是多种病因导致胰酶异常激活引起的胰腺甚至全身性炎性反应性疾病,其发病机制迄今尚未完全明确。近年来有研究发现SAP引起ARDS等并发症是其早期死亡的主要原因之一。SAP早期机体应处于应激状态,大量的ROS的产生,炎性通路激活以及大量的炎症介质的释放,导致MODS,而MODS最先累及的器官通常是肺,故SAPALI是学者的研究热点之一[12,13,14]。
P38MAPK是一种细胞内丝氨酸/苏氨酸蛋白激酶,为重要的信号通路转导酶,通过将细胞外信号转导至细胞核内,从而调控基因的转录与翻译过程。有研究报道机体过量ROS产生,可激活P38MAPK,促使其磷酸化后转入核内,从而促进细胞IL-1、IL-6、TNF-α等多种炎症因子的释放[15,16]。也有研究报道P38MAPK信号通路在SAP肺损伤的发病、发生过程中发挥着至关重要的作用[12]。该研究血清指标,肺脏的湿/干质量比及病理评分提示氢气饱和生理盐水未能显著的降低AMY、LIP,但显著地改善了SAP肺水肿以及减轻肺脏病理损伤,说明氢气饱和生理盐水对SAP肺损伤具有保护作用。此外,免疫组化结果提示造模大鼠SAP肺脏组织中 P38MAPK发生磷酸化及磷酸化P38MAPK明显升高,这说明P38MAPK可能在机体在应激状态下被激活,在一定程度上参与了应激状态的调节作用。HRS组大鼠肺组织磷酸化的P38MAPK表达明显低于SAP组,这说明氢饱和生理盐水可能抑制了P38MAPK的激活。氢饱和生理盐水可能通过抗氧化应激及清除ROS,影响P38MAPK通路,从而对SAP肺损伤起到保护作用。
此外,P38MAPK的磷酸化还可激活下游的MSK,从而激活NF-κB转入细胞核与相应的DNA序列结合后,引起TNF-α、IL-1、IL-8的表达,同时NF-κB也能被TNF-α激活,形成恶性循环,使炎症反应调控失衡,导致级联“瀑布”效应,导致SAP急性肺损伤 [16-17]。该研究NF-κB免疫组化结果提示,SAP时NF-κB核内表达明显升高,这与其他学者的研究结果一致,SAP给予氢气饱和生理盐水治疗后NF-κB在核内的表达明显降低,这说明氢饱和生理盐水能抑制NF-κB的激活。
综上所述,本研究证实了氢饱和生理盐水对SAP肺损伤具有保护作用,其机制与抗氧化损伤,以及减少ROS对P38MAPK及NF-κB通路激活有关。氢饱和生理盐水生产简单、安全经济、使用便利等特点,其有望成为SAP肺损伤的基础治疗药物。
| [1] | 余佳, 金浩, 陈辰, 等. 聚ADP核糖聚合酶抑制剂对重症急性胰腺炎大鼠肺炎症介质表达和肺损伤的影响[J]. 中华急诊医学杂志, 2012, 21(1): 38-42. |
| [2] | 陈毅鹏, 宁建, 文季峰. 重症急性胰腺炎相关肺损伤危险期的确立[J].中华急诊医学杂志, 2008, 17(7): 745-748. |
| [3] | 刘君, 孙家邦, 李非, 等. P38MAPK表达在大鼠重症急性胰腺炎肺损伤中的意义[J].中华肝胆外科杂志, 2009, 15(7): 515-517. |
| [4] | Lv W, Lv C, Yu S, et al. Lipoxin A4 attenuation of endothelial inflammation response mimicking pancreatitis-induced lung injury [J]. Exp Biol Med, 2013, 238(12):1388-1395. |
| [5] | Ohsawa I,Ishikawa M, Takahashi K, et al. Hydrogen actsatherapeutic antioxidant by selectively reducing cytotoxic oxygen radicals [J]. Nat Med, 2007, 13(6): 688-694. |
| [6] | Ren J, Luo Z, Tian F, et al. Hydrogen-rich saline reduces the oxidative stress and relieves the severity of trauma-induced acute pancreatitis in rats [J].JTrauma Acute Care Surg, 2012, 72(6): 1555-1561. |
| [7] | 程石, 何三光, 张佳林.肺泡巨噬细胞活化在急性坏死性胰腺炎大鼠肺损伤中的作用[J].中华外科杂志, 2002, 40(8): 609-612. |
| [8] | Abe T, Li XK, Yazawa K, et al. Hydrogen-rich university of Wisconsin solution attenuates renal cold ischemia reperfusion injury [J]. Transplantation, 2012, 94(1): 14-12. |
| [9] | XieKFu W, Xing W, et al. Combination therapy with molecular hydrogen and hyperoxia inamurine model of polymicrobial sepsis [J]. Shock, 2012, 38(6): 656-663. |
| [10] | Zhang DQ, Feng H, Chen WC. Effects of hydrogen-rich saline on taurocholate-induced acute pancreatitis in rat [J]. Evid Based Com Plement Alternat Med, 2013:731932. |
| [11] | 石乔,廖康恕,赵凯亮,等. 氢饱和生理盐水对重症急性胰腺炎肾损伤的保护作用[J].中华胰腺病杂志,2013,13(5):315-319. |
| [12] | 刘君, 孙家邦, 李非, 等. P38MAPK表达在大鼠重症急性胰腺炎肺损伤中的意义[J].中华肝胆外科杂志, 2009,15(7): 515-519. |
| [13] | Herlaar E, Brown Z. P38MAPK signalling cascades in inflammatory disease [J]. Mol Med Today, 1999, 5(10): 439-447. |
| [14] | Li XY, Wang XB, Liu XF, et al. Prevalence and risk factors of organ failure in patients with severe acute pancreatitis [J]. WorldJEmerg Med, 2010, 1(3): 201-204. |
| [15] | Choi DC, Lee JY, Lim EJ, et al. Inhibition of ROS-induced P38MAPK and ERK activation in microglia by acupuncture relieves neuropathic pain after spinal cord injury in rats [J]. Exp Neurol, 2012, 236(2):268-282. |
| [16] | 陆邦超, 邹大进. P38MAPK信号通路在雨蛙素诱导的胰腺AR42J细胞炎症反应中的作用[J].中国病理生理杂志, 2011, 27(9): 1832-1835. |
| [17] | Ren HB, Li ZS, Xu GM, et al. Dynamic changes of mitogen-activated protein kinase signal transduction in rats with severe acute pancreatitis [J]. ChinJDig Dis, 2004, 5(3): 123-125. |
2015, Vol. 24





